Viêm ruột hoại tử
Viêm ruột hoại tử (NEC) là một quá trình viêm nặng của ruột ở trẻ sơ sinh, cuối cùng dẫn đến hoại tử ruột.
Các dấu hiệu lâm sàng có thể không đặc hiệu và chẩn đoán hình ảnh đóng vai trò then chốt trong chẩn đoán NEC.
Siêu âm là phương thức nhạy cảm nhất để đánh giá NEC.
Trong bài viết này, chúng tôi sẽ thảo luận về:
- Các dấu hiệu hình ảnh trong NEC
- Chẩn đoán phân biệt chính
Giới thiệu
Viêm ruột hoại tử (NEC) chủ yếu là bệnh lý của trẻ sinh non (> 90% các trường hợp).
Bệnh cũng có thể xảy ra ở trẻ sinh đủ tháng, và trong những trường hợp này, NEC thường liên quan đến các bệnh lý khác như nhiễm khuẩn huyết hoặc bệnh tim bẩm sinh.
NEC có tỷ lệ tử vong cao, lên đến 20-30%, và có thể để lại di chứng lâu dài.
Hình ảnh
Hình ảnh trong phẫu thuật của một trẻ sơ sinh mắc viêm ruột hoại tử.
Sự khác biệt giữa đoạn ruột hoại tử và đoạn ruột lành mạnh được tưới máu tốt có thể được nhận thấy rõ ràng.
Sinh lý bệnh
Sinh lý bệnh của NEC chưa được hiểu hoàn toàn và có nhiều yếu tố tham gia vào quá trình này.
Đặc điểm cốt lõi là tình trạng ruột non chưa trưởng thành, với chức năng hàng rào bảo vệ kém phát triển, tạo điều kiện cho vi khuẩn và độc tố xâm nhập gây tổn thương.
NEC thường liên quan đến tình trạng rối loạn vi khuẩn đường ruột.
Hệ miễn dịch chưa hoàn thiện có thể phản ứng không đầy đủ với các vi khuẩn gây bệnh, dẫn đến nguy cơ bùng phát đáp ứng viêm toàn thân.
Các tình trạng làm giảm lưu lượng máu đến ruột có thể khởi phát hoặc làm nặng thêm NEC.
Cuối cùng, hoại tử và thủng ruột có thể xảy ra.
Sữa mẹ có tác dụng bảo vệ chống lại NEC.
Nuôi dưỡng bằng sữa công thức có liên quan đến nguy cơ cao hơn do thiếu các thành phần bảo vệ có trong sữa mẹ, chẳng hạn như các yếu tố tăng trưởng, tế bào miễn dịch và kháng thể.

Đôi khi có thể quan sát thấy hiện tượng đổi màu da vùng bụng trong NEC. Hình ảnh được cung cấp bởi Bác sĩ M Vlietman.
Nguy cơ mắc NEC tỷ lệ nghịch với tuổi thai và cân nặng lúc sinh.
Ở trẻ sinh trước 32 tuần tuổi thai hoặc có cân nặng lúc sinh dưới 1,5 kg, nguy cơ mắc NEC vào khoảng 4-12%.
Ở trẻ sơ sinh đủ tháng, NEC rất hiếm gặp và cần ưu tiên nghĩ đến các chẩn đoán khác như được liệt kê trong phần chẩn đoán phân biệt (xem bên dưới).
Các dấu hiệu đầu tiên của NEC thường xuất hiện vào ngày thứ 10-20 sau sinh.
Bệnh khởi phát với các triệu chứng không đặc hiệu như li bì, ngưng thở hoặc không ổn định thân nhiệt.
Sau đó, các dấu hiệu gợi ý NEC rõ hơn bao gồm các triệu chứng tiêu hóa như không dung nạp thức ăn, ứ đọng dạ dày, chướng bụng và phân có máu.
Quy trình đánh giá bao gồm xét nghiệm máu, trong đó có cấy vi khuẩn để loại trừ nhiễm khuẩn huyết, và chẩn đoán hình ảnh.
