Thực quản II: Hẹp lòng thực quản, Hội chứng cấp tính, U thực quản và Chèn ép mạch máu.
Trong Thực quản II, chúng ta sẽ thảo luận về:
- Hẹp thực quản
- Hội chứng thực quản cấp tính.
- Khối u lành tính và ác tính.
- Chèn ép mạch máu.
Hẹp Thực Quản
Bảng tổng hợp các nguyên nhân thường gặp và ít gặp gây hẹp thực quản.
Hình ảnh ngoài cùng bên trái cho thấy vị trí hẹp (mũi tên) với các nếp niêm mạc không đều tại vùng hẹp trên hình ảnh đối quang không khí.
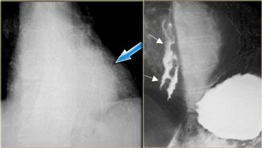
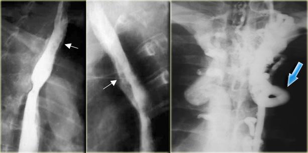
Bệnh nhân này được chẩn đoán thực quản Barrett.
Hẹp và loét thực quản đoạn giữa cần nghi ngờ thực quản Barrett.
Hai hình ảnh bên phải cho thấy thực quản Barrett với vùng hẹp không đều do ung thư biểu mô tuyến.
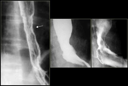
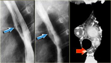
Hình ảnh cho thấy đoạn hẹp lành tính dài, thon đều đối xứng xuất hiện nhiều tháng sau xạ trị.
Hình ảnh của bệnh nhân có đoạn hẹp lành tính ở vị trí cao của thực quản (mũi tên).
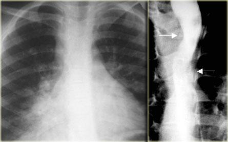
Có hình ảnh đông đặc phổi thùy dưới hai bên do hít sặc tái diễn nhiều lần.
Mỗi năm tại Hoa Kỳ có khoảng 5.000–15.000 trường hợp nuốt phải chất ăn mòn.
Khoảng 50%–80% xảy ra ở trẻ em.
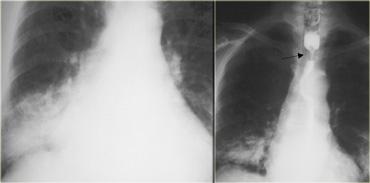
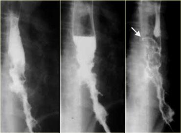
Hình bên trái cho thấy đoạn hẹp ở vị trí cao (mũi tên) sau khi nuốt phải chất ăn mòn.
Gai xương (mũi tên) có thể chèn ép vào thực quản và hạ họng.
Tuy nhiên, chúng hiếm khi gây ra triệu chứng lâm sàng.
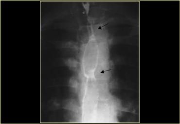
Hẹp thực quản đa ổ là tình trạng ít gặp.
Bảng liệt kê các bệnh lý có thể biểu hiện với hình ảnh hẹp thực quản đa ổ.
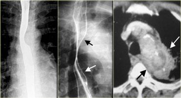
Hình ảnh của bệnh nhân mắc pemphigoid lành tính.
Các bóng nước niêm mạc đã dẫn đến hình thành nhiều đoạn hẹp (mũi tên).
Hình ảnh của bệnh nhân mắc ly thượng bì bọng nước lành tính.
Các đoạn hẹp đa ổ (mũi tên) là di chứng của bệnh lý bọng nước niêm mạc.
Bệnh lý bọng nước da lan rộng đã dẫn đến dính ngón tay và co rút.
Nuốt phải chất ăn mòn có thể dẫn đến hình thành nhiều đoạn hẹp thực quản.
Hội chứng thực quản cấp tính
Bảng bên trái liệt kê các nguyên nhân gây hội chứng thực quản cấp tính.
Hội chứng Boerhaave
Hội chứng Boerhaave là tình trạng vỡ thành thực quản.
