Viêm ruột thừa – Cạm bẫy trong chẩn đoán SA và CT
Trong chương này, chúng tôi sẽ đề cập đến chiến lược chẩn đoán tối ưu ở bệnh nhân nghi ngờ viêm ruột thừa, cũng như những bẫy chẩn đoán dẫn đến kết quả dương tính giả hoặc âm tính giả.
Đặc biệt chú trọng đến:
- Vị trí bất thường của ruột thừa
- Chẩn đoán phân biệt viêm ruột thừa
- Các biến chứng.
Để góp ý và nhận xét thêm: j.puylaert@gmail.com
Chiến lược chẩn đoán trong nghi ngờ viêm ruột thừa
Phác đồ xử trí bệnh nhân đau bụng cấp tại Hà Lan có nền tảng khoa học vững chắc (Bảng) (Lameris et al. BMJ 2009;338: b2431).
CRP, bạch cầu máu (WBC) cũng như đánh giá lâm sàng đóng vai trò quan trọng trong việc lựa chọn giữa chụp CT bổ sung và theo dõi chờ đợi.
Siêu âm trước, CT sau.
Bệnh nhân nghi ngờ viêm ruột thừa thường còn tương đối trẻ, do đó việc bắt đầu bằng siêu âm ở hầu hết các trường hợp là hợp lý.
Ở người phụ nữ mang thai 11 tuần này, siêu âm xác nhận thai trong tử cung còn nguyên vẹn đồng thời phát hiện viêm ruột thừa cấp.
Lưu ý sự khác biệt về thang đo cm.
Phẫu thuật nội soi cắt bỏ ruột thừa viêm đã được thực hiện thành công.
CT khi siêu âm không kết luận được
Ở hầu hết bệnh nhân có kết quả siêu âm không kết luận được và nghi ngờ viêm ruột thừa cao, CT là bước tiếp theo.
Một điều kiện thuận lợi cho CT là những bệnh nhân này thường béo phì.
CT về nguyên tắc được thực hiện có tiêm thuốc cản quang tĩnh mạch.
Nếu bệnh nhân cao tuổi có đau dữ dội với chẩn đoán phân biệt rộng, có thể bổ sung CT ba thì và thậm chí CT ngực.
Tại bệnh viện chúng tôi, trong tổng số bệnh nhân chụp CT vì đau bụng cấp, khoảng 15% được chỉ định chụp CT ngực trong vòng 24 giờ, và ngược lại.
Trong trường hợp suy thận, CT không tiêm thuốc cản quang vẫn có thể cho kết quả chẩn đoán như ở ba bệnh nhân này.
Nếu CT không tiêm thuốc cản quang không đủ để chẩn đoán, hãy lặp lại CT có tiêm thuốc cản quang tĩnh mạch sau khi chức năng thận được cải thiện.
Khi cả siêu âm và CT đều được thực hiện, điều quan trọng là phải tích hợp kết quả siêu âm và CT vào một báo cáo kết hợp thống nhất.
Sự kết hợp giữa siêu âm và CT tùy chọn có độ chính xác rất cao trong chẩn đoán viêm ruột thừa, và tỷ lệ không kết luận được thấp hơn 1% ở các bệnh nhân nghi ngờ cao (khoảng 2 đến 3 bệnh nhân mỗi năm tại bệnh viện chúng tôi).
Trong những trường hợp đó, siêu âm và/hoặc CT lặp lại cũng như nội soi ổ bụng chẩn đoán sẽ hữu ích.
CT trước, siêu âm sau
Khi vì lý do nào đó CT được chọn là phương tiện chẩn đoán đầu tiên, siêu âm sau CT cũng có thể hữu ích.
Ở người phụ nữ cao tuổi này với đau bụng không điển hình và suy thận, CT không tiêm thuốc cản quang cho thấy hình ảnh ruột thừa nghi ngờ viêm.
Siêu âm tập trung với đầu dò tần số cao xác nhận ruột thừa nằm ở phía trước bụng đang trong tình trạng viêm.
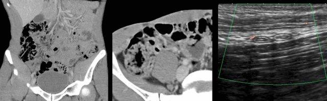
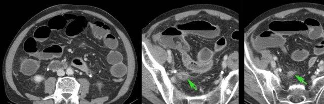
Ở bệnh nhân béo phì này, CT xác định một ruột thừa nằm sâu, có thể đang viêm (mũi tên) ở khoảng cách 11 cm tính từ da.
