Vùng cấp máu não
Hiểu biết về các vùng tưới máu mạch máu là điều quan trọng, vì nó giúp bạn nhận diện các tổn thương nhồi máu theo lãnh thổ động mạch, tại các vùng ranh giới (watershed) cũng như nhồi máu tĩnh mạch.
Kiến thức này cũng hỗ trợ phân biệt nhồi máu với các bệnh lý khác.
Vùng Tưới Máu Động Mạch Não

Vùng tưới máu của các động mạch não (được điều chỉnh và sửa đổi với sự cho phép của M. Savoiardo (1)
- Động mạch tiểu não sau dưới (PICA – màu xanh lam)
Vùng tưới máu của PICA nằm ở mặt chẩm dưới của tiểu não và cân bằng với vùng tưới máu của AICA (màu tím), vốn nằm ở mặt bên (1).
Vùng tưới máu của PICA càng lớn thì vùng tưới máu của AICA càng nhỏ và ngược lại. - Động mạch tiểu não trên (SCA – màu xám)
Vùng tưới máu của SCA nằm ở mặt trên và mặt lều của tiểu não. - Các nhánh từ động mạch đốt sống và động mạch nền
Các nhánh này cấp máu cho hành não (màu xanh lam) và cầu não (màu xanh lá). - Động mạch mạch mạc trước (AchA – màu xanh lam)
Vùng tưới máu của AChA bao gồm một phần hồi hải mã, cánh tay sau của bao trong và kéo dài lên trên đến vùng nằm bên ngoài phần sau của cella media. - Các động mạch thấu kính – vân
Các động mạch thấu kính – vân bên (màu cam) là các động mạch xuyên sâu của động mạch não giữa (MCA).
Vùng tưới máu của chúng bao gồm phần lớn các nhân nền.
Các động mạch thấu kính – vân giữa (màu đỏ đậm) xuất phát từ động mạch não trước (thường là đoạn A1).
Động mạch Heubner là động mạch thấu kính – vân giữa lớn nhất, cấp máu cho phần trước trong của đầu nhân đuôi và phần trước dưới của bao trong. - Động mạch não trước (ACA – màu đỏ)
ACA cấp máu cho phần trong của thùy trán và thùy đỉnh, phần trước của thể chai, nhân nền và bao trong. - Động mạch não giữa (MCA – màu vàng)
Các nhánh vỏ não của MCA cấp máu cho mặt ngoài của bán cầu đại não, ngoại trừ phần trong của thùy trán và thùy đỉnh (thuộc vùng tưới máu của động mạch não trước) và phần dưới của thùy thái dương (thuộc vùng tưới máu của động mạch não sau).
Các nhánh xuyên sâu thấu kính – vân đã được đề cập ở trên. - Động mạch não sau (PCA – màu xanh lá)
Đoạn P1 kéo dài từ nguyên ủy của PCA đến động mạch thông sau, tham gia vào đa giác Willis.
Các động mạch xuyên đồi thị sau tách ra từ đoạn P1 và cấp máu cho trung não và đồi thị.
Các nhánh vỏ não của PCA cấp máu cho phần dưới trong của thùy thái dương, cực chẩm, vỏ não thị giác và gối thể chai.
Bên trái là hình ảnh chi tiết minh họa nguồn cấp máu mạch máu cho các nhân nền.
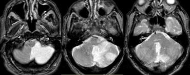
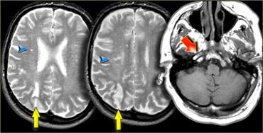
PICA
Bên trái là hình ảnh CT của nhồi máu PICA bên trái.
Lưu ý sự lan rộng về phía sau.
Nhồi máu là hậu quả của một trường hợp bóc tách động mạch (mũi tên xanh lam).
Bên trái là hình ảnh MRI của nhồi máu PICA bên trái.
Trong các trường hợp nhồi máu một bên, luôn có sự phân định rõ ràng tại đường giữa do các nhánh nhung mao trên không vượt qua đường giữa mà đi theo hướng dọc (sagittal).
Sự phân định rõ ràng này có thể không biểu hiện cho đến giai đoạn muộn của nhồi máu.
Trong giai đoạn sớm, phù nề có thể vượt qua đường giữa và gây khó khăn cho chẩn đoán.
