U Xương Đặc (Sclerotic Bone Tumors)
Ngày xuất bản
Trong bài viết U xương – Chẩn đoán phân biệt chúng tôi đã thảo luận về cách tiếp cận có hệ thống trong chẩn đoán phân biệt các u xương và tổn thương giả u xương.
Chẩn đoán phân biệt chủ yếu phụ thuộc vào tuổi của bệnh nhân và các phát hiện trên phim X-quang thông thường.
Trong bài viết này, chúng tôi sẽ thảo luận chi tiết hơn về chẩn đoán phân biệt các u xương đặc xương và các tổn thương giả u xương đặc xương.
Giới thiệu
Dưới đây là minh họa về các khối u xương xơ cứng phổ biến nhất.
Trong bảng trình bày các khối u xương xơ cứng và tổn thương dạng u phổ biến nhất theo các nhóm tuổi khác nhau.
Loạn sản xơ và u hạt bạch cầu ái toan thường biểu hiện là tổn thương tiêu xương, nhưng chúng cũng có thể có dạng xơ cứng.
Lưu ý rằng nhiều tổn thương tiêu xương lành tính thường gặp ở nhóm tuổi trẻ hơn có thể lành và xuất hiện dưới dạng tổn thương xơ cứng ở nhóm trung niên.
Nhiễm trùng gặp ở mọi lứa tuổi.
Đặc biệt viêm tủy xương mạn tính có thể có hình ảnh xơ cứng.
Một cách tiếp cận khác để chẩn đoán phân biệt các tổn thương xương xơ cứng là sử dụng từ gợi nhớ I VINDICATE, có nghĩa là ‘Tôi tự minh oan cho mình’.
Từ gợi nhớ I VINDICATE là một từ gợi nhớ thường được sử dụng để chẩn đoán phân biệt các tổn thương trên hình ảnh X quang.
Bone infarction
Key facts
- Biểu hiện điển hình: tổn thương trung tâm ở hành xương hoặc thân xương với bờ rõ nét dạng ngoằn ngoèo.
- May resemble cartilaginous tumors.
- Nguyên nhân: sử dụng corticosteroid, bệnh hồng cầu hình liềm, chấn thương, bệnh Gaucher, ghép thận.
Thuật ngữ nhồi máu xương được sử dụng cho hoại tử xương trong thân xương hoặc hành xương.
Nếu hoại tử xương nằm ở đầu xương, thuật ngữ hoại tử xương vô mạch được sử dụng.
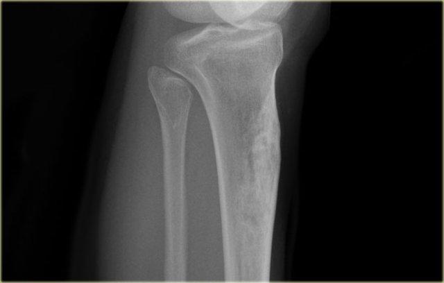
Phim X-quang cho thấy hình ảnh nhồi máu xương điển hình ở thân xương và hành xương của xương đùi và xương chày.
Trên hình ảnh MRI, nhồi máu xương được đặc trưng bởi các bờ không đều dạng rắn bò với tín hiệu thấp trên cả T1 và T2 WI, và tín hiệu mỡ từ trung bình đến cao ở phần trung tâm.
Tăng tín hiệu sau tiêm Gadolinium tĩnh mạch thường tối thiểu hoặc không có (xem hình bên phải).
Ở ngoại vi của ổ nhồi máu có thể thấy một vùng có cường độ tín hiệu tương đối cao trên T2WI.
Việc phân biệt nhồi máu xương với u sụn xương (enchondroma) hoặc u sụn xương ác tính độ thấp (low-grade chondrosarcoma) trên phim X-quang thường có thể rất khó khăn hoặc thậm chí không thể thực hiện được.
Các khối u sụn, đặc biệt là u sụn xương ác tính (chondrosarcoma), có thể biểu hiện hình ảnh xói mòn nội màng xương (endosteal scalloping), trong khi nhồi máu xương thì không có đặc điểm này.
