Thực quản I: Giải phẫu, vòng, viêm
Ngày xuất bản
Trong phần I về Thực quản, chúng tôi sẽ thảo luận về:
- Giải phẫu và chức năng cơ bản.
- Vòng thực quản, màng thực quản và túi thừa.
- Thoát vị khe hoành.
- Viêm và nhiễm trùng.
- Hẹp thực quản.
- Hội chứng thực quản cấp tính.
- Khối u lành tính và ác tính.
- Dấu ấn mạch máu.
Giải phẫu và Chức năng

TRÁI: Tư thế nghiêng: Nắp thanh quản (mũi tên đỏ). Ấn lõm sau sụn nhẫn (mũi tên vàng). Ấn lõm cơ nhẫn hầu (mũi tên trắng). PHẢI: Tư thế AP: Túi thừa hầu bên nhỏ (mũi tên)
Hạ họng
Các cấu trúc thường được quan sát thấy bao gồm:
- Nắp thanh quản
- Ấn lõm sau sụn nhẫn: Đám rối tĩnh mạch dưới niêm mạc trên sụn nhẫn tạo ra vết lõm không hằng định trên thành trước thực quản.
- Túi thừa hầu bên:
Sự lồi ra của thành hầu bên qua màng giáp móng tại vị trí các nhánh mạch máu và thần kinh thanh quản xuyên qua.
Khi một túi bình thường bị phình to, được gọi là túi thừa hầu bên. -
Ấn lõm cơ nhẫn hầu:
Ấn lõm từ bên ngoài vào mặt sau thực quản do cơ đang co.
-
Niêm mạc:
- Biểu mô vảy tầng không sừng hóa
- Xen kẽ với biểu mô trụ của dạ dày tại hoặc dưới cơ hoành, ranh giới không đều tạo thành đường Z.
-
Lớp cơ:
- Lớp cơ vòng bên trong
-
Lớp cơ dọc bên ngoài:
- 1/3 trên: cơ vân
- 1/3 giữa: cơ vân và cơ trơn
- 1/3 dưới: cơ trơn
- Không có lớp thanh mạc

Nối thực quản – dạ dày bình thường (trái), Ung thư biểu mô tuyến vùng đáy vị xâm lấn thực quản (phải)
Tại vùng nối thực quản – dạ dày, các nếp niêm mạc trơn nhẵn và đều đặn ở đáy vị hội tụ về phần thực quản xa nhất (mũi tên).
Hình ảnh bên cạnh cho thấy vùng nối thực quản – dạ dày bất thường: Baryt bao phủ các nếp niêm mạc dày và không đều (dấu hoa thị).
Ung thư biểu mô tuyến vùng đáy vị xâm lấn thực quản (mũi tên)

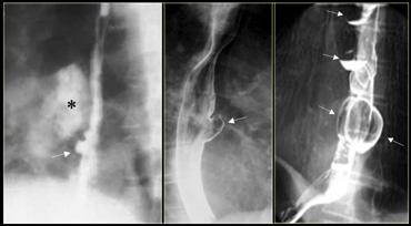
Achalasia cơ nhẫn hầu ở phụ nữ 46 tuổi. Cảm giác có khối vướng ở cổ họng. Ấn lõm dai dẳng (mũi tên) do cơ nhẫn hầu không giãn ra khi khối thức ăn di chuyển xuống phía dưới
Cơ thắt thực quản trên
- Được tạo thành chủ yếu bởi cơ nhẫn hầu.
- Nằm ở mức C5-C6
- Bình thường giãn ra khi có khối thức ăn đi qua
- Các bất thường
- Giãn chậm
- Đóng sớm
- Không giãn: có hoặc không có triệu chứng; nếu có triệu chứng, được gọi là achalasia cơ nhẫn hầu
Cơ thắt thực quản dưới
- Vùng áp lực cao 2-4 cm ở đoạn thực quản xa được xác định bằng đo áp lực.
Tương ứng với vùng tiền đình trên hình chụp thực quản. - Ngăn ngừa trào ngược dạ dày – thực quản.
