Tổn thương nang buồng trứng
Ngày xuất bản
Bài tổng quan này trình bày các đặc điểm hình ảnh của buồng trứng bình thường và các khối nang buồng trứng thường gặp nhất.
Trong Khối nang buồng trứng – Phần I, một lộ trình chẩn đoán và xử trí các khối nang buồng trứng được trình bày dựa trên kết quả siêu âm và MRI.
Có thể phóng to hình ảnh bằng cách nhấp vào.
Trên ứng dụng iPhone, thao tác này sẽ hiển thị hình ảnh độ phân giải cao ở toàn bộ độ phân giải retina.
Buồng trứng bình thường
Trước mãn kinh
Buồng trứng bình thường chứa hơn hai triệu noãn nguyên thủy khi sinh, trong đó khoảng 10 noãn trưởng thành trong mỗi chu kỳ kinh nguyệt.
Trong số 10 nang Graaf bắt đầu trưởng thành, chỉ một nang trở thành nang trội và phát triển đến kích thước 18-20 mm vào giữa chu kỳ, khi đó nang vỡ ra để giải phóng noãn bào.
Chín nang còn lại sẽ thoái hóa và xơ hóa.
Sau khi giải phóng noãn bào, nang trội xẹp xuống, và các tế bào hạt ở lớp lót bên trong tăng sinh và phình to để tạo thành hoàng thể kinh nguyệt.
Trong vòng 14 ngày, hoàng thể thoái triển, để lại thể trắng nhỏ có sẹo (corpus albicans).
Các nang Graaf
Buồng trứng bình thường ở phụ nữ tiền mãn kinh chứa các nang nhỏ.
Các hình ảnh cho thấy hai buồng trứng bình thường với nhiều nang đơn giản, không có âm vang, phù hợp với các nang Graaf.
Bẫy chẩn đoán trên FDG-PET – buồng trứng bình thường ở phụ nữ tiền mãn kinh
Ở một số phụ nữ tiền mãn kinh, buồng trứng bình thường có thể bắt FDG mạnh trên PET, tùy thuộc vào thời điểm trong chu kỳ kinh nguyệt.
Do ở phụ nữ tiền mãn kinh, buồng trứng dương tính trên PET có thể là u phần phụ hoặc hoàn toàn bình thường, điều quan trọng là phải nhận thức được khả năng bắt FDG sinh lý vào giữa chu kỳ và cần đối chiếu với bệnh sử lâm sàng.
Do đó, FDG-PET ở phụ nữ tiền mãn kinh nên được lên lịch ưu tiên vào tuần đầu tiên của chu kỳ kinh nguyệt.
Ở phụ nữ hậu mãn kinh, buồng trứng bình thường chỉ bắt FDG tối thiểu.
Bất kỳ sự tăng bắt FDG tại buồng trứng nào ở nhóm tuổi này đều gợi ý khả năng có u tân sinh.

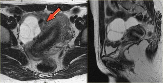
TRÁI: Phụ nữ sau mãn kinh. Buồng trứng là một cụm mô giảm tín hiệu T2W nằm gần đầu gần của dây chằng tròn. PHẢI: Buồng trứng trái giảm tín hiệu T2W, không có nang noãn. Buồng trứng hơi nổi bật nhưng vẫn có khả năng là bình thường
Sau mãn kinh
Mãn kinh được định nghĩa là vô kinh kéo dài 1 năm hoặc hơn. Ở các nước phương Tây, độ tuổi mãn kinh trung bình là 51-53 tuổi.
Ở phụ nữ sau mãn kinh, buồng trứng thường nhỏ hơn và dần dần ngừng hình thành các nang Graaf.
Tuy nhiên, cần lưu ý rằng các nang noãn có thể tồn tại trong vài năm sau mãn kinh.
Trên ảnh MRI chuỗi xung T2W mặt phẳng coronal của một phụ nữ sau mãn kinh, buồng trứng chỉ là một cụm mô giảm tín hiệu nằm gần đầu gần của dây chằng tròn.
Ảnh MRI chuỗi xung T2W mặt phẳng axial cũng cho thấy buồng trứng trái giảm tín hiệu, không có nang noãn.
Mặc dù hơi nổi bật, đây có khả năng là hoàn toàn bình thường.
Chỉ khi tình cờ có hình ảnh trước đó cho thấy tổn thương đang phát triển, chẩn đoán phân biệt mới bắt đầu với các tổn thương đặc lành tính như u xơ buồng trứng hoặc u xơ-vỏ buồng trứng.
Nang chức năng
Cho đến nay, các tổn thương buồng trứng dạng nang phổ biến nhất là nang buồng trứng chức năng lành tính.
Nang chức năng là các nang Graaf hoặc hoàng thể đã phát triển quá lớn hoặc đã chảy máu, nhưng về bản chất vẫn là lành tính.
Trong giai đoạn hậu mãn kinh sớm, từ 1 đến 5 năm sau kỳ kinh cuối cùng, các chu kỳ rụng trứng lẻ tẻ vẫn có thể xảy ra và nang buồng trứng vẫn có thể được ghi nhận.
