U đầu cổ – Khi nào nghĩ đến ác tính
Giới thiệu
Trong bảng, bạn sẽ tìm thấy các dấu hiệu cảnh báo khiến tổn thương trở nên nghi ngờ ác tính, mặc dù vẫn có những ngoại lệ khi các tổn thương lành tính cũng có thể biểu hiện các dấu hiệu này.
Càng nhiều dấu hiệu cảnh báo thì mức độ nghi ngờ càng cao.
Chúng tôi sẽ thảo luận tất cả các vấn đề này trong các chương tiếp theo.
Kiểu tăng trưởng
Bảng so sánh các căn nguyên khác nhau giữa các tổn thương có kiểu tăng trưởng phá hủy và kiểu tăng trưởng giãn rộng
Kiểu tăng trưởng phá hủy có nghĩa là xương khoáng hóa bị phá vỡ toàn bộ chiều dày.
Kiểu này thường gặp nhất trong các khối u ác tính, nhưng cũng có thể gặp trong các khối u lành tính xâm lấn và tình trạng viêm.
Kiểu tăng trưởng giãn rộng có nghĩa là có sự cân bằng giữa hoạt động của hủy cốt bào và tạo cốt bào.
Kiểu này ít gặp hơn trong các tổn thương ác tính, nhưng phổ biến trong các u tân sinh lành tính và viêm mạn tính.
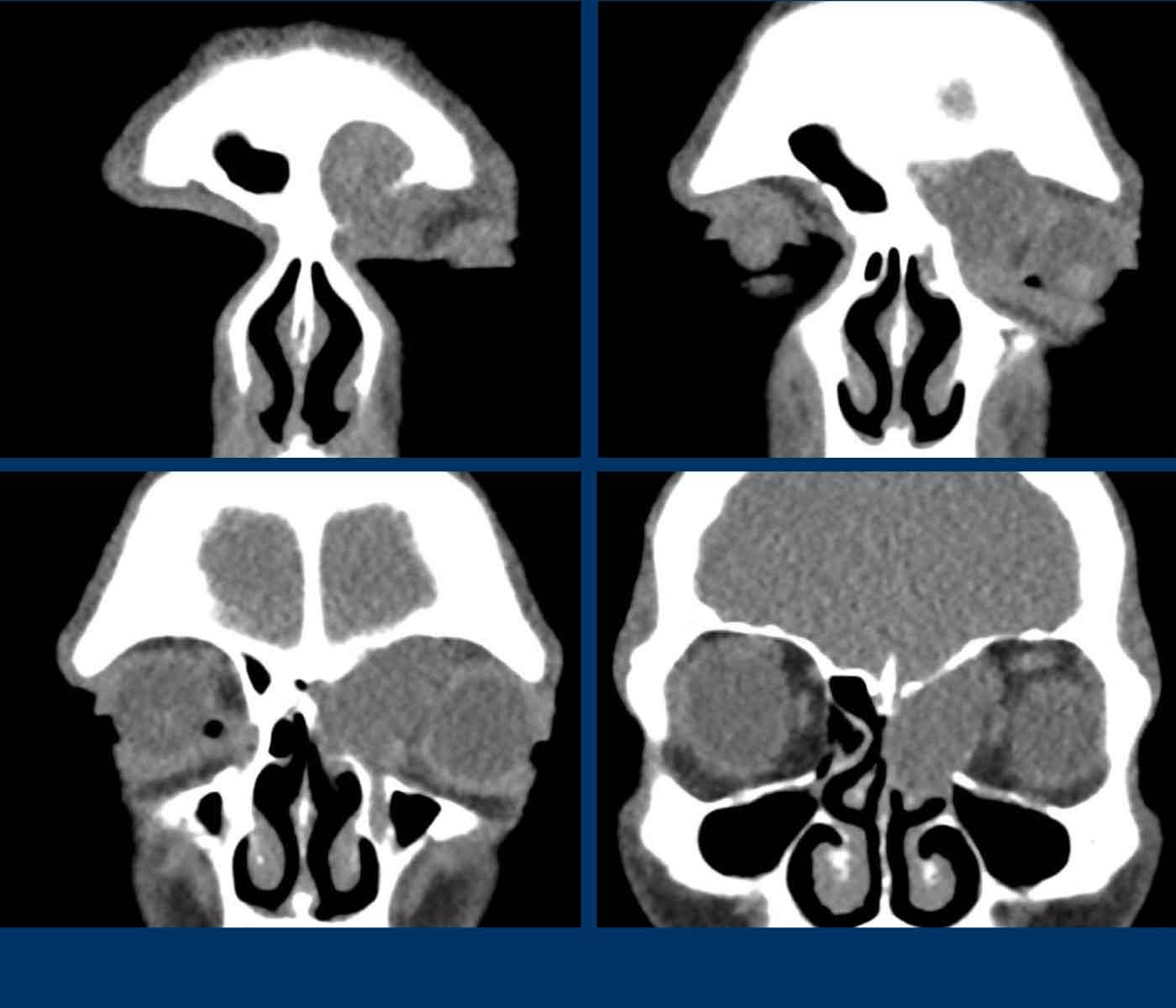
