TI-RADS – Hệ thống Báo cáo và Dữ liệu Hình ảnh Tuyến giáp
Lên đến 67% cá nhân được đánh giá bằng siêu âm được phát hiện có nhân tuyến giáp tình cờ.
Tỷ lệ cao của nhân tuyến giáp, kết hợp với sự tiến triển thường chậm chạp của ung thư tuyến giáp, đặt ra một thách thức đáng kể trong việc tối ưu hóa quản lý bệnh nhân.
Hệ thống Báo cáo và Dữ liệu Hình ảnh Tuyến giáp (TI-RADS) của Trường Cao đẳng X quang Hoa Kỳ (ACR), được giới thiệu vào năm 2017, được phát triển nhằm giảm thiểu các sinh thiết không cần thiết đối với các nhân lành tính và nâng cao độ chính xác chẩn đoán.
TI-RADS categories
TI-RADS đánh giá các nốt tuyến giáp dựa trên năm đặc điểm siêu âm:
- composition
- echogenicity
- shape
- margin
- punctate echogenic foci.
Mỗi đặc điểm được gán một giá trị điểm cụ thể.
Tổng điểm từ tất cả các danh mục xác định mức TI-RADS, tương ứng với khuyến nghị xử trí.
Các nhân tuyến giáp có kích thước nhỏ hơn 5 mm không cần theo dõi, ngay cả khi được phân loại TI-RADS 5, do khả năng xảy ra ác tính có ý nghĩa lâm sàng ở kích thước này là cực kỳ thấp.
Các nghiên cứu quy mô lớn đã chứng minh mối tương quan chặt chẽ giữa phân loại ACR-TI-RADS và nguy cơ ác tính.
The risk of malignancy is:
- TR1: 0.3%
- TR2: 1.5%
- TR3: 4.8%
- TR4: 9.1%
- TR5: 35%
Bảng này trình bày phiên bản ngang của phân loại TI-RADS.
Để xem chi tiết hơn, hãy nhấp vào để phóng to hình ảnh.
Các ngoại lệ của TI-RADS
Hệ thống TI-RADS không áp dụng được trong một số tình huống lâm sàng, mỗi tình huống trong số đó có nguy cơ ung thư tuyến giáp cao hơn so với dân số người lớn nói chung:
- Pediatric patients
- FDG-PET-avid thyroid nodules
- Presence of lymphadenopathy
- Các yếu tố nguy cơ đã biết của ác tính tuyến giáp, chẳng hạn như Đa u tuyến nội tiết (MEN) type 2
Composition
Tổn thương dạng nang, hoặc những tổn thương gần như hoàn toàn là nang, được coi là lành tính và được phân loại là TI-RADS 1.
Không có điểm bổ sung nào được tính thêm. Điều này cũng áp dụng cho các nhân dạng xốp, vốn có bản chất lành tính và không cần đánh giá thêm bằng siêu âm.
Cyst
Hình ảnh mô tả một nang tuyến giáp điển hình.
Không cần đánh giá thêm.
Spongiform nodules
Nốt dạng bọt biển có hình dạng giống miếng bọt biển, với ít nhất 50% thành phần cấu tạo bao gồm các thành phần nang nhỏ.
Không cần thêm đặc điểm mô tả siêu âm.
Mixed cystic/solid lesions
Trong các tổn thương hỗn hợp dạng nang/đặc, tỷ lệ giữa thành phần nang và thành phần đặc không phải là yếu tố quyết định.
Các tổn thương này được tính 1 điểm cho thành phần hỗn hợp dạng nang/đặc của chúng.
Solid lesions
- Tổn thương A: Tổn thương này gần như hoàn toàn đặc. Mặc dù có các vùng nang nhỏ, nhưng không đáp ứng tiêu chí của nốt dạng xốp, vì thành phần nang chiếm ít hơn nhiều so với 50% tổng thể tích nốt.
- Lesion B: This lesion is completely solid.
Để một tổn thương được phân loại là đặc, ít nhất 95% thành phần của nó phải là đặc. Việc xác định này dựa trên ước tính trực quan; không cần tính toán chính xác.
Echogenicity
Tổn Thương Trống Âm
Tổn thương trống âm phải xuất hiện hoàn toàn màu đen trên siêu âm, cho thấy bản chất dạng nang.
Không cần thêm đặc điểm mô tả siêu âm nào khác.