Nguyên nhân thường gặp nhất là nôn mửa quá mức trong các rối loạn ăn uống như chứng cuồng ăn (bulimia), mặc dù hiếm gặp hơn có thể xảy ra khi ho quá mạnh hoặc trong các tình huống khác như tắc nghẽn do thức ăn.
Hội chứng Boerhaave là thủng thực quản xuyên thành hay thủng toàn bộ chiều dày thành thực quản, khác biệt với hội chứng Mallory-Weiss – một dạng rách thực quản không xuyên thành cũng liên quan đến nôn mửa.
Các hội chứng này khác biệt với thủng thực quản do thầy thuốc (iatrogenic perforation), vốn chiếm 85-90% các trường hợp vỡ thực quản, thường là biến chứng của thủ thuật nội soi, ống nuôi ăn hoặc phẫu thuật không liên quan.
Hình ảnh này thuộc về một bệnh nhân mắc hội chứng Boerhaave.
X-quang ngực cho thấy tràn khí trung thất (các mũi tên).
Chụp thực quản cản quang cho thấy thuốc cản quang tan trong nước thoát ra ngoài lòng mạch ở nửa ngực trái (dấu hoa thị).
Thủng hầu như luôn xảy ra ở phía trái của thực quản đoạn xa.
X-quang cho thấy khí trung thất, tràn dịch và sau đó là tràn khí màng phổi.
Chụp thực quản cản quang được sử dụng để xác nhận rò rỉ, trước tiên dùng thuốc cản quang tan trong nước, sau đó dùng barium nếu không phát hiện rò rỉ.
Bên trái là hình ảnh một bệnh nhân mắc hội chứng Boerhaave.
Chụp thực quản barium cho thấy khí ngoài lòng thực quản (mũi tên) mà không có thuốc cản quang thoát ra ngoài.
CT cho thấy khí ngoài lòng thực quản (các mũi tên).
Vết rách ở thực quản đoạn xa bên trái được xác nhận trong phẫu thuật.
CT có thể phát hiện lượng nhỏ khí ngoài lòng thực quản hoặc thoát thuốc cản quang mà không thể nhìn thấy trên X-quang hoặc chụp thực quản cản quang.
Rách niêm mạc Mallory-Weiss
Rách niêm mạc Mallory-Weiss xảy ra do nôn mửa kéo dài và dữ dội, ho hoặc co giật.
Thông thường, niêm mạc tại vùng nối thực quản – dạ dày bị rách và chảy máu, biểu hiện bằng máu đỏ tươi trong chất nôn hoặc phân có máu.
Tình trạng này có thể xảy ra do uống rượu quá mức.
Đây là một tình trạng cấp tính thường tự khỏi trong vòng 10 ngày mà không cần điều trị đặc biệt.
Bên trái là hình ảnh một bệnh nhân bị rách niêm mạc Mallory-Weiss.
Phim chụp điểm cho thấy barium (các mũi tên) trong vết rách niêm mạc dạng tuyến tính gần chỗ nối thực quản – dạ dày.
Vết rách có thể ở thực quản đoạn xa, đáy vị hoặc kéo dài qua chỗ nối thực quản – dạ dày.
Tụ máu thực quản
Các tổn thương hiếm gặp này có liên quan đến tình trạng tăng áp lực trong lòng thực quản, thường gặp nhất là do nôn mửa, can thiệp dụng cụ, và dùng thuốc chống đông hoặc rối loạn đông máu.
Một số trường hợp xảy ra tự phát.
Chấn thương đụng dập là nguyên nhân hiếm gặp.
Tụ máu có tính chất tự giới hạn và hầu như không tiến triển thành thủng.
Hầu hết các trường hợp tụ máu thực quản tự khỏi trong 1-2 tuần với điều trị bảo tồn.
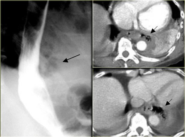
Bên trái là hình ảnh một bệnh nhân bị tụ máu thực quản.
Bệnh nhân nhập viện với triệu chứng đau ngực và khó nuốt sau khi nôn mửa.
