U xương – Chẩn đoán phân biệt
Trong bài viết này, chúng ta sẽ thảo luận về cách tiếp cận có hệ thống trong chẩn đoán phân biệt các khối u xương và các tổn thương giống u.
Chẩn đoán phân biệt chủ yếu dựa vào việc đánh giá phim X-quang thông thường và tuổi của bệnh nhân.
Các chữ viết tắt được sử dụng:
- ABC = Aneurysmal bone cyst
- CMF = Chondromyxoid fibroma
- EG = Eosinophilic Granuloma
- GCT = Giant cell tumour
- FD = Fibrous dysplasia
- HPT = Hyperparathyroidism with Brown tumor
- NOF = Non Ossifying Fibroma
- SBC = Simple Bone Cyst
Systematic Approach
Các yếu tố quyết định quan trọng nhất trong việc phân tích một khối u xương tiềm năng là:
-
Hình thái tổn thương xương trên phim X-quang thường
- Tiêu xương bờ rõ
- Tiêu xương bờ không rõ
- Xơ cứng xương
- The age of the patient
Điều quan trọng cần nhận thức là phim X-quang thường quy là phương tiện khảo sát hữu ích nhất để phân biệt các tổn thương này.
CT và MRI chỉ hữu ích trong một số trường hợp được chọn lọc.
Here are links to other articles about bone tumors:
Approach
Hầu hết các khối u xương đều có tính chất tiêu xương.
Dấu hiệu đáng tin cậy nhất để xác định các tổn thương này là lành tính hay ác tính chính là vùng chuyển tiếp giữa tổn thương và xương bình thường lân cận (1).
Sau khi đã xác định được tổn thương xương là đặc xương hay tiêu xương, và bờ tổn thương là rõ nét hay không rõ nét, câu hỏi tiếp theo cần đặt ra là: bệnh nhân bao nhiêu tuổi?
Age is the most important clinical clue.
Cuối cùng, cần xem xét các dấu hiệu khác, chẳng hạn như vị trí của tổn thương trong hệ xương và trong xương, bất kỳ phản ứng màng xương nào, sự phá hủy vỏ xương, các vôi hóa chất nền, v.v.
Age
Tuổi là dấu hiệu lâm sàng quan trọng nhất trong việc phân biệt các khối u xương có thể gặp.
Có nhiều cách phân chia nhóm tuổi, như có thể thấy trong bảng, trong đó hình thái của tổn thương xương được kết hợp với tuổi của bệnh nhân.
Một số người thích chia bệnh nhân thành hai nhóm tuổi: dưới hoặc trên 30 tuổi.
Hầu hết các khối u xương nguyên phát được gặp ở bệnh nhân dưới 30 tuổi.
Ở bệnh nhân trên 30 tuổi, chúng ta luôn phải đưa di căn và u tủy vào chẩn đoán phân biệt.
Notice the following:
- Nhiễm trùng, một nguyên nhân thường gặp có thể nhầm lẫn với khối u, có thể gặp ở mọi lứa tuổi.
- Nhiễm trùng có thể biểu hiện là tổn thương tiêu xương bờ rõ hoặc bờ không rõ, thậm chí có thể xơ cứng.
- U hạt toan tính và nhiễm trùng cần được đề cập trong chẩn đoán phân biệt của hầu hết mọi tổn thương xương ở bệnh nhân dưới 20 tuổi.
- Nhiều tổn thương xơ cứng ở bệnh nhân > 20 tuổi là các tổn thương tiêu xương đã lành, đã được ossified, chẳng hạn như: NOF, EG, SBC, ABC và u nguyên bào sụn.
Zone of transition
Để phân loại các tổn thương tiêu xương là bờ rõ hay bờ không rõ, chúng ta cần xem xét vùng chuyển tiếp giữa tổn thương và xương bình thường lân cận.
Vùng chuyển tiếp là chỉ số đáng tin cậy nhất để xác định liệu một tổn thương tiêu xương là lành tính hay ác tính (1).
Vùng chuyển tiếp chỉ áp dụng cho các tổn thương tiêu xương vì các tổn thương xơ cứng thường có vùng chuyển tiếp hẹp.
