X-quang ngực – Suy tim
Trong bài viết này, chúng tôi sẽ thảo luận về các dấu hiệu X-quang của suy tim sung huyết trên phim X-quang ngực.
Giới thiệu
Suy tim sung huyết (CHF) là hậu quả của tình trạng cung lượng tim không đủ do suy tim, tăng sức cản tuần hoàn hoặc quá tải dịch.
Suy thất trái (LV) là thể thường gặp nhất, dẫn đến giảm cung lượng tim và tăng áp lực tĩnh mạch phổi.
Tại phổi, suy thất trái sẽ gây giãn các mạch máu phổi, thoát dịch vào khoang kẽ và khoang màng phổi, và cuối cùng vào phế nang, dẫn đến phù phổi.
Suy thất phải (RV) thường là hậu quả của suy thất trái kéo dài hoặc bệnh lý phổi, gây tăng áp lực tĩnh mạch hệ thống, dẫn đến phù ở các mô phụ thuộc và các tạng trong ổ bụng.
Hình minh họa bên trái thể hiện một số đặc điểm có thể quan sát được trên phim X-quang ngực của bệnh nhân suy tim sung huyết.
Tăng áp lực tĩnh mạch phổi có liên quan đến áp lực mao mạch phổi bít (PCWP) và có thể được phân loại thành các giai đoạn, mỗi giai đoạn có những đặc điểm X-quang riêng trên phim ngực (Bảng).
Hệ thống phân loại này cung cấp một trình tự logic của các dấu hiệu trong suy tim sung huyết.
Tuy nhiên, trong thực hành lâm sàng hàng ngày, một số đặc điểm này có thể không xuất hiện theo trình tự này và đôi khi có thể hoàn toàn vắng mặt.
Điều này có thể gặp ở bệnh nhân suy tim mạn tính, bệnh van hai lá và bệnh phổi tắc nghẽn mạn tính.
Suy Tim Sung Huyết

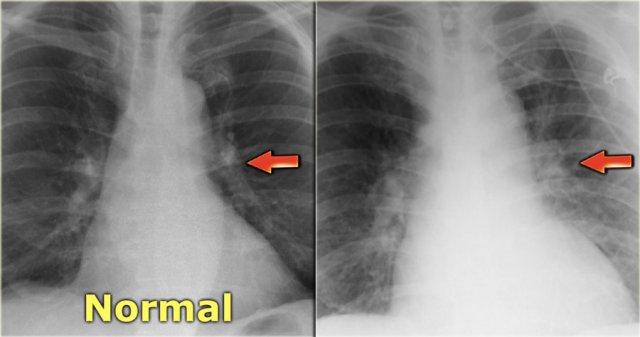
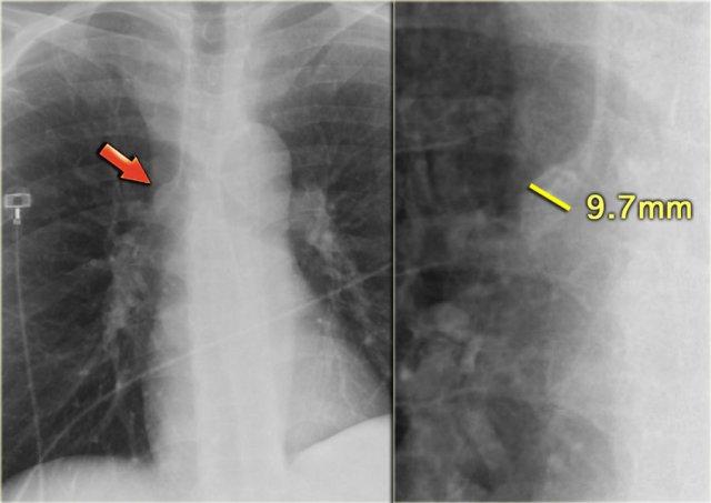
Hình ảnh các mạch máu thùy trên của bệnh nhân trong tình trạng bình thường (trái) và trong giai đoạn suy tim sung huyết (phải). Lưu ý độ rộng tăng lên của cuống mạch máu (mũi tên đỏ).
