Vai – Chấn thương chóp xoay
Chóp xoay đóng vai trò quan trọng trong việc ổn định khớp ổ chảo – cánh tay trong các cử động của cánh tay.
Rách chóp xoay là nguyên nhân phổ biến nhất gây đau vai, dẫn đến mất sức mạnh và mất vững khớp vai.
Trong bài viết này, chúng tôi sẽ thảo luận về:
- Vai trò của MRI trong phát hiện rách toàn bộ chiều dày chóp xoay.
- Chụp MRI khớp có thuốc tương phản từ trong đánh giá rách một phần chiều dày và các bệnh lý nội khớp đi kèm.
- MRI như một công cụ chẩn đoán hình ảnh tiền phẫu để đánh giá chất lượng các cấu trúc phần mềm liên quan đến bệnh lý chóp xoay.
- Mô tả các biến thể giải phẫu của ống thoát xương ở bệnh nhân có triệu chứng hội chứng chèn ép.
Giải phẫu
Chóp xoay
Cơ dưới vai
Cơ dưới vai nằm ở phía trước xương bả vai, với gân bám vào mấu động nhỏ.
Cơ dưới vai là cơ xoay trong mạnh, đồng thời hỗ trợ cánh tay trong các động tác dạng và khép. Trật khớp đầu dài gân cơ nhị đầu sẽ dẫn đến rách một phần gân cơ dưới vai.
Đầu dài gân cơ nhị đầu
Đầu dài gân cơ nhị đầu có liên quan về mặt giải phẫu và chức năng với chóp xoay. Gân xuất phát từ củ trên ổ chảo và đoạn gần của nó nằm trong khớp. Gân thoát ra khỏi khớp ổ chảo – cánh tay và đi qua khoảng gian cơ xoay giữa gân cơ dưới vai và gân cơ trên gai vào rãnh gian củ của đầu trên xương cánh tay.
Cơ dưới gai
Cơ dưới gai nằm ở phía sau xương bả vai, phía dưới gai xương bả vai. Gân cơ dưới gai bám vào mặt sau của mấu động lớn.
Cơ dưới gai là cơ xoay ngoài mạnh, đồng thời hỗ trợ cả động tác dạng và khép.
Cơ tròn bé
Cơ tròn bé nằm phía dưới cơ dưới gai.
Gân bám vào mấu động lớn.
Chức năng của cơ tròn bé chủ yếu là xoay ngoài và khép cánh tay.
Các cấu trúc khác giúp ổn định khớp ổ chảo – cánh tay bao gồm bao khớp, sụn viền và các dây chằng ổ chảo – cánh tay.
Các dạng mỏm cùng vai
Có bốn dạng vòm mỏm cùng vai được mô tả.
Trong phân loại Bigliani, ban đầu có 3 dạng (type 1-3). Sau đó, một dạng thứ tư hình lồi được bổ sung thêm.
Dạng 2 với hình dạng cong là dạng phổ biến nhất.
Dạng 3 với hình dạng móc câu là dạng duy nhất có liên quan đến tăng tỷ lệ hội chứng chèn ép khớp vai.
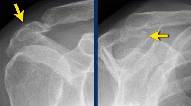
Os Acromiale
Sự thất bại trong quá trình liền xương của một trong các trung tâm cốt hóa mỏm cùng vai sẽ dẫn đến hình thành os acromiale.
Bất thường này gặp ở 5% dân số.
Thông thường đây là phát hiện tình cờ và được xem là một biến thể bình thường.
Os acromiale có thể gây triệu chứng do thoái hóa khớp tại khớp nối mỏm cùng vai – os acromiale, hoặc do hội chứng chèn ép vì nếu os acromiale không ổn định, nó có thể bị kéo xuống dưới trong động tác dạng cánh tay bởi cơ delta bám vào đây.
Trên MRI, os acromiale được quan sát rõ nhất trên các lát cắt axial phía trên.
