Tiêu xương – U xương ranh giới không rõ
Trong bài viết U xương – Chẩn đoán phân biệt
chúng tôi đã thảo luận về cách tiếp cận có hệ thống trong chẩn đoán phân biệt các u xương và tổn thương dạng u.
Trong bài viết này, chúng tôi sẽ thảo luận về chẩn đoán phân biệt các u xương tiêu xương không rõ ranh giới theo thứ tự bảng chữ cái.
Bạn có thể nhấp vào một mục ở bên trái.
Introduction
Bên trái là các khối u xương và tổn thương giả u xương có giới hạn không rõ ràng phổ biến nhất.
An ill-defined zone of transition is seen in:
-
Khối u xương ác tính:
- Sarcoma Ewing
- Sarcoma xương (biểu hiện thường gặp nhất: xơ cứng)
- Bạch cầu cấp
- Di căn và Đa u tủy xương.
-
Tổn thương lành tính xâm lấn:
- Nhiễm trùng
- U hạt toan tính
- U tế bào khổng lồ xâm lấn tại chỗ
Bên trái là bảng các u xương và tổn thương dạng u phổ biến nhất ở các nhóm tuổi khác nhau.
Ở cột giữa là các tổn thương tiêu xương bờ không rõ ràng thường gặp.
Notice the following:
- Infection is seen in all ages.
- Bờ không rõ ràng trong u tế bào khổng lồ được thấy trong tổn thương xâm lấn tại chỗ.
- Chondrosarcoma thường có ranh giới rõ ràng, nhưng chondrosarcoma độ cao có thể có ranh giới không rõ ràng.
- Di căn và u tủy cũng thường có ranh giới rõ ràng, nhưng đôi khi không rõ ràng.
Chondrosarcoma
Key facts
- Thường gặp nhất là tổn thương bờ rõ, nhưng đôi khi có thể gặp dưới dạng tổn thương tiêu xương bờ không rõ.
- Vôi hóa có thể được nhìn thấy khi có thành phần myxoid lớn trong khối u, nhưng chúng không cần thiết cho chẩn đoán.
Bên trái là một tổn thương tiêu xương không rõ ranh giới một phần với hiện tượng xói mòn nội màng xương.
Có các vôi hóa dạng đám mây gợi ý chất nền sụn.
Các đặc điểm hình ảnh này cùng với kích thước tổn thương ủng hộ chẩn đoán u sụn ác tính (chondrosarcoma).
Ở bên trái có hai tổn thương khác được chứng minh là u sụn ác tính (chondrosarcoma).
Lưu ý rằng vôi hóa không phải là dấu hiệu bắt buộc trong u sụn ác tính (chondrosarcoma).
Ở bên trái là tổn thương tiêu xương thùy múi, một phần không rõ ranh giới ở đầu trên xương cánh tay.
Sự hiện diện của các vôi hóa gợi ý đây là một khối u sụn.
Các phần tiêu xương có xâm lấn và phá hủy vỏ xương nên làm tăng nghi ngờ về sarcoma sụn độ cao.
Eosinophilic granuloma
Key facts
- U hạt toan ái (EG) cũng giống như viêm tủy xương, là bệnh lý có thể bắt chước nhiều u xương lành tính và ác tính.
- Phải được đưa vào chẩn đoán phân biệt của hầu hết mọi tổn thương tiêu xương không rõ ràng ở bệnh nhân dưới 30 tuổi.
- May also present as a well-defined lesion.
- EG can be excluded in patients > 30 years.
- Thường gặp ở hộp sọ, xương hàm dưới, cột sống và xương dài, nhưng có thể xuất hiện ở bất kỳ vị trí nào.
Ở bên trái là một số ví dụ về U hạt bạch cầu ái toan (EG) với bờ không rõ ràng.
Có phản ứng màng xương đơn lớp hoặc đa lớp.
Ở bên trái là hình ảnh điển hình của u hạt bạch cầu ái toan trong hộp sọ dưới dạng tổn thương tiêu xương không rõ ranh giới.
Ewing’s sarcoma

Ewing’s sarcoma in diaphysis of the femur. Notice ill-defined zone of transition (blue arrow) and aggressive type of periosteal reaction (red arrows)
Key facts
- Biểu hiện thường gặp nhất: tổn thương tiêu xương không rõ ranh giới với nhiều lỗ nhỏ ở thân xương dài của trẻ em kèm theo khối mô mềm lớn.
- Biểu hiện với đau, khối u, sốt, thiếu máu và tăng bạch cầu.
- Most common location: femur, iliac bone, fibula, rib, tibia.
