X-quang ngực trẻ sơ sinh
Trong bài tổng quan này, chúng tôi sẽ trình bày một phương pháp tiếp cận có hệ thống đối với phim X-quang ngực ở trẻ sơ sinh.
Sự phối hợp chặt chẽ giữa các bác sĩ sơ sinh và bác sĩ X-quang là yếu tố then chốt để đạt được chẩn đoán chính xác, vì các đặc điểm X-quang của nhiều rối loạn phổi thường chồng lấp nhau và các dấu hiệu trên phim X-quang ngực có thể khá tinh tế.
Các thông tin lâm sàng như tuổi của trẻ sơ sinh, tuổi thai và liệu pháp thông khí hoặc surfactant đóng vai trò thiết yếu trong việc diễn giải các kết quả X-quang.
Trước tiên, chúng tôi sẽ thảo luận về phương pháp chẩn đoán dựa trên các phát hiện X-quang và lâm sàng, sau đó chúng tôi sẽ thảo luận về các bệnh phổi cụ thể và các biến chứng.
Các giải thích về vị trí ống, đường truyền và vị trí catheter được thảo luận trong Ống và đường truyền ở trẻ sơ sinh.
Introduction
Trẻ sinh non có các loại bệnh lý khác so với trẻ sinh đủ tháng.
Ví dụ, hội chứng suy hô hấp (RDS) hầu như chỉ gặp ở trẻ sinh non.
Ngược lại, hội chứng hít phân su (MA) được gặp ở trẻ sơ sinh đủ tháng hoặc gần đủ tháng kết hợp với tình trạng nước ối nhuốm phân su trong quá trình chuyển dạ.
Trẻ sinh ra trong khoảng từ 34 đến 37 tuần tuổi thai có thể mắc các bệnh xảy ra ở cả trẻ sinh non lẫn trẻ sinh đủ tháng.
Thở máy xâm lấn và liệu pháp surfactant sẽ
có tác động lớn đến các phát hiện trên X-quang và là thông tin lâm sàng thiết yếu
đối với bác sĩ X-quang.
Dưới đây là danh sách các rối loạn phổi thường gặp ở trẻ sơ sinh
dựa trên bệnh cấp tính và mạn tính, biến chứng của thở máy và
dị tật bẩm sinh (Bảng).
* CPAM trước đây được gọi là dị dạng tuyến nang bẩm sinh (CCAM) và biểu hiện dưới dạng một khối mô phổi bất thường không có chức năng
* TAPVR là hồi lưu tĩnh mạch phổi bất thường toàn phần. Các tĩnh mạch phổi không kết nối với tâm nhĩ trái mà đổ vào tuần hoàn tĩnh mạch hệ thống.
Cách tiếp cận phim chụp X-quang ngực sơ sinh bắt đầu bằng việc đánh giá kỹ thuật chụp.
Tiếp theo, phân tích vị trí của các đường truyền và ống thông.
Xem Đường truyền và ống thông ở trẻ sơ sinh.
Sau các bước này, phim chụp ngực có thể được đọc để tìm bệnh lý.
This is done in a stepwise manner:
- Xem xét tuổi thai, tuổi sau sinh và các thông tin lâm sàng khác, bao gồm hỗ trợ hô hấp.
- Thể tích phổi cần được đánh giá, có thể bình thường, giảm thông khí hoặc tăng thông khí.
- Ở trẻ sơ sinh được thở máy, áp lực dương cuối thì thở ra (PEEP) cần được ghi chú trong phiếu yêu cầu. (PEEP bình thường 5-8 cm H2O)
- Diễn giải nhu mô phổi, có thể bình thường, tăng sáng hoặc đông đặc.
- Pathology unilateral or bilateral.
Tuổi sau sinh của trẻ sơ sinh tính bằng ngày hoặc giờ là rất quan trọng vì một số rối loạn là các tình trạng cấp tính và một số rối loạn xuất hiện ở giai đoạn muộn hơn. Ngoài ra, cần xem xét đến diễn tiến bệnh và liệu pháp điều trị cho đến thời điểm hiện tại.
Pattern Approach
Chest abnormalities can be divided into:
- Cản quang
Các thuật ngữ khác được sử dụng để mô tả những bất thường này là tăng đậm độ, hoặc đám mờ. Chúng có thể là dạng đường mảnh hoặc thô, dạng hạt hoặc lưới hạt. Chúng có thể lan tỏa hoặc khu trú. - Tăng sáng
Đây là những bất thường tăng sáng, là kết quả của tình trạng ứ khí quá mức của nhu mô phổi, hoặc các ổ khí bất thường. Tùy thuộc vào vị trí, các vùng tăng sáng này có thể đi theo màng phổi hoặc các cấu trúc trung thất và thường được phân định rõ ràng.
Các bất thường trong nhu mô có thể kém rõ ràng hơn.
Trong một số trường hợp có sự kết hợp của các bất thường cản quang và thấu quang,
điều này khiến việc giải thích các phát hiện X-quang trở nên khó khăn.
Ví dụ, khí thũng kẽ phổi (PIE)
có thể được xem là các vùng sáng, nhưng cũng có thể được giải thích là các bất thường cản quang tuyến tính tỏa ra.
Lưu ý rằng thoát vị hoành có thể là vùng cản quang khu trú hoặc thấu quang
Radiopaque – High Attenuation
RDS
Hội chứng
suy hô hấp ở trẻ sơ sinh non tháng biểu hiện với thể tích phổi thấp, hình ảnh khí phế quản đồ và các đám mờ dạng hạt mịn đối xứng, từ bệnh nhẹ
đến hình ảnh phổi trắng hoàn toàn.
TTN
Thở nhanh thoáng qua ở trẻ sơ sinh được gặp ở trẻ sơ sinh đủ tháng với tình trạng suy hô hấp nhẹ và biểu hiện với thể tích phổi tăng nhẹ, đậm độ tuyến tính cạnh rốn phổi và tràn dịch màng phổi.
Hội chứng hít phân su (MAS)
Hít phân su thường gặp ở trẻ sơ sinh đủ tháng và muộn tháng, biểu hiện với các đám mờ thô hai bên, có thể không đối xứng. Có thể có các vùng xẹp phổi và ứ khí.
Atelectasis
Xẹp phổi
có thể gặp trong trường hợp đặt ống nội khí quản sai vị trí và như một biến chứng, ví dụ trong hội chứng suy hô hấp (RDS) và hít phân su.
Radiolucent – Low attenuation
Rò Khí
Hầu hết các bất thường phổi thấu quang trên X-quang là kết quả của sự rò rỉ khí, thường là biến chứng của hỗ trợ thông khí áp lực dương và biểu hiện dưới dạng:
- Pneumothorax
- Pneumomediastinum and pericardium
- Pulmonary Interstitial Emphysema (PIE)
- Pneumatocele
Ưu phế
Có thể là kết quả của việc đặt ống nội khí quản sai vị trí gây ưu phế một phổi, hoặc trong trường hợp xẹp phổi, có thể xảy ra ưu phế bù trừ ở các phần phổi còn lại.
CPAM
CPAM
là dị tật phổi bẩm sinh phổ biến nhất, nhưng vẫn là một bệnh hiếm gặp.
Có hai thể: thể vi nang và thể đại nang. Thể đại nang biểu hiện là vùng thấu quang bất thường. Thường trong những giờ đầu, tổn thương chưa chứa khí và có thể biểu hiện dưới dạng cản quang.
Thoát vị hoành bẩm sinh
Đây là dị tật bẩm sinh của cơ hoành và có thể là một bệnh đe dọa tính mạng.
Sự thoát vị của các tạng ổ bụng vào lồng ngực dẫn đến kém phát triển của phổi.
Respiratory Distress Syndrome (RDS)
RDS còn được gọi là bệnh màng trong (HMD), hội chứng suy hô hấp vô căn (IRDS) và rối loạn thiếu hụt surfactant (SDD).
Đây là hậu quả của sự thiếu hụt surfactant do phổi chưa trưởng thành ở trẻ sinh non.
Sản xuất surfactant bắt đầu từ tuần thai thứ 24 đến 28.
Tỷ lệ mắc Hội chứng suy hô hấp (RDS) tỷ lệ nghịch với tuổi thai khi sinh. Tỷ lệ này dao động từ 50% ở trẻ sơ sinh có tuổi thai 26-28 tuần và giảm xuống còn 25% ở trẻ sơ sinh có tuổi thai 30-31 tuần.
Do thiếu hụt surfactant, các phế nang sẽ không chứa khí và gây ra tình trạng xẹp phổi vi thể lan tỏa hai bên, kết hợp với fibrin và các mảnh vụn tế bào do tổn thương phế nang, dẫn đến độ giãn nở của phổi kém và khiến trẻ sơ sinh không thể nở phổi đúng cách.
Quá trình sản xuất surfactant nội sinh sẽ bắt đầu vào khoảng 36 – 72 giờ bất kể tuổi thai của bệnh nhân.
Do đó, chẩn đoán RDS chỉ giới hạn trong tuần đầu tiên của cuộc đời.
Imaging
- Giảm thể tích phổi trên phim X-quang ngực trừ khi bệnh nhân đang thở máy.
- Bilateral symmetric ground glass opacities.
- Air bronchograms can be visible into the periphery.
- Bờ tim và mạch máu phổi kém rõ nét, do nhu mô phổi kém thông khí.
- Thường không có tràn dịch màng phổi. Hình ảnh X-quang có thể không đối xứng ngay sau liệu pháp surfactant xâm lấn tối thiểu (MIST) và có thể giống với các bệnh lý khác như viêm phổi sơ sinh.
Các phát hiện trên hình ảnh thường nặng nề nhất khi mới sinh, nhưng có thể đạt đỉnh trong khoảng 12-24 giờ sau sinh.
Ở nhiều trẻ sinh non, những cải tiến trong điều trị, bao gồm việc sử dụng glucocorticoid trước sinh, liệu pháp thay thế surfactant và các chiến lược thông khí tốt hơn đã làm giảm tỷ lệ mắc RDS.
Khi cần thông khí cơ học kéo dài, điều này làm tăng nguy cơ tổn thương phổi và rò khí, đồng thời có thể tiến triển thành bệnh phổi mạn tính.
