X-quang ngực – Bệnh phổi
Ngày xuất bản
Trên phim X-quang ngực, các bất thường của phổi sẽ biểu hiện dưới dạng các vùng tăng tỷ trọng hoặc các vùng giảm tỷ trọng.
Các bất thường phổi với tỷ trọng tăng – còn gọi là các đám mờ – là phổ biến nhất.
Một cách tiếp cận thực tế là phân chia chúng thành bốn kiểu hình:
- Đông đặc (Consolidation)
- Mô kẽ (Interstitial)
- Nốt hoặc khối (Nodules or masses)
- Xẹp phổi (Atelectasis)
Trong bài viết này, chúng tôi sẽ tập trung vào cách tiếp cận theo bốn kiểu hình này.
Ở phần cuối, chúng tôi cũng sẽ thảo luận về các bệnh lý biểu hiện dưới dạng các vùng giảm tỷ trọng.
Tiếp cận 4 kiểu hình tổn thương
Bất cứ khi nào phát hiện một vùng tăng tỷ trọng trong nhu mô phổi, tổn thương đó nhất thiết phải là kết quả của một trong bốn kiểu hình sau.
- Đông đặc (Consolidation) – bất kỳ quá trình bệnh lý nào lấp đầy phế nang bằng dịch, mủ, máu, tế bào (bao gồm tế bào u) hoặc các chất khác, tạo ra các đám mờ không rõ ranh giới theo thùy, lan tỏa hoặc đa ổ.
- Mô kẽ (Interstitial) – tổn thương liên quan đến mô đệm nâng đỡ của nhu mô phổi, tạo ra các đám mờ dạng lưới mịn hoặc thô, hoặc các nốt nhỏ.
- Nốt hoặc khối (Nodule or mass) – bất kỳ tổn thương chiếm chỗ nào, có thể đơn độc hoặc đa ổ.
- Xẹp phổi (Atelectasis) – xẹp một phần phổi do giảm lượng khí trong phế nang, dẫn đến mất thể tích và tăng tỷ trọng.
Dưới đây là các ví dụ điển hình nhất của bốn kiểu hình tổn thương trên phim X-quang ngực (nhấp vào hình để phóng to).
- Đông đặc
- Đông đặc theo thùy
- Đông đặc lan tỏa
- Đông đặc đa ổ, bờ không rõ
- Mô kẽ
- Đám mờ mô kẽ dạng lưới
- Đám mờ mô kẽ dạng nốt mịn
- Nốt hoặc khối
- Nốt phổi đơn độc
- Đa khối
- Xẹp phổi
Cần lưu ý rằng không phải lúc nào cũng có thể phân loại các bất thường phổi vào một trong bốn kiểu hình này, tuy nhiên điều đó không phải là vấn đề đáng lo ngại.
Đôi khi bạn gặp một bất thường trông giống như một khối, nhưng cũng có thể là đông đặc.
Trong trường hợp đó, hãy tiến hành chẩn đoán phân biệt cho cả hai khả năng: khối và đông đặc.
Trong những trường hợp như vậy, thông tin từ dữ liệu lâm sàng, phim cũ hoặc phim theo dõi và chụp CT thường sẽ giúp giải quyết vấn đề.
Cuối cùng, trong một số trường hợp, chỉ có sinh thiết mới cho phép xác định chẩn đoán.
Đông đặc
Đông đặc là hậu quả của việc không khí trong các phế nang bị thay thế bởi dịch thấm, mủ, máu, tế bào hoặc các chất khác.
Viêm phổi là nguyên nhân phổ biến nhất gây đông đặc.
Bệnh thường khởi phát trong các phế nang và lan từ phế nang này sang phế nang khác.
Khi đến rãnh liên thùy, sự lan rộng sẽ dừng lại tại đó.
Các dấu hiệu chính trên X-quang bao gồm:
- Mờ đồng nhất bờ không rõ che khuất các mạch máu
- Dấu hiệu bóng mờ (Silhouette sign): mất ranh giới giữa phổi và phần mềm
- Dấu hiệu khí phế quản đồ (Air-bronchogram)
- Lan đến màng phổi hoặc rãnh liên thùy nhưng không vượt qua
- Không có mất thể tích
Chẩn đoán phân biệt
Bảng tóm tắt các bệnh phổ biến nhất biểu hiện với hình ảnh đông đặc.
Nhấp để phóng to.
Các bệnh mạn tính được đánh dấu màu đỏ.
Một cách tiếp cận chẩn đoán phân biệt là suy nghĩ về thành phần có thể có trong lòng phế nang:
- Nước – dịch thấm.
- Mủ – dịch tiết.
- Máu – xuất huyết.
- Tế bào – u, viêm mạn tính.
Một cách tiếp cận khác đối với đông đặc là xem xét kiểu phân bố tổn thương:
- Lan tỏa – quanh rốn phổi (kiểu cánh dơi – batwing) hoặc ngoại vi (kiểu cánh dơi đảo ngược – reversed batwing).
- Theo thùy hoặc khu trú.
- Đa ổ – thường là nhiều vùng mờ bờ không rõ.
Rõ ràng là một số bệnh có thể có nhiều hơn một kiểu phân bố.
Ví dụ, viêm phổi thùy do Streptococcus pneumoniae có thể trở nên lan tỏa nếu bệnh nhân không đáp ứng với điều trị.
Các ví dụ khác bao gồm viêm phổi tổ chức hóa (OP) và viêm phổi tăng bạch cầu ái toan mạn tính.
Các bệnh này thường biểu hiện dưới dạng đông đặc đa ổ, nhưng đôi khi có thể trở nên lan tỏa.
OP là viêm phổi tổ chức hóa. Khi không rõ nguyên nhân, bệnh được gọi là viêm phổi tổ chức hóa ẩn nguyên (COP). Tên cũ là BOOP – Viêm tiểu phế quản tắc nghẽn kèm viêm phổi tổ chức hóa.
Tên mới của BAC – ung thư phế quản phế nang là ung thư biểu mô tuyến tại chỗ.
Việc phân biệt giữa đông đặc cấp tính và đông đặc mạn tính là rất quan trọng, vì điều này sẽ giúp thu hẹp chẩn đoán phân biệt.
Trong bệnh mạn tính, chúng ta nghĩ đến:
- U tân sinh kèm viêm phổi tắc nghẽn sau tắc nghẽn theo thùy hoặc phân thùy.
- U tân sinh phổi như ung thư phế quản phế nang và u lympho.
