Túi ngực
Phẫu thuật nâng ngực là thủ thuật thẩm mỹ phổ biến nhất trên toàn thế giới.
Số lượng phụ nữ sử dụng túi độn ngực để nâng ngực thẩm mỹ hoặc tái tạo ngực ngày càng gia tăng.
Nguy cơ vỡ túi độn tăng theo tuổi thọ của túi và được ghi nhận thường xuyên hơn trong các trường hợp tái tạo ngực sau phẫu thuật cắt tuyến vú do ung thư vú so với các trường hợp đặt túi độn vì mục đích thẩm mỹ.
Trong bài tổng quan này, chúng tôi tập trung vào vai trò của chẩn đoán hình ảnh trong việc mô tả các đặc điểm bình thường và bất thường của các loại túi độn ngực thông dụng.
Bài tổng quan này được xây dựng dựa trên bài trình bày của Saskia Fuchs, Esteban van Keulen và Maud Hegeman tại khóa học Sandwich của Hội Chẩn đoán Hình ảnh Hà Lan vào tháng 2 năm 2021.
Giới thiệu
Vị trí và loại túi độn
Khoảng 80% túi độn ngực được đặt vì mục đích thẩm mỹ, trong khi khoảng 20% được đặt để tái tạo vú sau phẫu thuật cắt tuyến vú.
Túi độn ngực bao gồm một lớp vỏ ngoài bằng silicone và phần nhân bên trong được làm từ silicone hoặc nước muối sinh lý.
Túi độn ngực được đặt theo các vị trí:
- Dưới cơ ngực (sau cơ ngực) – giữa cơ ngực lớn và cơ ngực bé, hoặc
- Trước cơ ngực (dưới tuyến hoặc sau tuyến) – phía trước cơ ngực lớn, hoặc
- Mặt phẳng kép – kết hợp cả hai vị trí trên – phần lớn túi độn nằm dưới cơ ngực, nhưng phần dưới-ngoài không được cơ che phủ.
Túi độn đặt dưới cơ ngực
Trong kỹ thuật này, cơ ngực lớn được tách khỏi thành ngực.
Nhìn chung, khả năng sờ thấy bờ túi độn sẽ thấp hơn.
Hình ảnh nhũ ảnh thường ít bị biến dạng hơn so với nhóm đặt trước cơ ngực.
Túi độn đặt trước cơ ngực
Trong kỹ thuật đặt trước cơ ngực, túi độn được đặt phía trước cơ ngực và phía sau mô tuyến vú.
Hiện tượng nhăn nhúm (rippling) là biến chứng thường gặp nhất.
Hình ảnh nhũ ảnh bị biến dạng nhiều hơn một chút.
Vị trí của túi độn so với cơ ngực được nhận biết rõ nhất trên các hình chụp tư thế chếch.

Túi độn nhân nước muối và túi độn nhân silicone được cắt đôi để thấy phần nhân có hình dạng ổn định bên trong.
Túi độn nhân silicone
Loại túi độn ngực được sử dụng phổ biến nhất bao gồm lớp vỏ ngoài bằng elastomer silicone và phần nhân bên trong là gel silicone.
Phần nhân silicone đã được cải tiến qua nhiều năm để trở thành khối có hình dạng ổn định hơn (xem hình).
Túi độn nhân nước muối
Túi độn nhân nước muối cũng có lớp vỏ ngoài bằng silicone. Chúng có thể được sử dụng chủ yếu để nâng ngực thẩm mỹ hoặc dùng làm túi giãn mô vú trong phẫu thuật tái tạo như một thiết bị tạm thời, được bơm dần bằng nước muối sinh lý. Túi độn nhân nước muối dễ bị xẹp ngay lập tức hơn khi gặp chấn thương.
Túi độn ngực có thể có hình tròn hoặc hình giải phẫu được tạo hình sẵn.
Bề mặt vỏ túi có thể nhẵn hoặc có cấu trúc nhám, bao gồm cả lớp phủ polyurethane để ngăn túi xoay.
Một số túi độn có miếng đánh dấu (patch) – là vùng có cấu trúc nhám trên bề mặt – để giữ túi cố định tại chỗ hoặc làm dấu định hướng có thể sờ thấy cho phẫu thuật viên.

* Phải được xem là dấu hiệu không chắc chắn nếu chỉ thấy đơn độc trên một hình ảnh duy nhất (điều này không thường gặp).
Đặc điểm hình ảnh
Bảng này tóm tắt các dấu hiệu bình thường và bất thường trên hình ảnh túi độn ngực.
Khi dấu hiệu giọt nước (droplet), dấu hiệu thòng lọng (noose) hoặc dấu hiệu lỗ khóa (keyhole) chỉ xuất hiện đơn độc trên một hình ảnh duy nhất – điều không thường gặp – thì phải được xem là dấu hiệu không chắc chắn.
