Ù tai có nhịp và không có nhịp
Bài viết này dựa trên tổng quan của Pegge và cộng sự, mô tả phương pháp tiếp cận có hệ thống trong quy trình chẩn đoán ù tai [1].
Chẩn đoán phân biệt được liên hệ với các phát hiện trên các phương thức chẩn đoán hình ảnh khác nhau.
Một sơ đồ lưu trình để lựa chọn phương thức chẩn đoán hình ảnh phù hợp trong ù tai mạch đập được cung cấp.
Giới thiệu và sơ đồ lưu trình
Ù tai được định nghĩa là cảm giác âm thanh có nguồn gốc nội tại, có thể ảnh hưởng đáng kể đến sức khỏe và khả năng thực hiện các hoạt động hàng ngày của người bệnh.
Trong ù tai mạch đập, cảm giác âm thanh lặp đi lặp lại đồng bộ với nhịp tim của bệnh nhân.
Tất cả các cảm giác âm thanh khác được xem là không mạch đập.
Ít hơn 10% bệnh nhân đến khám vì ù tai có biểu hiện ù tai mạch đập.
Trong khoảng 70% các trường hợp ù tai mạch đập, nguyên nhân tiềm ẩn có thể được xác định thông qua quy trình chẩn đoán phù hợp như được trình bày trong sơ đồ lưu trình.

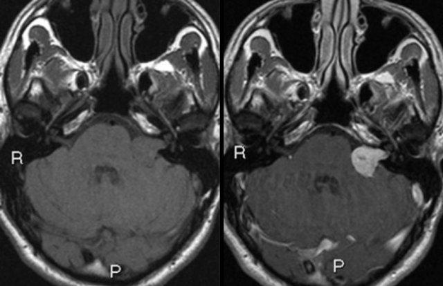
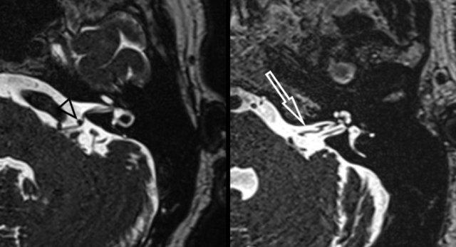
U schwannoma tiền đình bên trái. Hình ảnh cắt ngang chuỗi xung T1W không tiêm thuốc tương phản từ (trái) và có tiêm thuốc tương phản từ (phải).
Ù tai không mạch đập
Ù tai không mạch đập hầu như luôn mang tính chủ quan.
Nhiều tình trạng bệnh lý khác nhau có liên quan đến sự phát triển của ù tai không mạch đập, bao gồm nút ráy tai, viêm tai giữa, thuốc, mất thính lực do tiếng ồn, lão thính hoặc mất thính lực hai bên mạn tính, xuất huyết, thoái hóa thần kinh và hạ áp lực nội sọ tự phát [2].
MRI chỉ được khuyến cáo ở những bệnh nhân ù tai (không mạch đập) một bên kèm theo các bất thường thần kinh khu trú, hoặc mất thính lực không đối xứng [4].
Mục đích chính của chẩn đoán hình ảnh là xác định hoặc loại trừ tổn thương tại bể góc cầu tiểu não (ví dụ: u schwannoma tiền đình).
Các bất thường mê đạo có thể được xác định trên MRI, hỗ trợ chẩn đoán bệnh Ménière [3].
Ù tai theo nhịp mạch

+++ Tối ưu nhất, ++ tốt, + trung bình, ± dấu hiệu gián tiếp, – không phù hợp, LCH Mô bào Langerhans, ICA động mạch cảnh trong, FMD loạn sản xơ cơ mạch máu
Bệnh lý và chẩn đoán hình ảnh
Bạn có thể nhấp vào bảng để xem ở kích thước lớn hơn.
Để tầm soát bệnh lý nền và đánh giá khối mô mềm hoặc bệnh lý nội sọ, khuyến cáo thực hiện đánh giá ban đầu bằng MRI và chụp mạch cộng hưởng từ (MRA) với độ chính xác chẩn đoán cao đã được ghi nhận.
Để đánh giá bệnh lý xương của xương thái dương, phạm vi quét giới hạn với CT lát mỏng (dưới milimet) là đủ.
CTA đa đầu dò hoặc chụp tĩnh mạch CT (CTV) vùng đầu cổ có thể được thực hiện để đánh giá bệnh lý mạch máu.
CTA động học, còn được gọi là 4D-CTA, là kỹ thuật kết hợp tính chất không xâm lấn của CTA với khả năng thu nhận hình ảnh động của chụp mạch số hóa xóa nền (DSA).
Vai trò của chụp mạch quy ước (DSA) trong quy trình chẩn đoán ù tai theo nhịp mạch đã được thu hẹp, và chỉ nên được chỉ định để loại trừ bệnh lý mạch máu trong trường hợp MRI/MRA và CT/(4D-)CTA chưa xác định được nguyên nhân gây ù tai theo nhịp mạch.