Giai đoạn I – Tái phân phối
Trên phim X-quang ngực bình thường với bệnh nhân đứng thẳng, các mạch máu phổi cấp máu cho vùng phổi trên có kích thước nhỏ hơn và số lượng ít hơn so với các mạch cấp máu cho nền phổi.
Giường mạch máu phổi có dự trữ dung lượng đáng kể; sự huy động có thể mở các mạch máu trước đó không được tưới máu và gây giãn các mạch đã được tưới máu.
Điều này dẫn đến hiện tượng tái phân phối lưu lượng máu phổi.
Đầu tiên là sự cân bằng lưu lượng máu, sau đó là tái phân phối dòng chảy từ các thùy dưới lên các thùy trên.
Thuật ngữ tái phân phối áp dụng cho các phim X-quang ngực chụp ở tư thế hít vào hoàn toàn và đứng thẳng.
Trong thực hành lâm sàng hàng ngày, nhiều phim X-quang ngực được chụp ở tư thế nằm ngửa hoặc nửa ngồi, và sự chênh lệch trọng lực giữa đỉnh phổi và nền phổi sẽ giảm đi.
Ở tư thế nằm ngửa, sẽ có sự cân bằng lưu lượng máu, có thể tạo ra ấn tượng giả về hiện tượng tái phân phối.
Trong những trường hợp này, việc so sánh với các phim cũ có thể hữu ích.
Tỷ lệ động mạch/phế quản
Bình thường, các mạch máu ở thùy trên nhỏ hơn phế quản đi kèm với tỷ lệ là 0,85 (3).
Ở mức rốn phổi, chúng có kích thước tương đương nhau, và ở thùy dưới, các động mạch lớn hơn với tỷ lệ là 1,35.
Khi có sự tái phân phối lưu lượng máu phổi, tỷ lệ động mạch/phế quản sẽ tăng lên ở các thùy trên và thùy giữa.
Điều này thể hiện rõ nhất ở vùng quanh rốn phổi.
Bên trái là hình ảnh bệnh nhân có tim to và tái phân phối.
Các mạch máu thùy trên có đường kính > 3 mm (bình thường 1-2 mm).
Lưu ý tỷ lệ động mạch/phế quản tăng ở mức rốn phổi (mũi tên).
Giai đoạn II – Phù mô kẽ
Giai đoạn II của suy tim sung huyết được đặc trưng bởi hiện tượng dịch thoát vào mô kẽ tiểu thùy và quanh phế quản do áp lực trong các mao mạch tăng cao.
Khi dịch thoát vào các vách liên tiểu thùy ngoại vi, nó được biểu hiện dưới dạng đường Kerley B hay đường vách.
Đường Kerley B được thấy dưới dạng các đường ngang ngắn 1-2 cm ở ngoại vi, gần các góc sườn hoành.
Các đường này chạy vuông góc với màng phổi.
Khi dịch thoát vào mô kẽ quanh phế quản-mạch máu, nó biểu hiện dưới dạng dày thành phế quản (dày bao quanh phế quản) và mất nét bờ của các mạch máu này (mờ quanh rốn phổi).
Bên trái là hình ảnh bệnh nhân suy tim sung huyết.
Có sự tăng khẩu kính của các mạch máu phổi và chúng mất nét bờ do bị bao quanh bởi phù nề.

X-quang ngực bình thường trước đó (trái) và suy tim sung huyết giai đoạn II với mờ quanh rốn phổi (phải)
Bên trái là hình ảnh một bệnh nhân khác bị suy tim sung huyết.
Tư thế chụp nghiêng thể hiện rõ sự tăng đường kính của các mạch máu phổi và bờ mờ nhạt của chúng.
Lưu ý cũng có các đường vách và mô kẽ nổi bật.