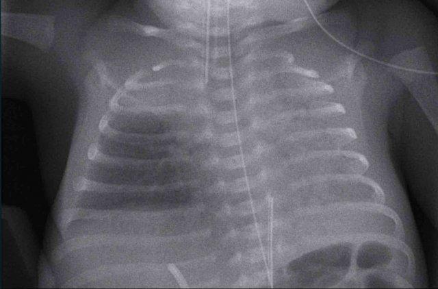
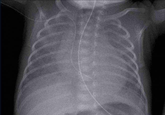
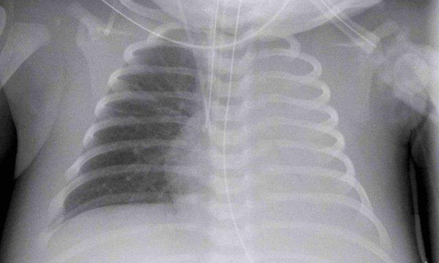
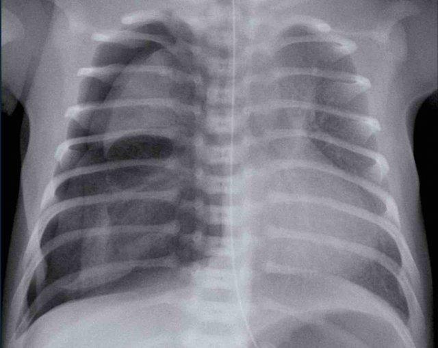
33 tuần + 5 tuần tuổi thai, ngày đầu tiên.
Nhìn vào hình ảnh trước.
Những phát hiện là gì?
Findings:
- Intubated
patient. - Good position of endotracheal tube (ETT). Hyperinflation.
- Symmetric
granular opacifications with air bronchograms. - Definition of heart and vessels
is diminished.
This is a typical case of RDS.
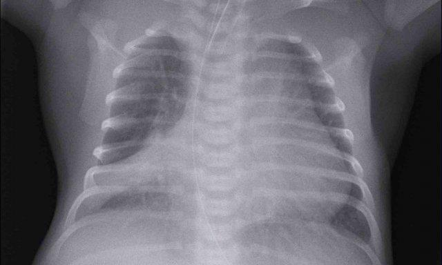
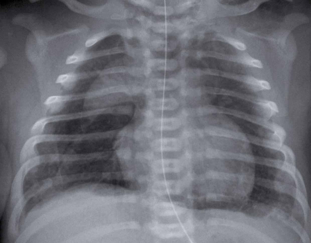
29 tuần + 1, ngày đầu tiên. CPAP.
Nhìn vào hình ảnh lần đầu.
Những phát hiện là gì?
Findings:
- Reticulogranular opacification
of lungs - Air bronchogram
- Consolidation in the right lower lobe
- Heart, vessels and
diaphragm are poorly defined. - Đặt sai vị trí catheter tĩnh mạch rốn (mũi tên), có thể nằm trong tĩnh mạch phổi.
- Nasogastric tube (NG tube) in good position.
Đây là trường hợp nặng của hội chứng suy hô hấp (RDS).
Chẩn đoán phân biệt bao gồm nhiễm trùng phổi do tình trạng đông đặc không đối xứng.
Grading
Có thể phân độ RDS nhưng không được sử dụng khi bệnh nhân đang được hỗ trợ thở máy xâm lấn.
There are 4 grades of staging RDS.
- Chỉ có mờ dạng kính mờ nhẹ hoặc mờ dạng hạt nhẹ của phổi.
- Granular opacification with air bronchograms.
- Tình trạng đông đặc nhu mô phổi ngày càng tăng dẫn đến bờ tim và cơ hoành bị che khuất.
- Complete pulmonary white-out.
Vì phổi không thể nở ra đúng mức trong RDS, tình trạng căng phồng quá mức ở trẻ sinh non không thở máy khiến chẩn đoán RDS rất khó xảy ra.
Hình ảnh
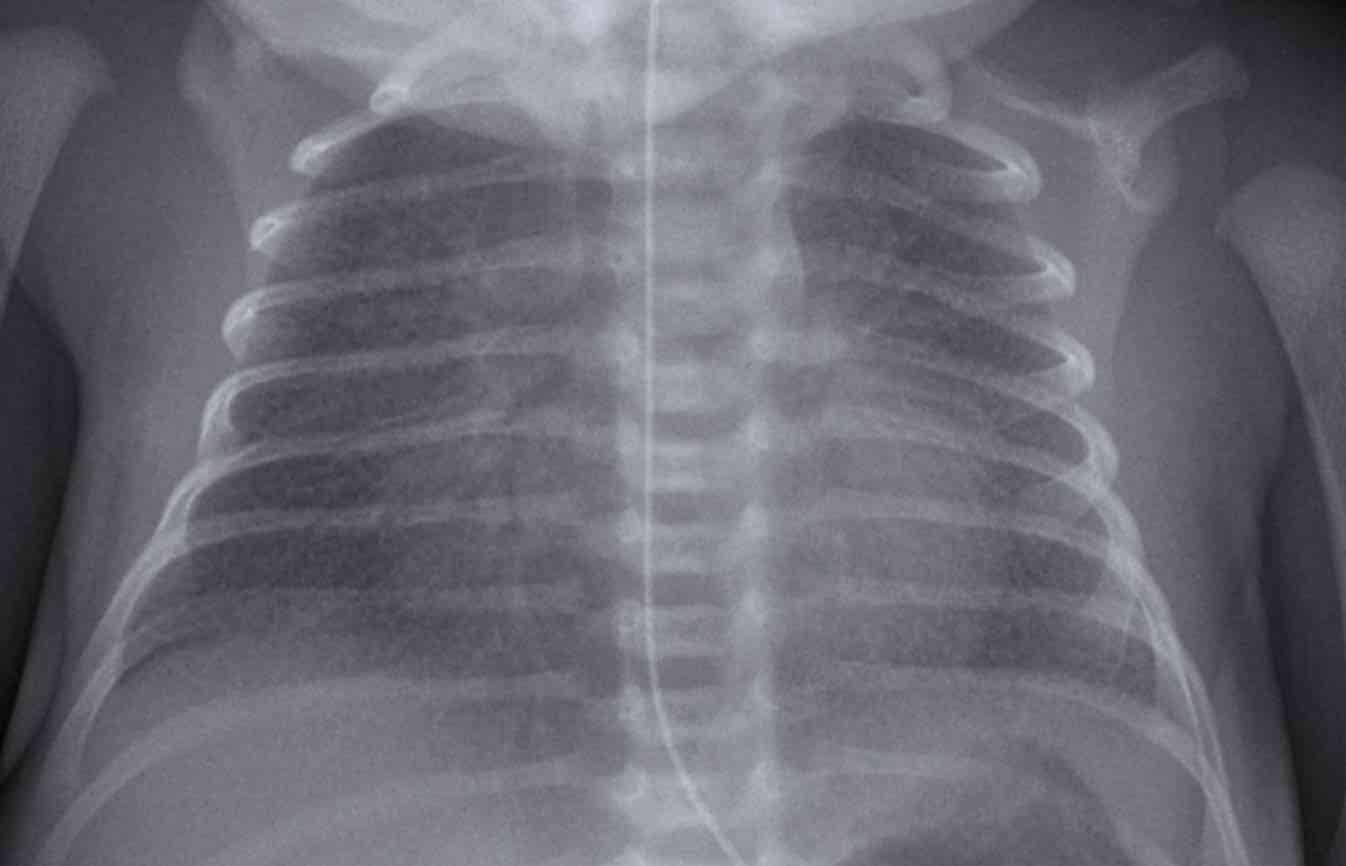
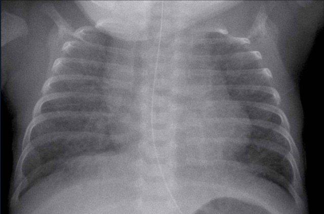
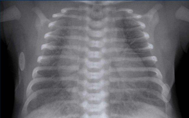
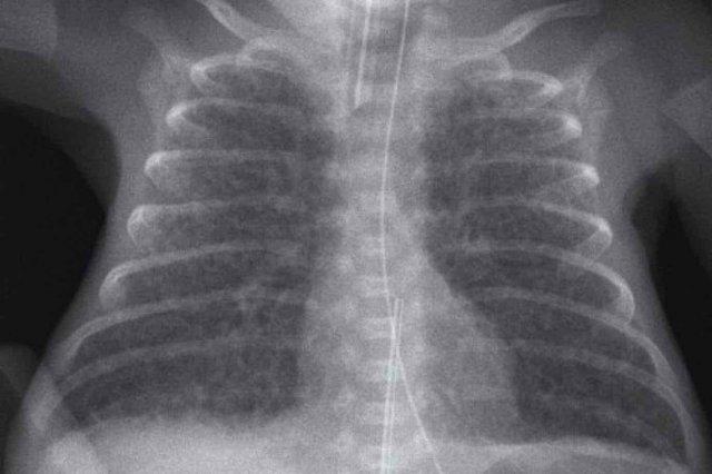
Trẻ sơ sinh một ngày tuổi, tuổi thai 27 tuần.
Mờ dạng hạt cả hai phổi.
Mạch máu và bóng tim được hiển thị rõ ràng.
Conclusion: RDS grade 1.
