Tiêu xương – U xương ranh giới rõ
Trong bài viết U xương – Chẩn đoán phân biệt, chúng tôi thảo luận về cách tiếp cận có hệ thống trong chẩn đoán phân biệt các u xương và tổn thương dạng u.
Trong bài viết này, chúng tôi sẽ thảo luận về chẩn đoán phân biệt các u xương tiêu xương giới hạn rõ và các tổn thương dạng u.
Các chữ viết tắt được sử dụng:
- ABC = Aneurysmal bone cyst
- CMF = Chondromyxoid fibroma
- EG = Eosinophilic Granuloma
- GCT = Giant cell tumour
- FD = Fibrous dysplasia
- HPT = Hyperparathyroidism with Brown tumor
- NOF = Non Ossifying Fibroma
- SBC = Simple Bone Cyst
Introduction
Bên trái là các u xương và tổn thương dạng u xương lành tính được xác định rõ ràng phổ biến nhất.
Các tổn thương này đôi khi được gọi là tổn thương nang lành tính, đây là một thuật ngữ không chính xác vì hầu hết chúng không phải dạng nang, ngoại trừ SBC và ABC.
Đúng là ở bệnh nhân dưới 30 tuổi, ranh giới được xác định rõ ràng có nghĩa là chúng ta đang xử lý một tổn thương lành tính, nhưng ở bệnh nhân trên 40 tuổi, di căn và đa u tủy xương cần được đưa vào chẩn đoán phân biệt.
Bên trái là bảng liệt kê các khối u xương tiêu xương được xác định rõ ràng và các tổn thương giả u theo các nhóm tuổi khác nhau.
Notice the following:
-
Ở bệnh nhân
Ở bệnh nhân > 40 tuổi, di căn xương và đa u tủy xương là những khối u xương tiêu xương được xác định rõ ràng phổ biến nhất. - Bệnh nhân có u nâu trong cường cận giáp nên có các dấu hiệu khác của cường cận giáp hoặc đang chạy thận nhân tạo.
- Sự phân biệt giữa u sụn lành tính và sarcoma sụn độ thấp có thể không thể thực hiện được chỉ dựa trên các kết quả hình ảnh học.
- Infection is seen in all ages.
Fegnomashic

Fibrous dysplasia: various presentations with or without sclerotic margin, with groundglass appearance, with calcifications or ossifications
Fibrous dysplasia
Discriminator:
- Nếu có phản ứng màng xương hoặc đau, hãy loại trừ loạn sản xơ, trừ khi có gãy xương.
Enchondroma
U sụn trong xương (Enchondroma) là một khối u sụn lành tính.
Thường được phát hiện tình cờ.
Ở các đốt ngón tay, bệnh thường biểu hiện kèm theo gãy xương.
Đây là tổn thương phổ biến nhất ở các đốt ngón tay, nghĩa là một tổn thương tiêu xương giới hạn rõ ở bàn tay hầu như luôn là u sụn trong xương.
Ở một số vị trí, có thể khó phân biệt giữa u sụn trong xương và nhồi máu xương.
Gần như không thể phân biệt giữa u sụn trong xương và u sụn ác tính độ thấp chỉ dựa trên đặc điểm X-quang đơn thuần.
Bệnh Ollier là tình trạng có nhiều u sụn trong xương.
Hội chứng Maffucci là tình trạng có nhiều u sụn trong xương kết hợp với u mạch máu mô mềm.
Các đặc điểm ủng hộ chẩn đoán sarcoma sụn độ thấp:
- Higher age
- Size > 5 cm
- Activity on bone scan
- Fast enhancement on dynamic contrast enhanced MR series
- Endosteal scalloping of the cortical bone
Discriminators :
- Must have calcification except in phalanges.
- No periostitis.