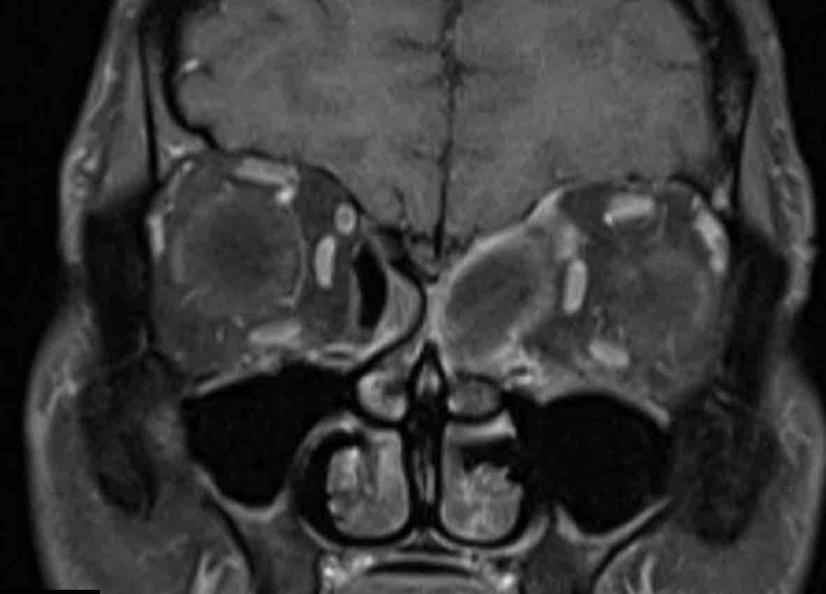
Nang nhầy (Mucocele)
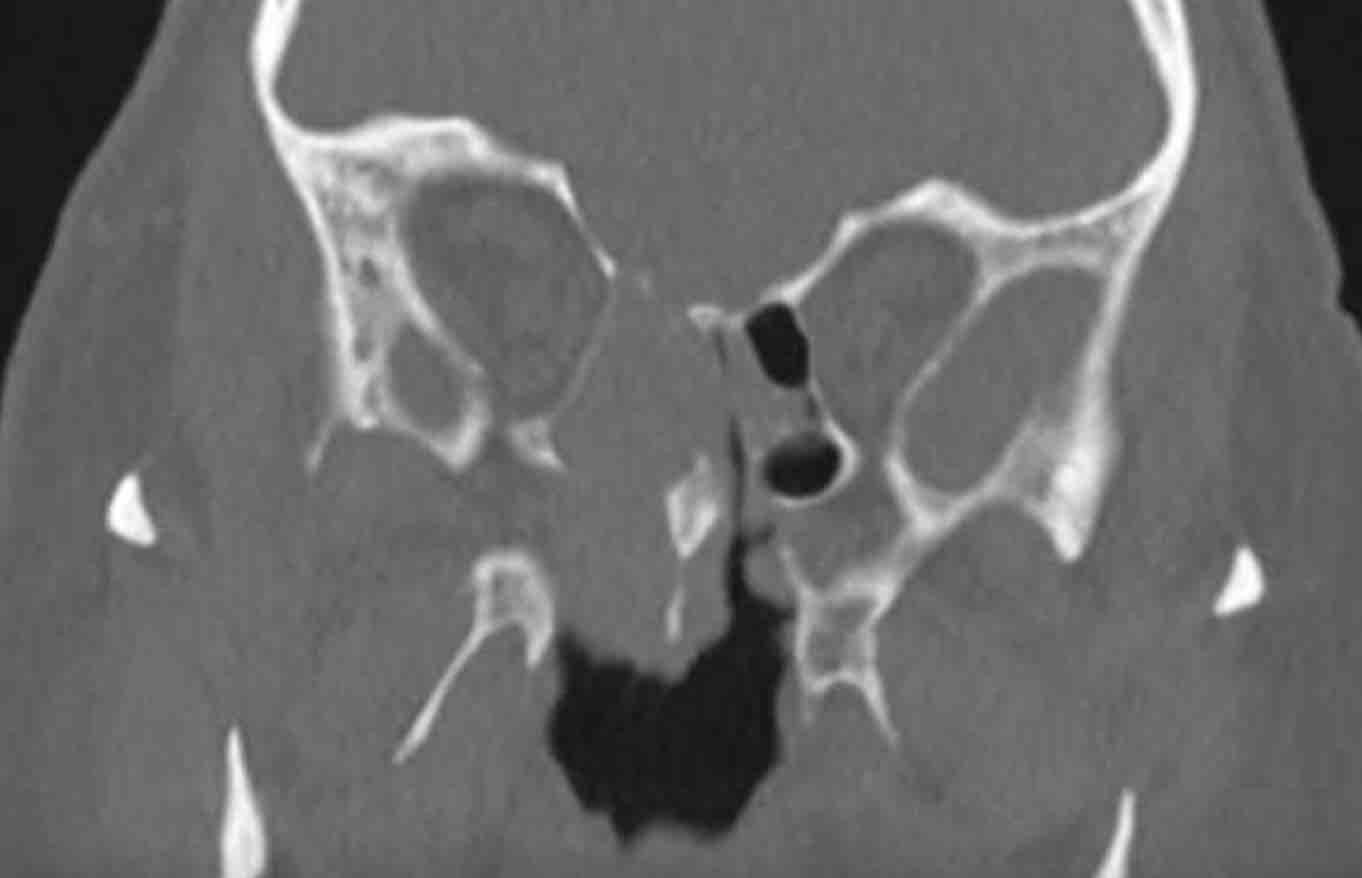
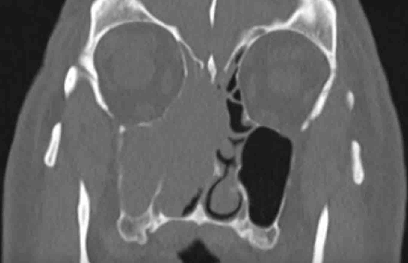
Các hình ảnh này của bệnh nhân nam 47 tuổi, có triệu chứng căng tức vùng trán.
Hãy quan sát các hình ảnh trước.
Các dấu hiệu hình ảnh là gì?
Tổn thương có kiểu giãn rộng hay phá hủy hay cả hai?
Sau đó tiếp tục đọc…
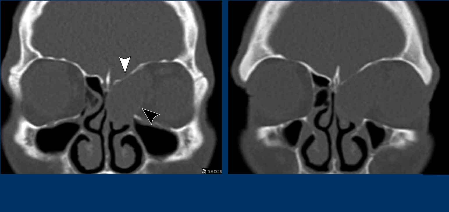
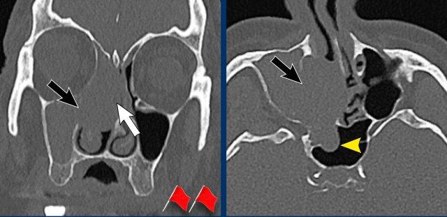
Dấu hiệu hình ảnh:
- Tổn thương giãn rộng đẩy nhãn cầu trái sang bên.
- Tổn thương có bờ rõ nét.
- Tổn thương xuất phát từ xoang trán trái.
- Thành trong hốc mắt trái (đầu mũi tên đen) và nền sọ (đầu mũi tên trắng) bị mỏng đi, nhưng không có phá hủy xương.
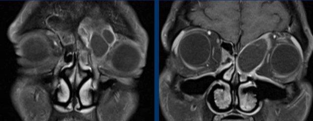
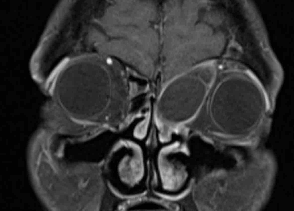
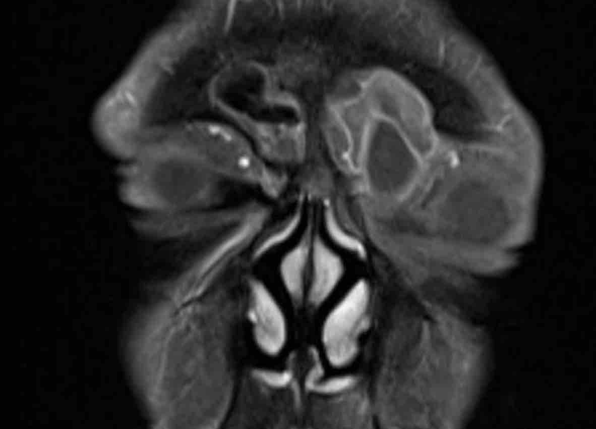
MRI được thực hiện để xác nhận chẩn đoán nhiều khả năng nhất là nang nhầy…
MRI cho thấy tổn thương giãn rộng chỉ có ngấm thuốc tương phản từ ở vùng viền ngoại vi.