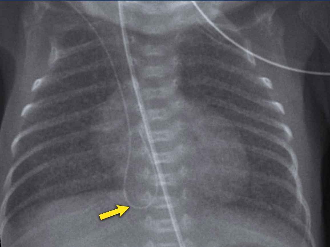
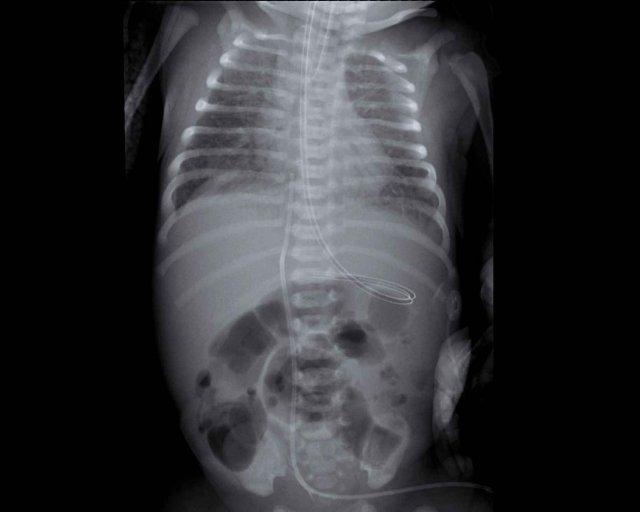
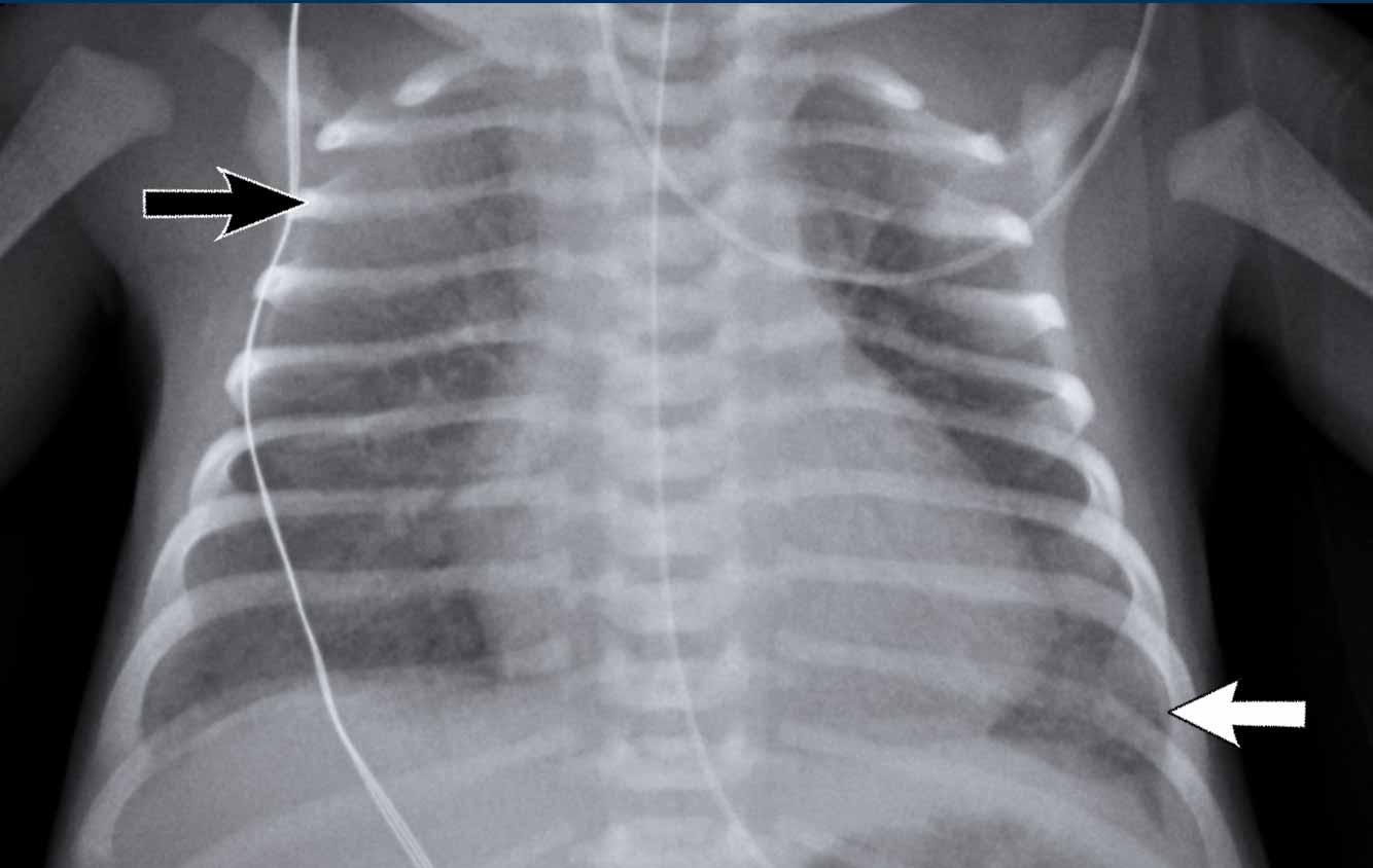
Đường truyền catheter trung tâm qua đường ngoại vi (PICC) bị cuộn trong tâm nhĩ phải. Đường PICC cần được rút lui đến mức tĩnh mạch chủ trên và tâm nhĩ phải.
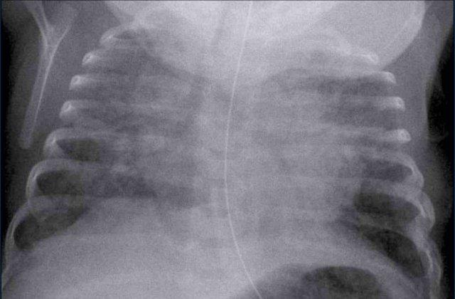
One day old neonate, 29
weeks of gestational age.
Image
- Hyperinflation due to CPAP.
- Granular opacification of
both lungs with air bronchograms. - NG tube in good position.
- Vessels and cardiac
silhouette are harder to distinguish.
Conclusion: RDS grade 2.
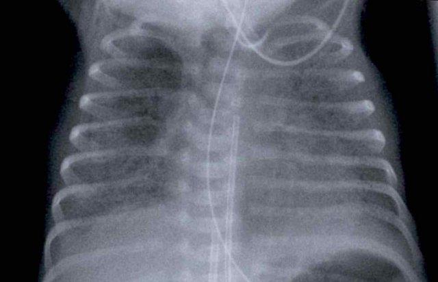
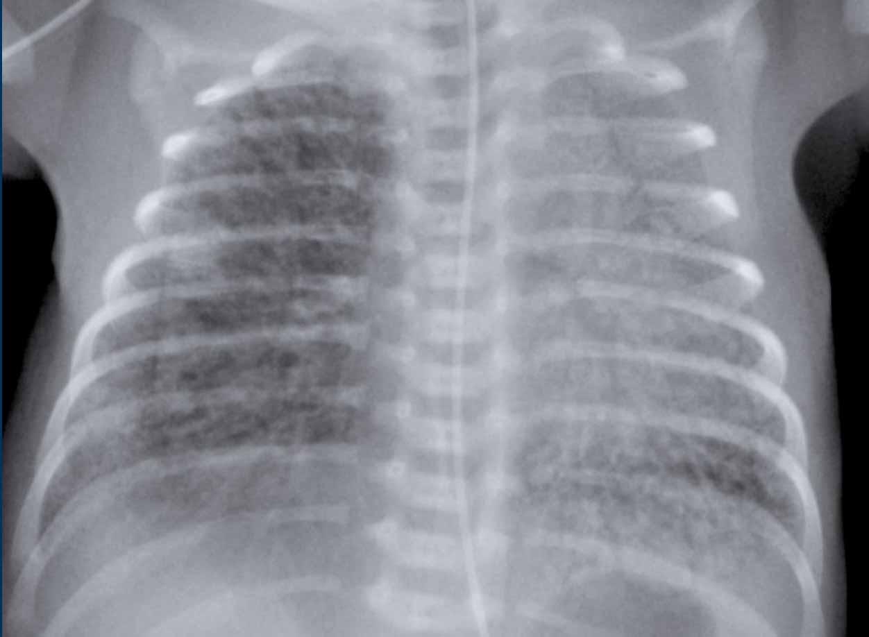
One day old neonate, 26 weeks of gestational age.
Image
- Granular opacification of both lungs.
- Vessels and cardiac silhouette are hard to distinguish.
- Umbilical venous line properly positioned.
- Vị trí đặt catheter động mạch rốn quá sâu, cần rút lại đến mức T6.
- NG tube in situ.
Conclusion: RDS grade 3.
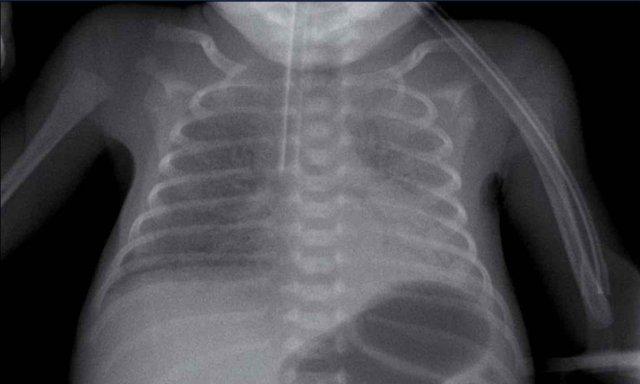
One week old neonate, born at 27 weeks of gestational age.
Image
- Vị trí ống nội khí quản quá sâu, cần được điều chỉnh lại về giữa khí quản.
- Diffuse granular opacification of both lungs.
- Air bronchograms.
- Các mạch máu phổi không còn nhận ra được nữa, nhưng bóng tim vẫn còn có thể nhận ra được.
- Opacification of the left lower lobe caused by atelectasis.
Không phân loại vì trẻ sơ sinh này đang được thở máy.
Treatment
Điều trị dự phòng RDS bao gồm việc sử dụng corticosteroid trước sinh cho phụ nữ có nguy cơ sinh non.
Sau khi sinh, RDS có thể cần điều trị bằng surfactant ngoại sinh.
Nếu trẻ được hỗ trợ thở máy, surfactant được đưa vào khí quản dưới dạng bơm bolus dịch lỏng.
Kết quả lâm sàng và X-quang của phương pháp điều trị này thường có thể được nhận thấy ngay sau khi sử dụng surfactant.
Surfactant thường không được phân bố đều, có thể dẫn đến tình trạng thông khí không đồng đều hơn của nhu mô phổi.
Việc phân biệt với các bệnh lý khác như viêm phổi sơ sinh có thể gặp nhiều khó khăn.
Image
One day old boy, gestational age 25 weeks and 5 days.
- RDS độ 4 với mờ đục hoàn toàn thùy phổi trái và thùy trên phổi phải.
- Sau một liều bolus surfactant, thùy dưới phải và thùy giữa đã được thông khí.
- Good position of ETT and umbilical
artery line. - Đặt sai vị trí đường truyền tĩnh mạch rốn trong tĩnh mạch cửa. Cần phải rút bỏ đường truyền này.
Transient Tachypnea of the Newborn (TTN)
Thở nhanh thoáng qua ở trẻ sơ sinh (TTN) còn được gọi là phổi ướt hoặc ứ dịch phổi thai nhi.
TTN là một rối loạn phổi lan tỏa xảy ra do chậm thanh thải dịch phổi thai nhi sau sinh, dẫn đến giảm hiệu quả tương đối của surfactant.
Bệnh gặp thường xuyên hơn – nhưng không phải độc quyền – ở trẻ sơ sinh đủ tháng sau sinh mổ.
Chậm thanh thải dịch phổi thai nhi gây ra suy hô hấp thoáng qua, cải thiện trong vòng 48–72 giờ sau sinh.
Imaging
- Mild increased lung volume.
- Interstitial edema resulting in perihilar linear densities.
- Subtle enlargement of the cardiac silhouette.
- Pleural effusions and fluid in the fissures.
- The radiological findings may be asymmetrical.
Trong nhiều trường hợp, biểu hiện lâm sàng nhẹ và không cần chụp X-quang ngực.
Chỉ trong một số trường hợp, chụp X-quang ngực được thực hiện để loại trừ các biến chứng.
Các hình ảnh chẩn đoán có thể tương tự như trong hội chứng suy hô hấp (RDS), cho thấy các đám mờ dạng hạt lan tỏa, hoặc tương tự như viêm phổi với các đám mờ thô hơn.