Dấu hiệu Linguine có độ đặc hiệu cao nhất cho vỡ túi trong bao xơ.
Dấu hiệu bình thường
Vôi hóa bao xơ
Vôi hóa có thể gặp ở khoảng 25% các túi độn ngực. Tỷ lệ vôi hóa bao xơ tăng dần theo tuổi của túi độn. Các vôi hóa này không phải dấu hiệu của vỡ túi, mặc dù có liên quan đến một mức độ thoái hóa nhất định của lớp vỏ túi.
Tràn dịch
Một lượng nhỏ dịch quanh túi độn thường gặp và hầu như luôn là bình thường.
Tuy nhiên, đây vẫn có thể là tụ thanh dịch (seroma), tụ máu (hematoma) hoặc nhiễm trùng và cần được đối chiếu với triệu chứng lâm sàng. Không có ngưỡng đường kính tuyệt đối nào được coi là bất thường. So sánh với túi độn bên đối diện có thể hữu ích.
Nếp gấp
Các nếp gấp có thể sờ thấy đặc biệt hay gặp ở túi độn đặt trước cơ ngực với vị trí nông ở những phụ nữ có ít mô xung quanh. Các nếp gấp này có thể bị ấn vào và bật trở lại khi thăm khám lâm sàng. Nếp gấp là dấu hiệu bình thường.
Trên hình CT cắt ngang này, có hình ảnh dày bao xơ kèm vôi hóa bao xơ nặng nề.
Ở bên phải, ngoài ra còn thấy hình ảnh nội dung không đồng nhất và một số đường thẳng dạng tuyến, gợi ý vỡ túi trong bao xơ.
Thay đổi thoái hóa
Co rút bao xơ
Tỷ lệ co rút bao xơ lên đến 25% trong 10 năm và gặp nhiều hơn trong tái tạo vú so với nâng ngực thẩm mỹ. Bao xơ sẽ trở nên dày và cứng, hình dạng túi độn thường trở nên tròn hơn và kém đàn hồi hơn.
Dấu hiệu giọt nước (Droplet sign)
Dấu hiệu giọt nước và hình ảnh nội dung không đồng nhất là những thay đổi thoái hóa có thể gợi ý vỡ túi trong bao xơ, nhưng không phải bằng chứng xác định của vỡ túi.
Vỡ túi trong bao xơ (Intracapsular rupture)
Vỡ túi trong bao xơ xảy ra khi lớp vỏ túi độn bị vỡ nhưng bao xơ do mô vú tạo thành vẫn còn nguyên vẹn.
Silicone không thoát ra tự do mà bị giữ lại giữa bao xơ và lớp vỏ túi.
Điều này khiến tổn thương khó phát hiện trên thăm khám lâm sàng hoặc nhũ ảnh. Có nhiều dấu hiệu được mô tả để chỉ điểm vỡ túi trong bao xơ, nhưng tất cả đều quy về hình ảnh silicone nằm giữa bao xơ và lớp vỏ túi.
Vỡ túi trong bao xơ được phát hiện tốt nhất trên MRI.
Dấu hiệu giọt nước mắt (Teardrop sign)
Đây là hình ảnh lõm khu trú của lớp vỏ silicone, nơi hai thành tiếp xúc với nhau. Một lượng nhỏ silicone nằm bên trong hình giọt nước mắt, nghĩa là silicone đã thoát ra ngoài lớp vỏ túi.
Dấu hiệu lỗ khóa (Keyhole sign)
Còn được gọi là dấu hiệu mũi (nose-sign). Đây là hình ảnh lõm khu trú của lớp vỏ silicone, nơi hai thành không tiếp xúc với nhau. Một lượng nhỏ silicone nằm bên trong hình lỗ khóa và ở ngoài lớp vỏ túi.
Dấu hiệu Linguine
Lớp vỏ túi bị vỡ xuất hiện dưới dạng các đường cong uốn lượn trông giống như sợi mì Linguine.
Các dấu hiệu vỡ túi trong bao xơ này cần được phân biệt với hình ảnh nếp gấp bình thường, trong đó có thể chứa một ít dịch – đây là dịch quanh túi độn bình thường (xem hình).
Vỡ túi ngoài bao xơ (Extracapsular rupture)
Trong vỡ túi ngoài bao xơ, silicone từ túi độn bị vỡ di chuyển tự do ra ngoài lớp vỏ túi và bao xơ, xâm nhập vào mô vú xung quanh.
Trên nhũ ảnh năm 2019 cho thấy vôi hóa bao xơ lan rộng và hình dạng rất tròn của túi độn ngực.
Điều này gợi ý co rút bao xơ của túi độn.