- trái
Hình ảnh PD coronal ức chế mỡ của khớp gối. Các u sụn nội xương điển hình ở xương đùi và xương chày thường được phát hiện như một phát hiện tình cờ trong các kỳ kiểm tra MR. - giữa
Tổn thương tiêu xương xác định rõ ở xương sườn với mỏng vỏ xương. - phải
Tổn thương tiêu xương được xác định rõ với bờ xơ cứng và không có vôi hóa ở đốt ngón xa.
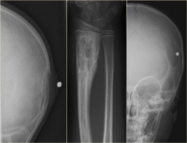
Eosinophilic granuloma
EG là sự tăng sinh không tân sinh của các mô bào và còn được gọi là bệnh mô bào tế bào Langerhans.
Bệnh cần được đưa vào chẩn đoán phân biệt của bất kỳ tổn thương xơ cứng hoặc tiêu xương nào, dù bờ rõ hay không rõ, ở bệnh nhân dưới 30 tuổi.
Có thể loại trừ chẩn đoán EG ở bệnh nhân trên 30 tuổi.
EG thường gặp ở một xương, nhưng cũng có thể gặp ở nhiều xương.
- trái
Tổn thương tiêu xương xuất phát từ hộp sọ thần kinh kèm theo sưng phần mềm liên quan. - giữa
Tổn thương hỗn hợp tiêu xương-xơ cứng, không rõ ranh giới với phản ứng màng xương đặc. - phải
Tổn thương tiêu xương sọ được xác định rõ ràng. Không có dấu hiệu ‘mảnh xương chết dạng nút’, vốn ít nhiều mang tính đặc trưng bệnh lý.
Discriminator:
- Must be under age 30.
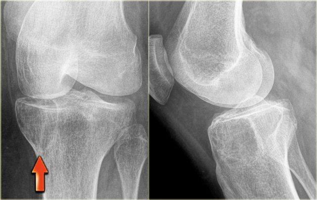
Giant cell tumor
U tế bào khổng lồ là tổn thương chứa các tế bào khổng lồ đa nhân.
Trong hầu hết các trường hợp, đây là tổn thương lành tính.
U tế bào khổng lồ ác tính rất hiếm gặp và không thể phân biệt u tế bào khổng lồ lành tính hay ác tính dựa trên phim X-quang.
U tế bào khổng lồ cũng được đưa vào chẩn đoán phân biệt của tổn thương tiêu xương không rõ ranh giới, với điều kiện tuổi và vị trí của tổn thương phù hợp.
Discriminators:
- Epiphyses must be closed.
- Must be an epiphyseal lesion and abut the articular surface.
- Must be well-defined and non-sclerotic margin.
- Must be eccentric.

NOF: typical presentation as an eccentric, multi-loculated subcortical lesion with a central lucency and a scalloped sclerotic margin.
NOF
NOF là một tổn thương lành tính, giới hạn rõ, đơn độc do sự tăng sinh của mô xơ.
Đây là tổn thương xương phổ biến nhất.
NOF thường được phát hiện tình cờ, có hoặc không kèm theo gãy xương.
NOF thường có bờ xơ cứng và có thể phồng to.
Chúng tự thoái triển với sự lấp đầy dần dần.
NOF có thể xuất hiện dưới dạng tổn thương đa ổ.
Hình ảnh X-quang hầu như luôn điển hình, do đó không cần thiết phải chụp thêm hình ảnh học bổ sung hay sinh thiết.
Discriminators:
- Must be under age 30.
- No periostitis or pain.