Vùng chuyển tiếp nhỏ
Vùng chuyển tiếp nhỏ tạo ra đường viền sắc nét, rõ ràng và là dấu hiệu của sự phát triển chậm.
Đường viền xơ cứng đặc biệt cho thấy hoạt tính sinh học kém.
Ở những bệnh nhân trên 30 tuổi, và đặc biệt là trên 40 tuổi, mặc dù có các đặc điểm X quang lành tính, vẫn cần xem xét đến khả năng di căn hoặc u tương bào
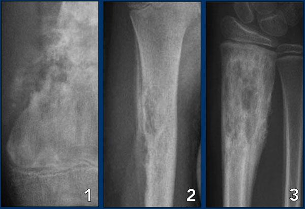
Bên trái là ba tổn thương xương với vùng chuyển tiếp hẹp.
Dựa trên hình thái học và độ tuổi của bệnh nhân, các tổn thương này là lành tính.
Lưu ý rằng ở cả ba bệnh nhân, các sụn tăng trưởng vẫn chưa đóng.
Images
- Non-ossifying fibroma
- Solitary bone cyst
- Aneurysmal bone cyst
Di căn và đa u tủy xương
Ở bệnh nhân > 40 tuổi, di căn và đa u tủy xương là các khối u xương thường gặp nhất.
Di căn xương ở bệnh nhân dưới 40 tuổi cực kỳ hiếm gặp, trừ khi bệnh nhân được biết là có khối u ác tính nguyên phát.
Di căn có thể được đưa vào chẩn đoán phân biệt nếu bệnh nhân trẻ tuổi được biết là có bệnh lý ác tính, chẳng hạn như u nguyên bào thần kinh, u cơ vân ác tính hoặc u nguyên bào võng mạc.
Vùng chuyển tiếp rộng
Bờ không rõ ràng với vùng chuyển tiếp rộng là dấu hiệu của sự phát triển xâm lấn (1).
Đây là đặc điểm của các khối u xương ác tính.
Có hai tổn thương dạng u có thể bắt chước ác tính và cần được đưa vào chẩn đoán phân biệt.
Đó là nhiễm trùng và u hạt bạch cầu ái toan.
Cả hai thực thể này đều có thể có kiểu phát triển xâm lấn.
Images
- Osteosarcoma
- Osteomyelitis
- Eosinophilic granuloma
Nhiễm trùng và u hạt tăng bạch cầu ái toan
Nhiễm trùng và u hạt tăng bạch cầu ái toan là những trường hợp ngoại lệ vì chúng là các tổn thương lành tính nhưng có thể bắt chước một khối u xương ác tính do hành vi sinh học xâm lấn của chúng.
Những tổn thương này có thể có bờ không rõ ràng, nhưng cũng có thể thấy hình ảnh phá hủy vỏ xương và phản ứng màng xương kiểu xâm lấn.
Periosteal reaction
Phản ứng màng xương là một phản ứng không đặc hiệu và sẽ xảy ra bất cứ khi nào màng xương bị kích thích bởi khối u ác tính, khối u lành tính, nhiễm trùng hoặc chấn thương.
Có hai dạng phản ứng màng xương: dạng lành tính và dạng xâm lấn.
Dạng lành tính được thấy trong các tổn thương lành tính như u lành tính và sau chấn thương.
Dạng xâm lấn được thấy trong các khối u ác tính, nhưng cũng xuất hiện trong các tổn thương lành tính có hành vi xâm lấn, chẳng hạn như nhiễm trùng và u hạt bạch cầu ái toan.
Loạn sản xơ, U sụn nội xương, Khiếm khuyết xơ vỏ xương và Nang xương đơn độc là các tổn thương xương thường gặp.
Chúng sẽ không biểu hiện phản ứng màng xương trừ khi có gãy xương.
Nếu không có gãy xương, các khối u xương này có thể được loại trừ.
Phản ứng màng xương lành tính
Phát hiện phản ứng màng xương lành tính có thể rất hữu ích, vì các tổn thương ác tính không bao giờ gây ra phản ứng màng xương lành tính.