Ngay cả trong giai đoạn hậu mãn kinh muộn, được định nghĩa là hơn 5 năm kể từ kỳ kinh cuối cùng, khi rụng trứng khó có khả năng xảy ra, các nang đơn giản nhỏ vẫn có thể được phát hiện ở tới 20% phụ nữ.
Nang nang trứng (Nang noãn)
Đôi khi nang Graaf trội không rụng trứng và không thoái triển. Khi kích thước vượt quá 3 cm, nang được gọi là nang noãn.
Nang noãn thường có kích thước từ 3 đến 8 cm, nhưng có thể lớn hơn nhiều.
Trên siêu âm, nang noãn biểu hiện là nang đơn thùy, không có hồi âm, thành mỏng và nhẵn.
Không có nốt ngấm thuốc hay thành phần đặc nào khác, không có vách ngăn ngấm thuốc, và không có dịch cổ trướng vượt quá mức sinh lý.
Nang noãn thường tự thoái triển khi theo dõi.
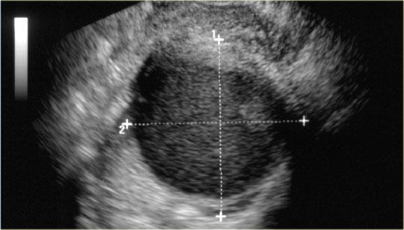
Nang hoàng thể
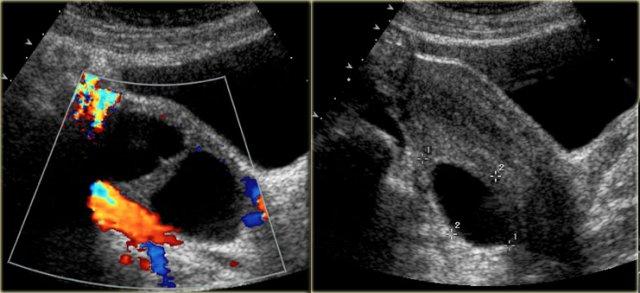
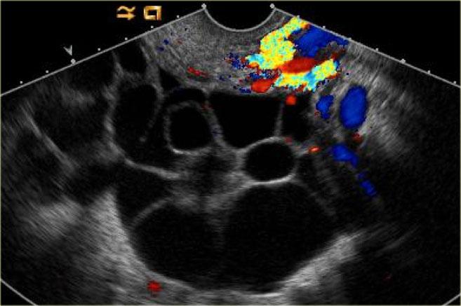
Hoàng thể có thể bị bít lại và chứa đầy dịch hoặc máu, tạo thành nang hoàng thể.
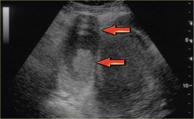
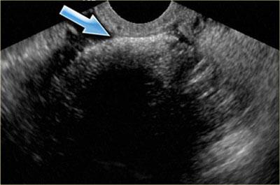
Các hình ảnh siêu âm qua ngã âm đạo cho thấy một nang buồng trứng phức tạp nhỏ với mạch máu thành nang trên phân tích Doppler năng lượng.
Hình ảnh Doppler vòng tròn đặc trưng này được gọi là dấu hiệu ‘vòng lửa’ (ring of fire).
Lưu ý, có hiện tượng xuyên âm tốt và không có mạch máu bên trong, phù hợp với nang hoàng thể đang thoái triển một phần.
Cần nhớ rằng phụ nữ đang dùng thuốc tránh thai thường sẽ không hình thành hoàng thể, vì thuốc tránh thai ngăn chặn quá trình rụng trứng.
Mặt khác, việc sử dụng thuốc kích thích rụng trứng làm tăng nguy cơ hình thành nang hoàng thể.
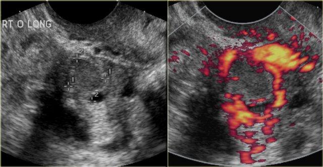
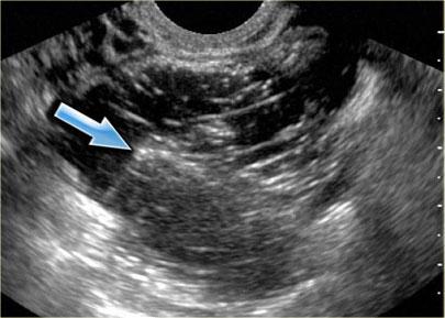
Một trường hợp khác với hình ảnh điển hình của dấu hiệu ‘vòng lửa’ trên siêu âm.
Trên tiêu bản giải phẫu bệnh, nang xuất huyết xẹp có thể được quan sát rõ ràng.
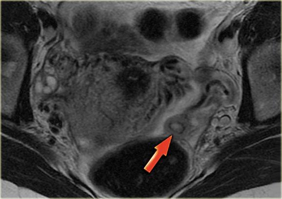
Nang hoàng thể trên MRI: hình ảnh chuỗi xung T2W mặt cắt ngang cho thấy nang hoàng thể đang thoái triển (mũi tên).
Đây là hình ảnh bình thường.
Buồng trứng phải cũng bình thường.