Os acromiale cần được đề cập trong báo cáo, vì ở những bệnh nhân được cân nhắc phẫu thuật giải áp dưới mỏm cùng vai, việc cắt bỏ phần mỏm cùng vai phía xa khớp sụn có thể làm mất ổn định thêm khớp sụn này, cho phép os acromiale di động nhiều hơn sau phẫu thuật và làm nặng thêm hội chứng chèn ép (4).
Các hình ảnh MRI axial cho thấy os acromiale với các thay đổi thoái hóa, bao gồm nang xương dưới sụn và gai xương (mũi tên).
Nguyên nhân rách chóp xoay
Nguyên nhân rách chóp xoay có thể do chấn thương cấp tính, như chấn thương trực tiếp vào cơ và gân dưới vai, hoặc rách mạn tính gân cơ trên gai do chấn thương lặp đi lặp lại trong các hoạt động thể thao đưa tay qua đầu.
Tình trạng này thường gặp ở người trẻ tuổi.
Ở người lớn tuổi, nguyên nhân rách chóp xoay thường mang tính thoái hóa, điển hình như trong hội chứng chèn ép dưới mỏm cùng vai hoặc do tình trạng giảm tưới máu tại các vùng đặc hiệu của gân.
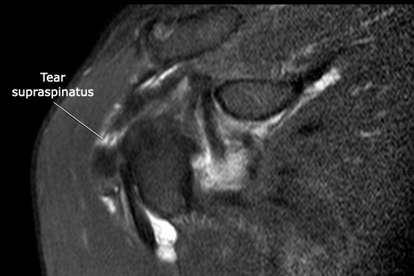
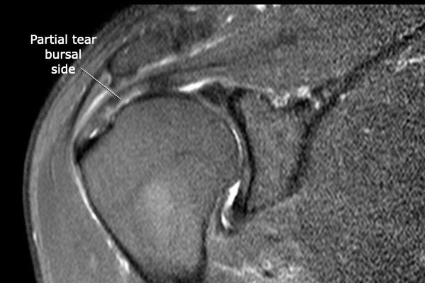
Rách bán phần
Rách bán phần là tổn thương rách chóp xoay không lan toàn bộ chiều dày thành từ mặt khớp đến mặt túi hoạt dịch.
Rách bán phần được phân loại thành:
- Rách mặt khớp
nằm ở mặt dưới gân và thông với khớp ổ chảo – cánh tay. - Rách mặt túi hoạt dịch
nằm ở mặt túi hoạt dịch và thông với túi hoạt dịch dưới cơ delta. - Rách trong thực chất gân
nằm bên trong gân, không thông với khớp hoặc túi hoạt dịch.
Rách bán phần mặt khớp phổ biến hơn rách mặt túi hoạt dịch, do lực lệch tâm tác động mạnh hơn lên mặt khớp, đồng thời các sợi gân ở mặt khớp yếu hơn và khả năng lành thương kém hơn.
Rách bán phần được quan sát rõ nhất trên chuỗi xung PD và chuỗi xung T2W mặt phẳng coronal, có và không có xóa mỡ.
Chụp MRI khớp có thuốc tương phản từ nội khớp rất nhạy trong phát hiện rách bán phần kể cả tổn thương nhỏ, nhưng chỉ ở mặt khớp.
Tư thế ABER cho phép đánh giá cả thành phần theo chiều dọc và thành phần trong thực chất gân.
Cần mô tả mức độ tổn thương gân: chiếm hơn hay ít hơn 50% chiều dày gân.
Rách bán phần có thể tiến triển thành rách toàn phần.
Rách mặt túi hoạt dịch không thể phát hiện trên MRI khớp có thuốc tương phản từ nội khớp, do thuốc tương phản từ trong khớp không thể lấp đầy vào vị trí khuyết tổn thương (hình minh họa).
Trên MRI, rách bán phần có cường độ tín hiệu tương đương nước trên chuỗi xung T2W tại vị trí khuyết khu trú.
Các vị trí hay gặp nhất:
- Gân cơ trên gai: nửa trước, cách điểm bám < 1 cm.
- Gân cơ trên gai: rách mặt dưới khớp tại vị trí bám tận vào mấu động lớn, còn gọi là rách bờ viền (rim-rent tear) hoặc bong gân bán phần mặt khớp (tổn thương PASTA).