Vai trò của siêu âm Doppler trong quy trình chẩn đoán ù tai theo nhịp mạch còn hạn chế, mặc dù siêu âm Doppler là công cụ tầm soát hiệu quả để đánh giá bệnh lý thành mạch của các động mạch cảnh, ví dụ như hẹp và tắc mạch.
Trong quá trình siêu âm, có thể thực hiện nghiệm pháp ép tay để khảo sát ảnh hưởng của việc ép lên triệu chứng ù tai.

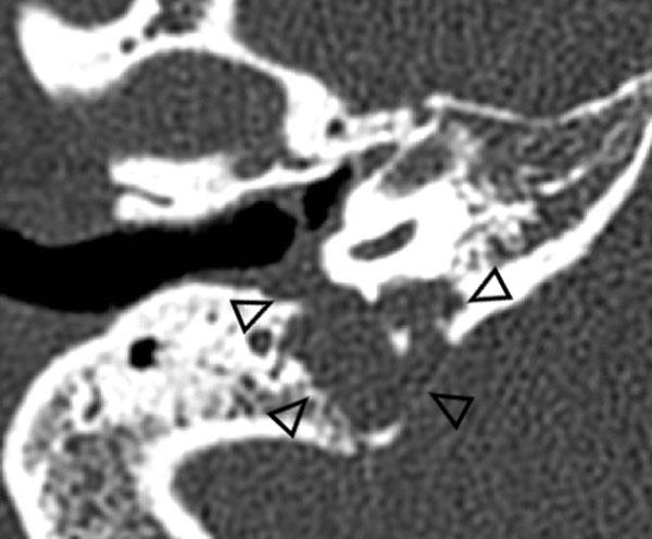
Xơ cứng tai: xương giảm tỷ trọng ở vùng fissula ante fenestram trong xơ cứng tai thể cửa sổ (trái). Xơ cứng tai thể ốc tai biểu hiện là một vùng hào quang giảm tỷ trọng bao quanh ốc tai trên CT (phải).
Bệnh lý xương thái dương
Các bệnh lý xương thái dương như xơ cứng tai, bệnh Paget và mô bào Langerhans (LCH) có thể gây ù tai theo nhịp mạch.
Xơ cứng tai (Otosclerosis)
Còn được gọi là xốp xương tai (otospongiosis), là một quá trình thâm nhiễm vô căn của xương đá.
Bệnh gây ra cả điếc tiếp âm và điếc dẫn truyền, và có thể là nguyên nhân gây ù tai theo nhịp mạch.
CT độ phân giải cao, lát mỏng thường cho thấy xương giảm tỷ trọng bất thường ở vùng fissula ante fenestram trong xơ cứng tai thể cửa sổ (trái).
Xơ cứng tai thể ốc tai
Biểu hiện là một vùng hào quang giảm tỷ trọng bao quanh ốc tai trên CT (phải).
Mô bào Langerhans (Langerhans cell histiocytosis)
Mô bào Langerhans (LCH) là một rối loạn lành tính hiếm gặp do tăng sinh dòng tế bào mô bào.
Các triệu chứng lâm sàng trong LCH phụ thuộc vào mức độ tổn thương xương và ngoài xương.
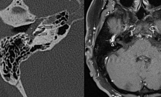
Hình ảnh chẩn đoán thường cho thấy tổn thương xương tiêu xương dạng xâm lấn kèm theo các khối mô mềm liên quan mà không có xơ cứng xung quanh.
Hình ảnh cho thấy tổn thương xương tiêu xương dạng xâm lấn kèm khối mô mềm xuất phát từ lỗ tĩnh mạch cảnh, được xác nhận là LCH.
U cận hạch (Paraganglioma)
Cả CT và MRI đều có thể được sử dụng để phát hiện và đánh giá u cận hạch.
Phần lớn u cận hạch màng nhĩ nằm ở ụ nhô (promontory) dưới dạng một khối mô mềm màng nhĩ nhỏ, bờ rõ.
Thông thường, không có hoặc có rất ít tiêu xương xung quanh.
Các khối u nhỏ này được đánh giá tốt nhất bằng CT lát mỏng với thuật toán xương.
CT trục bên trái cho thấy khối mô mềm ở tai giữa (mũi tên).
Không thấy tiêu xương rõ ràng.
MRI chuỗi xung T1W có tiêm thuốc tương phản từ kết hợp xóa mỡ trục bên phải cho thấy tổn thương ngấm thuốc mạnh (đầu mũi tên).
Di căn tăng sinh mạch hoặc u màng não
Các tổn thương xương tăng sinh mạch, như u máu xương, u màng não nền sọ, mô bào Langerhans, hoặc di căn xương, đã được mô tả là những nguyên nhân có thể gây ù tai theo nhịp mạch.
Bên trái là hình ảnh u màng não trên MRI.
Hình ảnh chuỗi xung T1W có tiêm thuốc tương phản từ trục ngang.
Khối ngấm thuốc nằm ở góc tiểu não-cầu não bên trái với phần kéo dài vào ống thần kinh hạ thiệt (mũi tên), mảnh tĩnh mạch cảnh (vòng tròn) và tai giữa (đầu mũi tên).
Hở ống mạch máu hoặc biến thể giải phẫu mạch máu
Ù tai do tĩnh mạch được nghe như một tiếng thổi liên tục tăng lên trong thì tâm thu.
