Vỡ phình động mạch chủ
Bài viết này dựa trên bài thuyết trình của Jay Heiken và được Robin Smithuis chuyển thể cho Radiology Assistant.
Jay Heiken là giáo sư chẩn đoán hình ảnh với chuyên môn đặc biệt về hình ảnh học ổ bụng và là đồng tác giả của cuốn sách nổi tiếng ‘Computed Body Tomography With Mri Correlation’.
Các dấu hiệu kinh điển trong vỡ phình động mạch chủ đã được biết đến rộng rãi.
Trong bài viết này, chúng tôi sẽ trình bày các dấu hiệu tinh tế hơn của rò rỉ khu trú và phình động mạch chủ sắp vỡ.
Dấu hiệu chính của vỡ phình động mạch chủ
Vỡ phình động mạch chủ là chẩn đoán quan trọng nhất cần loại trừ ở bệnh nhân đau bụng cấp, đặc biệt khi bệnh nhân có biểu hiện đau lưng hoặc đau hông.
Các dấu hiệu chính của vỡ phình động mạch chủ bụng (AAA) bao gồm: thâm nhiễm mỡ quanh động mạch chủ, tụ máu sau phúc mạc và thoát thuốc cản quang tiêm tĩnh mạch.

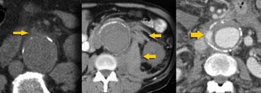
TRÁI: Thâm nhiễm mỡ quanh động mạch chủ mức độ nhẹ, GIỮA: Xuất huyết vào khoang cạnh thận sau và quanh thận, PHẢI: Thoát thuốc cản quang tiêm tĩnh mạch
Bên trái là hình ảnh của ba bệnh nhân bị vỡ phình động mạch chủ.
Trong hình ảnh ngoài cùng bên trái, chúng ta chỉ thấy một ít mô mềm tỷ trọng cao ở ngoại vi tiếp giáp với túi phình, và đây thực sự là dấu hiệu cho thấy bệnh nhân có nguy cơ vỡ hoàn toàn.
Hai trường hợp còn lại cho thấy tụ máu sau phúc mạc và thoát thuốc cản quang ra ngoài động mạch chủ, giúp chẩn đoán dễ dàng hơn.
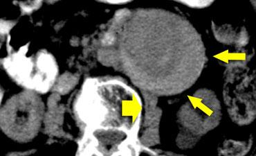
Bên trái là một trường hợp điển hình ở bệnh nhân phình động mạch chủ bụng kèm khối tụ máu sau phúc mạc tăng tỷ trọng kích thước lớn do vỡ phình.
Phần lớn các trường hợp này biểu hiện xuất huyết quanh động mạch chủ ở phía sau, và trong các trường hợp xuất huyết ồ ạt, khoang cạnh thận sau và quanh thận là các vị trí bị ảnh hưởng thường gặp nhất.
Dấu hiệu của phình động mạch chủ sắp vỡ
Các đặc điểm CT của rò rỉ khu trú hoặc phình động mạch chủ sắp vỡ có thể rất tinh tế và dễ bị bỏ sót.
Chúng ta cần tìm kiếm dấu hiệu liềm tăng tỷ trọng, gián đoạn khu trú của vôi hóa lớp nội mạc hoặc dấu hiệu canxi tiếp tuyến, hay dấu hiệu động mạch chủ phủ (bảng bên trái).

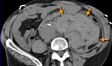
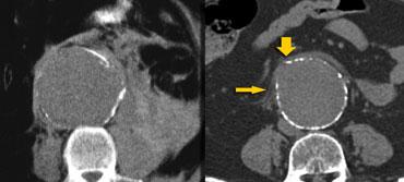
Dấu hiệu liềm tăng tỷ trọng ở bệnh nhân có bằng chứng rò rỉ nhẹ tiếp giáp cơ thắt lưng phải (mũi tên rộng).
Liềm tăng tỷ trọng
Hình ảnh liềm tăng tỷ trọng đại diện cho khối tụ máu cấp tính nằm trong huyết khối thành mạch hoặc thành túi phình.
Dấu hiệu này có liên quan chặt chẽ với vỡ phình động mạch chủ bụng.
Độ nhạy của dấu hiệu liềm tăng tỷ trọng như một chỉ điểm của phình động mạch chủ có biến chứng là 77%; độ đặc hiệu 93%; và giá trị tiên đoán dương tính 53%.
Do đó, ngay cả khi không có dấu hiệu vỡ chính, chúng ta vẫn cần thông báo cho bác sĩ lâm sàng rằng bệnh nhân này có nguy cơ rất cao bị vỡ phình động mạch chủ trong vài ngày tới.
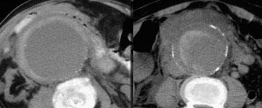
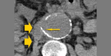
Bên trái là hai trường hợp khác của dấu hiệu liềm tăng tỷ trọng.
Trong trường hợp bên phải, chúng ta cũng có thể xác định được khối tụ máu sau phúc mạc, do đó trong trường hợp này đã có vỡ phình động mạch chủ bụng hoàn toàn.
Gián đoạn khu trú của vôi hóa lớp nội mạc
Một dấu hiệu khác của vỡ phình sắp xảy ra hoặc rò rỉ khu trú là sự gián đoạn khu trú của vôi hóa lớp nội mạc.
Trong hầu hết các trường hợp này, chúng ta cũng có thể nhận thấy dấu hiệu canxi tiếp tuyến.
Trong những trường hợp này, hình ảnh cho thấy vôi hóa như đang chỉ ra ngoài chu vi dự kiến của túi phình.
Dấu hiệu canxi tiếp tuyến
Bên trái là một ví dụ khác về dấu hiệu canxi tiếp tuyến.
Vôi hóa lớp nội mạc hướng ra ngoài túi phình và có rò rỉ sau phúc mạc.
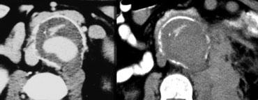
Dấu hiệu động mạch chủ phủ
Bên trái là bệnh nhân nhập viện vì đau lưng.
Hình ảnh ngoài cùng bên trái cho thấy một chỗ phình ra của động mạch chủ.
Đây có thể là biểu hiện của sự yếu khu trú thành động mạch chủ hoặc rò rỉ khu trú.
Thật không may, bệnh nhân này được đọc kết quả là không có rò rỉ và được xuất viện từ khoa cấp cứu.
Hai tuần sau, bệnh nhân bị vỡ phình hoàn toàn.
Dấu hiệu động mạch chủ phủ dương tính được xác định khi có các đặc điểm sau:
- Vùng mà thành sau động mạch chủ không thể xác định được như một đường riêng biệt.
- Phần sau động mạch chủ đi theo đường viền của cột sống ở một hoặc cả hai bên.
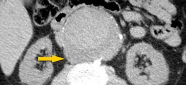
Bên trái là một bệnh nhân khác nhập viện vì đau lưng.
Không có bằng chứng rò rỉ túi phình, nhưng chúng ta thấy hình ảnh động mạch chủ phủ.
Đường viền phía sau của động mạch chủ đi theo đường viền của cột sống như thể động mạch chủ đang phủ lên thân đốt sống.
Không có hình ảnh theo dõi ở bệnh nhân này, nhưng ba giờ sau khi chụp hình ảnh này, bệnh nhân đã tử vong do mất máu từ vỡ phình động mạch chủ bụng.
Rò rỉ có thể xảy ra tại vị trí phình ra (mũi tên).