Các khối u sụn được gặp thường xuyên hơn so với nhồi máu xương.
Đây là tổn thương ở vùng đầu xương, là hậu quả của hoại tử xương sau chấn thương.
Ở vùng đầu xương, chúng ta sử dụng thuật ngữ hoại tử vô mạch chứ không phải nhồi máu xương.
Đảo Xương (Bone Island)
Key facts
- Tổn thương lành tính bao gồm mô xương trưởng thành biệt hóa tốt nằm trong khoang tủy xương.
- Also known as enostosis
- The shape is usually round or oval.
- Thường gặp như một phát hiện tình cờ và có thể xuất hiện ở bất kỳ xương nào.
- Occasionally slowly enlargement can be seen.
- Bone islands can be large at presentation.
- Xạ hình xương không cho thấy hoạt độ cao, trái ngược với u xương tủy xương độ thấp
Click here for more information about bone island.
Chondroblastoma
key facts:
- Biểu hiện điển hình: tổn thương tiêu xương được xác định rõ ràng ở xương cổ chân, xương bánh chè hoặc đầu xương của xương dài ở người 20 tuổi với biểu hiện đau và sưng khớp.
- Abundant edema is almost always present.
- DD: Ganglion cyst, osteomyelitis, GCT, ABC, enchondroma.
Đây là tổn thương nằm ở vùng đầu xương và hành xương của đầu trên xương cánh tay.
Tổn thương chủ yếu bị vôi hóa.
Hình ảnh T1W mặt phẳng vành tai cho thấy bờ tổn thương có dạng thùy và tín hiệu thấp ở ngoại vi do các vôi hóa.
Click here for more examples of chondroblastoma.
Chondrosarcoma
Key facts
- U xương ác tính phổ biến nhất, hầu như luôn luôn là độ thấp
- Vị trí nguyên phát: các xương dài đoạn gần, quanh khớp gối, khung chậu và đai vai, thường ở trung tâm và vùng hành xương
- Dấu hiệu X-quang đặc trưng: sự hình thành chất nền dạng sụn (chondroid), biểu hiện dưới dạng vôi hóa dạng chấm, dạng hạt hoặc dạng bỏng ngô.
- Chất nền sụn có số lượng thay đổi từ gần như vắng mặt đến chất nền sụn đặc chắc.
- Sự biến mất của các vôi hóa trong một u sụn nội sinh đã có từ trước nên làm dấy lên nghi ngờ về sự chuyển dạng ác tính.
Hình ảnh cho thấy một tổn thương vôi hóa ở đầu gần xương chày mà không có đặc điểm đáng ngờ.
Đây rất có thể là một u sụn nội xương (enchondroma).
Có những đặc điểm khác ủng hộ chẩn đoán sarcoma sụn độ thấp như xạ hình xương dương tính và hình ảnh xói mòn nội màng xương trên MRI (không hiển thị).
Sarcoma sụn đã được chẩn đoán qua sinh thiết.
Đây là bệnh nhân nam 44 tuổi với khối u hỗn hợp tiêu xương và đặc xương xuất phát từ xương đốt bàn tay thứ năm.
Có các dải vôi hóa trong phần mềm.
Hình ảnh MRI axial trọng số T2 cho thấy tín hiệu cao của khối u trong xương đốt bàn tay với sự lan rộng của khối mô mềm có thùy.
Diagnosis: chondrosarcoma grade 2
Here a chondrosarcoma of the left iliac bone.
Do kích thước lớn với sự lan rộng vào mô mềm trên phim X-quang thường và hình ảnh MRI chuỗi xung T2 trục, u sụn ác tính độ cao đã được nghi ngờ.
Biopsy showed grade 2 chondroarcoma.
Continue with the bone scan.
Hấp thu mạnh trên xạ hình xương như chúng ta có thể thấy trong u sụn ác tính độ cao.
Đây là hai tổn thương khác ở các bệnh nhân khác nhau được chứng minh là u sụn ác tính (chondrosarcoma).
