Ung thư cổ tử cung – Phân giai đoạn MRI
Trong
bài viết này, chúng tôi mô tả vai trò của MRI trong phân giai đoạn tại chỗ của ung thư cổ tử cung.
Bên cạnh thăm khám lâm sàng và giải phẫu bệnh, MRI đóng vai trò quan trọng trong việc xác định các bệnh nhân có bệnh ở giai đoạn tiến triển, từ đó định hướng kế hoạch điều trị.
MRI cũng hỗ trợ lựa chọn các bệnh nhân đủ điều kiện áp dụng các chiến lược bảo tồn khả năng sinh sản.
Ngoài ra, MRI còn có vai trò quan trọng trong theo dõi đáp ứng điều trị và phát hiện bệnh tái phát trong quá trình theo dõi sau điều trị.
Chúng tôi sẽ thảo luận về:
- Danh mục kiểm tra báo cáo MRI trong phân giai đoạn ung thư cổ tử cung
- Các lưu ý trong phân tích và báo cáo kết quả
- Giải phẫu MRI liên quan đến phân giai đoạn và lập kế hoạch điều trị ung thư cổ tử cung
- Quy trình chụp MRI bao gồm vai trò của các chuỗi xung chức năng
- Tổng quan về phân giai đoạn FIGO hiện hành
Giới thiệu
Ung thư cổ tử cung là loại ung thư phổ biến thứ năm ở phụ nữ và – cùng với ung thư nội mạc tử cung – chiếm 0,7% tổng số ca tử vong liên quan đến ung thư trên toàn thế giới (1,2).
Nhiễm virus u nhú ở người (HPV) dai dẳng là yếu tố nguy cơ chính, chịu trách nhiệm cho hầu hết các trường hợp ung thư cổ tử cung.
Nhiễm HIV là yếu tố nguy cơ đã biết thứ hai, làm tăng nguy cơ ung thư cổ tử cung lên khoảng sáu lần.
Các loại ung thư cổ tử cung phổ biến nhất là ung thư biểu mô tế bào vảy, tiếp theo là ung thư biểu mô tuyến và một số loại hiếm gặp khác như khối u thần kinh nội tiết.
Ung thư cổ tử cung có thể được phòng ngừa hiệu quả bằng vắc-xin chống HPV.
Phòng ngừa thứ cấp bao gồm xét nghiệm HPV DNA để tầm soát nhiễm trùng đang hoạt động và điều trị kịp thời các tổn thương tiền ung thư cổ tử cung.
Phương pháp điều trị chính cho ung thư cổ tử cung giai đoạn tiến triển (giai đoạn ≥ IB) là hóa xạ trị (CRT) kết hợp với xạ trị áp sát.
Trong đại đa số các trường hợp, phương pháp này mang lại đáp ứng hoàn toàn tại chỗ và không cần can thiệp phẫu thuật thêm.
Trong số ít các trường hợp còn tồn tại khối u sau khi hoàn thành CRT, cần phải phẫu thuật cắt bỏ bổ sung. Các trường hợp phát hiện sớm được điều trị bằng phẫu thuật bảo tồn.
Các yếu tố nguy cơ quan trọng trong ung thư cổ tử cung cần đánh giá trên hình ảnh học bao gồm kích thước khối u, xâm lấn vào mô cạnh cổ tử cung, thành chậu bên, âm đạo, bàng quang hoặc trực tràng, và tình trạng xâm lấn hạch bạch huyết.
Tương tự như tử cung, cổ tử cung thể hiện các lớp cấu trúc riêng biệt trên chuỗi xung T2W MRI.
Niêm mạc cổ tử cung có tín hiệu cao.
Mô đệm cổ tử cung bình thường có tín hiệu thấp với bờ ngoài còn nguyên vẹn.
Lỗ cổ tử cung ngoài là lỗ thông giữa cổ tử cung và âm đạo.
Lỗ cổ tử cung trong là lỗ thông giữa cổ tử cung và buồng tử cung.
Giải phẫu phân vùng của tử cung và cổ tử cung trên MRI thay đổi theo độ tuổi.
Trong độ tuổi sinh sản, các lớp khác nhau của tử cung và cổ tử cung có thể nhận biết rõ ràng và phần cơ của thành tử cung có thể được tưới máu phong phú như ở người phụ nữ 30 tuổi này (hình bên trái).
Có một vòng tránh thai (IUD) trong buồng tử cung, có thể nhận biết dưới dạng cấu trúc tuyến tính giảm tín hiệu.