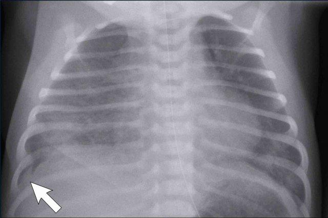
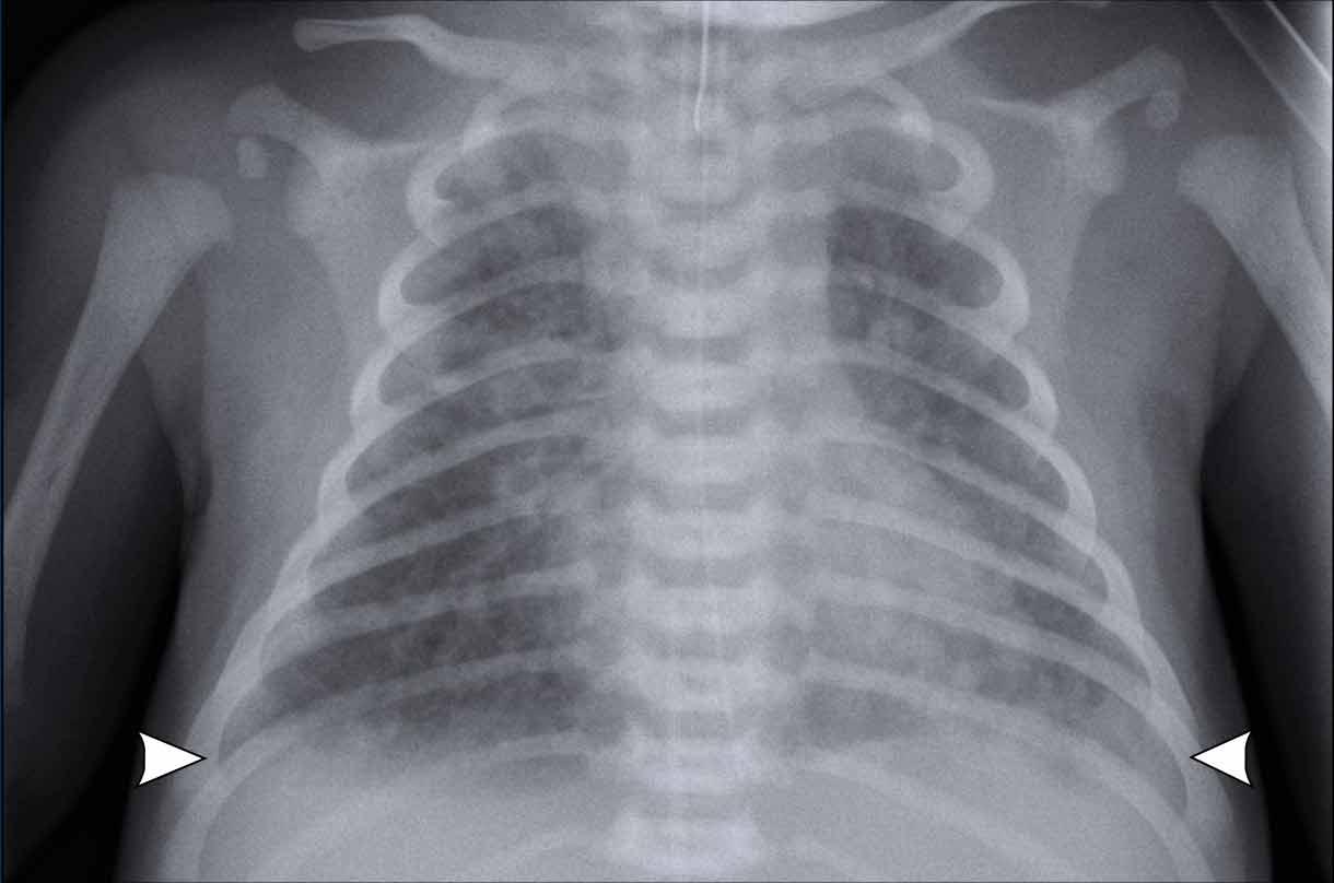
Trẻ sơ sinh đủ tháng, 2 giờ sau sinh mổ chủ động với một số dấu hiệu suy hô hấp.
Image
- Mild
hyperinflation - Subtle
interstitial linings on both sides - Some pleural
fluid on the right side (arrow). - Skin fold on the right
side
Sau
liệu pháp hỗ trợ, tình trạng suy hô hấp đã biến mất vào ngày hôm sau.
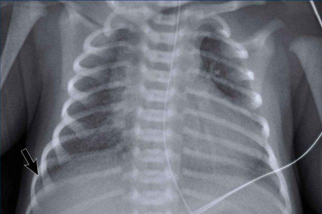
Hình ảnh của một trẻ sơ sinh có tuổi thai 41 tuần với tình trạng suy hô hấp nhẹ sau sinh.
Không cần hỗ trợ thông khí.
Image
- Hyperinflation of both lungs
- Subtle interstitial markings
- Dịch màng phổi bên phải (mũi tên). Đây là dấu hiệu rất tinh tế.
- NG tube in situ
Clinical follow up was uneventful
Trẻ sơ sinh 41 tuần tuổi thai. 24 giờ tuổi.
Suy hô hấp, không hỗ trợ thở máy
Image
- Marked
hyperinflation of both lungs - Increased
vascular markings and interstitial markings - Some interfissural fluid (arrow).
Spontaneous improvement within 48 hours.
Meconium Aspiration
Hít phân su gây ra bệnh lý phổi lan tỏa và là nguyên nhân phổ biến nhất gây ra tỷ lệ bệnh tật và tử vong đáng kể ở trẻ sơ sinh đủ tháng và quá tháng.
Khi tình trạng thiếu oxy trong tử cung xảy ra, thường là trong quá trình chuyển dạ, điều này có thể khiến thai nhi bài tiết phân su trước khi sinh.
Hít phải dịch ối có chứa phân su dẫn đến viêm tiểu phế quản hóa học với tắc nghẽn các đường thở nhỏ và rối loạn chức năng surfactant, gây ra ứ khí và xẹp phổi.
Hội chứng hít phân su có thể cản trở quá trình chuyển tiếp từ tuần hoàn thai nhi trước sinh sang tuần hoàn sơ sinh sau sinh.
Trong 10–15% các ca sinh, dịch ối có nhuộm màu phân su, nhưng chỉ trong 5% trong số các trường hợp này sẽ dẫn đến hội chứng hít phân su.
Thuật ngữ Hội chứng Hít phải Phân su được dùng để mô tả
sự kết hợp giữa viêm phổi hóa học vô khuẩn và tuần hoàn thai nhi tồn tại hoặc
tăng áp động mạch phổi tồn tại ở trẻ sơ sinh (PPHN).
Thông thường, tình trạng này
biểu hiện trong vài giờ đầu sau khi sinh.
Imaging
- Increased lung
volume due to air trapping. - Bronchiolitis
can lead to atelectasis and air trapping. - Tắc nghẽn hoàn toàn phế quản có thể dẫn đến xẹp phổi.
- Đục mờ thô, lan tỏa hai bên dạng đốm hoặc dạng tuyến tính hơn.
- Can present
asymmetrical. - Pleural
effusions can be seen. - Ở giai đoạn muộn hơn, tăng áp phổi dai dẳng biểu hiện là tim to trên phim X-quang.
Phim X-quang ngực của trẻ sơ sinh đủ tháng với nước ối nhuộm phân su.
Image
- Hyperinflation
- Course diffuse
patchy consolidations on both sides. - Some subtle
pleural fluid on both sides (arrowheads). - Vị trí tốt
ống NKQ. Ống thông dạ dày vị trí nông, vẫn còn trong thực quản. - Đường tĩnh mạch rốn đặt sâu với đầu catheter nằm trong tâm nhĩ phải.
Phim X-quang ngực của trẻ sơ sinh đủ tháng với nước ối nhuộm phân su.
Image
- Good position
of ETT, NG tube and umbilical vein line. - Các vùng đông đặc không đều, tương đối không ảnh hưởng đến thùy đỉnh trái và thùy giữa phải.
- Mild
hyperinflation.
Kết luận: hình ảnh X-quang ngực phù hợp với hội chứng hít phân su. Nếu không có nhuộm màu của dịch ối thì chẩn đoán phân biệt sẽ bao gồm viêm phổi sơ sinh hoặc thở nhanh thoáng qua ở trẻ sơ sinh (TTN).
X-quang của trẻ sơ sinh đủ tháng với nước ối nhuộm phân su.
Image
- Hyperinflation.
- Asymmetrical
patchy consolidation. - Pleural fluid
in the fissure on the right (arrow). - Deep position
of the tracheal tube. - Đặt sai vị trí tĩnh mạch rốn trong tâm nhĩ phải và đường động mạch trong động mạch chậu đoạn xa.
Pulmonary hemorrhage
Xuất huyết phổi không phổ biến ở trẻ sơ sinh.
Trẻ sơ sinh non tháng có nguy cơ cao nhất.
Các yếu tố liên quan khác bao gồm còn ống động mạch, điều trị surfactant và thở máy.
Nguyên nhân chính xác vẫn chưa rõ ràng.
Các dấu hiệu X-quang không đặc hiệu và khó phân biệt với các rối loạn khác như hội chứng suy hô hấp (RDS).
Điều này có nghĩa là chẩn đoán chỉ có thể được xác lập khi có sự rò rỉ máu đỏ hoặc dịch tiết màu hồng từ ống nội khí quản.
Các biện pháp hỗ trợ bao gồm hỗ trợ máy thở và đôi khi dùng xylometazoline hoặc adrenalin, được đưa vào qua ống nội khí quản.
Xuất huyết nhẹ có thể khó phân biệt với hội chứng suy hô hấp (RDS).
Xuất huyết ồ ạt biểu hiện bằng hình ảnh mờ đục hoàn toàn một hoặc cả hai phổi.
Image
- Trẻ sinh non, tuổi thai 33 tuần, có tiền sử mắc hội chứng suy hô hấp (RDS) và chảy máu qua ống nội khí quản.
- Extensive
consolidation of both lungs. - Đặt sai vị trí đường truyền tĩnh mạch rốn. Đường truyền đang nằm trong tâm nhĩ phải.
- Good position
of ETT, and NG tube
Chẩn đoán có khả năng nhất của phim X-quang ngực này là Hội chứng suy hô hấp (RDS), nhưng dựa trên thông tin lâm sàng có máu qua ống nội khí quản, chẩn đoán là xuất huyết phổi, có thể kết hợp với RDS.
Hình ảnh của một trẻ sơ sinh với tuổi thai 41 tuần.
Sau 24 giờ đặt nội khí quản vì suy hô hấp.
Máu qua ống nội khí quản.
Image
- Good
position of ETT, umbilical vein line, and NG tube - Thông khí không đồng đều của phổi với ứ khí quá mức ở các thùy dưới.
- Các nét mô kẽ lan tỏa, rõ hơn ở thùy trên và thùy dưới phổi phải.
Chẩn đoán phân biệt bao gồm viêm phổi và hội chứng suy hô hấp trong bệnh đái tháo đường của mẹ.
