X-quang ngực – Đọc cơ bản
X-quang ngực là thăm dò chẩn đoán hình ảnh được thực hiện phổ biến nhất. Mỗi bác sĩ chẩn đoán hình ảnh cần thành thạo trong việc đọc và phân tích phim X-quang ngực. Để đọc phim chính xác, đòi hỏi phải có nền tảng vững chắc về giải phẫu bình thường, các biến thể giải phẫu và các nguyên tắc cơ bản của X-quang.
Bài viết này tập trung vào:
- Giải phẫu lồng ngực bình thường và các biến thể của nó
- Phương pháp tiếp cận có hệ thống từ trong ra ngoài trong đọc phim X-quang ngực
- Đặc điểm X-quang của các bệnh lý liên quan đến tim, trung thất, phổi, màng phổi, thành ngực và phần trên ổ bụng
Bình thường và Các biến thể
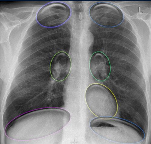
Tư thế PA
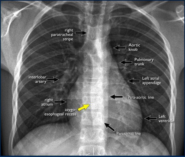
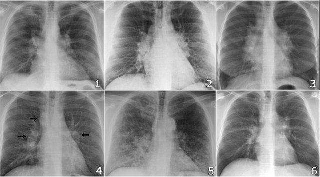
Trên phim X-quang ngực tư thế PA, cần đánh giá cẩn thận tất cả các ranh giới giữa phổi và các cấu trúc lân cận — chẳng hạn như cơ hoành, tim và trung thất.
Tại các ranh giới này, các mặt tiếp giáp giữa phổi và mô mềm tạo thành các hình ảnh có thể nhìn thấy được:
- Các đường hoặc dải (ví dụ: dải cạnh khí quản phải)
- Các bóng mờ viền (ví dụ: cung động mạch chủ hoặc bờ thất trái)
Các đường và bóng mờ viền này đóng vai trò là các mốc giải phẫu và giúp xác định vị trí tổn thương. Khi các đường viền này bị dịch chuyển hoặc bị xóa mờ kèm mất bóng mờ viền bình thường, dấu hiệu bóng mờ viền được xác lập — đây là một đặc điểm chẩn đoán quan trọng.
- Đường cạnh cột sống có thể bị dịch chuyển do áp xe cạnh đốt sống, gãy đốt sống kèm xuất huyết, hoặc u tân sinh lan rộng ra ngoài đốt sống.
- Dày dải cạnh khí quản phải (>2–3 mm) có thể gợi ý hạch to, dày màng phổi, xuất huyết, quá tải dịch hoặc suy tim sung huyết.
- Dịch chuyển đường cạnh động mạch chủ có thể liên quan đến giãn dài động mạch chủ, phình, bóc tách hoặc vỡ động mạch chủ.
Đường nối trước và sau, được tạo thành tại vị trí các thùy trên tiếp giáp nhau ở phía trước và phía sau, thường không được quan sát rõ và sẽ không được thảo luận thêm.
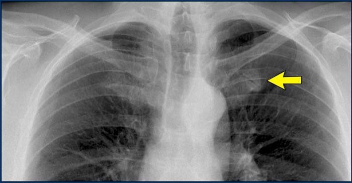
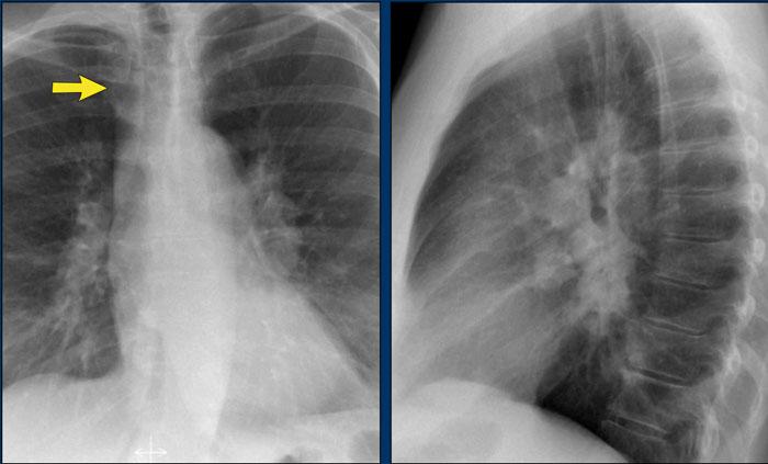
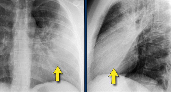
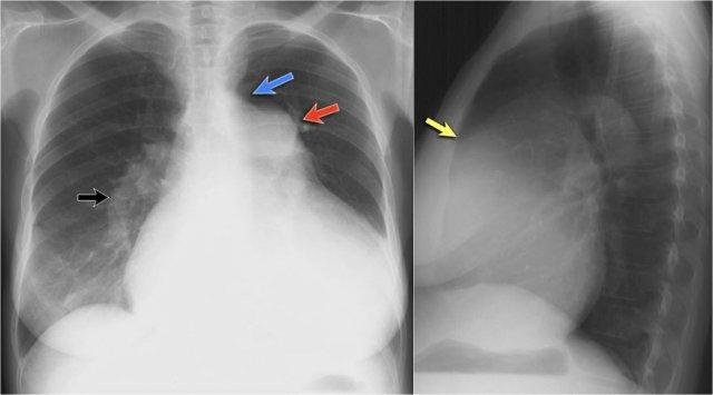
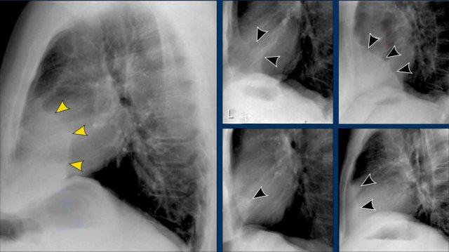
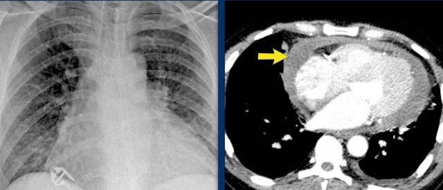
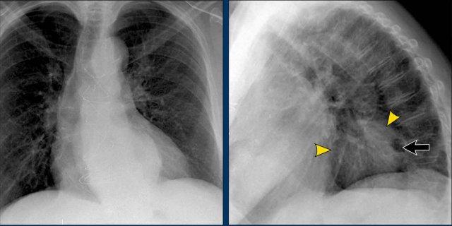
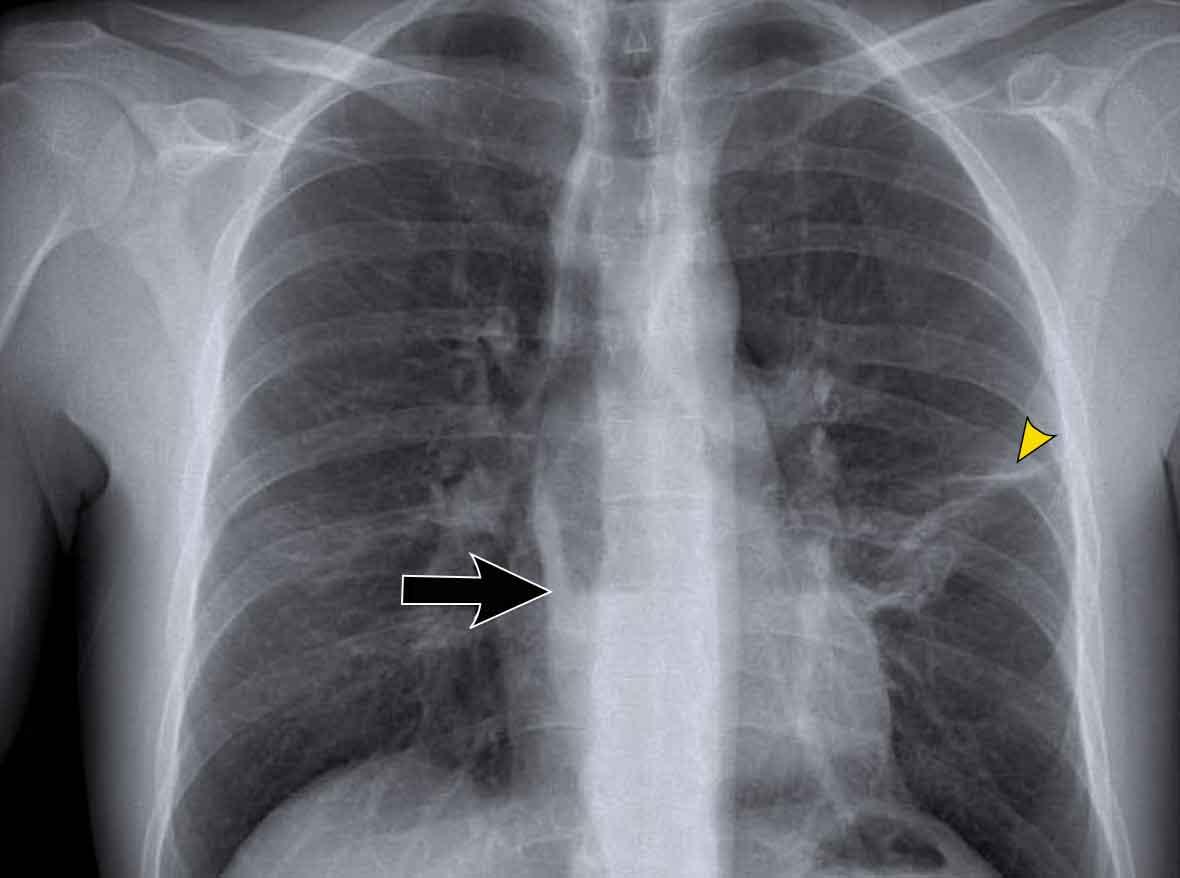
Một mặt tiếp giáp trung thất–phổi quan trọng cần đánh giá là ngách tĩnh mạch đơn–thực quản (mũi tên vàng).
Ngách tĩnh mạch đơn–thực quản
Lệch đường tĩnh mạch đơn–thực quản có thể do:
- Thoát vị khe thực quản
- Bệnh lý thực quản
- Giãn nhĩ trái
- Hạch to dưới carina
- Nang phế quản
Trên phim X-quang ngực tư thế PA, có thể thấy đường tĩnh mạch đơn–thực quản bị lệch sang bên.
Nguyên nhân là do thoát vị khe thực quản.
Mũi tên chỉ vào thuốc cản quang barium trong túi thoát vị khe thực quản.
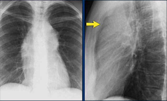
Thùy tĩnh mạch đơn
Một biến thể bình thường thường gặp, thùy tĩnh mạch đơn, được hình thành khi tĩnh mạch đơn đi theo một đường bất thường về phía bên, tạo ra một rãnh màng phổi sâu ở thùy trên phổi phải.
Trên phim X-quang, hình ảnh này biểu hiện là một đường cong mảnh đi ngang qua vùng phổi trên phải, thường kết thúc bằng một đám mờ hình giọt nước (tĩnh mạch đơn) trong rãnh tĩnh mạch đơn.
Đây là một bệnh nhân khác có thùy tĩnh mạch đơn.