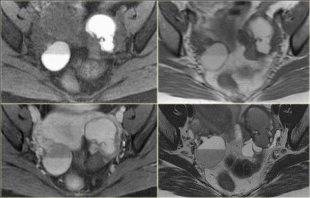
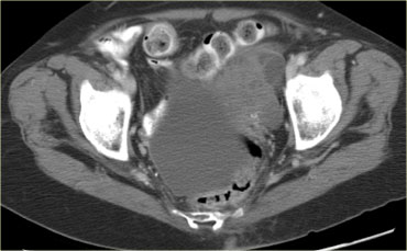
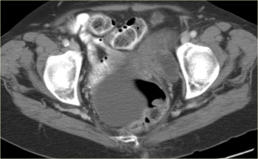
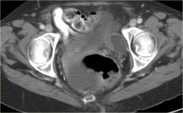
Nang buồng trứng xuất huyết
Khi nang Graaf hoặc nang noãn chảy máu, một nang buồng trứng xuất huyết (HOC) phức tạp được hình thành.
Trên siêu âm, nang buồng trứng xuất huyết biểu hiện là nang đơn thùy thành mỏng với các dải fibrin hoặc hồi âm mức thấp và xuyên âm tốt.
Trên MRI, nang xuất huyết tăng tín hiệu trên chuỗi xung T1-FatSat trước tiêm thuốc tương phản từ, và giảm tín hiệu trên T2.
Không có mạch máu bên trong trên siêu âm Doppler hoặc ngấm thuốc bên trong trên CT hay MRI.
Nang buồng trứng xuất huyết có độ dày thành thay đổi, và thường có thể thấy một số mạch máu theo chu vi.
Về lâm sàng, biểu hiện điển hình là đau cấp tính.
Tuy nhiên, nang buồng trứng xuất huyết cũng có thể là phát hiện tình cờ ở bệnh nhân không có triệu chứng.
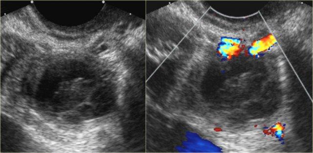
Các hình ảnh siêu âm cho thấy nhiều tổn thương buồng trứng phải đơn giản và một tổn thương phức tạp (mũi tên đỏ).
Tổn thương sau biểu hiện hồi âm mức thấp lan tỏa và không có tín hiệu dòng chảy trên Doppler.
Lưu ý có xuyên âm tốt (mũi tên xanh).
Các đặc điểm này gợi ý sự hiện diện của nang xuất huyết.
Tiếp tục xem các hình ảnh MRI.
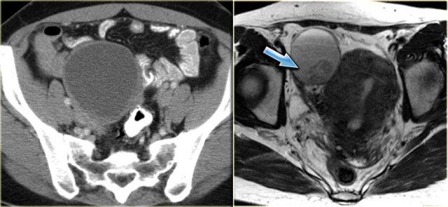
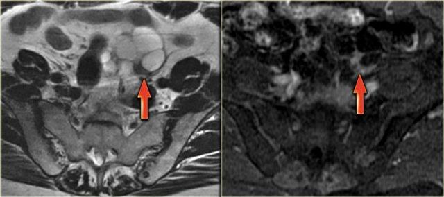
Hình ảnh chuỗi xung T2W mặt cắt ngang và mặt cắt đứng dọc của cùng một bệnh nhân.
Buồng trứng phải chứa nhiều nang đơn giản tăng tín hiệu T2 với bờ mỏng và không có thành phần đặc.
Trên hình mặt cắt ngang, có một tổn thương giảm tín hiệu T2, tức là nang phức tạp (mũi tên).
Có một lượng nhỏ dịch cổ trướng quanh buồng trứng phải, nhưng không đủ để gợi ý lo ngại về khả năng u tân sinh.
Trên chuỗi xung T1W không có kỹ thuật xóa mỡ, nang phức tạp tăng tín hiệu, gợi ý thành phần mỡ hoặc máu.
Trên chuỗi xung T1W có kỹ thuật xóa mỡ, tổn thương vẫn tăng tín hiệu, loại trừ tổn thương chứa mỡ.
Sau khi tiêm Gd, không có ngấm thuốc, xác nhận đây là nang buồng trứng xuất huyết.
Lạc nội mạc tử cung dạng nang (endometrioma) cần được đưa vào chẩn đoán phân biệt.
Lưu ý rằng hình ảnh trừ (subtraction) là tốt nhất để chứng minh sự vắng mặt của ngấm thuốc trong tổn thương tăng tín hiệu trên chuỗi xung T1W trước tiêm thuốc tương phản từ.
Các hình ảnh siêu âm cho thấy buồng trứng phải và trái: ở cả hai bên đều có hình ảnh trông giống như tổn thương đặc.
Tuy nhiên, có xuyên âm tốt, gợi ý chúng ta có thể đang đối mặt với các nang xuất huyết.
Trên siêu âm Doppler (không hiển thị) không có mạch máu.
Tiếp tục xem kết quả MRI.
Trên hình ảnh chuỗi xung T1W mặt cắt ngang, cả hai tổn thương đều tăng tín hiệu, gợi ý mỡ, máu hoặc dịch giàu protein.