Trong trường hợp nước ối nhuộm phân su, cũng cần xem xét đến hội chứng hít phân su, tuy nhiên tình trạng này thường có biểu hiện thô hơn.
Trẻ sinh non, 28 tuần tuổi thai được điều trị vì hội chứng suy hô hấp (RDS).
Máu qua ống nội khí quản.
Image
- Patchy
opacifications in the right lung, due to hemorrhage. - Xẹp phổi
thùy dưới phổi trái (mũi tên) với tình trạng căng phồng nhẹ thùy trên phổi trái. - Good position
of ETT. - Low position of umbilical vein line, NG tube in situ.
Persistent ductus arteriosus
Ống động mạch là
đường nối giữa động mạch phổi và động mạch chủ.
Thông thường ống động mạch mở trước khi sinh và đóng lại ở trẻ đủ tháng trong
ngày đầu tiên sau sinh khi các tiểu động mạch nuôi thành ống động mạch co lại
để phản ứng với oxy.
Trẻ sinh non có ít tiểu động mạch hơn và đôi khi việc tăng oxy không dẫn đến đóng ống động mạch, điều này có thể dẫn đến lưu lượng máu phổi cao.
Chẩn đoán thường được nghi ngờ từ 5 – 7 ngày sau sinh, khi có tình trạng tràn ngập tuần hoàn phổi hoặc hiện tượng “đánh cắp” tuần hoàn hệ thống.
Thuốc ức chế Prostaglandin
Thuốc ức chế Prostaglandin có thể được sử dụng để đóng ống động mạch còn thông.
Trong một số trường hợp, có thể đóng ống bằng phẫu thuật thông qua mở ngực bên với kẹp clip, hoặc về sau bằng phương pháp nội động mạch sử dụng cuộn dây.
Prostaglandin
Ở trẻ sơ sinh mắc bệnh tim phụ thuộc ống động mạch, Prostaglandin có thể được sử dụng để duy trì sự thông thoáng của ống động mạch, điều này có thể cứu sống bệnh nhân.
Premature with previously normal chest radiographs.
Image
- Tim to vừa phải kết hợp với những thay đổi kính mờ của phổi, phù hợp với phù phổi.
- Vị trí sâu của catheter tĩnh mạch trung tâm trong tâm nhĩ phải, vị trí bình thường của ống thông dạ dày.
Ultrasound confirmed a persistent ductus arteriosus.
Sinh non ở tuần 25 ngày 5, hiện 2 tháng tuổi. Điều trị hội chứng suy hô hấp (RDS)
- Phim X-quang ngực đầu tiên cho thấy tình trạng ứ khí phổi, tim to rõ rệt với tăng đậm các nét mạch máu và các nét mô kẽ.
Ống thông dạ dày và ống thông tá tràng đang được đặt tại chỗ. - Sau 5 ngày điều trị, tình trạng ứ khí phổi giảm và kích thước tim cũng như các dấu hiệu mạch máu trở về bình thường.
Vẫn còn một số dấu hiệu mô kẽ, phù hợp với bệnh loạn sản phế quản phổi (BPD).
Bronchopulmonary Dysplasia
Loạn sản phế quản phổi (BPD) còn được gọi là bệnh phổi mạn tính của trẻ sinh non, là một rối loạn tổn thương và phục hồi phổi, ban đầu được cho là do thông khí cơ học áp lực dương và độc tính oxy.
BPD ngày nay là một chẩn đoán thuần túy trên lâm sàng, được đặc trưng bởi nhu cầu thở oxy ít nhất 28 ngày ở trẻ sinh ra trước 30 tuần tuổi thai.
Trước khi liệu pháp thay thế surfactant ra đời, hình ảnh X-quang ngực của trẻ sơ sinh mắc BPD thể điển hình cho thấy các đám mờ dạng lưới thô ở phổi, các vùng sáng dạng nang và tình trạng thông khí phổi rối loạn nặng nề, phản ánh sự xen kẽ giữa các vùng xơ hóa vách phế nang và vùng phổi bình thường bị căng phồng quá mức.
Ngày nay, sau khi áp dụng corticosteroid trước sinh, surfactant sau sinh và các phương pháp hỗ trợ thông khí tiên tiến hơn, BPD ít khi được ghi nhận ở trẻ sơ sinh có cân nặng lúc sinh trên 1200 gam và tuổi thai trên 32 tuần.
Tuy nhiên, mặc dù đã có những tiến bộ này trong chăm sóc sơ sinh, tỷ lệ lưu hành của BPD hầu như không thay đổi trong vài thập kỷ qua do việc điều trị và tỷ lệ sống sót được cải thiện của ngày càng nhiều trẻ sinh non tháng.
Do kết quả của những thay đổi này, các tiêu chí quốc tế để
chẩn đoán BPD đã được thay đổi từ 28 ngày tuổi sau sinh sang 36 tuần tuổi sau kinh nguyệt.
Do đó, thuật ngữ BPD nên tránh sử dụng trước
tuổi thai sau kinh nguyệt này.
Sinh non, sinh ở tuần thai thứ 27. Hiện 6 tuần tuổi.
Tiền sử đặt nội khí quản và hỗ trợ hô hấp cơ học.
Hình ảnh
Mờ quanh rốn phổi hai bên và tăng các dấu hiệu mô kẽ.
Given
the history, BPD is the most likely diagnosis.
Sinh non, sinh ở tuần thai thứ 27. Hiện 8 tuần tuổi.
Tiền sử thở máy kéo dài với nhu cầu hỗ trợ oxy lâu dài.
Hình ảnh
Đục mờ quanh rốn phổi hai bên với hình ảnh mô kẽ thô, là dấu hiệu của bệnh đường thở nhỏ mạn tính. Ống thông dạ dày qua mũi đang được đặt tại chỗ.
Dựa vào tiền sử bệnh kết hợp với các kết quả chẩn đoán hình ảnh, BPD là chẩn đoán có khả năng nhất.
Sinh non ở tuần thứ 28, hiện 7 tuần tuổi, cần hỗ trợ thở máy.
Hình ảnh
Hình mờ mô kẽ lan tỏa hai bên, kèm theo một số vùng xẹp phổi ở bên trái.
Dựa vào tiền sử bệnh kết hợp với các phát hiện trên hình ảnh học, BPD là chẩn đoán có khả năng nhất.
Atelectasis
Xẹp phổi thường xảy ra do đặt ống nội khí quản sai vị trí, hoặc do áp lực dương thấp khi sử dụng thở máy xâm lấn.
Không làm sạch được chất nhầy hoặc dịch tiết có thể gây xẹp phổi do nút nhầy.
Thiếu hụt chất hoạt diện có thể gây xẹp phổi vi thể, dẫn đến xẹp phổi lan tỏa.
Điều trị phụ thuộc vào nguyên nhân gây xẹp phổi, chẳng hạn như thay đổi vị trí ống nội khí quản, thay đổi hỗ trợ thông khí (áp lực), thay đổi tư thế nằm nghiêng luân phiên hai bên, hoặc trong trường hợp thiếu hụt surfactant, bổ sung surfactant qua đường nội khí quản.
Hình ảnh
Xẹp phổi hoàn toàn phổi trái do đặt nội khí quản chọn lọc bên phải. Đường truyền PICC tại chỗ với đầu catheter trong tĩnh mạch chủ trên. Ống thông mũi dạ dày tại chỗ.
Trẻ sơ sinh non tháng này được điều trị vì suy hô hấp, có thể do viêm phổi.
Hình ảnh
Có thể thấy hình ảnh vệt mờ quanh rốn phổi hai bên, gợi ý chẩn đoán viêm phổi là khả năng nhất.
Có xẹp phổi
thùy giữa phổi phải, có thể do nút nhầy tắc nghẽn phế quản.
Lưu ý vị trí của ống thông mũi-dạ dày cho thấy trung thất bị lệch sang phải.
Đây là trẻ sơ sinh 41 tuần tuổi thai, được điều trị ngạt, bao gồm liệu pháp hạ thân nhiệt. Suy hô hấp đột ngột.
Hình ảnh
Mờ đục hai bên thùy trên nhiều khả năng do xẹp phổi.
Có một số hình ảnh mờ dạng dải mờ nhạt rõ nhất ở vùng sau tim trong thùy dưới trái. Đây cũng có thể là xẹp phổi.
Neonatal Pneumonia
Viêm phổi có thể khó
phân biệt với các bệnh lý khác như hội chứng suy hô hấp (RDS) hoặc loạn sản phế quản phổi.
Trong hầu hết các trường hợp, diễn biến lâm sàng, cùng với cấy đờm nội khí quản và các thông số sinh hóa là yếu tố chủ đạo trong chẩn đoán viêm phổi.
Khi không có dấu hiệu nhiễm trùng, hình ảnh đông đặc trên phim X-quang ngực khó có khả năng do viêm phổi gây ra.
Risk factors for neonatal pneumonia are:
- Preterm infants
with ventilatory support and intubation. - Trẻ sơ sinh đủ tháng sau vỡ ối kéo dài hoặc sau khi mẹ bị nhiễm trùng.
- Secondary after
meconium aspiration. - Transplacental
(TORCH) infections - Nhiễm trùng chu sinh, chẳng hạn như E. coli hoặc liên cầu khuẩn nhóm B, virus. Các tác nhân khác như Chlamydia trachomatis cũng có thể được tìm thấy.
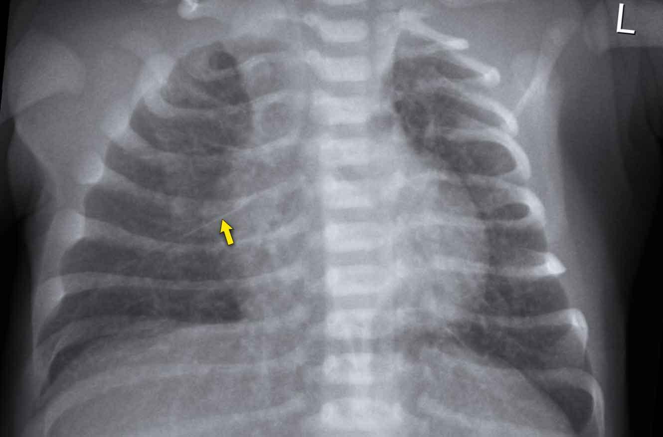
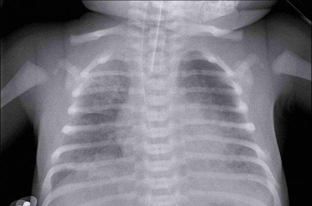
Trẻ sơ sinh, tuổi thai 37+6 tuần, suy hô hấp, được điều trị bằng CPAP sau sinh. Tiền sử mẹ có nhiễm trùng.
First study the image.
What are the findings.