Tĩnh mạch đơn được thấy như một cấu trúc dày trong rãnh tĩnh mạch đơn.
Một biến thể giải phẫu khác liên quan đến khớp phụ ở xương sườn thứ nhất phía trước (mũi tên).
Tại chỗ nối giữa đoạn xương và đoạn sụn đã vôi hóa, một khớp giả có thể bắt chước hình ảnh nốt hoặc khối phổi trên phim chụp thẳng.
Lõm ngực (Pectus excavatum)
Ở bệnh nhân có lõm ngực (pectus excavatum), bờ tim phải có thể trông không rõ nét trên phim X-quang ngực thẳng.
Hình ảnh này có thể bắt chước đông đặc hoặc xẹp thùy giữa phổi phải do mất bóng mờ viền bình thường (dấu hiệu bóng mờ viền).
Phim X-quang ngực tư thế nghiêng đặc biệt hữu ích trong những trường hợp này để xác nhận chẩn đoán.
Lõm ngực là một dị tật bẩm sinh của thành ngực trước, đặc trưng bởi sự dịch chuyển ra sau của xương ức và các sụn sườn lân cận, tạo ra hình ảnh lõm của thành ngực trước.
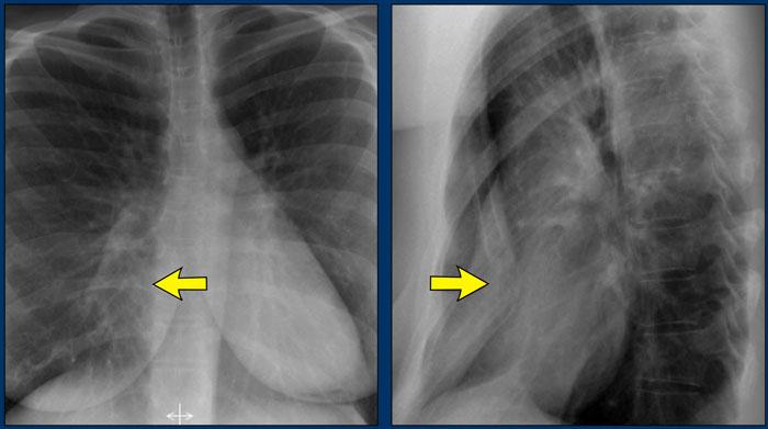
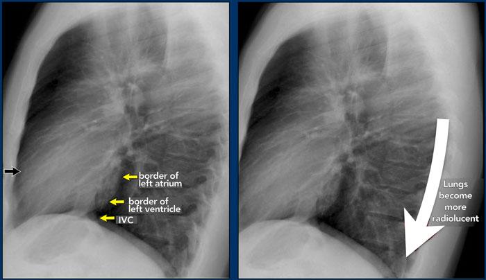
Tư thế nghiêng
Trên phim X-quang ngực tư thế nghiêng, các bờ tim cần được xác định rõ ràng, và tĩnh mạch chủ dưới (IVC) thường có thể thấy đổ vào nhĩ phải.
Khoang sáng sau xương ức
Khoang sau xương ức bình thường chứa phổi có khí và do đó phải có hình ảnh thấu quang (tối trên phim), kéo dài xuống dưới đến mức thất phải tiếp xúc với xương ức (mũi tên đen nhỏ).
Bất kỳ hình mờ nào trong khoang sau xương ức phía trên đều đáng ngờ về tổn thương trung thất trước hoặc khối xuất phát từ các thùy trên của phổi.
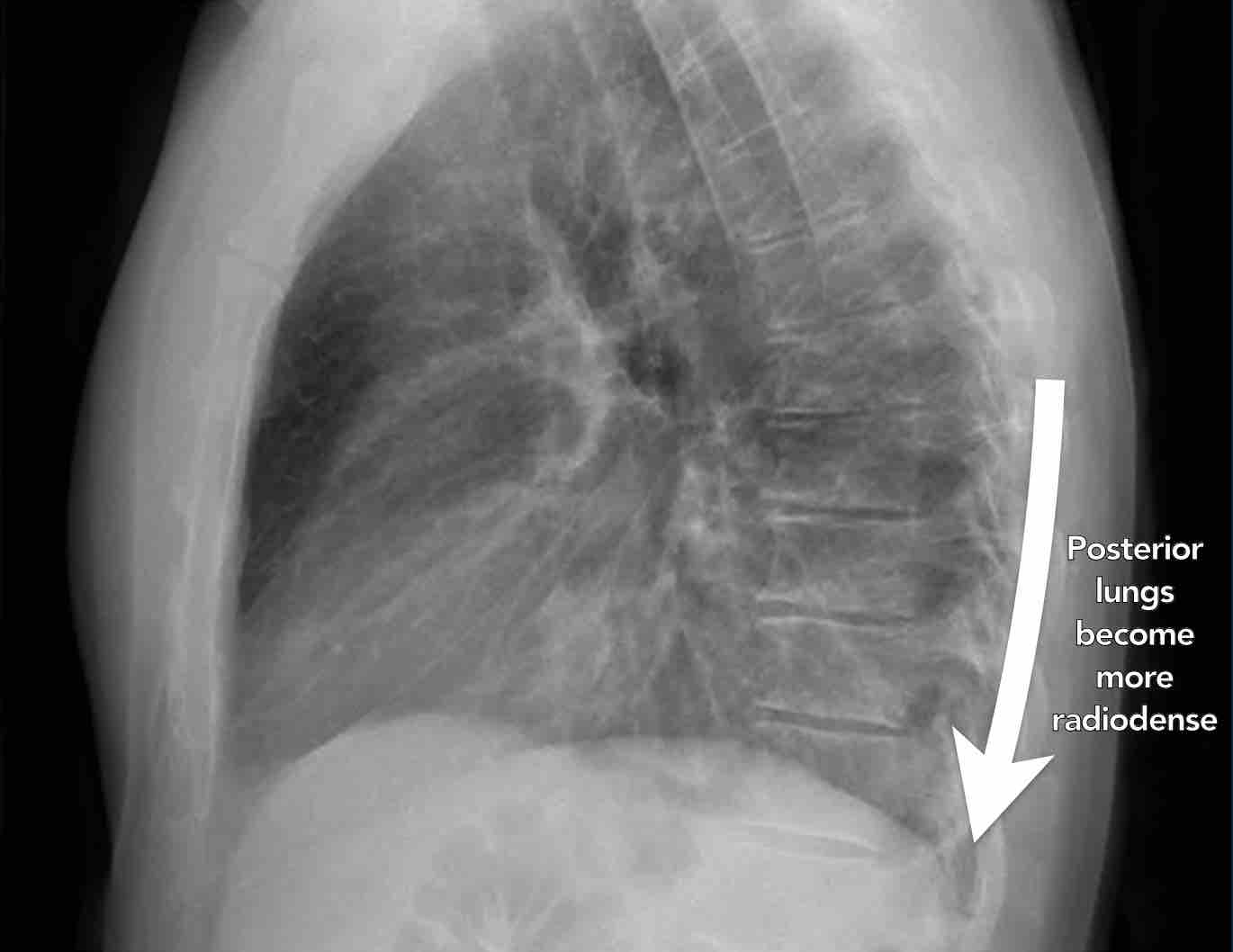
Dấu hiệu cột sống
Khi đánh giá các thân đốt sống trên tư thế nghiêng, chúng phải có hình ảnh thấu quang (tối hơn) tăng dần từ trên xuống dưới do lượng phổi có khí chồng lên ngày càng nhiều (mũi tên trắng).
Nếu các đốt sống ngực dưới có hình ảnh đậm bất thường, điều này có thể gợi ý bệnh lý ở các thùy dưới, chẳng hạn như đông đặc hoặc khối — đây được gọi là dấu hiệu cột sống.
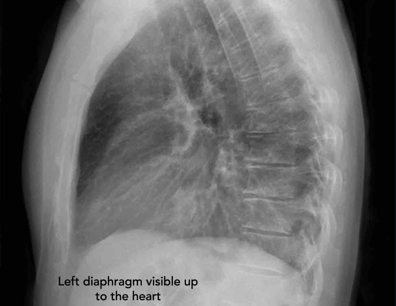
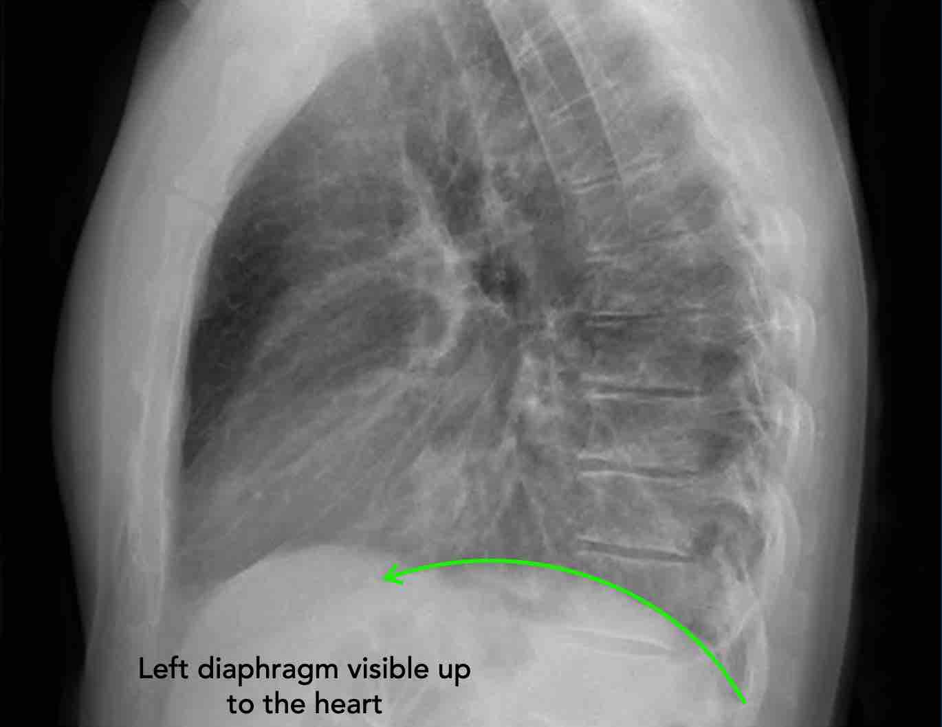
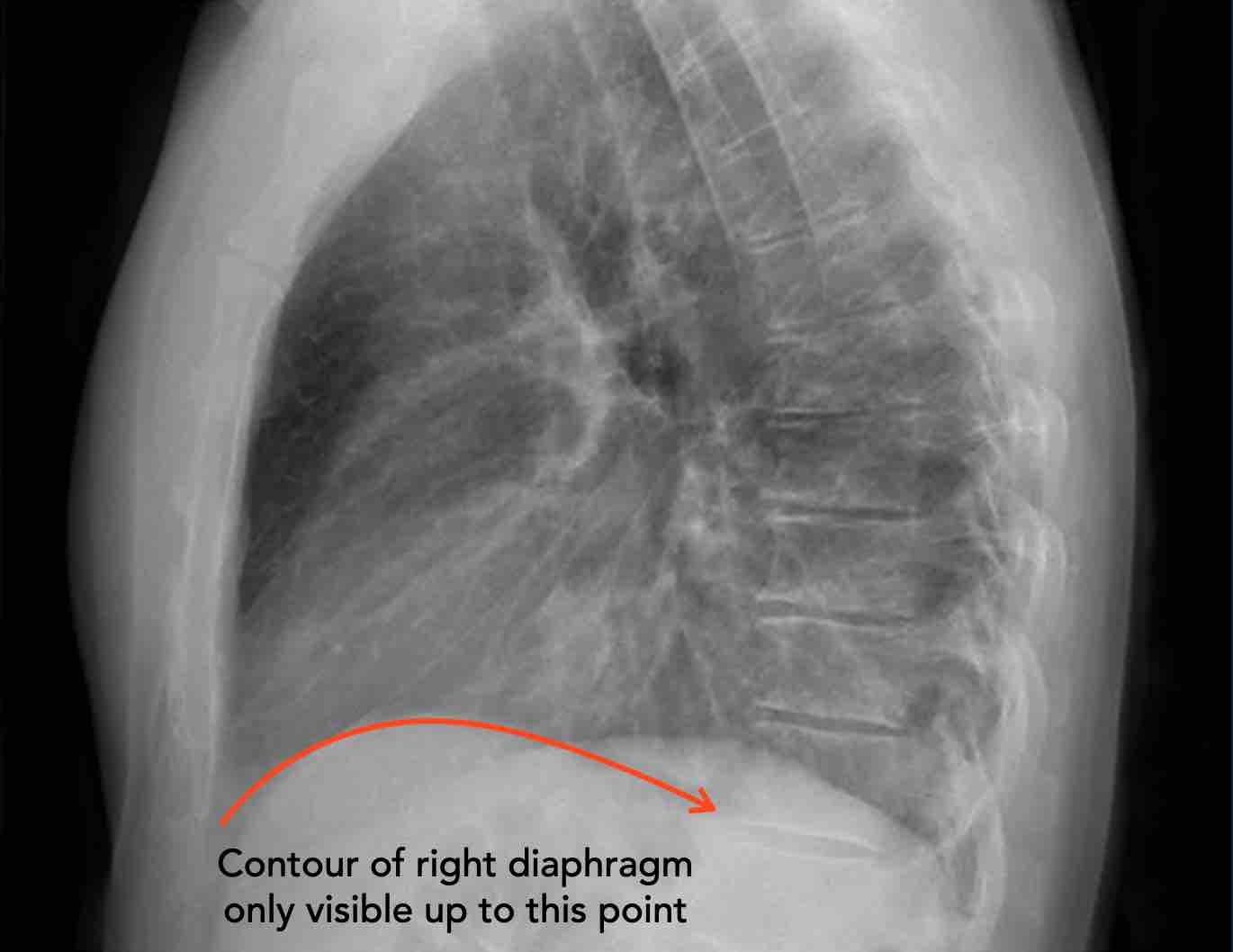
Đánh giá Cơ hoành
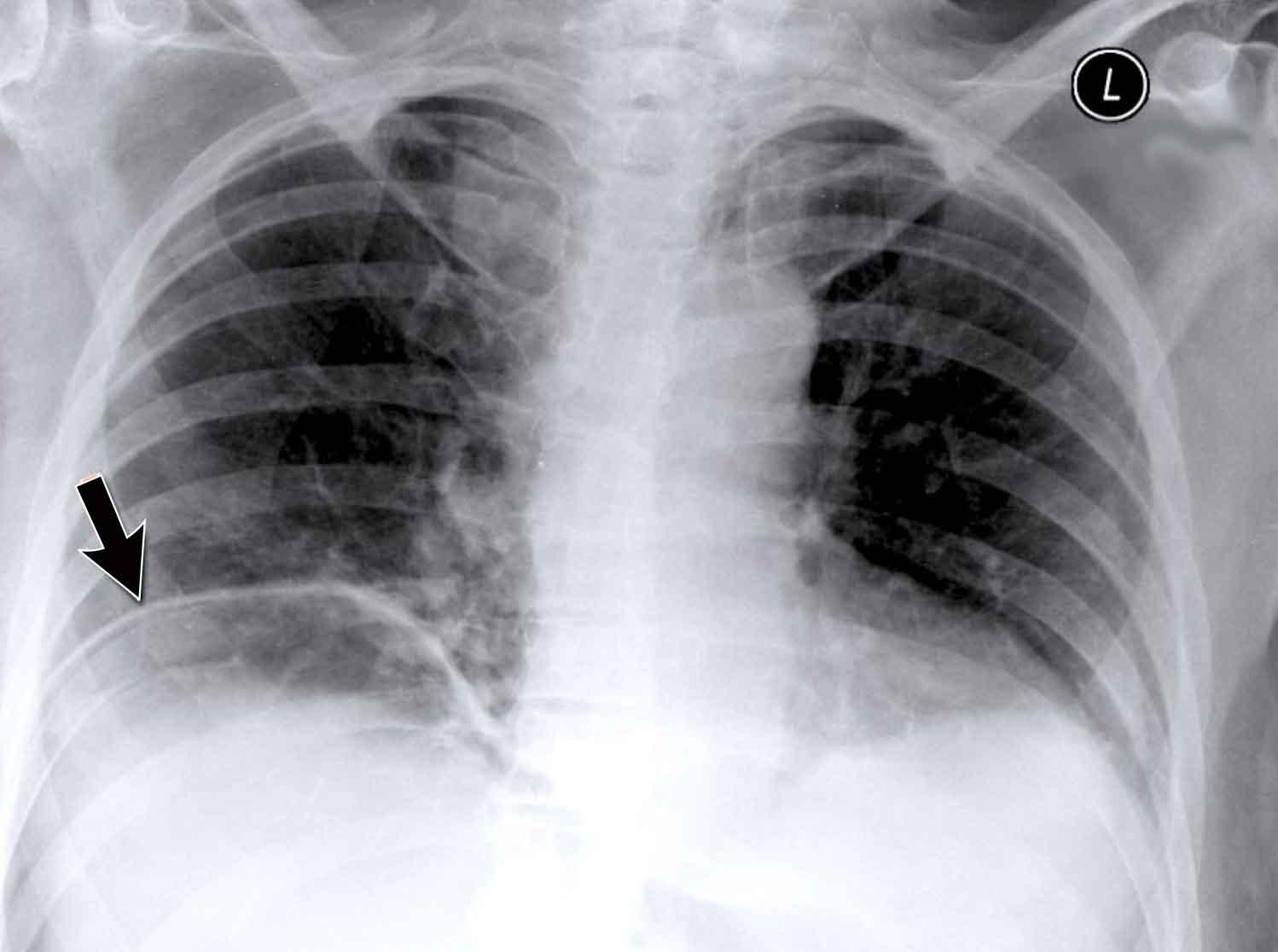
- Vòm hoành phải phải được nhìn thấy rõ ràng ở phía trước đến tận thành ngực (mũi tên đỏ), thể hiện ranh giới giữa phổi có khí và mô mềm ổ bụng.
- Vòm hoành trái thường chỉ nhìn thấy đến điểm tiếp giáp với bóng tim (mũi tên xanh lam), phía ngoài điểm đó ranh giới bị mất do tỷ trọng tương đương giữa tim và các tạng bụng phía trên.
Mạch máu Phổi và Cấu trúc Rốn phổi
Động mạch phổi trái (màu tím) vòng cung phía trên phế quản gốc trái và nằm cao hơn động mạch phổi phải (màu xanh lam), động mạch này đi phía trước phế quản gốc phải.