- Phần sau-trên của gân cơ trên gai kết hợp với phần trước-dưới của gân cơ dưới gai.
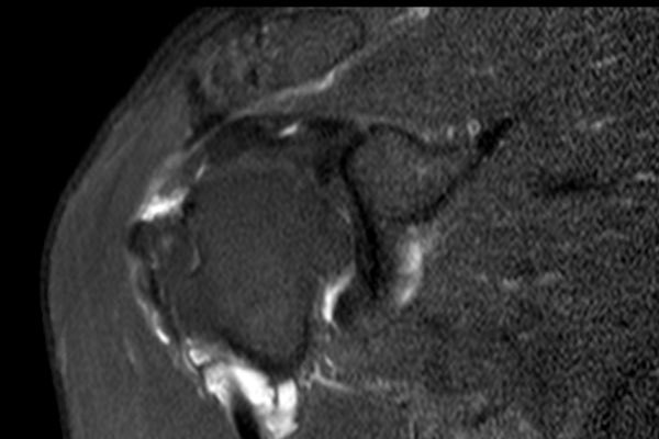
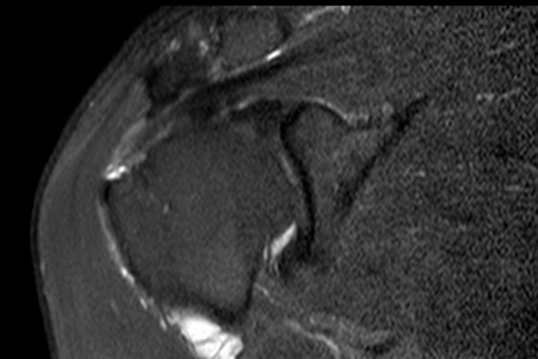
Hình ảnh
Trên chuỗi xung T2W có một tổn thương rách mặt túi hoạt dịch kích thước lớn.
Lưu ý rằng trên MRI khớp có thuốc tương phản từ, tổn thương rách không quan sát thấy do thuốc tương phản từ nội khớp không thể tiếp cận vị trí khuyết trong gân.
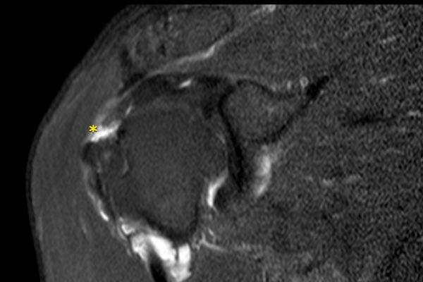
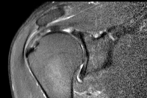
Rách bờ viền (Rim-rent tear)
Rách bờ viền là một dạng rách bán phần chóp xoay thường gặp.
Tổn thương này thường bị bỏ sót trên MRI, có thể do chưa nhận thức đầy đủ về tỷ lệ gặp cao của loại rách này và do không kiểm tra kỹ các sợi gân ở phần trước nhất của chóp xoay [tài liệu tham khảo].
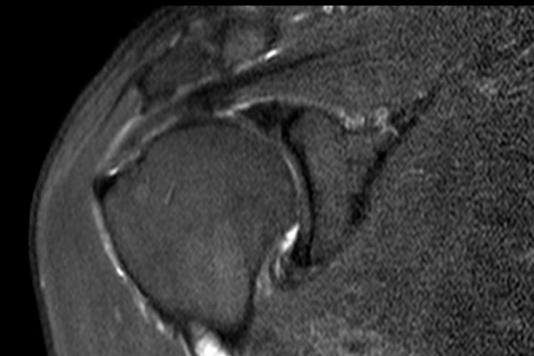
Hình ảnh là MRI khớp có thuốc tương phản từ chuỗi xung T1W xóa mỡ mặt phẳng coronal.
Hình ảnh cho thấy rách bán phần mặt khớp đoạn xa gân cơ trên gai hay còn gọi là rách bờ viền, cũng được gọi là tổn thương PASTA – bong gân bán phần mặt khớp gân cơ trên gai.