- Các bệnh mạn tính sau nhiễm trùng như viêm phổi tổ chức hóa (OP) hoặc viêm phổi tăng bạch cầu ái toan mạn tính, cả hai đều biểu hiện với nhiều vùng đông đặc ngoại vi.
- Sarcoidosis là bệnh có khả năng bắt chước nhiều bệnh khác và đôi khi các nốt u hạt nhỏ và lan tỏa đến mức có thể biểu hiện như hình ảnh đông đặc.
Đây được gọi là sarcoidosis phế nang. - Protein phế nang (Alveolar proteinosis) là một bệnh mạn tính hiếm gặp, đặc trưng bởi sự lấp đầy các phế nang bằng chất liệu giàu protein.
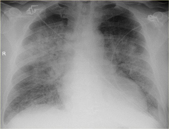
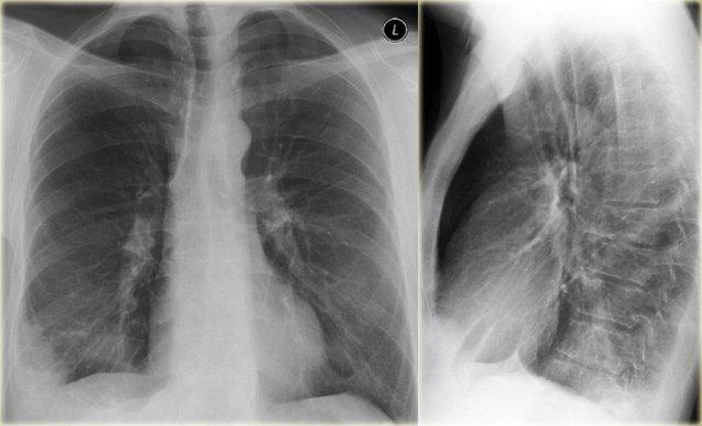
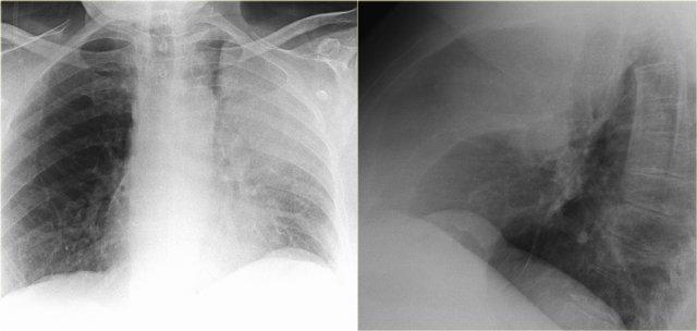
Đông đặc theo thùy
Biểu hiện phổ biến nhất của đông đặc là theo thùy hoặc phân thùy.
Chẩn đoán thường gặp nhất là viêm phổi thùy.
Bảng liệt kê các chẩn đoán phân biệt.
Đây là hình ảnh đông đặc thùy điển hình.
Hãy quan sát kỹ hình ảnh trước, sau đó tiếp tục đọc.
Các dấu hiệu bao gồm:
- Tăng tỷ trọng với bờ không rõ ở phổi trái
- Bóng tim vẫn còn nhìn thấy, điều này có nghĩa là vùng tăng tỷ trọng nằm ở thùy dưới
- Dấu hiệu khí phế quản đồ
Đông đặc thùy là kết quả của bệnh lý khởi phát ở ngoại vi và lan từ phế nang này sang phế nang khác qua các lỗ Kohn.
Ở vùng ranh giới của tổn thương, một số phế nang bị tổn thương trong khi các phế nang khác thì không, tạo ra bờ không rõ.
Khi bệnh lan đến rãnh liên thùy, sẽ tạo ra ranh giới sắc nét vì đông đặc không vượt qua rãnh liên thùy.
Khi các phế nang bao quanh phế quản trở nên đặc hơn, phế quản sẽ trở nên rõ hơn, tạo ra dấu hiệu khí phế quản đồ (mũi tên).
Trong đông đặc, không nên có hoặc chỉ có mất thể tích tối thiểu, điều này giúp phân biệt đông đặc với xẹp phổi.
Giãn nở của thùy phổi đông đặc không phổ biến và được thấy trong viêm phổi do Klebsiella pneumoniae và đôi khi trong Streptococcus pneumoniae, lao và ung thư phổi kèm viêm phổi tắc nghẽn.
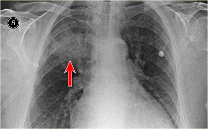
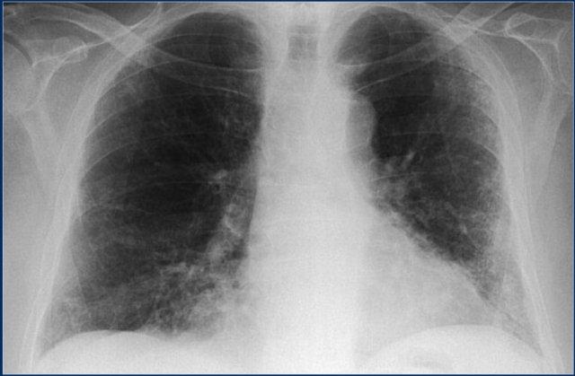
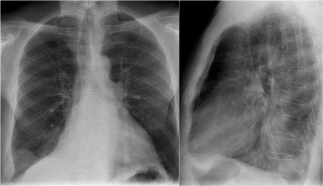
Viêm phổi thùy
Trên X-quang ngực có vùng tăng tỷ trọng bờ không rõ ở thùy trên phổi phải mà không có mất thể tích.
Rốn phổi phải ở vị trí bình thường.
Lưu ý dấu hiệu khí phế quản đồ (mũi tên).
Trong bối cảnh lâm sàng phù hợp, đây rất có thể là viêm phổi thùy hoặc phân thùy.
Tuy nhiên, nếu bệnh nhân này có sụt cân hoặc triệu chứng kéo dài, chúng ta cần đưa vào danh sách các nguyên nhân gây đông đặc mạn tính.
Đây là trường hợp viêm phổi thùy cấp tính do Streptococcus pneumoniae.
Chỉ dựa vào hình ảnh, thường không thể xác định nguyên nhân gây đông đặc.
Cần xem xét các yếu tố khác như bệnh cấp tính hay mạn tính, dữ liệu lâm sàng và các dấu hiệu ngoài phổi.