Hiểu biết về giải phẫu rốn phổi bình thường trên tư thế nghiêng giúp phát hiện các bất thường.
Ví dụ:
- Trên tư thế PA, có thể nhận thấy rốn phổi to, nhưng khó phân biệt giữa giãn mạch máu và hạch to.
- Trên tư thế nghiêng, sự hiện diện của các đám mờ tròn ở những vùng mà mạch máu phổi bình thường không có mặt gợi ý mạnh mẽ đến hạch bạch huyết to.
Trong trường hợp này, bệnh nhân được chẩn đoán sarcoidosis.
Ngoài ra, lưu ý dải cạnh khí quản dày, một dấu hiệu khác của hạch to trung thất.
Thoái hóa Cột sống Bắt chước Tổn thương Phổi
Các thay đổi thoái hóa của cột sống (thoái hóa đốt sống) đôi khi có thể bắt chước hình ảnh khối phổi trên tư thế nghiêng.
- Bất kỳ đám mờ nào ở vùng thân đốt sống cần được đối chiếu với tư thế PA để đánh giá gai xương thoái hóa, thường nằm ở bên phải.
- Ở bên trái, sự hình thành gai xương ít rõ hơn do sóng đập của động mạch chủ ức chế quá trình vôi hóa.
Khối Trung thất trên Tư thế Nghiêng
Khi trung thất trên có hình ảnh rộng trên tư thế PA, tư thế nghiêng hữu ích để xác định vị trí bất thường.
- Hình mờ mô mềm trong khoang sau xương ức thu hẹp chẩn đoán phân biệt về các khối trung thất trước, thường được ghi nhớ theo quy tắc “4 T”:
- Thymoma (U tuyến ức)
- Teratoma (U tế bào mầm)
- Thyroid mass (Khối tuyến giáp)
- Terrible lymphoma (U lympho)
Trong trường hợp này, bệnh nhân được chẩn đoán u lympho Hodgkin.
Thoát vị Cơ hoành Bẩm sinh
Thoát vị Bochdalek
- Thoát vị Bochdalek là một phát hiện tình cờ thường gặp ở người lớn, xuất phát từ khiếm khuyết cơ hoành phía sau (mũi tên).
- Thường chứa mỡ sau phúc mạc, không có triệu chứng và được phát hiện tình cờ.
- Trong các trường hợp hiếm gặp, các tạng ổ bụng có thể thoát vị vào lồng ngực.
- Ở trẻ sơ sinh, thoát vị Bochdalek lớn có thể dẫn đến thiểu sản phổi, có thể đe dọa tính mạng.
Thoát vị Morgagni
- Thoát vị Morgagni là một loại thoát vị cơ hoành bẩm sinh ít gặp hơn.
- Nằm ở phía trước, thường biểu hiện là khối sau xương ức bên phải.
- Giống như thoát vị Bochdalek, có thể không có triệu chứng hoặc chứa các tạng ổ bụng thoát vị.
Tiếp Cận Có Hệ Thống
Một phương pháp tiếp cận có cấu trúc và có hệ thống là yếu tố thiết yếu để đọc phim X-quang ngực một cách chính xác và có tính tái lập cao.
Một kỹ thuật thường được sử dụng là tiếp cận từ trong ra ngoài, bắt đầu từ các cấu trúc trung tâm và tiến dần ra ngoại vi.
Tiếp Cận Từ Trong Ra Ngoài: Các Bước Thực Hiện
- Khí quản và Đường thở Trung tâm
- Đánh giá vị trí và khẩu kính của khí quản.
- Khí quản lệch có thể gợi ý hiệu ứng đẩy do khối, xẹp phổi, hoặc trung thất bị đẩy lệch.
- Đánh giá các phế quản chính về tình trạng hẹp, di lệch hoặc tắc nghẽn.
