Ung thư bàng quang – VI-RADS
MRI đa tham số bàng quang là một công cụ chẩn đoán không xâm lấn có độ chính xác cao trong việc phát hiện và phân giai đoạn tại chỗ ung thư bàng quang.
Chúng tôi sẽ thảo luận về Hệ thống Báo cáo và Dữ liệu Hình ảnh Bàng quang (VI-RADS) được giới thiệu vào năm 2018 [1].
Mục tiêu của VI-RADS là chuẩn hóa quy trình thu nhận, phân tích và báo cáo kết quả MRI bàng quang.
Thách thức then chốt trong việc phân giai đoạn tại chỗ các khối u bàng quang là phân biệt giữa ung thư xâm lấn cơ và ung thư không xâm lấn cơ.
Giới thiệu
Mục tiêu chính của việc phân giai đoạn tại chỗ các khối u bàng quang là phân biệt giữa ung thư xâm lấn cơ (T2 trở lên) và ung thư không xâm lấn cơ (T1 trở xuống), vì sự phân định này dẫn đến những thay đổi đáng kể trong quản lý bệnh nhân.
Các tổn thương không xâm lấn cơ cần điều trị tại chỗ (TURBT), trong khi các tổn thương xâm lấn cơ cần điều trị tân bổ trợ, thường tiếp theo là cắt bàng quang triệt căn và cuối cùng là điều trị bổ trợ.
VI-RADS giải quyết thách thức này bằng cách xác định nguy cơ xâm lấn cơ sử dụng thang điểm 5 bậc dựa trên ba nhóm tiêu chí:
- T2W – Nhóm tiêu chí cấu trúc
- DWI – Nhóm tiêu chí khuếch tán
- DCE – Nhóm tiêu chí ngấm thuốc tương phản từ
Giải phẫu
Thành bàng quang gồm ba lớp:
- Lớp trong hay lớp niêm mạc, bao gồm lớp biểu mô đường niệu nông và mô liên kết bên dưới gọi là lớp đệm (lamina propria).
- Lớp cơ hay cơ thành bàng quang (muscularis propria), chính là cơ bàng quang (detrusor).
- Lớp mỡ quanh bàng quang.
Hệ thống TNM – Phân giai đoạn T
- T1: chưa xâm lấn lớp cơ.
- T2a: xâm lấn cơ nông (nửa trong).
- T2b: xâm lấn cơ sâu (nửa ngoài).
- T3a: khối u xâm lấn vi thể vào mô mỡ quanh bàng quang.
- T3b: khối u xâm lấn đại thể vào mô mỡ quanh bàng quang.
- T4a: khối u xâm lấn các cơ quan lân cận.
- T4b: khối u xâm lấn các mô xa ngoài vùng chậu.
Có ba loại khối u bàng quang:
- Khối u dạng nhú phát triển vào lòng bàng quang, có hoặc không có cuống khối u. Cuống khối u được đặc trưng bởi giảm tín hiệu trên chuỗi xung T2W và DWI, trong khi tăng tín hiệu trên chuỗi xung DCE.
- Khối u phẳng nông hay ung thư biểu mô tại chỗ, được giới hạn trong lớp niêm mạc và không lan qua các lớp khác.
- Ung thư biểu mô phẳng xâm lấn hay khối u dạng không cuống với sự phát triển trong thành bàng quang.
Dưới đây là ba ví dụ trên MRI:
- Khối u dạng nhú có cuống.
- Khối u dạng nhú không có cuống.
- Ung thư biểu mô phẳng xâm lấn hay khối u dạng không cuống với sự phát triển trong thành bàng quang.
Bàng quang được chia thành bốn phần về mặt giải phẫu: đỉnh hay vòm, thân, đáy và cổ bàng quang.