Nhồi máu ở mức cầu não thường có vị trí cạnh đường giữa và được phân định rõ ràng do các nhánh của động mạch nền đi theo hướng dọc và không vượt qua đường giữa.
Nhồi máu hai bên hiếm khi được ghi nhận do những bệnh nhân này thường không sống đủ lâu để được thăm khám, nhưng đôi khi có thể thấy các ổ nhồi máu nhỏ hai bên.
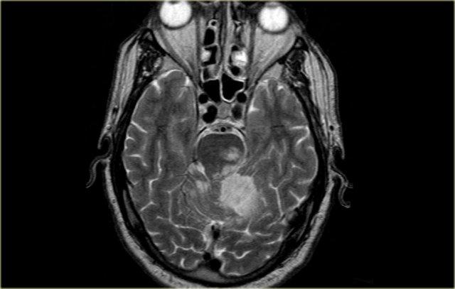
SCA
Bên trái là hình ảnh MRI của nhồi máu tiểu não trong vùng tưới máu của động mạch tiểu não trên, đồng thời có nhồi máu thân não trong vùng tưới máu của PCA.
Lưu ý ranh giới giới hạn tại đường giữa.
ACA
Động mạch não trước:
- Đoạn A1: từ nguyên ủy đến động mạch thông trước, cho các nhánh là các động mạch thấu kính – vân giữa (phần dưới của đầu nhân đuôi và cánh tay trước của bao trong).
- Đoạn A2: từ động mạch thông trước đến chỗ phân đôi thành động mạch quanh thể chai và động mạch viền thể chai.
- Đoạn A3: các nhánh chính (phần trong của thùy trán, phần trên trong của thùy đỉnh, phần trước của thể chai).
Động mạch mạch mạc trước
Động mạch mạch mạc trước xuất phát từ động mạch cảnh trong.
Hiếm khi nó xuất phát từ động mạch não giữa.
Vùng tưới máu của động mạch mạch mạc trước bao gồm một phần hồi hải mã, cánh tay sau của bao trong và kéo dài lên trên đến vùng nằm bên ngoài phần sau của cella media.
Toàn bộ vùng này hiếm khi bị tổn thương trong nhồi máu AChA.
Cánh tay sau của bao trong cũng nhận máu từ các động mạch thấu kính – vân bên.
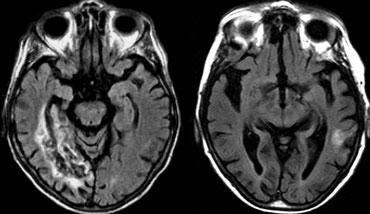
Bên trái là hình ảnh nhồi máu không điển hình ở vùng hồi hải mã.
Một phần vùng tưới máu của động mạch mạch mạc trước và PCA đều bị tổn thương.
Động mạch não giữa
MCA có các nhánh vỏ não và các nhánh xuyên sâu, được gọi là các động mạch thấu kính – vân bên.
Vùng tưới máu của các động mạch xuyên thấu kính – vân bên của MCA được biểu thị bằng màu sắc khác với phần còn lại của vùng tưới máu MCA, vì đây là một vùng được xác định rõ ràng được cấp máu bởi các nhánh xuyên, có thể bị tổn thương hoặc được bảo tồn trong các ổ nhồi máu một cách độc lập so với vùng vỏ não chính của MCA.
Bên trái là hình ảnh chuỗi xung T2W của bệnh nhân bị nhồi máu trong vùng tưới máu của động mạch não giữa (MCA).
Lưu ý rằng các động mạch xuyên thấu kính – vân bên của MCA cũng bị tổn thương (mũi tên màu cam).
Các động mạch thấu kính – vân
Các động mạch thấu kính – vân giữa
Chúng là các nhánh của đoạn A1 thuộc động mạch não trước.
Chúng cấp máu cho phần trước dưới của các nhân nền.
Chúng cũng cấp máu cho cánh tay trước của bao trong cùng với động mạch quặt ngược Heubner, vốn cũng là một nhánh của động mạch não trước.
Các động mạch thấu kính – vân bên
Chúng là các nhánh của đoạn M1 nằm ngang thuộc động mạch não giữa.
Chúng cấp máu cho phần trên của đầu và thân nhân đuôi, phần lớn cầu nhạt và nhân bèo sẫm.