Tại lần tái khám năm 2020, đường bờ đã thay đổi và hiện có silicone thoát ra ngoài bao xơ, đây là dấu hiệu xác định của vỡ túi ngoài bao xơ (mũi tên).
Bệnh nhân cao tuổi này không muốn phẫu thuật mà chỉ muốn tầm soát khả năng ác tính.
Tại lần tái khám năm 2022, hình ảnh không thay đổi nhiều. Gel silicone hiện đại có độ kết dính cao hơn và ít có xu hướng lan rộng hơn.
Báo cáo kết quả
Khi thăm khám bệnh nhân bằng siêu âm, cần ghi nhận mức độ đánh giá được của túi độn.
Tình trạng túi độn có thể bị che khuất bởi vôi hóa bao xơ hoặc bờ sau của túi có thể khó quan sát trong trường hợp túi độn có thể tích lớn.
Không áp dụng phân loại Bi-Rads trong báo cáo MRI vì giao thức chụp này không có khả năng phát hiện ung thư vú.
Siêu âm
Hình ảnh bình thường
Dấu hiệu Oreo ngược
Vỏ bọc của túi độn có thể được nhìn thấy như một chiếc bánh Oreo lật ngược. Đường trắng đầu tiên là mặt tiếp xúc bên ngoài của vỏ bọc và đường trắng thứ hai là mặt tiếp xúc bên trong giữa vỏ bọc và gel Silicone (mũi tên vàng).
Giữa lớp ngoài của vỏ bọc và bao xơ xung quanh tồn tại một khoang ảo có thể được lấp đầy và giãn rộng.
Bao xơ được nhìn thấy tách biệt khỏi vỏ bọc như một đường trắng riêng biệt nằm phía trước vỏ bọc (mũi tên trắng).
Vỏ bọc và bao xơ cùng nhau được gọi là phức hợp vỏ bọc-bao xơ.
Vị trí của túi độn ngực được đánh giá tốt nhất ở góc phần tư trên ngoài. Cần xác định cơ ngực trong mối tương quan với túi độn.
Phần dưới của túi độn thường không được cơ ngực che phủ hoàn toàn.
Hình ảnh
Đây là túi độn ngực ở vị trí dưới cơ ngực.
Cơ ngực lớn được nhìn thấy ở phía trước túi độn.
Về phía đuôi, cơ ngực lớn mỏng dần và sẽ khó quan sát hơn.
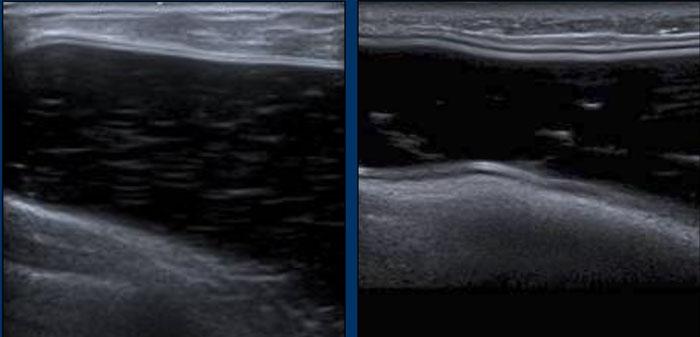
Dấu hiệu bậc thang (Step off sign)
Dấu hiệu bậc thang là một xảo ảnh gây ra bởi tốc độ truyền âm thấp hơn của sóng siêu âm qua Silicone (970 m/giây trong gel Silicone so với 1540 m/giây qua nước).
Hệ quả là thành ngực có vẻ sâu hơn ở vị trí tương ứng với túi độn.
Xảo ảnh này không xuất hiện trong các túi độn chứa nước muối sinh lý.
Hình ảnh dưới đây cho thấy sự khác biệt giữa túi độn nước muối sinh lý và túi độn silicone.
Vôi hóa bao xơ
Vôi hóa bao xơ có thể xuất hiện đơn độc hoặc đa ổ.
Đôi khi chúng có dạng tuyến tính hoặc lan tỏa và dày.
Xảo ảnh dội âm (Reverberation artefacts)
Ở vùng phía trước của túi độn, thường có thể quan sát thấy các đường ngang song song tăng âm do xảo ảnh dội âm gây ra.
Các xảo ảnh này có thể được giảm thiểu bằng cách giảm lực ép của đầu dò hoặc sử dụng kỹ thuật tạo ảnh hài (harmonic imaging).
Hình ảnh nội tại lan tỏa, hơi không đồng nhất của túi độn ngực (BI) có thể gặp, kể cả ngay sau phẫu thuật. Do đó, hình ảnh này khi không kèm theo các dấu hiệu biến chứng khác không đủ để chẩn đoán xác định vỡ túi trong bao xơ.
Đôi khi khi có một lớp vôi hóa dày, hình ảnh có thể bắt chước xảo ảnh bão tuyết (snowstorm artefact), vốn được gây ra bởi gel silicone thoát ra ngoài.