Ngoài hình ảnh động mạch chủ ngoằn ngoèo, X-quang ngực bình thường.
Chụp thực quản barium cho thấy lòng thực quản hẹp (các mũi tên) trên phim thẳng và lòng thực quản dẹt trên phim nghiêng (các đầu mũi tên), gợi ý tụ máu trong thành thực quản.
Trên CT, chẩn đoán tụ máu trong thành thực quản được xác nhận.
Khối tụ máu thành thực quản tăng tỷ trọng (đầu mũi tên) được thấy cạnh ống thông mũi – dạ dày (mũi tên).
Sau điều trị bảo tồn, sáu tháng sau chụp thực quản barium cho kết quả bình thường.
Bên trái là hình ảnh một bệnh nhân có biến chứng sau nội soi phức tạp.
Can thiệp dụng cụ gây rách niêm mạc và tụ máu trong thành thực quản dạng bóc tách, tạo ra hình ảnh lòng đôi với dải niêm mạc phân tách (các mũi tên).
Ngoài cùng bên trái là hình ảnh thoát thuốc cản quang trong thành thực quản (mũi tên) sau nong đoạn xa điều trị co thắt tâm vị.
Ở giữa là hình ảnh thoát thuốc cản quang trong thành thực quản (mũi tên) sau nội soi phức tạp.
Bên phải là hình ảnh thủng thực quản sau sinh thiết với thuốc cản quang thoát ra ngoài lòng thực quản (mũi tên).
Khối u lành tính
Dưới đây là danh sách các khối lành tính của thực quản.
U cơ trơn (Leiomyoma)
U cơ trơn là khối u lành tính thực quản thường gặp nhất, thường có kích thước lớn nhưng không gây tắc nghẽn. Khối u mô đệm đường tiêu hóa (GIST) ít gặp nhất ở thực quản.
Hình bên trái là bệnh nhân không có triệu chứng với u cơ trơn thực quản.
Trên phim ngực thẳng, quan sát thấy một đám mờ bất thường phía sau tim (mũi tên).
Hình chụp thực quản cản quang barium cho thấy một khối có múi (mũi tên) không gây tắc nghẽn mặc dù kích thước lớn.
Các tổn thương niêm mạc được nhận biết qua hình ảnh bề mặt niêm mạc không đều.
Các tổn thương trong thành dưới niêm mạc tạo ra các khuyết thuốc có bờ nhẵn, và khi nhìn nghiêng, bờ tổn thương thường tạo thành góc gần vuông với thành thực quản.
Các tổn thương ngoại lai có xu hướng tạo thành góc tù dài hơn nếu không dính vào thành thực quản, và tâm điểm của chúng có thể nằm ngoài thực quản. Trên thực tế, vị trí của một tổn thương có thể khó xác định.
Trên phim X-quang, khối u (mũi tên) lồi vào ngách azygô-thực quản.
Trên hình chụp thực quản cản quang, bờ dưới của tổn thương trong thành này tạo thành góc gần vuông (mũi tên) với thành thực quản.
Một khối thực quản có vôi hóa hầu như luôn luôn là u cơ trơn.
Hình bên trái là bệnh nhân có tổn thương thực quản vôi hóa (mũi tên) lồi vào ngách azygô-thực quản trên phim X-quang.
Tổn thương (mũi tên) trên CT và phim X-quang bệnh phẩm phẫu thuật cho thấy hình ảnh vôi hóa.
Hình bên trái là bệnh nhân với u nguyên bào cơ dạng hạt (granular cell myoblastoma), một loại khối u lành tính hiếm gặp.
Hai tổn thương này (mũi tên) có hình ảnh không đặc hiệu, tuy nhiên tổn thương ở phía gần hơn cho thấy bờ nhô ra và góc vuông, gợi ý vị trí trong thành thực quản.
Polyp xơ mạch
Polyp xơ mạch có cuống là các tổn thương hiếm gặp, khó chẩn đoán trên hình chụp thực quản cản quang barium.