Tổn thương tăng âm và đồng âm
Cả tổn thương tăng âm và đồng âm đều được tính 1 điểm trong hệ thống phân loại TI-RADS. Về mặt tính điểm, không có sự phân biệt giữa hai loại này.
Độ hồi âm được đánh giá so với nhu mô tuyến giáp bình thường.
Tổn thương giảm âm
Tổn thương giảm âm có độ hồi âm thấp hơn so với nhu mô tuyến giáp bình thường xung quanh.
Nếu không thể đánh giá chính xác độ hồi âm (ví dụ: do sự hiện diện của các vôi hóa), mặc định sẽ được tính 1 điểm.
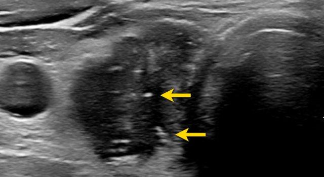
Tổn Thương Giảm Âm Rõ Rệt
Tổn thương giảm âm rõ rệt có độ hồi âm thấp hơn so với mô cơ bình thường.
Lưu ý rằng, trong hình ảnh được cung cấp, tổn thương có độ giảm âm cao hơn so với các cơ dải (được chỉ bởi các mũi tên).
Shape
Hình dạng nên được đánh giá trên mặt phẳng trục.
Hình dạng cao hơn rộng là yếu tố dự báo mạnh cho ác tính, và do đó được tính 3 điểm.
Margin
Đánh giá Bờ Nhân Tuyến Giáp
Bờ của nhân tuyến giáp thường được đánh giá tốt nhất ở mặt trước.
- Smooth: The margin is entirely smooth.
- Không rõ ràng: Ranh giới của nhân tuyến giáp không thể phân biệt rõ ràng với nhu mô tuyến giáp xung quanh. Đây được coi là đặc điểm lành tính và không nên nhầm lẫn với bờ không đều.
- Thùy hoặc Không đều: Bờ có dạng thùy, tua gai, không đều hoặc góc cạnh.
- Xâm lấn ngoài tuyến giáp: Đây là đặc điểm khó đánh giá trên siêu âm. Phải có bằng chứng rõ ràng về sự xâm lấn vào các cấu trúc lân cận; chỉ đơn thuần phồng lồi vào các cấu trúc lân cận là không đủ để phân loại là xâm lấn ngoài tuyến giáp.
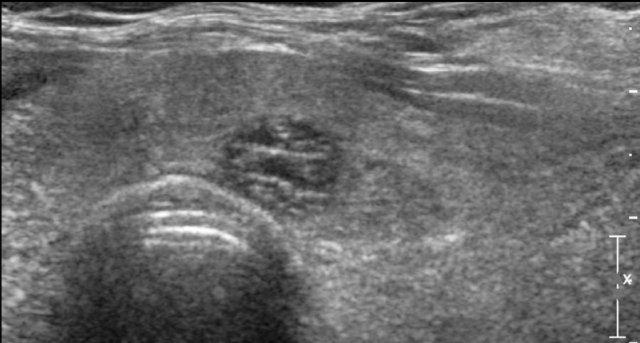
Nốt Không Rõ Ranh Giới
Trong hình ảnh được cung cấp, chỉ có các đoạn nhỏ của bờ nốt là có thể nhận thấy được (được chỉ ra bởi các mũi tên).
Phần lớn bờ nốt không phân biệt được với nhu mô tuyến giáp.
Điểm TI-RADS: 0 điểm.
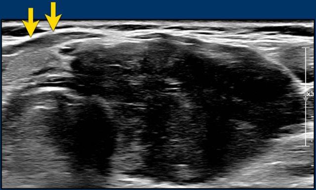
Nốt với Bờ Không Đều, Góc Cạnh
Nốt này có bờ không đều, góc cạnh.
Điểm TI-RADS: 2 điểm.
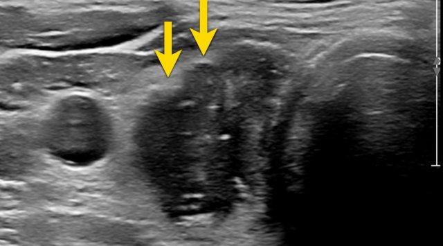
Nốt với Bờ Không Đều, Có Múi
Hình ảnh cho thấy bờ không đều, có múi ở mặt trước của nốt.
Điểm TI-RADS: 2 điểm.