Không có ngấm thuốc bên trong tổn thương.
Điều này xác nhận chẩn đoán nang nhầy.
Nang nhầy là tổn thương dạng nang chứa đầy chất nhầy.
Nang hình thành khi lỗ thông của (một phần) xoang cạnh mũi bị tắc nghẽn.
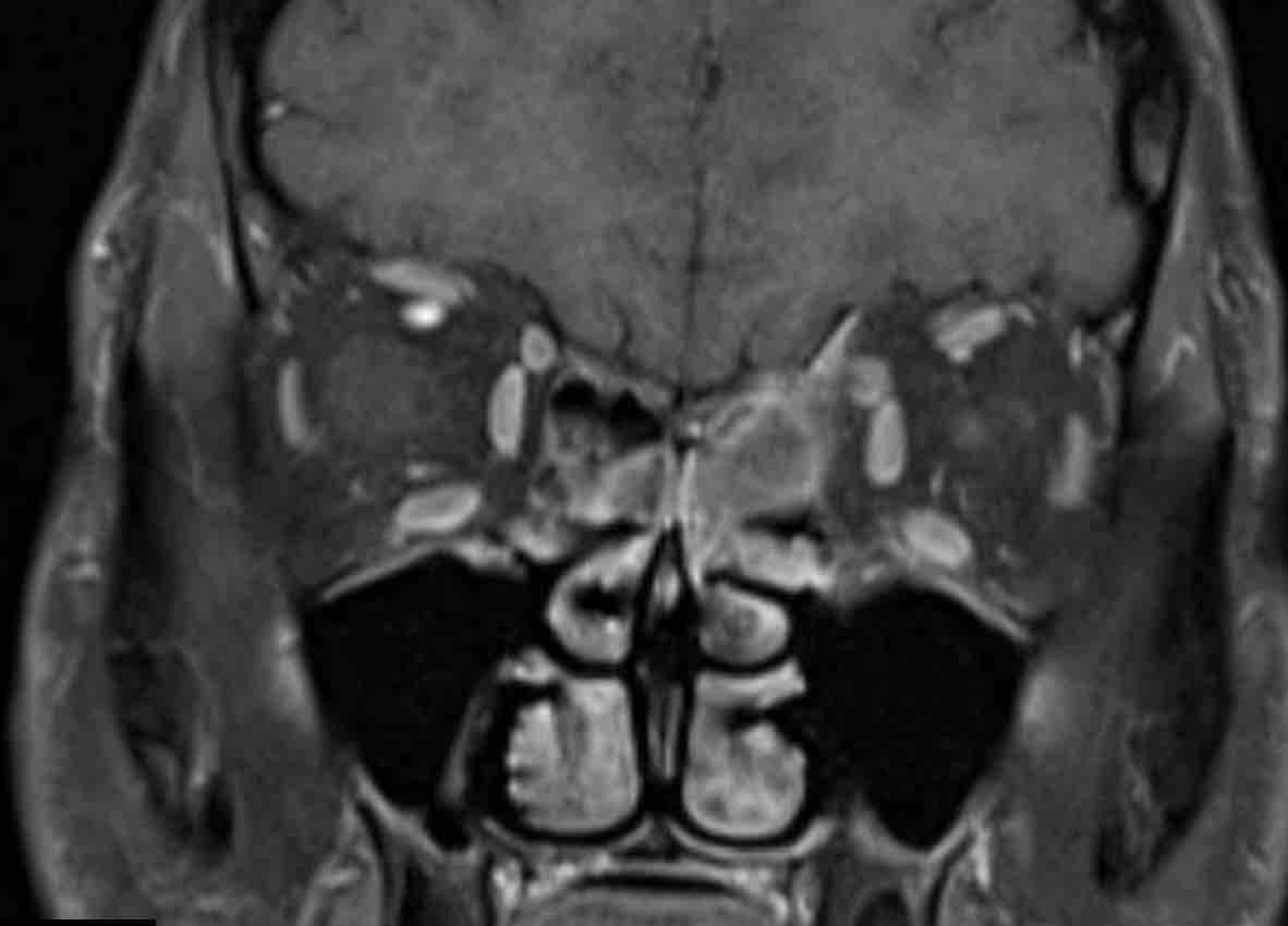
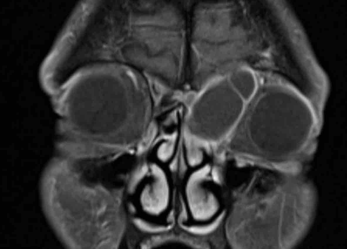
Cuộn qua các hình ảnh MRI.
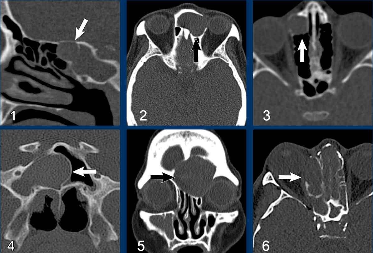
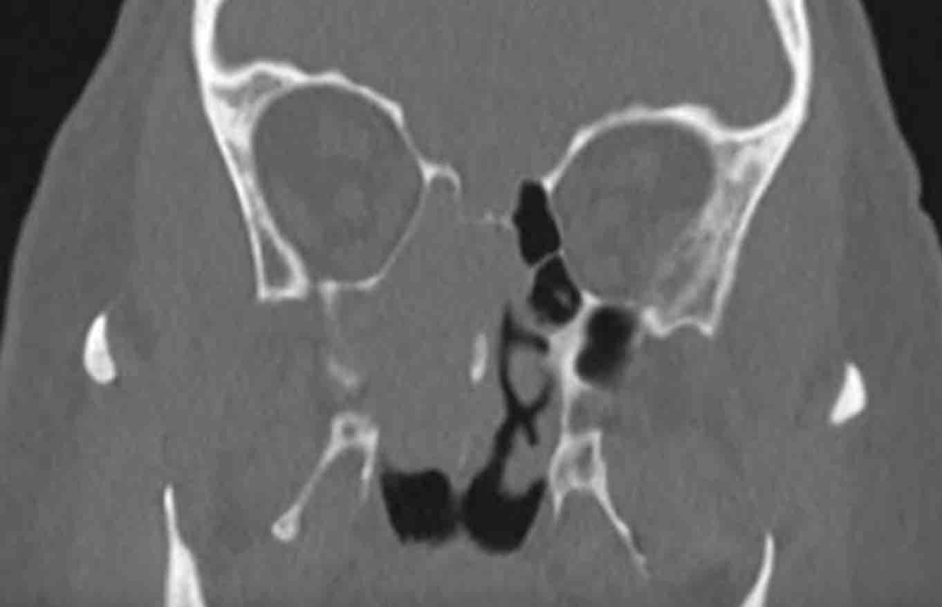
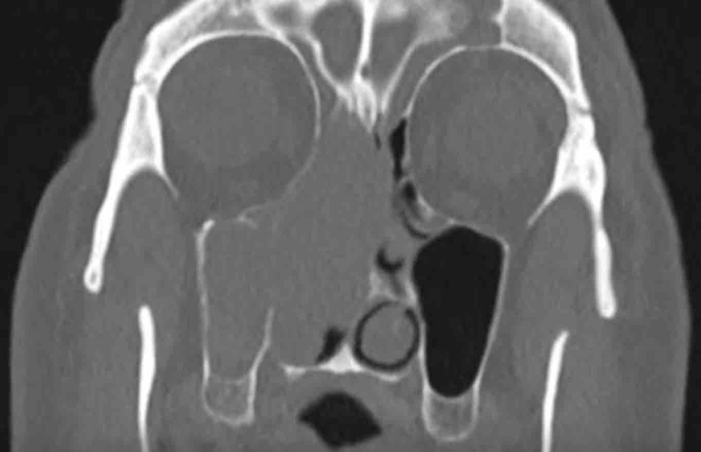
Dưới đây là thêm các ví dụ về nang nhầy.