Đây là một số X-quang có hình ảnh đông đặc.
Lưu ý sự tương đồng giữa các X-quang ngực này.
- Viêm phổi thùy – ở bệnh nhân có ho và sốt.
- Xuất huyết phổi – ở bệnh nhân có ho ra máu.
- Viêm phổi tổ chức hóa (OP) – đông đặc mạn tính đa ổ.
- Nhồi máu – đông đặc ngoại vi ở bệnh nhân khó thở cấp tính với mức oxy thấp và D-dimer cao.
- Phù phổi do tim – lấp đầy phế nang bằng dịch thấm ở bệnh nhân suy tim sung huyết. Điều này sẽ rõ ràng hơn nếu được xem toàn bộ hình ảnh.
- Sarcoidosis – thoạt nhìn trông giống đông đặc, nhưng thực ra đây là bệnh phổi kẽ dạng nốt lan rộng đến mức trông giống như đông đặc.
Xuất huyết
Trong trường hợp này, có một nốt đơn độc ở thùy trên phổi phải và đã được tiến hành sinh thiết.
Đông đặc thùy là kết quả của xuất huyết như một biến chứng của thủ thuật.
Xuất huyết được gặp trong:
- Đụng dập phổi
- Nhồi máu phổi
- Rối loạn đông máu: bạch cầu cấp, liệu pháp kháng đông, đông máu nội mạch lan tỏa.
- Viêm mạch: lupus ban đỏ hệ thống (SLE), hội chứng Goodpasture, u hạt Wegener
Nhồi máu phổi
Các dấu hiệu X-quang của thuyên tắc huyết khối phổi cấp tính thường không nhạy và không đặc hiệu.
Các dấu hiệu X-quang phổ biến nhất trong nghiên cứu PIOPED (Nghiên cứu Tiền cứu về Chẩn đoán Thuyên tắc Phổi) là xẹp phổi và mờ phổi dạng đốm.
Trong hầu hết các trường hợp thuyên tắc phổi, X-quang ngực bình thường.
Bệnh nhân này có thuyên tắc phổi được phát hiện trên CT có thuốc cản quang (CECT).
Đông đặc ngoại vi được thấy ở vùng có thuyên tắc và có thể được quy cho xuất huyết trong vùng nhồi máu.
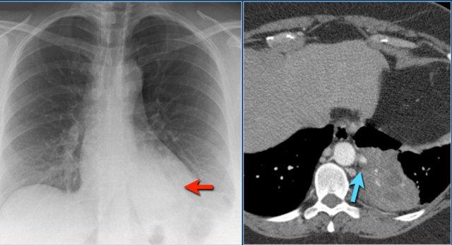
Phổi biệt lập (Pulmonary sequestration)
Đây là nguyên nhân không phổ biến gây đông đặc thùy.
Đây là một bất thường bẩm sinh.
Một phần phổi không hoạt động thiếu sự thông thương với cây phế quản và nhận nguồn cung cấp máu động mạch từ tuần hoàn hệ thống.
Bệnh nhân biểu hiện với nhiễm trùng tái phát khi vi khuẩn di chuyển qua các lỗ Kohn.
Lưu ý động mạch nuôi dưỡng phân nhánh từ động mạch chủ (mũi tên xanh).
Đông đặc lan tỏa
Nguyên nhân phổ biến nhất của đông đặc lan tỏa là phù phổi do suy tim.
Đây còn được gọi là phù phổi do tim, để phân biệt với các nguyên nhân khác nhau của phù phổi không do tim.
Kích thước tim tăng thường là yếu tố phân biệt giữa phù phổi do tim và không do tim.
Cần tìm kiếm các dấu hiệu khác của suy tim như tái phân bố lưu lượng máu phổi, đường Kerley B và tràn dịch màng phổi.
Tuy nhiên, một số bệnh nhân bị nhồi máu cơ tim cấp vẫn có thể có kích thước tim bình thường, trong khi các bệnh nhân khác có tim to do bệnh tim mạn tính có thể bị phù phổi không do tim do nhiễm trùng phổi chồng lên, ARDS, gần chết đuối, v.v.

Bệnh mô kẽ
Chẩn đoán phân biệt trên HRCT
Phần lớn kiến thức của chúng ta về các dấu hiệu hình ảnh trong bệnh phổi mô kẽ đến từ HRCT.
Trên HRCT có bốn kiểu hình ảnh: dạng lưới, dạng nốt, tăng tỷ trọng và giảm tỷ trọng (bảng).
Trên phim X-quang ngực thẳng, việc xác định có hay không bệnh phổi mô kẽ và xác định loại kiểu hình ảnh đang gặp phải có thể rất khó khăn.
Trên phim X-quang ngực thẳng, kiểu hình ảnh phổ biến nhất là dạng lưới.
Kiểu hình ảnh kính mờ thường không được phát hiện trên phim X-quang ngực thẳng.
Kiểu hình ảnh dạng nang cũng khó nhận biết trên phim X-quang ngực thẳng.
Khi các nang có thành dày như trong bệnh mô bào Langerhans hoặc tổ ong hóa, chúng thường biểu hiện dưới dạng kiểu lưới trên phim X-quang ngực thẳng.
Tuy nhiên, đôi khi có thể nhận thấy kiểu hình ảnh mô kẽ và trong nhiều trường hợp có thể nghi ngờ UIP dựa trên các dấu hiệu X-quang.
Dạng nang so với dạng lưới
Có thể khó phân biệt liệu chúng ta đang đối mặt với kiểu hình ảnh dạng lưới hay dạng nang.
Phim X-quang ngực thẳng này của bệnh nhân mắc bệnh mô bào tế bào Langerhans (LCH).
LCH được gọi là bệnh dạng nang.
Trên phim X-quang ngực thẳng, khó xác định đây là kiểu dạng nang hay dạng lưới.
Trong nhiều trường hợp như vậy, HRCT sẽ cung cấp thêm thông tin.
Vấn đề này cũng gặp ở bệnh nhân UIP.
Một trong những dấu hiệu nổi bật của UIP là tổ ong hóa.
Điều này tạo ra kiểu hình ảnh dạng lưới trên phim X-quang ngực thẳng, vì các nang trong tổ ong hóa có thành dày.
Chúng tôi sẽ trình bày một ca bệnh sau đây.
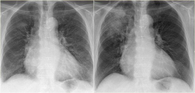
Kiểu hình ảnh dạng lưới trong suy tim sung huyết
Hãy quan sát các hình ảnh rồi tiếp tục đọc.