Nốt với Sự Phát Triển Ngoại Sinh
Nốt này cho thấy sự phát triển ngoại sinh với sự chèn ép các cấu trúc lân cận.
Tuy nhiên, không có bằng chứng rõ ràng về sự xâm lấn thực sự, và do đó, không đủ tiêu chuẩn để xác định là xâm lấn ngoài tuyến giáp.
Echogenic foci
Comet Tail Artifact and Echogenic Foci
Danh mục tiêu điểm tăng âm có đặc điểm riêng là có thể có nhiều đặc điểm áp dụng đồng thời, và tất cả các tùy chọn liên quan đều phải được chọn.
Điểm của mỗi đặc điểm áp dụng được cộng vào tổng điểm TI-RADS.
Ví dụ, nếu cả các ổ tăng âm dạng chấm và vôi hóa viền cùng hiện diện, tổng điểm TI-RADS sẽ là 3 + 2 = 5 điểm.
0 Points is assigned for:
- Absence of echogenic foci.
- Các artifact đuôi sao chổi lớn (>1 mm), như minh họa trong hình.
Macrocalcification
Nốt này có các vôi hóa lớn kèm theo bóng lưng âm học.
Điểm TI-RADS: 1 điểm.
Rim calcification
Vôi hóa viền ngoại vi có thể hoàn toàn hoặc không hoàn toàn.
Điểm TI-RADS: 2 điểm.
Microcalcifications
Các ổ tăng âm dạng chấm, còn được gọi là vi vôi hóa, là yếu tố dự báo mạnh cho ác tính và được tính 3 điểm trong hệ thống TI-RADS.
Từ điển thuật ngữ của Hiệp hội Điện quang Hoa Kỳ (ACR) phân loại chi tiết hơn về nhóm này, vì các tiêu điểm tăng âm cũng có thể xuất hiện trong mô tuyến giáp bình thường.
Các tiêu điểm tăng âm dạng chấm chỉ nên được phân loại như vậy khi chúng có thể xác định rõ ràng và nằm hoàn toàn trong phạm vi nhân.
Ngoài ra, các hiện tượng đuôi sao chổi nhỏ có chiều dài dưới 1 mm cũng được xếp vào nhóm vi vôi hóa.
Điểm TI-RADS: 3 điểm.
Growth
Nodule Growth According to TI-RADS and ATA Guidelines
Sự phát triển của nhân tuyến giáp, theo định nghĩa của TI-RADS, phù hợp với hướng dẫn của Hiệp hội Tuyến giáp Hoa Kỳ (ATA). Sự phát triển đáng kể được xác định khi có một trong các tiêu chí sau:
- Tăng ≥20% trong ít nhất hai chiều của nốt, với mức tăng tối thiểu 2 mm, hoặc
- A ≥50% increase in volume.
Nếu một nốt không thay đổi kích thước trong khoảng thời gian 5 năm, nốt đó có thể được coi là lành tính về mặt hành vi, và không cần theo dõi thêm. So sánh kích thước nên được thực hiện với hình ảnh cũ nhất hiện có, không chỉ với hình ảnh gần nhất. Nếu có sự tăng trưởng trong khoảng thời gian theo dõi nhưng chưa đáp ứng tiêu chí chọc hút tế bào bằng kim nhỏ (FNA), lần theo dõi tiếp theo nên được lên lịch sau 1 năm, bất kể phân loại TI-RADS là gì.
Multiple Nodules
Management of Multiple Nodules
Khi có nhiều nốt, không nên phân loại quá bốn nốt, và không khuyến cáo thực hiện FNA cho quá hai nốt.
Trong trường hợp có nhiều nốt, nốt đáp ứng tiêu chí FNA theo TI-RADS nên được lấy mẫu, không nhất thiết phải là nốt chiếm ưu thế hoặc nốt lớn nhất.
Overdiagnosis and Overtreatment
Clinical Significance of Thyroid Nodules
Khi một nhân tuyến giáp được phát hiện, câu hỏi chẩn đoán chính là liệu nó là lành tính hay ác tính.
Tùy thuộc vào các nghiên cứu được tham chiếu, 6%–13% nhân tuyến giáp được chọn để chọc hút tế bào bằng kim nhỏ (FNA) sẽ được chứng minh là ác tính.
Phần lớn các ung thư tuyến giáp được phát hiện tình cờ có nguồn gốc từ thể nhú, loại này, không giống như ung thư tuyến giáp thể không biệt hóa (chịu trách nhiệm cho hơn một nửa số ca tử vong do ung thư tuyến giáp mặc dù chỉ chiếm 1%–2% các trường hợp), thường có diễn tiến chậm.