Sự di chuyển của polyp trong quá trình thăm khám tạo ra hình ảnh vị trí không cố định.
Hình dạng của chúng đôi khi có tính gợi ý như trong trường hợp bệnh nhân này.
Cuống polyp thường khó xác định.
Nhân đôi thực quản
Hình bên trái là bệnh nhân với nhân đôi thực quản.
Các dấu hiệu trên hình chụp thực quản cản quang barium không đặc hiệu.
Tổn thương (mũi tên) có thể nhìn thấy phía sau tim trên phim X-quang.
Hẹp thực quản (mũi tên) do nhân đôi thực quản gây ra.
Nang nhân đôi ruột trước (foregut duplication cyst) là một nang bẩm sinh.
Trong trường hợp hình bên trái, nang đẩy hạ họng và thực quản đã cản quang (mũi tên) ra phía sau, đồng thời đẩy khí quản và thanh quản (dấu hoa thị) ra phía trước.
Khối u ác tính
Dưới đây là danh sách các khối u thực quản ác tính.
Ung thư thực quản sớm và ung thư thực quản kích thước nhỏ không phải là hai khái niệm đồng nghĩa.
Ung thư thực quản sớm được giới hạn ở lớp niêm mạc, dưới niêm mạc và chưa có di căn hạch bạch huyết.
Hầu hết có kích thước nhỏ ( Ung thư thực quản kích thước nhỏ được định nghĩa dựa trên kích thước tổn thương, với đường kính Do đó, một ung thư sớm có thể có kích thước nhỏ, nhưng một ung thư kích thước nhỏ vẫn có thể đã xâm lấn hoặc di căn và do đó không phải là ung thư sớm.
Hình ảnh này của một bệnh nhân có ung thư thực quản sớm.
Tổn thương không quan sát được trên phim thực quản cản quang đơn thuần.
Phim thực quản cản quang đối quang kép (không khí – thuốc cản quang) cho thấy bề mặt không đều (mũi tên), gợi ý tổn thương niêm mạc.
Đây vừa là tổn thương kích thước nhỏ, vừa là ung thư tế bào vảy sớm về mặt giải phẫu bệnh.
Ung thư thực quản giai đoạn tiến triển có nhiều hình thái đại thể:
- Dạng polyp
- Dạng giãn tĩnh mạch (varicoid)
- Dạng thâm nhiễm
- Dạng loét
- Dạng lan tràn bề mặt
- Dạng hẹp (stricture)
- Giả co thắt tâm vị (Pseudoachalasia)
Bên trái là hai trường hợp ung thư dạng polyp.

Ung thư thực quản với các ổ loét (mũi tên) và góc tiếp giáp vuông góc sắc nét với thành thực quản (đầu mũi tên)
Hình ảnh này của một bệnh nhân có ung thư dạng thâm nhiễm loét.
Tổn thương có ranh giới chuyển tiếp đột ngột tạo thành góc nhọn và bờ nhô ra (overhanging edge).
Đặc điểm này gợi ý sự xâm lấn thành thực quản và khác biệt so với góc tù thường gặp trong các tổn thương ngoại sinh không dính vào thực quản.
Các hình ảnh này của một bệnh nhân có ung thư dạng giãn tĩnh mạch.
Hình ảnh các khuyết thuốc không thay đổi gợi ý đây là khối u hơn là giãn tĩnh mạch thực sự.
Lưu ý bờ trên sắc nét của tổn thương và ổ loét (mũi tên)
Ngoài cùng bên trái là hình ảnh của một bệnh nhân có ung thư dạng giãn tĩnh mạch.
Các thùy dài mô phỏng hình ảnh giãn tĩnh mạch nhưng không thay đổi trong quá trình soi huỳnh quang.
Lưu ý các nếp niêm mạc không đều, lớn và khối mô mềm (mũi tên) ở đáy vị
Kế bên là hình ảnh của một bệnh nhân có ung thư lan tràn bề mặt.
Tổn thương lan tràn bề mặt rộng liên quan đến đoạn thực quản xa.