Chẩn đoán hình ảnh trong Viêm ruột hoại tử (NEC)
Bảng liệt kê các dấu hiệu cần tìm kiếm trên X-quang bụng và siêu âm.
Các dấu hiệu này sẽ được thảo luận chi tiết dưới đây.
Lưu ý trong chẩn đoán hình ảnh NEC
- Siêu âm là phương thức nhạy cảm nhất để đánh giá NEC.
X-quang bụng âm tính không loại trừ được khí trong tĩnh mạch cửa hoặc khí trong thành ruột (pneumatosis intestinalis). - Khí trong tĩnh mạch cửa và khí trong thành ruột thường là dấu hiệu sớm và cũng có thể biến mất khá nhanh.
Sự vắng mặt của khí trong tĩnh mạch cửa hoặc khí trong thành ruột không loại trừ NEC. - Khảo sát toàn bộ ổ bụng cẩn thận bằng đầu dò tuyến tính tần số cao để đánh giá được nhiều đoạn ruột nhất có thể.
- Ruột hoại tử với thành mỏng có thể trông khá giống ruột bình thường.
Cần tìm kiếm sự vắng mặt của nhu động ruột, bong tróc niêm mạc và giảm tưới máu.
Ruột hoại tử thường giãn trước khi thủng. - Thời điểm tối ưu để phẫu thuật là khi ruột đã hoại tử nhưng trước khi thủng xảy ra. Do đó, khuyến cáo nên thực hiện các lần khám lại liên tiếp.
Chụp lại và So sánh
NEC là bệnh tiến triển và hình ảnh cần được chụp lại và so sánh theo thời gian.
X-quang
Phương thức chẩn đoán hình ảnh đầu tiên là chụp X-quang tư thế thẳng (AP) và chùm tia nằm ngang, có thể là tư thế nằm nghiêng (lateral decubitus) hoặc tư thế chụp ngang bàn (cross table).
Tư thế chụp ngang bàn được ưu tiên hơn vì không cần di chuyển trẻ đang bệnh nặng, đồng thời cung cấp thông tin về vị trí các cấu trúc ở phía bụng và phía lưng.
Trong nhiều trường hợp, X-quang không cho kết quả rõ ràng và cần thực hiện thêm siêu âm.
Siêu âm
Siêu âm không chỉ tập trung vào ruột mà còn cần đánh giá sự hiện diện của dịch tự do (*) và khí trong hệ thống tĩnh mạch cửa (mũi tên).
X-quang bụng âm tính không loại trừ được khí trong tĩnh mạch cửa hoặc khí trong thành ruột.
Phân bố hơi trong lòng ruột
Trên X-quang, cần đánh giá phân bố hơi trong lòng ruột.
Giãn ruột
Để đánh giá mức độ giãn, có thể sử dụng chiều rộng liên cuống đốt sống L2 làm mốc tham chiếu.
Phân bố hơi trong ruột
Cần đánh giá sự phân bố hơi trong ruột, vì các vùng thiếu hơi khu trú có thể đại diện cho đoạn ruột bệnh lý.
Do góc phần tư dưới phải là vị trí thường bị tổn thương nhất, đây cũng là vùng thường xuyên nhất có biểu hiện vắng mặt hơi ruột.
Một dấu hiệu quan trọng khác là quai ruột cố định (persistent loop).