Để xác định vị trí khối u bàng quang, tài liệu VI-RADS khuyến nghị sử dụng bản đồ chia bàng quang thành 12 vùng:
- Niệu đạo trước
- Niệu đạo tuyến tiền liệt
- Cổ bàng quang
- Tam giác bàng quang
- Thành sau
- Thành phải
- Thành trái
- Vòm bàng quang
- Thành trước
- Lỗ niệu quản phải
- Lỗ niệu quản trái
- Verumontanum
Tổng quan
VI-RADS 1
- T2W – đường tín hiệu thấp liên tục của lớp cơ thành bàng quang. Tổn thương < 1 cm. Có hoặc không có cuống khối u và/hoặc lớp trong dày lên.
- DCE – tín hiệu thấp của đường lớp cơ thành bàng quang, ngấm thuốc sớm của lớp trong.
- DWI – đường tín hiệu trung gian liên tục của lớp cơ thành bàng quang.
VI-RADS 2
- T2W – tương tự VI-RADS 1 nhưng tổn thương > 1 cm. Khối u dạng nhú có cuống và/hoặc lớp trong dày tăng tín hiệu, và khối u dạng không cuống có lớp trong dày lên.
- DCE – ngấm thuốc sớm của lớp trong.
- DWI – đường tín hiệu trung gian liên tục của lớp cơ thành bàng quang. Khối u dạng nhú sẽ có cuống giảm tín hiệu.
VI-RADS 3
- T2W – Vắng mặt cuống trong khối u dạng nhú hoặc vắng mặt lớp trong dày tăng tín hiệu trong khối u dạng không cuống, trong khi vẫn duy trì đường tín hiệu thấp liên tục của lớp cơ thành bàng quang.
- DCE – không có các dấu hiệu của VI-RADS 2, đường tín hiệu thấp liên tục của lớp cơ thành bàng quang.
- DWI – đường tín hiệu thấp liên tục của lớp cơ thành bàng quang.
VI-RADS 4
- T2W – gián đoạn đường tín hiệu thấp của lớp cơ thành bàng quang, biểu hiện xâm lấn cơ.
- DCE – lan rộng khu trú của ngấm thuốc sớm vào lớp cơ thành bàng quang.
- DWI – khối u tăng tín hiệu trên DWI và giảm tín hiệu trên ADC, lan rộng khu trú vào lớp cơ thành bàng quang.
VI-RADS 5
- T2W – khối u lan rộng vào mô mỡ quanh bàng quang.
- DCE – ngấm thuốc sớm lan vào mô mỡ ngoài bàng quang.
- DWI – khối u tăng tín hiệu trên DWI và giảm tín hiệu trên ADC, lan rộng xuyên suốt toàn bộ thành bàng quang và vào mô mỡ ngoài bàng quang.
Chuỗi xung T2W là chuỗi xung đầu tiên cần được xem xét trong việc xác định điểm VI-RADS (1).
Tuy nhiên, sự hiện diện của xâm lấn cơ rõ ràng (VI-RADS 4 và 5) được xác định bởi DWI và DCE.
Điều này có nghĩa là nếu có bất kỳ sự không tương đồng nào giữa T2W và DWI, thì DWI nên là chuỗi xung chủ đạo để tối đa hóa độ chính xác.
Nếu DWI không đạt chất lượng tối ưu, DCE nên được sử dụng làm chuỗi xung chủ đạo (1).
Ví dụ, nếu điểm T2W là 4 và điểm DWI hoặc DCE là 5, thì điểm được xác định là VI-RADS 5 (xem bảng).
Ngược lại, nếu điểm T2W là 5, trong khi điểm DWI là 4, thì điểm được xác định là VI-RADS 4.
Giải phẫu trên MRI
Trên hình ảnh chuỗi xung T2W, lớp cơ được nhận diện là một đường tín hiệu thấp liên tục.
Lớp trong, bao gồm biểu mô đường niệu và lớp đệm, thường không hiển thị trên chuỗi xung T2W ngoại trừ trong trường hợp phù nề.
Ung thư bàng quang biểu hiện tín hiệu trung gian so với tín hiệu của nước tiểu và cơ (2).
