U thận ở trẻ em
U Wilms chiếm đại đa số các khối u thận ở trẻ nhỏ, và phẫu thuật cắt bỏ kết hợp hóa trị liệu tân bổ trợ là phương pháp điều trị được lựa chọn.
Hầu hết các khối u thận khác không thể phân biệt một cách đáng tin cậy với u Wilms trên hình ảnh, tuy nhiên một số đặc điểm có thể gợi ý chẩn đoán thay thế, trong một số trường hợp có thể dẫn đến quyết định điều chỉnh phác đồ điều trị hoặc thực hiện sinh thiết trước khi bắt đầu điều trị tiền phẫu.
Vai trò của chẩn đoán hình ảnh ở trẻ em có khả năng mắc khối u thận là trước tiên xác định xem khối đó có xuất phát từ thận hay không.
Bước tiếp theo là tìm kiếm các dấu hiệu gợi ý chẩn đoán thay thế thay vì u Wilms.
Bước cuối cùng là phân giai đoạn bệnh.
Trong bài viết này, chúng tôi sẽ thảo luận về các khối u thận thường gặp và một số khối u ít gặp hơn, đồng thời đề cập đến một số bệnh ác tính có thể biểu hiện như một khối u thận nguyên phát, như u lympho, u nguyên bào thần kinh và bệnh bạch cầu.
Giới thiệu
Vai trò của Chẩn đoán Hình ảnh
- Xác định xem khối đó có phải là khối thận hay không.
Trong hầu hết các trường hợp, siêu âm có thể xác định được khối xuất phát từ thận. Đặc biệt cần tìm kiếm dấu hiệu móng vuốt.
Đối với các khối lớn, việc xác định có thể khó khăn và MRI hoặc CT có thể giải quyết vấn đề này.
Một khối u nguyên bào thần kinh lớn chèn ép hoặc xâm lấn thận có thể trông giống như khối u thận. - Đây có phải là u Wilms hay có thể là bệnh lý khác?
Nếu là khối thận, thì trong hầu hết các trường hợp sẽ là u Wilms, đặc biệt ở nhóm tuổi từ 6 tháng đến chín tuổi. Để chẩn đoán phân biệt, cần tìm các dấu hiệu không điển hình của u Wilms, như hạch bạch huyết to nhiều (ung thư biểu mô tế bào thận hoặc u lympho) hoặc di căn gan và xương (u sarcom tế bào sáng). - Phân giai đoạn
Khi u Wilms là chẩn đoán có khả năng nhất, nhưng cũng như đối với các khối u khác, phân giai đoạn là bước tiếp theo.
Đặc biệt cần tìm kiếm huyết khối trong lòng mạch, di căn phổi (giai đoạn IV) và khối u ở thận đối bên (giai đoạn V)
Dấu hiệu móng vuốt
Dấu hiệu này trong các khối u thận có giá trị trong việc xác định khối u xuất phát từ thận, thay vì chỉ nằm kề cận thận và làm biến dạng đường viền thận.
Hình ảnh
U Wilms bên trái ở bé gái một tuổi.
Phần thận còn lại trải dài bao quanh khối u, tạo thành “dấu hiệu móng vuốt”.
Xử trí
Chẩn đoán hình ảnh đóng vai trò hạn chế trong việc xác định bản chất chính xác và hướng xử trí của khối u thận ở trẻ em, vì hầu hết các khối u thận ở trẻ em đều sẽ được phẫu thuật cắt bỏ và phần lớn là u Wilms.
Tuổi khởi phát là yếu tố dự báo loại khối u quan trọng hơn nhiều.
Trẻ từ 0–6 tháng tuổi
Ngoài u Wilms, chẩn đoán phân biệt bao gồm hai loại khối u xuất hiện chủ yếu ở trẻ nhũ nhi: u nguyên bào thận trung mô bẩm sinh và u rhabdoid của thận (MRTK). Cả hai loại khối u này đều được điều trị bằng phẫu thuật cắt bỏ nguyên phát. Do đó, các khối u thận ở trẻ dưới sáu tháng tuổi được ưu tiên phẫu thuật cắt bỏ nguyên phát nếu có thể.
Trẻ từ 6 tháng – 9 tuổi
Khối u thận ở trẻ em trong nhóm tuổi này được coi là u Wilms mà không cần xác nhận mô học.
>9 tuổi
Ở trẻ em trên 9 tuổi, trong hầu hết các trường hợp sẽ được thực hiện cắt thận nguyên phát.
Ung thư biểu mô tế bào thận (RCC) phổ biến hơn u Wilms trong nhóm tuổi này.
Bảng này tóm tắt các đặc điểm của các khối u thận ở trẻ em.
Một số khối u thận ở trẻ em có thể được phân biệt với u Wilms dựa trên các đặc điểm lâm sàng và hình ảnh học.