Tổn thương xơ cứng ở chỏm xương cánh tay hoàn toàn có thể là u sụn lành tính (enchondroma) dựa trên các đặc điểm hình ảnh.
Thông thường không có triệu chứng, tuy nhiên, ở bệnh nhân trưởng thành có tổn thương sụn ở xương dài, đặc biệt khi kích thước lớn hơn, cần luôn cân nhắc đến u sụn ác tính độ thấp (low-grade chondrosarcoma).
Hình ảnh X-quang thường và ảnh MRI chuỗi xung T1 có tiêm thuốc tương phản với kỹ thuật xóa mỡ theo mặt phẳng coronal của tổn thương vừa tiêu xương vừa đặc xương ở thân xương đùi đoạn xa.
Lưu ý sự dày lên đồng nhất của vỏ xương.
Không có vôi hóa.
Hình ảnh MRI cho thấy tổn thương có bờ múi và ngấm thuốc dạng nốt.
Sự ngấm thuốc đồng nhất ở phần trên kèm theo phù nề và dày vỏ xương không điển hình cho u sụn ác tính độ thấp.
U sụn ác tính độ cao cần được xem xét trong chẩn đoán phân biệt.
Biopsy revealed dedifferentiated chondrosarcoma.
Peripheral chondrosarcoma
Key facts
- Accounts for 8% of all chondrosaromas.
- Tỷ lệ mắc 3-5% ở bệnh nhân có đa u xương sụn di truyền.
- Sự phát triển của u xương sụn ở các vị trí trung tâm như khung chậu, hông và vai là phổ biến nhất.
Cần xem xét u sụn ngoại vi ác tính trong các u xương sụn đang phát triển có hoặc không có đau sau khi đóng tấm sụn tiếp hợp.
Dấu hiệu X-quang hoặc CT gợi ý ác tính:
- tăng trưởng u xương sụn ở bệnh nhân xương đã trưởng thành
- bề mặt tổn thương không đều hoặc không rõ ràng
- ăn mòn hoặc phá hủy xương lân cận
- khối phần mềm với vôi hóa rải rác hoặc không đều
Dùng MRI với chuỗi xung nhạy cảm nước (T2 FS) để xác định độ dày mũ sụn.
Cân nhắc ác tính hóa u xương sụn thành ung thư sụn xương khi mũ sụn > 10 mm.
Click here for more examples of chondrosarcoma.
Ung Thư Sụn Xương Màng Xương (Periosteal/Juxtacortical Chondrosarcoma)
Cần xem xét u sụn ác tính cạnh vỏ xương trong chẩn đoán phân biệt khi phát hiện tổn thương vôi hóa nằm kề cạnh xương vỏ.
Đây là hình ảnh khối u vôi hóa một phần áp sát đầu trên xương cánh tay với sự xâm lấn vỏ xương trên ảnh CT cắt ngang.
Hình ảnh MRI trọng số T2 cho thấy một khối u thùy với cường độ tín hiệu cao.
Khoang tủy xương không bị xâm lấn, điều này rất quan trọng cho chiến lược phẫu thuật.
U sụn màng xương có thể có các đặc điểm hình ảnh tương tự, tuy nhiên, hầu như luôn nhỏ hơn nhiều.
Phim X-quang thường ở một bệnh nhân khác cho thấy tổn thương vôi hóa không đều với hiện tượng nâng cao màng xương và xâm lấn vỏ xương. Bên phải là hình ảnh T2-WI có FS của cùng bệnh nhân. Khối u cạnh vỏ xương có tín hiệu cao và bờ thùy múi. Chẩn đoán phân biệt: sarcoma sụn cạnh vỏ xương, sarcoma xương cạnh màng xương.
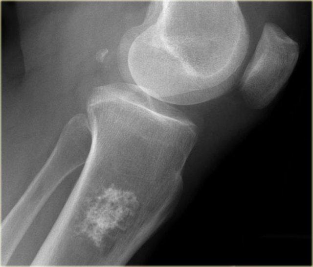
Enchondroma
U xương thường gặp nhất ở các xương nhỏ của bàn tay và bàn chân.