Chúng cũng cấp máu cho cánh tay trước của bao trong và một phần cánh tay sau của bao trong, phần lớn được cấp máu bởi động mạch mạch mạc trước.

Hình ảnh CT và chuỗi xung T2W-gradient echo của nhồi máu xuất huyết giới hạn trong vùng tưới máu của các động mạch thấu kính – vân bên
Bên trái là hình ảnh nhồi máu xuất huyết trong vùng các nhánh thấu kính – vân xuyên sâu của MCA.
Bên trái là hình ảnh CT có thuốc cản quang của bệnh nhân bị nhồi máu trong vùng tưới máu của động mạch não giữa (MCA).
Có hiện tượng ngấm thuốc hồi não lan rộng (tưới máu xa xỉ).
Đôi khi hiện tượng tưới máu xa xỉ này có thể gây nhầm lẫn với hình ảnh ngấm thuốc của khối u.
Động mạch não sau (PCA)
Đột quỵ PCA sâu hoặc gần gốc gây thiếu máu cục bộ ở đồi thị và/hoặc trung não, cũng như ở vỏ não.
Nhồi máu PCA nông hoặc xa chỉ liên quan đến các cấu trúc vỏ não (4).
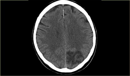
Bên trái là bệnh nhân bị mất thị lực cấp tính ở nửa phải của thị trường.
Hình ảnh CT cho thấy nhồi máu ở vỏ não thị giác đối bên, tức là thùy chẩm trái.
Chỉ khoảng 5% các trường hợp đột quỵ thiếu máu cục bộ liên quan đến PCA hoặc các nhánh của nó (3).
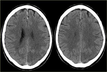
Bên trái là hình ảnh CT của bệnh nhân bị nhồi máu PCA.
Lưu ý sự mất phân biệt chất xám/chất trắng ở vùng thùy chẩm trái.
Biến thể trong Vùng Tưới máu Động mạch
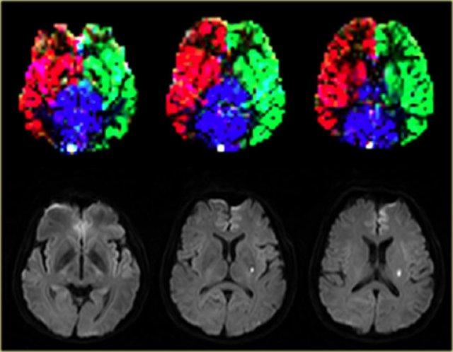
Các biến thể trong vùng tưới máu não có thể được hiển thị bằng kỹ thuật gán nhãn spin động mạch chọn lọc (selective arterial spin-labeling) (9).
Khả năng hiển thị các vùng tưới máu này có vai trò quan trọng trong các nhóm bệnh nhân đặc thù mắc bệnh lý mạch máu não, chẳng hạn như đột quỵ cấp tính, bệnh lý hẹp-tắc động mạch lớn và dị dạng động-tĩnh mạch, vì nó cung cấp thông tin huyết động học có giá trị.
Bên trái là hình ảnh chụp mạch máu MRI theo kỹ thuật thời gian bay (time-of-flight MR angiography) của các động mạch nuôi não, thể hiện kế hoạch lập các lát cắt chọn lọc để khảo sát vùng tưới máu của động mạch cảnh trong trái, phải và hệ động mạch đốt sống-nền.

Vùng tưới máu bình thường ở bệnh nhân nhồi máu ổ khuyết. Hình ảnh được cung cấp bởi Jeroen Hendrikse (9)
Bên trái là hình ảnh của một bệnh nhân có nhồi máu ổ khuyết bên trái với các vùng tưới máu bình thường.

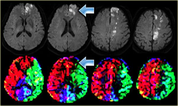
Nhồi máu vỏ não thùy trán trái được tưới máu bởi động mạch cảnh trong phải. Hình ảnh được cung cấp bởi Jeroen Hendrikse (9)
Bên trái là hình ảnh của một bệnh nhân có nhồi máu vùng ranh giới (watershed infarct) ở bán cầu trái, đồng thời có nhồi máu vỏ não ở thùy trán trái (mũi tên).
Lưu ý rằng có sự biến thể trong tưới máu não, cụ thể thùy trán trái được tưới máu bởi động mạch cảnh trong phải.