- Nang nhầy nhỏ
ở xoang bướm.
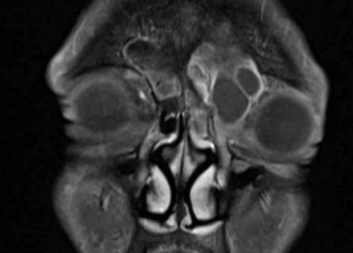
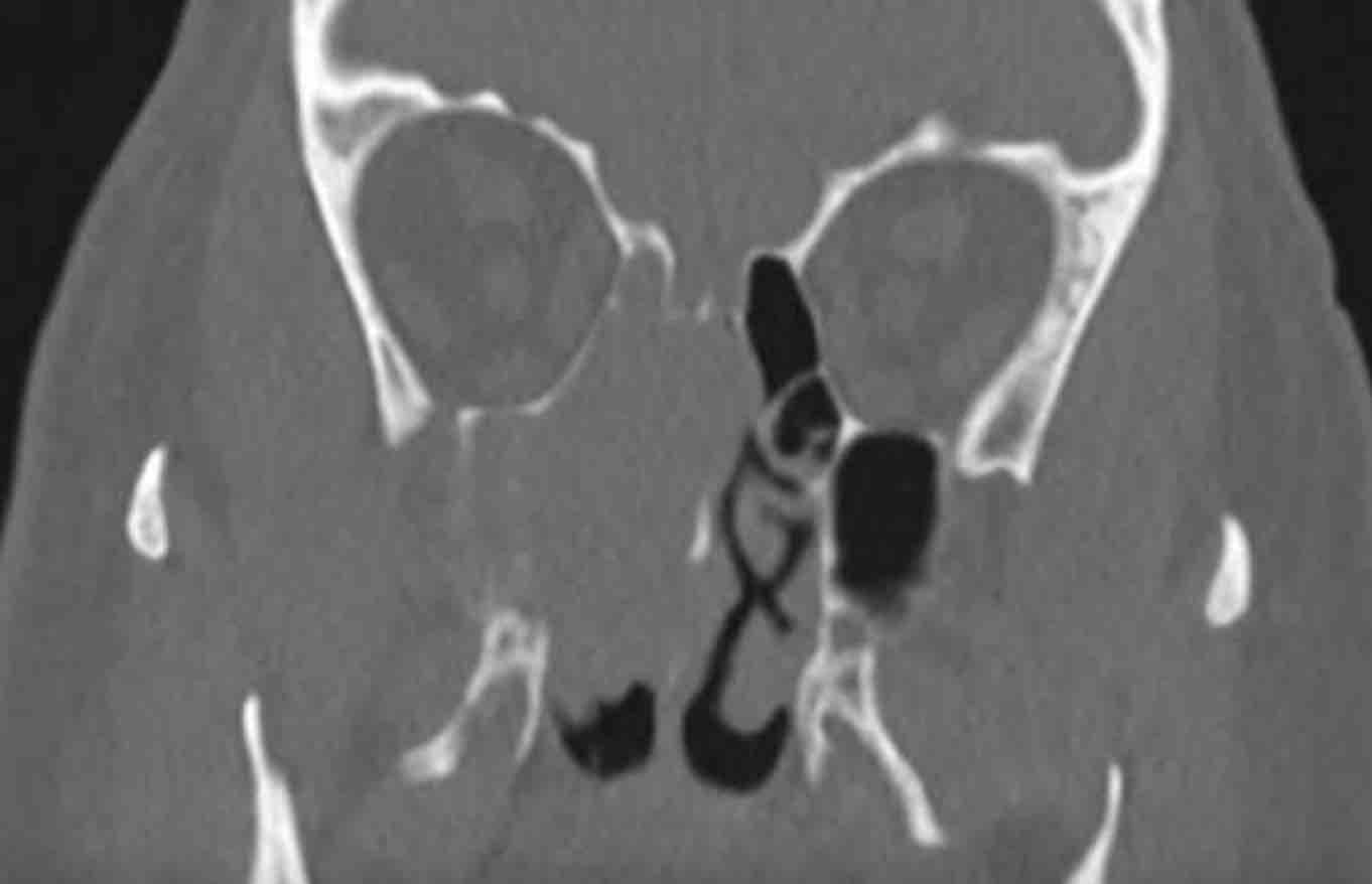
Xoang bị lấp đầy hoàn toàn bởi mô mềm (tức là chất nhầy) kèm theo giãn rộng với bờ xương xoang còn nguyên vẹn. - Nang nhầy xoang trán.
Đôi khi, bờ xương bị mỏng đi có thể gây nhầm lẫn với phá hủy xương. Trên các lát cắt CT mỏng, thường có thể nhìn thấy cấu trúc xương còn nguyên vẹn. - Nang nhầy của tế bào xoang sàng trước.