Loại phản ứng màng xương lành tính là sự hình thành can xương dày, gợn sóng và đồng đều do kích thích mãn tính.
Trong trường hợp các tổn thương lành tính phát triển chậm, màng xương có thời gian để tạo ra xương mới dày và tái tạo lại thành vỏ xương có hình dạng bình thường hơn.
Hình ảnh
Phản ứng màng xương lành tính trong u xương dạng xương.
Mũi tên lớn chỉ phản ứng màng xương đặc.
Mũi tên nhỏ chỉ ổ tổn thương trung tâm.
Phản ứng màng xương xâm lấn
Loại viêm màng xương này có cấu trúc nhiều lớp, dạng tấm hoặc biểu hiện sự hình thành xương vuông góc với xương vỏ.
Có thể có dạng gai nhọn và bị gián đoạn – đôi khi xuất hiện tam giác Codman.
Tam giác Codman đề cập đến sự nâng cao của màng xương ra khỏi vỏ xương, tạo thành một góc tại nơi màng xương bị nâng lên và xương gặp nhau.
Trong viêm màng xương xâm lấn, màng xương không có đủ thời gian để cốt hóa.
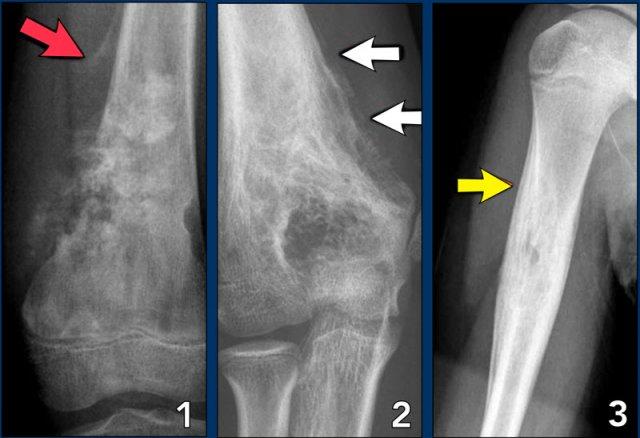
Aggressive periosteal reaction (2)
- Ung thư xương (Osteosarcoma) với phản ứng màng xương gián đoạn và tam giác Codman ở phần gần (mũi tên đỏ).
Có sự hình thành xương màng xương vuông góc với xương vỏ và sự hình thành chất nền xương lan rộng do chính khối u tạo ra. - Ewing sarcoma với phản ứng màng xương dạng lớp mỏng và gián đoạn khu trú. (mũi tên trắng)
- Nhiễm trùng với phản ứng màng xương nhiều lớp.
Lưu ý rằng viêm màng xương có tính chất xâm lấn, nhưng không xâm lấn như trong hai trường hợp còn lại.
Cortical destruction
Phá hủy vỏ xương là một dấu hiệu thường gặp và không hữu ích lắm trong việc phân biệt tổn thương ác tính và lành tính.
Phá hủy hoàn toàn có thể gặp trong các tổn thương ác tính độ cao, nhưng cũng có thể gặp trong các tổn thương lành tính xâm lấn tại chỗ như u hạt bạch cầu ái toan (EG) và viêm tủy xương.
Phá hủy vỏ xương đồng đều hơn có thể gặp trong các tổn thương lành tính và ác tính độ thấp.
Hiện tượng khoét lõm nội màng xương có thể gặp trong các tổn thương lành tính như loạn sản xơ và sarcoma sụn độ thấp.
Images
- Osteosarcoma
Irregular cortical destruction - Sarcôm Ewing
Phá hủy vỏ xương (mũi tên xanh) và phản ứng màng xương xâm lấn (đầu mũi tên).
Phồng xương
Phồng xương là một dạng đặc biệt của sự phá hủy vỏ xương.
Trong phồng xương, sự phá hủy xương vỏ nội màng xương và sự hình thành xương mới ở bên ngoài xảy ra với tốc độ tương đương nhau, dẫn đến sự giãn nở.
‘Vỏ xương mới’ này có thể nhẵn và liên tục, nhưng cũng có thể bị gián đoạn khu trú trong các tổn thương xâm lấn hơn như u tế bào khổng lồ.