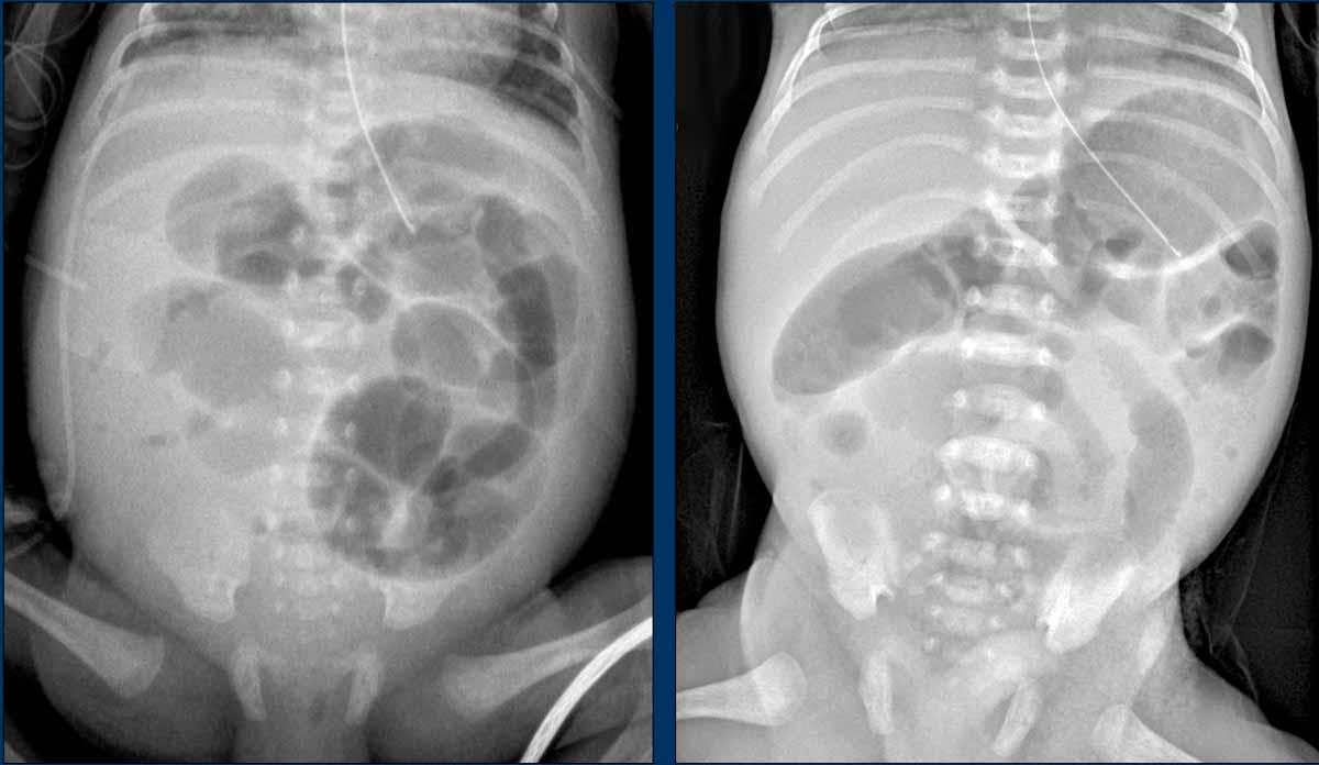
Hình ảnh
X-quang bụng cho thấy các quai ruột giãn và phân bố hơi không đều với vùng thiếu hơi ở góc phần tư dưới phải.
Quai ruột cố định
Quai ruột cố định là quai ruột không thay đổi theo thời gian trên X-quang.
Đây là dấu hiệu đáng lo ngại, phù hợp với hoại tử ruột và do đó là dấu hiệu báo trước nguy cơ thủng sắp xảy ra.
Nhu động ruột tất nhiên có thể được đánh giá tốt nhất bằng siêu âm.