Siêu âm tập trung với kỹ thuật ép dần (graded compression) đã rút ngắn khoảng cách này xuống còn < 3 cm, cho phép sử dụng đầu dò tần số cao, qua đó cho thấy ruột thừa không thể ép xẹp và đang trong tình trạng viêm (mũi tên).
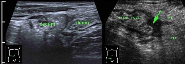
Ở người đàn ông trẻ này, ruột thừa không thể xác định được trên CT do thiếu mỡ trong ổ bụng.
Siêu âm dễ dàng xác định được ruột thừa bình thường.
Chẩn đoán âm tính giả
Siêu âm không quan sát được ruột thừa: các mẹo và lưu ý
Nguyên nhân quan trọng nhất dẫn đến kết quả siêu âm âm tính giả là bỏ sót ruột thừa đang viêm.
Vấn đề lớn nhất là không quan sát được ruột thừa. Ở bệnh nhân người lớn, các số liệu được trình bày như sau (Bảng).
Trong tay các bác sĩ có kinh nghiệm, ruột thừa đang viêm có thể được quan sát thấy trong 80-90% bệnh nhân viêm ruột thừa cấp.
Dưới đây là các bẫy dẫn đến việc không quan sát được ruột thừa và cách khắc phục.
Viêm ruột thừa sau manh tràng
Ruột thừa thường được tìm thấy tại vị trí đau nhất khi ấn.
Trong viêm ruột thừa sau manh tràng (mũi tên), manh tràng thường bị đẩy về phía trong bởi đầu dò siêu âm, khiến ruột thừa (mũi tên) có vẻ nằm ở phía bên ngoài manh tràng thay vì phía sau nó.
Một khả năng khác để quan sát ruột thừa trong viêm ruột thừa sau manh tràng là đặt đầu dò ở vùng hông phải, nhờ đó tránh được manh tràng chứa đầy hơi và phân.
Một mẹo khác trong viêm ruột thừa sau manh tràng là dùng tay trái đẩy ruột thừa đang viêm (mũi tên) về phía đầu dò.
Để tìm ruột thừa, trước tiên có thể hữu ích khi xác định van hồi manh tràng (xem thêm Siêu âm đường tiêu hóa: giải phẫu bình thường).
Gốc ruột thừa thường được tìm thấy cách đó 3 cm về phía đuôi, nơi nó xuất phát từ cực manh tràng ở mặt trong.
Vấn đề lớn nhất đối với siêu âm là ruột thừa nằm sâu trong tiểu khung.
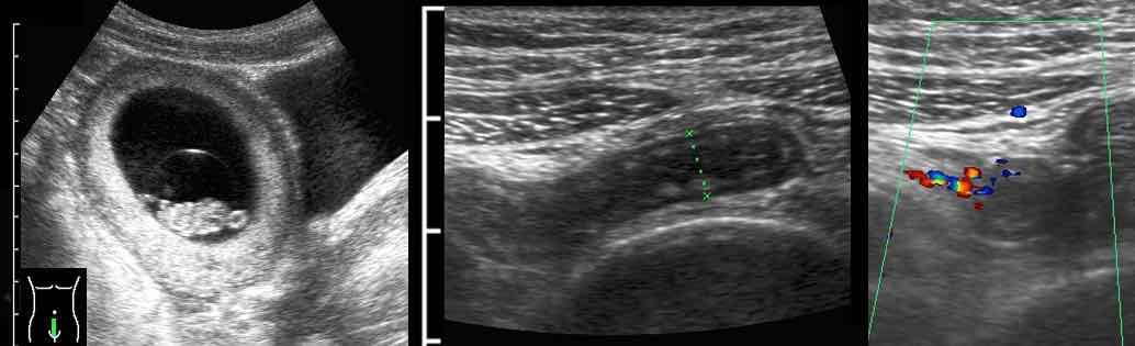
Ở người phụ nữ mang thai và béo phì này, một ruột thừa có thể đang viêm (mũi tên kèm dấu hỏi) được quan sát thấy khi ấn mạnh sâu xuống vùng tiểu khung.
Siêu âm qua đường âm đạo tiếp theo cho thấy một ruột thừa đang viêm chứa đầy mủ, nằm trong vòng 1 cm so với đầu dò âm đạo.
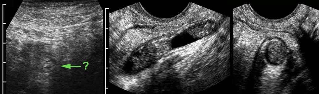
Hơi trong lòng ruột thừa có thể gây khó khăn trong việc xác định ruột thừa đang viêm (đầu mũi tên).
Thành ruột thừa giảm âm và lớp mỡ xung quanh đang viêm (*) cho thấy rõ ràng có viêm ruột thừa.