- Thuốc và nhiều loại thực phẩm, đồ uống có thể ảnh hưởng đến cơ thắt thực quản dưới và gây ra trào ngược.
- Glucagon làm giãn cơ thắt thực quản dưới khi được sử dụng trong chụp X-quang đường tiêu hóa trên đối quang khí.
- Thực quản dạng ống kéo dài đến ngay trên cơ hoành.
- Sự giãn phình dạng bóng ở đoạn thực quản xa được gọi là tiền đình, tương ứng với cơ thắt thực quản dưới được xác định bằng đo áp lực.
Sự giãn phình này được thể hiện rõ nhất khi nín thở ở thì hít vào hoặc nghiệm pháp Valsalva.
Không nhầm lẫn hình ảnh này với thoát vị khe hoành.
Trào ngược dạ dày – thực quản
Trào ngược dạ dày – thực quản tự phát đã được ghi nhận ở tới 1/3 số bệnh nhân bị viêm thực quản trào ngược.
Nhiều nghiệm pháp khác nhau trong quá trình thăm khám đã được sử dụng để tăng độ nhạy, tuy nhiên các nghiệm pháp này thường bị bác bỏ vì không phản ánh đúng sinh lý bình thường.
Ngoài ra, nhiều bệnh nhân không có triệu chứng vẫn có trào ngược tự phát, do đó hiện tượng trào ngược trong khi chụp thực quản không đủ độ nhạy và độ đặc hiệu để quy kết triệu chứng cho trào ngược.
Nhu động thực quản
Bình thường:
-
Co bóp nguyên phát:
Đẩy khối thức ăn qua thực quản -
Co bóp thứ phát:
Tiếp nối sau co bóp nguyên phát và đẩy phần khối thức ăn còn lại ra khỏi thực quản ngực
Bất thường:
-
Co bóp bậc ba, thực quản lão hóa (presbyesophagus):
Co bóp không có tính đẩy - Co thắt thực quản lan tỏa
- Thực quản kiểu Nutcracker
- Giảm nhu động do achalasia, xơ cứng bì, viêm da cơ, viêm đa cơ, viêm thực quản và thứ phát sau nhiều bệnh lý khác
Bên trái: co bóp bậc ba ở lần nuốt đầu tiên (trái).
Co bóp nguyên phát bình thường ở lần nuốt tiếp theo (phải).
Các co bóp bậc ba này là những co bóp không có tính đẩy, thoáng qua và không liên tục, không cố định về vị trí và không kèm theo triệu chứng, thường gặp ở bệnh nhân cao tuổi.

A. Co bóp bậc ba không có tính đẩy ban đầu B. Ba hình ảnh trong quá trình thăm khám cho thấy các ổ đọng thuốc giống túi thừa C. Hình ảnh chụp muộn hơn trong quá trình thăm khám cho thấy các co bóp bậc ba đã biến mất
Đôi khi các co bóp bậc ba thoáng qua có thể giả dạng túi thừa.
Bên trái là hình ảnh của một bệnh nhân có co bóp bậc ba, trong quá trình thăm khám trông giống như túi thừa.
Co thắt thực quản lan tỏa
Co thắt thực quản lan tỏa gây ra các co bóp ngắt quãng của cơ trơn thực quản đoạn giữa và đoạn xa, kèm theo các triệu chứng ở ngực.
Đo áp lực cho thấy các co bóp đồng thời không có tính đẩy trong ít nhất 10% số lần nuốt.
Chẩn đoán dựa trên hình ảnh học, đo áp lực và triệu chứng lâm sàng.
Thực quản kiểu Nutcracker
Thực quản kiểu Nutcracker là nguyên nhân gây đau ngực không do tim, được quy cho nhu động biên độ cao ở đoạn thực quản xa.
Đây là một chẩn đoán còn gây tranh cãi, được xác định bằng đo áp lực và không có biểu hiện đặc trưng trên hình ảnh học.

TRÁI: Thực quản giãn (mũi tên) biểu hiện là cấu trúc dài, bờ rõ nét song song với tim. PHẢI: Thực quản giãn thường lệch sang phải. Hẹp (mũi tên) tại khe hoành.