Các dấu hiệu bao gồm:
- Phim cũ bình thường ở bên trái.
- Kiểu hình ảnh dạng lưới đặc biệt ở vùng đáy phổi. Có thể thấy một số đường Kerley B.
- Tim to.
- Tràn dịch màng phổi bên trái.
- Mạch máu phổi nổi bật hơn so với phim cũ.
Dựa trên các dấu hiệu này, chúng ta có thể kết luận đây là suy tim sung huyết.
Đây là kiểu hình ảnh mô kẽ phổ biến nhất trên phim X-quang ngực thẳng.
Phù mô kẽ thường biểu hiện dưới dạng lưới.
Đôi khi có thể thấy các đường Kerley B.
Đây là một ví dụ khác.
Đường Kerley B là các đường nằm ngang dài 1-2 cm gần màng phổi bên.
Chẩn đoán phân biệt chính của đường Kerley B là:
- Phù mô kẽ trong suy tim
- Viêm bạch mạch do ung thư (lymphangitis carcinomatosa)
Đây là một phim X-quang ngực thẳng khác với phù mô kẽ và đường Kerley B ở bệnh nhân suy tim sung huyết.
CT cho thấy dày vách liên tiểu thùy.
Đôi khi hình ảnh dạng lưới thô hơn như trong trường hợp suy tim sung huyết này.
Sarcoidosis
Trong trường hợp này, phim X-quang ngực thẳng cho thấy các dấu hiệu tinh tế có thể được mô tả là dạng lưới mịn.
Trong nhiều trường hợp, cần có HRCT để xác định bản chất chính xác của các dấu hiệu.
HRCT – không được trình bày ở đây – cho thấy hình ảnh nốt mịn là kết quả của bệnh sarcoidosis.
Lưu ý hình ảnh dày bất thường tinh tế của rãnh liên thùy phụ.
Đây là dấu hiệu khá đặc trưng của bệnh sarcoidosis.
Sarcoidosis giai đoạn muộn
Đây là phim X-quang ngực thẳng điển hình của bệnh nhân mắc sarcoidosis giai đoạn muộn (giai đoạn IV).
Có xơ hóa ở vùng phổi trên.
Chẩn đoán phân biệt bao gồm viêm phổi quá mẫn mạn tính, cũng gây xơ hóa với ưu thế ở thùy trên.
HRCT cho thấy các đám mờ ở cả hai thùy trên.
Chúng được gọi là khối hợp lưu (conglomerate masses), là kết quả của sự tập hợp các nốt.
Đây là một bệnh nhân khác mắc sarcoidosis.
Có mất thể tích ở thùy trên do xơ hóa.
Hình ảnh bên trái cũng cho thấy các đám mờ trong phổi.
Trên HRCT thấy các nốt mịn.
Phim X-quang ngực thẳng theo dõi cho thấy hầu hết các bất thường phổi đã được hấp thu.
Xơ hóa vẫn còn tồn tại.
UIP
UIP là kiểu hình mô học của xơ hóa phổi.
Trên phim X-quang ngực thẳng, UIP biểu hiện dưới dạng kiểu lưới đặc biệt ở đáy phổi.
Trong nhiều trường hợp, có thể nghi ngờ UIP trên phim X-quang ngực thẳng.
Cần có HRCT để xác nhận chẩn đoán bằng cách chứng minh tổ ong hóa.
Đây là phim X-quang ngực thẳng với kiểu hình ảnh dạng lưới ở đáy phổi.
Kiểu hình ảnh này ban đầu được quy cho suy tim sung huyết mạn tính, nhưng vẫn tồn tại trên các phim X-quang ngực thẳng theo dõi dù đã điều trị.
HRCT cho thấy tổ ong hóa.
Đây là một trường hợp khác.
Phim X-quang ngực thẳng cho thấy kiểu hình ảnh mô kẽ dạng lưới với ưu thế ở đáy phổi.
HRCT cho thấy tổ ong hóa và giãn phế quản do co kéo.
Viêm phổi mô kẽ
Kiểu hình ảnh dạng lưới cấp tính thường gặp nhất do phù mô kẽ trong suy tim.
Nguyên nhân khác là viêm phổi mô kẽ:
- Do virus
- PCP
- Viêm phổi do Mycoplasma.
Bệnh nhân này nhập viện với triệu chứng ho khan và sốt nhẹ.
Đây là nhiễm PCP như là biểu hiện đầu tiên của AIDS.
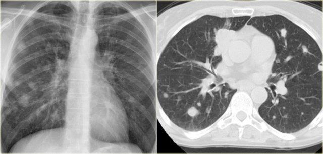
Sarcoidosis
Trên phim X-quang ngực thẳng, sarcoidosis thường biểu hiện đầu tiên với hạch bạch huyết rốn phổi và trung thất (ví dụ).
Bệnh nhu mô phổi có thể biểu hiện dưới dạng đông
Xẹp phổi
Xẹp phổi hay còn gọi là xẹp thùy phổi, là hậu quả của việc mất khí trong toàn bộ hoặc một phần phổi, kéo theo mất thể tích do tắc nghẽn đường thở hoặc do phổi bị chèn ép bởi tràn dịch màng phổi hoặc tràn khí màng phổi.
Trong nhiều trường hợp, xẹp phổi là dấu hiệu đầu tiên của ung thư phổi.
Rõ ràng, việc nhận biết các biểu hiện đa dạng của xẹp phổi là vô cùng quan trọng, vì một số trong đó có thể dễ bị diễn giải sai.
Các dấu hiệu chính trên X-quang bao gồm:
- Đám mờ bờ rõ nét che khuất các mạch máu, không có dấu hiệu khí phế quản đồ
- Mất thể tích dẫn đến di lệch cơ hoành, các khe liên thùy, rốn phổi hoặc trung thất
Xẹp thùy phổi
Xẹp thùy phổi là một phát hiện quan trọng trên X-quang ngực và có chẩn đoán phân biệt giới hạn.
Các nguyên nhân phổ biến nhất gây xẹp phổi bao gồm:
- Ung thư phế quản ở người hút thuốc lá
- Nút nhầy ở bệnh nhân thở máy hoặc bệnh nhân hen phế quản (ABPA)
- Ống nội khí quản đặt sai vị trí
- Dị vật đường thở ở trẻ em
Đôi khi xẹp thùy phổi chỉ gây mất thể tích nhẹ do ứ khí bù trừ ở các phần phổi còn lại.