Đây là hình ảnh X-quang cho thấy các vôi hóa điển hình trong chất nền sụn của u sụn nội xương.
Lưu ý rằng MRI mô tả các tổn thương này một cách dễ dàng như thế nào.
U sụn nội xương là một tổn thương sụn lành tính khá phổ biến, có thể biểu hiện như một tổn thương tiêu xương hoàn toàn không có vôi hóa, một tổn thương vôi hóa dày đặc hoặc một tổn thương hỗn hợp với tiêu xương và vôi hóa.
U sụn nội xương cũng như sarcoma sụn độ thấp thường được phát hiện tình cờ ở những bệnh nhân được chụp MRI hoặc xạ hình xương vì các lý do khác.
Click here for more examples of enchondromas.
Eosinophilic granuloma
key facts:
- Thường biểu hiện là tổn thương tiêu xương ở xương dẹt, đốt sống hoặc thân xương dài.
- May show extinction and become sclerotic and indolent,.
- MRI thường cho thấy lượng lớn các thay đổi phản ứng trong xương và mô mềm.
- Trong giai đoạn hoạt động, có phản ứng màng xương đa lớp và phù nề xương cùng mô mềm.
- U hạt bạch cầu ái toan giống viêm tủy xương, có thể là một bệnh lý dễ nhầm lẫn nghiêm trọng với bệnh ác tính (đặc biệt là sarcoma Ewing).
- Nên được đưa vào chẩn đoán phân biệt ở bệnh nhân trẻ tuổi có nhiều tổn thương thấu quang (Mô bào tế bào Langerhans).
Hình ảnh này của một bệnh nhân 20 tuổi với tổn thương xơ cứng dạng膨胀 ở xương đòn.
Lưu ý rằng có các vùng nhỏ tiêu xương không rõ ranh giới.
Ở bệnh nhân lớn tuổi hơn, trước tiên nên nghĩ đến di căn tạo xương.
Nếu bệnh nhân có sốt và bối cảnh lâm sàng phù hợp, viêm tủy xương sẽ được đưa vào chẩn đoán phân biệt.
Click here for more examples of eosinophilic granuloma.
Loạn Sản Xơ Xương (Fibrous Dysplasia)
FD thường thuần túy là tiêu xương, nhưng có thể có hình ảnh kính mờ khi chất nền bị vôi hóa.
Các ổ cốt hóa hoặc vôi hóa có thể hiện diện với số lượng thay đổi.
Đây là một tổn thương lệch tâm khá rõ ràng, chủ yếu có tính chất xơ cứng.
The differential diagnosis includes:
- Fibro-osseous lesion like fibrous dysplasia.
- Non-ossifying fibroma which has been filled in.
- U nguyên bào men trong trường hợp tổn thương xơ cứng với nhiều vùng thấu quang của xương chày ở bệnh nhân trẻ tuổi.
Đây là tổn thương hỗn hợp xơ cứng-tiêu xương được xác định rõ ràng ở xương chậu trái.
Chẩn đoán là loạn sản xơ.
Chẩn đoán phân biệt: nang xương đơn độc cũ.
Xạ hình xương có thể âm tính hoặc cho thấy mức độ bắt xạ hạn chế.
Cường độ tín hiệu trên MR phụ thuộc vào lượng vôi hóa và cốt hóa, mô xơ (tín hiệu thấp) và thành phần nang (tín hiệu cao trên T2).
Loạn sản xơ có thể là thể đơn xương hoặc đa xương.
Thường gặp ở trẻ em hoặc người trẻ tuổi. Không hiếm khi được phát hiện tình cờ ở độ tuổi lớn hơn.
Vị trí trung tâm là phổ biến nhất với một số sự mở rộng và mỏng vỏ xương
Nhấp vào đây để biết thêm thông tin chi tiết về loạn sản xơ.