Trên hình ảnh ngấm thuốc tương phản từ động học (DCE), lớp trong thể hiện ngấm thuốc sớm thường gặp trong các tổn thương không xâm lấn cơ. Lớp cơ thể hiện ngấm thuốc muộn và tiến triển khi không bị gián đoạn, trong khi ung thư bàng quang thể hiện ngấm thuốc sớm.
Trên DWI, lớp cơ được hiển thị là một lớp tín hiệu trung gian. Lớp trong không thể hiển thị được. Ung thư biểu hiện khuếch tán hạn chế với tăng tín hiệu trên DWI và giảm tín hiệu trên bản đồ ADC.
Trong trường hợp viêm, lớp trong có thể biểu hiện dày lên và tăng tín hiệu do phù nề.
Trên hình ảnh chuỗi xung T2W, phù nề sẽ tạo ra tín hiệu cao của cả biểu mô đường niệu và lớp đệm, vốn có tình trạng xung huyết.
Trên DWI và ADC, lớp trong phù nề đôi khi có thể quan sát được.
Đây là ví dụ về phù nề lớp trong trên hình ảnh chuỗi xung T2W.
Phù nề có tín hiệu cao trên T2W nhưng nước tiểu cũng vậy.
Tuy nhiên vì phù nề nằm trong thành bàng quang nên có thể phân biệt được.
Trên hình ảnh DCE, lớp trong phù nề có thể biểu hiện ngấm thuốc sớm do tình trạng xung huyết (đầu mũi tên).
VI-RADS
VI-RADS 1
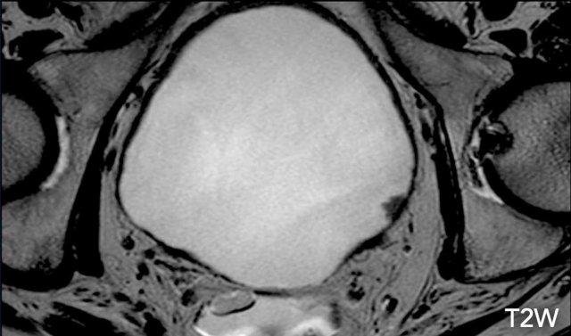
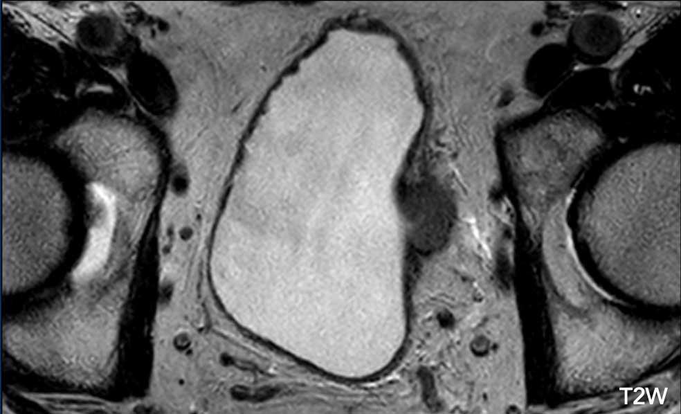
- T2W – Sc1: Đường giảm tín hiệu liên tục, cho thấy sự toàn vẹn của lớp cơ, trong các tổn thương nhỏ hơn 1 cm. Đối với u nhú, có thể có hoặc không có cuống và/hoặc lớp trong dày lên.