Hình ảnh
Bên trái: vôi hóa dày đặc.
Bên phải: xảo ảnh bão tuyết do rò rỉ silicone gel ngoài bao xơ.
Hình ảnh
A. Túi độn nước muối sinh lý có van bơm.
B. Màng ngăn (diaphragm) đối xứng, bờ rõ nét, nằm ở trung tâm, có thể bắt chước hình ảnh bất thường của vỏ bọc.
C. Loại bình chứa khác.
Dấu hiệu đánh dấu (Markings)
Hình chụp nhũ ảnh cho thấy túi độn ngực có một dải vòng nhỏ.
Trên siêu âm, cấu trúc này được nhận diện là một cấu trúc tuyến tính khi quan sát trên hai mặt phẳng (hình tròn trên mặt cắt ngang và các mũi tên trên mặt cắt đứng dọc).
Không nên nhầm lẫn hình ảnh này với tổn thương vỏ bọc.
Một lượng nhỏ dịch quanh túi độn không có âm vang (anechoic) là bình thường (hình bên trái).
Lượng dịch tràn ngày càng tăng hoặc dịch có âm vang hơn có thể được chọc hút để xét nghiệm, tùy thuộc vào biểu hiện lâm sàng.
Nếp gấp
Nếp gấp xuất hiện dưới nhiều hình thái khác nhau và có tính chất động.
Khi gấp ra ngoài, chúng đôi khi có thể sờ thấy được, đặc biệt ở các rìa của túi độn ngực và ở những vị trí có ít mô giữa túi độn và da.
Các nếp gấp này là hình ảnh bình thường.
Nếp gấp hướng tâm (Radial folds)
Các đường thẳng hoặc đường cong sâu bên trong túi độn có thể khó đánh giá.
Liệu chúng là các nếp gấp hướng tâm bên trong hay là một phần của vỏ bọc bị xẹp do vỡ túi trong bao xơ? Cần tìm kiếm thêm các dấu hiệu khác và theo dõi đường đi của chúng để xem có liên tục với vỏ bọc hay không.
Trong một số trường hợp, cần chụp MRI để giải quyết vấn đề này.
Vỡ túi trong bao xơ (Intracapsular rupture)
Khi vỏ bọc bị vỡ nhưng bao xơ vẫn còn nguyên vẹn, tình trạng này được gọi là vỡ túi trong bao xơ.
Silicone di chuyển vào khoang giữa vỏ bọc và bao xơ, nhưng không di chuyển vào mô vú hoặc ra ngoài.
Các dấu hiệu cần tìm kiếm:
- Dấu hiệu dưới bao xơ (Subcapsular sign): Các đường song song nằm bên trong lòng túi độn ngực, không đi theo phức hợp vỏ bọc-bao xơ bên ngoài.
- Dấu hiệu thang (Stepladder sign): Nhiều lớp đường song song nằm bên trong lòng túi độn.
Dấu hiệu này tương tự dấu hiệu Linguine quan sát được trên MRI. - Xảo ảnh bão tuyết (Snowstorm artefacts) nằm ngoài vỏ bọc
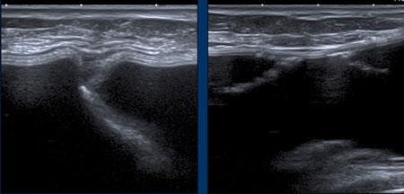
Dấu hiệu thang (Stepladder sign)
Siêu âm có thể phát hiện vỡ túi trong bao xơ bằng cách xác định một chuỗi các đường thẳng hoặc đường cong tăng âm nằm ngang, tương đối song song với nhau, đi ngang qua bên trong lòng túi độn, thường được gọi là “dấu hiệu thang” (stepladder sign).
Điều quan trọng là không được nhầm lẫn dấu hiệu thang với các nếp gấp hướng tâm nổi bật bình thường.
Hình ảnh
Thêm các ví dụ về “dấu hiệu thang”.
Ở bệnh nhân này, vôi hóa bao xơ nặng nề đã che khuất tình trạng của túi độn.
Tuy nhiên, khi quan sát từ một góc độ khác, dấu hiệu thang cho thấy rõ ràng có vỡ túi.
Do vôi hóa lan rộng, không thể xác định chắc chắn liệu đây chỉ là vỡ túi trong bao xơ hay còn kèm theo rò rỉ Silicone ngoài bao xơ.
A. Không còn nhìn thấy vỏ bọc xung quanh bề mặt túi độn. Nội dung bên trong hoàn toàn không đồng nhất và thoái hóa.
B. Vỏ bọc bị xẹp (mũi tên vàng) và không đi theo phức hợp vỏ bọc-bao xơ bên ngoài (mũi tên trắng).
Có một khối tập hợp không đồng nhất chứa Silicone nằm giữa vỏ bọc và bao xơ.