Achalasia
- Biểu hiện lâm sàng:
- Tỷ lệ mắc bệnh bằng nhau ở nam và nữ, thường gặp nhất ở độ tuổi trung niên
- Khó nuốt tiến triển chậm
- Tăng nguy cơ ung thư
-
Căn nguyên:
- Chưa rõ, mặc dù số lượng tế bào hạch thực quản bị giảm
- Cơ thắt thực quản dưới (LES) giãn không hoàn toàn hoặc không giãn khi nuốt
- Mất sóng nhu động nguyên phát
-
Hình ảnh chụp thực quản:
- Giãn thực quản kèm mất nhu động
- Hẹp thuôn nhẵn tại khe thực quản của cơ hoành
- Ung thư đoạn xa có thể giả dạng achalasia (giả achalasia)

TRÁI: CT cho thấy thực quản giãn (mũi tên) dẫn đến chỉ định chụp thực quản. PHẢI: Chụp thực quản cho thấy hẹp (mũi tên) tại mức khe hoành.
Bên trái là một bệnh nhân khác bị achalasia.

TRÁI: Thực quản giãn (mũi tên) được chiếu phía sau nhĩ phải. GIỮA và PHẢI: Hẹp thuôn nhẵn ngay trên cơ hoành (mũi tên).
Bên trái là một bệnh nhân khác bị achalasia.
Trong quá trình soi huỳnh quang, quan sát thấy một số nhu động với hình ảnh hẹp thuôn nhẵn điển hình ngay trên cơ hoành (mũi tên).
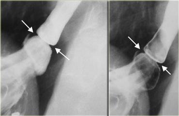
Vòng thực quản dưới

Vòng thực quản do co thắt cơ. Hình ảnh thay đổi trong quá trình thăm khám và có thể không tồn tại liên tục.
- Vòng A
- Co thắt cơ tại vị trí nối giữa thực quản ống và thực quản tiền đình
- Không có tương quan giải phẫu rõ ràng
-
Vòng niêm mạc tại ranh giới biểu mô vảy-trụ theo giải phẫu (đường Z)
- Thấy rõ nhất hoặc chỉ thấy khi tiền đình giãn căng
- Bình thường
- Có thể gây nuốt khó từng đợt nếu thực quản bị hẹp, khi đó được gọi là vòng Schatzki
- > 20 mm chiều rộng, không gây tắc nghẽn
- 13-20 mm chiều rộng, có thể gây tắc nghẽn
Bên trái là hình ảnh bệnh nhân có vòng thực quản do co thắt cơ.
Lưu ý túi thừa dạ dày phát hiện tình cờ (dấu hoa thị).

Vòng A thực quản do co thắt cơ. Hình ảnh thay đổi trong quá trình thăm khám và có thể không tồn tại liên tục.
Bên trái là hình ảnh một bệnh nhân khác với vòng thực quản không tồn tại liên tục tại đỉnh của thoát vị hoành trượt.
Vòng B thực quản nằm tại ranh giới biểu mô vảy-trụ, còn được gọi là đường ‘Z’.
Hình ảnh không thay đổi trong suốt quá trình thăm khám.
Bên trái là hình ảnh bệnh nhân có vòng ‘B’ (các mũi tên) nằm cách cơ hoành vài cm, tại đỉnh của thoát vị hoành trượt.
Lưu ý hình ảnh không thay đổi trên hai ảnh này.
Bên trái là hình ảnh nam bệnh nhân 52 tuổi với triệu chứng nuốt khó từng đợt.
Hình ảnh ngoài cùng bên trái không cho thấy bất thường, tuy nhiên thực quản đoạn xa chưa giãn căng.
Khi thực quản đoạn xa giãn căng, vòng B Schatzki rộng 13 mm (các mũi tên) gây tắc nghẽn từng đợt được hiển thị rõ tại đỉnh của thoát vị hoành (đầu mũi tên).