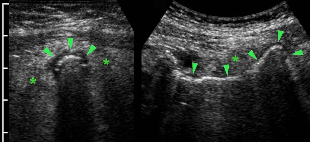
Một bẫy khác là viêm đầu ruột thừa, trong đó tình trạng viêm chỉ khu trú ở đầu xa của ruột thừa.
Nếu chỉ quan sát được phần gần bình thường (mũi tên trong A), trong khi đầu xa (mũi tên trong B) bị che khuất bởi hơi ruột, có thể dẫn đến chẩn đoán âm tính giả. (a và v = động mạch và tĩnh mạch chậu)
Sự hiện diện của liệt ruột toàn thể là dấu hiệu nghi ngờ viêm ruột thừa thủng, và nếu không quan sát được ruột thừa đang viêm, chụp CT là bắt buộc, đồng thời để loại trừ các bệnh lý khác.
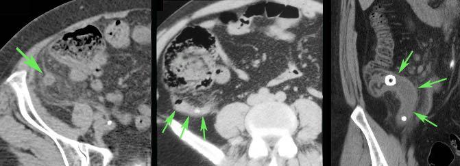
Người đàn ông 66 tuổi này nhập viện với đau bụng dữ dội kèm viêm phúc mạc toàn thể và CRP 550.
Siêu âm chỉ phát hiện quai ruột non giãn, CT được thực hiện với nghi ngờ thiếu máu mạc treo.
CT cho thấy viêm ruột thừa (mũi tên) với đầu ruột thừa thủng và nhiễm bẩn bốn góc phần tư của khoang phúc mạc.
Nhầm lẫn ruột thừa đang viêm với ruột thừa bình thường
Ở 7% bệnh nhân viêm ruột thừa, ruột thừa đang viêm có đường kính trên siêu âm nhỏ hơn 7 mm.
Nếu có tăng sinh mạch máu và mỡ xung quanh đang viêm, đồng thời bệnh nhân có triệu chứng nhẹ, đây thường là trường hợp viêm ruột thừa tự khỏi (xem Viêm ruột thừa: các dấu hiệu siêu âm).
Người đàn ông trẻ này có triệu chứng thuyên giảm nhanh tại thời điểm siêu âm, với CRP 1 và bạch cầu 9.
Tuy nhiên, phẫu thuật vẫn được thực hiện và kết quả mô bệnh học xác nhận viêm ruột thừa cấp thông thường.
Trong viêm ruột thừa giai đoạn muộn, ruột thừa đang viêm (mũi tên) có thể có đường kính rất nhỏ, do đã thoát dịch vào một ổ áp xe.
Trong hai trường hợp này, các dấu hiệu siêu âm thứ phát gồm ổ tụ mủ và mỡ xung quanh đang viêm giúp gợi ý chẩn đoán đúng.
Chẩn đoán nhầm sang một bệnh lý khác
Ở một số bệnh nhân, các dấu hiệu siêu âm có thể gợi ý một bệnh lý khác, trong khi thực tế bệnh nhân đang bị viêm ruột thừa.
Đây rõ ràng là một bẫy nguy hiểm.
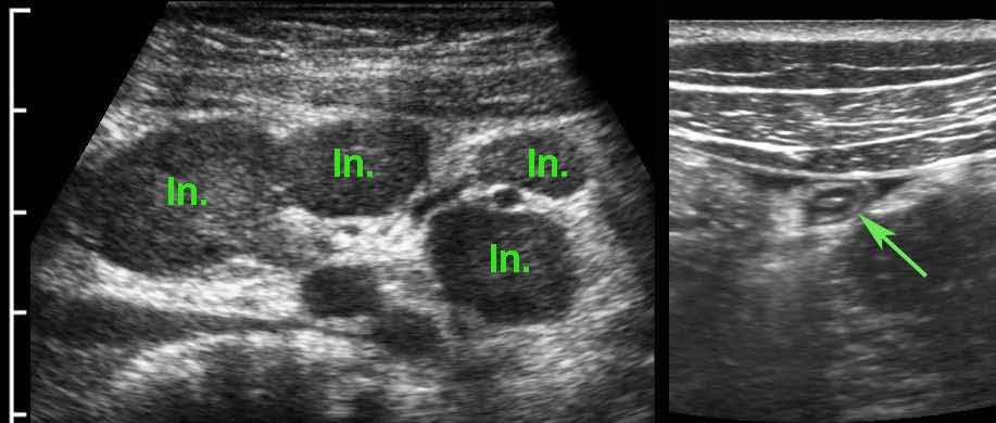
Ở bệnh nhân 16 tuổi này với đau hố chậu phải, các hạch bạch huyết mạc treo to được bao quanh bởi một ít mỡ đang viêm (*) là dấu hiệu siêu âm duy nhất và không xác định được ruột thừa.