Hình ảnh này có thể gặp ở cả tổn thương sớm lẫn tổn thương tiến triển.

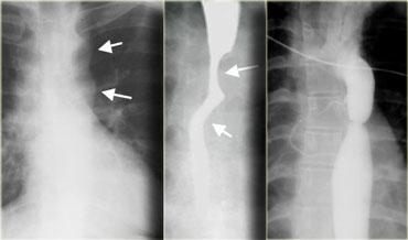
TRÁI: Hẹp đoạn xa dài và không đều do ung thư. PHẢI: Hẹp đoạn xa không có dạng thuôn nhọn và ở vị trí gần hơn so với co thắt tâm vị. Sự không đều (mũi tên) tại vị trí hẹp tinh tế nhưng dai dẳng.
Ngoài cùng bên trái là hình ảnh bệnh nhân ung thư có hẹp thực quản.
Hẹp không đều, không đối xứng gợi ý mạnh đến ung thư.
Hẹp thuôn nhọn đều đặn, đối xứng là đặc trưng của nguyên nhân lành tính, tuy nhiên các hẹp ác tính cũng có thể có đặc điểm tương tự và bắt chước tổn thương lành tính.
Kế bên là hình ảnh bệnh nhân ung thư có hẹp thực quản giống co thắt tâm vị.
Bệnh lý ác tính đoạn thực quản xa có thể rất giống co thắt tâm vị.
Nếu nhu động thực quản bình thường, có thể loại trừ co thắt tâm vị.
Tuy nhiên, nếu bất thường, các đặc điểm hình ảnh tinh tế như: hẹp không đối xứng, không đều, đột ngột hoặc ở vị trí cao, bất thường niêm mạc, hoặc bất thường cố định sẽ gợi ý chẩn đoán.
Bên trái là một trường hợp giả co thắt tâm vị khác.
Hẹp đoạn xa mô phỏng co thắt tâm vị, nhưng vị trí hẹp lệch tâm, các bờ vai không đối xứng (mũi tên), và niêm mạc không đều tại đỉnh vùng hẹp.
CT cho thấy thành đáy vị dày lên (mũi tên) do ung thư biểu mô tuyến.
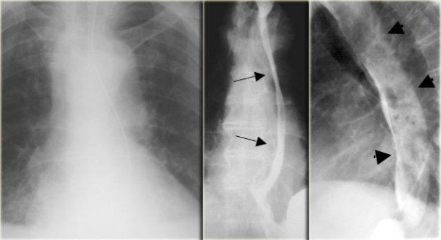
Dải khí quản – thực quản (Tracheoesophageal stripe)
Chiều rộng của thành sau khí quản và thành trước thực quản khi tiếp giáp nhau > 5 mm trên phim ngực thẳng tư thế nghiêng là dấu hiệu nghi ngờ bệnh lý, thường gặp nhất là ung thư thực quản hoặc co thắt tâm vị.
Bên trái là hình ảnh bệnh nhân có dải khí quản – thực quản giãn rộng 1 cm (mũi tên).
Phim thực quản cản quang cho thấy dải giãn rộng (mũi tên) và bờ không đều của ung thư đoạn thực quản giữa.
CT cho thấy mô mềm bất thường ở phía sau khí quản.
Khối u xâm lấn trung thất liền kề cung động mạch chủ (mũi tên)
Thực quản Barrett và Ung thư biểu mô tuyến
Thực quản Barrett là yếu tố nguy cơ đã được chứng minh đối với sự phát triển của ung thư biểu mô tuyến.
Tuy nhiên, tỷ lệ mắc ung thư trong bối cảnh thực quản Barrett vẫn còn nhiều tranh cãi.
Vấn đề ai, bằng cách nào và khi nào cần tầm soát vẫn chưa được giải quyết thống nhất.
Ung thư biểu mô tuyến chiếm 10% các bệnh lý ác tính thực quản vào những năm 1960.