- U Wilms thường rất lớn khi được phát hiện. Đây là chẩn đoán có khả năng nhất, đặc biệt khi có khối u hai bên, xâm lấn tĩnh mạch hoặc di căn phổi.
- Bệnh nguyên bào thận (Nephroblastomatosis) xảy ra thường xuyên nhất ở trẻ sơ sinh và được đặc trưng bởi nhiều khối dưới bao thận hai bên, thường kết hợp với u Wilms.
- Ung thư biểu mô tế bào thận hiếm gặp ở trẻ em, ngoại trừ khi liên quan đến hội chứng von Hippel–Lindau, và thường xuất hiện ở thập kỷ thứ hai của cuộc đời.
- U nguyên bào thận trung mô bẩm sinh (CMN) là khối u thận phổ biến nhất trong giai đoạn sơ sinh và là khối u thận lành tính thường gặp nhất ở trẻ em. Hình ảnh xoáy nước của khối u trên siêu âm có thể gợi ý u nguyên bào thận trung mô bẩm sinh.
- U rhabdoid được phân biệt bởi sự kết hợp với các khối u nội sọ đồng thời.
- Các khối u thận dạng nang nhiều thùy bao gồm u thận dạng nang (cystic nephroma) và u nguyên bào thận dạng nang biệt hóa một phần (CPDN). Chẩn đoán được gợi ý bởi một khối lớn gồm nhiều nang và không có mô đặc dạng nốt. Điều trị là phẫu thuật cắt bỏ.
- U sarcom tế bào sáng của thận (CCSK) được biết đến với xu hướng di căn xương, một vị trí di căn hiếm gặp của u Wilms.
- U mỡ cơ mạch (Angiomyolipoma) chứa mô mỡ và liên quan đến bệnh xơ cứng củ (tuberous sclerosis).
- Ung thư biểu mô tủy thận xảy ra ở bệnh nhân mang hồng cầu hình liềm hoặc bệnh huyết sắc tố SC và biểu hiện là khối xâm lấn kèm di căn.
- Khối u thận hóa xương ở trẻ nhũ nhi (ORTI) được phân biệt với u nguyên bào thận trung mô bằng sự hiện diện của các thành phần hóa xương. Khối u thoát vị vào bể thận và có hình ảnh tương tự sỏi san hô.