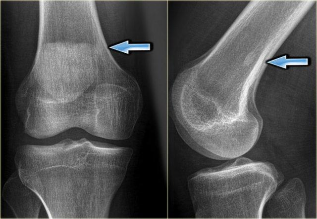
Melorrheostosis
Melorrheostosis là một loạn sản xương, đặc trưng bởi sự lắng đọng xương trưởng thành trên bề mặt ngoài hoặc bề mặt trong của xương vỏ.
Thường chỉ có một xương bị tổn thương.
Đầu xương, hành xương và thân xương đều có thể bị tổn thương.
Thường xương mới chỉ được bồi đắp vào một phía của vỏ xương.
Có thể xảy ra tình trạng bao bọc hoàn toàn.
Đây là hình ảnh Melorheostosis của xương trụ với hình ảnh giống như sáp nến.
U xương bề mặt (surface osteosarcoma) có thể được xem xét trong chẩn đoán phân biệt
Hình ảnh MR T1 trục cho thấy tín hiệu thấp đồng nhất do sự lắng đọng xương đặc.
Click here for more examples.
Metastases
key facts
- Di căn xương tạo xương dạng xơ cứng phải được đưa vào chẩn đoán phân biệt của bất kỳ tổn thương xương xơ cứng nào ở bệnh nhân > 40 tuổi.
- Thường gặp nhất là xuất phát từ ung thư tuyến tiền liệt và ung thư vú, ít gặp hơn là từ ung thư phổi, u lympho hoặc u carcinoid.
- Trong ung thư vú, các di căn có thể biểu hiện dưới dạng tổn thương tiêu xương và có thể trở nên xơ cứng, phản ánh đáp ứng thuận lợi với hóa trị liệu.
Đây là hình ảnh của một bệnh nhân ung thư tuyến tiền liệt.
Lưu ý các di căn xương chủ yếu là tạo xương (osteoblastic) với số lượng nhiều.
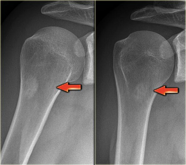
Đây là hình ảnh của một bệnh nhân ung thư vú.
Có một ổ di căn, biểu hiện là tổn thương xơ cứng kín đáo ở vùng hành xương đầu trên xương cánh tay.
Đây có thể là di căn tạo xương hoặc di căn tiêu xương đã đáp ứng với hóa trị liệu.
Di căn tạo xương (2)
Đây là hình chụp X-quang vùng chậu với một ổ di căn tạo xương hầu như không nhìn thấy ở xương chậu trái (mũi tên xanh lam).
Lưu ý rằng CT mô tả các tổn thương này rõ hơn nhiều (mũi tên đỏ).
Đây là hình ảnh CT của một bệnh nhân ung thư tuyến tiền liệt.
Lưu ý các di căn tạo xương không rõ ranh giới lan rộng.
Non-ossifying fibroma
U xơ không cốt hóa (NOF) đôi khi có thể gặp dưới dạng tổn thương xơ cứng một phần hoặc hoàn toàn.
Thông thường, u xơ không cốt hóa biểu hiện là tổn thương tiêu xương lệch tâm, giới hạn rõ, thường được phát hiện tình cờ.
Các tổn thương này thường tự thoái triển và sau đó có thể trở nên xơ cứng.
Các tổn thương lành tính khác, như nang xương đơn độc, loạn sản xơ, u nguyên bào sụn và các khối u xương lành tính khác có thể trở nên bất hoạt và cũng có thể xơ cứng.
Các hình ảnh bên trái cho thấy một NOF tiêu xương điển hình với bờ xơ cứng rõ nét.
Hình ảnh bên phải là của một bệnh nhân khác có NOF cũ đã được lấp đầy hoàn toàn.
Click here for more detailed information about NOF.
Đây là phát hiện tình cờ về một số tổn thương xơ cứng lệch tâm ở đầu xa xương đùi.
These are inert filled-in non-ossifying fibromas.
No further examination is needed.
U Xương Sụn Bề Mặt (Osteochondroma)
U xương sụn là một phần xương nhô ra được bao phủ bởi một lớp mũ sụn.