Kể từ thập niên 1960, tỷ lệ mắc tại Hoa Kỳ tăng nhanh hơn bất kỳ loại ung thư nào khác.
Tỷ lệ mắc hiện nay đang tiệm cận hoặc vượt qua ung thư tế bào vảy ở nam giới da trắng tại Hoa Kỳ và châu Âu.
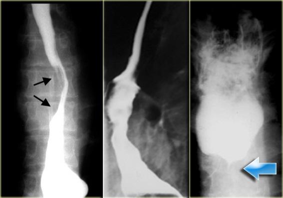
Bên trái là hình ảnh bệnh nhân có ung thư biểu mô tuyến dạng mảng bám (plaque-like) có loét (mũi tên) trên nền thực quản Barrett.
Ung thư biểu mô tuyến nguyên phát của đáy vị có thể xâm lấn thực quản, tuy nhiên các tiêu chí phân biệt xâm lấn này với khối u nguyên phát thực quản vẫn còn là chủ đề tranh luận.
Bên trái là hình ảnh bệnh nhân có ung thư biểu mô tuyến đáy vị.
Phim thực quản cản quang cho thấy dày niêm mạc không đều rõ rệt ở đoạn thực quản xa và các nếp niêm mạc tại vùng nối thực quản – dạ dày.
CT cho thấy thành bờ cong nhỏ dày và không đều (mũi tên) gần vùng nối thực quản – dạ dày.
Ung thư tế bào hình thoi là các khối u hiếm gặp, còn được gọi là ung thư biểu mô – sarcoma (carcinosarcoma).
Chúng thường có kích thước lớn nhưng không gây tắc nghẽn, như trong trường hợp minh họa bên trái.
U cơ trơn ác tính (leiomyosarcoma) và u hắc tố ác tính nguyên phát hiếm gặp của thực quản cũng có xu hướng có kích thước lớn nhưng không gây tắc nghẽn đáng kể.
Bên trái là hình ảnh bệnh nhân có u cơ trơn ác tính thực quản.
Bờ (mũi tên) của khối lớn có thể quan sát được trên phim ngực thẳng.
Phim thực quản cản quang tư thế nghiêng cho thấy sự không đều rõ rệt và hẹp lòng thực quản (mũi tên).
Bên trái là một bệnh nhân khác có u cơ trơn ác tính thực quản.
Khối lớn làm biến dạng lòng thực quản.
CT cho thấy khối làm biến dạng nhưng không gây tắc nghẽn lòng thực quản (mũi tên).
Ấn lõm mạch máu
Bên trái là danh sách các cấu trúc mạch máu có thể gây ấn lõm lên thực quản.
Giãn tĩnh mạch thực quản hướng lên (Uphill varices)
Trong tăng áp lực tĩnh mạch cửa, áp lực tĩnh mạch cửa tăng cao dẫn đến dòng chảy đảo ngược (hướng ly gan) đi vòng qua gan qua tĩnh mạch vị trái đến các tĩnh mạch thực quản và cạnh thực quản giãn rộng, các tĩnh mạch này nối thông với tĩnh mạch đơn (azygos) và tĩnh mạch bán đơn (hemiazygos), dẫn lưu hướng lên vào tĩnh mạch chủ trên.
Các khuyết đọng thuốc do giãn tĩnh mạch được đặc trưng bởi sự thay đổi hình ảnh trong quá trình thăm khám liên quan đến việc nín thở và áp lực lồng ngực.
Bên trái là hình ảnh CT của bệnh nhân có giãn tĩnh mạch thực quản hướng lên (Uphill varices) lớn thứ phát do xơ gan kèm tăng áp lực tĩnh mạch cửa.
Bên trái là hình ảnh CT của bệnh nhân có giãn tĩnh mạch thực quản hướng lên (Uphill varices).

TRÁI: Giãn tĩnh mạch sau tim dạng khối (mũi tên). PHẢI: Chụp thực quản cản quang cho thấy giãn tĩnh mạch (mũi tên)
Giãn tĩnh mạch thực quản hướng lên (Uphill varices) có thể có dạng khối như trong trường hợp minh họa bên trái.