Ngoài ra, khe liên thùy lớn dày lên rõ rệt.
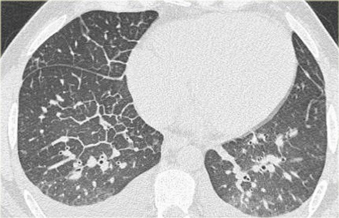
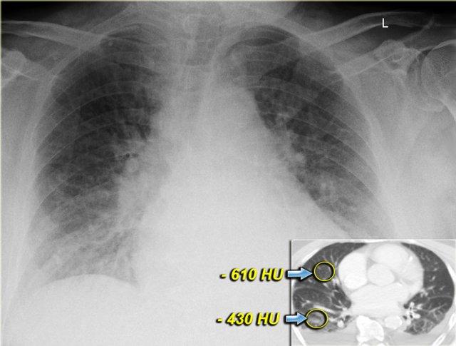
CT cũng có thể biểu hiện các dấu hiệu của suy tim sung huyết.
Trên hình ảnh bên trái, lưu ý các dấu hiệu sau:
- Đường vách dày lên do phù mô kẽ
- Mờ dạng kính mờ (ground glass) nhẹ ở phần phụ thuộc trọng lực của phổi (chênh lệch HU từ 100-150 giữa phần phụ thuộc và không phụ thuộc trọng lực của phổi).
- Tràn dịch màng phổi hai bên.
Ở bệnh nhân có tiền sử ác tính, ung thư biểu mô dạng viêm bạch mạch sẽ được xếp cao trong danh sách chẩn đoán phân biệt.
Mờ dạng kính mờ là biểu hiện đầu tiên của phù phế nang và là giai đoạn tiền thân của đông đặc.
Giai đoạn III – Phù phế nang
Giai đoạn này được đặc trưng bởi sự thoát dịch liên tục vào mô kẽ, không thể được bù đắp bởi dẫn lưu bạch huyết.
Điều này cuối cùng dẫn đến dịch thoát vào các phế nang (phù phế nang) và thoát vào khoang màng phổi (tràn dịch màng phổi).
Sự phân bố của phù phế nang có thể bị ảnh hưởng bởi:
- Trọng lực: tư thế nằm ngửa hoặc đứng thẳng và tư thế nằm nghiêng phải hoặc trái
- Bệnh phổi tắc nghẽn, tức là dịch thoát vào các vùng phổi bị tổn thương ít nặng hơn
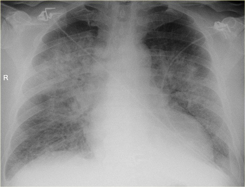
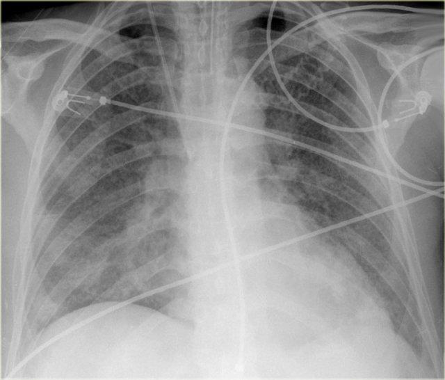
Bên trái là hình ảnh bệnh nhân nhập viện với khó thở nặng do suy tim cấp.
Các dấu hiệu sau đây gợi ý suy tim: phù phế nang với đông đặc quanh rốn phổi và dấu hiệu phế quản hơi (mũi tên vàng); tràn dịch màng phổi (mũi tên xanh lam); tĩnh mạch đơn nổi bật và độ rộng cuống mạch máu tăng (mũi tên đỏ) và bóng tim to (đầu mũi tên).
Sau điều trị, chúng ta vẫn có thể thấy bóng tim to, tràn dịch màng phổi và tái phân phối lưu lượng máu phổi, nhưng phù nề đã được giải quyết.
Bên trái là hình ảnh một bệnh nhân khác với phù phế nang lúc nhập viện, đã được giải quyết sau điều trị.