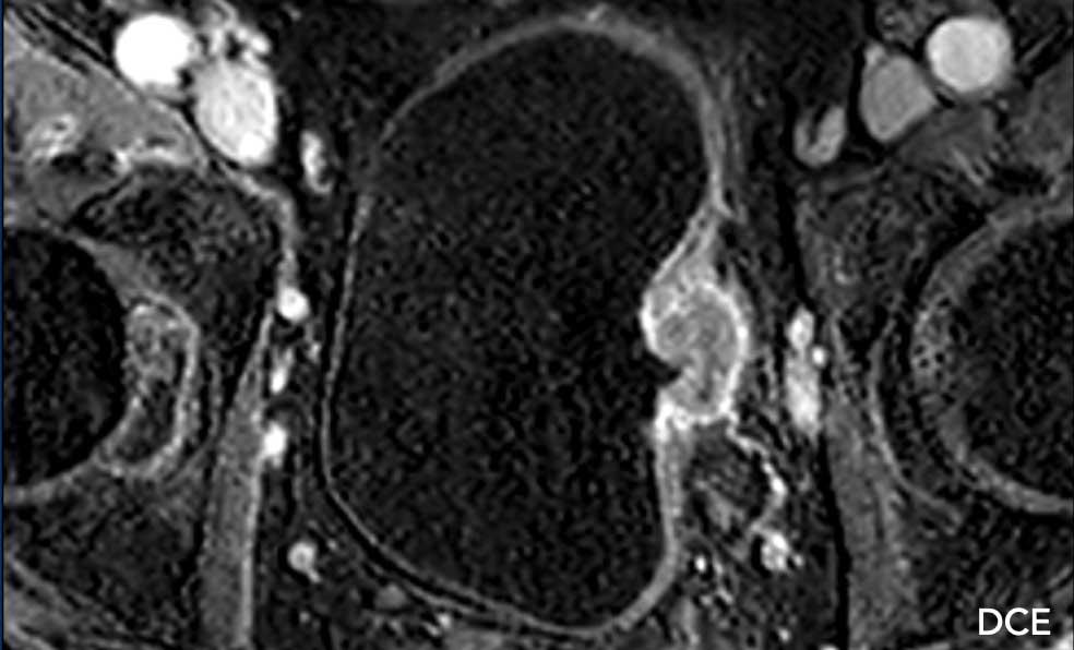
- DCE 1: Đường giảm tín hiệu của lớp cơ, ngấm thuốc sớm của lớp trong trong các tổn thương < 1 cm.
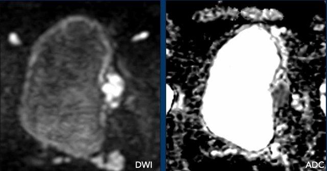
- DWI 1: Đường tín hiệu trung gian liên tục của lớp cơ trong các tổn thương < 1 cm.
Đối với u nhú, có thể có hoặc không có cuống và/hoặc lớp trong dày lên giảm tín hiệu.
Hình ảnh
- Có một tổn thương nhỏ (< 1 cm) ở thành bàng quang bên trái vùng sau-bên.
- Đường giảm tín hiệu của lớp cơ còn toàn vẹn hoàn toàn.
- Điểm T2: 1.
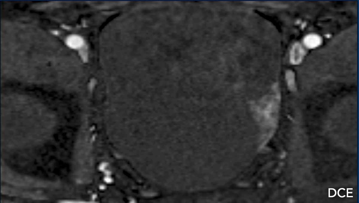
Tiếp tục xem các hình ảnh DCE và Khuếch tán.
Hình ảnh
- DCE: khối u ngấm thuốc sớm (mũi tên).
Lưu ý rằng lớp trong cũng có ngấm thuốc. Không có ngấm thuốc trong lớp cơ. - Khuếch tán: khuếch tán hạn chế với tăng tín hiệu trên DWI và giảm tín hiệu trên ADC.
Điểm VI-RADS cuối cùng: 1
VI-RADS 2
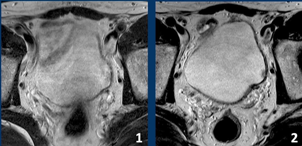
- T2W Sc 2: Đường giảm tín hiệu liên tục trong các tổn thương > 1 cm. Đối với u nhú có cuống và/hoặc lớp trong dày lên tăng tín hiệu, và đối với u dạng phẳng có lớp trong dày lên.
- DCE 2: Đường giảm tín hiệu của lớp cơ không ngấm thuốc sớm trong các tổn thương > 1 cm.
- DWI 2: Đường tín hiệu trung gian liên tục của lớp cơ trong các tổn thương > 1 cm.