- Trung thất và Tim
- Quan sát các bờ trung thất để phát hiện dấu hiệu giãn rộng, khối, hoặc bóng bất thường.
- Đánh giá kích thước và các bờ tim. Chỉ số tim-ngực >0,5 trên phim tư thế thẳng (PA) có thể gợi ý tim to.
- Quan sát quai động mạch chủ và động mạch chủ ngực xuống để tìm dấu hiệu giãn hoặc bóc tách.
- Rốn phổi
- Kiểm tra kích thước, vị trí và tỷ trọng của rốn phổi hai bên.
- Sự bất đối xứng có thể gợi ý hạch bạch huyết to, giãn mạch máu, hoặc tổn thương dạng khối.
- Phổi và Màng phổi
- Khảo sát từng trường phổi để tìm các đám mờ, vùng sáng, đông đặc, nốt, hoặc hình ảnh tổn thương mô kẽ.
- Tìm kiếm dấu hiệu tràn dịch màng phổi, tràn khí màng phổi, hoặc dày màng phổi.
- Chú ý kỹ các vùng phổi và các khe liên thùy (nếu nhìn thấy).
- Cơ hoành và Vùng Dưới hoành
- So sánh hai vòm hoành về chiều cao và đường bờ.
- Khí tự do dưới hoành có thể gợi ý thủng tạng rỗng.
- Đánh giá các góc sườn-hoành để phát hiện dấu hiệu tù do tràn dịch hoặc xơ hóa.
- Thành ngực và Phần mềm
- Quan sát lồng xương ngực để phát hiện gãy xương, tổn thương tiêu xương hoặc đặc xương, và sự thẳng hàng của các cấu trúc.
- Kiểm tra các bất thường phần mềm, khí dưới da, hoặc khối.
- Bụng trên
- Đánh giá các cấu trúc bụng trên có thể quan sát được, bao gồm hình ảnh phân bố hơi, tạng to, và vôi hóa.
Tầm quan trọng của Hình ảnh Cũ
Luôn luôn so sánh phim X-quang ngực hiện tại với các phim cũ trước đó—đây là nguyên tắc cơ bản trong đọc phim chẩn đoán hình ảnh.
Thực tế, người ta thường nói rằng “phim quan trọng nhất chính là phim cũ”, vì nó cung cấp bối cảnh thiết yếu để đánh giá sự ổn định hoặc tiến triển của các tổn thương.
Ví dụ, một khối ở phổi không thay đổi trong nhiều năm thì khó có khả năng là ung thư phổi nguyên phát.
Ví dụ Lâm sàng: Dấu hiệu Kín đáo của Suy tim Sung huyết
Hãy bắt đầu bằng cách xem xét các phim X-quang ngực hiện tại.
Chỉ dựa trên các hình ảnh này, người đọc có thể nghi ngờ suy tim sung huyết (CHF), mặc dù các dấu hiệu còn khá kín đáo.
Bây giờ hãy xem lại phim cũ trước đó…
Việc cuộn qua lại giữa phim hiện tại và phim cũ giúp tăng đáng kể độ tin cậy trong chẩn đoán suy tim sung huyết.
Các dấu hiệu so sánh chính bao gồm:
- Kích thước tim: Tăng nhẹ so với phim trước; tuy nhiên, tim to đã hiện diện từ trước.
- Hệ mạch máu phổi: Cương tụ mạch máu nhẹ gợi ý tăng áp lực tĩnh mạch phổi.
- Hình ảnh mô kẽ: Dấu hiệu kín đáo của phù mô kẽ.
- Tràn dịch màng phổi: Tràn dịch lượng ít hai bên, với thay đổi kín đáo ở bờ dưới-sau của các thùy dưới, gợi ý tích tụ dịch.

1. Không có dấu hiệu silhouette trong đám đông đặc ở thùy dưới trái (mũi tên xanh dương). 2. Dấu hiệu silhouette trong đám đông đặc ở thùy lưỡi (mũi tên vàng).
Dấu hiệu Silhouette
Dấu hiệu silhouette đề cập đến sự mất đường bờ bình thường giữa các cấu trúc có tỷ trọng X-quang khác nhau, thường gặp nhất là phổi chứa khí tiếp giáp với các cấu trúc phần mềm như tim hoặc cơ hoành.
Dấu hiệu này có vai trò quan trọng trong việc phát hiện các tổn thương kín đáo và định khu tổn thương trong lồng ngực.
Minh họa Dấu hiệu Silhouette
- Không có Dấu hiệu Silhouette (Mũi tên Xanh dương)
- Tâm thất trái, nằm ở phía trước, bình thường được tiếp giáp với thùy lưỡi chứa khí của thùy trên trái.
- Nếu đông đặc xảy ra ở thùy dưới trái (phía sau), ranh giới giữa thùy lưỡi và tim vẫn còn nguyên vẹn, và bờ tim trái được bảo tồn.
- Dấu hiệu Silhouette Dương tính (Mũi tên Vàng)
- Khi đông đặc hiện diện ở thùy lưỡi, vùng này tiếp giáp trực tiếp với bờ tim trái, làm mờ bóng của tâm thất trái.
- Điều này cho thấy tổn thương nằm ở phía trước lồng ngực.
Dấu hiệu Silhouette – Các Ví dụ
Ca lâm sàng 1: Tư thế PA
- Bờ tim trái bị xóa mờ trên phim X-quang tư thế PA.
- Ngay cả khi chưa xem phim nghiêng, dấu hiệu này đã định khu tổn thương ở phân thùy trước của phổi trái, nhiều khả năng là thùy lưỡi.
- Chẩn đoán: Viêm phổi thùy do Streptococcus pneumoniae.
Ca lâm sàng 2: Tư thế PA
- Quan sát thấy đám đông đặc ở thùy dưới trái (mũi tên vàng).
- Bờ tim trái vẫn được xác định rõ với bóng silhouette bình thường (mũi tên xanh dương), cho thấy tổn thương nằm ở phía sau và không liên quan đến thùy lưỡi.
Dấu hiệu Silhouette – Phân tích Phim Nghiêng
Ca lâm sàng 3: Tư thế Nghiêng
- Có tăng độ mờ trên vùng cột sống ngực dưới.
- Phân tích kỹ đường bờ cơ hoành trên phim nghiêng giúp định khu tổn thương:
- Đường bờ vòm hoành phải không quan sát được ở phía sau, gợi ý sự hiện diện của tổn thương có tỷ trọng nước ở thùy dưới phải.
- Tiếp tục xem phim tư thế PA…
Phim PA của Cùng Bệnh nhân
- Bờ tim phải còn nguyên vẹn, xác nhận tổn thương không nằm ở phía trước—phù hợp với phim nghiêng.
- Câu hỏi: Tại sao bóng silhouette của vòm hoành phải vẫn còn nhìn thấy trên phim PA?
- Trả lời: Phần cơ hoành nhìn thấy được trên phim PA đại diện cho điểm cao nhất ở phía trước, vùng này không tiếp xúc với đám viêm phổi ở phía sau thùy dưới phải. Do đó, bóng silhouette bình thường và dấu hiệu silhouette vắng mặt.
Các Vùng Khuất trên X-quang Ngực
Một số vùng nhất định của lồng ngực dễ bị bỏ sót trên phim X-quang ngực thường quy do sự chồng lấp của các cấu trúc giải phẫu. Các vùng này được gọi là “vùng khuất”, và cần được chú ý đặc biệt trong quá trình đọc phim để tránh bỏ sót các tổn thương kín đáo hoặc có ý nghĩa lâm sàng quan trọng.
Các Vùng Khuất Chính:
- Vùng đỉnh phổi
- Vùng rốn phổi
- Vùng sau tim
- Vùng dưới hoành (bên dưới các vòm hoành)
Vùng Khuất (1)
Điều quan trọng cần nhận biết là một thể tích đáng kể của nhu mô phổi kéo dài xuống bên dưới vòm hoành, đặc biệt ở các phân thùy đáy sau của thùy dưới.
Vùng này (minh họa bằng màu xanh dương) cần được đánh giá cẩn thận.
Vùng Khuất (2): Tổn thương Thùy Dưới Phải
Ví dụ này minh họa một khối lớn ở thùy dưới phải khó nhận biết trên phim PA nếu không chú ý kỹ đến các vùng khuất.
- Khi quan sát ban đầu, tổn thương không rõ ràng.
- Tuy nhiên, khi tập trung xem xét vùng dưới hoành và vùng sau tim, bất thường trở nên rõ ràng hơn.
- Phóng to hình ảnh để quan sát tốt hơn.
Tim và Màng Ngoài Tim
Bờ Tim trên X-quang Ngực Thẳng
Trên phim X-quang ngực thẳng tiêu chuẩn, chỉ có thể quan sát được bờ ngoài của tim. Trong hầu hết các trường hợp, chúng ta có thể đánh giá kích thước tổng thể của tim và bóng tim, nhưng việc đánh giá từng buồng tim riêng lẻ là khó khăn. Tuy nhiên, hiểu biết về vị trí giải phẫu của các buồng tim giúp ích cho việc phân tích các thay đổi về hình dạng và bờ tim liên quan đến giãn buồng tim.
Nhĩ Trái (NT)
Đây là buồng tim nằm sau nhất, nhận máu đã được oxy hóa từ các tĩnh mạch phổi đổ vào nhĩ trái theo hướng gần như nằm ngang. Tiểu nhĩ trái đôi khi có thể nhìn thấy như một phần lồi nhỏ ngay bên dưới thân động mạch phổi (thấy rõ nhất trên tư thế nghiêng).
Dấu hiệu X-quang của giãn nhĩ trái:
- Tư thế thẳng (PA): Phồng bờ tim phải phía trên và mở rộng góc carina do hai phế quản gốc bị đẩy ra hai bên.
- Tư thế nghiêng: Phồng bờ tim sau-trên.
Nhĩ Phải (NP)
Nhận máu thiếu oxy từ tĩnh mạch chủ trên và tĩnh mạch chủ dưới.
Dấu hiệu X-quang của giãn nhĩ phải:
- Tư thế thẳng (PA): Bờ tim phải bị đẩy ra ngoài.
Thất Trái (TT)
Nằm ở phía sau và bên trái so với thất phải.
Dấu hiệu X-quang của giãn thất trái:
- Tư thế thẳng (PA): Bóng tim mở rộng sang trái
- Tư thế nghiêng: Phồng bờ tim dưới-sau.
Thất Phải (TP)
Vị trí: Buồng tim nằm trước nhất, ngay sau xương ức.
Dấu hiệu X-quang của giãn thất phải:
- Tư thế thẳng (PA): Giãn có thể đẩy bóng tim sang trái, trong các trường hợp nặng, bờ tim trái có thể được tạo thành bởi thất phải.
- Tư thế nghiêng: Lấp đầy khoang sau xương ức tiến triển dần, bắt đầu từ phía dưới và lan lên trên khi thất phải giãn to hơn.
Bờ Từng Buồng Tim trên Tư Thế Nghiêng
- Nhĩ Trái: Tạo thành bờ tim sau-trên; giãn gây phồng ra phía sau.
- Thất Trái: Tạo thành bờ tim sau-dưới; giãn gây di lệch ra sau-dưới.