- U tuyến thận trung thận (Metanephric adenoma) không có đặc điểm đặc hiệu nhưng luôn có ranh giới rõ.
- U lympho thận được đặc trưng bởi nhiều khối đồng nhất, thường kèm theo hạch bạch huyết to.
U nguyên bào thận (Wilms tumor)
Hơn 90% các khối u thận ở trẻ em là u Wilms, còn gọi là u nguyên bào thận (nephroblastoma). U Wilms thường gặp ở trẻ em trong độ tuổi từ 6 tháng đến chín tuổi, với đỉnh tần suất mắc bệnh từ 2 đến 3 tuổi.
U Wilms thường có kích thước rất lớn tại thời điểm chẩn đoán ban đầu, và trẻ thường đến khám vì bụng căng phồng.
Trẻ mắc u Wilms thường không có biểu hiện bệnh nặng.
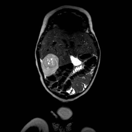
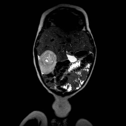
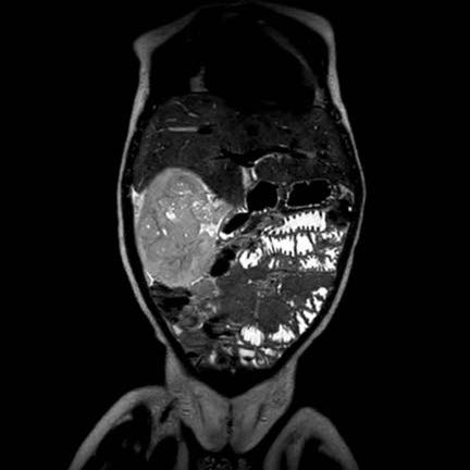
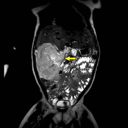
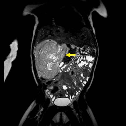
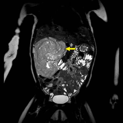
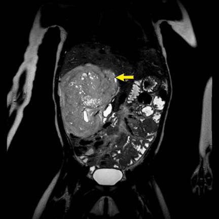
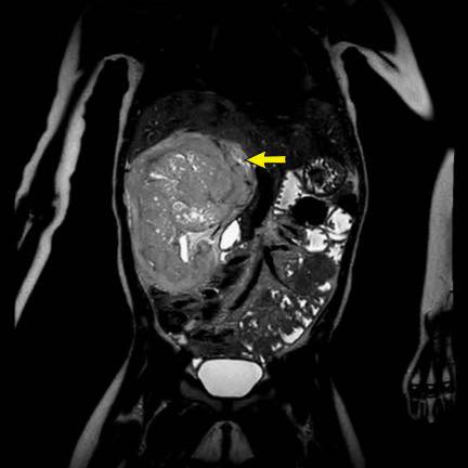
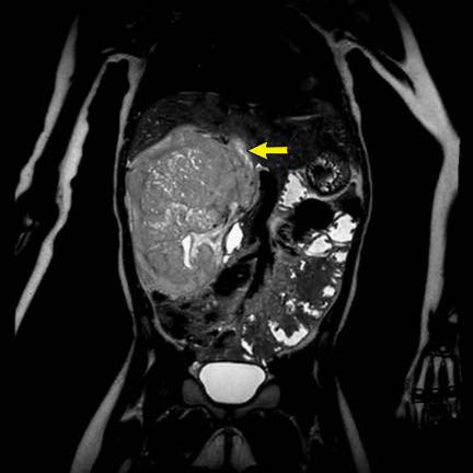
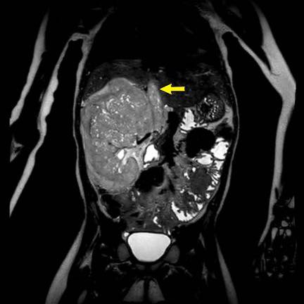
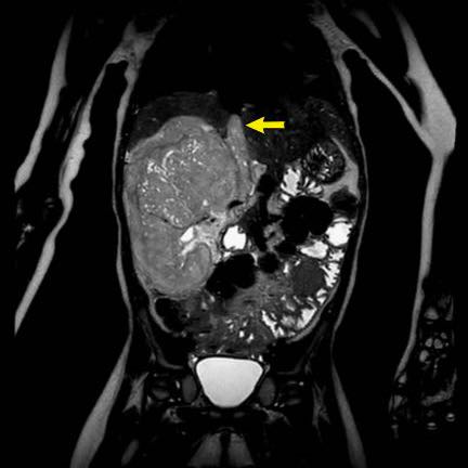
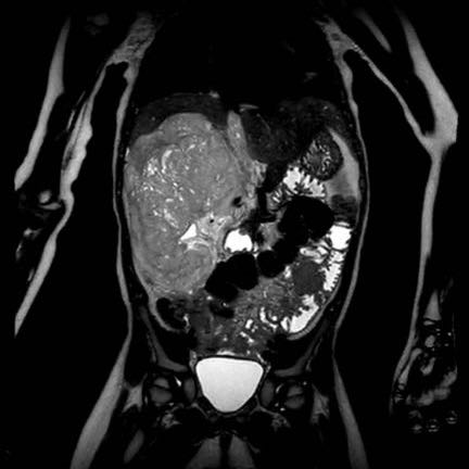
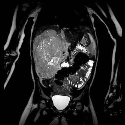
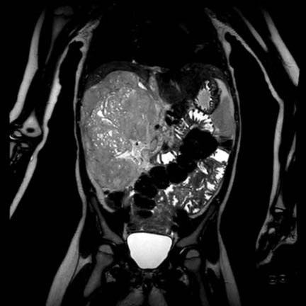
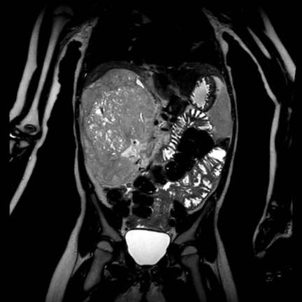
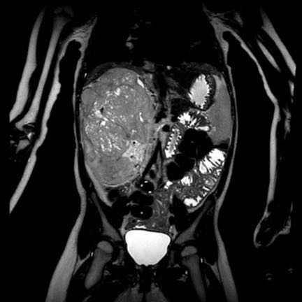
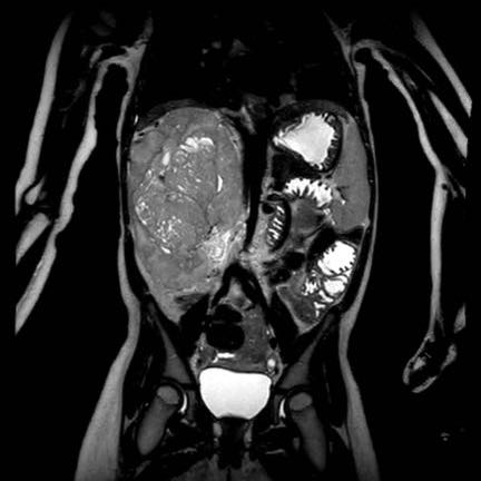
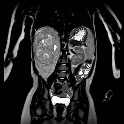
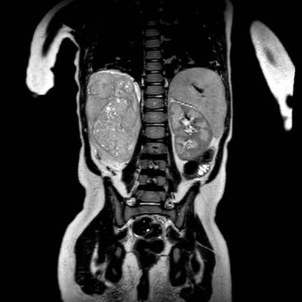
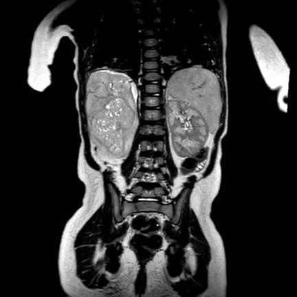
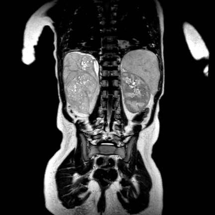
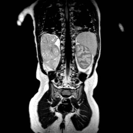
Ca lâm sàng 1
Hình ảnh chuỗi xung T2W mặt phẳng coronal cho thấy một khối u không đồng nhất ở thận trái với các thành phần nang nhỏ.