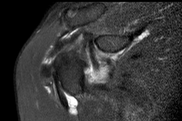
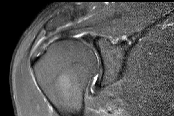
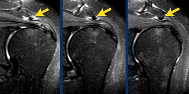
Đây là tổn thương PASTA ở một bệnh nhân khác.
Hình ảnh
Hình minh họa và MRI khớp có thuốc tương phản từ chuỗi xung T1 xóa mỡ mặt phẳng coronal.
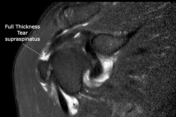
Rách toàn bộ chiều dày
Rách toàn bộ chiều dày (Full Thickness Tear – FTT) là tổn thương kéo dài từ mặt túi hoạt dịch (bursal surface) xuyên suốt đến mặt khớp (articular surface).
Rách toàn bộ chiều dày được phân loại thành:
- FTT không hoàn toàn (Incomplete FTT)
Có rách toàn bộ chiều dày nhưng chỉ một phần chiều rộng của gân bị tổn thương. - FTT hoàn toàn (Complete FTT)
Rách toàn bộ chiều dày được gọi là hoàn toàn khi toàn bộ gân bị đứt. - FTT hoàn toàn + co rút (Complete FTT + retraction)
FTT có biến chứng co rút cơ. - FTT hoàn toàn + co rút + teo cơ (Complete FTT + retraction + atrophy)
FTT có biến chứng co rút cơ, teo cơ và thâm nhiễm mỡ, dẫn đến tiên lượng xấu.
Bảng trình bày danh mục kiểm tra đối với rách toàn bộ chiều dày.
Rách toàn bộ chiều dày không hoàn toàn
Dấu hiệu đặc trưng trên MRI của rách toàn bộ chiều dày không hoàn toàn là khe hở chứa đầy dịch trên chuỗi xung T2W.
Tuy nhiên, đôi khi khe hở trong gân có thể chứa đầy mảnh vụn hoặc mô hạt, và tín hiệu sẽ không tương đương với tín hiệu của nước.
Hình ảnh
Có hình ảnh rách toàn bộ chiều dày không hoàn toàn, kích thước nhỏ tại phần xa của gân cơ trên gai, không có co rút.
Có một số hình thành nang tại đầu xương cánh tay ở vị trí bám tận, kèm theo phản ứng túi hoạt dịch và tăng tín hiệu trong gân do viêm gân (tendinosis).
Cuộn qua các hình ảnh.
Các dấu hiệu hình ảnh là gì?
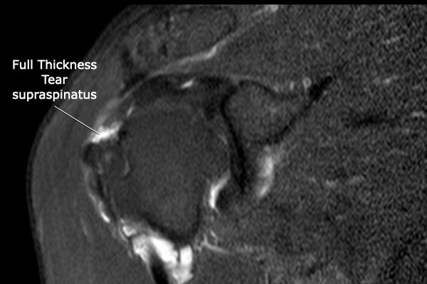
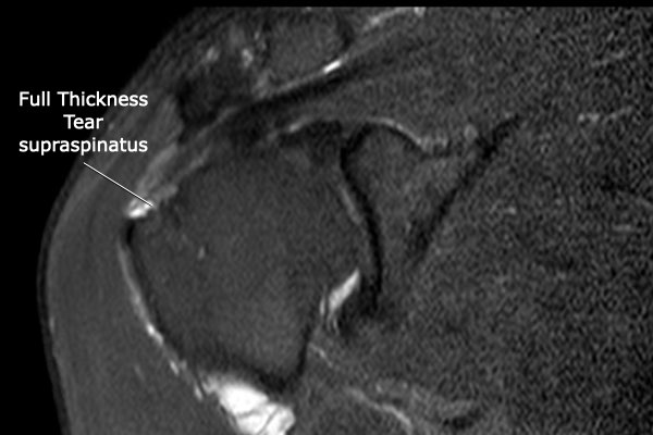
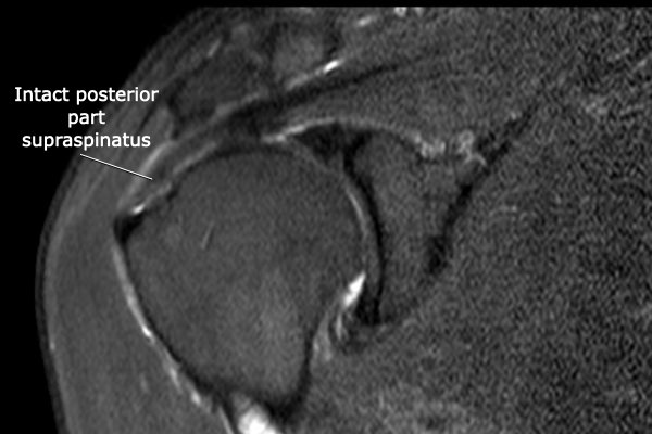
Có hình ảnh rách toàn bộ chiều dày phần trước của gân cơ trên gai, kéo dài từ mặt khớp đến mặt túi hoạt dịch.