CT xác nhận các hạch to (đầu mũi tên), nhưng phát hiện thêm ruột thừa đang viêm (mũi tên), xuất phát từ manh tràng ở vị trí sâu trong tiểu khung.
Bệnh nhân trẻ bị viêm ruột thừa cấp thường có hạch bạch huyết mạc treo to thứ phát.
Viêm hạch bạch huyết mạc treo
Nếu hạch bạch huyết mạc treo to là dấu hiệu siêu âm duy nhất ở bệnh nhân trẻ có đau hố chậu phải, có thể xem xét chẩn đoán viêm hạch bạch huyết mạc treo do virus.
Tuy nhiên, bắt buộc phải xác định chắc chắn ruột thừa bình thường (mũi tên), vì hạch to có thể là thứ phát do viêm ruột thừa.
Viêm hồi manh tràng / viêm hồi đại tràng do nhiễm trùng
Một bẫy khác là khi quan sát thấy dày thành thứ phát của hồi tràng hoặc đại tràng phải, nhưng bỏ sót viêm ruột thừa là nguyên nhân nền.
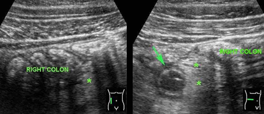
Ở bệnh nhân này, ban đầu dày thành đại tràng lớp dưới niêm mạc được diễn giải là viêm hồi đại tràng do nhiễm trùng bởi Campylobacter hoặc Salmonella.
Đặt đầu dò ở vùng hông phải cho thấy ruột thừa đang viêm (mũi tên) được bao quanh bởi mỡ đang viêm (*).
Sự hiện diện của mỡ đang viêm tự nó là dấu hiệu then chốt, vì đây là dấu hiệu không bao giờ gặp trong viêm đại tràng do nhiễm trùng.

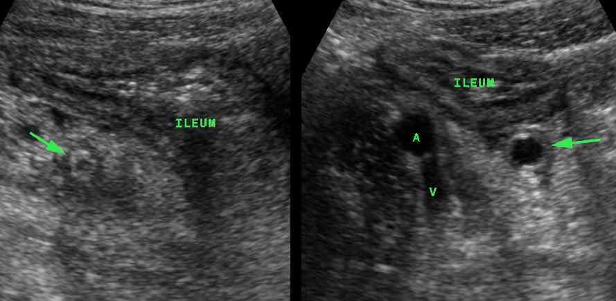
Viêm ruột thừa (mũi tên) gây dày thành thứ phát của hồi tràng lân cận. (A và V = động mạch và tĩnh mạch chậu)
Ở hai bệnh nhân này, ban đầu dày niêm mạc hồi tràng đoạn cuối là dấu hiệu siêu âm duy nhất được diễn giải là viêm hồi tràng do Crohn hoặc viêm hồi tràng do nhiễm trùng.
Siêu âm lần hai phát hiện viêm ruột thừa (mũi tên) là nguyên nhân nền gây dày thành thứ phát của hồi tràng lân cận.
Nang buồng trứng phải
Một bẫy khác là chẩn đoán nhầm sang một bệnh lý phụ khoa khác, trong khi thực tế bệnh nhân đang bị viêm ruột thừa.
Ở người phụ nữ trẻ này, một nang buồng trứng phải xuất huyết nổi bật (đầu mũi tên) được quan sát thấy và được cho là nguyên nhân gây triệu chứng hố chậu phải.
Tuy nhiên, tìm kiếm thêm đã phát hiện viêm ruột thừa cấp, nang buồng trứng chỉ là phát hiện tình cờ gây nhầm lẫn.
Viêm túi thừa manh tràng
Ở người đàn ông trẻ này, một sỏi phân (mũi tên) bám vào manh tràng được diễn giải là viêm túi thừa manh tràng.
Ban đầu bệnh nhân được điều trị bảo tồn, nhưng sau 24 giờ triệu chứng xấu đi và bệnh nhân được phẫu thuật.
Trong phẫu thuật phát hiện viêm ruột thừa thủng với sỏi phân ở gốc ruột thừa.
Trong trường hợp này, chụp CT chắc chắn đã giúp thực hiện chẩn đoán phân biệt quan trọng này.
