Khối u ngấm thuốc kém hơn so với phần nhu mô thận bình thường còn lại ở ngoại vi.
Các thành phần đặc của khối u cho thấy hạn chế khuếch tán rõ rệt (mũi tên).
Đây là u Wilms ở bé trai năm tuổi. Hóa trị tiền phẫu được thực hiện theo phác đồ Umbrella của SIOP-RTSG, sau đó tiến hành cắt thận.
Hội chứng Beckwith-Wiedemann
Các khối u nhỏ hơn có thể được phát hiện khi triệu chứng khởi phát là đái máu, đau bụng, hoặc tăng huyết áp kèm đau đầu, hoặc trong quá trình sàng lọc bằng siêu âm ở trẻ mắc các hội chứng có nguy cơ cao phát triển u nguyên bào thận, như hội chứng Beckwith-Wiedemann, WAGR, hội chứng Perlman, DICER 1 và hội chứng Li-Fraumeni.
U nguyên bào thận hai bên thường liên quan đến yếu tố di truyền hoặc hội chứng bệnh lý.
Các khối u nhỏ thường có cấu trúc đồng nhất và tăng âm.
Các khối u lớn hơn thường không đồng nhất hơn với các thành phần nang hoại tử và xuất huyết.
10% u nguyên bào thận có vôi hóa mịn.
Phổi là vị trí di căn thường gặp nhất.
Di căn gan và xương hiếm gặp.
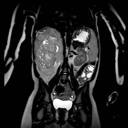
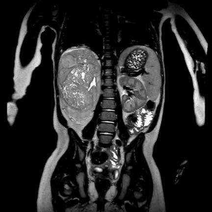
Ca lâm sàng 2
Đây là bé trai hai tuổi mắc hội chứng Beckwith-Wiedemann.
Siêu âm sàng lọc phát hiện một khối u nhỏ đồng nhất ở phần thận trái của thận móng ngựa.
Đặc điểm hình ảnh MRI
U Wilms thường không đồng nhất, giảm tín hiệu trên chuỗi xung T1W và tăng tín hiệu trên chuỗi xung T2W.
Các thành phần nang hoại tử thường hiện diện.
Ngấm thuốc tương phản từ Gadolinium không đồng nhất và kém hơn so với nhu mô thận bình thường.
Các thành phần đặc của khối u sẽ biểu hiện hạn chế khuếch tán.
Dấu hiệu xuất huyết thường gặp. Các vùng xuất huyết cũng có thể biểu hiện hạn chế khuếch tán, do đó cần đánh giá chuỗi xung T1W để tìm dấu hiệu chảy máu.
MRI có thể hiển thị rõ ràng huyết khối u trong tĩnh mạch thận và tĩnh mạch chủ dưới, cũng như tình trạng hạch bạch huyết to. Phương pháp này cho phép đo đạc chính xác và có thể lặp lại kích thước khối u theo ba chiều, trên cả hình ảnh ban đầu và các lần theo dõi sau.
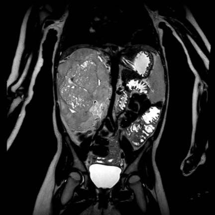
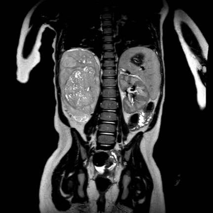
Ca lâm sàng 3
Hình ảnh MRI này của bé gái ba tuổi có khối u thận phải.
Cuộn xem qua các lát cắt chuỗi xung T2W mặt phẳng coronal.
Có một huyết khối u lớn lan từ tĩnh mạch thận vào tĩnh mạch chủ dưới (mũi tên).
Tiếp tục xem hình ảnh siêu âm…
Đây là hình ảnh siêu âm ban đầu của cùng bệnh nhân, cho thấy khối u và huyết khối u.