Kỹ thuật xóa mỡ không làm giảm tín hiệu trong các tổn thương này.
Trong một hình ảnh có kỹ thuật xóa mỡ tổng thể tương đối tốt, điều này loại trừ u quái chứa mỡ và xác nhận gợi ý về dịch xuất huyết.
Trên hình ảnh chuỗi xung T2W mặt cắt ngang, cả hai tổn thương đều cho thấy hình ảnh ‘shading’ điển hình.
Sự sụt giảm dần dần tín hiệu T2 được cho là do sự kết hợp của độ nhớt tăng dần và nồng độ protein cùng sắt tăng dần về phía phần thấp của tổn thương.
Không có ngấm thuốc trên hình ảnh trừ (sau tiêm Gd trừ trước tiêm Gd).
Một lần nữa, kỹ thuật trừ rất hữu ích trong các trường hợp như thế này: sự tăng tín hiệu do Gd gây ra trên nền hình ảnh trước tiêm thuốc vốn đã rất sáng sẽ rất khó nhận biết nếu không có kỹ thuật này.
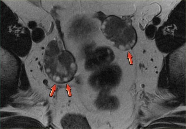
Các tổn thương dạng nang và giả nang lành tính khác

Siêu âm đường âm đạo cho thấy tổn thương dạng nang giảm âm kích thước lớn với các echo mức độ thấp lan tỏa
Lạc nội mạc tử cung dạng nang (Endometrioma)
Lạc nội mạc tử cung dạng nang (endometrioma) là loại nang hình thành khi mô nội mạc tử cung phát triển trong buồng trứng.
Bệnh ảnh hưởng đến phụ nữ trong độ tuổi sinh sản và có thể gây đau vùng chậu mạn tính liên quan đến chu kỳ kinh nguyệt.
Buồng trứng bị tổn thương ở khoảng 75% bệnh nhân mắc lạc nội mạc tử cung.
Trên siêu âm, hình ảnh endometrioma có thể đa dạng, nhưng đại đa số (khoảng 95%) bệnh nhân biểu hiện hình ảnh điển hình là nang đồng nhất, giảm âm với các echo mức độ thấp lan tỏa.
Hiếm gặp hơn, tổn thương có thể không có echo, dễ nhầm lẫn với nang buồng trứng chức năng.
Endometrioma có thể có nhiều ngăn và có các vách ngăn mỏng hoặc thậm chí dày.

Siêu âm qua đường âm đạo: endometrioma với hai ổ tăng âm ở thành, phù hợp với lắng đọng cholesterol (mũi tên)
Ở khoảng một phần ba số bệnh nhân, khi khảo sát kỹ có thể thấy các ổ tăng âm nhỏ bám vào thành nang.
Các ổ này được cho là lắng đọng cholesterol, nhưng cũng có thể là các cục máu đông nhỏ hoặc mảnh vụn.
Điều quan trọng là cần phân biệt các ổ này với các nốt thành thực sự.
Khi có sự hiện diện của các ổ này, chẩn đoán endometrioma là rất có khả năng.
Hình siêu âm qua đường âm đạo cho thấy hình ảnh endometrioma điển hình với các ổ tăng âm ở thành.
Trên siêu âm Doppler, không ghi nhận tín hiệu mạch máu trong các ổ này (không hiển thị).
Trường hợp tiếp theo là hình siêu âm qua đường âm đạo cho thấy một tổn thương dạng nang có cấu trúc tăng âm.
Chẩn đoán phân biệt rộng bao gồm: u nang buồng trứng có thành phần đặc, u quái dạng nang trưởng thành với nốt Rokitansky tăng âm, nang xuất huyết có cục máu đông và endometrioma có cục máu đông hoặc mảnh vụn.
Tiếp tục xem hình ảnh CT và MRI.
CT được chỉ định và cho thấy tổn thương tương tự, chủ yếu là dạng nang.
Khi cần chẩn đoán hình ảnh bổ sung cho các nang không xác định được trên siêu âm, nên ưu tiên thực hiện MRI.
Hình chuỗi xung T2W bên phải tương quan tốt với hình siêu âm.
Trên chuỗi xung T2W, endometrioma điển hình biểu hiện dấu hiệu ‘shading’ (che khuất tín hiệu).

TRÁI: Chuỗi xung T1W có ngấm thuốc tương phản từ Gadolinium kết hợp ức chế mỡ. PHẢI: Hình ảnh trừ (Subtraction).
MRI xác nhận không có sự ngấm thuốc, khẳng định đây nhiều khả năng là mảnh vụn bên trong nang.
Trên MRI, thành phần xuất huyết sẽ làm cho endometrioma tăng tín hiệu trên chuỗi xung T1W.
Trên chuỗi xung T1W có ức chế mỡ, endometrioma vẫn duy trì tín hiệu sáng.
Điều này trái ngược với u quái, cũng tăng tín hiệu trên T1W nhưng giảm tín hiệu trên chuỗi xung T1W có ức chế mỡ.
Luôn bao gồm chuỗi xung T1 có ức chế mỡ, vì điều này giúp phát hiện rõ hơn các tổn thương tăng tín hiệu T1 kích thước nhỏ.