Do ung thư tuyến giáp thể nhú là phân nhóm phổ biến nhất và biệt hóa tốt, tiên lượng của loại ung thư này rất tốt, với tỷ lệ sống sót sau 30 năm đạt 95%.
Tuy nhiên, nhiều trường hợp ung thư trong số này có thể sẽ không có triệu chứng trong suốt cuộc đời của bệnh nhân, làm dấy lên lo ngại về tình trạng chẩn đoán quá mức.
Các nỗ lực nghiên cứu cần tập trung vào việc xác định nhóm nhỏ các ung thư tuyến giáp có tính chất xâm lấn và ảnh hưởng đến khả năng sống sót.
Examples
Composition
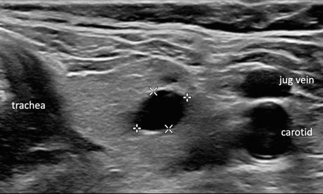
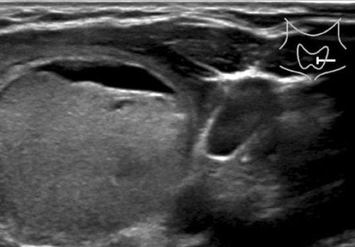
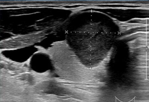
Case 1
Kiểm tra hình ảnh và xác định điểm TI-RADS.
Cuộn hình ảnh để xem điểm TI-RADS.
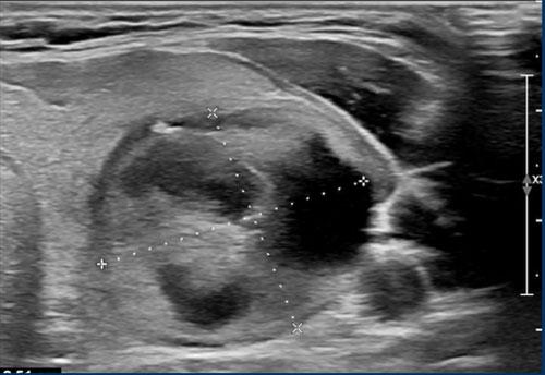
Nốt này có thành phần hỗn hợp, với thành phần nang nằm ở trung tâm.
Trường hợp 2
Quan sát hình ảnh và xác định điểm TI-RADS.
Cuộn hình ảnh để xem điểm TI-RADS.
Trường hợp 3
Quan sát hình ảnh và xác định điểm TI-RADS.
Cuộn hình ảnh để xem điểm TI-RADS.
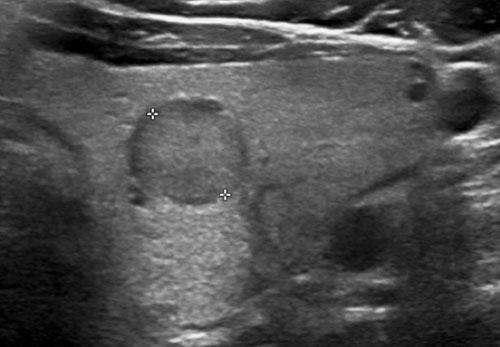
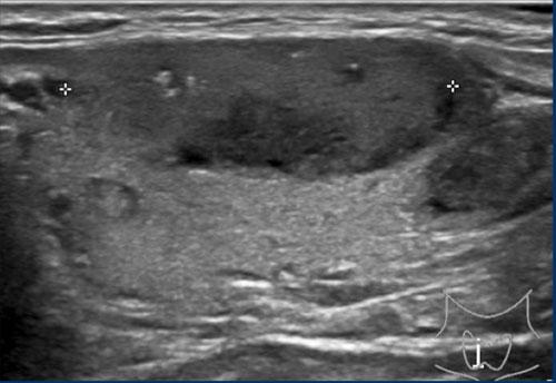
Trường hợp 4
Quan sát hình ảnh và xác định điểm TI-RADS.
Cuộn hình ảnh để xem điểm TI-RADS.
Nốt này có thành phần đặc chủ yếu.
Thành phần nang tối thiểu, tương ứng 2 điểm cho cấu trúc.
Echogenicity
Trường hợp 1
Đầu tiên, hãy quan sát hình ảnh siêu âm.