Ở phụ nữ sau mãn kinh, giải phẫu phân vùng trở nên kém rõ ràng hơn và mô đệm cổ tử cung, vùng chuyển tiếp và cơ tử cung xuất hiện đồng nhất giảm tín hiệu hơn trên chuỗi xung T2W, như ở người phụ nữ 70 tuổi này (hình bên phải).
Theo tuổi tác, các cơ quan sinh sản nữ dần dần thu nhỏ lại với mức độ giảm thể tích rõ rệt hơn ở tử cung so với cổ tử cung.
Phân giai đoạn Ung thư Cổ tử cung
Danh mục kiểm tra khi đọc kết quả MRI
Báo cáo MRI trong ung thư cổ tử cung cần đề cập đến các yếu tố nguy cơ chính được sử dụng để phân giai đoạn bệnh nhân như liệt kê trong bảng, nhằm xác định chiến lược điều trị phù hợp nhất.
Các yếu tố bổ sung cần báo cáo, chủ yếu phục vụ cho lập kế hoạch điều trị phẫu thuật:
- Khoảng cách giữa khối u và lỗ trong cổ tử cung
- để đánh giá khả năng bảo tồn khả năng sinh sản
- Kích thước tử cung toàn bộ … x… cm, đo trên mặt phẳng đứng dọc
- để đánh giá khả năng thực hiện phẫu thuật nội soi so với phẫu thuật mở
- Các bệnh lý lành tính kèm theo như lạc nội mạc tử cung và u xơ tử cung
- Các biến thể giải phẫu
Sơ đồ tổng quan này cho thấy các yếu tố nguy cơ chính cần được đánh giá trên MRI ảnh hưởng như thế nào đến giai đoạn lâm sàng của khối u và kế hoạch điều trị tương ứng.
- Chỉ những khối u nhỏ (<4 cm) ở giai đoạn sớm mới có thể phẫu thuật ngay từ đầu (không cần hóa trị hoặc xạ trị).
- Đối với các giai đoạn còn lại, hóa xạ trị đồng thời (kết hợp) là phương pháp điều trị tiêu chuẩn.
Phác đồ hóa xạ trị thường bao gồm xạ trị chùm tia ngoài kết hợp với hóa trị, tiếp theo là xạ trị áp sát. - Nếu khối u đã lan đến các cơ quan xa, hạch bạch huyết (trên tĩnh mạch thận) hoặc phúc mạc, đây là bệnh giai đoạn IV di căn xa, trong trường hợp này bệnh nhân thường không còn khả năng điều trị tại chỗ mà được chỉ định hóa trị giảm nhẹ.
Loại và kích thước khối u
Kích thước khối u cần được đo theo chiều dài lớn nhất có thể, thường được quan sát rõ nhất trên mặt phẳng đứng dọc và đôi khi trên mặt phẳng đứng ngang.
Các khối u cổ tử cung có thể biểu hiện dạng phát triển ngoại sinh (thường gặp ở phụ nữ trẻ), thâm nhiễm lan tỏa hoặc nội cổ tử cung (thường gặp ở phụ nữ lớn tuổi hơn và/hoặc ung thư biểu mô tuyến).
Lưu ý rằng trong hình ảnh bên phải, nơi có khối nội cổ tử cung, khối này gây tắc nghẽn ống cổ tử cung với sự giãn rộng của buồng tử cung chứa đầy dịch tăng tín hiệu và máu đồng tín hiệu tạo thành đường phân cách dịch-máu.
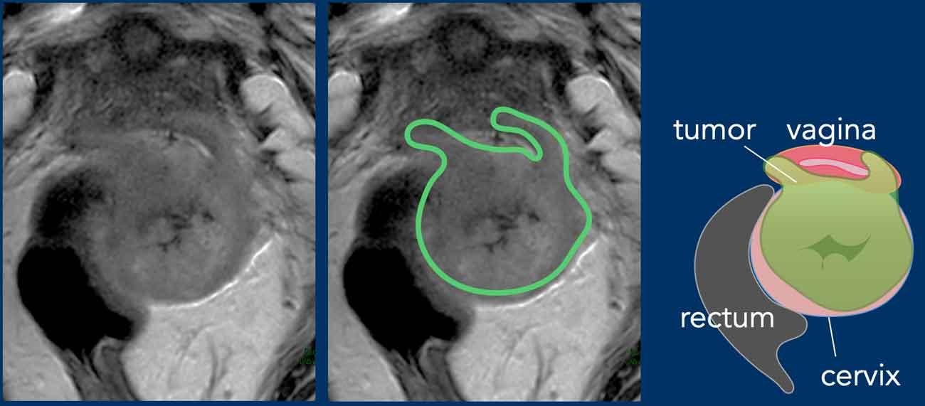
Xâm lấn âm đạo
Xâm lấn thành âm đạo có thể được nhận biết trên MRI chuỗi xung T2W như sự lan rộng của mô mềm tương đối tăng tín hiệu vào trong thành âm đạo.