Do các sợi gân phía sau của gân cơ trên gai còn nguyên vẹn, tổn thương này được gọi là rách toàn bộ chiều dày không hoàn toàn của gân cơ trên gai.
Không có co rút.
Rách toàn bộ chiều dày hoàn toàn
Nhấp vào hình ảnh để phóng to, sau đó cuộn qua các lát cắt.
Có hình ảnh rách toàn bộ chiều dày gân cơ trên gai kèm co rút và teo cơ.
Lưu ý các dải mỡ trong cơ tròn bé, cơ trên gai và cơ dưới gai.
Các vị trí rách toàn bộ chiều dày thường gặp nhất bao gồm:
- Cơ trên gai (Supraspinatus)
Rách phần trước xa của gân cơ trên gai là vị trí thường gặp nhất.
Đôi khi tổn thương lan rộng ra phía sau đến gân cơ dưới gai, hoặc lan ra phía trước đến khoang gian gân chóp, gân cơ nhị đầu và cơ dưới vai. - Cơ dưới gai (Infraspinatus)
Rách cơ dưới gai đơn độc không phổ biến, nhưng đôi khi gặp ở vận động viên. - Cơ dưới vai (Subscapularis)
Rách cơ dưới vai đơn độc không phổ biến, nhưng đôi khi gặp sau chấn thương dạng cấp tính do dạng và xoay ngoài. Thường kết hợp với tổn thương hoặc trật gân cơ nhị đầu. - Cơ tròn bé (Teres minor)
Rách cơ tròn bé hiếm gặp, nhưng có thể thấy sau trật khớp vai ra sau kèm tổn thương bao khớp phía sau.
Đo kích thước tổn thương rách toàn bộ chiều dày của chóp xoay theo hai chiều.
Teo cơ – Dấu hiệu tiếp tuyến (Tangent sign)
Phương pháp đánh giá teo cơ của Warner dựa trên hình ảnh mặt phẳng chéo đứng dọc (oblique sagittal) ở vị trí trong so với mỏm quạ.
Một đường thẳng được vẽ từ bờ mỏm quạ đến đỉnh dưới của xương bả vai, và từ gai xương bả vai đến mỏm quạ.
Nếu cơ lồi lên trên đường này, không có teo cơ.
Nếu cơ nằm ngay dưới đường này, có teo cơ mức độ vừa.
Nếu hầu như không thấy cơ, có teo cơ mức độ nặng.
Hình bên trái cho thấy giải phẫu cơ bình thường trên ảnh mặt phẳng đứng dọc.
Hình bên phải là của bệnh nhân có rách toàn bộ chiều dày cả gân cơ trên gai và gân cơ dưới gai kèm co rút.
Có hình ảnh teo mỡ của cơ trên gai và cơ dưới gai.
Trên các chuỗi xung có ức chế mỡ, việc đánh giá teo cơ và thay thế mỡ có thể gặp khó khăn.
Hình ảnh
Trên hình ảnh có ức chế mỡ bên trái, có thể nhận định nhầm rằng cơ trên gai bình thường (mũi tên xanh lam).