Khi bạn cuộn qua các hình ảnh và so sánh qua lại, bạn sẽ nhận thấy sự khác biệt về độ rộng cuống mạch máu và sự phân bố lưu lượng máu phổi.
Cả trên X-quang ngực lẫn trên CT, phù nề đều phụ thuộc vào trọng lực và sự chênh lệch tỷ trọng có thể được đo lường.
Lưu ý rằng ngay cả trong mỗi thùy phổi, cũng có sự chênh lệch tỷ trọng phụ thuộc trọng lực.
Điều này chỉ được thấy khi các đông đặc là kết quả của dịch thấm như trong suy tim sung huyết.
Điều này không được thấy khi các đông đặc là kết quả của dịch tiết do nhiễm trùng, máu do xuất huyết, hoặc khi có rò rỉ mao mạch như trong hội chứng suy hô hấp cấp tiến triển (ARDS).
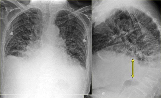
Chỉ số tim-ngực

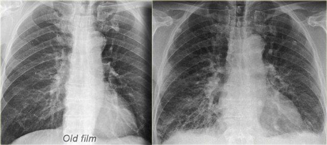
Phim cũ để so sánh (trái) Suy tim sung huyết với tái phân phối tuần hoàn, phù mô kẽ và một ít dịch màng phổi
Chỉ số tim-ngực (CTR) là tỷ lệ giữa đường kính ngang của tim so với đường kính trong của lồng ngực tại điểm rộng nhất ngay phía trên vòm hoành, được đo trên phim X-quang ngực tư thế thẳng (PA).
Bóng tim to hầu như luôn là hệ quả của tim to (cardiomegaly), nhưng đôi khi có thể do tràn dịch màng ngoài tim hoặc thậm chí do lắng đọng mỡ.
Kích thước tim được xem là quá lớn khi CTR > 50% trên phim X-quang ngực tư thế PA.
CTR > 50% có độ nhạy 50% và độ đặc hiệu 75-80% trong chẩn đoán suy tim sung huyết (CHF).
Thể tích thất trái cần tăng ít nhất 66% mới có thể nhận thấy được trên phim X-quang ngực.
Hình bên trái là bệnh nhân suy tim sung huyết.
Kích thước tim tăng so với phim cũ.
Các dấu hiệu khác của suy tim sung huyết cũng hiện diện, bao gồm tái phân phối tuần hoàn phổi, phù mô kẽ và một ít dịch màng phổi.
Trên phim chụp tư thế nằm ngửa, bóng tim sẽ lớn hơn do hiệu ứng phóng đại và vị trí cao của các vòm hoành.
Các phép đo chính xác không thực sự hữu ích trong trường hợp này, nhưng việc so sánh với các phim chụp tư thế nằm ngửa cũ có thể có giá trị.
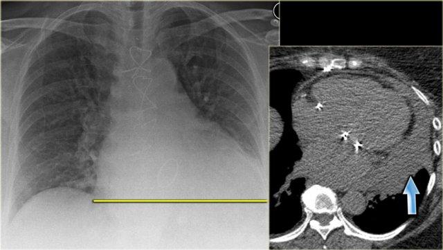
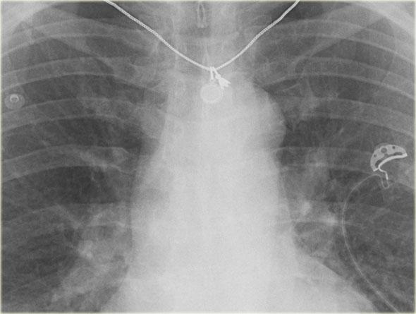
Hình bên trái là bệnh nhân vừa được phẫu thuật thay van tim.
Bóng tim lớn, có thể là hệ quả của tim to (cardiomegaly).
Do tiền sử phẫu thuật tim gần đây, khả năng tràn dịch màng ngoài tim đã được đặt ra và được minh họa rõ ràng trên hình ảnh CT.