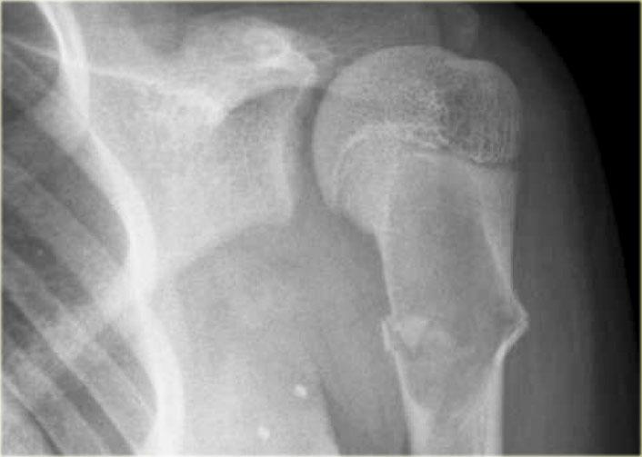
Osteoblastoma
U tạo xương (Osteoblastoma) là một khối u lành tính đơn độc hiếm gặp, tạo ra chất dạng xương và xương.
Cần xem xét u tạo xương khi nang xương phình mạch (ABC) nằm trong chẩn đoán phân biệt của tổn thương cột sống (hình).
U tạo xương điển hình có kích thước lớn hơn 2 cm, ngoài ra hoàn toàn giống với u xương dạng xương (osteoid osteoma).
Discriminator:
- Mention when ABC is mentioned.
Metastases
Di căn là các khối u xương ác tính phổ biến nhất.
Di căn phải được đưa vào chẩn đoán phân biệt của bất kỳ tổn thương xương nào, dù là tiêu xương hoặc xơ cứng xương được xác định rõ hay không rõ ràng ở bệnh nhân > 40 tuổi.
Di căn xương có xu hướng ưu tiên các vị trí tủy tạo máu: cột sống, xương chậu, xương sườn, hộp sọ và các xương dài đoạn gần: xương đùi, xương cánh tay.
Di căn có thể được đưa vào chẩn đoán phân biệt nếu bệnh nhân trẻ tuổi được biết là có bệnh ác tính, như u nguyên bào thần kinh, u cơ vân ác tính, u nguyên bào võng mạc.
Di căn tiêu xương phổ biến nhất: thận, phổi, đại tràng và u hắc tố.
Di căn xơ cứng xương phổ biến nhất: tuyến tiền liệt và vú.
Discriminator:
- Must be over age 40.
Multiple Myeloma
Đa u tủy xương phải được đưa vào chẩn đoán phân biệt của bất kỳ tổn thương xương tiêu xương nào, dù bờ rõ hay không rõ ở bệnh nhân trên 40 tuổi.
Vị trí hay gặp nhất là ở bộ xương trục (cột sống, hộp sọ, xương chậu và xương sườn) và ở thân xương dài (xương đùi và xương cánh tay).
Biểu hiện thường gặp nhất: nhiều tổn thương tiêu xương dạng “đục lỗ”.
Đa u tủy xương không có sự bắt xạ trên xạ hình xương.
Discriminator:
- Must be over age 40.
Multiple Myeloma (2)
Differential diagnosis:
- multiple lesions: metastases.
- solitary lesion: chondrotumor, GCT and lymphoma.
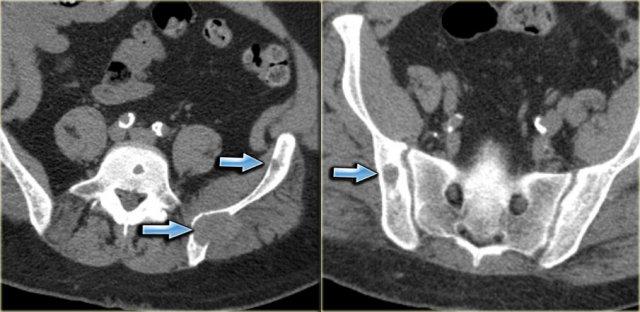
Bên trái là hình ảnh CT của một bệnh nhân bị đa u tủy xương.
Lưu ý các tổn thương tiêu xương nhiều nơi và hình thái phá hủy vỏ xương lan tỏa.
Ở cánh xương cùng bên trái có một tổn thương lớn hơn với tỷ trọng cao do tủy xương mỡ bị thay thế bởi u tủy (mũi tên đỏ).