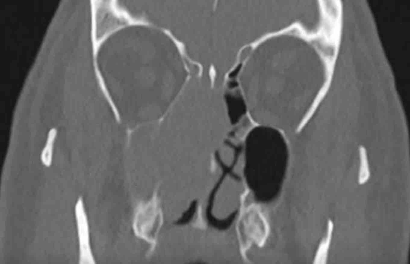
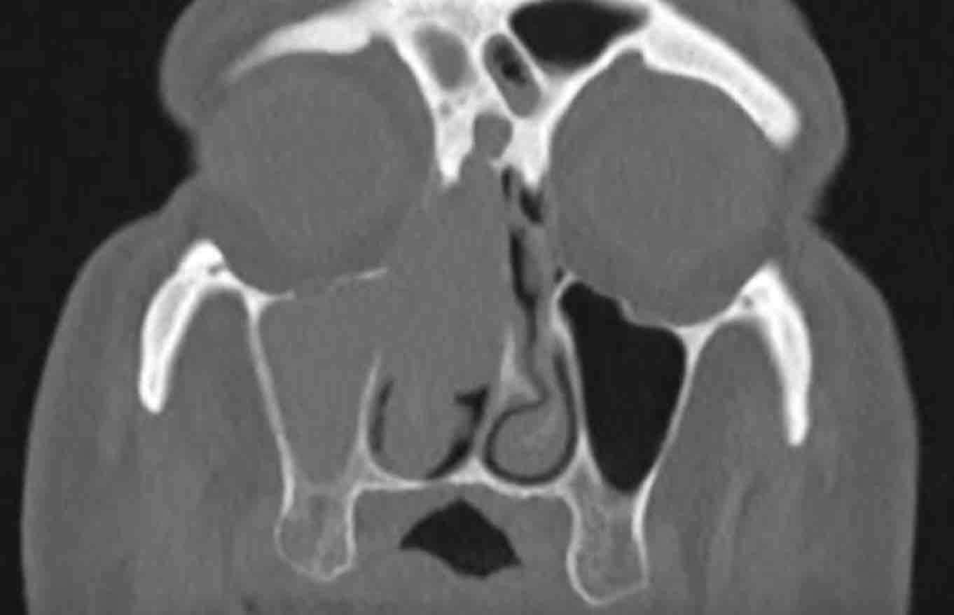
- Nang nhầy xoang bướm phải. Vách liên xoang bướm bị đẩy giãn rộng qua đường giữa.
- Nang nhầy xoang trán.
- Nang nhầy xoang sàng phải với tình trạng mỏng và giãn rộng của lamina papyracea vào hốc mắt cùng bên.
Nang nhầy (Mucocele) so với Nang ứ dịch (Retention cyst)
Để đáp ứng tiêu chuẩn chẩn đoán nang nhầy, phải có đồng thời cả hai đặc điểm: lấp đầy hoàn toàn và giãn rộng xoang.
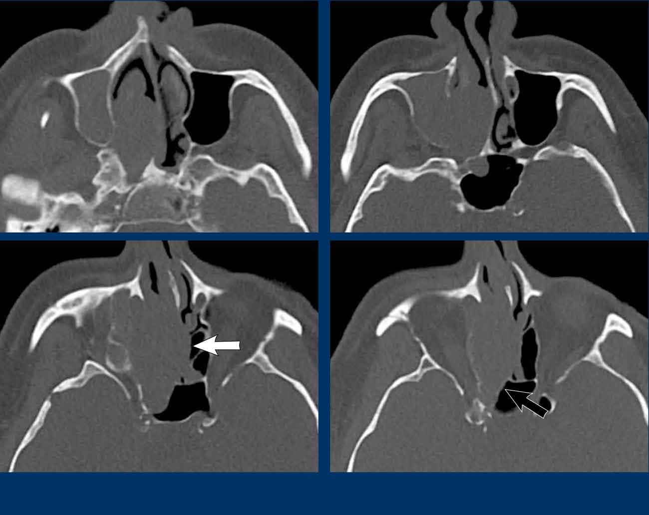
Hình ảnh
Bệnh nhân này có nang nhầy ở xoang hàm trái với giãn rộng nhẹ (mũi tên trắng).
Bên phải có một khối không có giãn rộng (đầu mũi tên vàng) và vẫn còn một ít khí trong xoang hàm.
Đây là nang ứ dịch.
Hình ảnh
Bệnh nhân này cũng có nang nhầy ở xoang hàm trái.
Bên phải có tình trạng lấp đầy hoàn toàn xoang hàm, nhưng không có giãn rộng.
Do đó, trường hợp này không đáp ứng tiêu chuẩn để chẩn đoán nang nhầy.
Vị trí thường gặp nhất của nang nhầy là môi dưới.
Các vị trí khác bao gồm khoang miệng.
Nếu tổn thương xuất phát từ tuyến dưới lưỡi bị tắc nghẽn, nó được gọi là nang nhái (ranula).
Ung thư biểu mô không biệt hóa vùng mũi xoang
Các hình ảnh này của bệnh nhân nam 75 tuổi có triệu chứng nghẹt mũi và chảy máu mũi.
Hãy quan sát các hình ảnh trước.
Tiếp tục với các tái tạo mặt phẳng coronal…
Cuộn qua các hình ảnh.
Các dấu hiệu hình ảnh là gì?
Tổn thương có kiểu giãn rộng hay phá hủy (dấu hiệu cảnh báo)?
Có dấu hiệu cảnh báo nào khác không?
Sau đó tiếp tục đọc…
Hai dấu hiệu cảnh báo là:
- Phá hủy thành trong xoang hàm (mũi tên đen) và vách mũi (mũi tên trắng).
- Bệnh lý hoàn toàn một bên.
Ở bệnh nhân viêm mũi xoang, có thể có giãn rộng và đôi khi thậm chí phá hủy xương, nhưng bệnh lý (hầu như) luôn luôn xảy ra hai bên.
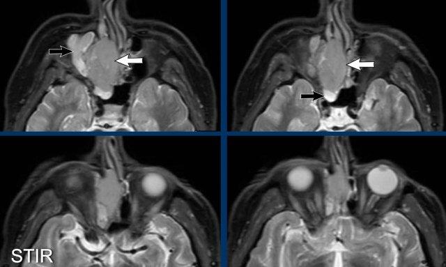
Tiếp tục với MRI…
Trên các hình ảnh STIR này, có thể thấy sự khác biệt về cường độ tín hiệu giữa xoang hàm và xoang sàng bị tắc nghẽn (mũi tên đen) và khối u (mũi tên trắng).
Ở bệnh nhân nang nhầy, toàn bộ tổn thương sẽ có cùng cường độ tín hiệu, khác với trường hợp này.
Trên hình ảnh khuếch tán, tổn thương có tín hiệu cao trên b1000.
Trên bản đồ ADC, tổn thương có tín hiệu rất thấp, thậm chí thấp hơn cả mô não, gợi ý tình trạng hạn chế khuếch tán rõ rệt.
Điều này có nghĩa là chúng ta đang đối mặt với một khối u tăng mật độ tế bào.