Trong trường hợp xâm lấn âm đạo, cần xác định xem tổn thương liên quan đến 2/3 trên (giai đoạn IIA) hay 1/3 dưới (giai đoạn III) của âm đạo, vì điều này ảnh hưởng đến xử trí bệnh nhân.
Giai đoạn IIA1/IIA2 có thể đủ điều kiện phẫu thuật ngay từ đầu.
Ngược lại, tổn thương 1/3 dưới âm đạo loại trừ khả năng phẫu thuật và bệnh nhân được chuyển sang hóa xạ trị.
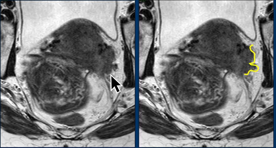
Xâm lấn cạnh cổ tử cung
Khi vòng mô đệm giảm tín hiệu của cổ tử cung còn nguyên vẹn (hình bên trái), MRI có thể dự đoán sự vắng mặt của xâm lấn cạnh cổ tử cung với giá trị tiên đoán âm cao hơn 90%.
Sự gián đoạn của vòng mô đệm giảm tín hiệu của cổ tử cung (hình bên phải) và tín hiệu khối u hoặc khối mô mềm lan rộng vào vùng cạnh cổ tử cung là các dấu hiệu gợi ý xâm lấn cạnh cổ tử cung (giai đoạn FIGO IIB).
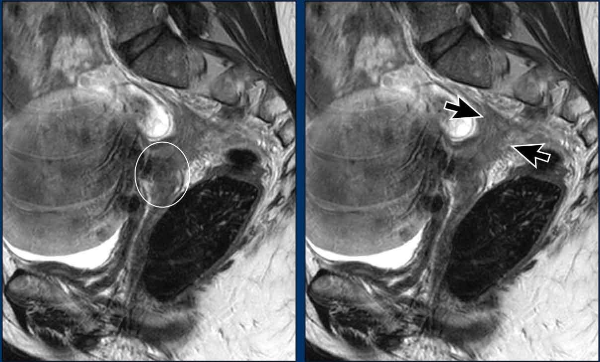
Bẫy chẩn đoán
– Giãn rộng so với xâm lấn
Ví dụ này cho thấy một khối u lớn làm giãn rộng cổ tử cung.
Lưu ý rằng không có xâm lấn thực sự vào vùng cạnh cổ tử cung vì vòng mô đệm giảm tín hiệu của cổ tử cung hoàn toàn còn nguyên vẹn như được chỉ ra bởi các đầu mũi tên.
Xâm lấn thành bên chậu hông
Xâm lấn thành bên chậu hông được định nghĩa là xâm lấn hoặc khối u tiếp giáp trong phạm vi < 3 mm với cơ bịt trong, cơ nâng hậu môn hoặc cơ hình lê, hoặc các mạch máu chậu, có hoặc không kèm theo tắc nghẽn niệu quản gây giãn thận-niệu quản (giai đoạn IIIB).
Xâm lấn dây chằng tử cung-cùng
Hình MRI mặt phẳng đứng dọc này cho thấy ung thư cổ tử cung tiến triển tại chỗ (vòng tròn) với xâm lấn lan rộng dọc theo các dây chằng tử cung-cùng (mũi tên).
Xâm lấn bàng quang và trực tràng
Trường hợp bên trái cho thấy khối u cổ tử cung xâm lấn rõ ràng vào thành bàng quang mặt sau lan vào lòng bàng quang.
Đây là bệnh giai đoạn IV.
Bẫy chẩn đoán
– Xâm lấn so với phù dạng bọng nước
Hình ảnh cho thấy khối u cổ tử cung xâm lấn 1/3 trên của âm đạo.
Có hình ảnh phân lớp tăng tín hiệu của thành bàng quang (mũi tên) phù hợp với phù dạng bọng nước.