Bên trái là một biến thể khác trong tưới máu não ở bệnh nhân có nhiều ổ nhồi máu được ghi nhận trên hình ảnh khuếch tán (diffusion imaging).
Có một ổ nhồi máu vỏ não nhỏ ở thùy chẩm trái, vùng này được tưới máu bởi động mạch cảnh trong trái (mũi tên).
Lưu ý rằng hệ động mạch đốt sống-nền không tham gia tưới máu cho vùng này.
Nhồi Máu Vùng Ranh Giới (Watershed Infarcts)
Nhồi máu vùng ranh giới xảy ra tại các vùng tiếp giáp giữa các lãnh thổ động mạch não lớn, hậu quả của tình trạng giảm tưới máu.
Có hai thể nhồi máu vùng ranh giới:
- Nhồi máu vùng ranh giới vỏ não
Nhồi máu vỏ não và chất trắng dưới vỏ lân cận, nằm tại vùng ranh giới giữa ĐM não trước (ACA)/ĐM não giữa (MCA) và ĐM não giữa (MCA)/ĐM não sau (PCA) - Nhồi máu vùng ranh giới sâu
Nhồi máu chất trắng sâu của trung tâm bầu dục (centrum semiovale) và vành tia (corona radiata), tại vùng ranh giới giữa các nhánh xuyên thấu thể vân (lenticulostriate perforators) và các nhánh vỏ não xuyên sâu của ĐM não giữa (MCA), hoặc tại vùng ranh giới giữa các nhánh chất trắng sâu của ĐM não giữa (MCA) và ĐM não trước (ACA).
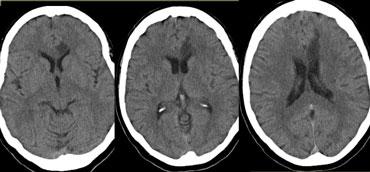
Bên trái là ba lát cắt CT liên tiếp của bệnh nhân tắc động mạch cảnh trong phải.
Tình trạng giảm tưới máu bán cầu phải dẫn đến nhiều ổ nhồi máu vùng ranh giới sâu.
Hình thái nhồi máu vùng ranh giới sâu này khá phổ biến và cần thôi thúc người đọc tiến hành khảo sát các động mạch cảnh.
Bên trái là hình ảnh của bệnh nhân có các ổ nhồi máu nhỏ ở bán cầu phải tại vùng ranh giới sâu (đầu mũi tên màu xanh lam) và tại vùng ranh giới vỏ não giữa lãnh thổ ĐM não giữa (MCA) và ĐM não sau (PCA) (mũi tên màu vàng).
Có bất thường tín hiệu tại động mạch cảnh phải (mũi tên màu đỏ) do hậu quả của tắc mạch.
Ở những bệnh nhân có các bất thường gợi ý nhồi máu vùng ranh giới, cần luôn khảo sát hình ảnh động mạch cảnh để tìm kiếm bất thường tín hiệu.
Bên trái là một ví dụ khác về các ổ nhồi máu nhỏ tại vùng ranh giới sâu và vùng ranh giới vỏ não giữa lãnh thổ ĐM não giữa (MCA) và ĐM não sau (PCA) ở bán cầu trái.
Bên trái là ví dụ về nhồi máu tại vùng ranh giới sâu và vùng ranh giới vỏ não giữa lãnh thổ ĐM não trước (ACA) và ĐM não giữa (MCA).
Bất thường cường độ tín hiệu tại động mạch cảnh phải là hậu quả của tắc mạch.
Sự kết hợp các dấu hiệu này rất phổ biến đến mức một khi đã nhận biết được hình thái, bạn sẽ gặp lại nhiều lần.
Nhồi Máu Ổ Khuyết
Nhồi máu ổ khuyết là các ổ nhồi máu nhỏ nằm ở các vùng sâu của não (hạch nền, đồi thị, chất trắng) và thân não.
Nhồi máu ổ khuyết xảy ra do tắc nghẽn một động mạch xuyên sâu đơn độc.
Nhồi máu ổ khuyết chiếm 25% tổng số các trường hợp đột quỵ thiếu máu cục bộ.
Xơ vữa động mạch là nguyên nhân phổ biến nhất gây nhồi máu ổ khuyết, tiếp theo là thuyên tắc mạch.