Hình ảnh
Tăng thể tích phổi hai bên với tăng độ mờ không đối xứng của phổi kèm theo đông đặc nhẹ thùy trên phổi phải (mũi tên đen) và thùy dưới phổi trái (mũi tên trắng).
Ứ khí thùy trên phổi trái.
Trẻ này xuất hiện các dấu hiệu nhiễm trùng, cả về lâm sàng lẫn kết quả xét nghiệm.
Các hình ảnh X-quang được quy cho viêm phổi sơ sinh.
Trẻ sơ sinh đủ tháng, có suy hô hấp sau 24 giờ.
Hình ảnh
Ứ khí quá mức cả hai phổi và tim to với tăng đậm các nét kẽ và các nét mạch máu. Không có tràn dịch màng phổi.
Chẩn đoán phân biệt bao gồm thở nhanh thoáng qua ở trẻ sơ sinh và viêm phổi sơ sinh. Sau 48 giờ, tình trạng suy hô hấp không cải thiện, và trẻ sơ sinh xuất hiện các dấu hiệu nhiễm trùng.
Người ta
có thể lập luận rằng có thể có sự kết hợp giữa TTN và viêm phổi.
Ventilation associated complications
Rò khí do chấn thương áp lực ở trẻ sơ sinh biểu hiện như:
- Pneumothorax
- Pneumomediastinum and pericardium
- Pulmonary Interstitial Emphysema (PIE)
- Tracheal rupture
- Pneumatocele
Tràn khí màng phổi có thể xảy ra tự phát hoặc như một biến chứng của
hỗ trợ thông khí áp lực dương.
Việc đưa vào sử dụng liệu pháp surfactant và cải thiện
hỗ trợ thông khí đã làm giảm đáng kể tỷ lệ mắc.
Vỡ các đường dẫn khí tận cùng xảy ra do bơm áp lực cao vào mô phổi xẹp. Điều này gây ra rò rỉ khí vào mô kẽ phổi, hệ thống bạch huyết hoặc khoang màng phổi.
Một dấu hiệu đặc trưng trên phim ngực sơ sinh là rò rỉ khí lan dọc theo các phế quản được gọi là khí thũng mô kẽ phổi (PIE).
Khí trong mô kẽ có thể gây ra phổi cứng và kém đàn hồi, đồng thời làm giảm lưu lượng máu, dẫn đến giảm oxy hóa máu.
Tràn khí màng phổi có thể gây xẹp phổi, nhưng ở trẻ sơ sinh, phổi tương đối kém đàn hồi và mất thể tích thường bị hạn chế.
Khi có thêm tràn khí trung thất, có thể thấy hình ảnh ‘tuyến ức bị nâng lên’, còn được gọi là ‘Dấu hiệu Spinnaker’.
Pneumothorax
Trẻ sơ sinh 3 ngày tuổi mắc hội chứng suy hô hấp (RDS). Tuổi thai: 34 tuần.
Trước tiên hãy quan sát hình ảnh.
Những dấu hiệu là gì?
Image
- Increased
lucency of the right pleural space. - Increased
density of the partially collapsed right lung. - Trung thất
dịch chuyển sang trái do tràn khí màng phổi có áp lực. - Pneumomediastinum
causing ‘lifting’ of the thymus.
Bẫy chẩn đoán
Ở trẻ sơ sinh, một bẫy chẩn đoán quan trọng là sự hiện diện của nếp gấp da, có thể bị nhầm lẫn với tràn khí màng phổi.
Nếp gấp da không tuân theo ranh giới giải phẫu và có thể kéo dài ra ngoài khoang ngực hoặc bắt chéo qua các mạch máu phổi.
Hình ảnh
Trẻ sơ sinh đủ tháng bị nhiễm trùng huyết ổ bụng.
Có các dấu hiệu quá tải dịch với hình ảnh mạch máu mờ đậm. Các nếp gấp da chiếu lên phổi phải phía dưới (mũi tên).
Các đường kẻ vượt qua các ranh giới giải phẫu, ví dụ như cơ hoành và không đi theo màng phổi hoặc phổi.
Cánh tay trái chiếu lên nửa lồng ngực, tạo ra đường cản quang sắc nét (đầu mũi tên).
Hình ảnh của một trẻ sơ sinh có suy hô hấp.
Tuổi thai 37 tuần
Sau mổ lấy thai lần đầu.
Hình bên trái
Ứ khí quá mức ở bên trái.
Di lệch nhẹ các cấu trúc đường giữa sang phải.
Có thể thấy tràn khí màng phổi ở bên trái (mũi tên)
Hình ảnh bên phải
Trên phim X-quang ngực chụp theo dõi, tràn khí màng phổi đã tự khỏi.
Tràn khí màng phổi có thể rất khó nhận biết, vì trong nhiều rối loạn phổi ở trẻ sơ sinh, phổi không đàn hồi và sẽ không xẹp lại.
Thường ở trẻ sơ sinh nằm ngửa, tràn khí màng phổi chỉ biểu hiện ở phía trước.
Đôi khi chỉ ghi nhận sự rõ nét hơn của các cấu trúc trung thất kèm theo vùng thấu quang một bên.
Hình ảnh
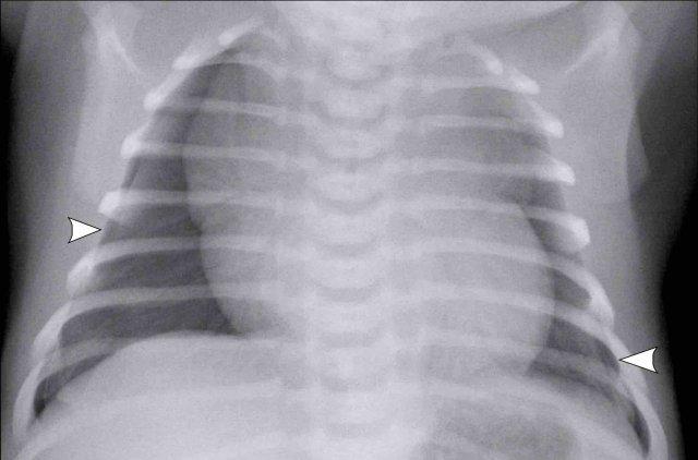
Trẻ đủ tháng ngay sau sinh với suy hô hấp nhẹ.
- Mờ tuyến tính lan tỏa nhẹ ở cả hai phổi, phù hợp với thở nhanh thoáng qua ở trẻ sơ sinh (TTN).
- Bilateral pneumothorax
(arrowheads). - Sự rõ nét hơn của các cấu trúc trung thất ở cả hai bên do ranh giới giữa trung thất và tràn khí màng phổi.
Do có dịch trong nhu mô phổi, những lá phổi này bị cứng và không xẹp xuống được.
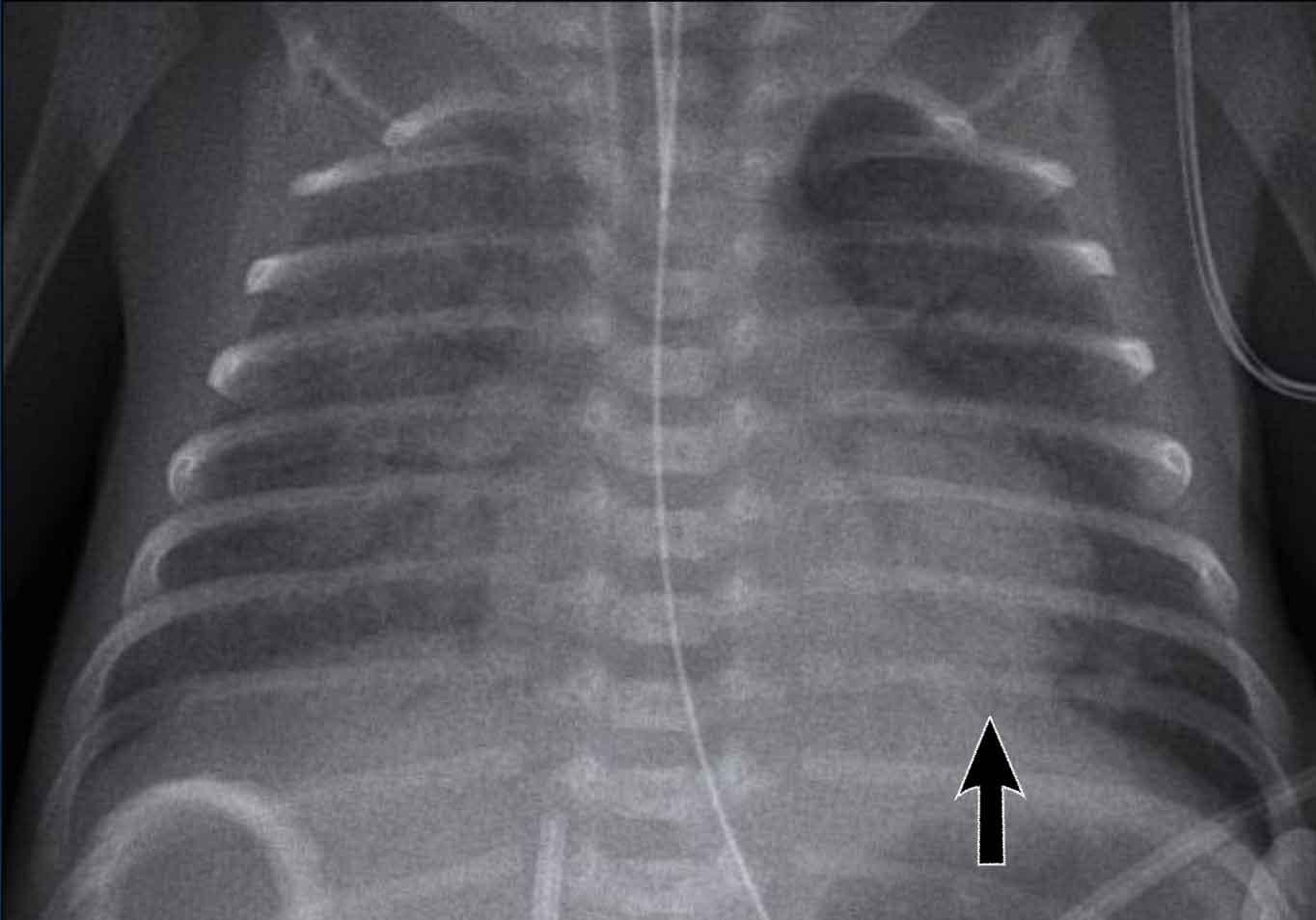
Trẻ sơ sinh 32 tuần tuổi thai. Đang được điều trị suy hô hấp cấp (RDS) bằng CPAP, xuất hiện suy hô hấp đột ngột.
First study the image.
What are the findings?
Hình ảnh
Có tràn khí màng phổi bên phải.
Các cấu trúc đường giữa bị đẩy lệch sang trái.