Hình minh họa tóm tắt các dấu hiệu của các thể xẹp thùy phổi khác nhau.
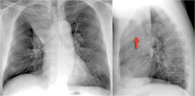
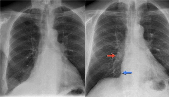
Xẹp thùy trên phổi phải
Hãy quan sát kỹ các hình ảnh trước, sau đó tiếp tục đọc.
Các dấu hiệu:
- Đám mờ hình tam giác
- Rốn phổi phải nâng cao
- Xóa mờ khoang sáng sau xương ức (mũi tên)
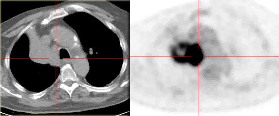
Trên PET-CT ghi nhận một khối u phổi kèm theo xẹp thùy trên phổi phải do tắc nghẽn phế quản thùy trên.
Một dấu hiệu thường gặp trong xẹp thùy trên phổi phải là hiện tượng ‘lều hóa’ cơ hoành (mũi tên xanh dương).
Bệnh nhân này có ung thư phổi vị trí trung tâm kèm di căn ở cả hai phổi (mũi tên đỏ).
Xẹp thùy giữa phổi phải
Hãy quan sát kỹ các hình X-quang trước, sau đó tiếp tục đọc.
Các dấu hiệu là gì?
- Xóa mờ bờ tim phải (dấu hiệu bóng mờ)
- Đám mờ hình tam giác trên phim nghiêng do xẹp thùy giữa
Thông thường, xẹp thùy giữa phổi phải không gây nâng cao cơ hoành phải đáng kể.
Ngực lõm (pectus excavatum) có thể bắt chước hình ảnh xẹp thùy giữa trên phim thẳng, nhưng phim nghiêng sẽ giúp phân biệt được vấn đề này.
Xẹp thùy dưới phổi phải
X-quang ngực của bệnh nhân nam 70 tuổi bị ngã cầu thang và đau dữ dội vùng hông phải.
Có một ít dịch màng phổi khu trú ở vị trí sau bên do tràn máu màng phổi.
Các dấu hiệu tổn thương phổi là gì?
Hãy quan sát kỹ các hình ảnh trước, sau đó tiếp tục đọc.
Có hình ảnh xẹp thùy dưới phổi phải.
Lưu ý bờ phải của tim bất thường.
Động mạch liên thùy phải không nhìn thấy được, do nó không được bao quanh bởi nhu mô phổi thông khí mà bởi thùy dưới bị xẹp, tiếp giáp với nhĩ phải.
Trên phim X-quang ngực theo dõi, hình ảnh xẹp phổi đã hồi phục. Chúng tôi cho rằng xẹp phổi là hậu quả của thông khí kém sau chấn thương kèm tắc nghẽn do nút nhầy.
Lưu ý sự tái xuất hiện của động mạch liên thùy phải (mũi tên đỏ) và bờ tim phải trở về bình thường (mũi tên xanh dương).
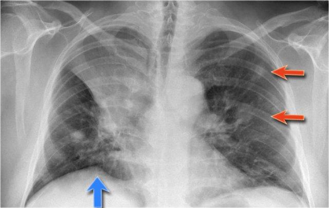
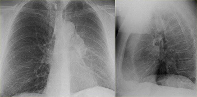
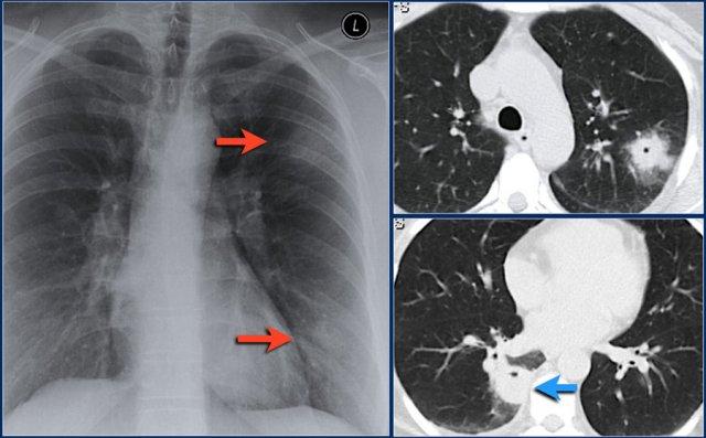
Xẹp thùy trên phổi trái
Hãy quan sát kỹ các hình X-quang trước, sau đó tiếp tục đọc.
Các dấu hiệu là gì?
- Mất thể tích tối thiểu kèm nâng cao cơ hoành trái
- Dải tăng tỷ trọng trong khoang sau xương ức, đây chính là thùy trên phổi trái bị xẹp
- Rốn phổi trái bất thường, gợi ý có thể có khối gây tắc nghẽn
- Các dấu hiệu này cho thấy xẹp thùy trên phổi trái
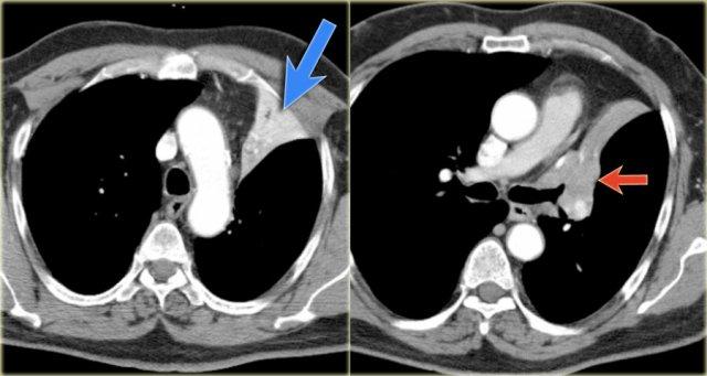
Các hình ảnh CT cho thấy xẹp thùy trên phổi trái (mũi tên xanh dương).
Có một khối ở vị trí trung tâm gây tắc nghẽn phế quản thùy trên phổi trái (mũi tên đỏ).
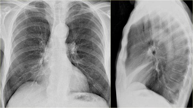
Hãy quan sát kỹ các hình X-quang trước, sau đó tiếp tục đọc.
Các dấu hiệu là gì và dấu hiệu nào được thấy ở đây?
Có hình ảnh xẹp thùy trên phổi trái.
