Viêm ruột thừa và các bệnh giả lập
Giới thiệu
Trong tổng quan này, chúng tôi tập trung vào các bệnh lý không cần phẫu thuật có biểu hiện tương tự viêm ruột thừa.
Một chẩn đoán hình ảnh chính xác giúp tránh được một cuộc phẫu thuật không cần thiết hoặc việc theo dõi nội trú tốn kém.
Để góp ý và nhận xét thêm: j.puylaert@gmail.com
Ruột thừa
Ruột thừa bình thường
Siêu âm và CT cho phép quan sát trực tiếp ruột thừa bình thường hoặc đang viêm.
Ruột thừa bình thường có thể được xác định trong 67-100% bệnh nhân không bị viêm ruột thừa khi thực hiện CT [1].

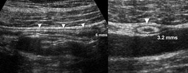
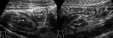
Hình 1. Tình nguyện viên khỏe mạnh 34 tuổi với ruột thừa bình thường. A và B, Siêu âm theo mặt phẳng dọc (A) và ngang (B) cho thấy ruột thừa (đầu mũi tên) có đường kính nhỏ hơn ngưỡng cắt 7 mm, được bao quanh bởi mô mỡ bình thường không viêm.
Trên siêu âm, ruột thừa bình thường ít được quan sát thấy hơn, với tỷ lệ dao động từ 0-82% [1], phản ánh sự phụ thuộc vào người thực hiện của phương pháp siêu âm.
Một trong những tiêu chí hình ảnh quan trọng nhất trong đánh giá viêm ruột thừa là đường kính ngoài của ruột thừa.
Mặc dù đã có báo cáo về sự chồng lấp đường kính ruột thừa giữa trường hợp bình thường và viêm, ngưỡng giá trị 6-7 mm được sử dụng phổ biến nhất [1]. (Hình 1).

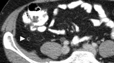
Hình 2. Nam giới 50 tuổi với ruột thừa bình thường. CT không tiêm thuốc cản quang cho thấy ruột thừa chứa khí, không giãn (đầu mũi tên) với mô mỡ quanh ruột thừa đồng nhất, không có dấu hiệu thâm nhiễm mỡ.

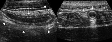
Hình 3. Nữ giới 19 tuổi bị viêm ruột thừa. Siêu âm theo mặt phẳng dọc và ngang cho thấy ruột thừa phóng to (mũi tên) được bao quanh bởi mô mỡ viêm tăng âm (đầu mũi tên).
Viêm ruột thừa
Một dấu hiệu hỗ trợ khác cho viêm ruột thừa là tăng sinh mạch máu của thành ruột thừa trên siêu âm Doppler màu [1] (Hình 3b).

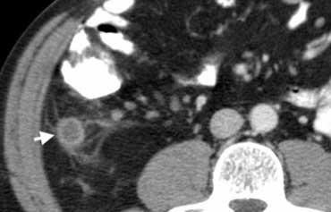
Hình 4. Nam giới 43 tuổi bị viêm ruột thừa. CT có tiêm thuốc cản quang cho thấy ruột thừa giãn chứa dịch (mũi tên) với thâm nhiễm mỡ quanh ruột thừa.
Trên CT, ruột thừa viêm được bao quanh bởi dấu hiệu thâm nhiễm mỡ (Hình 4).
Các bệnh lý đường tiêu hóa không cần phẫu thuật tương tự viêm ruột thừa

Hình 5. Nam giới 14 tuổi bị viêm hạch mạc treo. Siêu âm hố chậu phải cho thấy một cụm hạch bạch huyết mạc treo phóng to (đầu mũi tên). Ruột thừa bình thường (không hiển thị) và không tìm thấy bất thường nào khác.
Viêm hạch mạc treo
Viêm hạch mạc treo được báo cáo là nguyên nhân phổ biến thứ hai gây đau hố chậu phải sau viêm ruột thừa, chiếm 2-14% chẩn đoán xuất viện ở bệnh nhân có nghi ngờ lâm sàng viêm ruột thừa [3].
Bệnh được định nghĩa là tình trạng viêm lành tính, tự giới hạn của các hạch bạch huyết mạc treo bên phải mà không có quá trình viêm nền có thể xác định được, xảy ra thường gặp hơn ở trẻ em so với người lớn.
Siêu âm và CT cho thấy hình ảnh hạch bạch huyết tập trung thành cụm (Hình 5).