Trường hợp tiếp theo là tổn thương buồng trứng một ngăn, giảm âm nhẹ với hiện tượng tăng âm phía sau.
Không ghi nhận tín hiệu mạch máu bên trong hay ở thành nang trên siêu âm Doppler.
Trên siêu âm, tổn thương này có thể là nang xuất huyết hoặc endometrioma.
Tiếp tục xem hình ảnh MRI.
MRI theo dõi được thực hiện 6 tháng sau.
Các tổn thương tăng tín hiệu trên chuỗi xung T1W.
Tín hiệu sáng vẫn tồn tại trên chuỗi xung ức chế mỡ, xác nhận sự hiện diện của máu.
Có dấu hiệu shading trên T2W phù hợp với tổn thương xuất huyết.
Không có ngấm thuốc.
Mức dịch-dịch trong tổn thương buồng trứng phải cũng xác nhận bản chất dạng nang của tổn thương.
Việc các tổn thương vẫn tồn tại sau 6 tháng làm cho chẩn đoán endometrioma hai bên có khả năng cao hơn nhiều so với nang xuất huyết.
Hội chứng buồng trứng đa nang
Hội chứng Buồng trứng Đa nang (PCOS) còn được gọi là hội chứng Stein-Leventhal.
Chẩn đoán hình ảnh có thể xác nhận hoặc gợi ý chẩn đoán.
Tiêu chuẩn chẩn đoán hình ảnh:
- 10 nang đơn giản ngoại vi trở lên
- Thường có hình ảnh đặc trưng ‘chuỗi hạt ngọc trai’.
- Buồng trứng thường to, mặc dù ở 30% bệnh nhân buồng trứng có thể tích bình thường.
Những bệnh nhân này thường có rối loạn chu kỳ kinh nguyệt và các biểu hiện lâm sàng điển hình như rậm lông, béo phì, vô sinh, mụn trứng cá, hói đầu kiểu nam giới hoặc tăng nồng độ androgen trên xét nghiệm sinh hóa.
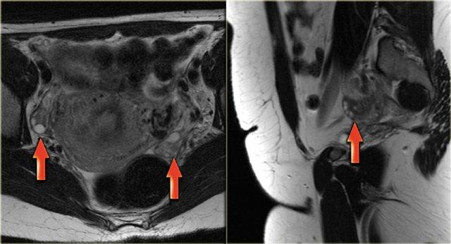
Bên trái là hình chuỗi xung T2W mặt cắt đứng dọc ở bệnh nhân có nồng độ androgen huyết thanh tăng cao.
Buồng trứng to và cho thấy nhiều nang đơn giản nhỏ phân bố ngoại vi.
Tình trạng béo phì liên quan đến hội chứng này được thể hiện rõ qua lượng mỡ dồi dào, tăng tín hiệu trên chuỗi xung T2W FSE.
Ở bệnh nhân này, MRI đã xác nhận chẩn đoán PCOS.
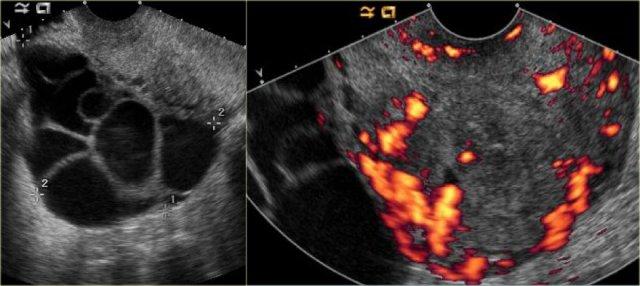
Hội chứng quá kích buồng trứng – Nang hoàng thể vỏ (Theca lutein)
Hội chứng quá kích buồng trứng là một tình trạng tương đối hiếm gặp.
Nguyên nhân do kích thích nội tiết tố quá mức bởi hCG, vì vậy thường xảy ra hai bên.
Kích thích nội tiết tố quá mức có thể xảy ra trong bệnh nguyên bào nuôi thai kỳ, PCOS hoặc ở bệnh nhân đang điều trị nội tiết tố.
Tình trạng này cũng có thể gặp trong thai kỳ, nhưng hiếm khi xảy ra trong thai kỳ đơn bình thường. Nếu có xảy ra trong thai kỳ bình thường, diễn tiến tự nhiên được ghi nhận là tự thoái triển sau sinh.
Trong thai kỳ bình thường, diễn tiến tự nhiên được ghi nhận là tự thoái triển sau sinh.
Kích thích nội tiết tố quá mức thường gặp hơn trong thai trứng, bệnh erythroblastosis fetalis hoặc đa thai.
Trên chẩn đoán hình ảnh, buồng trứng to – thường hai bên – với nang nhiều ngăn có thể thay thế hoàn toàn buồng trứng.
Tiền sử lâm sàng là yếu tố then chốt để chẩn đoán hội chứng quá kích buồng trứng.