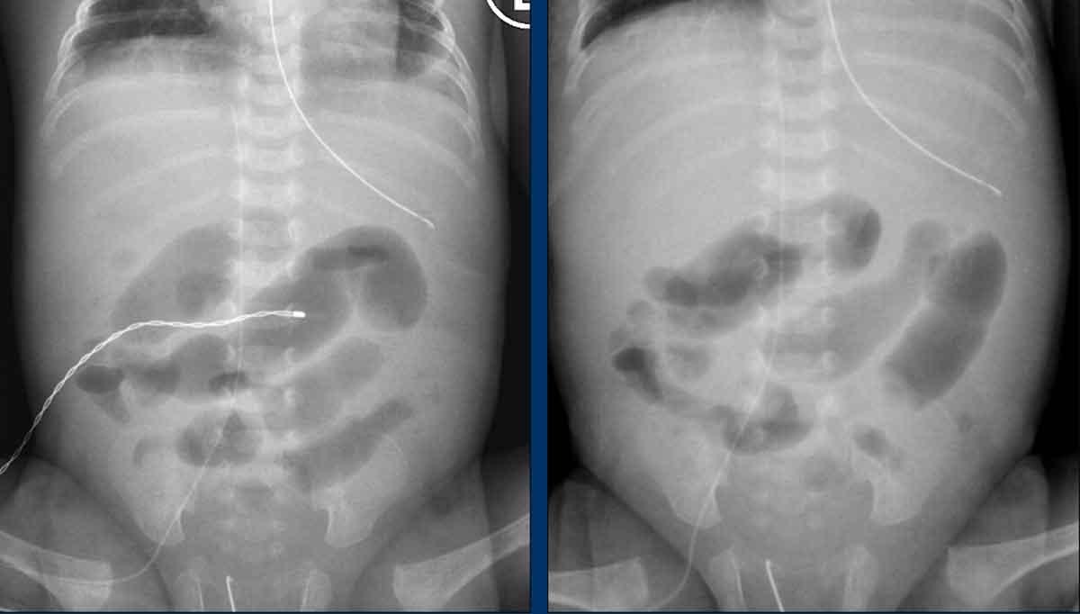
Hình ảnh
Hai phim X-quang chụp cách nhau vài giờ cho thấy ở vùng bụng trên chỉ có các quai ruột giãn nhẹ nhưng không có nếp niêm mạc, không thay đổi theo thời gian. Đây là dấu hiệu của vắng mặt nhu động ruột.
Lịch chụp lại được khuyến cáo là mỗi 6-8 giờ, nhưng tất nhiên phụ thuộc vào tình trạng lâm sàng.
Một ví dụ khác về quai ruột cố định.
Cuộn qua các hình ảnh.
Vắng mặt nhu động ruột
Siêu âm tất nhiên là phương thức xuất sắc để đánh giá nhu động ruột và nếu X-quang không rõ ràng, bạn luôn nên thực hiện siêu âm.
Video
Vắng mặt nhu động ruột trong các quai ruột giãn được bao quanh bởi dịch cổ trướng.
Mũi tên chỉ vào các bóng khí trong dịch cổ trướng, là dấu hiệu của thủng ruột (được thảo luận bên dưới).
Doppler màu
Đánh giá thành ruột đòi hỏi một số kinh nghiệm.
Thành ruột bình thường có độ dày dưới 2,5 mm và có tín hiệu dòng chảy Doppler.
Thành ruột bệnh lý có biểu hiện dày lên (độ dày thành > 2,5 mm) và thành phù nề có tăng âm.
Có thể có tăng tín hiệu dòng chảy Doppler.
Điều này có thể khó đánh giá vì hầu hết trẻ sinh non bệnh nặng sẽ đang được hỗ trợ hô hấp và tín hiệu Doppler sẽ bị nhiễu bởi các xảo ảnh.
Trong bệnh tiến triển, khi ruột hoại tử hoàn toàn, thành ruột trở nên mỏng (độ dày thành < 1 mm) và không đều.
Tín hiệu dòng chảy Doppler sẽ giảm dần và cuối cùng mất hoàn toàn.
Hình ảnh
- Thành ruột bệnh lý: ruột dày và tăng âm, xen kẽ dịch cổ trướng.
- Thành ruột mỏng và không đều trong NEC tiến triển.
Hình ảnh Doppler cho thấy vắng mặt dòng chảy và sự hiện diện của khí trong thành ruột (pneumatosis intestinalis).
Hình ảnh được cung cấp bởi GS.TS. M Epelman, RadioGraphics 2007
Khí trong thành ruột (Pneumatosis)
Khi vi khuẩn xâm nhập vào thành ruột, có thể thấy khí trong thành ruột, được gọi là pneumatosis intestinalis.
Đây là đặc điểm điển hình nhất của NEC.