Thông thường người ta không kỳ vọng vùng đỉnh phổi lại sáng như vậy, nhưng thực ra điều này là do ứ khí bù trừ của thùy dưới, khiến phân thùy đỉnh lan lên tận vùng đỉnh phổi.
Đây được gọi là dấu hiệu liềm khí (luft sichel sign).
Hãy quan sát kỹ các hình X-quang trước, sau đó tiếp tục đọc.
Các dấu hiệu bao gồm:
- Đám mờ lớn bên trái kèm mất bóng tim.
- Cơ hoành trái nâng cao kèm lều hóa.
- Khe liên thùy nhỏ ở vị trí thấp
- Rốn phổi phải ở vị trí thấp
Các dấu hiệu này cho thấy xẹp hoàn toàn thùy trên phổi trái và có thể kèm xẹp một phần phổi phải.
Do bóng bờ tim phải vẫn còn nhìn thấy được, nhiều khả năng đây là xẹp một phần thùy dưới chứ không phải thùy giữa.
Tiếp tục xem PET-CT…

Ung thư phổi bên trái gây tắc nghẽn phế quản thùy trên và ung thư phổi bên phải gây tắc nghẽn thùy dưới phải.
Trên PET-CT ghi nhận khối u ở cả phổi trái lẫn phổi phải.
Bệnh nhân có nhiều di căn xương.
Một ổ di căn xương sườn được chỉ ra bằng mũi tên.
Luft sichel có nghĩa là liềm khí (mũi tên xanh dương).
Lưu ý hình ảnh phồng của khe liên thùy trên phim nghiêng.
Điều này tương tự như dấu hiệu chữ S vàng (golden-S sign) trong xẹp thùy trên phổi phải và gợi ý có khối gây tắc nghẽn ở vị trí trung tâm.
Nốt và Khối
Nốt Phổi Đơn Độc
Nhấn vào đây để biết thêm thông tin chi tiết về Nốt Phổi Đơn Độc
Nốt phổi đơn độc (SPN) được định nghĩa là một vùng mờ khu trú, bờ rõ, hình tròn có đường kính nhỏ hơn hoặc bằng 3 cm.
Tổn thương phải được bao quanh hoàn toàn bởi nhu mô phổi, không tiếp xúc với rốn phổi hoặc trung thất, và không kèm theo hạch to, xẹp phổi hay tràn dịch màng phổi.
Chẩn đoán phân biệt của SPN về cơ bản giống với chẩn đoán phân biệt của một khối, ngoại trừ việc khả năng ác tính tăng theo kích thước tổn thương.
Các tổn thương nhỏ hơn 3 cm, tức là SPN, thường gặp nhất là u hạt lành tính, trong khi các tổn thương lớn hơn 3 cm được xem là ác tính cho đến khi có bằng chứng ngược lại và được gọi là khối.
Bảng được điều chỉnh từ chest x-ray – a survival guide.
Đối với các tổn thương không đáp ứng với kháng sinh, công cụ chẩn đoán không xâm lấn quan trọng nhất hiện nay có lẽ là PET-CT.
PET-CT có thể phát hiện ác tính trong các tổn thương phổi khu trú lớn hơn 1 cm với độ nhạy khoảng 97% và độ đặc hiệu 78%.
Kết quả dương tính giả tại phổi được ghi nhận trong bệnh u hạt và bệnh thấp khớp.
Kết quả âm tính giả được ghi nhận trong các khối u ác tính độ thấp như u carcinoid và ung thư biểu mô phế nang, cũng như các tổn thương nhỏ hơn 1 cm.
Khuyến cáo của Hội Fleischner về theo dõi các nốt phổi
Cần xem xét các phim X-quang ngực trước đó để xác định xem tổn thương có ổn định trong vòng 2 năm hay không.
Nếu có, không cần theo dõi thêm, ngoại trừ các tổn thương kính mờ thuần túy trên CT, vốn có thể phát triển chậm hơn.
Đối với các tổn thương có hình thái vôi hóa lành tính, không cần thực hiện thêm xét nghiệm.
Xử trí các tổn thương chưa xác định lớn hơn 8-10 mm phụ thuộc vào xác suất lâm sàng của ác tính, cụ thể như sau:
- Xác suất thấp: Chụp CT theo dõi định kỳ tại các thời điểm 3, 6, 12 và 24 tháng
- Xác suất trung bình: PET-CT, CT có thuốc tương phản từ, chọc hút kim nhỏ xuyên thành ngực và/hoặc chọc hút kim nhỏ xuyên phế quản (TBNA)
- Xác suất cao: Phẫu thuật cắt bỏ
Bất kỳ sự phát triển rõ ràng nào được ghi nhận trong quá trình theo dõi đều đồng nghĩa với việc cần phải có chẩn đoán mô học xác định.
Đa khối
Danh sách chẩn đoán phân biệt của đa khối rất dài.
Các chẩn đoán quan trọng nhất được liệt kê trong bảng.
Đôi khi rất khó phân biệt đông đặc đa ổ với các khối.
Di căn
Di căn là nguyên nhân phổ biến nhất gây ra đa khối phổi.
Thông thường các khối di căn có kích thước khác nhau và bờ rõ.
Chúng chiếm ưu thế ở các thùy dưới và vùng dưới màng phổi.
HRCT sẽ cho thấy phân bố ngẫu nhiên khác với các bệnh lý có phân bố quanh bạch huyết hoặc trung tâm tiểu thùy.
Các hình ảnh cho thấy ung thư biểu mô tế bào thận đã xâm lấn tĩnh mạch chủ dưới với sự lan rộng tiếp theo của bệnh đến phổi.
Đây là một bệnh nhân khác với di căn phổi lan rộng từ một khối ung thư có vị trí nguyên phát tại lưỡi.
Tắc nghẽn do nhầy
Nút nhầy hoặc tắc nghẽn do nhầy có thể bắt chước hình ảnh của nốt phổi hoặc khối phổi.
Đôi khi việc phân biệt tắc nghẽn do nhầy với ung thư phổi có thể rất khó khăn.
Tắc nghẽn do nhầy thường gặp ở bệnh nhân giãn phế quản, như trong bệnh xơ nang (CF) và bệnh aspergillosis phế quản phổi dị ứng (ABPA).
ABPA là rối loạn quá mẫn do Aspergillus gây ra, xảy ra ở bệnh nhân hen phế quản hoặc CF.
Tình trạng này cũng gặp trong tắc nghẽn phế quản do khối u gây tắc hoặc teo phế quản bẩm sinh.