Sự phát triển của u xương sụn diễn ra ở lớp mũ sụn, tương ứng với quá trình tăng trưởng sụn nội sinh bình thường tại các đĩa tăng trưởng.
Do đó, u xương sụn được phép phát triển cho đến khi bệnh nhân trưởng thành và các đĩa sụn tăng trưởng đóng lại.
Sự phát triển của u xương sụn ở độ tuổi trưởng thành, đặc trưng bởi mũ sụn dày (tín hiệu cao trên T2WI) cần làm dấy lên nghi ngờ về sự tiến triển thành ung thư sụn ngoại vi.
Here a patient with a broad-based osteochondroma.
Lưu ý rằng xương vỏ lan vào trong tổn thương.
Đặc điểm này giúp phân biệt nó với u cạnh vỏ xương.
Đây là hình ảnh bệnh nhân có u xương sụn diện rộng với sự kéo dài của vỏ xương vào cuống tổn thương.
Lưu ý phần ngoại vi thấu quang với các vôi hóa mờ nhạt.
Phần này tương ứng với vùng tăng tín hiệu trên chuỗi xung T2 có xóa mỡ ở bên phải.
Đây là biểu hiện của mũ sụn dày.
Đây là một ví dụ về sự tiến triển của u xương sụn thành u sụn ác tính ngoại vi.
Chuyển dạng ác tính
Các đặc điểm hình ảnh học cần gợi lên nghi ngờ chuyển dạng ác tính trên phim X-quang thường hoặc CT bao gồm:
- Growth of osteochondroma in skeletally mature patient
- Irregular or indistinct surface of lesions
- focal lucent regions in interior of lesions
- ăn mòn hoặc phá hủy xương lân cận
- sự hiện diện của khối mô mềm với các vôi hóa rải rác hoặc không đều
U Xương Dạng Xương (Osteoid Osteoma)
key facts:
- Tổn thương tiêu xương nhỏ (đến 1,5 cm) có hoặc không có vôi hóa trung tâm.
- Được bao quanh bởi một vùng xơ cứng phản ứng rõ rệt do phản ứng màng xương và nội cốt mạc, có thể che khuất ổ trung tâm.
- Trong định khu cạnh khớp, xơ cứng phản ứng có thể vắng mặt.
- Localisation: femur, tibia, hands and feet, spine (arch).
- Hình ảnh trục để phân biệt với áp xe Brodie, u tạo xương, gãy xương do stress
Ở đây, xơ cứng phản ứng là dấu hiệu rõ ràng nhất trên X-quang.
Có xơ cứng phản ứng với ổ tổn thương hầu như không nhìn thấy trên phim X-quang (mũi tên xanh), nhưng thấy rõ ràng trên CT (mũi tên đỏ).
Chụp CT thường rất hữu ích trong việc phát hiện ổ tổn thương trung tâm (nidus) và phân biệt u xương dạng xương (osteoid osteoma) với các tổn thương xơ cứng khác như u nguyên bào xương (osteoblastoma), viêm tủy xương (osteomyelitis), viêm khớp (arthritis), gãy xương do stress (stress fracture) và nội cốt (enostosis).
MRI cũng có thể phát hiện ổ tổn thương, kết hợp với phù tủy xương và phù mô mềm lan rộng.
U xương dạng xương (2)
Trong hầu hết các trường hợp u xương dạng xương, hình ảnh X-quang được xác định bởi tình trạng xơ cứng phản ứng.
Tuy nhiên, trong một số trường hợp, ổ tiêu xương có thể nhìn thấy được trên phim X-quang (hình).
U Xương Cứng (Osteoma)
key facts
U xương (Osteoma) bao gồm xương đặc dày.
Vị trí phổ biến nhất là ở bảng ngoài của hộp sọ thần kinh hoặc trong xoang cạnh mũi.
Osteomyelitis
Viêm tủy xương là bệnh có thể bắt chước nhiều loại u xương lành tính và ác tính cũng như các quá trình phản ứng có thể kèm theo xơ cứng phản ứng.