ABC of the proximal fibula: well-defined, expansile osteolytic lesion with thin peripheral bone shell
Aneurysmal Bone Cyst
ABC (Nang xương phình mạch) là tổn thương xương tiêu xương đơn độc, dạng phồng, giới hạn rõ, chứa đầy máu.
Được gọi là phình mạch vì có đặc tính phồng to.
ABC được cho là kết quả của một quá trình phản ứng thứ phát sau chấn thương hoặc tăng áp lực tĩnh mạch.
Đôi khi có thể tìm thấy tổn thương nền như u tế bào khổng lồ (GCT), u tạo xương (osteoblastoma) hoặc u nguyên bào sụn (chondroblastoma).
ABC có thể xảy ra ở hầu hết mọi vị trí trong hệ xương.
Discriminators:
- Must be under age 30.
- Must be expansile

SBC: well-defined osteolytic lesion without expansion of the proximal meta-diaphysis of the humerus with pathologic fracture
Solitary Bone Cyst
Nang xương đơn độc, còn được gọi là nang xương đơn buồng, là một nang xương thực sự.
Nhiều tổn thương tiêu xương giới hạn rõ thường được gọi là dạng nang, nhưng đây là cách gọi không chính xác.
Nang xương đơn độc thường biểu hiện bằng gãy xương.
Đôi khi có thể thấy hình ảnh mảnh xương gãy rơi xuống (fallen fragment).
Vị trí hay gặp: đầu trên xương cánh tay và xương đùi.
Thường ít giãn nở hơn so với nang xương phình mạch.
Chẩn đoán phân biệt: nang xương phình mạch, loạn sản xơ dạng nang.
Nang xương đơn độc có thể di chuyển từ vùng hành xương đến thân xương trong quá trình phát triển của xương.
Discriminators:
- Must be under age 30.
- Must be centric
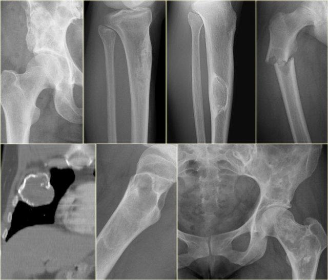
Hyperparathyroidism
U nâu có thể xuất hiện ở bất kỳ xương nào và biểu hiện dưới dạng tổn thương tiêu xương với bờ rõ nét.
Có thể thấy các vách ngăn và gờ xương.
Chẩn đoán phân biệt: Nang xương phình mạch (ABC), di căn và u tế bào khổng lồ (GCT) tùy thuộc vào vị trí và độ tuổi.
Bên trái là bệnh nhân đã được cắt thận do ung thư biểu mô tế bào thận và đang chạy thận nhân tạo.
Nhiều tổn thương tiêu xương bờ rõ được phát hiện trên phim chụp CT theo dõi.
Chẩn đoán phân biệt bao gồm di căn xương và u nâu trong cường cận giáp.
Sinh thiết xác nhận u nâu.
Discriminators:
- Must have other signs of HPT.
Infection
Nhiễm trùng hay viêm tủy xương là bệnh lý bắt chước điển hình của các khối u xương.
Bệnh có phổ biểu hiện X-quang rộng, xảy ra ở mọi lứa tuổi và không có vị trí điển hình.
Trong giai đoạn mạn tính, bệnh có thể bắt chước u xương lành tính (áp xe Brodie).
Trong giai đoạn cấp tính, bệnh có thể bắt chước u xương ác tính với bờ không rõ ràng, phá hủy vỏ xương và phản ứng màng xương kiểu xâm lấn.
Chỉ khi có phản ứng màng xương dạng đặc dày mới có thể nhận ra quá trình bệnh lý lành tính bên dưới.
Discriminators:
- None.