Vỡ túi ngoài bao xơ (Extracapsular rupture)
MRI
Giao thức chụp
MRI là tiêu chuẩn vàng để đánh giá tính toàn vẹn của túi độn ngực, với độ nhạy 80-90% và độ đặc hiệu 90-97% trong phát hiện vỡ túi.
MRI có độ phân giải không gian cao và khả năng ức chế hoặc tăng cường tín hiệu của Silicone, nước và mỡ.
Có thể kết hợp nhiều chuỗi xung để phát hiện các biến chứng.
Không cần tiêm Gadolinium tĩnh mạch.
Chuỗi xung T2W
Đây là chuỗi xung tốt nhất để khảo sát giải phẫu, cung cấp độ phân giải cao. Chuỗi xung này cũng cung cấp thông tin về tình trạng hạch bạch huyết.
Hình ảnh chỉ hiển thị Silicone
Đây là chuỗi xung STIR, trong đó mỡ bị ức chế, kết hợp với ức chế tín hiệu nước. Kết quả là chỉ còn tín hiệu của vật liệu silicone. Chuỗi xung này lý tưởng để khảo sát tình trạng vỡ vỏ túi và phát hiện silicone nằm ngoài vỏ túi hoặc ngoài bao xơ.
Hình ảnh chỉ hiển thị nước
Sự kết hợp giữa bão hòa mỡ và ức chế silicone cung cấp thông tin về các ổ dịch tụ bên trong hoặc xung quanh túi độn.
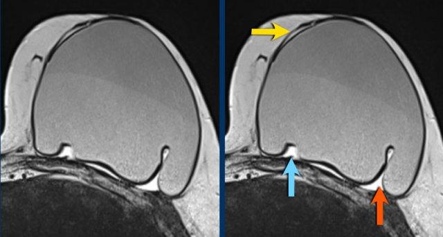
Hình ảnh bình thường
Tràn dịch lượng nhỏ thường gặp trên hình ảnh.
Chúng có cường độ tín hiệu khác với Silicone và không nên nhầm lẫn với dấu hiệu lỗ khóa (keyhole sign).
Chuỗi xung T2W cho thấy dịch tràn lấp đầy khoang ảo giữa vỏ túi và bao xơ. Đây là hình ảnh bình thường.
Chuỗi xung T1W cho thấy bao xơ dày giảm tín hiệu. Bao xơ sẽ giảm tín hiệu trên mọi chuỗi xung.
Bờ viền của túi độn tròn đều hơn, gợi ý tình trạng co rút bao xơ.
Mặc dù các dấu hiệu co rút có thể quan sát rõ trên hình ảnh, mức độ co rút được đánh giá bằng khám lâm sàng.
Các nếp gấp hướng tâm là những chỗ gấp vào trong của vỏ túi, kéo dài từ bề mặt vào trong khối gel.
Đây cũng là hình ảnh bình thường.
Phần nội dung bên trong các đường nếp gấp không được chứa Silicone.
Thêm các ví dụ về nếp gấp hướng tâm bình thường.
Đây là thêm các ví dụ về tình trạng gấp vào trong bình thường của vỏ túi.
Không có thành phần silicone bên trong các nếp gấp này.
Một ví dụ khác về đường đi sâu và rộng của các nếp gấp hướng tâm bình thường.
Dấu hiệu giọt nước (Water droplet sign)
Nhiều giọt tròn nhỏ có tín hiệu dịch nằm bên trong khối gel silicone có thể là dấu hiệu thoái hóa.
Tuy nhiên, cần có thêm các dấu hiệu khác để xem xét khả năng vỡ túi.
Vỡ túi trong bao xơ
Khi có silicone bên trong một nếp gấp, đó là dấu hiệu của vỡ túi trong bao xơ.
Các hình ảnh cho thấy:
- Dấu hiệu giọt nước mắt (Teardrop sign): hai thành vỏ túi chạm vào nhau (1).
- Dấu hiệu lỗ khóa hoặc dấu hiệu thòng lọng (Keyhole/Noose sign): các hình dạng khác nhau, hai thành vỏ túi không chạm vào nhau (2-3).
Đây là một ví dụ khác về các biểu hiện khác nhau của vỡ túi trong bao xơ, với silicone nằm ngoài vỏ túi nhưng còn trong bao xơ.
- Đường dưới bao xơ (subcapsular line) (mũi tên vàng)
- Dấu hiệu mũi (nose sign) (mũi tên xanh dương)
- Dấu hiệu giọt nước mắt (teardrop sign) (mũi tên đỏ)
Dấu hiệu Linguine
Đây là dấu hiệu đáng tin cậy nhất của vỡ túi trong bao xơ.