Có một số ngoại lệ nhưng rất hiếm gặp và pneumatosis intestinalis ở trẻ sinh non cần được chẩn đoán là NEC cho đến khi được chứng minh ngược lại. Pneumatosis intestinalis có thể thấy trên cả X-quang và siêu âm.
Nếu bạn nghi ngờ không biết đang nhìn thấy khí trong thành ruột hay khí trong lòng ruột, chỉ cần nhớ rằng khí trong thành ruột không di chuyển theo thời gian hoặc khi ép nhẹ, trong khi khí trong lòng ruột sẽ di chuyển.
Hình ảnh
Hai ví dụ về pneumatosis intestinalis.
Video minh họa pneumatosis intestinalis.
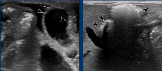
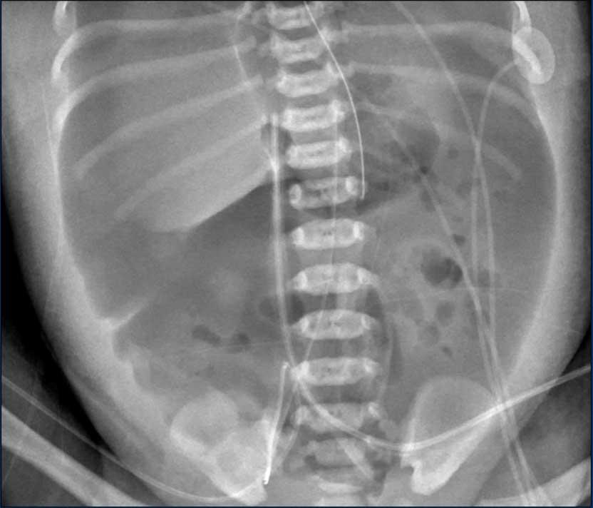
Khí trong tĩnh mạch cửa
Khi khí trong thành ruột được hấp thu vào hệ thống tĩnh mạch và vận chuyển đến tĩnh mạch cửa, bạn có thể thấy các bóng khí viền theo hệ thống tĩnh mạch cửa, gọi là ‘pneumoportogram’.
Khí trong tĩnh mạch cửa lan rộng trên X-quang như trong trường hợp này là khá hiếm gặp.
Siêu âm vượt trội hơn X-quang trong việc phát hiện lượng nhỏ khí trong hệ thống tĩnh mạch cửa.
Các bóng khí có thể được nhìn thấy dưới dạng các đốm tăng âm ở ngoại vi gan, nhưng cũng có thể thấy chúng di chuyển trong tĩnh mạch cửa như được minh họa trong video.
Video về khí trong tĩnh mạch cửa.
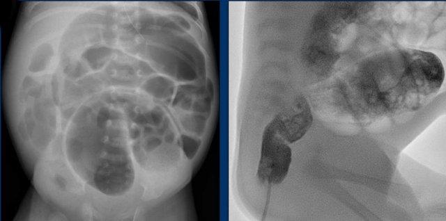
Khí tự do
Khi hoại tử tiến triển đến thủng, bạn có thể thấy khí tự do hoặc tràn khí phú
Chẩn đoán phân biệt
Bảng liệt kê các chẩn đoán phân biệt chính của viêm ruột hoại tử (NEC).
Nhiễm khuẩn huyết
Nhiễm khuẩn huyết là bệnh lý thường gặp ở trẻ sinh non do hệ miễn dịch chưa hoàn thiện và thường liên quan đến các catheter trung tâm.
Cũng như trong viêm ruột hoại tử, các triệu chứng có thể khá không đặc hiệu và các xét nghiệm cận lâm sàng trong nhiễm khuẩn huyết cũng không phải lúc nào cũng rõ ràng ở giai đoạn đầu của bệnh.
Tương tự như trong NEC giai đoạn sớm, phim X-quang có thể cho thấy các quai ruột giãn do liệt ruột cơ năng.
Nhiễm khuẩn huyết và NEC cũng có thể cùng tồn tại đồng thời, và thông thường khi có các triệu chứng sớm, trẻ sẽ được điều trị cho cả hai bệnh.