- Thất Phải: Chiếm khoang sau xương ức phía dưới; giãn lấp đầy khoang sáng sau xương ức theo hướng từ dưới lên trên.
Các Ca Lâm Sàng Minh Họa
Giãn Nhĩ Trái
- Bệnh nhân có tiền sử bệnh van hai lá mạn tính và thay van tim.
- Giãn nhĩ trái mức độ nặng dẫn đến phồng cả bờ tim phải phía trên (mũi tên đen) và bờ tim sau trên tư thế nghiêng (mũi tên xanh dương).
Giãn Thất Phải
Hãy phân tích phim X-quang ngực tư thế thẳng và nghiêng trước, sau đó tiếp tục đọc.
Hình ảnh
- X-quang ngực cho thấy tim to mức độ nặng, chủ yếu do giãn thất phải (mũi tên vàng trên tư thế nghiêng).
- Cung động mạch chủ nhỏ (mũi tên xanh dương), kèm giãn thân động mạch phổi và động mạch phổi phải thùy dưới.
- Các dấu hiệu này gợi ý luồng thông trái-phải với tăng áp động mạch phổi thứ phát.
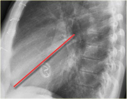
Giải Phẫu Van Tim trên X-quang Tư Thế Nghiêng
- Để xác định vị trí các van tim trên tư thế nghiêng, vẽ một đường từ carina đến mỏm tim:
- Phía trên đường: Van động mạch chủ và van động mạch phổi
- Phía dưới đường: Van ba lá và van hai lá (4)
Đường kẻ này giúp ước lượng vị trí các van tim và đánh giá tình trạng giãn từng buồng tim.
Lưu ý hình ảnh giãn thất trái mức độ nặng trên tư thế nghiêng này.
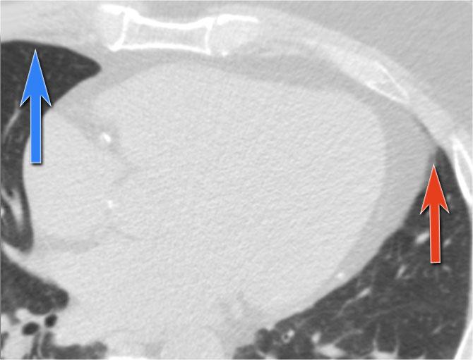
Khuyết tim (Cardiac incisura)
Ở bên phải, phổi thường tiếp xúc trực tiếp với thành ngực trước.
Ở bên trái, phần dưới của phổi có thể không chạm đến thành ngực trước do bị tim, mỡ màng ngoài tim hoặc tràn dịch màng ngoài tim xen vào.
Điều này tạo ra một vùng mờ mô mềm ở phần trước-dưới trên tư thế nghiêng, được gọi là khuyết tim (cardiac incisura).
Lưu ý:
- Khuyết tim là hình ảnh bình thường và không nên nhầm lẫn với tổn thương bệnh lý ở thùy lưỡi hoặc thùy giữa phổi phải.
Nhấp vào ảnh để phóng to…
Tương quan trên CT
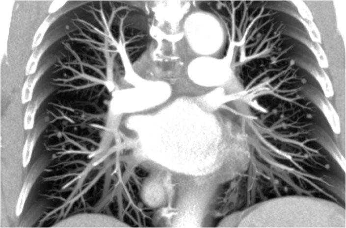
Giải thích cho hình ảnh khuyết tim được thể hiện rõ trên ảnh CT này.
Ở mức ngang tim dưới, thùy dưới phổi phải (mũi tên xanh dương) thường kéo dài ra phía trước nhiều hơn thùy dưới phổi trái (mũi tên đỏ), lý giải cho sự bất đối xứng của khuyết tim.
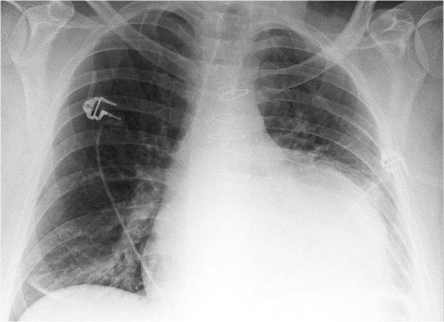
Máy Tạo Nhịp Tim
Có nhiều loại thiết bị tạo nhịp tim khác nhau, mỗi loại có cấu hình điện cực đặc trưng riêng.
Trong ví dụ này:
- Điện cực nhĩ phải
- Điện cực thất phải
- Điện cực thất trái qua xoang vành (sử dụng trong liệu pháp tái đồng bộ tim)
Chỉ định liệu pháp tái đồng bộ tim:
- Bệnh nhân có rối loạn đồng bộ thất được hưởng lợi từ tạo nhịp hai thất, giúp cải thiện sự phối hợp co bóp thất và tăng cung lượng tim.
Tràn dịch màng ngoài tim
Khi gặp hình ảnh bóng tim to trên X-quang ngực, cần thiết phải xem xét tràn dịch màng ngoài tim như một nguyên nhân có thể bắt chước hình ảnh tim to thực sự.
Ca Lâm Sàng 1: Tràn Dịch Màng Ngoài Tim Giả Tim To
- Trên phim X-quang ngực, bệnh nhân có vẻ như bị giãn tim.
- Tuy nhiên, hình ảnh CT cho thấy rõ ràng rằng sự to ra bề ngoài này là do tích tụ dịch màng ngoài tim đáng kể, chứ không phải do giãn buồng cơ tim thực sự.
Chảy Máu Màng Ngoài Tim Sau Phẫu Thuật
Ở bệnh nhân vừa trải qua phẫu thuật tim, sự thay đổi đột ngột kích thước tim trên X-quang ngực cần gợi lên nghi ngờ chảy máu màng ngoài tim, một biến chứng có thể đe dọa tính mạng.
Ca Lâm Sàng 2:
- Một bệnh nhân sau phẫu thuật có sự thay đổi bóng tim.
- Siêu âm tim chỉ phát hiện tràn dịch màng ngoài tim tối thiểu.
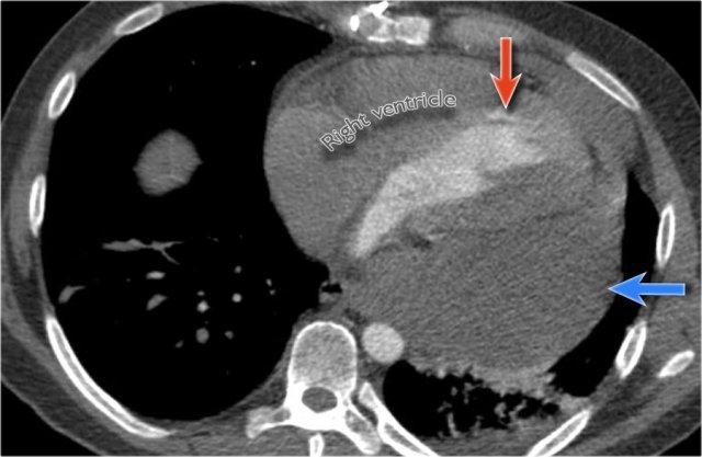
Ca Lâm Sàng 2 – Hình ảnh CT
- CT cho thấy tràn dịch màng ngoài tim sau lượng lớn đang chèn ép thất trái (mũi tên xanh dương: dịch tràn; mũi tên đỏ: thất trái bị chèn ép, có ngấm thuốc cản quang).
- Phẫu thuật thám sát xác nhận khối máu tụ màng ngoài tim sau lớn.
Lưu ý: Lượng dịch tối thiểu ở phía trước trên siêu âm có thể đánh giá thấp thể tích thực sự nếu dịch tràn khu trú ở phía sau, nhấn mạnh giá trị của CT trong các trường hợp sau phẫu thuật.
Đặc biệt ở những bệnh nhân vừa trải qua phẫu thuật tim, sự to ra của bóng tim có thể là dấu hiệu của chảy máu màng ngoài tim.
Bệnh nhân này có sự thay đổi hình dạng tim (tầm quan trọng của hình ảnh trước đó) và chảy máu màng ngoài tim được nghi ngờ.
Siêu âm chỉ phát hiện tràn dịch màng ngoài tim tối thiểu.
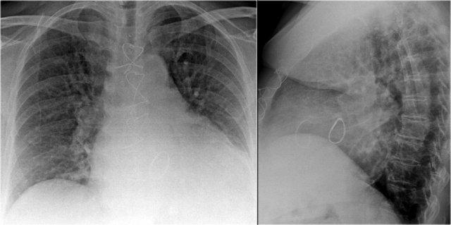
Ca Lâm Sàng 3: Thay Van Tim & Suy Tim
Sau thay van tim, bệnh nhân có bóng tim to rõ rệt trên X-quang ngực.
Hình ảnh
- Bóng tim lớn
- Có bằng chứng tái phân phối tuần hoàn phổi, gợi ý suy tim sung huyết.
Ca Lâm Sàng 3: Hình ảnh CT
CT cho thấy tràn dịch màng ngoài tim lượng lớn.
Lưu ý
Luôn so sánh phim X-quang ngực sau phẫu thuật với hình ảnh trước phẫu thuật để phát hiện các thay đổi theo thời gian như tràn dịch hoặc suy tim tiến triển.

Vôi hóa màng ngoài tim liên quan đến viêm mà
Rốn phổi
Bóng rốn phổi bình thường trên phim X-quang ngực có bản chất chủ yếu là mạch máu — bao gồm xấp xỉ 99% là các động mạch phổi và ở mức độ thấp hơn là các tĩnh mạch phổi (1).
Các cấu trúc mạch máu này có bờ viền rõ nét, nhẵn và thể hiện hình thái phân nhánh bình thường.
Hình ảnh
Tái tạo MIP dạng lát cắt dày theo mặt phẳng coronal tại mức rốn phổi.
Một đặc điểm giải phẫu quan trọng cần lưu ý là rốn phổi trái bình thường nằm cao hơn rốn phổi phải.
Mối tương quan này xuất phát từ đường đi của các động mạch phổi: động mạch phổi trái vòng cung qua phía trên phế quản gốc trái, trong khi động mạch phổi phải đi phía trước phế quản gốc phải — vốn thường nằm thấp hơn phế quản gốc trái.
Trong một số ít trường hợp, hai rốn phổi có thể nằm cùng mức, nhưng rốn phổi phải tuyệt đối không được nằm cao hơn rốn phổi trái.
Trong hình minh họa này, các động mạch phổi thùy dưới được tô màu xanh lam để biểu thị máu chưa được oxy hóa.
Các động mạch này có hướng đi thẳng đứng hơn so với các tĩnh mạch phổi, vốn chạy theo hướng nằm ngang hơn về phía nhĩ trái — nằm ở phía dưới so với mức các động mạch phổi chính.
Trên phim X-quang ngực tư thế nghiêng, cả động mạch và tĩnh mạch phổi đều có thể nhận diện được và không nên nhầm lẫn với hình ảnh hạch bạch huyết to. Đôi khi, các tĩnh mạch phổi có thể trông nổi bật hơn bình thường.
Động mạch phổi chính trái đi phía trên phế quản gốc trái và nằm cao hơn động mạch phổi phải — vốn đi phía trước phế quản gốc phải.