Images
- U sợi sụn nhầy
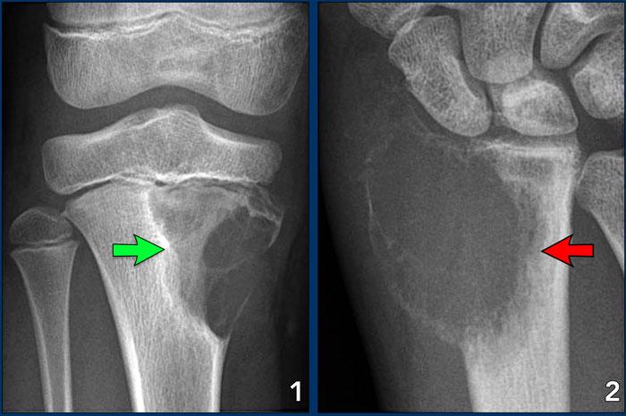
Một tổn thương lành tính, giới hạn rõ, dạng giãn nở với sự phá hủy vỏ xương có quy tắc và một lớp xương mới ở ngoại vi. - U tế bào khổng lồ
Tổn thương xâm lấn tại chỗ với phá hủy vỏ xương, giãn rộng và một lớp xương mới mỏng, gián đoạn ở ngoại vi.
Lưu ý vùng chuyển tiếp rộng về phía khoang tủy, đây là dấu hiệu của hành vi xâm lấn (mũi tên đỏ).

Ewing’s sarcoma with permeative growth through the haversian channels accompanied by a large soft tissue mass
Phá hủy vỏ xương (3)
Trong nhóm u ác tính tế bào tròn nhỏ bao gồm sarcoma Ewing, u lympho xương và sarcoma xương tế bào nhỏ, vỏ xương có thể trông gần như bình thường trên X-quang, trong khi khối u phát triển thấm nhuận qua các ống Havers.
Những khối u này có thể đi kèm với một khối mô mềm lớn trong khi hầu như không có dấu hiệu phá hủy xương nào có thể nhìn thấy được.
Images
- Sarcôm Ewing
Phim X-quang không cho thấy bất kỳ dấu hiệu nào của sự phá hủy vỏ xương. - MRI cho thấy khối u lớn trong xương và sự phát triển thấm nhiễm qua các ống Havers kèm theo một khối mô mềm lớn, hầu như không nhìn thấy trên X-quang.
Vị trí trong hệ xương
Vị trí của tổn thương xương trong hệ xương có thể là một gợi ý trong chẩn đoán phân biệt.
Hình minh họa bên trái cho thấy các vị trí ưu tiên của những u xương thường gặp nhất.
Ở một số vị trí, chẳng hạn như ở xương cánh tay hoặc quanh khớp gối, hầu hết các loại u xương đều có thể được tìm thấy.
Top five location of bone tumors in alphabethic order:
Nang xương phình mạch – xương chày, xương đùi, xương mác, cột sống, xương cánh tay
U nguyên bào men – thân xương chày, xương hàm dưới
U nguyên bào sụn – xương đùi, xương cánh tay, xương chày, xương cổ chân (gót), xương bánh chè
U sợi sụn nhầy – xương chày, xương đùi, xương cổ chân, đốt ngón chân, xương mác
Ung thư sụn – xương đùi, xương sườn, xương chậu, xương cánh tay, xương chày
U dây sống – vùng cùng cụt, vùng bướm chẩm, cổ, thắt lưng, ngực
U hạt bạch cầu ái toan – xương đùi, hộp sọ, xương chậu, xương sườn, đốt sống
U sụn trong xương – đốt ngón tay và ngón chân, xương đùi, xương cánh tay, xương đốt bàn tay, xương sườn
Sarcoma Ewing – xương đùi, xương chậu, xương mác, xương sườn, xương chày
Loạn sản xơ – xương đùi, xương chày, xương sườn, hộp sọ, xương cánh tay
U tế bào khổng lồ – xương đùi, xương chày, xương mác, xương cánh tay, đầu dưới xương quay
U mạch máu – cột sống, xương sườn, xương vùng sọ mặt, xương đùi, xương chày
U lympho – xương đùi, xương chày, xương cánh tay, xương chậu, đốt sống
Di căn xương – đốt sống, xương sườn, xương chậu, xương đùi, xương cánh tay
U sợi không hóa xương – xương chày, xương đùi, xương mác, xương cánh tay
U xương dạng xương – xương đùi, xương chày, cột sống, xương cổ chân, đốt ngón
U nguyên bào xương – cột sống, xương cổ chân (gót), xương đùi, xương chày, xương cánh tay
U sụn xương – xương đùi, xương cánh tay, xương chày, xương mác, xương chậu
Viêm tủy xương – xương đùi, xương chày, xương cánh tay, xương mác, xương quay
Sarcoma xương – xương đùi, xương chày, xương cánh tay, xương mác, xương chậu
Nang xương đơn độc – đầu trên xương cánh tay, đầu trên xương đùi, xương gót, xương chậu
Location: epiphysis – metaphysis – diaphysis
- Đầu xương (Epiphysis)
Chỉ có một số ít tổn thương nằm ở đầu xương, do đó đây có thể là một dấu hiệu quan trọng.