Hình ảnh
Liệt ruột cơ năng ở trẻ sơ sinh bị nhiễm khuẩn huyết.
Thủng ruột tự phát ở trẻ sơ sinh
Chẩn đoán phân biệt chính còn lại là thủng ruột tự phát ở trẻ sơ sinh (SIP).
Bệnh lý này thường xảy ra ở trẻ có cân nặng khi sinh rất thấp (<1,5 kg).
SIP thường gặp trong tuần đầu tiên của cuộc sống, sớm hơn so với hầu hết các trường hợp NEC.
Trẻ đột ngột trở nặng do thủng ruột tự phát.
Trên hình ảnh học, sẽ thấy tràn khí phúc mạc hoặc đôi khi là bụng không có hơi, nhưng không có dấu hiệu khí trong thành ruột (pneumatosis intestinalis) hay khí trong tĩnh mạch cửa.
Trong phẫu thuật, vị trí thủng trong SIP rất khu trú, điển hình ở hồi tràng đoạn cuối và trái ngược với NEC, đoạn ruột xung quanh vị trí thủng trông bình thường.
Hình ảnh
Tràn khí phúc mạc lượng lớn trong một trường hợp thủng ruột tự phát.
Thiếu máu ruột trong bệnh tim bẩm sinh
Ở trẻ mắc bệnh tim bẩm sinh, có nguy cơ thiếu máu ruột do huyết khối hoặc giảm tưới máu thứ phát sau bệnh lý tim mạch hoặc sau phẫu thuật.
Biểu hiện lâm sàng của thiếu máu ruột sẽ giống hệt NEC.
Tuy nhiên, nhóm tuổi điển hình sẽ không phải là trẻ sinh non mà là trẻ sinh đủ tháng.
Đại tràng dễ bị tổn thương nhất vì phụ thuộc vào các nhánh mạch máu nuôi dưỡng xa nhất.
Đặc biệt các vùng phân thủy (góc lách và vùng nối trực tràng-sigma) có nguy cơ cao nhất.
Nếu chưa biết có bệnh tim mạch nền, cần phải tìm kiếm.
Hình ảnh
Bé trai 4 tháng tuổi đã phẫu thuật tim bẩm sinh phức tạp, hiện có phân lẫn máu.
X-quang bụng cho thấy khí trong thành ruột (pneumatosis) (mũi tên).
Dấu hiệu này cũng được thấy trên siêu âm ở đoạn ruột bên trái, trong khi đoạn ruột lành bên phải cho thấy các phản âm hơi bình thường.
Xoắn ruột
Bất thường xoay ruột là tình trạng bẩm sinh trong đó ruột không xoay về đúng vị trí bình thường trong giai đoạn phôi thai sớm.
Bất thường xoay ruột khiến trẻ có nguy cơ bị xoắn ruột và mạc treo, từ đó cắt đứt nguồn cung cấp máu.
Đây là tình trạng nghiêm trọng trong đó thiếu máu có thể tiến triển nhanh chóng.
Hình ảnh
X-quang của trẻ 2 tháng tuổi có nôn mật sau phẫu thuật thoát vị hoành. Có rất ít hơi trong ruột phù hợp với tình trạng nôn và ruột xẹp. Trên siêu âm thấy cổ trướng và một quai ruột giãn với giảm tưới máu. Trong mạc treo thấy hình ảnh xoắn vặn của các mạch máu phù hợp với xoắn ruột.
Tiếp tục xem video của bệnh nhân này….
Để có mô tả chi tiết hơn về bất thường xoay ruột và xoắn ruột, hãy xem ‘bụng cấp ở trẻ sơ sinh‘.
Xoắn ruột
Video của trẻ 2 tháng tuổi có nôn nhiều.
Có hình ảnh xoắn vặn mạch máu với động mạch mạc treo tràng trên nằm bên phải tĩnh mạch mạc treo tràng trên.
Bệnh Hirschsprung
Trong bệnh Hirschsprung, có sự vắng mặt của các tế bào hạch thần kinh ở một đoạn ruột dẫn đến tắc ruột cơ năng.