Không có tín hiệu đồng tín hiệu trên chuỗi xung T2W hoặc hình ảnh dạng nốt trong lòng bàng quang, gợi ý không có xâm lấn khối u thực sự vào bàng quang.
Phân giai đoạn hạch bạch huyết
Các hạch bạch huyết vùng trong phân giai đoạn ung thư cổ tử cung bao gồm tất cả các hạch trong vùng chậu và các hạch cạnh động mạch chủ đến ngang mức tĩnh mạch thận.
Việc phát hiện di căn hạch cạnh động mạch chủ rất quan trọng, vì sự hiện diện của các hạch này đòi hỏi phải điều chỉnh trường xạ trị.
Hạch bạch huyết bẹn và hạch cạnh động mạch chủ trên mức tĩnh mạch thận được coi là di căn xa.
MRI có hiệu năng chẩn đoán hạn chế trong phân giai đoạn hạch bạch huyết vùng chậu.
Phương pháp này chủ yếu dựa vào kích thước hạch như một tiêu chí; ngưỡng kích thước thay đổi trong y văn nhưng ngưỡng thường được sử dụng là 1 cm.
Độ nhạy (±40-90%) và độ đặc hiệu (±80-100%) được báo cáo của MRI dao động rộng.
PET/CT chính xác hơn MRI và được sử dụng để phân giai đoạn hạch bạch huyết vùng chậu, cũng như để đánh giá hạch cạnh động mạch chủ và di căn hạch xa trên mức tĩnh mạch thận (3).
Hình ảnh
Có ung thư cổ tử cung tiến triển tại chỗ với xâm lấn cạnh cổ tử cung và thành bên chậu hông bên phải.
Có một hạch 7 mm ở mặt sau tĩnh mạch chậu ngoài phải (mũi tên trắng) không xác định được trên MRI.
Dựa vào kích thước, hạch này không rõ ràng là bệnh lý.
Trên PET/CT tương ứng, khối u nguyên phát bắt FDG rõ ràng, cũng như hạch cạnh chậu nhỏ (mũi tên đen), qua đó chẩn đoán là N+.
Giao thức chụp MRI
Giao thức chụp MRI được khuyến nghị được tóm tắt trong bảng.
Các khuyến nghị bổ sung như sau:
- Cường độ từ trường nên từ 1,5T trở lên, sử dụng cuộn thu tín hiệu dạng mảng pha vùng chậu.
- Bệnh nhân ở tư thế nằm ngửa
- Khuyến nghị sử dụng các dải bão hòa trên lớp mỡ dưới da (phía trước và phía sau).
Chuẩn bị bệnh nhân:
- Nhịn ăn (4-6 giờ), bàng quang rỗng
- Sử dụng thuốc ức chế nhu động ruột (Buscopan hoặc Glucagon)
- Tùy chọn: gel âm đạo để đánh giá mức độ xâm lấn phần trên âm đạo
Lưu ý rằng hình ảnh sau tiêm thuốc tương phản từ không bắt buộc trong phân giai đoạn ung thư cổ tử cung.
Không cần thiết phải lên lịch chụp theo chu kỳ kinh nguyệt.
Lập kế hoạch chuỗi xung
Các chuỗi xung MRI được lập kế hoạch dựa theo trục dài của ống cổ tử cung.
Mặt phẳng axial vuông góc với trục dài của ống cổ tử cung.
Mặt phẳng coronal song song với trục dài của ống cổ tử cung.
Lưu ý: các biến thể giải phẫu cổ tử cung
Cần tính đến vị trí của ống cổ tử cung và lập kế hoạch các chuỗi xung MRI vuông góc và song song tương ứng.
Ví dụ minh họa cách góc gập và đặc biệt là hướng nghiêng ảnh hưởng đến việc lập kế hoạch chuỗi xung.
Trong trường hợp này, cổ tử cung ở tư thế nghiêng trước (anteversion) và thân tử cung ở tư thế gập sau (retroflexion).
Cần nhớ rằng trong ung thư cổ tử cung, các chuỗi xung axial được lập kế hoạch vuông góc với ống cổ tử cung.
Một ví dụ khác cho thấy cổ tử cung ở tư thế nghiêng sau (retroversion) và thân tử cung ở tư thế gập trước (anteflexion).
Quan sát cách biến thể tư thế này ảnh hưởng đến việc lập kế hoạch chuỗi xung tương ứng.