Ở bệnh nhân trẻ tuổi, khả năng cao là u nguyên bào sụn (chondroblastoma) hoặc nhiễm trùng.
Ở bệnh nhân trên 20 tuổi, cần đưa u tế bào khổng lồ vào chẩn đoán phân biệt.
Ở bệnh nhân lớn tuổi hơn, cần bổ sung thêm nang xương dưới sụn thoái hóa (geode) vào chẩn đoán phân biệt.
Cần quan sát kỹ các dấu hiệu của thoái hóa khớp. - Hành xương
U xơ không cốt hóa, Nang xương đơn độc, U xơ sụn dạng myxoid, Ung thư xương, Ung thư sụn, U sụn nội xương và nhiễm trùng. - Thân xương
Sarcoma Ewing, Nang xương đơn độc (SBC), Nang xương phình mạch (ABC), U sụn nội xương, Loạn sản xơ và U nguyên bào xương.
Việc phân biệt vị trí thân xương và vị trí hành xương không phải lúc nào cũng có thể thực hiện được.
Nhiều tổn thương có thể xuất hiện ở cả hai vị trí hoặc di chuyển từ hành xương đến thân xương trong quá trình tăng trưởng.
Các tổn thương lớn có xu hướng lan rộng vào cả hai vùng.
Location: centric – eccentric – juxtacortical
- Vị trí trung tâm trong xương dài
Nang xương đơn độc (SBC), u hạt bạch cầu ái toan, loạn sản xơ, nang xương phình mạch (ABC) và u sụn nội xương là những tổn thương nằm ở vị trí trung tâm trong xương dài. - Lệch tâm trong xương dài
Osteosarcoma, u xơ không cốt hóa (NOF), u nguyên bào sụn (chondroblastoma), u sợi sụn nhầy (chondromyxoid fibroma), u tế bào khổng lồ (GCT) và u nguyên bào xương (osteoblastoma) có vị trí lệch tâm trong xương dài. - Vỏ xương
U xương dạng xương nằm trong vỏ xương và cần được phân biệt với viêm tủy xương. - Cạnh vỏ xương
U xương sụn. Vỏ xương phải kéo dài vào cuống của tổn thương.
Ung thư xương cạnh màng xương xuất phát từ màng xương.
- SBC: central diaphyseal
- NOF: eccentric metaphyseal
- SBC: central diaphyseal
- Osteoid osteoma: cortical
- Degenerative subchondral cyst: epiphyseal
- ABC: centric diaphyseal
Matrix
Vôi hóa hoặc khoáng hóa trong tổn thương xương có thể là một dấu hiệu quan trọng trong chẩn đoán phân biệt.
Có hai loại khoáng hóa:
- Chất nền sụn trong các khối u sụn như u sụn nội xương và ung thư sụn
- Chất nền xương (osteoid matrix) trong các khối u xương như u xương dạng xương (osteoid osteoma) và ung thư xương (osteosarcoma).