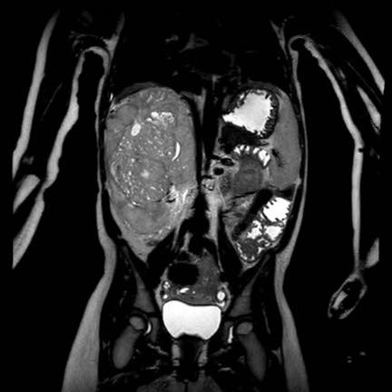
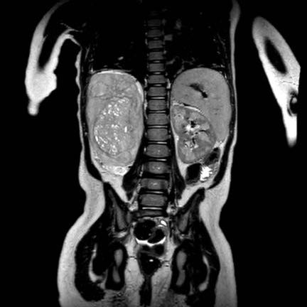
Ca lâm sàng 4
Video này của bé gái ba tuổi có khối lớn ở hố thắt lưng phải.
Siêu âm với đầu dò tần số cao cho thấy khối u xuất phát từ thận phải.
Phần đài bể thận còn lại bị giãn, đây là trường hợp thường gặp.
Tiếp tục xem hình ảnh MRI…
Hình ảnh MRI cho thấy mức độ lan rộng của khối u.
Lưu ý huyết khối u trong tĩnh mạch chủ dưới.
Khi đã xác định chắc chắn nguồn gốc thận của khối u, cần khảo sát kỹ thận đối bên để tìm khối u hoặc tình trạng u nguyên bào thận lan tỏa (nephroblastomatosis) (xem bên dưới).
Tìm kiếm các hạch bạch huyết cạnh động mạch chủ bị to.
Sử dụng Doppler màu để đánh giá sự thông thoáng của tĩnh mạch thận và tĩnh mạch chủ dưới, vì u Wilms có xu hướng xâm lấn vào tĩnh mạch thận và tĩnh mạch chủ dưới.
Phát hiện di căn gan cần thúc đẩy xem xét các chẩn đoán phân biệt khác.
Phân giai đoạn và phẫu thuật
Phẫu thuật là nền tảng trong điều trị u Wilms.
Nhóm Ung thư Nhi khoa (COG) tại Bắc Mỹ khuyến nghị phẫu thuật trước hóa trị, trong khi SIOP tại châu Âu đề xuất hóa trị tiền phẫu.
Cũng như nhóm SIOP, Nhóm Nghiên cứu U Wilms Quốc gia (NWTSG) lo ngại về việc sinh thiết trước do nguy cơ nâng giai đoạn khối u.
SIOP khuyến nghị hóa trị tiền phẫu nhằm giảm nguy cơ vỡ khối u trong phẫu thuật, hạ giai đoạn khối u và giảm nhu cầu xạ trị.
Ưu điểm của hóa trị tiền phẫu là giúp xác định phân nhóm mô học ưu thế nguyên bào kháng hóa chất nguy cơ cao, vốn cần được tăng cường điều trị.
Đây là phiên bản tóm tắt của hệ thống phân giai đoạn u Wilms.
Nephroblastomatosis
Thận có thể chứa các mầm thận (nephrogenic rest), là mô phôi thai còn tồn tại.
Khi có nhiều mầm thận cùng hiện diện, tình trạng này được gọi là nephroblastomatosis.
Hầu hết các mầm thận tự thoái triển, tuy nhiên chúng có thể chuyển dạng thành u Wilms.
Trên siêu âm, u Wilms khó phát hiện do các tổn thương này thường có độ hồi âm tương tự vỏ thận.
Hình ảnh
Nephroblastomatosis dai dẳng ở một bé trai bảy tuổi đã được điều trị u Wilms cách đây năm năm. Quan sát thấy một viền mô tăng hồi âm ở ngoại vi. Các tổn thương tồn dư này được theo dõi bằng siêu âm định kỳ cho đến năm năm sau điều trị.
Kỹ thuật hình ảnh vi dòng chảy (microflow imaging) có thể hỗ trợ xác định các vùng giảm tưới máu trong nephroblastomatosis.
Hình ảnh
Bé trai hai tuổi có u Wilms ở thận trái và nephroblastomatosis hai bên. Trên hình ảnh màu vi dòng chảy, vùng tổn thương có tưới máu kém hơn so với mô thận bình thường.
Tiếp tục xem các hình ảnh MRI…
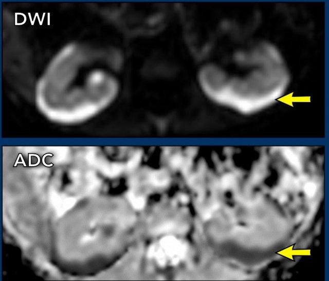
Trên MRI, nephroblastomatosis được quan sát rõ nhất trên các chuỗi xung sau tiêm thuốc tương phản từ và chuỗi xung khuếch tán (DWI).
Hình ảnh
Các hình ảnh MRI của cùng bệnh nhân cho thấy tình trạng giảm tưới máu của mô bệnh lý và hạn chế khuếch tán mạnh với giá trị ADC thấp.
Bệnh nhân được điều trị hóa trị liệu tiền phẫu, sau đó khối u ở bên trái được cắt bỏ qua phẫu thuật cắt thận bán phần. Nephroblastomatosis lan tỏa được điều trị bằng phác đồ hóa trị AV (Actinomycin D và Vincristin) hàng tháng trong một năm.