Các đường cong uốn lượn được tạo thành bởi vỏ túi bị vỡ trông giống như sợi mì Linguine.
Trước tiên hãy quan sát hình ảnh và trả lời các câu hỏi sau:
- Bạn nhận thấy những dấu hiệu nào.
- Mức độ nghi ngờ vỡ túi của mỗi dấu hiệu là bao nhiêu?
Sau đó cuộn hình ảnh.
- Màu xanh lá: thoái hóa nhưng không phải dấu hiệu vỡ túi.
- Màu cam: nghi ngờ vỡ túi trong bao xơ nhưng chưa phải dấu hiệu xác định. Cần các chuỗi xung khác để xác định đây có phải là Silicone hay không.
- Màu đỏ: Dấu hiệu Linguine – bằng chứng của vỡ túi trong bao xơ.
Vỡ túi ngoài bao xơ
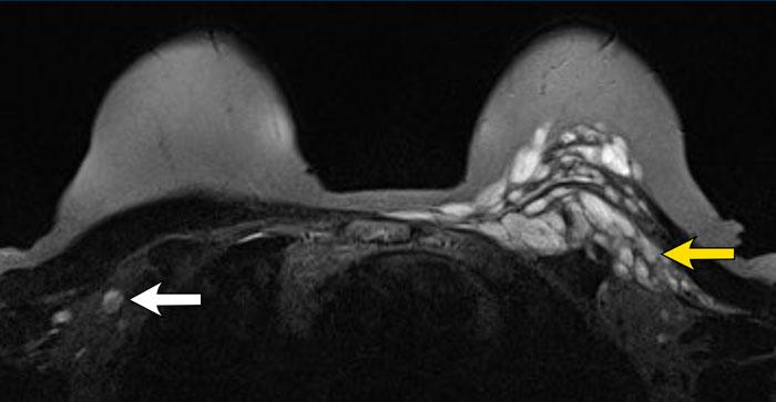
Bệnh nhân nữ này có vỡ túi ngoài bao xơ bên phải với silicone nằm ngoài bao xơ dày (mũi tên trắng).
Ở vú trái có vỡ túi trong bao xơ được biểu hiện bằng đường dưới bao xơ với silicone ở cả hai phía của đường này (mũi tên vàng).
Một ví dụ khác về vỡ túi ngoài bao xơ với silicone nằm ngoài ranh giới bao xơ.
Bệnh nhân này đã được phẫu thuật tháo túi độn ngực hai bên.
Bên phải có tín hiệu cao của vật liệu silicone trong các hạch bạch huyết (mũi tên trắng).
Bên trái có silicone tồn dư ở phía trước và phía sau cơ ngực lớn (mũi tên vàng) và cả bên trong cơ.
Khi một túi độn silicone mới được đặt vào, lượng silicone tồn dư này không nên bị nhầm lẫn với tình trạng rò rỉ ngoài bao xơ của túi độn mới.
BIA-ALCL
U Lympho Tế Bào Lớn Dạng Nguyên Bào
BIA-ALCL (u lympho tế bào lớn dạng nguyên bào liên quan đến túi ngực) là một biến chứng quan trọng cần lưu ý đối với các túi ngực độn silicon và nước muối sinh lý.
BIA-ALCL phát triển chủ yếu, nếu không muốn nói là hoàn toàn, ở những bệnh nhân có túi ngực bề mặt nhám.
Tỷ lệ lưu hành ước tính ở nhóm túi ngực này là 1:30.000.
Phần lớn các trường hợp BIA-ALCL được ghi nhận trên túi ngực bề mặt nhám Allergan Biocell và loại túi này sau đó đã bị thu hồi khỏi thị trường.
Hai phần ba bệnh nhân BIA-ALCL biểu hiện bằng triệu chứng khó chịu và sưng nề do sự hình thành tràn dịch quanh túi ngực (85%), trong đó phát hiện các tế bào lympho không điển hình. Đôi khi có kèm theo khối u trong 15% trường hợp.
Bất kỳ trường hợp tràn dịch hoặc khối u một bên xuất hiện muộn nào cũng cần được chọc hút và phân tích tế bào học.
Phân giai đoạn bệnh được thực hiện bằng PET-CT, tương tự như các loại u lympho khác.
Phần lớn bệnh nhân được chẩn đoán ở Giai đoạn 1.
Phương pháp điều trị là phẫu thuật cắt bỏ túi ngực, bao xơ và khối u (nếu có).
Tiên lượng thuận lợi khi được điều trị sớm.
X-Quang và CT
X-Quang ngực và CT không đóng vai trò trong việc khảo sát túi ngực nhân tạo.
Đôi khi chúng có thể được phát hiện trên X-Quang, chẳng hạn khi có vôi hóa bao xơ hoặc khi nhìn thấy van bơm của túi giãn nở (mũi tên).