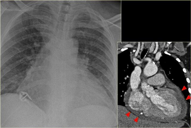
Hình bên trái là một bệnh nhân khác có bóng tim lớn trên phim X-quang ngực do tràn dịch màng ngoài tim.
Tràn dịch màng ngoài tim được minh họa trên tái tạo CT mặt phẳng coronal.
Tràn dịch màng phổi
Tràn dịch màng phổi xảy ra hai bên trong 70% các trường hợp suy tim sung huyết (CHF).
Khi tràn dịch một bên, bên phải gặp nhiều hơn bên trái một chút.
Cần có ít nhất 175 ml dịch màng phổi thì mới có thể quan sát thấy hình ảnh mức dịch (meniscus) tại góc sườn hoành trên phim chụp tư thế thẳng (PA).
Trên phim chụp tư thế nghiêng, lượng dịch > 75 ml có thể được phát hiện.
Nếu tràn dịch màng phổi được nhìn thấy trên phim chụp tư thế nằm ngửa, điều đó có nghĩa là lượng dịch hiện diện ít nhất là 500 ml.
Hình ảnh bên trái là của một bệnh nhân có tràn dịch màng phổi hai bên.
Lưu ý rằng tổn thương này thể hiện rõ hơn trên tư thế chụp nghiêng.
Tràn dịch màng phổi không phải lúc nào cũng biểu hiện dưới dạng hình mức dịch tại góc sườn hoành.
Tràn dịch dưới phổi có thể đi theo đường viền của cơ hoành, khiến việc nhận diện trở nên khó khăn.
Trong những trường hợp này, cách duy nhất để phát hiện tràn dịch màng phổi là khi nhận thấy khoảng cách tăng lên giữa bóng hơi dạ dày và đáy phổi.
Dạ dày thường nằm ngay dưới cơ hoành, do đó, trên phim chụp thẳng (PA) tư thế đứng, bóng hơi dạ dày luôn phải xuất hiện ở vị trí sát với cơ hoành và đáy phổi.
Hình ảnh bên trái là của một bệnh nhân có các dấu hiệu của suy tim sung huyết (CHF).
Thoạt nhìn, bạn có thể có ấn tượng rằng cơ hoành đang ở vị trí cao.
Tuy nhiên, khi nhận thấy khoảng cách tăng lên giữa bóng hơi dạ dày và đáy phổi, bạn sẽ nhận ra rằng có một lượng lớn dịch màng phổi ở cả hai bên (mũi tên).
Cuống mạch máu
Cuống mạch máu được giới hạn bên phải bởi tĩnh mạch chủ trên và bên trái bởi nguyên ủy của động mạch dưới đòn trái (6).
Cuống mạch máu là chỉ số phản ánh thể tích nội mạch.
Chiều rộng cuống mạch máu dưới 60 mm trên phim X-quang ngực tư thế PA được ghi nhận trong 90% trường hợp X-quang ngực bình thường.
Chiều rộng cuống mạch máu trên 85 mm có tính chất bệnh lý trong 80% trường hợp.
Mỗi 5 mm tăng thêm về đường kính tương ứng với 1 lít tăng thêm về dịch nội mạch.
Sự gia tăng chiều rộng cuống mạch máu thường đi kèm với sự gia tăng chiều rộng của tĩnh mạch đơn.
Có ba thể chính của phù phổi: do tim,
do thừa dịch và do tăng tính thấm mao mạch (ARDS).
Chiều rộng cuống mạch máu (VPW) có thể hỗ trợ phân biệt các thể phù phổi khác nhau này (6):
- VPW bình thường: thường gặp nhất trong phù phổi do tăng tính thấm mao mạch hoặc suy tim cấp.
- VPW giãn rộng: thường gặp nhất trong thừa dịch/suy thận và suy tim mạn tính.
- VPW thu hẹp: thường gặp nhất trong phù phổi do tăng tính thấm mao mạch.