Hình 6. Nam giới 39 tuổi bị viêm hồi manh tràng do vi khuẩn. A và B, Siêu âm cho thấy dày thành mức độ vừa của hồi tràng đoạn cuối và manh tràng, được bao quanh bởi mô mỡ bình thường không viêm. Hạch bạch huyết mạc treo phóng to mức độ vừa cũng hiện diện (không hiển thị).
Viêm hồi manh tràng do vi khuẩn
Do hạch bạch huyết phóng to cũng thường gặp trong viêm ruột thừa, ruột thừa bình thường phải được quan sát rõ ràng trên các phương tiện chẩn đoán hình ảnh trước khi xác định chẩn đoán viêm hạch mạc treo. Viêm ruột kết do nhiễm trùng có thể gây ra các triệu chứng nhẹ giống viêm dạ dày ruột do virus thông thường, nhưng cũng có thể biểu hiện lâm sàng với các đặc điểm không thể phân biệt với viêm ruột thừa [4].
Biểu hiện sau này có thể xảy ra trong viêm hồi manh tràng do vi khuẩn, gây ra bởi Yersinia, Campylobacter hoặc Salmonella. Các phương tiện chẩn đoán hình ảnh cho thấy dày thành hồi tràng đoạn cuối và manh tràng mà không có viêm mô mỡ xung quanh (Hình 6), và hạch bạch huyết mạc treo phóng to mức độ vừa.

Hình 7. Nữ giới 29 tuổi bị viêm túi mỡ đại tràng. A, Siêu âm hố chậu phải cho thấy một khối mỡ viêm tăng âm (đầu mũi tên) kề cạnh đại tràng (mũi tên), tại vị trí đau tối đa. B, Trên CT không tiêm thuốc cản quang, tổn thương mỡ chứa một vòng tăng tỷ trọng đặc trưng (mũi tên) tương ứng với lớp phúc mạc tạng dày lên.
Viêm túi mỡ đại tràng
Các túi mỡ đại tràng là những cấu trúc mỡ nhỏ nhô ra từ bề mặt thanh mạc của đại tràng. Một túi mỡ đại tràng có thể bị xoắn và viêm thứ phát, gây đau bụng khu trú giống viêm ruột thừa khi nằm ở hố chậu phải.
Viêm túi mỡ đại tràng là bệnh tự giới hạn, được báo cáo ở khoảng 1% bệnh nhân có nghi ngờ lâm sàng viêm ruột thừa [5].
Siêu âm và CT cho thấy một khối mỡ viêm kề cạnh đại tràng (Hình 7), chứa một vòng tăng tỷ trọng đặc trưng của lớp phúc mạc tạng dày lên trên CT [5].

Hình 8. Nam giới 41 tuổi bị nhồi máu mạc nối. A, Siêu âm vùng bụng phải giữa cho thấy một vùng mỡ phúc mạc viêm rộng (đầu mũi tên). B, CT không tiêm thuốc cản quang mô tả tổn thương là một vùng mỡ mạc nối viêm dạng bánh (đầu mũi tên), lớn hơn so với viêm túi mỡ đại tràng và không có vòng tăng tỷ trọng.
Nhồi máu mạc nối
Nhồi máu mạc nối có sinh lý bệnh và biểu hiện lâm sàng tương tự viêm túi mỡ đại tràng, với mô mỡ bị nhồi máu là một đoạn mạc nối bên phải. Hình ảnh cho thấy một khối mỡ viêm dạng bánh (Hình 8), lớn hơn so với viêm túi mỡ đại tràng và không có vòng tăng tỷ trọng trên CT.

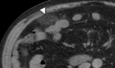
Hình 9. Nữ giới 47 tuổi với đau hố chậu phải cấp tính. CT không tiêm thuốc cản quang cho thấy một khối mỡ viêm hình bầu dục (đầu mũi tên) với các quai ruột lân cận bình thường. Hình dạng và kích thước của tổn thương gợi ý viêm túi mỡ đại tràng, nhưng tổn thương không chứa vòng tăng tỷ trọng. Trong trường hợp này, khó phân biệt giữa viêm túi mỡ đại tràng hay nhồi máu mạc nối nhỏ.
Trong một số trường hợp, có thể khó phân biệt viêm túi mỡ đại tràng với nh