Trên CT đôi khi cũng có thể thấy các biến chứng, nhưng thông thường CT không cung cấp đủ thông tin về tình trạng toàn vẹn của túi ngực.
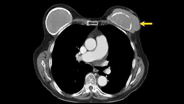
Phim ngực thẳng cho thấy vôi hóa bao xơ trong một túi ngực nhân tạo bị di lệch vào trong, không song song với đường viền tuyến vú.
CT của cùng bệnh nhân này cũng cho thấy vôi hóa ở mặt sau không đi theo đường viền của túi ngực, gợi ý vỡ túi trong bao xơ (mũi tên).
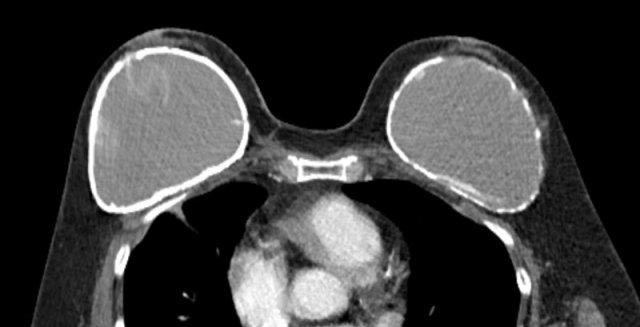
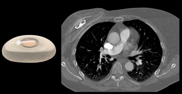
Một túi ngực còn nguyên vẹn có tỷ trọng bên trong đồng nhất màu xám trên CT, với lớp vỏ bao và bao xơ mỏng bao quanh có tỷ trọng cao hơn một chút.
Các bất thường về vị trí và các loại van bơm khác nhau đôi khi có thể được nhận thấy.
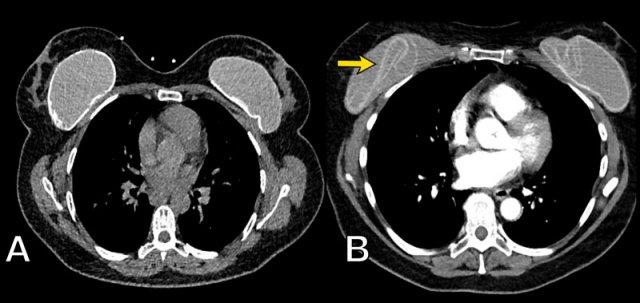
Bệnh nhân này có túi ngực bơm nước muối sinh lý với tỷ trọng bên trong thấp.
Quan sát thấy lớp vỏ bao mỏng, đều đặn, tỷ trọng cao hơn một chút.
Trên CT có thể thấy các loại van bơm khác nhau của túi ngực nhân tạo.
Vôi hóa bao xơ thường gặp và đôi khi có thể thấy dấu hiệu Linguine (mũi tên).
Trong hầu hết các trường hợp, các phát hiện trên CT sẽ không có tính kết luận.
Túi ngực bên trái của bệnh nhân này cho thấy vôi hóa bao xơ không nằm ở ngoại vi và có tính chất gián đoạn.
Chưa rõ đây là vỡ túi ngoài bao xơ hay có tràn dịch lượng nhiều.
Chụp nhũ ảnh (Mammography)
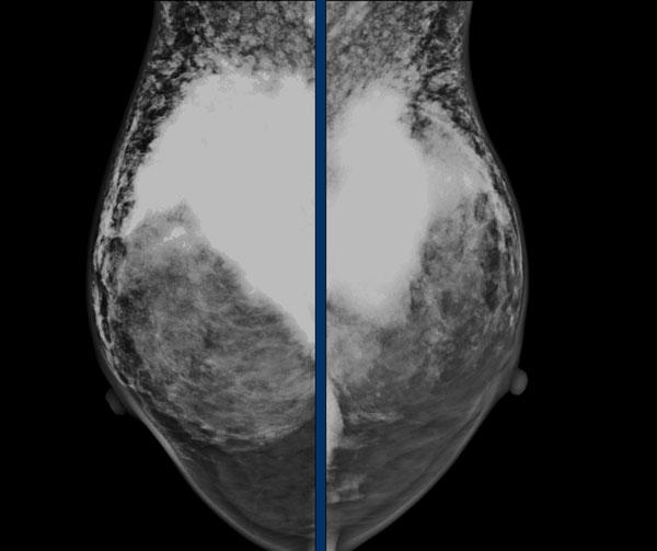
Cùng một bệnh nhân trước và sau khi đặt túi ngực trước cơ ngực (prepectoral).
Đặc biệt, túi ngực đặt trước cơ ngực có thể làm giảm khả năng đánh giá trên nhũ ảnh.