Có vẻ có mối liên quan với các biến thể bẩm sinh như hành tĩnh mạch cảnh vị trí cao, giãn rộng hoặc túi thừa, có thể được mô tả rõ nhất trên CT độ phân giải cao lát mỏng.
Tỷ lệ túi thừa và hở xoang sigma đã được báo cáo là cao hơn đáng kể ở bệnh nhân ù tai theo nhịp mạch so với dân số chung.
Đường đi bất thường của động mạch cảnh trong (ICA) hoặc động mạch bàn đạp
Đường đi bất thường của động mạch cảnh trong và sự tồn tại dai dẳng của động mạch bàn đạp là các biến thể bẩm sinh cần được nhận biết trên các phương tiện chẩn đoán hình ảnh.
Đường đi bất thường của động mạch cảnh trong tai giữa có thể bắt chước hình ảnh khối mô mềm hoặc u cận hạch khi soi tai.
Bên trái là hình ảnh đường đi bất thường của động mạch cảnh trong (mũi tên) và sự tồn tại dai dẳng của động mạch bàn đạp (đầu mũi tên) trên CT lát mỏng.
Lưu ý sự vắng mặt của lỗ gai (encircled).
Vòng mạch máu, xung đột thần kinh-mạch máu
Các vòng mạch máu và động mạch giãn dài đôi khi được mô tả là nguyên nhân có thể gây ù tai theo nhịp mạch.
Xét đến sự hiện diện của các vòng mạch máu và sự giãn dài này ở cả những bệnh nhân không có triệu chứng, các nguyên nhân có thể khác gây ù tai theo nhịp mạch cần được loại trừ ở những đối tượng này.
Hình ảnh CISS T2W nặng bên trái cho thấy xung đột thần kinh-mạch máu của động mạch tiểu não sau dưới với sự chèn ép và di lệch dây thần kinh mặt và dây thần kinh tiền đình-ốc tai (hình bên trái, đầu mũi tên đen).
Hình bên phải cho thấy vòng mạch độ 3 (>50%) của động mạch tiểu não trước dưới trong ống tai trong bên trái (mũi tên trắng).

AVF: ngấm thuốc sớm bất thường của xoang sigma (trái), dẫn lưu tĩnh mạch của xoang sigma vào tĩnh mạch cảnh (phải)
Rò động-tĩnh mạch (AVF)
AVF là một kết nối bất thường, thường mắc phải, giữa động mạch và tĩnh mạch mà không có ổ dị dạng trung gian.
Khi nằm dọc theo màng cứng hoặc trong xoang màng cứng, chúng được gọi là rò động-tĩnh mạch màng cứng (dAVF).
Rò động-tĩnh mạch màng cứng (dAVF) nằm ở xoang sigma phải được xác định bằng 4D-CTA và DSA.
4D-CTA bên trái, hình ảnh MIP trừ nền theo chiều bên cho thấy ngấm thuốc sớm bất thường của xoang sigma (mũi tên trắng) phù hợp với dAVF.
Động mạch chẩm phì đại được xác định là mạch nuôi (mũi tên đen).
DSA bên phải, bơm thuốc cản quang chọn lọc vào động mạch cảnh ngoài cho thấy động mạch chẩm phì đại và ngoằn ngoèo (mũi tên đen).
Dẫn lưu tĩnh mạch của xoang sigma vào tĩnh mạch cảnh (mũi tên trắng).
Dị dạng động-tĩnh mạch (AVM)
Dị dạng động-tĩnh mạch (AVM) nằm ở vùng đầu cổ có thể là nguyên nhân gây ù tai theo nhịp mạch.
Thông thường, AVM phát triển ở tuổi vị thành niên hoặc người trưởng thành trẻ tuổi nhưng có thể không biểu hiện triệu chứng trong một thời gian dài.
Chuỗi xung T2W (trái) và MRA tương phản pha (phải) cho thấy dị dạng động-tĩnh mạch nội sọ (AVM) nằm ở hố thái dương phải.
Bệnh lý thành mạch
Bệnh lý thành mạch như xơ vữa động mạch, loạn sản xơ cơ mạch máu (FMD) hoặc bóc tách động mạch có thể là nguyên nhân gây ù tai theo nhịp mạch.
Ở người cao tuổi, bệnh xơ vữa động mạch cảnh hoặc động mạch đốt sống được cho là nguyên nhân phổ biến nhất gây ù tai theo nhịp mạch.
Trong trường hợp động mạch hẹp đáng kể hoặc tắc hoàn toàn, lưu lượng máu tăng ở phía đối bên có thể dẫn đến ù tai theo nhịp mạch như một triệu chứng.
Loạn sản xơ cơ mạch máu (FMD) là một bệnh mạch máu phân đoạn không do xơ vữa, không viêm, có căn nguyên chưa rõ ràng.
Thường gặp ở người trẻ, gây hẹp mạch máu và thiếu máu não.
Bên trái là hình ảnh điển hình của FMD với dấu hiệu “chuỗi hạt” trên MIP CTA và DSA (mũi tên đen).