Bên trái là hình ảnh nam bệnh nhân 71 tuổi với triệu chứng đau ngực sau bữa ăn nhanh.
Khiếm khuyết ngấm thuốc gây tắc nghẽn ở đoạn xa (mũi tên) là một mảnh thịt đã di chuyển vào dạ dày trong quá trình thăm khám.
Hình ảnh thực quản chụp theo dõi cho thấy vòng B Schatzki (các mũi tên) là nguyên nhân gây tắc nghẽn.
Màng và Túi Thừa Thực Quản
Màng thực quản
- Tỷ lệ gặp 10% trong các ca tử thiết
- Có thể bẩm sinh hoặc mắc phải
- Thường gặp nhất ở hạ họng và thực quản đoạn gần
- Đa số nhô ra từ thành trước thực quản
- Có triệu chứng khi lòng ống bị hẹp > 50%
- Chứng khó nuốt do thiếu sắt (Hội chứng Plummer-Vinson)
- Thiếu máu thiếu sắt
- Màng thực quản kèm khó nuốt
- Tăng nguy cơ ung thư
- Tính xác thực của hội chứng còn đang tranh luận
Bên trái là hình ảnh của một nam giới 52 tuổi không có triệu chứng.
Hình chiếu thẳng (AP) và hình chiếu nghiêng cho thấy màng mỏng, ngắn (mũi tên) với mức độ nhô vào lòng ống tối thiểu.
Bên trái là hình ảnh của một phụ nữ 42 tuổi bị khó nuốt do màng thực quản.
Lòng ống bị hẹp > 50%
Túi thừa
Túi thừa do áp lực (pulsion diverticula) hình thành do tăng áp lực trong lòng ống.
Có nhiều loại túi thừa do áp lực:
- Zenker
- Killian-Jamieson
- Trên cơ hoành (Epiphrenic)
- Đoạn giữa thực quản
- Hốc cửa sổ chủ-phổi (Aortopulmonary recess)
Bên trái là hình ảnh một bệnh nhân có túi thừa Zenker do cơ nhẫn-hầu đóng sớm.
Túi thừa do kéo (Traction diverticula) là thứ phát do bệnh lý lân cận.
Thường gặp nhất ở đoạn giữa thực quản.
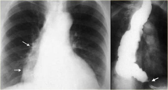
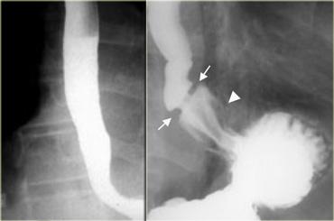
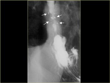
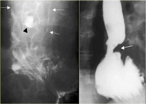
Túi thừa Zenker
Túi thừa Zenker là túi thừa giả hạ họng do áp lực, trong đó chỉ có lớp niêm mạc và dưới niêm mạc nhô qua điểm yếu hình tam giác ở thành sau (khe hở Killian) nằm giữa các thành phần ngang và chéo của cơ nhẫn-hầu.
Nguyên nhân còn gây tranh cãi, có thể do tăng áp lực thực quản trên, rối loạn chức năng cơ nhẫn-hầu và trào ngược.
Biểu hiện lâm sàng có thể là khó nuốt, trào ngược, hít sặc hoặc xuất hiện khối hay mức khí-dịch trên phim X-quang cổ hoặc ngực.
Chụp thực quản cản quang cho thấy hình ảnh túi chứa có nguồn gốc từ đường giữa phía sau, ngay trên cơ nhẫn-hầu, nhô sang bên (thường sang trái) và xuống dưới, kích thước tăng dần.
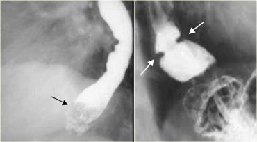
Túi thừa Killian-Jamieson là túi thừa do áp lực, nhô qua điểm yếu giải phẫu ở mặt bên của thực quản cổ, phía dưới cơ nhẫn-hầu, khác với túi thừa Zenker có nguồn gốc từ đường giữa phía sau.
Hình chiếu thẳng (AP) cho thấy túi thừa (mũi tên) xuất phát từ phía bên.