U nguyên bào thận bẩm sinh (Congenital mesoblastic nephroma)
U nguyên bào thận bẩm sinh hầu như luôn là khối u thận lành tính và có thể được phát hiện trước sinh.
Đây là khối u thận thường gặp nhất ở trẻ sơ sinh và phần lớn được phát hiện trước một tuổi.
Tuổi của bệnh nhân còn rất nhỏ là yếu tố gợi ý mạnh mẽ cho loại u này.
Trên hình ảnh học, không có đặc điểm rõ ràng nào để phân biệt u nguyên bào thận bẩm sinh với u Wilms, mặc dù hình ảnh xoáy cuộn (whirlpool) của khối u trên siêu âm có thể gợi ý u nguyên bào thận bẩm sinh.
Khối u được điều trị bằng phẫu thuật cắt thận.
Video
Ở một bé trai sơ sinh, bác sĩ sản khoa sờ thấy một khối u ở bụng.
Siêu âm cho thấy một khối lớn ở cực trên thận phải. Đoạn video gợi ý hình ảnh xoáy cuộn ở một phần của khối u.
Tiếp tục với hình ảnh MRI.
MRI
Khối u có cường độ tín hiệu tương tự mô thận bình thường trên tất cả các chuỗi xung.
Mức độ ngấm thuốc tương phản từ của khối u cũng tương đương với phần nhu mô thận còn lại.
Thận đã được phẫu thuật cắt bỏ và kết quả giải phẫu bệnh xác nhận là u nguyên bào thận.
Khối u thận dạng nang đa thùy
Khối u thận dạng nang đa thùy là một tổn thương dễ gây nhầm lẫn.
Tổn thương này có thể là u thận dạng nang lành tính, hoặc u nguyên bào thận dạng nang biệt hóa một phần ác tính.
Chỉ có nhà giải phẫu bệnh mới có thể phân biệt được hai thể này.
Bác sĩ chẩn đoán hình ảnh cần phân biệt các khối u dạng nang đa thùy xuất phát từ thận với sự bảo tồn một phần mô thận bình thường, với thận loạn sản đa nang trong đó không còn thấy mô thận bình thường.
Hình ảnh
Siêu âm và MRI của bé trai bốn tuổi với tổn thương dạng nang đa thùy ở vùng cực giữa thận trái (mũi tên).
Tổn thương được phát hiện tình cờ khi bé được chín tháng tuổi. Trong quá trình theo dõi, không ghi nhận sự thay đổi nào. Tổn thương phù hợp với u thận dạng nang, một tình trạng lành tính.
Tổn thương tương tự được quan sát trên ảnh chuỗi xung T2W mặt phẳng ngang.
Các hình ảnh này thuộc về bé gái một tuổi.
Trên siêu âm, ghi nhận một khối u đa nang với tín hiệu tưới máu ở các vách ngăn.
Hình ảnh chuỗi xung T2W cho thấy rõ hơn phạm vi của tổn thương. Có thể quan sát thấy phần mô thận bình thường còn lại ở cực dưới, giúp phân biệt tổn thương này với thận loạn sản đa nang.
Khối u này được chẩn đoán là u thận dạng nang, và bệnh nhân đã được phẫu thuật cắt thận phải.
Thận loạn sản đa nang
Bé trai 8 tháng tuổi với hình ảnh thận loạn sản đa nang.
Trên siêu âm, ghi nhận nhiều nang và không quan sát thấy mô thận bình thường.
Không cần thực hiện thêm các phương pháp chẩn đoán hình ảnh bổ sung.
Thông thường, siêu âm theo dõi được thực hiện để xác nhận sự thoái triển của thận loạn sản đa nang (MCDK) theo thời gian và để phát hiện các bất thường ở thận đối bên (chiếm 30% các trường hợp).
U rhabdoid ác tính của thận
U rhabdoid ác tính của thận là một khối u có tính ác tính cao với tiên lượng xấu.
Di căn xa tại thời điểm chẩn đoán là phổ biến, bao gồm di căn đến phổi, gan, não, hạch bạch huyết và hệ xương.
U rhabdoid thận có thể xuất hiện đồng thời với u não nguyên phát, có thể là u rhabdoid dạng quái thai không điển hình nguyên phát (ATRT), ngoài ra các u khác như u nguyên bào tủy và u màng nội tủy cũng đã được ghi nhận.
Không có đặc điểm hình ảnh nào giúp phân biệt rõ ràng với u Wilms, tuy nhiên cần nghĩ đến u rhabdoid khi khối u tương đối nhỏ với kiểu phát triển xâm lấn, giảm tín hiệu trên chuỗi xung T2W và có hạn chế khuếch tán.
Mặc dù u rhabdoid được ghi nhận có thể có tụ dịch dưới bao thận, biểu hiện này cũng có thể xảy ra như một dạng biểu hiện không điển hình trong u Wilms; tuy nhiên về số lượng tuyệt đối, các ổ tụ dịch này gặp nhiều hơn trong u Wilms so với u rhabdoid.