Trong trường hợp này, có một số cấu trúc dạng khối ở phổi phải.
CT đã chứng minh giãn phế quản kèm tắc nghẽn do nhầy.
Một biểu hiện phổ biến hơn của tắc nghẽn do nhầy được thấy ở đây.
Đây là hình ảnh điển hình ‘ngón tay trong găng tay’ của tắc nghẽn do nhầy.
Chất nhầy trong các phế quản giãn trông giống như các ngón tay trong một chiếc găng tay.
Teo phế quản bẩm sinh
Teo phế quản bẩm sinh là một bất thường bẩm sinh xảy ra do sự gián đoạn của một phế quản, kèm theo tắc nghẽn nhầy ngoại vi và ứ khí của vùng phổi bị tắc nghẽn (10).
Tình trạng ứ khí của phân thùy phổi bị ảnh hưởng là do thông khí bàng hệ qua các lỗ Kohn.
Dấu hiệu đặc trưng là vùng phổi tăng sáng bao quanh một vùng mờ dạng phân nhánh hoặc dạng nốt kéo dài từ rốn phổi.
Lưu ý khối trung tâm được bao quanh bởi vùng phổi tăng sáng (mũi tên xanh).
Giảm tỷ trọng hoặc vùng sáng
Các nhà X quang sử dụng nhiều thuật ngữ để mô tả các vùng giảm tỷ trọng hoặc vùng sáng trong phổi, như nang, hang, phế nang khí (pneumatocele), khí phế thũng, bóng khí (bulla), tổ ong, bóng khí nhỏ (bleb), v.v.
Nhiều thuật ngữ trong số này dựa trên cơ chế bệnh sinh của bất thường.
Điều này gây khó khăn khi sử dụng các thuật ngữ trên, vì trong nhiều trường hợp khi mô tả phim X quang ngực, chúng ta đang cố gắng xác định bệnh lý có thể là gì.
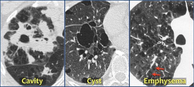
Một cách tiếp cận thực tế hơn là mô tả các vùng giảm tỷ trọng trong phổi như sau:
- Hang – vùng sáng có thành dày
- Nang – vùng sáng có thành mỏng
- Khí phế thũng – vùng sáng không có thành rõ ràng
Hang thường hình thành bên trong một khối hoặc vùng đông đặc do hoại tử.
Chúng tôi sẽ thảo luận ở đây vì đặc điểm nổi bật là vùng sáng.
Trong chẩn đoán phân biệt, có sự chồng lấp giữa hang và nang.
Hang có thể lành và trở thành nang phổi, và nang phổi có thể bị nhiễm trùng, biến thành hang có thành dày.
Đôi khi các bóng khí trong khí phế thũng có thành rõ với độ dày dưới 1 mm.
Để phân biệt chúng với nang, cần quan sát nhu mô phổi xung quanh.
Nang xuất hiện mà không kèm theo khí phế thũng.
Nang thường chứa khí, nhưng đôi khi chứa dịch hoặc thành phần đặc.
Thuật ngữ này chủ yếu được dùng để mô tả các khoang khí thành mỏng giãn rộng ở bệnh nhân mắc bệnh u cơ trơn bạch huyết (lymphangioleiomyomatosis) hoặc bệnh mô bào Langerhans.
Nang tổ ong có thành dày hơn được gặp ở bệnh nhân xơ hóa phổi giai đoạn cuối (11).
Tạo hang
Viêm phổi
Trong các nhiễm trùng sinh mủ độc lực cao, áp xe có thể hình thành trong vùng phổi đông đặc do hoại tử gây ra bởi viêm mạch và huyết khối.
Khi một phần mủ được khạc ra ngoài, hang có thể được nhìn thấy trên phim X quang ngực.
Những bệnh nhân này thường trong tình trạng rất nặng.
Trong nhiễm trùng u hạt như lao, hang có thể hình thành, nhưng những bệnh nhân này thường không nặng đến vậy.
Tạo hang không gặp trong viêm phổi do virus, Mycoplasma và hiếm gặp trong viêm phổi do Streptococcus pneumoniae.
Các hình ảnh này là của một bệnh nhân trẻ bị viêm phổi.
Không phân lập được vi sinh vật nào.
Trong vòng một tháng sau điều trị kháng sinh, vùng đông đặc và hang gần như thoái lui hoàn toàn.
Viêm phổi
Đây là một ví dụ khác về viêm phổi có tạo hang.
Lưu ý sự phá hủy nhu mô phổi được thấy trên CT.
Tại lần tái khám sau một năm, chỉ thấy những thay đổi tối thiểu trên phim X quang ngực.
Lao
Lao nguyên phát thường không có biểu hiện lâm sàng.
Ở 5% cá thể bị nhiễm, miễn dịch không đủ và bệnh tiến triển có triệu chứng lâm sàng, được gọi là bệnh nguyên phát tiến triển (9).
Lao hậu nguyên phát là sự tái hoạt của nhiễm trùng tiềm ẩn và xảy ra ở 5% bệnh nhân bị nhiễm.
Trên phim X quang ngực, biểu hiện là đông đặc có tạo hang ở các phân thùy đỉnh của thùy trên và thùy dưới.
Lao kê là kết quả của sự lan tràn theo đường máu.
Đây là hình ảnh bệnh nhân lao hậu nguyên phát với tạo hang ở thùy trên phổi trái.
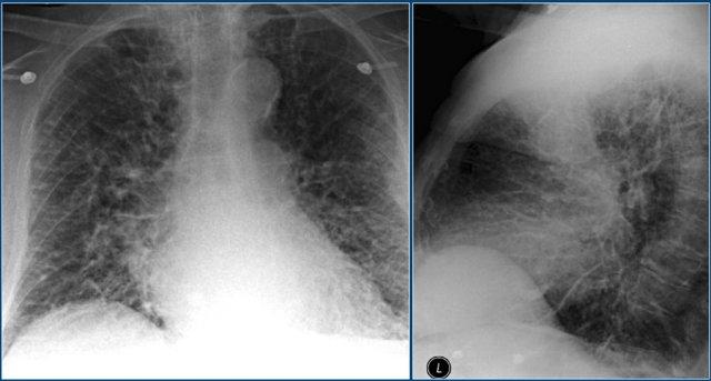
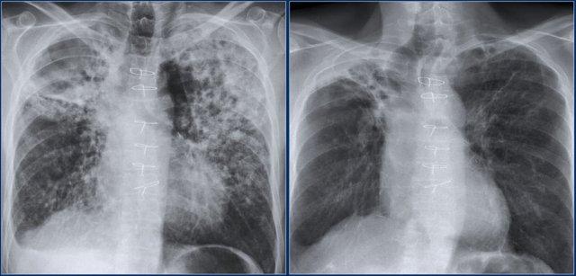
Lao
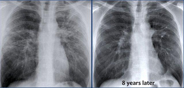
Bệnh nhân này nhập viện lần đầu với phim X quang ngực bên trái.