Hình chiếu nghiêng xác nhận túi thừa không xuất phát từ phía sau như túi thừa Zenker.

TRÁI: Túi thừa nhỏ (mũi tên) ở bệnh nhân không có triệu chứng. PHẢI: Túi thừa lớn (mũi tên) ở bệnh nhân có hít sặc
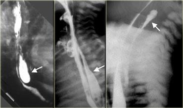
Túi thừa trên cơ hoành (Epiphrenic diverticulum)
Các túi thừa do áp lực này được phân loại dựa theo vị trí gần cơ hoành. /ul>
Nếu kích thước lớn, chúng có thể gây hẹp thực quản hoặc dẫn đến hít sặc.
Bên trái là một ví dụ khác về túi thừa trên cơ hoành.
CT cho thấy túi thừa kích thước lớn (mũi tên) lan sang phải, ngay trên cơ hoành.
Bệnh nhân này không có triệu chứng.
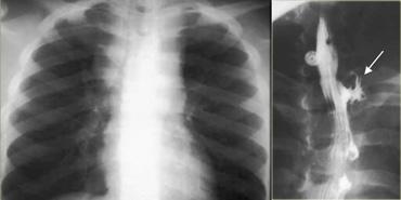
Túi thừa cửa sổ chủ-phổi (Aortopulmonary window diverticulum)
Thực quản bình thường có thể thoáng qua nhô vào cửa sổ chủ-phổi.
Nhô ra cố định là túi thừa không có ý nghĩa lâm sàng.
Bên trái là các túi thừa cửa sổ chủ-phổi nhỏ (mũi tên), là phát hiện tình cờ ở hai bệnh nhân.
Ngoài cùng bên trái là túi thừa do kéo (mũi tên) do bệnh u hạt vùng rốn phổi.
Hạch vôi hóa (dấu hoa thị).
Ở giữa là túi thừa do áp lực (mũi tên) do tăng áp lực trong lòng ống.
Bên phải là nhiều túi thừa do áp lực (mũi tên) xuất hiện trước khi thực hiện phẫu thuật cắt cơ Heller điều trị co thắt tâm vị (achalasia).
Bên trái là túi thừa do kéo (mũi tên) thứ phát sau lao hậu nguyên phát.
Hình ảnh này có thể nhầm lẫn với tổn thương phổi dạng hang trên phim X-quang ngực.
Túi thừa giả (pseudodiverticula) có thể gặp trong viêm thực quản trào ngược.
Bên trái là hình ảnh một bệnh nhân có thoát vị hoành, viêm thực quản trào ngược và túi thừa giả (mũi tên) tại vị trí hẹp đoạn gần.

Trái: Thủng do thủ thuật (mũi tên). GIỮA: Nang đôi thực quản có thông nối (mũi tên). PHẢI: Thoát thuốc do thủng hạ họng do thủ thuật ở trẻ sơ sinh
Một số tình trạng bệnh lý khác có thể bắt chước hình ảnh túi thừa.
Bên trái là hình ảnh hai bệnh nhân bị thủng do thủ thuật và một bệnh nhân có nang đôi thực quản dạng thông nối.
Thoát vị khe hoành
Các thể thoát vị khe hoành được liệt kê trong bảng bên trái.
Mối liên quan giữa thoát vị khe hoành, trào ngược và viêm thực quản trào ngược vẫn còn nhiều tranh cãi và chưa được hiểu rõ.
Hầu hết bệnh nhân mắc bệnh trào ngược dạ dày-thực quản (GERD) đều có thoát vị khe hoành.
Nhiều bệnh nhân có thoát vị khe hoành nhưng không có trào ngược.
Nhiều bệnh nhân bị trào ngược nhưng không có thoát vị khe hoành.
Sự hiện diện của trào ngược tương quan kém với chẩn đoán GERD.
Thoát vị khe hoành trượt có ý nghĩa lâm sàng không chắc chắn khi là phát hiện đơn độc, không kèm theo các biểu hiện lâm sàng hoặc hình ảnh học của viêm thực quản.