Tuy nhiên, chụp nhũ ảnh thông thường và chụp cắt lớp tổng hợp 3D (3D tomosynthesis) vẫn có thể thực hiện tốt và thực tế có giá trị tiên đoán dương tính (PPV) cao nhất trong việc phát hiện silicon ngoài bao xơ.
Phương pháp này cũng giúp phát hiện khách quan các thay đổi theo thời gian, hiển thị các vôi hóa, có thể thấy bóng mờ dịch xung quanh và tất nhiên bổ sung các phát hiện quan trọng trong mô tuyến vú.
Kỹ thuật Eklund
Có thể thực hiện các tư thế chụp đặc biệt như tư thế Eklund.
Bằng cách đẩy túi ngực ra phía sau và kéo mô vú ra phía trước, có thể quan sát mô tuyến vú tốt hơn.
Chụp cắt lớp tổng hợp (Tomosynthesis)
Chụp cắt lớp tổng hợp có thể rất hữu ích như trong trường hợp này.
Có một khối ở phía bên ngoài, được thấy rõ nhất trên hình ảnh cắt lớp 3D.
Sinh thiết dưới hướng dẫn siêu âm đã được thực hiện và khối này được xác định là u xơ tuyến vú (fibroadenoma).
Trên nhũ ảnh này, có cả vôi hóa trong bao xơ lẫn vôi hóa ngoài bao xơ không điển hình.
Hình ảnh chi tiết của bệnh phẩm cho thấy khối và các vôi hóa tập trung thành nhóm.
Giải phẫu bệnh: ung thư vú độ 2, không có loại đặc biệt (NST – No Special Type).
Người phụ nữ này có túi ngực chứa nước muối sinh lý và cho thấy hình ảnh van bơm dạng đĩa dẹt.
Có một khối, rõ hơn trên hình ảnh chụp cắt lớp tổng hợp (lát cắt 56 trong tổng số 73).
Đây là một khối có bờ tua gai.
Giải phẫu bệnh: ung thư tiểu thùy xâm nhập độ 2 và ung thư tiểu thùy tại chỗ (LCIS).
Một ví dụ khác về giá trị của chụp cắt lớp tổng hợp.
Khối u được thấy rõ nhất trên hình ảnh cắt lớp.
Biến chứng của túi ngực
Tư thế chụp chếch của vú phải cho thấy túi ngực chứa nước muối sinh lý bị vỡ và xẹp.
Bên trái là hình ảnh túi ngực chứa nước muối sinh lý bình thường với van bơm.
Trong hình A, có các vôi hóa bao xơ trước cơ ngực của túi ngực cũ và một túi ngực đặt dưới cơ ngực.
Trong hình B là tình trạng sau phẫu thuật cắt bao xơ và thay thế túi ngực đặt dưới cơ ngực.
Hình ảnh điển hình của silicon ngoài bao xơ biểu hiện dưới dạng các khối đậm đặc, bờ rõ nằm ngoài bờ viền của túi ngực.
U hạt silicon
Các u hạt silicon còn tồn lại sau khi tháo bỏ túi ngực do vỡ ngoài bao xơ trước đó vào năm 2013.
U hạt silicon có thể biểu hiện dưới dạng các khối có hình thái đáng ngờ và động học ngấm thuốc tương phản từ trên MRI vú, hoặc tăng hấp thu FDG trên PET-CT.
Chúng có thể xuất hiện ở ngoại vi của túi ngực hoặc trong mô vú sau khi vỡ.
Sự hiện diện của túi ngực silicon và nhận thức về khả năng vỡ túi cũng như hình thành u hạt silicon có thể giúp đưa ra chẩn đoán chính xác (tài liệu tham khảo).
Tiêm silicon tự do vào vú
Đây là một hình thức nâng ngực thay thế, mặc dù có nhiều tác dụng phụ nghiêm trọng và bị cấm ở nhiều quốc gia.
Bệnh nhân này đến từ Philippines với biểu hiện các cục đau hai bên vú.
Các vùng đậm đặc lan rộng ở cả hai vú là kết quả của việc tiêm silicon trực tiếp vào tuyến vú.
Tiếp tục xem hình ảnh MRI…
Hình ảnh MRI của cùng bệnh nhân cho thấy silicon tự do biểu hiện dưới dạng các vùng tăng tín hiệu trên chuỗi xung chỉ hiển thị silicon (silicone-only sequence).
Phẫu thuật
Cắt bỏ bao xơ dày
Trong video này, đầu tiên một đường rạch được thực hiện vào bao xơ đã dày lên.
Túi độn sau đó được lấy ra qua đường rạch này.
Cuối cùng, bao xơ dày được cắt bỏ.
































