Hãy quan sát kỹ các hình ảnh trước.
Sau đó tiếp tục đọc.
Các dấu hiệu bao gồm:
- Các đám mờ bờ không rõ lan tỏa, có thể là các vùng đông đặc nhỏ.
- Hang ở thùy trên phổi phải.
Có thể nhận định đây là tái hoạt của lao tiềm ẩn.
Cấy đờm dương tính với vi khuẩn lao.
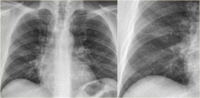
Phim X quang ngực chụp vài năm sau (bên phải) cho thấy:
- Xẹp thùy trên phổi phải
- Lệch khí quản
- Xơ hóa và tạo hang ở phần còn lại của thùy trên
- Xơ hóa tối thiểu và tạo hang ở thùy trên phổi trái.
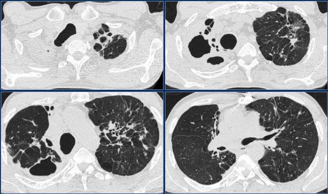
Điều này được đánh giá rõ hơn trên CT.
Tiếp tục…
Cùng bệnh nhân
Lưu ý hình ảnh tạo hang, đặc biệt ở phổi phải.
Ở thùy trên phổi trái, có thể có giãn phế quản do co kéo (traction-bronchiectasis) liên quan đến xơ hóa.
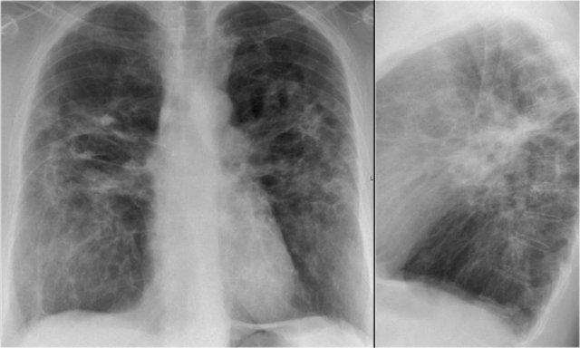
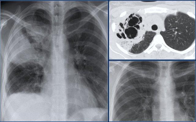
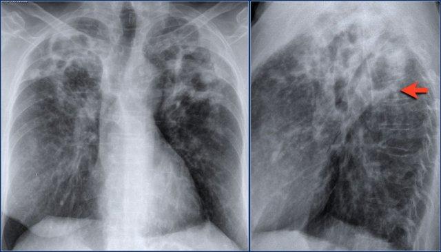
Mycobacteria không lao
Mycobacteria không lao, còn được gọi là mycobacteria không điển hình, là tất cả các loài mycobacteria khác có thể gây bệnh phổi giống lao.
Đây là hình ảnh bệnh nhân có bệnh hoạt động ở cả hai thùy trên do nhiễm mycobacterium không điển hình.
Lưu ý mức khí-dịch cho thấy có mủ trong hang (mũi tên).
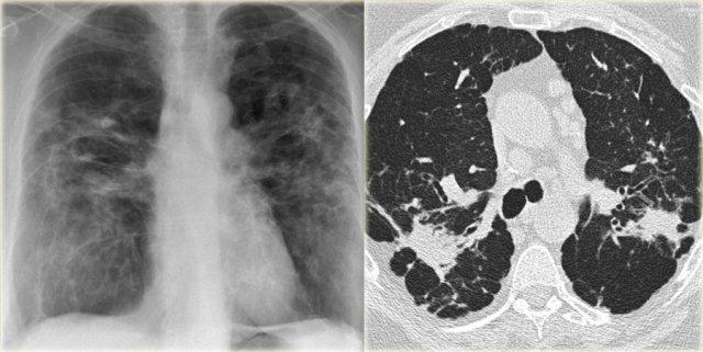
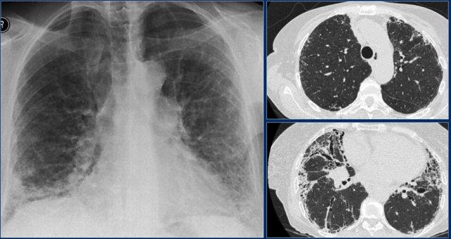
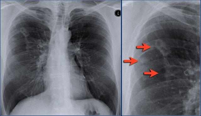
Đây là một bệnh nhân khác bị nhiễm mycobacterium.
Lưu ý các nốt có tạo hang.
Tiếp tục với các hình ảnh CT.
Cùng bệnh nhân nhiễm mycobacteria không lao.
Thấy nhiều hang nhỏ.
Thuyên tắc nhiễm khuẩn
Thuyên tắc nhiễm khuẩn thường biểu hiện dưới dạng nhiều nốt bờ không rõ.
Khoảng 50% trường hợp có tạo hang.
CT phát hiện nhiều tổn thương hơn so với phim X quang ngực và có thể gợi ý chẩn đoán trong bối cảnh lâm sàng phù hợp thông qua việc phát hiện các tổn thương hình nêm ngoại vi tiếp giáp màng phổi, dấu hiệu phế quản đồ khí trong các nốt bờ không rõ và dấu hiệu mạch máu nuôi (7).
Một số tác giả đặt câu hỏi liệu dấu hiệu mạch máu nuôi có thực sự tồn tại hay không (8).
Đây là hình ảnh bệnh nhân thuyên tắc nhiễm khuẩn.
Phim X quang ngực cho thấy hai đám mờ bờ không rõ ở phổi trái, có thể là các vùng đông đặc.
Trên CT thấy hình ảnh tạo hang và một đám mờ khác có tạo hang ở phổi phải.
Tiếp tục với phim tái khám.
Thuyên tắc nhiễm khuẩn





























