Đây là dấu hiệu cảnh báo thứ ba.
Trên CT, có thể có ấn tượng rằng khối u cũng xâm lấn xoang trán (mũi tên đen).
Tuy nhiên, trên MRI, chúng ta có thể thấy rõ ràng rằng xoang trán chỉ bị tắc nghẽn và có cường độ tín hiệu cao hơn (mũi tên trắng) so với khối u ở các xoang sàng (mũi tên vàng).
Kết luận cuối cùng là:
- Khối u ác tính ở hốc mũi phải với xâm lấn xoang sàng và xoang bướm.
- Không xâm lấn xoang trán và không xâm lấn nội sọ.
- Phá hủy thành trong xoang hàm và vách mũi.
Sinh thiết cho thấy ung thư biểu mô không biệt hóa vùng mũi xoang (SNUC), có tiên lượng rất xấu.
Bệnh nhân được điều trị bằng phẫu thuật cắt bỏ và xạ trị sau mổ, và thật bất ngờ, không có dấu hiệu tái phát sau bốn năm.
Ung thư biểu mô tế bào vảy
Đây là một ví dụ khác về tổn thương có kiểu tăng trưởng phá hủy.
Lưu ý tình trạng ngấm thuốc tương phản từ của khối u trên MRI (mũi tên).
Có xâm lấn vào hốc mắt (phần trong).
Sinh thiết cho thấy ung thư biểu mô tế bào vảy.
Định khu tổn thương
Trong hốc mũi và các xoang cạnh mũi, các bệnh lý thường gặp nhất là viêm xoang và polyp mũi xoang.
Các bệnh lý này hầu như luôn có tính chất hai bên.
Bất kỳ bệnh lý nào chỉ xuất hiện một bên đều cần đặt ra câu hỏi: liệu đây có phải là khối u ác tính không?
Ung thư biểu mô tuyến
Đây là bệnh nhân có triệu chứng nghẹt mũi tắc nghẽn.
Nếu chỉ mô tả ca này đơn thuần là hình ảnh mờ gần hoàn toàn các xoang cạnh mũi bên phải, bác sĩ lâm sàng có thể dễ dàng nghĩ đây chỉ là một trường hợp viêm xoang thông thường.
Như đã đề cập, dấu hiệu cảnh báo ở đây chính là vị trí định khu bất thường một bên.
Viêm xoang một bên là cực kỳ hiếm gặp.
Hơn nữa, nếu quan sát kỹ, có thể thấy hình ảnh phá hủy vách ngăn mũi — đây là dấu hiệu cảnh báo thứ hai.
Tiếp tục xem hình ảnh MRI…
Hình ảnh MRI cho thấy một khối u một bên trong hốc mũi phải gây tắc nghẽn xoang trán và ở mức độ thấp hơn là xoang hàm.
Có hiện tượng hạn chế khuếch tán (tăng tín hiệu trên DWI và giảm tín hiệu trên ADC) — đây là dấu hiệu cảnh báo thứ ba.
Sinh thiết xác nhận ung thư biểu mô tuyến.
Bệnh nhân được điều trị bằng phẫu thuật cắt bỏ kết hợp xạ trị proton và hiện không còn bằng chứng bệnh trong 14 tháng.
U nhú đảo ngược
Đây là một trường hợp khối u một bên khác.
Khối u ngấm thuốc có cường độ tín hiệu cao hơn so với xoang hàm bị tắc nghẽn.
Lưu ý rằng khối u có bờ thùy múi.
Đặc điểm này thường gặp trong u nhú đảo ngược, tuy nhiên không có tính đặc hiệu cao và trong mọi trường hợp đều cần thực hiện sinh thiết.
Chẩn đoán cuối cùng: u nhú đảo ngược.
Đây là một trường hợp u nhú đảo ngược khác.
Tổn thương biểu hiện là một khối niêm mạc có bờ thùy múi với hình ảnh ‘cuộn não’.
Trông như hình ảnh các hồi não (đầu mũi tên).
Đặc điểm này có tính đặc hiệu nhất định đối với u nhú đảo ngược.
Ngoài tổn thương ác tính, cần lưu ý một nguyên nhân khác gây tắc nghẽn xoang cạnh mũi một bên.
Điều này được minh họa qua ca lâm sàng dưới đây.
Bệnh nhân nữ 62 tuổi.
CT xoang được chỉ định bởi bác sĩ tai mũi họng. Thông tin lâm sàng: ‘viêm xoang một bên mạn tính’.
Hình ảnh
Có hình ảnh mờ đặc do mô mềm tại xoang hàm, xoang sàng và xoang trán bên phải (gọi là ‘kiểu tắc nghẽn phễu’).
Như đã đề cập, đây là một dấu hiệu cảnh báo.
Hãy quan sát các hình ảnh tiếp theo và cố gắng xác định liệu có tổn thương ác tính nào gây ra kiểu tắc nghẽn phễu này không (hay có nguyên nhân nào khác không?)
Hình ảnh
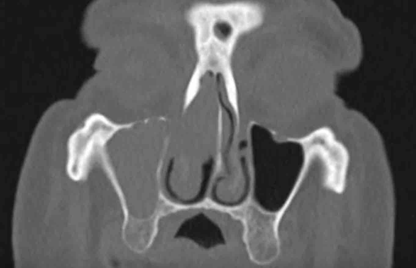
Có hình ảnh thấu quang quanh chóp răng tại vùng chân răng hàm lớn trên bên phải, gợi ý nhiễm trùng răng (đầu mũi tên đen).
So sánh với bên trái bình thường trên ảnh cắt ngang (đầu mũi tên trắng).
Thăm khám lâm sàng bổ sung đã loại trừ tổn thương ác tính.
Bệnh nhân được chuyển khám răng hàm mặt vì nhiễm trùng răng hoàn toàn có thể là nguyên nhân gây viêm xoang mạn tính một bên.
Lưu ý: Vì lý do này, việc bao gồm vùng xương hàm trên trong trường chụp của CT xoang là điều hết sức quan trọng.
Mạch máu hóa
Khi xét riêng lẻ, tính chất mạch máu không có giá trị đặc hiệu cao trong việc phân biệt tổn thương lành tính và ác tính ở các khối u vùng đầu cổ.
Tuy nhiên, khi kết hợp với các đặc điểm hình ảnh khác, đây có thể là yếu tố rất hữu ích trong chẩn đoán phân biệt.
Hãy nghĩ đến tình trạng ngấm thuốc mạnh và các vùng mất tín hiệu do dòng chảy (flow voids) trên MRI trong u cầu mạch (paragangliomas) kết hợp với vị trí tổn thương (tức là từ chỗ phân đôi động mạch cảnh đến lỗ tĩnh mạch cảnh).