Tiếp tục xem hình ảnh tiếp theo.
Hình CT cho thấy giãn tĩnh mạch trung thất và thực quản dạng khối (mũi tên).
Cần phân biệt giãn tĩnh mạch với ung thư dạng giãn tĩnh mạch (varicoid carcinoma).
Bên trái, hình ảnh cố định của các khuyết đọng thuốc gợi ý tổn thương u hơn là giãn tĩnh mạch.
Lưu ý bờ trên sắc nét của tổn thương (mũi tên)
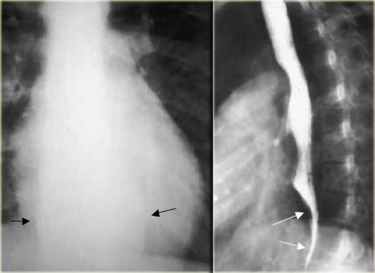
Giãn tĩnh mạch thực quản hướng xuống (Downhill Varices)
Khi tắc nghẽn tĩnh mạch chủ trên, máu tĩnh mạch phần trên cơ thể chảy xuống dưới theo hướng xuôi dòng qua các tĩnh mạch thực quản đến tĩnh mạch đơn (azygos), tĩnh mạch này đổ vào tĩnh mạch chủ trên ở phía dưới vị trí tắc nghẽn.
Nếu vị trí tắc nghẽn nằm tại hoặc dưới tĩnh mạch đơn, dòng máu sẽ tiếp tục chảy xuống dưới đến hệ thống tĩnh mạch cửa, rồi qua tĩnh mạch gan đến tĩnh mạch chủ dưới và tâm nhĩ phải.
Bên trái là hình ảnh giãn tĩnh mạch thực quản hướng xuống (Downhill varices) ở bệnh nhân tắc nghẽn tĩnh mạch chủ trên do bệnh histoplasmosis.
Trên phim chụp thực quản cản quang, các khuyết đọng thuốc không hằng định (mũi tên) biểu hiện giãn tĩnh mạch hướng xuống ở thực quản trên.
Hình chụp mạch máu cho thấy các mạch máu bàng hệ bao gồm tĩnh mạch liên sườn trên trái giãn rộng (mũi tên).
Phim chụp thực quản cản quang cho thấy các khuyết đọng thuốc không hằng định (mũi tên xanh dương) do giãn tĩnh mạch hướng xuống ở thực quản trên.
CT cho thấy giãn tĩnh mạch thực quản (mũi tên đỏ) và trung thất.
Tiếp tục xem hình chụp tĩnh mạch.
Hình chụp tĩnh mạch chi trên cho thấy tắc nghẽn tĩnh mạch chủ trên (SVC).
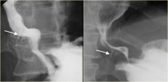
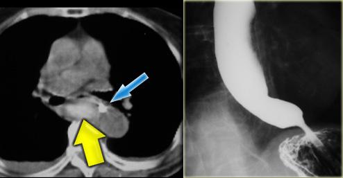
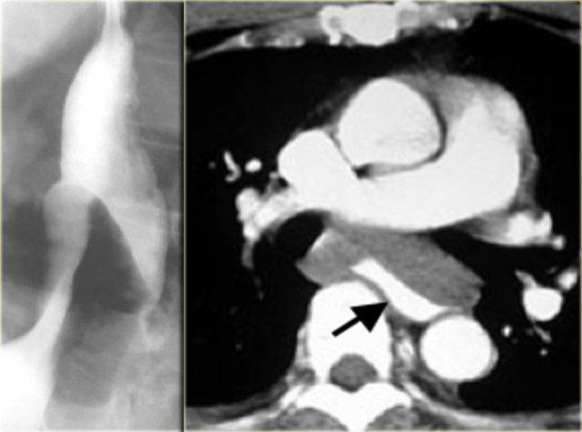
Động mạch dưới đòn phải bất thường
Đây là dị tật động mạch lồng ngực thường gặp nhất và hiếm khi gây triệu chứng.