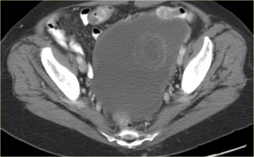
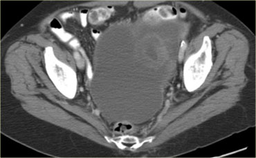
Nang hoàng thể vỏ: hình siêu âm của một phụ nữ mang thai trẻ tuổi. Cả hai buồng trứng đều có nhiều nang. Hình bên phải cho thấy khối xâm lấn tử cung, phù hợp với thai trứng xâm lấn.
Các hình siêu âm là của một phụ nữ mang thai trẻ tuổi có nhiều nang buồng trứng. Buồng trứng còn lại không được hiển thị nhưng có hình ảnh tương tự.
Các yếu tố cần thiết để chẩn đoán hội chứng quá kích buồng trứng nằm ở tiền sử lâm sàng – một phụ nữ mang thai trẻ tuổi – và ở hình ảnh cuối cùng của tử cung, cho thấy khối xâm lấn tử cung, phù hợp với thai trứng xâm lấn.
Viêm vùng chậu (PID) với áp xe vòi trứng-buồng trứng
Áp xe vòi trứng-buồng trứng (TOA) thường phát sinh như một biến chứng của nhiễm trùng Chlamydia hoặc Gonorrhoeae lan từ âm đạo hoặc cổ tử cung lên vòi trứng.
U nang buồng trứng lành tính
U quái nang trưởng thành
U quái nang trưởng thành, còn được gọi là nang bì (dermoid cyst), là một tổn thương buồng trứng lành tính rất thường gặp có thể có hình ảnh dạng nang.
Trong bối cảnh này, “trưởng thành” có nghĩa là lành tính, trái ngược với u quái chưa trưởng thành có tính chất ác tính.
U quái nang lành tính thường gặp ở phụ nữ trẻ trong độ tuổi sinh sản.
Trên hình ảnh học, tổn thương thường là đơn thùy (chiếm đến 90%) nhưng cũng có thể đa thùy, và xuất hiện hai bên trong khoảng 15% trường hợp.
Đến 60% trường hợp có thể chứa vôi hóa.
Thành phần nang là mỡ dạng lỏng, được tiết ra bởi các tuyến bã nhờn trong lớp lót nang.
Sự hiện diện của mỡ có giá trị chẩn đoán xác định.
Hình ảnh siêu âm đặc trưng là một khối dạng nang với một nốt thành đặc tăng âm, được gọi là nốt Rokitansky hay nút bã nhờn (hình).
Trong một trường hợp khác, siêu âm qua ngả âm đạo cho thấy dấu hiệu “đỉnh tảng băng”: bóng cản âm phía sau từ phần tăng âm của nang bì.
Hình ảnh này có thể bị nhầm lẫn với hơi trong lòng ruột và tổn thương có thể bị bỏ sót.
Có thể quan sát thấy mức mỡ-dịch, do mỡ nổi trên dịch có tính chất nước hơn.
Nhiều đường hoặc dải tăng âm mảnh có thể được nhìn thấy, do tóc nổi trong khoang nang.
U quái nang trưởng thành, mặc dù lành tính, thường được phẫu thuật cắt bỏ do nguy cơ xoắn buồng trứng tăng cao, đây là biến chứng thường gặp nhất liên quan đến tổn thương này.
Các biến chứng khác liên quan đến u quái bao gồm nhiễm trùng, vỡ nang (tự phát hoặc do chấn thương) và hiếm gặp hơn là thiếu máu tán huyết (hồi phục sau khi cắt bỏ).
Biến đổi ác tính có thể xảy ra nhưng cũng hiếm gặp (
Hình ảnh chuỗi xung T1W mặt cắt ngang trên cùng bệnh nhân cho thấy một tổn thương tăng tín hiệu với vách ngăn bên trong.
Vách ngăn được ghi nhận trong khoảng 10% các tổn thương này.
Trên chuỗi xung T1W có xóa mỡ, tín hiệu bị triệt tiêu.
Điều này xác nhận thành phần mỡ và có giá trị chẩn đoán xác định u quái.
Hình ảnh CT cho thấy giảm tỷ trọng điển hình tương ứng với thành phần mỡ trong u quái nang bên phải.
U nang tuyến và u nang tuyến xơ
U nang tuyến (cystadenoma) và u nang tuyến xơ (cystadenofibroma) cũng là các u buồng trứng lành tính thường gặp. Chúng có thể thuộc loại thanh dịch hoặc chất nhầy.
Trên hình ảnh học, u nang tuyến thanh dịch thường là đơn thùy và không có âm vang, có thể trông giống như một nang đơn giản.
U nang tuyến chất nhầy thường là đa thùy với vách ngăn mỏng (
Các thùy có thể chứa dịch phức tạp do mảnh vụn chứa protein hoặc xuất huyết, hoặc cả hai.
Sự hiện diện của các nhú nội nang cần làm tăng nghi ngờ về khả năng ác tính giáp ranh hoặc ung thư biểu mô nang tuyến.
Siêu âm qua ngả âm đạo cho thấy nang buồng trứng trái ưu thế kích thước 5,1×5,2 cm.
Nang không có âm vang và không thấy vách ngăn.
Ngoài ra không có cổ trướng.
Tuy nhiên, có một nốt ở thành sau không ghi nhận dòng chảy trên Doppler.