25% bệnh nhân có ổ khuyết được xác định trên lâm sàng và hình ảnh học có nguyên nhân tiềm ẩn từ tim mạch gây ra đột quỵ.
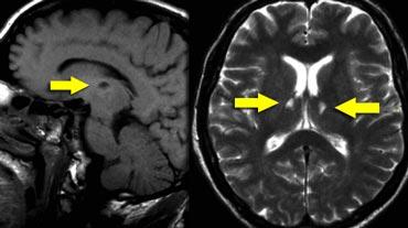
Bên trái là hình ảnh chuỗi xung T2W và FLAIR của một ổ nhồi máu khuyết tại đồi thị trái.
Trên ảnh FLAIR, ổ nhồi máu hầu như không quan sát được rõ ràng.
Chỉ ghi nhận một vùng nhỏ tăng tín hiệu mờ nhạt.
Các ổ khuyết có thể bị nhầm lẫn với các khoang rỗng khác, chẳng hạn như khoang quanh mạch Virchow-Robin (VRS) giãn rộng.
Khoang Virchow-Robin là phần kéo dài của khoang dưới nhện, đi kèm theo các mạch máu xuyên vào nhu mô não.
Sự giãn rộng của khoang Virchow-Robin thường xuất hiện đầu tiên xung quanh các động mạch xuyên tại chất thủng trước và có thể quan sát thấy trên các lát cắt MRI ngang qua mép trước, ngay cả ở người trẻ tuổi (5).
Bên trái là hình ảnh CT và MRI tại mức mép trước (mũi tên xanh).
Trên CT, ghi nhận một vùng giảm tỷ trọng ở bán cầu phải, vùng này có tín hiệu tương đồng với dịch não tủy trên chuỗi xung T2W và FLAIR, đây là đặc điểm điển hình của khoang Virchow-Robin giãn rộng.
PRES
PRES là viết tắt của Hội chứng Bệnh não Sau có Hồi phục (Posterior Reversible Encephalopathy Syndrome).
Hội chứng này còn được gọi là Hội chứng Bệnh chất trắng Sau có Hồi phục [RPLS].
Biểu hiện điển hình là tình trạng phù não do cơ chế vận mạch (vasogenic edema) có khả năng hồi phục, phân bố trong vùng tưới máu của tuần hoàn sau, tuy nhiên các cấu trúc thuộc tuần hoàn trước cũng có thể bị ảnh hưởng (6).
Nhiều nguyên nhân đã được ghi nhận, bao gồm tăng huyết áp, sản giật và tiền sản giật, các thuốc ức chế miễn dịch như cyclosporine.
Cơ chế bệnh sinh chưa được hiểu rõ hoàn toàn, nhưng được cho là liên quan đến tình trạng tăng tưới máu não, dẫn đến phá vỡ hàng rào máu-não, thoát mạch của dịch có thể chứa máu hoặc các đại phân tử, và gây ra phù não vỏ hoặc dưới vỏ.
Hình ảnh điển hình của PRES biểu hiện rõ nhất dưới dạng tăng tín hiệu trên chuỗi xung FLAIR tại vùng vỏ não và chất trắng dưới vỏ vùng đỉnh-chẩm và trán sau; ít gặp hơn là tổn thương tại thân não, hạch nền và tiểu não.
Hình ảnh bên trái là của một bệnh nhân có các triệu chứng thần kinh hồi phục được.
Các bất thường được ghi nhận cả ở vùng tuần hoàn sau lẫn tại hạch nền.
Tiếp tục.
Bốn ngày sau, hầu hết các bất thường đã biến mất.
Vùng tưới máu tĩnh mạch não
Có sự biến đổi rất lớn trong các vùng dẫn lưu tĩnh mạch.
Các hình minh họa bên trái chỉ nên được xem như một hướng dẫn tham khảo sơ bộ.
Huyết khối tĩnh mạch não
Huyết khối tĩnh mạch não xảy ra do tắc nghẽn xoang tĩnh mạch và/hoặc tĩnh mạch vỏ não, thường khởi phát từ một huyết khối không hoàn toàn hoặc do chèn ép từ bên ngoài, sau đó tiến triển đến tắc nghẽn hoàn toàn (7).
Mất nước, thai kỳ, tình trạng tăng đông máu và nhiễm trùng lân cận (ví dụ: viêm xương chũm) là các yếu tố thuận lợi.