Các hình ảnh đính kèm là tái tạo CT lát cắt dày theo mặt phẳng sagittal của lồng ngực, giúp tăng cường khả năng hiển thị các cấu trúc rốn phổi.
Các động mạch phổi thùy dưới đi xuống từ rốn phổi theo hướng thẳng đứng.
Trên phim X-quang, các mạch máu này được gọi thông tục là “ngón út” do kích thước và hình dạng của chúng tương tự như ngón tay út (1).
Trên phim X-quang ngực tư thế thẳng (PA), “ngón út” của động mạch phổi thùy dưới phải có thể quan sát thấy ở khoảng 94% người bình thường, trong khi ở bên trái tỷ lệ này là khoảng 62% (1).
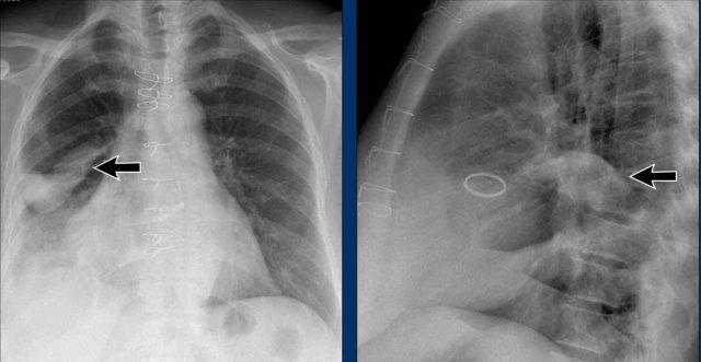
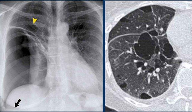
Ca lâm sàng
Bệnh nhân nam 70 tuổi nhập viện sau khi ngã xuống cầu thang, than phiền đau dữ dội vùng hông phải.
Kết quả hình ảnh
- Trên phim X-quang ngực tư thế thẳng (PA), không thấy hình ảnh ngón thứ năm bên phải.
- Trên tư thế nghiêng, có hình ảnh tăng tỷ trọng chiếu lên vùng cột sống ngực dưới.
Chẩn đoán của bạn là gì?
Các dấu hiệu phù hợp với xẹp phổi thùy dưới phải.
Trên tư thế thẳng (PA), lưu ý bờ tim phải có hình dạng bất thường. Động mạch phổi liên thùy phải không được nhìn thấy — do nó không được bao quanh bởi nhu mô phổi thông khí, mà thay vào đó là thùy dưới phải bị xẹp, nằm kề cạnh nhĩ phải.
Trên phim chụp kiểm tra, thùy dưới phải đã nở lại và hình ảnh xẹp phổi đã hồi phục.
Điều này gợi ý rằng xẹp phổi nhiều khả năng là do giảm thông khí sau chấn thương kèm theo nút nhầy.
Cũng ghi nhận trên phim kiểm tra là sự tái xuất hiện của ngón thứ năm bên phải (mũi tên đen) và sự phục hồi bờ tim phải bình thường (mũi tên trắng), xác nhận thùy dưới đã nở lại.
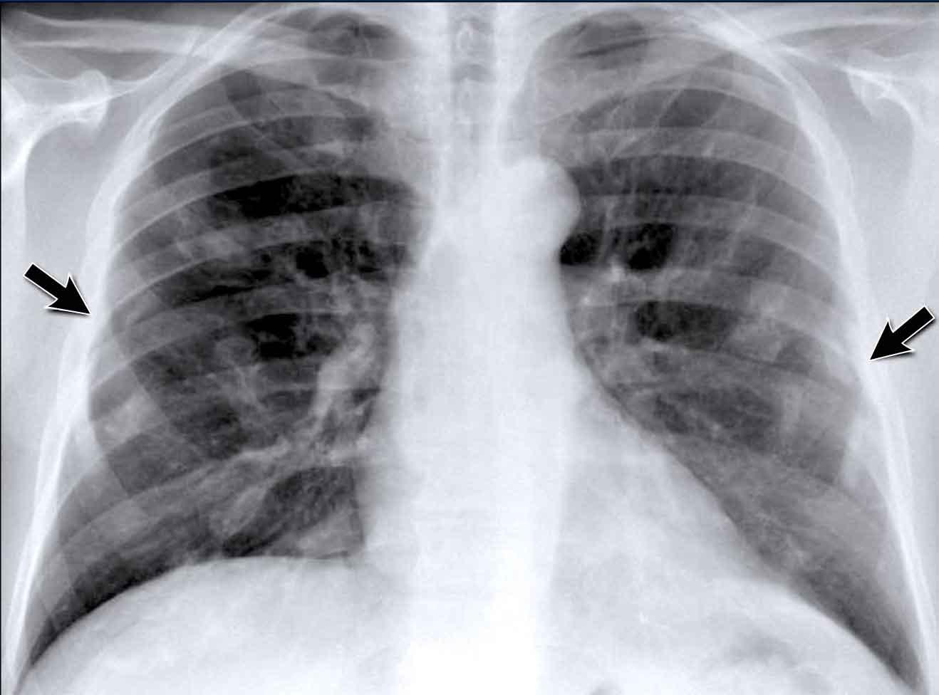
To rốn phổi
Bảng tóm tắt các nguyên nhân gây to rốn phổi.
Rốn phổi bình thường:
- Vị trí bình thường – rốn trái cao hơn rốn phải
- Tỷ trọng đồng đều hai bên
- Hình thái phân nhánh mạch máu bình thường
To rốn phổi thường do hạch bạch huyết to hoặc mạch máu giãn to.
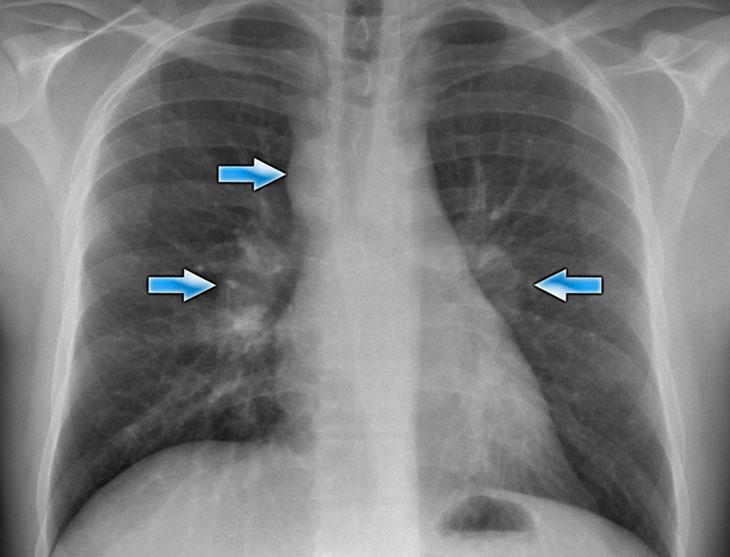
To rốn phổi – ca 1
Trong trường hợp này, bóng rốn phổi to ra ở cả hai bên. Nguyên nhân có thể do mạch máu giãn to hoặc hạch bạch huyết to. Một dấu hiệu rất có giá trị trong trường hợp này là khối nằm bên phải khí quản.
Đây được gọi là dấu hiệu 1-2-3 trong bệnh sarcoidosis, tức là to rốn phổi trái, rốn phổi phải và hạch cạnh khí quản.
Dưới đây là thêm một số ví dụ về bệnh sarcoidosis.
Nhấp vào hình để phóng to.
- Hạch bạch huyết to và hình ảnh kính mờ (ground-glass) ở phổi
- Hạch bạch huyết to, dấu hiệu 1-2-3
- Hạch bạch huyết to khối lớn
- Dấu hiệu 1-2-3
- Hình ảnh nốt ở phổi, không có hạch bạch huyết to
- Hạch bạch huyết rốn phổi và cạnh khí quản to
Trung thất
Các khối trung thất được thảo luận chi tiết hơn trong Khối trung thất.
Dưới đây chỉ là tổng quan ngắn gọn.
Trung thất có thể được chia thành khoang trước, khoang giữa và khoang sau, mỗi khoang có bệnh lý đặc trưng riêng.
Các đường trung thất
Các đường hoặc dải trung thất là ranh giới tiếp xúc giữa mô mềm của các cấu trúc trung thất và nhu mô phổi.
Sự dịch chuyển của các đường này rất có giá trị trong việc phát hiện bệnh lý trung thất, như đã được thảo luận ở trên.
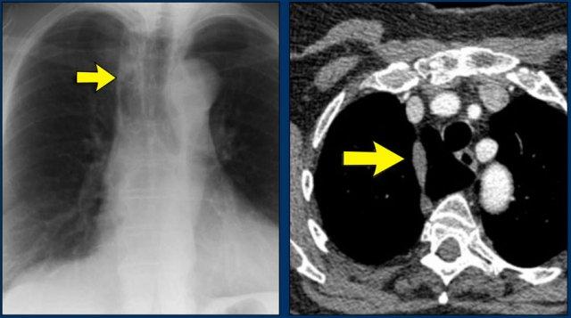
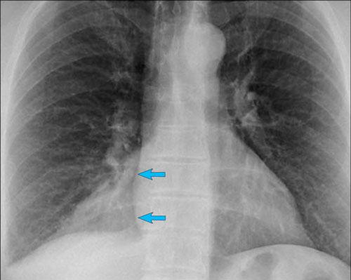
Đường azygô-thực quản
Đường trung thất quan trọng nhất cần tìm kiếm là đường azygô-thực quản, tạo nên ranh giới của ngách azygô-thực quản.
Đường này có thể nhìn thấy trên hầu hết các phim X-quang ngực thẳng.
Các nguyên nhân gây dịch chuyển đường này được tóm tắt trong bảng.