Đây có thể là nang nang trứng với một ít mảnh vụn, nhưng không thể loại trừ u nang tân sinh.
Khuyến cáo đánh giá thêm bằng MRI.
Hình ảnh chuỗi xung T2W trên cùng bệnh nhân cho thấy các vách ngăn mỏng có ngấm thuốc (cũng như các xảo ảnh do chuyển động không nên nhầm lẫn với vách ngăn).
Không có nốt u, không có hạch bạch huyết to hay tổn thương phúc mạc.
Chỉ có một lượng nhỏ cổ trướng.
Kết quả giải phẫu bệnh xác định là u nang tuyến.
Trường hợp tiếp theo là một tổn thương dạng nang khác.
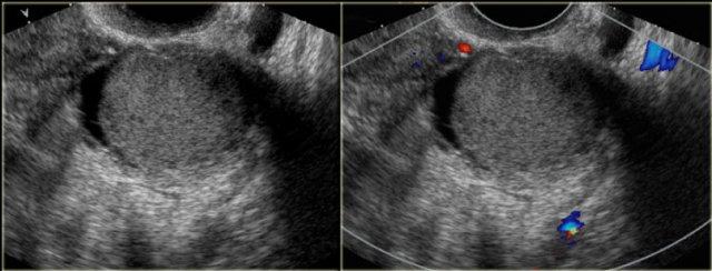
Trên thành sau phát hiện một nốt thành đặc, vô mạch.
Không có dấu hiệu thứ phát của ác tính.
Tiếp tục đánh giá bằng MRI.
Năm năm sau, tổn thương đã lớn hơn.
Hình ảnh T2W mặt cắt ngang cho thấy tổn thương nang phức tạp buồng trứng trái, với một nốt đặc ở thành sau.
Trên chuỗi xung T1W-FatSat sau tiêm thuốc tương phản từ, các vách ngăn mỏng và nốt thành ngấm thuốc nhẹ.
Dựa trên các đặc điểm này, không thể phân biệt giữa tổn thương buồng trứng lành tính như u nang tuyến xơ và tổn thương ác tính.
Tổn thương được phẫu thuật cắt bỏ và kết quả giải phẫu bệnh xác định là u nang tuyến xơ.
Trường hợp tiếp theo là siêu âm qua thành bụng cho thấy một khối nang đa thùy bên trái.
Hình ảnh này gợi ý u nang tân sinh buồng trứng nhưng không xác định được buồng trứng.
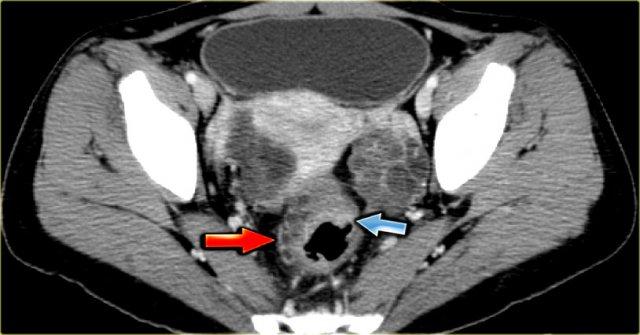
CT trên cùng bệnh nhân cho thấy một khối nang đa thùy tiếp giáp bàng quang, có liên quan đến tĩnh mạch buồng trứng trái (mũi tên).
Có các vách ngăn dày và thành dày không đều.
Dựa trên hình ảnh CT này, không thể phân biệt giữa tổn thương buồng trứng lành tính như u nang tuyến xơ và tổn thương buồng trứng ác tính.
Tổn thương được phẫu thuật cắt bỏ và kết quả giải phẫu bệnh xác định là u nang tuyến xơ.
Các u nang buồng trứng ác tính
Cần nhớ rằng, vai trò của chẩn đoán hình ảnh không phải là xác định bản chất mô học của tổn thương, mà là phân biệt tổn thương lành tính với ác tính và định hướng các quyết định xử trí tiếp theo.
Các ví dụ được đưa ra ở đây nhằm minh họa các đặc điểm hình ảnh nghi ngờ ác tính, không phải là hướng dẫn để xác định loại mô học của tổn thương.
Ung thư biểu mô tuyến nang thanh dịch buồng trứng
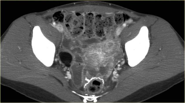
Siêu âm cho thấy một khối đặc-nang phức tạp ở buồng trứng trái, và một khối đặc-nang phức tạp khác có kích thước rất lớn ở nửa chậu hông phải.
CT của cùng bệnh nhân cho thấy một khối đặc-nang phức tạp với các vách dày có ngấm thuốc ở buồng trứng phải.
Các đặc điểm này rất nghi ngờ cho một u nang buồng trứng ác tính.
Ngoài ra còn có hạch bạch huyết to hai bên (mũi tên).
Kết quả giải phẫu bệnh cho thấy đây là ung thư biểu mô tuyến nang thanh dịch buồng trứng.
Đây là loại ung thư buồng trứng thường gặp nhất.
Ung thư biểu mô tuyến nang nhầy buồng trứng
Siêu âm cho thấy một tổn thương nang đa thùy kích thước rất lớn ở vùng phần phụ phải.