- Chẩn đoán phân biệt: U xương ác tính (Osteosarcoma), u lympho, nhiễm trùng và u hạt bạch cầu ái toan (EG).
- Thường gặp kiểu phản ứng màng xương dạng ác tính, nhưng không bao giờ là dạng lành tính.
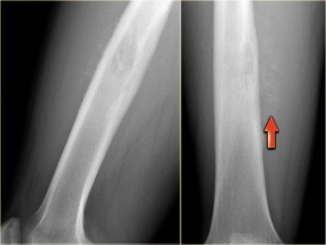
Bên trái là hình ảnh bệnh nhân có u xương Ewing ở xương đùi.
Lưu ý vùng tiêu xương không rõ ranh giới.
Có phản ứng màng xương xâm lấn.
Bên trái là một tổn thương tiêu xương không rõ ranh giới ở xương đùi của bệnh nhân trẻ tuổi.
Có hình thái phá hủy thấm nhiễm với sự phá hủy vỏ xương không đều.
Có phản ứng màng xương dạng xâm lấn (mũi tên).
Hình ảnh này còn được gọi là hình ảnh tia mặt trời.
Bên trái là tổn thương tiêu xương không rõ ranh giới ở xương chậu phải của một bệnh nhân trẻ, có thể dễ dàng bị bỏ sót.
Chẩn đoán cuối cùng: Sarcoma Ewing.
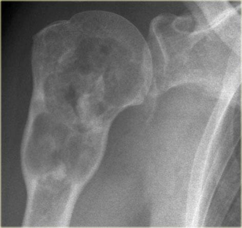
Giant cell tumor

GCT of the radius with ill-defined margins on the left and a GCT in the tibia with well-defined margins
Key facts
- U tế bào khổng lồ là tổn thương lành tính, nhưng có thể xâm lấn tại chỗ.
- Bờ viền rõ ràng liên quan đến hành vi sinh học tại chỗ ít xâm lấn hơn.
- In many cases the margin is ill-defined (figure).
- Những khối u này thường làm mỏng vỏ xương và có thể lan rộng vào các mô mềm xung quanh xương.
- Thường gặp nhất ở độ tuổi 20-40. Ở nhóm tuổi > 40, di căn và u tương bào cần được đưa vào chẩn đoán phân biệt.
Bên trái là u tế bào khổng lồ ở đầu xa xương quay với bờ không rõ ràng, phá hủy tấm xương dưới sụn và xâm lấn vào phần mềm.
Bên phải là u tế bào khổng lồ ở đầu gần xương chày với bờ tương đối rõ hơn và vỏ xương còn liên tục.
Lymphoma
Key facts
- Primary non-Hodgkin’s lymphoma of bone is rare.
- Presentation: usually pain and palpable mass.
- Preferential sites: femur and humerus.
- Hình ảnh X-quang có thể dao động từ gần như bình thường đến thâm nhiễm lan tỏa nặng nề.
- Chẩn đoán phân biệt:
- Sarcoma Ewing, tuy nhiên u lympho thường gặp ở nhóm tuổi cao hơn
- Di căn và u tương bào ở tuổi > 40.
Phim X-quang thường bên trái cho thấy tổn thương tiêu xương không rõ ranh giới ở thân xương cánh tay.
Lưu ý hiện tượng xâm lấn dạng đường hầm qua vỏ xương (mũi tên đỏ).
Trên hình MR, lưu ý các bất thường dạng tuyến tính trong vỏ xương và khối mô mềm bao quanh theo chu vi.
Chẩn đoán phân biệt (tùy theo độ tuổi): Sarcoma Ewing, viêm tủy xương và u lympho xương.
Sinh thiết xác nhận u lympho không Hodgkin
Metastases
Key facts
- Most common malignancy in bone.
- Phải được xem xét trong chẩn đoán phân biệt của bất kỳ tổn thương xương nào ở bệnh nhân > 40 tuổi.
- Có thể biểu hiện dưới dạng tổn thương xương tiêu xương bờ rõ, tiêu xương bờ không rõ và cũng có thể dưới dạng tổn thương xương xơ cứng.
- Phần lớn các di căn tiêu xương xuất phát từ ung thư vú, phổi, thận, đại tràng, u hắc tố và tuyến giáp.
Bên trái là hình ảnh của bệnh nhân 60 tuổi có tiền sử ác tính đã biết.
Có một tổn thương ở đầu xa xương đùi, mà bạn có thể dễ dàng bỏ qua và nghĩ rằng đó là loãng xương khu trú.
Tổn thương biểu hiện là một khối tiêu xương lớn, bờ không rõ, lan rộng vào vùng đầu xương và gần như tiếp giáp với bề mặt khớp.