Tuy nhiên, trên hình ảnh không có ức chế mỡ, có thể thấy rõ tình trạng teo cơ nặng và thay thế mỡ với tín hiệu cao (mũi tên xanh lam).
Mũi tên đỏ chỉ vị trí rách toàn bộ chiều dày của gân cơ trên gai.
Đôi khi có thể khó phân biệt rách một phần với rách toàn bộ chiều dày.
Khi nhìn vào hình ảnh đầu tiên, tổn thương trông giống như rách một phần chiều dày phía mặt khớp.
Tuy nhiên, trên các lát cắt tiếp theo của chụp MRI khớp có thuốc tương phản từ, có thể thấy sự lan rộng không đều của thuốc tương phản từ từ mặt khớp ở bên trái đến mặt túi hoạt dịch ở bên phải, xác nhận đây là rách toàn bộ chiều dày.
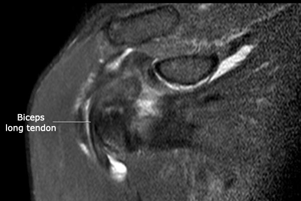
Gân cơ nhị đầu
Đầu dài của gân cơ nhị đầu bám vào củ trên ổ chảo. Sau đó, gân chạy qua khớp ổ chảo – cánh tay và khoảng gian cơ chóp để thoát ra phía trước khớp trong rãnh gian củ.
Gân cơ nhị đầu có vai trò ngăn chặn sự di chuyển lên trên của chỏm xương cánh tay.
Các tổn thương gân cơ nhị đầu bao gồm:
- Bệnh lý gân
- Rách bán phần
- Đứt hoàn toàn
- Trật khớp ngoài khớp (hình minh họa)
Trật đầu dài gân cơ nhị đầu
Tổn thương dây chằng ngang xương cánh tay có thể dẫn đến trật gân cơ nhị đầu về phía trong.
Gân cơ nhị đầu có thể di chuyển vào trong hoặc bên dưới gân cơ dưới vai khi gân cơ dưới vai bị đứt.
Hình ảnh
Chụp MRI khớp với chuỗi xung T1W xóa mỡ mặt phẳng axial và chuỗi xung PD mặt phẳng coronal.
Ghi nhận hình ảnh trật gân cơ nhị đầu về phía trong, nằm trong gân cơ dưới vai (mũi tên).
Có hình ảnh rách bán phần gân cơ dưới vai.
Trên ảnh PDW, ghi nhận khoảng trống chứa dịch tại vị trí bám tận xa của gân cơ trên gai và thuốc tương phản từ lan vào khoang dưới mỏm cùng vai – dưới cơ delta, phù hợp với hình ảnh rách toàn phần gân cơ trên gai.
Gân dưới vai (Subscapularis)
Rách gân dưới vai thường gặp sau chấn thương trực tiếp, dạng cánh tay cưỡng bức kết hợp xoay ngoài, hoặc trong bối cảnh trật khớp vai ra trước tái phát.
Hình ảnh
Rách gân dưới vai sau chấn thương trực tiếp.
Có hình ảnh co rút gân dưới vai về phía trước kèm phù nề quanh gân trên các chuỗi xung PD-weighted mặt phẳng axial và chuỗi xung T2W xóa mỡ mặt phẳng coronal (dấu hoa thị).
Gân cơ nhị đầu không bị trật (đầu mũi tên).
Bệnh nhân này có tiền sử chấn thương trực tiếp vùng khớp vai phía trước.
Hình ảnh
Chuỗi xung T2W xóa mỡ mặt phẳng axial và chuỗi xung PD mặt phẳng sagittal chếch.
Có hình ảnh rách không hoàn toàn gân dưới vai kết hợp với phù nề do gãy mấu động nhỏ (lesser tubercle).
Hội chứng chèn ép khớp vai
Khi bạn nâng cánh tay lên ngang tầm vai, khoang gian acromion và chóp xoay sẽ bị thu hẹp lại.
Mỏm cùng vai có thể cọ xát hoặc “chèn ép” lên gân và túi hoạt dịch, gây kích thích và đau.