Đối với bất kỳ tổn thương mạch máu nào ở vùng đầu cổ, cần đánh giá:
- Các mạch máu nuôi hoặc dẫn lưu bị giãn.
- Đặc điểm dòng chảy trên Doppler
- Vùng mất tín hiệu do dòng chảy (flow voids) trên MRI
- Sỏi tĩnh mạch (phleboliths) trên CT
- Đặc điểm dòng chảy Doppler trên siêu âm
U cơ vân (Rhabdomyosarcoma)
Các hình ảnh này của một bệnh nhân nam 16 tuổi với biểu hiện lồi mắt và chảy máu mũi.
Hãy quan sát kỹ các hình ảnh trước.
Tìm kiếm các dấu hiệu cảnh báo.
Sau đó tiếp tục đọc.
Dựa trên kết quả CT tại bệnh viện khác, có nghi ngờ u xơ mạch máu vị thành niên (juvenile angiofibroma) — một khối u tăng sinh mạch máu, xâm lấn tại chỗ, gặp ở nam giới trẻ tuổi với biểu hiện chảy máu mũi nặng, có thể đe dọa tính mạng.
Trên các hình ảnh này, có một tổn thương phá hủy xương với xâm lấn vào hốc mắt.
U xơ mạch máu vị thành niên luôn xuất phát từ hốc mũi phía sau và có tâm tổn thương xung quanh lỗ bướm khẩu cái và hố chân bướm khẩu cái.
Tiếp tục xem các hình ảnh bổ sung…
Hố chân bướm khẩu cái
Hố chân bướm khẩu cái là một khoang hình tháp ngược, chứa đầy mỡ, nằm ở mặt bên của hộp sọ, giữa hố thái dương dưới và vòm họng mũi.
Đây là một ngã tư thần kinh mạch máu quan trọng, kết nối hốc mắt, hốc mũi, vòm họng mũi, khoang miệng, hố thái dương dưới và hố sọ.
Do các kết nối này, hố chân bướm khẩu cái có thể đóng vai trò là đường dẫn cho sự lan rộng của các bệnh lý viêm nhiễm và tân sinh ở vùng đầu cổ.
Các hình ảnh này thuộc hai bệnh nhân khác nhau.
- Đây là bệnh nhân có ung thư biểu mô tế bào vảy xuất phát từ xoang hàm phải, xâm lấn vào hố chân bướm khẩu cái (mũi tên đỏ).
Lưu ý mô mỡ bình thường trong hố chân bướm khẩu cái bên trái (mũi tên vàng). - Đây là bệnh nhân nam 16 tuổi của chúng ta.
Lưu ý rằng hố không bị xâm lấn và tâm của tổn thương không nằm ở lỗ bướm khẩu cái và hố chân bướm khẩu cái.
Điều này khiến chẩn đoán ban đầu là u xơ mạch máu vị thành niên trở nên khó có khả năng.
Tiếp tục xem các hình ảnh MRI…
MRI cho thấy một khối u phá hủy một bên với hạn chế khuếch tán rõ rệt (giảm tín hiệu trên bản đồ ADC).
Như vậy, chúng ta có ba dấu hiệu cảnh báo.
Hạn chế khuếch tán là một lập luận khác chống lại chẩn đoán u xơ mạch máu vị thành niên, vì một tổn thương mạch máu sẽ không gây ra hạn chế khuếch tán.
Có xâm lấn vào hốc mắt và cả vào phần mềm phía trước của má (mũi tên).
Sinh thiết được thực hiện và cho kết quả là u cơ vân (rhabdomyosarcoma), được điều trị bằng hóa trị liệu.
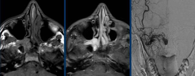
U xơ mạch máu vị thành niên (Juvenile angiofibroma)
Hãy quan sát các hình ảnh trước.
Tại sao đây là hình ảnh điển hình của u xơ mạch máu vị thành niên?
Các dấu hiệu:
- Khối u nằm ở phía sau hốc mũi và tâm tổn thương ở vị trí tương ứng với lỗ bướm khẩu cái (dấu hoa thị).
- Có ngấm thuốc mạnh với hình ảnh “muối và tiêu” (salt and pepper) nhẹ.
Tiếp tục xem hình ảnh DSA…
Hình ảnh DSA cho thấy tình trạng tăng sinh mạch máu, điều này (kết hợp với vị trí đặc trưng) gợi ý mạnh mẽ cho chẩn đoán u xơ mạch máu vị thành niên.
Bệnh nhân này được điều trị tắc mạch (embolization) trước phẫu thuật.
Phẫu thuật cần được thực hiện triệt để nhất có thể để ngăn ngừa tái phát.
Hãy quan sát các hình ảnh trước.
Các dấu hiệu là gì?
Các dấu hiệu:
- Khối u có tâm ở hố bướm khẩu cái bên phải.
- Có giãn rộng hố chân bướm khẩu cái, nhưng không có phá hủy xương.
- Ngay cả trên CT cũng có thể thấy ngấm thuốc rõ rệt.
Đây là hình ảnh điển hình của u xơ mạch máu vị thành niên.
Tiếp tục xem hình ảnh MRI và DSA…
Và một lần nữa các dấu hiệu điển hình trên MRI và DSA.
Có ngấm thuốc mạnh và tăng sinh mạch máu rõ rệt.
Tổn thương dạng nang vùng cổ
Tổn thương dạng nang vùng cổ là bệnh lý rất thường gặp.
Ở bệnh nhân trẻ tuổi, khả năng ác tính thấp.
Tuy nhiên, tổn thương dạng nang ở bệnh nhân trưởng thành, đặc biệt khi trên 30 tuổi, là một dấu hiệu cảnh báo quan trọng.
Nang khe mang
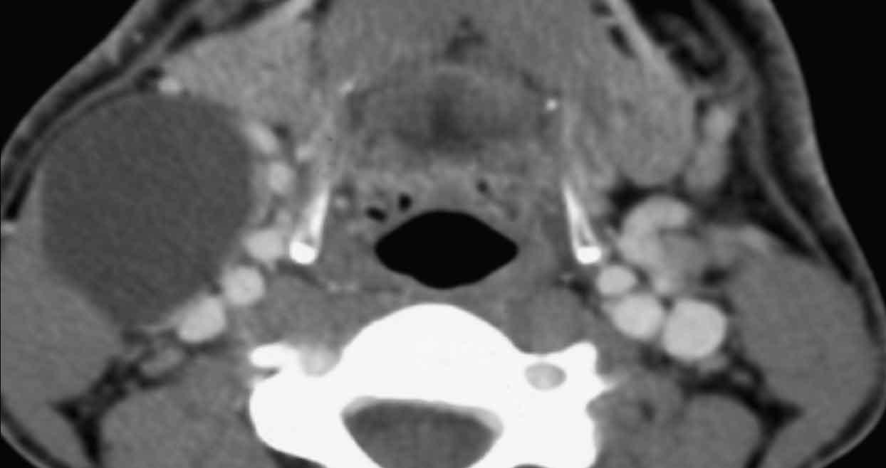
Các hình ảnh này thuộc về một nam bệnh nhân 59 tuổi, có tiền sử hút thuốc lá, nhập viện vì sưng vùng cổ.