Động mạch chạy lên trên và sang phải tạo ra ấn lõm chéo phía sau lưng trên thực quản (mũi tên).
CT cho thấy động mạch bất thường (mũi tên) là nhánh mạch cuối cùng xuất phát từ quai động mạch chủ và chạy phía sau khí quản và thực quản.
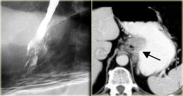
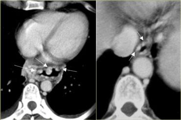
Quai động mạch chủ phải kèm động mạch dưới đòn trái bất thường
Quai động mạch chủ phải kèm động mạch dưới đòn trái bất thường thường là phát hiện tình cờ.
Tuy nhiên, quai động mạch chủ phải với phân nhánh đối xứng (mirror-image branching) hầu như luôn đi kèm với bệnh tim bẩm sinh.
CT cho thấy quai động mạch chủ phải (R) và động mạch dưới đòn trái bất thường (mũi tên) xuất phát thấp từ quai và chạy sang trái phía sau thực quản và khí quản.
Bên trái là hình chụp thực quản cản quang của bệnh nhân có quai động mạch chủ phải tạo ra ấn lõm phía sau trên hình chiếu nghiêng (mũi tên xanh dương).
Sơ đồ minh họa động mạch dưới đòn trái bất thường (L SCA) nằm phía sau khí quản và thực quản.

Quai động mạch chủ đôi – TRÁI: Quai phải và quai trái ấn lõm thực quản (mũi tên) ở các mức độ khác nhau – PHẢI: Hình chụp mạch máu với quai đôi ở bệnh nhân 65 tuổi không có triệu chứng
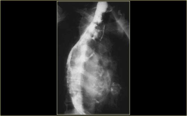
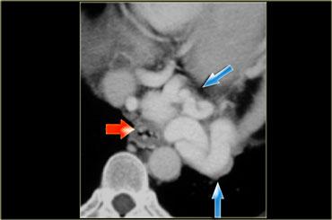
Quai động mạch chủ đôi (Double Arch)
Quai động mạch chủ đôi thường biểu hiện bằng tắc nghẽn đường thở, khó nuốt và hít sặc ở trẻ em.
Các quai ấn lõm thực quản ở các mức độ khác nhau.
Bên trái là một trường hợp quai động mạch chủ đôi khác.
Phim X-quang ngực cho thấy đông đặc phổi phải do hít sặc ở trẻ 6 tuổi.
Quai phải và quai trái ấn lõm thực quản (mũi tên) ở các mức độ khác nhau.

Động mạch phổi trái bất thường: động mạch bất thường chạy giữa khí quản và thực quản, ấn lõm cả hai cấu trúc (mũi tên)
Động mạch phổi trái bất thường
Động mạch phổi trái bất thường ấn lõm mặt sau khí quản và mặt trước thực quản khi chạy giữa hai cấu trúc này.
Hẹp phế quản phải có thể gây ứ khí hoặc xẹp phổi.
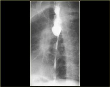
Động mạch chủ xoắn vặn
Động mạch chủ xuống xoắn vặn là nguyên nhân thường gặp gây ấn lõm ngoại sinh lên thực quản.
Hình ảnh ngoài cùng bên trái cho thấy thực quản đoạn xa bị hẹp.
Hình chiếu chếch cho thấy ấn lõm thực quản do động mạch chủ với bờ tù (mũi tên), đặc trưng của chèn ép ngoại sinh.
Bệnh lý động mạch chủ
Ngoài cùng bên trái là hình ảnh ấn lõm bình thường của quai động mạch chủ lên thực quản.
Ấn lõm này có thể lớn hơn khi có giãn động mạch chủ như thấy ở bệnh nhân này với phình quai động mạch chủ dạng nấm (mycotic aortic arch aneurysm) (mũi tên).






















