Tiến hành phân tích bên dưới.
Có hiện tượng tăng âm phía sau, gợi ý rằng tổn thương này có thể có bản chất dạng nang.
Trong những trường hợp như vậy, siêu âm Doppler màu có thể hữu ích để đánh giá thêm; tuy nhiên, kỹ thuật này không được thực hiện trong trường hợp này.
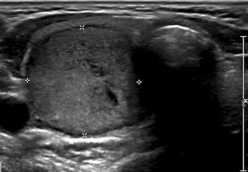
Trường hợp 2
Quan sát hình ảnh và xác định điểm TI-RADS.
Cuộn hình ảnh để xem điểm TI-RADS.
Nốt này giảm âm so với mô tuyến giáp bình thường có thể nhìn thấy ở mặt bụng của nốt.
Điểm TI-RADS: 2 điểm cho độ hồi âm giảm âm.
Trường hợp 3
Quan sát hình ảnh và xác định điểm TI-RADS.
Cuộn hình ảnh để xem điểm TI-RADS.
Đây là một nốt tăng âm.
Điểm TI-RADS: 1 điểm cho độ hồi âm.
Shape
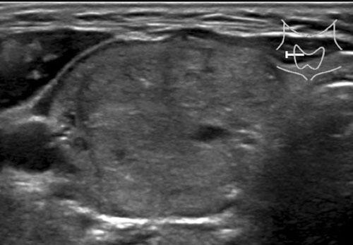
Ca lâm sàng
Quan sát hình ảnh và xác định điểm TI-RADS.
Cuộn hình ảnh để xem điểm TI-RADS.
TI-RADS Score: 3 points for a taller-than-wide shape.
Margin
Trường hợp 1
Quan sát hình ảnh và xác định điểm TI-RADS.
Cuộn hình ảnh để xem điểm TI-RADS.
Kiểm tra hình ảnh và xác định điểm TI-RADS.
Cuộn hình ảnh để xem điểm TI-RADS.
Tiến hành phân tích bên dưới.
Mặc dù bờ không rõ ràng ở mặt颅, điều này vẫn cho kết quả 0 điểm cho bờ u.
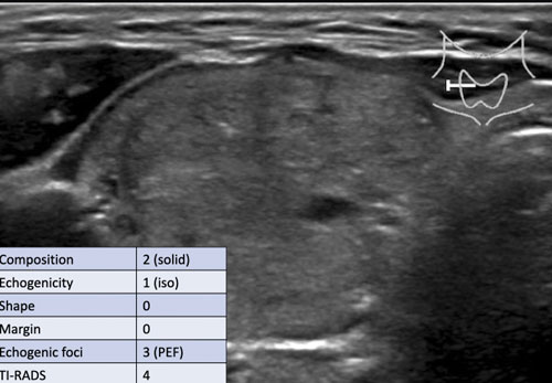
Echogenic foci
Trường hợp 1
Quan sát hình ảnh và xác định điểm TI-RADS.
Cuộn hình ảnh để xem điểm TI-RADS.
Ca 2
Xem hình ảnh và xác định điểm TI-RADS.
Cuộn hình ảnh để xem điểm TI-RADS.
Tiến hành phân tích bên dưới.
Điểm TI-RADS: 1 điểm cho sự hiện diện của vôi hóa thô.
Tổn thương này được phân loại TI-RADS 5, chủ yếu do tính chất giảm âm rõ rệt.
Nếu tổn thương có chiều cao lớn hơn chiều rộng, điều này sẽ cộng thêm 3 điểm.
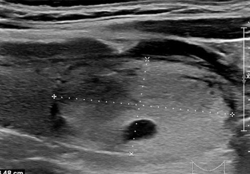
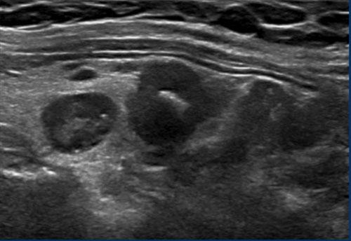
Trường hợp 3
Quan sát hình ảnh và xác định điểm TI-RADS.
Cuộn hình ảnh để xem điểm TI-RADS.
Lưu ý các tiêu điểm tăng âm nhỏ hiện diện.
Tổng cộng 6 điểm tương ứng với điểm TI-RADS là 4.















