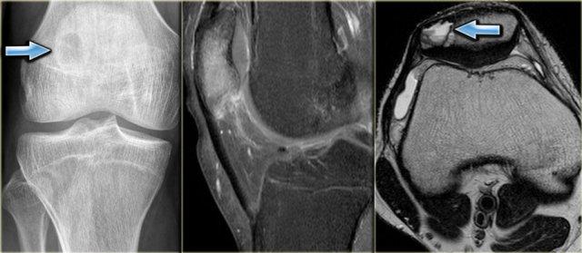
Chondroblastoma
Xương bánh chè, xương cổ tay và xương cổ chân có thể được xem như là đầu xương trong chẩn đoán phân biệt.
Bên trái là hình ảnh u nguyên bào sụn nằm ở xương bánh chè.
Discriminators :
- must be under age 30.
- must be in the epiphysis.
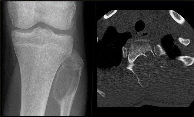
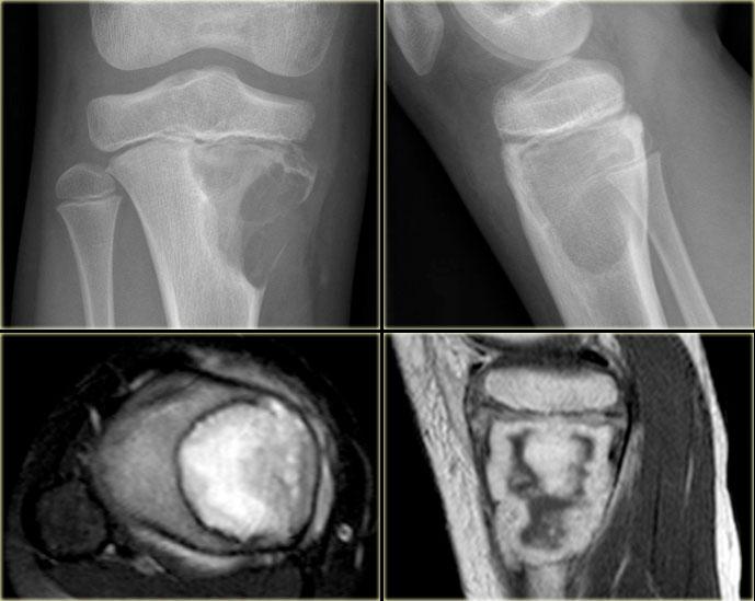
Chondromyxoid Fibroma
U xơ sụn nhầy là một tổn thương hiếm gặp.
U xơ sụn nhầy có hình ảnh tương tự u xơ không cốt hóa.
Vị trí ưu tiên: đầu gần xương chày và bàn chân.
Mặc dù tên gọi gợi ý rằng u xơ sụn nhầy là tổn thương sụn, nhưng thông thường không thấy hình ảnh vôi hóa.
Hình ảnh bên trái của một u xơ sụn dạng nhầy (CMF).
Có một tổn thương tiêu xương lệch tâm ở vùng hành xương của đầu gần xương chày.
Ở phía trong có một bờ xơ cứng.
Ở phía ngoài có sự phá hủy vỏ xương đều đặn với lớp xương ngoại vi.
Hình ảnh MRI cũng cho thấy bờ xơ cứng với cường độ tín hiệu thấp.
Discriminators :
- Mention when an NOF is mentioned.
Bên trái là tóm tắt những điểm cần tìm trong các tổn thương tiêu xương được xác định rõ ràng.
Charity
Toàn bộ lợi nhuận của Radiology Assistant được chuyển đến Medical Action Myanmar, tổ chức được điều hành bởi Bác sĩ Nini Tun và Bác sĩ Frank Smithuis sr, người là giáo sư tại Đại học Oxford và cũng là anh trai của Robin Smithuis.
Nhấp vào đây hoặc vào hình ảnh bên dưới để xem video về Medical Action Myanmar và nếu bạn thấy Radiology Assistant hữu ích, hãy ủng hộ Medical Action Myanmar bằng một món quà nhỏ.
