Hội chứng chèn ép và tổn thương các gân chóp xoay là những vấn đề khớp vai phổ biến nhất xảy ra trong khoang dưới mỏm cùng vai chật hẹp; hai vấn đề này có thể tồn tại riêng lẻ hoặc đồng thời.
Trong bất kỳ thăm khám khớp vai nào, chúng ta cần tìm kiếm các dấu hiệu chèn ép như khoang dưới mỏm cùng vai bị thu hẹp, hình dạng bất thường của mỏm cùng vai hoặc thoái hóa khớp.
Các thể chèn ép
- Chèn ép nguyên phát do yếu tố ngoại sinh
Chèn ép các gân chóp xoay và túi hoạt dịch dưới mỏm cùng vai do hình dạng mỏm cùng vai, mỏm cùng vai dốc xuống, sự hiện diện của gai xương, thoái hóa khớp cùng đòn, os acromiale hoặc dày dây chằng quạ-cùng vai (bình thường: 2-3 mm).
- Chèn ép thứ phát do mất vững khớp
Nguyên nhân chèn ép phổ biến nhất ở vận động viên. - Chèn ép nội tại (sau-trên)
Thường gặp ở vận động viên ném bóng trên đầu trong tư thế dạng tối đa và xoay ngoài. Biểu hiện bao gồm thoái hóa và rách bán phần chóp xoay mặt sau của cơ trên gai và cơ dưới gai, kết hợp với mài mòn sụn viền sau-trên, phù nề mấu động lớn phía sau và tổn thương sụn khớp.
Hình ảnh
Chèn ép nguyên phát do yếu tố ngoại sinh gây ra bởi mỏm cùng vai dốc xuống kèm theo viêm gân cơ trên gai.
Dày hoặc vôi hóa dây chằng quạ-cùng vai cũng có thể gây ra hội chứng chèn ép.
Ở bệnh nhân này, dây chằng quạ-cùng vai bị dày lên và chèn ép vào gân cơ trên gai.
Thoái hóa gân
Thoái hóa gân chóp xoay là tình trạng thoái hóa của gân. Bệnh còn được gọi là viêm gân hoặc bệnh lý gân.
Các hình ảnh thường gặp trên MRI:
- Gân dày nhẹ đến vừa
- Trong các trường hợp nặng hơn, có thể xuất hiện biến đổi dạng nhầy và phù nề kèm sưng tấy
- Tín hiệu tăng nhưng không đạt mức tín hiệu của nước
- Thường gặp ở gân trên gai gần điểm bám vào chỏm xương cánh tay
- Lưu ý: hiệu ứng góc ma thuật (magic angle) trên gân có hình thái bình thường
Hình ảnh minh họa
Thoái hóa gân với hình ảnh gân trên gai dày lên.
Chỉ trên chuỗi xung PDW mới thấy tín hiệu tăng.
Thoái hóa gân vôi hóa
Đây là tình trạng đau vai đặc trưng bởi sự lắng đọng canxi trong chóp xoay.
Trong hầu hết các trường hợp, bệnh tự thoái lui, tuy nhiên ở một số trường hợp, tình trạng đau và rối loạn chức năng vẫn tồn tại.
Bệnh gặp nhiều hơn ở phụ nữ trong độ tuổi 30–50.
Siêu âm
Siêu âm giúp xác định sự hiện diện, vị trí và kích thước của các ổ vôi hóa, đồng thời hỗ trợ hướng dẫn chọc hút và bơm rửa điều trị.
Trong giai đoạn nghỉ ngơi, các ổ lắng đọng có hình ảnh tăng âm và dạng cung.
Trong giai đoạn tiêu giải, các ổ lắng đọng không còn dạng cung, trở nên phân mảnh, dạng nang và dạng nốt.
Trong giai đoạn tái hấp thu, có thể thấy tăng tín hiệu mạch máu trên Doppler.
MRI
Thông thường, MRI cho thấy giảm tín hiệu trên tất cả các chuỗi xung, tuy nhiên đôi khi có tăng tín hiệu trên chuỗi xung T2W biểu hiện phù nề trong giai đoạn tái hấp thu.