Một số thùy không có âm vang. Các thùy khác chứa âm vang mức độ thấp đồng nhất, phù hợp với thành phần giàu protein như xuất huyết hoặc trong trường hợp này là chất nhầy. Các vách ngăn mỏng, ngoại trừ các vách phía sau có vẻ dày hơn một phần do độ phân giải hình ảnh thấp hơn ở độ sâu lớn. Các vách ngăn không có mạch máu. Không có thành phần đặc. Không có cổ trướng.
Mặc dù không có thành phần đặc và không có mạch máu trên siêu âm Doppler màu, kích thước lớn và hình thái đa thùy của tổn thương này vẫn nghi ngờ cho một u nang buồng trứng thực sự và cần được đánh giá thêm.
CT có tiêm thuốc cản quang cho thấy các đặc điểm tương tự. Các thùy có tỷ trọng khác nhau, phù hợp với hàm lượng protein khác nhau.
Không có cổ trướng, không có tổn thương cấy ghép phúc mạc và không có hạch bạch huyết to.
Kết quả giải phẫu bệnh xác định đây là ung thư biểu mô tuyến nang nhầy có tiềm năng ác tính thấp.
Các vách ngăn mỏng, tương đối ít mạch máu, không có thành phần đặc rõ ràng, không có cổ trướng và ung thư biểu mô phúc mạc, cũng như không có xâm lấn, gợi ý một tổn thương có tiềm năng ác tính thấp (LMP).
Tuy nhiên, cần lưu ý rằng chẩn đoán này không thể được xác lập chỉ dựa trên các đặc điểm hình ảnh đơn thuần.
Đặc biệt, sự vắng mặt của xâm lấn vào mô đệm buồng trứng không thể được đánh giá một cách đáng tin cậy trên hình ảnh.
Ung thư biểu mô buồng trứng dạng nội mạc tử cung
Trên siêu âm, cả hai buồng trứng đều to rõ rệt và chứa các thành phần nang với các thành phần đặc trong lòng nang (mũi tên).
Các tổn thương đặc-nang phức tạp, kết hợp với tính chất hai bên, rất nghi ngờ cho u nang buồng trứng thực sự và cần được đánh giá thêm.
Một lần nữa, vai trò của chẩn đoán hình ảnh là xác nhận sự hiện diện của tổn thương và kết luận rằng đây không phải là tổn thương có thể được phân loại chắc chắn là lành tính, cũng không phải là tổn thương có thể theo dõi an toàn: cần phải có hành động can thiệp.
CT của cùng bệnh nhân xác nhận các tổn thương đặc-nang phức tạp hai bên kích thước lớn, phồng vào ổ bụng.
Mục đích của CT không phải là xác nhận những gì đã biết từ siêu âm, mà là để phân giai đoạn bệnh.
Dựa trên CT (hoặc MRI), không thể xác định loại mô học của khối u.
Điều này không có ý nghĩa quyết định. Bệnh nhân này sẽ được phẫu thuật.
Đối với các u biểu mô – nhóm u ác tính buồng trứng thường gặp nhất – ngay cả sau phẫu thuật, phân loại mô học chính xác của khối u ít quan trọng hơn nhiều đối với tiên lượng so với các yếu tố như giai đoạn FIGO, độ biệt hóa khối u và mức độ thành công của phẫu thuật trong việc loại bỏ toàn bộ bệnh.
Đối với bệnh nhân này, các đặc điểm quan trọng được thể hiện trên hình bên trái.
Có một tổn thương cấy ghép phúc mạc.
Khối u đã được phẫu thuật cắt bỏ và kết quả giải phẫu bệnh cho thấy đây là ung thư biểu mô buồng trứng dạng nội mạc tử cung.
Di căn dạng nang đến buồng trứng
Mặc dù di căn đến buồng trứng thường có dạng đặc – chẳng hạn như di căn Krukenberg – di căn buồng trứng dạng nang vẫn có thể xảy ra.
Hình CT cho thấy các khối nang phức tạp ở cả hai buồng trứng.
Mặc dù ung thư biểu mô tuyến nang thanh dịch có thể xuất hiện hai bên, nhưng loại này thường có dạng đơn thùy hơn là đa thùy.
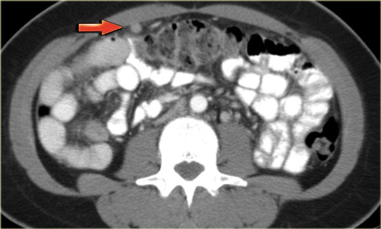
Hầu như không nhìn thấy một phần của ung thư đại trực tràng dạng vòng nhẫn (mũi tên xanh).
Nhìn thấy rõ ràng là các tổn thương cấy ghép dạng nang trên phúc mạc phản chiếu (mũi tên đỏ).
Đây là các tổn thương di căn buồng trứng dạng nang của ung thư đại trực tràng.
Đây là một đặc điểm hình ảnh không thường gặp.
















