Bảo tồn khả năng sinh sản
Phẫu thuật bảo tồn khả năng sinh sản (cắt cổ tử cung) có thể được chỉ định cho các bệnh nhân được chọn lọc mắc ung thư cổ tử cung giai đoạn sớm, dựa trên các tiêu chí được trình bày trong Bảng.
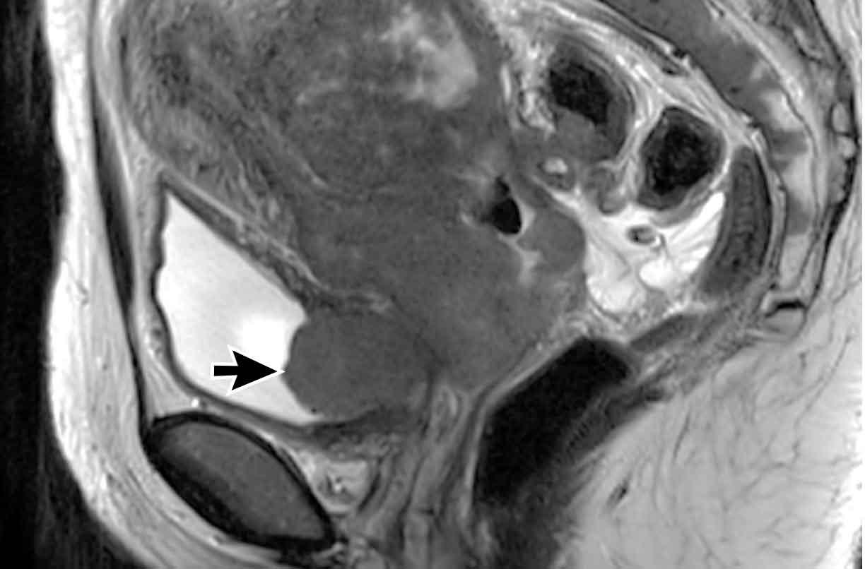
Ví dụ minh họa cách đánh giá khoảng cách đến lỗ trong cổ tử cung
Hình ảnh cho thấy một khối u cổ tử cung dạng sùi ngoại sinh.
Khoảng cách từ khối u đến lỗ trong cổ tử cung, đo tại chân cuống của tổn thương, là > 1cm.
Bệnh nhân đủ điều kiện để thực hiện phẫu thuật cắt cổ tử cung.
Giai đoạn FIGO
Hệ thống phân loại giai đoạn của Liên đoàn Phụ khoa và Sản khoa Quốc tế (FIGO) được sử dụng phổ biến nhất để phân giai đoạn ung thư cổ tử cung, vốn được thiết kế theo truyền thống như một hệ thống phân giai đoạn lâm sàng – phẫu thuật.
Tuy nhiên, các bằng chứng hiện tại và hướng dẫn lâm sàng khuyến nghị tích hợp các kết quả hình ảnh học (đặc biệt là MRI) vào quá trình phân giai đoạn và lập kế hoạch điều trị, vì phương pháp này cung cấp thông tin thiết yếu về kích thước và độ sâu xâm lấn của khối u, mức độ xâm lấn vào các cơ quan và cấu trúc lân cận, cũng như tình trạng hạch bạch huyết — những yếu tố then chốt trong việc lựa chọn chiến lược điều trị phù hợp nhất.
Tổng quan về các giai đoạn FIGO 2023 hiện hành đối với ung thư cổ tử cung được trình bày trong Bảng này.
Chúng tôi khuyến nghị độc giả tham khảo hướng dẫn FIGO đầy đủ để biết thêm thông tin chi tiết (4).