Báo cáo MRI ban đầu ghi nhận có một tổn thương dạng nang nằm phía sau tuyến dưới hàm và phía trước cơ ức đòn chũm; không có hạch bạch huyết kèm theo.
Chẩn đoán có khả năng nhất: nang khe mang.
Đây có vẻ là một kết luận hợp lý vì vị trí điển hình của nang khe mang (loại hai) là nằm giữa tuyến dưới hàm và cơ ức đòn chũm.
Tuy nhiên, tuổi của bệnh nhân là một dấu hiệu cảnh báo quan trọng.
Đọc tiếp…
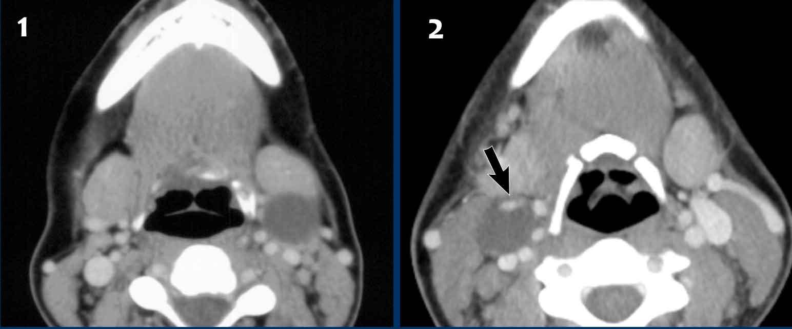
Năm tháng sau, khối sưng trở nên đau.
MRI được chụp lại.
Quan sát các hình ảnh.
Chẩn đoán của bạn là gì?
Các phát hiện bao gồm:
- Có hiện tượng ngấm thuốc tương phản từ ở thành nang và trong các mô mềm xung quanh.
- Không có hạn chế khuếch tán.
Các phát hiện này được cho là hậu quả của nhiễm trùng và khả năng di căn dạng nang ít có khả năng hơn, nhưng không thể loại trừ, đặc biệt do tuổi của bệnh nhân.
Bệnh nhân được điều trị bằng kháng sinh và một tháng sau tổn thương được phẫu thuật cắt bỏ.
Kết quả giải phẫu bệnh xác nhận đây là nang khe mang.
Nang khe mang điển hình là các tổn thương dạng nang có thành mỏng.
Tuy nhiên, di căn dạng nang có thể bắt chước hình ảnh nang khe mang.
Đặc biệt là di căn hạch bạch huyết của ung thư tuyến giáp thể nhú và ung thư hầu họng (liên quan đến HPV).
Virus u nhú ở người (HPV) là nguyên nhân gây ung thư cổ tử cung và có liên quan đến ung thư âm đạo và âm hộ.
HPV cũng liên quan đến ung thư vùng hầu họng (phía sau họng, bao gồm nền lưỡi và amidan).
Theo nguyên tắc chung: Bất kỳ tổn thương dạng nang vùng cổ nào ở bệnh nhân trưởng thành, đặc biệt khi trên 30 tuổi, đều phải được xem là nghi ngờ và cần loại trừ nguồn gốc ác tính.
Đây là hình ảnh nang khe mang ở một bệnh nhân mười tuổi tại vị trí điển hình.
Ung thư hầu họng liên quan đến HPV
Các hình ảnh này thuộc về một nam bệnh nhân 69 tuổi với khối sưng vùng cổ trái.
Tổn thương được báo cáo là nang khe mang.
Mức dịch-dịch (đầu mũi tên) được cho là mảnh vụn do nhiễm trùng hoặc chảy máu trước đó.
Trong quá trình theo dõi, khối sưng tăng kích thước và mười tháng sau tổn thương được phẫu thuật cắt bỏ.
Kết quả giải phẫu bệnh: Di căn của ung thư biểu mô tế bào vảy, dương tính với dấu ấn P16.
Đây là dấu ấn chỉ điểm tình trạng dương tính với virus u nhú ở người (HPV).
Đọc tiếp…
Trong quá trình tìm kiếm khối u nguyên phát, bác sĩ chuyên khoa Tai Mũi Họng phát hiện amidan bên trái có kích thước hơi lớn hơn.
Lưu ý rằng vùng giảm tín hiệu trên bản đồ ADC nhỏ hơn vùng tăng tín hiệu trên DWI (b1000).
Điều này có nghĩa là chỉ có phần trung tâm của amidan là ung thư. Khối ung thư nằm sâu trong các hốc của amidan và thường không nhìn thấy được khi nội soi.
Sinh thiết xác nhận ung thư biểu mô tế bào vảy liên quan đến HPV và bệnh nhân được điều trị bằng xạ trị.
Dưới đây là hai trường hợp khác với các tổn thương (có vẻ) giống hệt nhau:
- Trường hợp này là nang khe mang (Case courtesy B.M. Verbist, Leiden)
- Trường hợp này là di căn hạch bạch huyết của ung thư tuyến giáp thể nhú.
Lưu ý hiện tượng ngấm thuốc dạng nốt ở thành nang (mũi tên).
Đặc điểm này không bao giờ thấy trong nang khe mang.
Kết luận
Quy trình chụp MRI
Lưu ý
- Khi phát hiện điều gì đó ‘bất thường’ trên một lần chụp được gọi là thường quy vùng đầu cổ (đặc biệt khi có các dấu hiệu cảnh báo), đừng ngần ngại đề cập đến khả năng tổn thương ác tính trong phần kết luận của bạn.
- Tuy nhiên…, hãy thận trọng và khiêm tốn khi đưa ra chẩn đoán mô bệnh học.
- Bác sĩ tai mũi họng thường có thể tiếp cận tổn thương và tiến hành cắt bỏ hoặc sinh thiết.
- Sau đó, bác sĩ giải phẫu bệnh sẽ là người đưa ra chẩn đoán xác định.
Viết báo cáo
Mẫu báo cáo chuẩn này có thể áp dụng cho bất kỳ khối u vùng đầu cổ nào.
Trong phần mô tả mức độ xâm lấn tại chỗ, chúng tôi khuyến nghị sử dụng danh pháp và các mốc giải phẫu cũng được các bác sĩ tai mũi họng và phẫu thuật viên đầu cổ sử dụng.




























