Viêm tủy xương cấp tính được đặc trưng bởi tiêu xương.
Xơ cứng xương thường là biểu hiện nổi bật nhất trong viêm tủy xương bán cấp và mạn tính.
Có thể có phản ứng màng xương kèm hoặc không kèm theo hình ảnh phân lớp.
Đôi khi có phản ứng màng xương đặc hơn kết hợp với dày vỏ xương và mở rộng xương.
Đây là hình ảnh của một bệnh nhân bị viêm tủy xương mạn tính.
Ở trung tâm có một vùng tiêu xương không rõ ranh giới.
Phần lớn tổn thương bao gồm xơ cứng phản ứng.
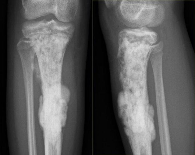
Ung Thư Xương (Osteosarcoma)
Key facts
- 2nd most common primary bone tumor and highly malignant.
- 50% around the knee.
- Presentation: pain, mass, pathologic fracture.
- Xơ cứng hiện diện do sự hình thành xương mới từ khối u hoặc xơ cứng phản ứng.
- Tuổi: thường gặp nhất ở độ tuổi 10-25, nhưng có thể xảy ra ở bệnh nhân lớn tuổi hơn.
- Phim chụp thông thường thường cho thấy các tổn thương với hình ảnh kiểu “bị mối ăn” hoặc thấm nhiễm lan tỏa ở vùng chuyển tiếp, kèm theo phá hủy vỏ xương không đều và phản ứng màng xương bị gián đoạn với sự lan rộng vào phần mềm.
- Phản ứng màng xương được gọi là tam giác Codman xuất hiện khi khối u nâng màng xương lên khỏi xương bên dưới. Sự xâm lấn phần mềm vỏ xương có thể tạo ra các gai xương tỏa ra được gọi là hình ảnh tia mặt trời.
Ung thư xương (2)
Đây là hình ảnh của một khối u xương ác tính ở xương đùi phải.
Khối u hầu như không nhìn thấy trong xương, nhưng có thể thấy hình ảnh viêm màng xương xâm lấn (mũi tên).
Tiếp tục xem các hình ảnh MRI.
Hình ảnh T1WI theo mặt phẳng đứng dọc và hình ảnh T1W tăng cường Gd có ức chế mỡ cho thấy một khối u lớn xâm lấn phần lớn đầu xa xương đùi và lan qua vỏ xương vào các mô mềm.
Parosteal osteosarcoma
Ung thư xương cạnh màng xương (Parosteal osteosarcoma) là một loại sarcoma có nguồn gốc từ bề mặt xương.
Khối u phát triển chủ yếu vào các mô mềm xung quanh, nhưng cũng có thể xâm lấn vào tủy xương.
Vị trí thường gặp nhất là ở mặt sau của vùng siêu hành xương đùi xa (meta-diaphysis đầu xa xương đùi).
Sự ossification trong ung thư xương cạnh màng xương (parosteal osteosarcoma) thường trưởng thành hơn ở trung tâm so với ngoại vi. Điều này trái ngược với viêm cơ hóa xương (myositis ossificans), có thể xuất hiện rất gần với xương vỏ, nhưng sự trưởng thành phát triển từ trung tâm ra ngoại vi.
Paget’s disease of bone
Bệnh Paget là một rối loạn mạn tính chưa rõ nguyên nhân với sự tăng phá hủy xương và hình thành xương mới mất trật tự.
Hình ảnh phổ biến nhất là dạng hỗn hợp tiêu xương-xơ cứng.
Trong trường hợp này, chúng ta thấy bộ ba triệu chứng đặc trưng bệnh lý gồm giãn nở xương, dày vỏ xương và dày bè xương trong giai đoạn hỗn hợp tiêu xương và xơ cứng xương của bệnh Paget nửa xương chậu phải.
Reactive processes
Myositis ossificans
Đây là hình ảnh bệnh nhân có khối vôi hóa trong mô mềm.