Bệnh khớp chóp xoay
Bệnh khớp chóp xoay là một dạng thoái hóa khớp do mất chức năng ổn định của chóp xoay.
Chóp xoay tạo ra một lực hướng xuống dưới, được cân bằng bởi lực hướng lên trên của cơ delta.
Trong bệnh khớp chóp xoay, có thể gặp các dấu hiệu sau:
- Rách chóp xoay diện rộng
- Bào mòn ổ chảo, mất sụn khớp, hình thành nang và gai xương, xẹp chỏm xương cánh tay
- Di chuyển chỏm xương cánh tay lên trên với hiện tượng “đùi hóa” chỏm xương cánh tay và “ổ cối hóa” vòm cùng-quạ
Các dấu hiệu không thể phục hồi và chỉ định thay khớp vai toàn phần đảo ngược bao gồm:
- Di chuyển lên trên tĩnh
- Khoảng cách cùng-cánh tay hẹp hoặc không còn
- Thâm nhiễm mỡ > 50% các cơ chóp xoay
Phân loại Hamada trong bệnh khớp chóp xoay:
- Khoảng cách cùng-cánh tay > 6 mm
- Khoảng cách cùng-cánh tay < 5 mm
- Khoảng cách cùng-cánh tay < 5 mm và “ổ cối hóa” vòm cùng-quạ
- Hẹp khớp ổ chảo-cánh tay
– 4a: không có “ổ cối hóa”
– 4b: có “ổ cối hóa” - Hoại tử chỏm xương cánh tay, đôi khi kèm xẹp chỏm
Ca lâm sàng 1
Các hình ảnh cho thấy khoang dưới mỏm cùng vai bị hẹp (đầu mũi tên) thứ phát sau rách chóp xoay với sự co rút của cả gân trên gai (mũi tên vàng) và gân dưới gai (mũi tên xanh).
Ca lâm sàng 2
Bệnh nhân này có khoang dưới mỏm cùng vai bị hẹp.
Lưu ý rằng tình trạng hẹp được thấy rõ trên hình chụp vai ở tư thế xoay ngoài, trong khi không quan sát được trên hình chụp ở tư thế xoay trong.
Ca lâm sàng 3
Các hình ảnh này cho thấy nang khớp cùng-đòn, còn được gọi là dấu hiệu Geyser, là biểu hiện thứ phát của bệnh lý chóp xoay.
Dịch lan lên trên vào trong và ra ngoài khớp cùng-đòn đã thoái hóa, kèm theo phá vỡ bao khớp cùng-đòn phía dưới.
Hội chứng Parsonage-Turner
Hội chứng Parsonage–Turner là tình trạng viêm thần kinh liên quan đến đám rối thần kinh cánh tay.
Bệnh còn được gọi là bệnh lý đám rối thần kinh cánh tay vô căn hoặc teo cơ đau thần kinh.
Bệnh đặc trưng bởi cơn đau dữ dội, đột ngột ở vùng vai, tiếp theo là tình trạng yếu cơ nặng nề.
Hội chứng Parsonage–Turner là một rối loạn hiếm gặp, thường chỉ ảnh hưởng đến một chi trên, trong đó chủ yếu là thần kinh nách, thân trên của đám rối thần kinh cánh tay, thần kinh trên vai và thần kinh ngực dài.
Bệnh có thể biểu hiện với các triệu chứng của tổn thương thần kinh ngoại biên đơn độc, mặc dù tổn thương bệnh lý được cho là nằm ở vị trí gần hơn.
Hình ảnh
Hình ảnh chuỗi xung PD mặt phẳng chếch đứng dọc và chuỗi xung T2W xóa mỡ mặt phẳng vành.
Tín hiệu tăng nhẹ của cơ trên gai và cơ dưới gai so với cơ dưới vai và cơ tròn bé, kèm teo cơ nhẹ, phù hợp với hội chứng Parsonage-Turner.








































