Phổi trái cho thấy hình ảnh lưới nốt phù hợp với hội chứng suy hô hấp (RDS).
Phổi phải không xẹp hoàn toàn do độ cứng của nhu mô trong hội chứng suy hô hấp (RDS) và dịch.
Pneumomediastinum
Tràn khí trung thất được xác định là có khí bên trong
trung thất.
Dấu hiệu cổ điển được gọi là dấu hiệu cánh buồm
(đầu mũi tên).
Điều này xảy ra do tuyến ức bị ‘đẩy lên’ khỏi trung thất dưới bởi khí trong trung thất.
First study the image.
What are the findings?
Image
- Có thể nhận biết tràn khí màng phổi bụng tồn lưu qua đường viền cạnh tim và trung thất sắc nét ở phía bên trái.
- Ở bên phải có một ống dẫn lưu tại chỗ, không có tràn khí màng phổi tồn dư rõ ràng, nhưng có tràn khí dưới da, do rò khí qua ống dẫn lưu.
- Tràn khí trung thất
được nhận biết là khí bên trong trung thất, nơi có khí giữa tuyến ức và tim (đầu mũi tên).
- Skinfold over
right hemi-thorax.
Hình ảnh
Có thể nhận thấy khí giữa tuyến ức và tim, cho thấy tràn khí trung thất.
Không ghi nhận tràn khí màng phổi rõ ràng.
Tuyến ức bị đẩy lên cao ở cả hai bên (các mũi tên).
Chụp X-quang tư thế nằm nghiêng có thể giúp
xác nhận sự hiện diện của tràn khí màng phổi hoặc tràn khí trung thất.
Hình ảnh
Có thể nhận thấy khí giữa tuyến ức và tim, cho thấy tràn khí trung thất.
Không nhận thấy tràn khí màng phổi rõ ràng.
A full term neonate after meconium aspiration.
Tràn khí trung thất, kết hợp với tràn khí dưới da.
Ống thông dạ dày qua mũi đang được đặt tại chỗ.
Pulmonary Interstitial Emphysema (PIE)
Khí thũng mô kẽ phổi (PIE) là tình trạng rò rỉ khí vào
các khoang quanh mạch máu và quanh phế quản do vỡ tại
các điểm nối phế quản-phế nang.
PIE được nhận biết dưới dạng các bóng khí nhỏ hoặc các tập hợp khí dạng tuyến tính
dọc theo bó mạch phế quản tỏa ra từ rốn phổi đến
ngoại vi.
PIE có thể xảy ra hai bên hoặc một bên.
Khi PIE đã hình thành, khí có thể lan theo hướng ly tâm dọc theo
các bao mạch phế quản hoặc các kênh bạch huyết để tạo thành các bóng khí dưới màng phổi, những bóng khí này
có thể vỡ vào khoang màng phổi và gây ra tràn khí màng phổi.
Hình ảnh
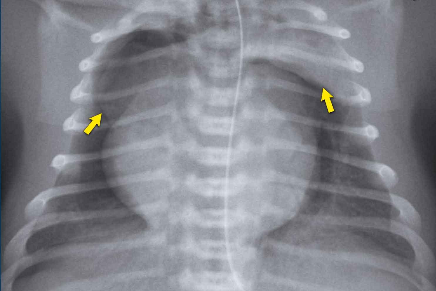
Trẻ sinh non ở tuần thai thứ 27.
Hiện được 6 tuần tuổi.
Thở máy do hội chứng suy hô hấp (RDS).
First study the image.
What are the findings?
Findings:
- Bubbly air configurations
bilateral indicating PIE. - Lưu ý bóng trung thất nhỏ, do tuyến ức bị teo lại vì stress.
- Đường truyền tĩnh mạch rốn ở vị trí sâu, đầu catheter có thể nằm trong nhĩ trái hoặc tĩnh mạch phổi.
- Good position ETT. NG tube in
situ.
Trẻ sơ sinh non tháng, tuổi thai 30 tuần, ngày 1, diễn tiến xấu đột ngột sau thủ thuật MIST.
First study the image.
What are the findings?
Hình ảnh
Các vùng sáng dạng bong bóng tỏa ra hai bên, kèm theo ứ khí quá mức ở cả hai phổi.
Đây là những hình ảnh điển hình của PIE (Khí thũng mô kẽ phổi).
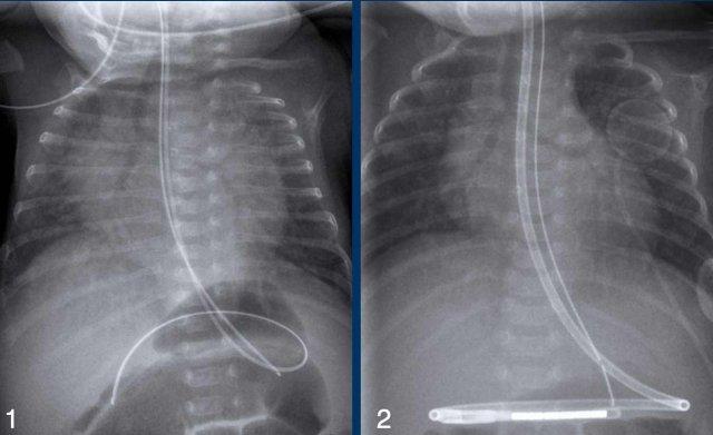
Trẻ sơ sinh, tuổi thai 27 tuần, được điều trị vì hội chứng suy hô hấp (RDS).
Lúc 2 ngày tuổi đột ngột có diễn biến xấu đi.
First study the images.
What are the findings?
Hình 1
Các đám mờ dạng lưới nốt hai bên phù hợp với hội chứng suy hô hấp cấp ở trẻ sơ sinh (IRDS), được điều trị bằng thở áp lực dương liên tục (CPAP).
Hình 2
Ở ngày tuổi thứ 2, phim X-quang cho thấy các vùng thấu quang tỏa ra ở phổi trái do khí thũng mô kẽ phổi (PIE).
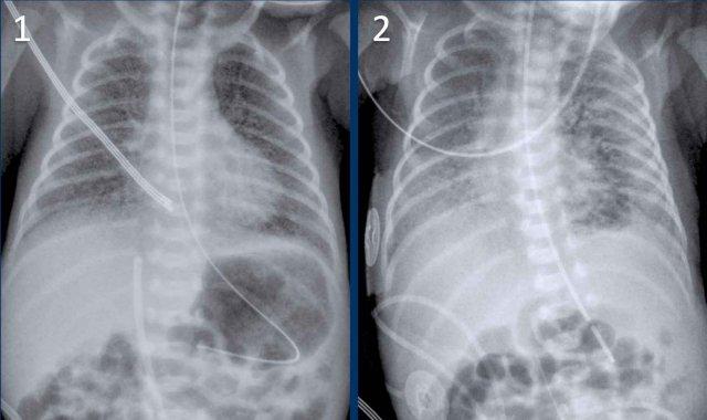
Những hình ảnh này là của một trẻ sơ sinh tuổi thai 32 tuần, được điều trị vì Hội chứng suy hô hấp (RDS).
Một số biến chứng đã phát triển, bao gồm tràn khí màng phổi bên trái, đã được dẫn lưu.
Sau
khi dẫn lưu, tình trạng bệnh nhân xấu đi.
Hình 1
Phim X-quang cho thấy hình ảnh thấu quang dạng bong bóng tỏa ra hai bên do khí thũng mô kẽ phổi (PIE) hai bên.
Biểu hiện này rõ hơn ở bên trái.
Hình 2
Trong quá trình theo dõi, trẻ cũng phát triển tràn khí màng phổi bên phải.
Congenital anomalies
The most common congenital anomalies in neonates are:
- Congenital pulmonary airway malformation (CPAM)
- Pulmonary sequester
- Congenital lobar emphysema
- Diafragmatic herniation
Congenital pulmonary airway malformation
Dị dạng đường thở phổi bẩm sinh (CPAM) cho đến gần đây vẫn được gọi là dị dạng tuyến nang bẩm sinh (CCAM).
Đây là một phổ các dị dạng phổi-phế quản từ ruột trước nguyên thủy.
There are three histological types:
- Loại I (75% các trường hợp) bao gồm các nang có kích thước khác nhau, với ít nhất một nang trội có đường kính lớn hơn 2 cm.
- Loại 2 (10-15% các trường hợp) bao gồm nhiều nang nhỏ có kích thước tương đương nhau, đường kính dưới 1 cm.
- Type 3 presents as a solid mass composed of micro cysts.
Hình ảnh
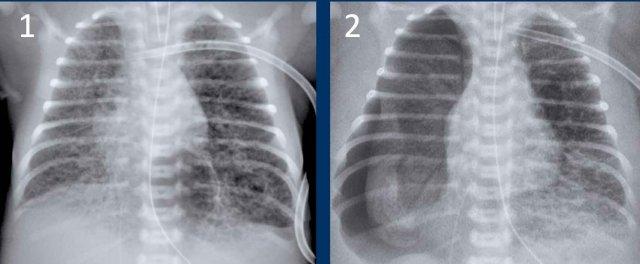
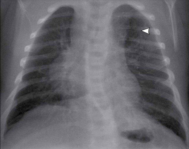
Trẻ 1 tuần tuổi, sinh ở tuần thai thứ 41.
Trên hình ảnh siêu âm tiền sản thường quy, phát hiện tổn thương dạng nang ở thùy trên bên trái.
Phim X-quang cho thấy vùng thấu quang được giới hạn rõ ở phần đỉnh của thùy trên phổi trái (mũi tên).
Có sự dịch chuyển trung thất nhẹ sang phải.
Radiographic findings in CPAM
- Trong type I và II, có thể thấy nhiều nang thành mỏng chứa khí với kích thước khác nhau.
- In type III a solid lesion is seen.
- Infection of the cysts can cause air fluid levels.
- Tổn thương lớn gây hiệu ứng khối với dịch chuyển trung thất và xẹp phổi của nhu mô phổi lân cận.
- CPAM usually involves one lobe.
Chụp CT có tiêm thuốc cản quang là cần thiết trong việc phân tích CPAM và phổi biệt lập.
Do CPAM và phổi biệt lập thường là các tổn thương lai, các mạch máu nuôi dưỡng cần được xác định hoặc loại trừ trước khi can thiệp phẫu thuật.
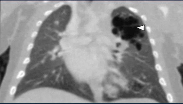
Hình ảnh
Chụp CT của bệnh nhân tương tự ở trên.
Tổn thương giảm tỷ trọng ở thùy trên phổi trái có dạng đa nang.
Do nang lớn nhất có đường kính hơn 2 cm, trường hợp này được phân loại là
CPAM type I.