Lưu ý rằng sự vôi hóa chủ yếu ở ngoại vi của khối và có một vùng sáng giữa khối và xương vỏ.
Hình ảnh MRI T1 có tiêm thuốc tương phản cho thấy khối u ngấm thuốc không đồng nhất với phù nề lan rộng xung quanh.
Hình ảnh này phù hợp với chẩn đoán một quá trình phản ứng như viêm cơ hóa xương.
Stress fractures
Gãy xương do stress xảy ra ở xương bình thường (gãy xương do mỏi) hoặc xương suy yếu về mặt chuyển hóa (gãy xương do suy kiệt).
Thông thường gãy xương do stress dễ nhận biết.
Trong một số trường hợp hiếm gặp, có thể khó phân biệt gãy xương do stress với gãy xương bệnh lý, xảy ra tại vị trí của khối u xương.
Đôi khi có thể khó phân biệt gãy xương do stress với khối u xương như u xương dạng xương (osteoid osteoma) hoặc với gãy xương bệnh lý xảy ra tại vị trí khối u xương.
Đây là ví dụ về một bệnh nhân bị gãy xương do stress ở đầu xa xương mác.
Hình ảnh MR mặt phẳng coronal cho thấy đường giảm tín hiệu nhẹ đại diện cho đường gãy xương.
Chẩn đoán phân biệt dựa trên phản ứng màng xương và phù nề lan rộng:
- Osteomyelitis
- Eosinophilic granuloma
Posttraumatic calcifications
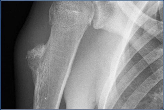
Đây là hình ảnh của một bệnh nhân có khối xơ cứng cạnh vỏ xương ở đầu trên xương cánh tay (trái).
Trường hợp này được xác định là vôi hóa phản ứng thứ phát sau chấn thương.
Lưu ý sự tương đồng với khối u cạnh vỏ xương ở một bệnh nhân khác (bên phải), được chẩn đoán xác định bằng sinh thiết là u xương cạnh màng xương (parosteal osteosarcoma).
Điều này cho thấy rằng việc phân biệt khối u với một quá trình phản ứng đôi khi có thể rất khó khăn trong một số trường hợp.
Khi một quá trình phản ứng có khả năng xảy ra hơn dựa trên tiền sử và đặc điểm hình ảnh, đôi khi vẫn cần theo dõi thêm.
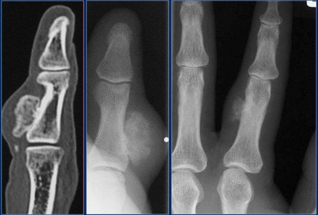
Subungual exostoses
Xương thừa dưới móng là những phần lồi xương xuất phát từ bề mặt lưng của đốt ngón xa, thường gặp nhất ở ngón cái.
Những tổn thương này không phải là u xương sụn, mà bao gồm sụn phản ứng dị sản.
The radiographic appearance and location are typical.
Nora’s lesion
Đây là hai bệnh nhân mắc tăng sinh xương sụn cạnh màng xương kỳ lạ (BPOP), còn được gọi là tổn thương Nora.
Quá trình phản ứng lành tính này thường gặp nhất ở vùng tiếp giáp với vỏ xương của các đốt ngón tay hoặc ngón chân (75%).
Vỏ xương và khoang tủy xương không bị tổn thương.
Sự phát triển nhanh chóng của khối vôi hóa không phải là hiếm gặp.
Charity
Toàn bộ lợi nhuận của Radiology Assistant được chuyển đến Medical Action Myanmar, tổ chức được điều hành bởi Bác sĩ Nini Tun và Bác sĩ Frank Smithuis sr, người là giáo sư tại Đại học Oxford và cũng là anh trai của Robin Smithuis.
Nhấp vào đây hoặc vào hình ảnh bên dưới để xem video về Medical Action Myanmar và nếu bạn thích Radiology Assistant, hãy ủng hộ Medical Action Myanmar bằng một món quà nhỏ.














