Chẩn đoán GERD dựa trên các phát hiện hình ảnh học hoặc nội soi của viêm thực quản, không phải dựa vào sự hiện diện của thoát vị khe hoành.
Thoát vị trượt
Ở hình bên trái ban đầu, chỗ nối dạ dày-thực quản (GE) nằm dưới khe thực quản của cơ hoành.
Sau đó, dạ dày thoát vị qua khe hoành.
Cả thoát vị lẫn chỗ hẹp (mũi tên) do viêm thực quản trào ngược đều không thấy rõ ở giai đoạn đầu của quá trình thăm khám.
Thoát vị cạnh thực quản
Các thoát vị lớn có thể gây triệu chứng, và khi khe hoành ngày càng giãn rộng, tình trạng thoát vị và xoay dạ dày tiến triển có thể dẫn đến xoắn dạ dày, với các biến chứng bao gồm xuất huyết, tắc nghẽn, thắt nghẹt và thủng.
Bên trái là hai ví dụ minh họa.
Ở hình ngoài cùng bên trái, đáy vị chứa khí (dấu hoa thị) thoát vị qua khe hoành nhưng chỗ nối dạ dày-thực quản (mũi tên) vẫn nằm dưới cơ hoành.
Hình kế bên là thoát vị cạnh thực quản với phần lớn dạ dày “lộn ngược” nằm trong lồng ngực, bờ cong lớn (các mũi tên) bị lật lên trên.
Hình bên trái là thoát vị hỗn hợp.
Đoạn thực quản xa nằm kề cạnh đáy vị đã thoát vị, tuy nhiên khác với thoát vị cạnh thực quản, chỗ nối dạ dày-thực quản (mũi tên) nằm trên cơ hoành thay vì ở dưới.
Viêm và Nhiễm trùng
Trào ngược dạ dày thực quản (GERD) là nguyên nhân phổ biến nhất gây viêm thực quản.
Các nguyên nhân khác gây viêm thực quản được liệt kê trong bảng bên trái.
Viêm thực quản trào ngược
Các dấu hiệu trên chụp thực quản cản quang barium được liệt kê trong bảng bên trái.
Chụp thực quản cản quang kép cho thấy các nếp niêm mạc thực quản dày (mũi tên) và một ổ loét (đầu mũi tên) do GERD.
Chụp thực quản cản quang đơn cho thấy hẹp thực quản (mũi tên) và thoát vị hoành kiểu trượt.
Hình bên trái cho thấy hẹp thực quản không đều (đầu mũi tên) và các vết trợt (mũi tên) do GERD.
Thực quản Barrett
Thực quản Barrett (dị sản trụ) là hậu quả của viêm thực quản trào ngược mạn tính.
Hầu hết bệnh nhân có triệu chứng trào ngược và thoát vị hoành.
Chẩn đoán được gợi ý mạnh mẽ khi có:
- Loét thực quản đoạn giữa hoặc đoạn cao
- Hẹp dạng màng ở đoạn giữa hoặc đoạn cao thực quản
- Hình ảnh niêm mạc dạng lưới
Hình bên trái là một bệnh nhân thực quản Barrett.
Hình ảnh niêm mạc dạng lưới là đặc trưng của dị sản trụ Barrett, đặc biệt khi kết hợp với hẹp dạng màng (mũi tên).
Hình bên trái là một bệnh nhân thực quản Barrett có ung thư biểu mô tuyến.
Có các nếp niêm mạc đoạn xa bất thường.
Bờ trên của ung thư biểu mô tuyến tạo góc vuông với thành thực quản (mũi tên), gợi ý tổn thương thành thực quản ở bệnh nhân GERD và thực quản Barrett.
Viêm thực quản do nhiễm trùng
Viêm thực quản do Candida
Hình bên trái là một bệnh nhân viêm thực quản nhiễm trùng do Candida.
Chụp thực quản barium cho thấy nhiều vết trợt nhỏ và các mảng nhỏ do Candida albicans ở bệnh nhân suy giảm miễn dịch.