Tình trạng vô hạch luôn liên quan đến trực tràng và có thể lan liên tục theo hướng miệng để ảnh hưởng đến một đoạn đại tràng dài hơn.
Trong hầu hết các trường hợp, bệnh được chẩn đoán trong 6 tuần đầu của cuộc sống.
Có tình trạng chậm thải phân su và táo bón nặng ở trẻ sơ sinh khỏe mạnh bình thường.
X-quang và thụt tháo cản quang có thể xác nhận nghi ngờ lâm sàng, nhưng chẩn đoán cuối cùng đến từ sinh thiết cho thấy sự vắng mặt của các tế bào hạch thần kinh.
Hình ảnh
Tắc ruột ở trẻ sơ sinh mắc bệnh Hirschsprung.
Đại tràng sigma giãn to và không có hơi trong trực tràng.
Trên phim thụt tháo cản quang, đường kính trực tràng nhỏ hơn đại tràng sigma.
Tỷ lệ trực tràng/sigma <1 rất gợi ý bệnh Hirschsprung.
Xem thêm các trường hợp bệnh Hirschsprung tại ‘bụng cấp ở trẻ sơ sinh‘.
Trong những trường hợp hiếm gặp khi bệnh Hirschsprung không được nhận biết và không được điều trị đúng cách, tình trạng viêm thành ruột nặng có thể phát triển.
Hiếm khi điều này có thể gây ra phân lẫn máu và khí trong thành ruột (pneumatosis intestinalis) – từ đó bắt chước hình ảnh của NEC.
Hội chứng cục sữa đông
Hội chứng cục sữa đông là tắc ruột do sữa đặc lại hay còn gọi là ‘lactobezoar’.
Vì những lý do chưa rõ, lactobezoar xảy ra thường xuyên hơn ở trẻ sinh non so với trẻ sinh đủ tháng.
Bệnh xảy ra sau tuần đầu tiên của cuộc sống, khi lượng sữa ăn đã tăng lên.
Có tình trạng tắc ruột, nhưng trẻ sơ sinh vẫn ổn định về các mặt khác. Trên phim X-quang có thể thấy các vùng thấu quang dạng bong bóng có thể trông giống khí trong thành ruột, nhưng các bong bóng không thấy rõ ràng trong thành ruột. Siêu âm sẽ xác nhận sự hiện diện của nội dung trong lòng ruột dày, tăng âm trong đoạn ruột bình thường.
Điều trị trong hầu hết các trường hợp chỉ cần thụt tháo.
Hình ảnh
- Các vùng thấu quang dạng bong bóng do lactobezoar ở góc phần tư dưới phải ở trẻ mắc hội chứng cục sữa đông. Hình ảnh này có thể gây lo ngại về khí trong thành ruột (pneumatosis intestinalis).
- Siêu âm cho thấy thành ruột bình thường, không có khí trong thành ruột, nhưng có nội dung trong lòng ruột rõ ràng dày đặc.
Không dung nạp protein sữa bò
Không dung nạp protein sữa bò không phải là bệnh của trẻ sinh non mà xảy ra ở trẻ lớn hơn.
Đây là một dạng viêm ruột kết dị ứng tương đối phổ biến.
Tình trạng dị ứng sẽ kèm theo phát ban.
Đôi khi có thể gây nhầm lẫn vì trong không dung nạp protein sữa bò, ở các trường hợp nặng, trẻ cũng có thể có phân lẫn máu và phim X-quang trong viêm ruột kết nặng có thể cho thấy khí trong thành ruột (pneumatosis intestinalis) như trong trường hợp này.
Tất nhiên, đoạn ruột bệnh trước tiên cần được nghỉ ngơi, trước khi bắt đầu lại với công thức sữa thủy phân hoàn toàn.
Hình ảnh
Các mũi tên chỉ vào khí trong thành ruột (pneumatosis intestinalis) trên phim X-quang và siêu âm, và khí trong tĩnh mạch cửa trên hình ảnh thứ ba.



