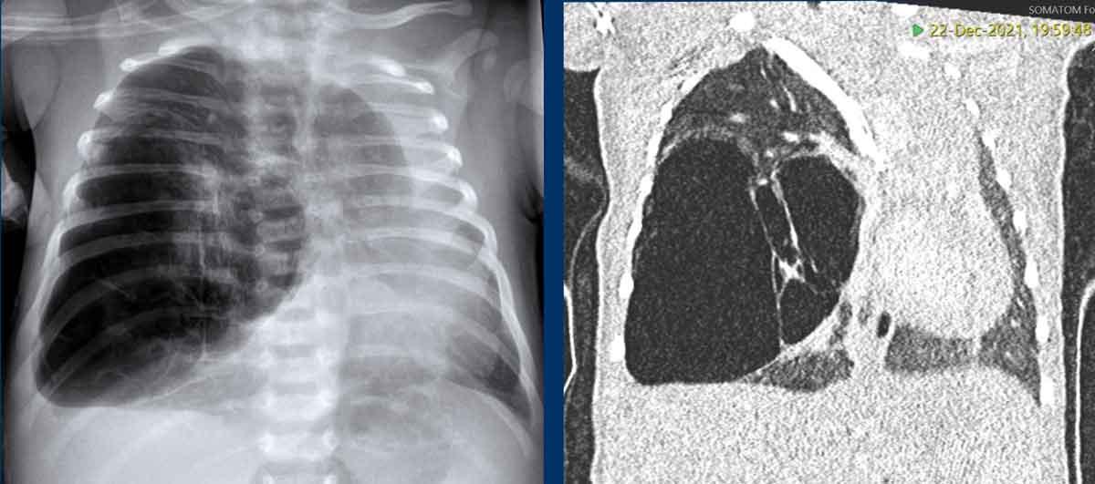
Hình ảnh của một trẻ sơ sinh, 40 tuần tuổi thai.
Nghi ngờ trước sinh có CPAM lớn ở bên trái.
Lúc sinh có suy hô hấp
Hình ảnh
Phim X-quang cho thấy một tổn thương mờ đục hình tròn lớn.
Di lệch nặng các cấu trúc đường giữa kèm xẹp phổi phải.
Ống nội khí quản ở vị trí sâu. Ống thông dạ dày tại chỗ.
Do cần can thiệp trực tiếp, CT có tiêm thuốc cản quang tĩnh mạch đã được thực hiện.
CT cho thấy một tổn thương dạng nang lớn ở thùy trên phổi trái, với sự di lệch của các cấu trúc mạch máu và phế quản.
Tổn thương không có liên quan đến bất kỳ mạch máu hệ thống nào, điều này loại trừ khả năng phổi biệt lập.
Đây là CPAM (dị dạng tuyến nang bẩm sinh của phổi), chưa được thông khí.
Pulmonary sequestration
Phổi biệt lập là một đoạn mô phổi loạn sản, tách biệt với phần còn lại của phổi. Nó nhận nguồn cung cấp mạch máu hệ thống bất thường.
Loại phổ biến nhất là loại trong thùy, nằm bên trong một thùy phổi bình thường và không có màng phổi tạng riêng.
Thông thường, máu tĩnh mạch trở về bình thường qua các tĩnh mạch phổi.
Ngược lại, loại ngoài thùy nằm bên ngoài phổi bình thường, có màng phổi tạng riêng biệt và dẫn lưu tĩnh mạch về hệ thống.
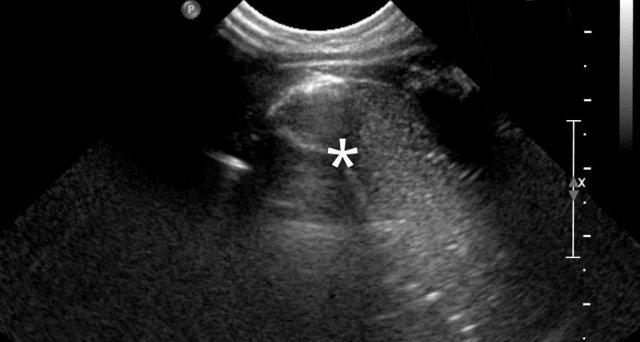
Hầu hết các trường hợp phổi biệt lập được phát hiện qua siêu âm trước sinh và
biểu hiện là một khối ở thùy đáy phổi, thường ở cạnh đường giữa bên trái.
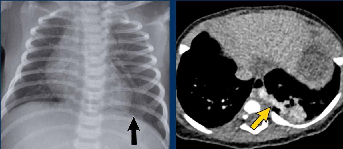
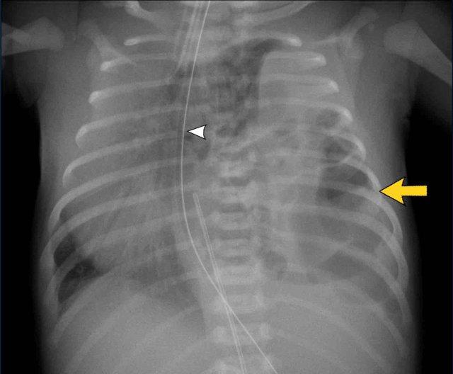
Hình ảnh
Trẻ sơ sinh, 39 tuần tuổi thai, nghi ngờ CPAM thùy dưới phổi trái trên siêu âm trước sinh.
Phim X-quang cho thấy tổn thương mờ nhạt, không có ranh giới rõ ràng ở thùy dưới phổi trái.
CT scan lúc một tháng tuổi cho thấy tổn thương hỗn hợp, vừa dạng nang vừa dạng đặc, với một động mạch nuôi lớn xuất phát từ động mạch chủ xuống, phù hợp với chẩn đoán phổi biệt lập.
Imaging
- On radiographs a sequestration is often not detected.
- Siêu âm trước sinh thường làm dấy lên nghi ngờ về một khối phổi biệt lập, được nhìn thấy dưới dạng một khối tăng âm.
Điều trị còn nhiều tranh cãi. Một số chuyên gia ủng hộ phẫu thuật cắt bỏ do nguy cơ nhiễm trùng và suy tim do luồng thông trái sang phải.
Một số khác ủng hộ phương pháp theo dõi và chờ đợi, vì các vùng phổi biệt lập này có thể tự thoái triển.
Trước khi phẫu thuật, cần thực hiện MRI hoặc CT để phân tích nguồn cung cấp máu và loại phổi biệt lập.
Congenital Lobar Emphysema
Khí phế thũng thùy bẩm sinh, hiện được gọi là căng phồng thùy phổi bẩm sinh, là tình trạng trong đó có sự giãn nở quá mức của một thùy phổi.
Hẹp hoặc yếu phế quản thùy gây ra cơ chế van một chiều là nguyên nhân có khả năng nhất.
Các triệu chứng phụ thuộc vào mức độ căng phồng thùy phổi.
Thùy phổi căng phồng nhẹ có thể không có triệu chứng và kích thước có thể giảm dần theo thời gian, trong những trường hợp này cần theo dõi chặt chẽ. Tình trạng căng phồng thùy phổi tiến triển có thể xảy ra và gây ra các triệu chứng nghiêm trọng, đôi khi đe dọa tính mạng. Những trường hợp đó được điều trị bằng cắt thùy phổi.
Thông thường, khí phế thũng thùy bẩm sinh được phát hiện qua siêu âm trước sinh.
Hình ảnh của một trẻ sơ sinh đủ tháng với suy hô hấp nhẹ.
Trước sinh có nghi ngờ về CPAM.
Phim X-quang ngực và CT cho thấy ứ khí thùy trên phổi phải với biến dạng cấu trúc.
Thùy dưới phổi phải bị chèn ép, nhưng có thể có cấu trúc bình thường.
Trung thất và tim bị đẩy lệch, xẹp phổi trái.
Hình ảnh của một trẻ sơ sinh 6 tháng tuổi với các triệu chứng hô hấp nhẹ.
Phim X-quang cho thấy ứ khí quá mức ở thùy trên phổi trái với sự dịch chuyển của các cấu trúc đường giữa và xẹp phổi một phần ở thùy dưới.
The CT confirms overinflation
of the right upper lobe.
Diaphragmatic hernia
Có hai loại thoát vị hoành, loại Bochdalek và loại Morgagni.
Chẩn đoán thường được thực hiện trước khi sinh.
Thoát
vị Bochdalek gặp trong khoảng 95% các trường hợp và nằm ở phía sau của lồng
ngực. Thường gặp nhất ở bên trái (90%).
Thoát
vị Morgagni, còn được gọi là thoát vị sau xương ức hoặc thoát vị cạnh xương ức, nằm ở
vị trí cạnh xương ức, nơi có các lỗ Morgagni.
Mức độ nghiêm trọng của bệnh dựa trên mức độ thiểu sản của phổi.
Imaging findings
- Mờ hoàn toàn hoặc một phần một bên lồng ngực, với không có hoặc rất ít thông khí của phổi cùng bên.
- Shift of the mediastinum to contralateral side.
- Việc phát hiện một phần ống tiêu hóa trong khoang ngực là dấu hiệu bệnh lý đặc trưng để chẩn đoán.
- Ngay sau sinh, đường tiêu hóa không chứa khí, do đó có thể không được nhận thấy hoặc giả lập một bất thường trong phổi.
Hình ảnh
Trẻ sơ sinh đủ tháng với triệu chứng khó thở.
Mờ một phần vùng phổi trên bên trái.
Các quai ruột được nhìn thấy trong lồng ngực trái (mũi tên).
Sự dịch chuyển của các cấu trúc đường giữa được thể hiện qua sự lệch của ống thông dạ dày (đầu mũi tên)
Siêu âm cho thấy nhu động ruột trong các cấu trúc chứa khí và dịch, xác nhận thoát vị cơ hoành lớn.
Những hình ảnh này là của một trẻ sơ sinh đủ tháng với
khó thở.
Hình ảnh
Mờ một phần vùng nửa ngực trên bên trái.
Các quai ruột được nhìn thấy trong nửa lồng ngực bên trái.
Sự dịch chuyển của các cấu trúc đường giữa được thể hiện qua sự lệch của ống thông dạ dày qua mũi
(đầu mũi tên).
Phim ngực tư thế nghiêng cũng cho thấy các quai ruột trong lồng ngực.
Charity
Toàn bộ lợi nhuận của Radiology Assistant được chuyển đến Medical Action Myanmar, tổ chức được điều hành bởi Bác sĩ Nini Tun và Bác sĩ Frank Smithuis sr, người là giáo sư tại Đại học Oxford và cũng là anh trai của Robin Smithuis.
Nhấp vào đây để xem video của Medical Action Myanmar và nếu bạn thấy Radiology Assistant hữu ích, hãy ủng hộ Medical Action Myanmar bằng một món quà nhỏ
































