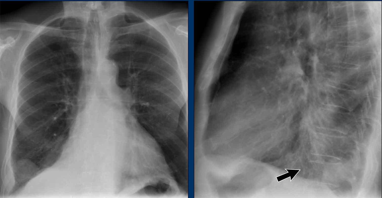
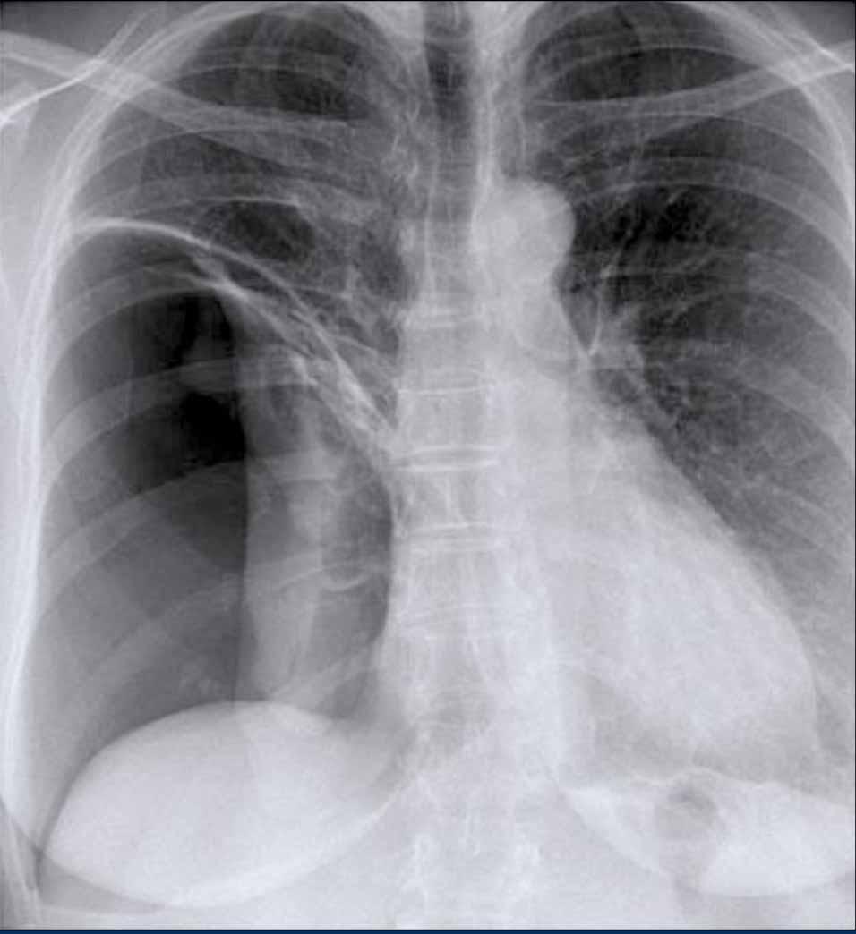
Dịch chuyển đường azygô-thực quản (1) – Thoát vị hoành
Thoát vị hoành (đầu mũi tên) là nguyên nhân phổ biến nhất gây dịch chuyển đường azygô-thực quản quan sát thấy trên phim tư thế thẳng (PA).
Lưu ý hình ảnh khí trong túi thoát vị trên phim tư thế nghiêng (mũi tên đen).
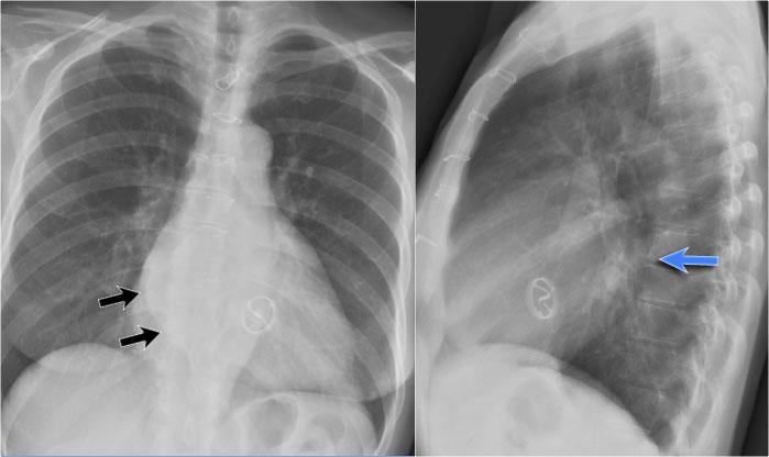
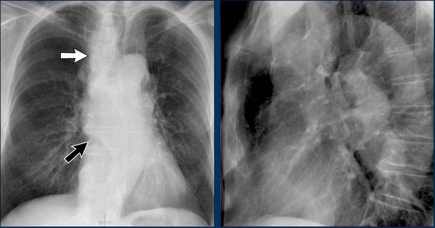
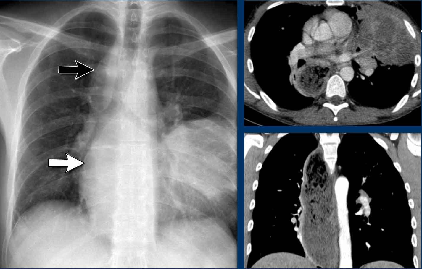
Dịch chuyển đường azygô-thực quản (2) – Hạch to dưới carina
Một nguyên nhân thường gặp gây dịch chuyển đường azygô-thực quản là hạch to dưới carina (trạm 7).
Trên phim X-quang ngực, lưu ý hình ảnh đường azygô-thực quản bị đẩy lên trên ngay dưới carina, phù hợp với hình ảnh hạch bạch huyết dưới carina to (mũi tên đen).
Ngoài ra còn thấy hạch to cạnh khí quản phải, đẩy dải cạnh khí quản phải (mũi tên trắng) và làm lệch khí quản sang trái.
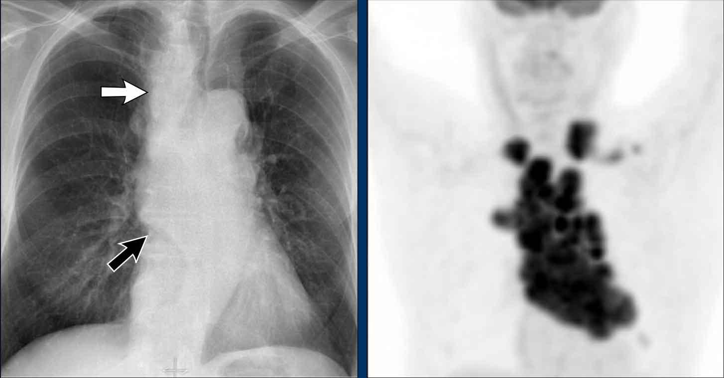
Tiếp tục với hình ảnh PET-CT…
Hình ảnh PET
- PET-CT cho thấy hình ảnh hạch to tăng chuyển hóa lan rộng ở trung thất và vùng cổ, rõ ràng hơn so với trên phim X-quang ngực.
- Các hạch bạch huyết vùng cổ có liên quan — đây là phát hiện quan trọng vì chúng có thể tiếp cận được để sinh thiết.
Tiếp tục với hình ảnh CT và siêu âm…
Hình ảnh CT
- CT có thuốc cản quang cho thấy hạch to dưới carina kích thước lớn, đẩy lệch ngách azygô-thực quản và chèn ép nhĩ trái.
- Sinh thiết hạch vùng cổ xác nhận ung thư phổi tế bào nhỏ.
Dịch chuyển đường azygô-thực quản (3)
Trước tiên hãy phân tích phim X-quang ngực.
Sau đó tiếp tục đọc.
Dấu hiệu hình ảnh
- Dịch chuyển đường azygô-thực quản cả lên trên lẫn xuống dưới
- Hình ảnh mức khí-dịch, phù hợp với thực quản giãn chứa dịch
- Đám mờ quanh rốn phổi trái ở vùng lưỡi phổi, được cho là do viêm phổi hít trước đó
Chẩn đoán của bạn là gì?
Tiếp tục với phim X-quang ngực cũ và CT…
Phim X-quang ngực cũ:
- Tư thế AP cho thấy khối cạnh khí quản phải
- Ngách azygô-thực quản không quan sát được; bị đẩy lệch và chạy song song với bờ nhĩ phải
- Đám mờ hình tròn lớn ở phổi trái phù hợp với viêm phổi hít
Hình ảnh CT:
- Thực quản giãn rõ rệt
- Không có bằng chứng về khối gây tắc nghẽn tại chỗ nối dạ dày-thực quản
- Chẩn đoán: Achalasia (co thắt tâm vị)
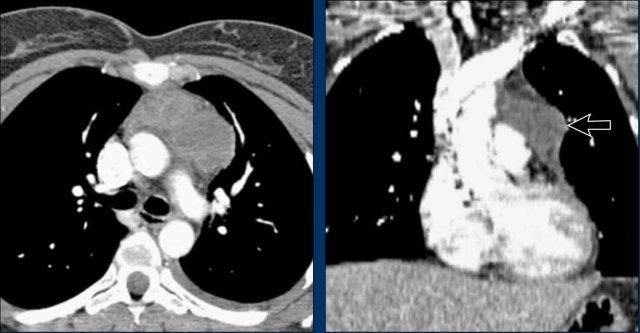
Cửa sổ động mạch chủ-phổi
Cửa sổ động mạch chủ-phổi (cửa sổ AP) nằm giữa cung động mạch chủ và thân động mạch phổi; bờ ngoài của nó thường có hình lõm hoặc thẳng.
Bệnh lý cửa sổ AP – ca lâm sàng 1
Hình ảnh
- Phim PA cho thấy khối lấp đầy cửa sổ động mạch chủ-phổi
- Phim nghiêng không thấy mạch máu phổi to (mũi tên đen), nhưng thấy khối nhô vào khoang sau xương ức (mũi tên trắng)
Tiếp tục với hình ảnh CT…
Hình ảnh CT
- Phát hiện khối ở trung thất trước.
- Chẩn đoán cuối cùng: U lympho Hodgkin.
Khối cửa sổ AP – ca lâm sàng 2
Hình ảnh
- Phim X-quang ngực tư thế PA cho thấy khối chiếm chỗ cửa sổ động mạch chủ-phổi
Tiếp tục với hình ảnh PET-CT…
PET-CT
Phổi
Các bất thường ở phổi thường biểu hiện dưới dạng các vùng có tỷ trọng tăng, có thể được phân loại theo các dạng tổn thương sau:
- Đông đặc
- Xẹp phổi
- Nốt hoặc khối – đơn độc hoặc đa ổ
- Tổn thương mô kẽ
Ít gặp hơn là các vùng có tỷ trọng giảm, như trong khí phế thũng hoặc nang phổi.
Các dạng tổn thương phổi này được thảo luận trong X-quang ngực – Bệnh lý phổi tiếp cận theo bốn dạng tổn thương.
Nốt – Khối
Nhấn vào hình để phóng to.
Các nốt và khối được thảo luận tại đây…
Nốt phổi đơn độc – SPN được thảo luận tại đây.
Màng phổi
Tràn dịch màng phổi
Ca lâm sàng minh họa
Bệnh nhân viêm màng phổi do ung thư hai bên.
Hình ảnh
- Mờ đục hoàn toàn nửa lồng ngực phải.
- Dấu hiệu khí phế quản đồ ở phế quản gốc phải (đầu mũi tên), cho thấy xẹp phổi do chèn ép bởi tràn dịch lượng lớn.
Tràn dịch màng phổi khu trú (“Khối u biến mất”)
- Tràn dịch màng phổi khu trú có thể bị giữ lại trong các khe liên thùy, thường tạo hình ảnh giả khối u.
- Tình trạng này đôi khi được gọi là “khối u biến mất”, do tổn thương tự thoái triển khi điều trị nguyên nhân gây tràn dịch.
Tràn khí màng phổi
Nguyên nhân:
Các nguyên nhân thường gặp của tràn khí màng phổi bao gồm chấn thương, vỡ tự phát các bóng khí dưới màng phổi và các biến cố do thủ thuật y tế.
Một bệnh phổi dạng nang khác gây tràn khí màng phổi là Bệnh mô bào Langerhans (LCH), thường gặp ở người hút thuốc lá.
Ca lâm sàng 1
Hãy phân tích phim X-quang ngực.
Có hai dấu hiệu quan trọng cần nhận biết.
Sau đó tiếp tục đọc…
Ca lâm sàng 1 – Tràn khí tràn dịch màng phổi
- Phim X-quang ngực cho thấy lá tạng màng phổi bị co rút vào trong (mũi tên xanh), phù hợp với tràn khí màng phổi.