Viêm thực quản do Cytomegalovirus
Hình bên trái là một bệnh nhân AIDS bị viêm thực quản nhiễm trùng do Cytomegalovirus.
Các ổ loét khổng lồ như vậy cũng có thể do HIV đơn thuần gây ra.
Viêm thực quản do Crohn
Hình bên trái là một bệnh nhân mắc bệnh Crohn.
Có hình ảnh viêm thực quản dạng u hạt với các ổ loét áp-tơ (mũi tên).
Đây là biểu hiện không thường gặp của bệnh Crohn.
Hình bên phải cho thấy các ổ loét áp-tơ đại tràng, là biểu hiện phổ biến hơn.
Viêm thực quản do lao
Hình bên trái là một bệnh nhân viêm thực quản nhiễm trùng do lao nguyên phát.
Có hình ảnh đường rò không đều từ thực quản đoạn gần (mũi tên).
Phim X-quang ngực cho thấy các hạch bạch huyết phì đại làm rộng trung thất do lao nguyên phát.
Giả túi thừa thực quản
Giãn các tuyến thành thực quản hay còn gọi là giả túi thừa thực quản, thường liên quan đến các dấu hiệu viêm trên mô học hoặc nội soi, và nhiều bệnh nhân có hẹp thực quản do GERD.
Hình bên trái là một bệnh nhân giả túi thừa thực quản.
Viêm thực quản tăng bạch cầu ái toan
Chẩn đoán có thể được gợi ý bởi tăng bạch cầu ái toan ngoại vi và được xác nhận khi sinh thiết có > 20 bạch cầu ái toan trên mỗi vi trường độ phóng đại cao (HPF).
Bệnh nhân thường có triệu chứng khó nuốt và dị ứng.
Các dấu hiệu hình ảnh bao gồm hẹp lan tỏa, hẹp thực quản và hình ảnh có vòng nhẫn tương tự các nếp ngang (thực quản mèo) có thể thoáng qua hoặc liên quan đến trào ngược.
Điều trị bằng corticosteroid thường cho kết quả tốt.
Hình bên trái là một bệnh nhân viêm thực quản tăng bạch cầu ái toan.
Có hình ảnh hẹp lan tỏa đoạn xa và bờ gợn sóng (mũi tên) do các vết lõm dạng vòng nhẫn, đặc trưng của viêm thực quản tăng bạch cầu ái toan.
Gai hóa glycogen
Các mảng glycogen thường được phát hiện qua nội soi.
Tỷ lệ gặp qua nội soi được báo cáo là 5 đến 15% tổng số bệnh nhân.
Các tập hợp glycogen biểu mô lành tính này tạo ra các nốt niêm mạc nhỏ.
Các nốt có bề mặt nhẵn và bờ rõ.
Đây có thể là một quá trình thoái hóa và không gây ra triệu chứng.

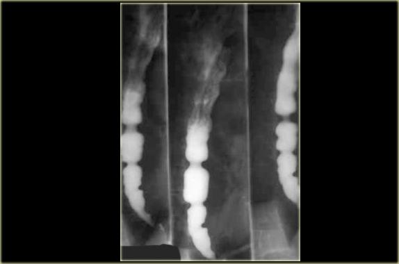
Thực quản mèo: A, B: Cho thấy các nếp ngang mảnh của thực quản; C: Hình ảnh chụp muộn hơn trong quá trình thăm khám không còn thấy các nếp này
Thực quản mèo
Cần phân biệt các nếp đồng tâm mảnh, xuất hiện thoáng qua của thực quản mèo với các nếp dày hơn, gián đoạn, cố định gợi ý sẹo xơ hóa theo chiều dọc do viêm thực quản trào ngược.
Đặc điểm của thực quản mèo bao gồm:
- Các vân ngang do co thắt cơ niêm mạc
- Bình thường ở loài mèo
- Thường thoáng qua và không có ý nghĩa bệnh lý
- Có thể liên quan đến trào ngược dạ dày thực quản hoặc viêm thực quản


