Bên trái là hình ảnh một bệnh nhân ARDS.
Có phù phế nang ở cả hai phổi.
Lưu ý rằng VPW trong giới hạn bình thường.
Các mạch máu ở thùy trên không giãn và bóng tim không to.
VPW được sử dụng hiệu quả nhất như một thông số để so sánh các phim X-quang ngực chụp nối tiếp của cùng một bệnh nhân, do khoảng giá trị bình thường của VPW khá rộng.
VPW có thể tăng do bệnh nhân xoay người sang phải.
Trên tư thế AP, VPW sẽ tăng 20% so với tư thế PA.
Bên trái là hình ảnh một bệnh nhân với các dấu hiệu kín đáo của suy tim sung huyết trên phim X-quang ngực ban đầu (hình 1/2).
Cuống mạch máu hơi giãn rộng, điều này trở nên rõ ràng hơn khi so sánh với phim X-quang ngực sau điều trị bằng thuốc lợi tiểu (hình 2/2).
Giãn tĩnh mạch đơn (azygos)
Giãn tĩnh mạch đơn là dấu hiệu của tình trạng tăng áp lực nhĩ phải và thường xuất hiện kèm theo sự gia tăng chiều rộng của cuống mạch máu.
Đường kính tĩnh mạch đơn thay đổi tùy theo tư thế của bệnh nhân.
Ở tư thế đứng, đường kính > 7 mm được coi là có thể bất thường và đường kính > 10 mm được xác định là chắc chắn bất thường.
Ở bệnh nhân nằm ngửa, đường kính > 15 mm được coi là bất thường.
Sự gia tăng 3 mm so với phim chụp trước đó gợi ý tình trạng quá tải dịch.
Sự chênh lệch đường kính tĩnh mạch đơn giữa phim chụp thì hít vào và thì thở ra chỉ là 1 mm.
Điều này có nghĩa là đường kính tĩnh mạch đơn là một công cụ có giá trị để đánh giá bất kể mức độ hít vào có đạt yêu cầu hay không.
Suy thất phải
Suy thất phải thường gặp nhất do suy thất trái kéo dài, làm tăng áp lực tĩnh mạch phổi và dẫn đến tăng áp động mạch phổi, từ đó gây quá tải thất phải.
Các nguyên nhân ít gặp hơn của suy thất phải bao gồm:
- Bệnh phổi nặng (tâm phế mạn)
- Thuyên tắc phổi nhiều lần
- Nhồi máu thất phải
- Tăng áp động mạch phổi nguyên phát
- Hở hoặc hẹp van ba lá, hẹp van hai lá và hẹp van động mạch phổi.
Dấu hiệu X-quang trong suy thất phải:
- Tăng chỉ số VPW do giãn tĩnh mạch chủ trên
- Giãn tĩnh mạch đơn
- Giãn nhĩ phải
- Trong nhiều trường hợp sẽ có cả dấu hiệu của suy thất phải lẫn suy thất trái
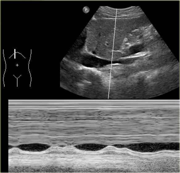
Dấu hiệu siêu âm trong suy thất phải:
- Giãn tĩnh mạch chủ dưới (IVC) và tĩnh mạch gan
- Gan to
- Cổ trướng
Chỉ định siêu âm ở nhiều bệnh nhân này là do xét nghiệm chức năng gan bất thường.
Do đó, điều quan trọng là cần nghĩ đến khả năng suy thất phải khi bệnh nhân có biểu hiện bất thường các men gan.
Trong điều kiện bình thường, siêu âm động học sẽ cho thấy sự thay đổi khẩu kính của tĩnh mạch chủ dưới.
Những thay đổi khẩu kính này có thể được lý giải bởi sự biến thiên lưu lượng máu trong tĩnh mạch chủ dưới theo chu kỳ hô hấp và chu kỳ tim.
