Đối với u nhú có cuống giảm tín hiệu và/hoặc lớp trong dày lên giảm tín hiệu.
Đối với u dạng phẳng có lớp trong dày lên với tín hiệu thấp/trung gian trên DWI.
Hình ảnh
Có một tổn thương dạng u nhú có cuống ở thành bàng quang bên trái vùng sau-bên.
Đường kính tổn thương > 1 cm.
Lớp cơ còn toàn vẹn hoàn toàn (Điểm T2W: 2).
Phía sau tổn thương này, có một tổn thương nhỏ thứ hai được chỉ bởi mũi tên (Điểm T2W: 1).
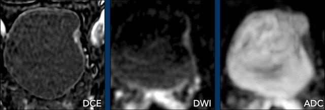
Tiếp tục xem hình ảnh DCE…
Khối u có ngấm thuốc.
Trên chuỗi xung DCE, lớp trong tiếp giáp với tổn thương cũng có ngấm thuốc.
Tiếp tục xem các hình ảnh khuếch tán…
Hình ảnh
Có thể thấy khối u tăng tín hiệu trên DWI và giảm tín hiệu trên chuỗi xung ADC.
Cuống khối u giảm tín hiệu trên DWI và tăng tín hiệu trên ADC.
Điểm số
- T2W: 2
- DCE: 2
- DWI/ADC: 2
Điểm VI-RADS cuối cùng: 2
VI-RADS 3
- T2W Điểm 3: Vắng mặt cuống trong u nhú hoặc vắng mặt lớp trong dày lên tăng tín hiệu trong u dạng phẳng, trong khi vẫn duy trì đường giảm tín hiệu liên tục của cơ thành bàng quang (muscularis propria).
- DCE 3: Không có các dấu hiệu của phân loại 2 trong khi vẫn duy trì đường giảm tín hiệu liên tục của cơ thành bàng quang.
- DWI 2: Không có các dấu hiệu của phân loại 2 trong khi vẫn duy trì đường giảm tín hiệu liên tục của cơ thành bàng quang.
Trước tiên hãy quan sát các hình ảnh.
Bạn nhận thấy những dấu hiệu gì?
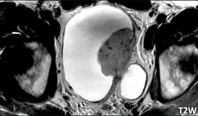
Hình ảnh
Có một khối u dạng phẳng ở thành bàng quang bên trái.
Do không có cuống khối u và lớp trong, nhưng cũng không có sự gián đoạn rõ ràng của lớp cơ, trường hợp này nên được chấm điểm T2W: 3.
Tiếp tục…
Bước tiếp theo là đánh giá các hình ảnh DCE và khuếch tán để phân biệt giữa VI-RADS 2, 3 và 4.
Tiếp tục xem các hình ảnh DCE và khuếch tán…
Hình ảnh
Trên chuỗi xung DCE, không có các dấu hiệu của phân loại 2 trong khi vẫn duy trì đường giảm tín hiệu liên tục của cơ thành bàng quang.
Ngoài ra, trên chuỗi xung DWI cũng không có sự gián đoạn rõ ràng của lớp cơ.
Điểm VI-RADS cuối cùng: 3
VI-RADS 4
T2W Điểm 4: Gián đoạn đường giảm tín hiệu của cơ thành bàng quang, biểu hiện xâm lấn cơ.
DCE 4: Khối u có ngấm thuốc sớm khu trú lan vào cơ thành bàng quang.
DWI 4: Khối u tăng tín hiệu trên DWI và giảm tín hiệu trên ADC, lan vào cơ thành bàng quang theo kiểu khu trú.
Trước tiên hãy quan sát hình ảnh T2W.
Nhận định của bạn là gì?
Hình ảnh
Có một khối u nhú lớn ở thành bàng quang bên trái xâm lấn vào đường giảm tín hiệu của cơ thành bàng quang.
Đây là trường hợp khó đánh giá vì có vẻ như có xâm lấn mỡ.