Hình ảnh minh họa
Bé gái 2 tuần tuổi nhập viện với khối u ở thận trái.
MRI não tại thời điểm chẩn đoán ban đầu cho thấy các tổn thương nhỏ, có thể là di căn (mũi tên).
MRI thực hiện bốn tuần sau đó cho thấy nhiều tổn thương di căn não và hộp sọ.
Bệnh nhân tử vong hai tuần sau đó.
Sarcôm tế bào sáng của thận
Sarcôm tế bào sáng của thận là bệnh lý hiếm gặp, chiếm khoảng 3% các khối u thận ở trẻ em.
Tỷ lệ sống sót sau 5 năm vào khoảng 80%, tuy nhiên tiên lượng xấu hơn ở trẻ dưới một
tuổi.
Khối u có xu hướng di căn vào xương.
Sự kết hợp giữa khối u thận và di căn xương
cần gợi ý đến chẩn đoán sarcôm tế bào sáng.
Các đặc điểm hình ảnh thường không đặc hiệu, tuy nhiên các dấu hiệu gợi ý
là những khối u này thường đồng nhất với hạn chế khuếch tán không đáng kể.
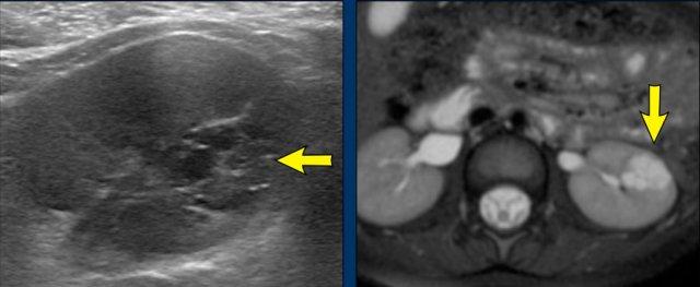
Video
Bé trai 10 tháng tuổi nhập viện vì khối u vùng bụng. Siêu âm ghi nhận khối u ở thận phải. Tổn thương được thể hiện rõ hơn trên MRI. Phần thận còn lại có hệ thống đài bể thận giãn.
Trên hình ảnh ADC, ghi nhận hạn chế khuếch tán không đáng kể.
Kết quả giải phẫu bệnh xác nhận sarcôm tế bào sáng của thận.
Trên hình ảnh ADC, ghi nhận hạn chế khuếch tán không đáng kể.
Khối u ban đầu được nghĩ đến là u Wilms do mức độ hạn chế khuếch tán không đáng kể, tuy nhiên kết quả giải phẫu bệnh xác nhận đây là sarcôm tế bào sáng của thận.
Ung thư biểu mô tế bào thận
Ung thư biểu mô tế bào thận (RCC) là khối u thận phổ biến thứ hai ở trẻ em.
RCC hiếm gặp ở trẻ nhỏ và chủ yếu xảy ra ở trẻ trên 10 tuổi.
Bệnh cũng có thể gặp ở bệnh nhân mắc bệnh von Hippel-Lindau, Phức hợp Xơ cứng củ (Tuberous Sclerosis Complex), hoặc sau khi điều trị các bệnh ác tính trước đó (ví dụ: U nguyên bào thần kinh hoặc Bạch cầu cấp).
Hình ảnh
Bệnh nhi nam 9 tuổi nhập viện vì đái máu đại thể nặng.
Thăm khám lâm sàng phát hiện khối ở bụng trái.
Siêu âm cho thấy một khối chủ yếu đặc, có vẻ xâm lấn vào hệ thống đài bể thận giãn rộng.
Trên hình ảnh học, ung thư biểu mô tế bào thận có thể biểu hiện theo nhiều dạng khác nhau.
Khối u có thể có thành phần đặc chiếm ưu thế hoặc chứa các thành phần nang, đồng nhất hoặc không đồng nhất.
Xuất huyết trong khối có thể xảy ra và khối u có thể chứa mô mỡ.
Kích thước khối u tương đối nhỏ kèm theo các mạch máu ngoại vi nổi bật gợi ý chẩn đoán RCC.
Chẩn đoán hình ảnh đóng vai trò thiết yếu trong phân giai đoạn bệnh; sự kết hợp giữa siêu âm, CT và MRI thường được sử dụng.
Video
MRI mô tả rõ ràng khối u ở thận trái. Lưu ý các tĩnh mạch bàng hệ lớn.
Do đái máu đại thể nặng, bệnh nhân được phẫu thuật cắt thận trái.
Kết quả giải phẫu bệnh xác nhận RCC đã được cắt bỏ hoàn toàn.
U lympho
Có hai loại u lympho chính: U lympho Hodgkin và U lympho không Hodgkin.