Ở bệnh nhân trong độ tuổi 20-40, u tế bào khổng lồ (GCT) có thể là một chẩn đoán.
Kết quả cho thấy đây là tổn thương di căn.
Multiple Myeloma / Plasmacytoma
Key facts
- Đa u tủy xương phải được đưa vào chẩn đoán phân biệt của bất kỳ tổn thương xương tiêu hủy nào, dù bờ rõ hay không rõ, ở bệnh nhân trên 40 tuổi.
- Biểu hiện phổ biến nhất: nhiều tổn thương tiêu xương dạng “đục lỗ”. Biểu hiện đơn độc được gọi là u tương bào đơn độc (plasmacytoma).
- Usually no increased uptake on bone scan.
- Vị trí phổ biến nhất là ở bộ xương trục (cột sống, hộp sọ, xương chậu và xương sườn) và ở thân xương dài (xương đùi và xương cánh tay).
Osteomyelitis
Key facts
- Broad spectrum of radiographic features.
- May occur at any age, no typical location.
- Hình ảnh X-quang: chủ yếu là các thay đổi phản ứng, bao gồm phản ứng màng xương, xơ cứng và phù nề.
Phản ứng màng xương và hình thái thấm nhiễm có thể bắt chước các quá trình ác tính: sarcoma Ewing, sarcoma xương, u lympho, bạch cầu cấp. - Ở nhóm tuổi nhi khoa, u hạt bạch cầu ái toan cũng có thể bắt chước viêm tủy xương.
- Viêm tủy xương ở trẻ em: thường gặp nhất ở vùng hành xương trung tâm, có thể lan sang vùng đầu xương.
- Viêm tủy xương ở người lớn: thường gặp nhất ở vùng hành xương trung tâm hoặc thân xương.
- Có thể có tính thấm cao với sự phá vỡ vỏ xương, áp xe và dịch dọc theo cân mạc trên hình ảnh MR.
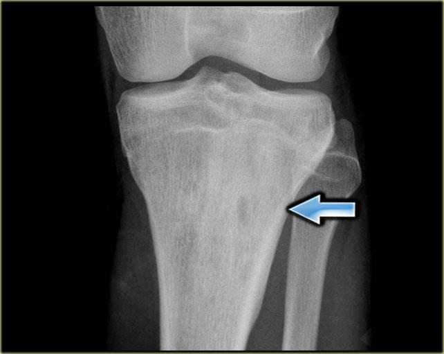
Bên trái là hình ảnh viêm tủy xương thể bán cấp.
Có thể thấy một tổn thương lệch tâm, ranh giới không rõ ở cả hai phía của đĩa sụn tăng trưởng tại đầu trên xương chày.
Hình ảnh này gợi ý mạnh mẽ cho chẩn đoán viêm tủy xương.
Nhìn chung, các tổn thương khác không vượt qua đĩa tăng trưởng.
Bên phải, hình ảnh MRI chuỗi xung T1 mặt phẳng coronal cho thấy một tổn thương vùng hành-đầu xương có ranh giới rõ.
Có vùng ngoại vi tín hiệu thấp do xơ cứng phản ứng, cùng với phù nề lan rộng biểu hiện tín hiệu thấp ở vùng hành xương.
Bên trái là tổn thương tiêu xương không rõ ranh giới ở vùng hành xương đầu gần xương chày với xơ cứng phản ứng lan rộng và phản ứng màng xương dạng đặc.
Osteosarcoma
Key facts of Osteosarcoma
- Đặc điểm đặc trưng của u xương ác tính (osteosarcoma) là sự sản xuất chất nền xương, được phản ánh qua hình ảnh xơ cứng thấy trên phim X-quang.
- Thường có các đặc điểm ác tính điển hình bao gồm kiểu phá hủy thấm nhiễm-ăn mòn, phá hủy vỏ xương không đều và phản ứng màng xương xâm lấn (gián đoạn).
- Đôi khi u xương ác tính (osteosarcoma) có thể biểu hiện dưới dạng tổn thương tiêu xương hoặc tổn thương hỗn hợp vừa tiêu xương vừa xơ cứng.
- Ung thư xương nguyên bào hoàn toàn tiêu xương có thể đại diện cho phân nhóm giãn mạch, bao gồm nhiều khoang chứa đầy máu (có thể giống nang xương phình mạch!).
Bên trái là tổn thương hỗn hợp tiêu xương và xơ cứng ở đầu trên xương cánh tay với phá hủy vỏ xương không đều.
Có phản ứng màng xương xâm lấn và khối phần mềm.