Chất nền sụn
Các vôi hóa trong u sụn có nhiều mô tả: vòng nhẫn và vòng cung, bỏng ngô, chấm khu trú hoặc dạng bông.
Images
- U sụn nội sinh (Enchondroma), tổn thương thường gặp nhất ở các đốt ngón tay.
- Sụn nhục ngoại vi, phát sinh từ u xương sụn (exostosis).
- Chondrosarcoma of the rib.
Chất nền xương (Osteoid matrix)
Sự vôi hóa trong các khối u xương dạng xương (osteoid) có thể được mô tả theo dạng cốt hóa bè xương trong các tổn thương lành tính tạo xương, và theo dạng đám mây hoặc dạng vô định hình không rõ ràng trong ung thư xương (osteosarcoma).
Xơ cứng cũng có thể mang tính phản ứng, ví dụ như trong sarcoma Ewing hoặc u lympho.
- trái
Hình thành xương dạng đám mây trong u xương ác tính (osteosarcoma).
Lưu ý phản ứng màng xương gián đoạn, xâm lấn (mũi tên). - phải
Hình thái xương hóa dạng bè trong u xương dạng xương.
Lưu ý ổ tiêu xương (mũi tên).
Polyostotic or multiple lesions
Hầu hết các khối u xương là tổn thương đơn độc.
Nếu có nhiều tổn thương hoặc tổn thương đa xương, chẩn đoán phân biệt cần phải được điều chỉnh.
Tổn thương đa ổ
U xơ không cốt hóa, loạn sản xơ, viêm tủy xương đa ổ, u sụn trong, u sụn xương, bạch cầu cấp và sarcoma Ewing di căn.
Nhiều u sụn trong được thấy trong bệnh Ollier.
Nhiều u sụn trong và u mạch máu được thấy trong hội chứng Maffucci.
Tổn thương đa ổ > 30 tuổi
Thường gặp: Di căn xương, đa u tủy xương, đa u sụn nội xương.
Ít gặp hơn: Loạn sản xơ, U nâu của cường cận giáp, Nhồi máu xương.
Gợi nhớ cho các tổn thương tiêu xương đa ổ: FEEMHI:
Loạn sản xơ (Fibrous dysplasia), u sụn trong xương (enchondromas), U hạt tăng bạch cầu ái toan (EG), Di căn và đa u tủy xương (Mets and myeloma), Cường cận giáp (Hyperparathyroidism), Nhiễm trùng (Infection).
Spine lesions
Here some typical examples of bone tumors in the spine.
- Hemangioma.
- Metastasis.
- Multiple myeloma.
- U tương bào: đốt sống dẹt.
Hình ảnh ‘Não Thu Nhỏ’ của u tương bào ở cột sống có tính chất đặc trưng bệnh lý đủ để không cần sinh thiết (9).
More examples
- ABC
- Chondrosarcoma
- Metastasis of breast cancer
- Osteoblastoma
Foot lesions
Here some typical examples of bone tumors in the foot:
- Geode or subchondral cyst in the navicular bone
- Geode or subchondral cyst in the tarsal bone
- Chondroblastoma in the tarsal bone
- X-ray and MRI of a chondroblastoma in the tarsal bone
- Chondroblastoma in the tarsal bone
- Aneurysmal bone cyst in the tarsal bone
- Chondroblastoma in the tarsal bone
- Chondromyxoid fibroma (CMF) in the calcaneus
- Same patient MRI
- CMF in the second metatarsal bone
- Ewing sarcoma in the calcaneus
- Glomus tumor
- Same patient MRI
Charity
Toàn bộ lợi nhuận của Radiology Assistant được chuyển đến Medical Action Myanmar, tổ chức được điều hành bởi Bác sĩ Nini Tun và Bác sĩ Frank Smithuis sr, người là giáo sư tại Đại học Oxford và cũng là anh trai của Robin Smithuis.
Nhấp vào đây để xem video của Medical Action Myanmar và nếu bạn thích Radiology Assistant, vui lòng hỗ trợ Medical Action Myanmar bằng một món quà nhỏ.


