Huyết khối tĩnh mạch não là một chẩn đoán khó nắm bắt do biểu hiện lâm sàng không đặc hiệu.
Bệnh thường biểu hiện bằng nhồi máu xuất huyết ở các vùng không điển hình cho phân bố mạch máu động mạch.
Chẩn đoán hình ảnh đóng vai trò then chốt trong chẩn đoán.
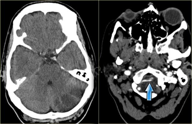
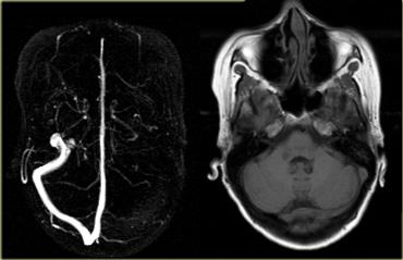
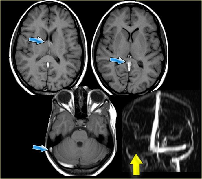
Ở ngoài cùng bên trái là hình MRA cho thấy không quan sát thấy xoang ngang trái.
Do giải phẫu tĩnh mạch có nhiều biến thể, điều này có thể do xoang ngang bị thiếu bẩm sinh hoặc do huyết khối.
Hình ảnh chuỗi xung T1W bên phải cho thấy rõ ràng rằng xoang ngang trái vẫn tồn tại, do đó các phát hiện trên MRA là do huyết khối.
Tiếp tục xem các hình ảnh tiếp theo.
Hình CT bên trái cho thấy rõ hình ảnh xoang ngang bị huyết khối với tỷ trọng cao (mũi tên vàng).
Hình ảnh FLAIR cho thấy vùng nhồi máu tĩnh mạch ở thùy thái dương.
Huyết khối tĩnh mạch não sâu
Biểu hiện lâm sàng của huyết khối hệ thống tĩnh mạch não sâu là rối loạn chức năng nghiêm trọng của gian não, biểu hiện bằng hôn mê và rối loạn vận nhãn cùng phản xạ đồng tử.
Thông thường, tình trạng này dẫn đến tiên lượng xấu.
Tuy nhiên, cũng tồn tại các thể bán phần không có giảm mức độ ý thức hay dấu hiệu thân não, có thể dẫn đến chẩn đoán nhầm ban đầu.
Huyết khối hệ thống tĩnh mạch não sâu là một tình trạng thường bị bỏ sót khi triệu chứng nhẹ và cần được nghi ngờ nếu bệnh nhân là phụ nữ trẻ, nếu các tổn thương nằm trong hạch nền hoặc đồi thị, đặc biệt khi chúng xuất hiện hai bên.
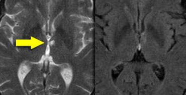
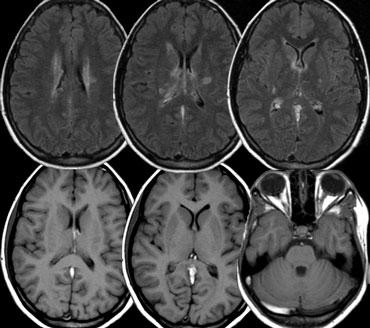
Bên trái là hình ảnh của một bệnh nhân bị huyết khối tĩnh mạch não sâu.
Lưu ý các vùng nhồi máu hai bên ở hạch nền.
Tiếp tục.
Không quan sát thấy khoảng trống dòng chảy (flow void) tại các tĩnh mạch não trong, xoang thẳng và xoang ngang phải (mũi tên xanh).
Trên hình MRA, xoang ngang phải không được hiển thị.
Từ thiện
Toàn bộ lợi nhuận từ Radiology Assistant được chuyển đến tổ chức Medical Action Myanmar, do Bác sĩ Nini Tun và Bác sĩ Frank Smithuis Sr. điều hành — ông là giáo sư tại Đại học Oxford và cũng là anh trai của Robin Smithuis.
Nhấn vào đây để xem video về Medical Action Myanmar, và nếu bạn thấy Radiology Assistant hữu ích, hãy ủng hộ Medical Action Myanmar bằng một món quà nhỏ.




