Tuy nhiên, hình ảnh T2W thường đánh giá quá mức xâm lấn mỡ do hiệu ứng thể tích từng phần.
Bước tiếp theo là đánh giá các hình ảnh DCE và khuếch tán để phân biệt giữa VI-RADS 4 và 5.
Các hình ảnh DCE và DWI sẽ giúp phân biệt giữa VI-RADS 4 và 5.
Tiếp tục xem các hình ảnh DCE và DWI…
Quan sát các hình ảnh.
Bạn nhận thấy những dấu hiệu gì?
Dấu hiệu
- DCE: Ngấm thuốc sớm của lớp cơ được thấy rõ ràng trên chuỗi xung DCE.
Bản thân khối u nghèo mạch máu và không lan qua lớp cơ đang ngấm thuốc. - DWI/ADC: Có sự gián đoạn của cơ thành bàng quang, nhưng không có xâm lấn mỡ.
Kết luận
T2W 4/5, DCE 4 và DWI/ADC 4
Điểm VI-RADS cuối cùng: 4
VI-RADS 5
- T2W Điểm 5
Khối u lan vào mỡ quanh bàng quang. - DCE 5
Khối u có ngấm thuốc sớm lan vào mô mỡ ngoài bàng quang. - DWI 5
Khối u tăng tín hiệu trên DWI và giảm tín hiệu trên ADC, lan qua toàn bộ thành bàng quang và vào mỡ ngoài bàng quang.
Hình ảnh
Có một khối u nhú không có cuống ở thành bàng quang bên phải.
Có thể thấy khối u xâm lấn mỡ quanh bàng quang vượt qua lớp cơ.
Đây là điểm T2W: 5.
Tiếp tục xem các hình ảnh tiếp theo…
Bước tiếp theo là đánh giá các hình ảnh DCE và khuếch tán để phân biệt giữa VI-RADS 4 và 5.
Tiếp tục xem các hình ảnh DCE và khuếch tán…
DCE
Có ngấm thuốc sớm của khối u xâm lấn vào mỡ trước bàng quang.
DWI/ADC
Tổn thương xâm lấn mỡ quanh bàng quang tăng tín hiệu trên chuỗi xung DWI, trong khi giảm tín hiệu trên chuỗi xung ADC.
Kết luận
T2W 5, DCE 5, DWI/ADC 5.
Điểm VI-RADS cuối cùng: 5
Giao thức chụp MRI
Chuẩn bị bệnh nhân
Nên tiêm thuốc chống co thắt bằng đường tiêm bắp để giảm xảo ảnh do chuyển động và xảo ảnh do nhu động ruột.
Hình ảnh minh họa
- Không sử dụng thuốc chống co thắt
- Có sử dụng thuốc chống co thắt
Độ căng bàng quang
Độ căng bàng quang tối ưu đóng vai trò then chốt trong việc phân giai đoạn khối u chính xác.
Tất cả các hình ảnh dưới đây đều là bàng quang bình thường.
- Căng không đủ
thành bàng quang có hình ảnh dày và không đều, có thể dẫn đến chẩn đoán nhầm hoặc đánh giá quá mức giai đoạn khối u. - Căng bàng quang đúng mức.
Hướng dẫn bệnh nhân đi tiểu trước khi chụp 1–2 giờ hoặc uống 500–1000 ml nước trong vòng 30 phút trước khi thực hiện thủ thuật, tùy theo khả năng dung nạp của bệnh nhân.
Hình dạng vòm bàng quang lồi ra ngoài gợi ý độ căng bàng quang tối ưu (2). - Căng quá mức.
Tình trạng này có thể gây xảo ảnh do chuyển động liên quan đến khó chịu và có thể che khuất mức độ lan rộng của ung thư bàng quang.
Các thông số thu nhận ảnh cho máy chụp MRI 1,5 Tesla.
Các thông số thu nhận ảnh cho máy chụp MRI 3 Tesla.


