U lympho Hodgkin thường biểu hiện bằng hạch bạch huyết vùng cổ to và các khối trung thất.
Bệnh rất hiếm khi khu trú hoàn toàn ở ổ bụng.
U lympho không Hodgkin có thể khu trú đơn thuần ở ổ bụng và thường xuất phát từ một quai ruột.
U lympho không Hodgkin biểu hiện bệnh ngoài hạch thường xuyên hơn so với u lympho Hodgkin.
Tổn thương thận trong u lympho hiếm gặp, nhưng các đặc điểm hình ảnh cần tìm kiếm bao gồm: nhiều tổn thương khu trú đồng nhất, giảm âm trên siêu âm và hạn chế khuếch tán mạnh trên MRI. 5,6
Video
Siêu âm của bệnh nhi nam 3 tuổi. Hình ảnh cho thấy thâm nhiễm lan tỏa cả hai thận.
Ngoài ra, phát hiện nhiều khối giảm âm ở tụy, gan và ruột.
Sự kết hợp giữa tổn thương ruột và LDH huyết thanh tăng cao gợi ý mạnh mẽ chẩn đoán U lympho Burkitt. Chẩn đoán này được xác nhận bằng sinh thiết tủy xương và kỹ thuật đo tế bào dòng chảy (flow cytometry).
Bệnh Bạch Cầu (Leukemia)
Bệnh bạch cầu là bệnh ác tính thường gặp nhất ở trẻ em.
Bệnh có thể ảnh hưởng đến tất cả các tạng đặc trong ổ bụng.
Các tạng có thể bị thâm nhiễm lan tỏa hoặc biểu hiện dạng nốt.
Thận bị ảnh hưởng ở gần một nửa số bệnh nhân mắc bệnh bạch cầu lymphoblastic cấp tính.
Tổn thương có thể một bên hoặc hai bên, biểu hiện dưới dạng các tổn thương khu trú hoặc thâm nhiễm lan tỏa kèm theo thận to.
Dạng thâm nhiễm lan tỏa có hình ảnh khá điển hình với kiểu dải sọc quanh đài thận, tương tự như tổn thương thận trong bệnh u lympho ác tính (hình).
Hình ảnh
Bé trai 4 tháng tuổi nhập viện vì sốt và thiếu máu kèm giảm tiểu cầu. Siêu âm cho thấy thận hai bên to với nhiều tổn thương giảm âm và các bất thường dạng tuyến tính ở cả hai thận.
Ngoài ra còn ghi nhận hình ảnh hạch bạch huyết sau phúc mạc.
Bệnh ác tính huyết học, đặc biệt là bệnh bạch cầu, được nghi ngờ dựa trên sự kết hợp giữa các dấu hiệu hình ảnh và kết quả xét nghiệm.
Tiếp tục xem video…
Việc phân biệt u lympho ác tính và bệnh bạch cầu trên hình ảnh học là khó khăn khi có nhiều tổn thương ngoài tủy xương.
Do đó, chẩn đoán xác định thường dựa trên biểu hiện lâm sàng, kết quả xét nghiệm (thiếu máu và giảm tiểu cầu) và kết quả đo tế bào dòng chảy (flow cytometry).
Trong trường hợp này, chẩn đoán xác định là bệnh bạch cầu.
U nguyên bào thần kinh (Neuroblastoma)
Chẩn đoán phân biệt chính của u nguyên bào thận (nephroblastoma) là u nguyên bào thần kinh (neuroblastoma).
Các đặc điểm điển hình gợi ý u nguyên bào thần kinh bao gồm: vôi hóa – tạo ra hình ảnh siêu âm đặc trưng như được minh họa trong video – và hiện tượng bao quanh mạch máu mà không xâm lấn vào thành mạch.
Hiện tượng bao quanh mạch máu này khiến động mạch chủ và tĩnh mạch chủ bị đẩy ra phía trước.
Trên siêu âm, khối u thường không đồng nhất và tăng âm, với các vùng vôi hóa tăng sáng.
Trẻ mắc u nguyên bào thần kinh thường có tình trạng toàn thân rất nặng, trong khi trẻ mắc u Wilms thường không như vậy.
Nồng độ Axit Vanillyl Mandelic (VMA) và Axit HomoVanillic (HVA) trong nước tiểu trong hầu hết các trường hợp đều tăng cao.
Tại bệnh viện chúng tôi, các chỉ số này được kiểm tra ở tất cả trẻ em đến khám với chẩn đoán có khối u trong ổ bụng.
video
Bé gái 3 tuổi được chuyển từ bệnh viện tuyến dưới với chẩn đoán khối u thận trái. Siêu âm cho thấy một khối xuất phát từ thận trái. Khối u rất không đồng nhất với nhiều vùng vôi hóa, phù hợp với u nguyên bào thần kinh hơn là u nguyên bào thận.





















