- Mức khí-dịch nằm ngang (mũi tên vàng) được ghi nhận, xác nhận tràn khí tràn dịch màng phổi.
Thông thường không có đường thẳng nào trong cơ thể người, trừ khi có mức khí-dịch.
- Trong tràn khí màng phổi lượng nhỏ, đây có thể là dấu hiệu chẩn đoán duy nhất.
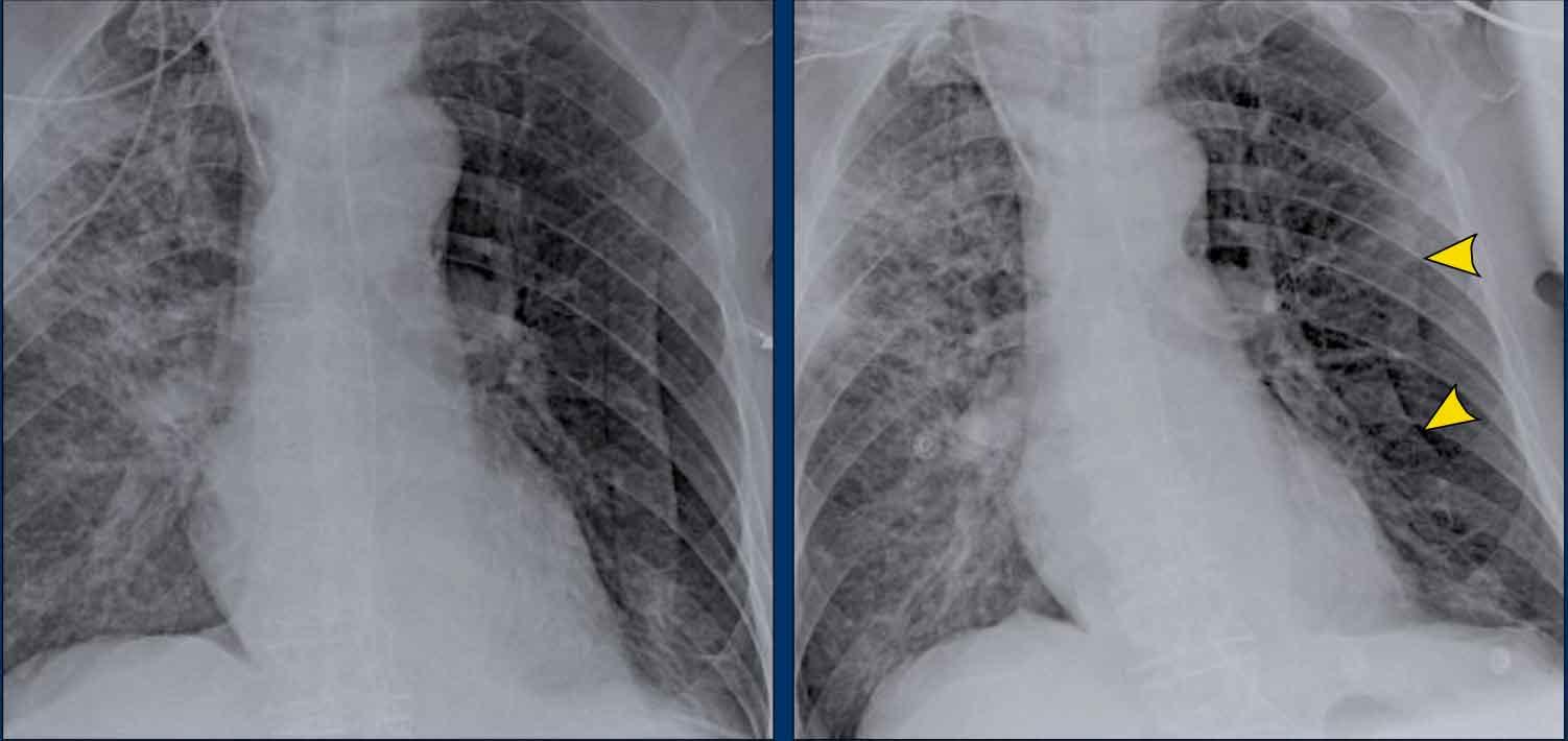
Ca lâm sàng 2 – Tràn khí màng phổi
Hãy phân tích phim X-quang ngực.
Có 3 dấu hiệu quan trọng cần nhận biết.
Lưu ý trung thất bị lệch nhẹ sang trái.
Điều này có đồng nghĩa với tràn khí màng phổi áp lực không?
Bạn có thể đoán nguyên nhân gây tràn khí màng phổi không?
Ca lâm sàng 2 – Bệnh phổi dạng nang kèm tràn khí tràn dịch màng phổi
- X-quang ngực
- Lệch trung thất sang trái
- Mức khí-dịch (tràn khí tràn dịch màng phổi) (mũi tên đen)
- Dính thùy trên vào thành ngực. Có thể bệnh nhân này đã được điều trị tràn khí màng phổi trước đó.
- Nang phổi ở thùy trên phổi phải (đầu mũi tên vàng)
Kết luận
Đây là trường hợp bệnh nhân nữ mắc bệnh phổi dạng nang, có thể đã từng bị tràn khí màng phổi nhiều lần trước đó.
Chẩn đoán có khả năng nhất là u cơ trơn bạch mạch phổi (LAM), một bệnh phổi dạng nang hiếm gặp đặc trưng bởi sự tăng sinh tế bào cơ trơn, dẫn đến tắc nghẽn đường thở, hình thành nang phổi và tràn khí màng phổi tái phát.
LAM có thể xảy ra tự phát hoặc liên quan đến bệnh xơ cứng củ (TSC).
Hình ảnh giả tràn khí màng phổi – Nếp gấp da
- Phim X-quang ngực cho thấy một đường mờ giả tràn khí màng phổi, tuy nhiên vẫn quan sát thấy các nhánh mạch máu phổi vượt qua đường này, xác nhận đây là xảo ảnh do nếp gấp da.
- Nguyên nhân do tư thế nằm ngửa và đặt cassette không đúng cách tạo ra nếp gấp da.
Hình ảnh giả tràn khí màng phổi – Nếp gấp da
Các hình ảnh bổ sung minh họa các xảo ảnh tương tự ở một bệnh nhân khác với nếp gấp da rõ ràng.
Phát hiện tràn khí màng phổi trên phim chụp tư thế nằm ngửa
- Khả năng phát hiện phụ thuộc vào thể tích khí và tư thế bệnh nhân.
- Có đến 30% trường hợp tràn khí màng phổi bị bỏ sót trên phim chụp tư thế nằm ngửa.
- Dấu hiệu then chốt: Dấu hiệu góc sườn hoành sâu – vùng sáng ở góc sườn hoành bên kéo dài xuống dưới về phía hạ sườn.
Ca lâm sàng
- Bệnh nhân ICU đang thở máy, có tình trạng suy hô hấp cấp tính.
- Phim X-quang ngực cho thấy:
- Dấu hiệu góc sườn hoành sâu bên trái
- Cơ hoành trái bị đẩy xuống thấp – gợi ý tràn khí màng phổi áp lực
Theo dõi sau can thiệp
Sau khi đặt dẫn lưu màng phổi, cơ hoành trở về vị trí bình thường (mũi tên), xác nhận đã giải áp thành công.
Mờ đục màng phổi
Nguyên nhân thường gặp
Xem bảng tham khảo.
Mảng màng phổi (Liên quan đến amiăng)
- Ghi nhận nhiều tổn thương mờ đục màng phổi không đều.
- Một số tổn thương bám theo đường viền thành ngực (mũi tên).
- Đặc điểm điển hình của mảng màng phổi liên quan đến amiăng:
- Hai bên, lan rộng
- Thường liên quan đến vòm cơ hoành
Mờ đục màng phổi vôi hóa một bên có thể gợi ý:
- Lao phổi (TB)
- Mủ màng phổi
- Tràn dịch màng phổi do xuất huyết
Tụ máu màng phổi
- Ghi nhận ở bệnh nhân sau chấn thương ngực.
- Biểu hiện là tổn thương mờ đục màng phổi, được xác định là tụ máu (mũi tên).
- Tự thoái triển trên hình ảnh theo dõi.
Thành ngực
Gãy Xương Sườn
Bất thường thành ngực thường gặp nhất trên X-quang ngực là gãy xương sườn đã lành.
Phim X-quang cho thấy nhiều biến dạng xương sườn phù hợp với hình ảnh gãy xương cũ (các mũi tên).
Gãy xương sườn có hình ảnh giả khối u
- Gãy xương đang trong quá trình lành có thể hình thành can xương, dễ nhầm lẫn với khối u phổi (mũi tên xanh).
- Trong một số trường hợp, cần chụp CT để phân biệt giữa gãy xương sườn đang lành và tổn thương phổi thực sự.
Các Dấu Hiệu Kèm Theo
Ghi nhận thể tích phổi tăng và động mạch phổi nổi bật, gợi ý tăng áp động mạch phổi, có thể trong bối cảnh bệnh phổi tắc nghẽn mạn tính (COPD).
Di Căn Xương
- Bất thường thành ngực thường gặp thứ hai là di căn xương liên quan đến xương sườn và thân đốt sống.
- Ví dụ: Ghi nhận một tổn thương dạng phồng xương ở mặt sau của một xương sườn phải, phù hợp với bệnh lý di căn.
Bụng
Khí Tự Do Trong Ổ Bụng Trên X-Quang Ngực
Tràn khí phúc mạc:
- Dấu hiệu nổi bật nhất trên phim X-quang ngực là sự hiện diện của khí tự do trong phúc mạc dưới cơ hoành, gợi ý thủng tạng rỗng.
- Chẩn đoán phân biệt bao gồm tràn khí phúc mạc sau phẫu thuật, có thể tồn tại trong vài ngày sau phẫu thuật bụng.
Tổn Thương Lồng Ngực Tình Cờ
- Một đám mờ nhỏ có thể thấy ở phía trên xương sườn thứ nhất tại thùy trên phổi trái, nằm trong vùng gọi là “vùng khuất”.
- Tổn thương này sau đó được chẩn đoán là ung thư phổi nguyên phát.
Một Ví Dụ Khác Về Khí Tự Do
- Bệnh nhân thứ hai có hình ảnh khí tự do dưới cơ hoành.
- Có thể thấy đường viền cơ hoành mỏng, bờ rõ nét (mũi tên), giúp phân biệt với xẹp phổi dạng dải, vốn có thể có hình ảnh tương tự trong trường hợp hít vào không đủ sâu.
Từ Thiện
Toàn bộ lợi nhuận từ Radiology Assistant được dành cho tổ chức Medical Action Myanmar, do Bác sĩ Nini Tun và Bác sĩ Frank Smithuis sr điều hành. Bác sĩ Frank Smithuis sr là giáo sư tại Đại học Oxford và cũng là anh trai của Robin Smithuis.
Nhấn vào đây để xem video về Medical Action Myanmar và nếu bạn thấy Radiology Assistant hữu ích, xin hãy ủng hộ Medical Action Myanmar bằng một món quà.































































