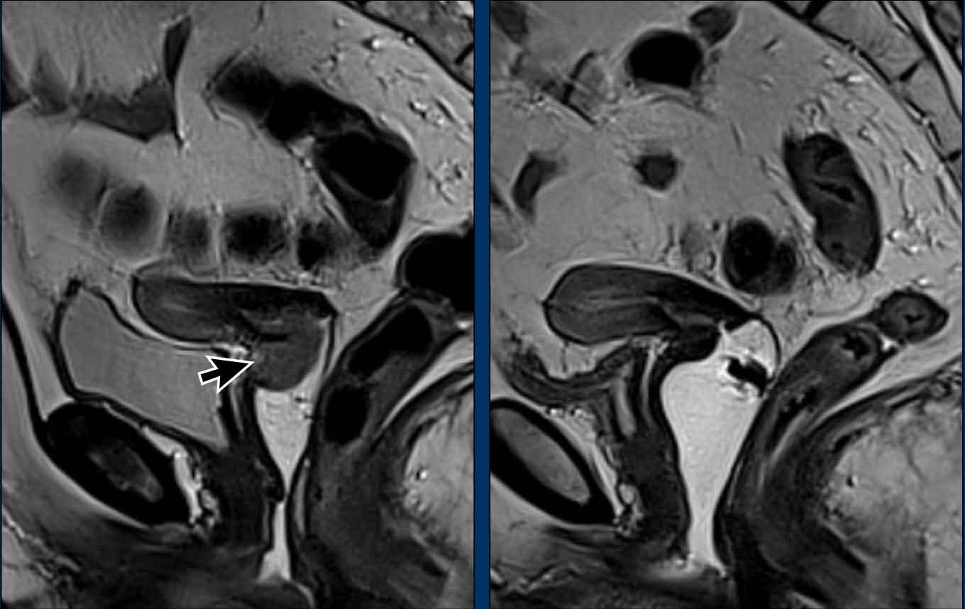
Đánh giá đáp ứng điều trị
Hầu hết bệnh nhân ung thư cổ tử cung (giai đoạn ≥ IB) được điều trị bằng hóa xạ trị đồng thời (CRT) kết hợp xạ trị áp sát (brachytherapy).
Trong phần lớn các trường hợp, phác đồ này mang lại đáp ứng hoàn toàn như minh họa trong ví dụ dưới đây.
Hình ảnh
MRI trước điều trị (bên trái) cho thấy khối u cổ tử cung dạng sùi (exophytic) với tín hiệu trung gian.
MRI sau điều trị (bên phải) cho thấy khối u đã được thay thế hoàn toàn bởi mô xơ giảm tín hiệu.
Không còn tín hiệu trung gian của mô u.
Chuỗi xung DWI có thể hỗ trợ xác nhận sự vắng mặt của khối u.
Trong trường hợp đáp ứng hoàn toàn, bệnh nhân không cần phẫu thuật thêm.
Lưu ý rằng trong trường hợp này, chụp MRI được thực hiện sau khi bơm gel nội âm đạo.
Kỹ thuật này không được khuyến cáo thường quy, nhưng có thể được cân nhắc áp dụng để hỗ trợ đánh giá khả năng xâm lấn phần trên âm đạo.
Trong một số ít trường hợp, phác đồ điều trị chuẩn gồm hóa xạ trị đồng thời kết hợp xạ trị áp sát không đủ hiệu quả và nghi ngờ còn tổn thương tồn lưu, như minh họa trong ví dụ dưới đây.
Hình ảnh
MRI trước điều trị (bên trái) cho thấy khối u cổ tử cung dạng sùi với tín hiệu trung gian (mũi tên đen).
MRI sau điều trị (bên phải) cho thấy một khối tín hiệu trung gian trên T2 tồn lưu nhỏ nhưng quan sát rõ ràng, cho thấy khối u chưa được thay thế hoàn toàn bởi mô xơ (mũi tên trắng).
Bệnh nhân được chỉ định phẫu thuật, đây là phương pháp điều trị chuẩn cho các bệnh nhân có đáp ứng không hoàn toàn sau hóa xạ trị đồng thời kết hợp xạ trị áp sát.
Chuỗi xung DWI có thể hỗ trợ phát hiện u tồn lưu sau hóa xạ trị đồng thời.
Lưu ý rằng thời điểm được khuyến cáo để đánh giá đáp ứng sau hóa xạ trị đồng thời là từ 4 đến 6 tuần sau khi kết thúc điều trị.
Nếu kết quả MRI sau điều trị không kết luận được và còn nghi ngờ về việc bệnh nhân đã đáp ứng hoàn toàn hay vẫn còn tổn thương u tồn lưu nhỏ, bệnh nhân thường được theo dõi tiếp và đánh giá đáp ứng bao gồm chụp MRI sẽ được lặp lại (ví dụ sau thêm x tháng theo dõi)
Từ thiện
Toàn bộ lợi nhuận từ Radiology Assistant được dành cho tổ chức Medical Action Myanmar, do Bác sĩ Nini Tun và Bác sĩ Frank Smithuis (giáo sư tại Đại học Oxford, đồng thời là anh trai của Robin Smithuis) điều hành.
Nhấn vào đây để xem video về Medical Action Myanmar và nếu bạn thấy Radiology Assistant hữu ích, hãy ủng hộ Medical Action Myanmar bằng một món quà nhỏ.

























