Thuật toán gãy cổ chân 2.0
Trong bài giảng này, chúng tôi trình bày một thuật toán đơn giản giúp bạn:
- Phát hiện tất cả các loại gãy xương mắt cá chân, kể cả những trường hợp không hiển thị trên phim X-quang
- Dự đoán đứt dây chằng ngay cả khi không thể quan sát thấy trên hình ảnh
- Xác định mắt cá chân ổn định hay không ổn định chỉ dựa vào phim X-quang
Thuật toán được xây dựng dựa trên phân loại Weber, vì đây là phân loại đơn giản và được sử dụng rộng rãi. Do phân loại Weber là sự đơn giản hóa của phân loại Lauge-Hansen, thuật toán này cũng sẽ giúp bạn hiểu rõ hơn về các giai đoạn khác nhau trong phân loại Lauge-Hansen.
Giới thiệu
Thuật toán chẩn đoán gãy xương cổ chân
Bước 1
Câu hỏi đầu tiên bạn cần đặt ra là:
Đây có phải là gãy xương Weber type A không?
Có hay không có hình ảnh bong điểm bám (avulsion) của mắt cá ngoài. Điều này khá dễ nhận biết.
Bước 2
Nếu không phải type A, câu hỏi tiếp theo là:
Đây có phải là gãy xương Weber type B không?
Đường gãy chéo ở vị trí ngang khớp chày mác (syndesmosis) thường dễ dàng phát hiện trên phim X-quang.
Bước 3
Nếu không phải type A hay type B, câu hỏi cuối cùng là:
Đây có thể là gãy xương Weber type C không?
Các gãy xương loại này thường không hiện rõ trên phim X-quang cổ chân do đường gãy xương mác nằm quá cao, tuy nhiên thuật toán chẩn đoán cung cấp các dấu hiệu gợi ý để phát hiện các gãy xương này.
Sau khi trả lời các câu hỏi trên, chúng ta sẽ xếp tổn thương vào một trong ba nhóm phân loại này.
Trong mỗi nhóm, chúng ta cần xác định giai đoạn của gãy xương, từ đó đánh giá khớp cổ chân ở trạng thái vững hay không vững.
Trong Weber A, giai đoạn 1 là vững.
Tuy nhiên, khi kèm theo gãy xương mắt cá trong theo chiều dọc (push-off fracture), thì được xếp vào giai đoạn 2 và khớp cổ chân không vững, do vòng vững chắc bị phá vỡ ở hai vị trí.
Trong Weber B, giai đoạn 2 là vững, nhưng giai đoạn 3 và 4 là không vững.
Trong Weber C, phát hiện đường gãy xương mác cao đồng nghĩa với không vững giai đoạn 3. Do đường gãy này thường không hiện rõ trên phim X-quang cổ chân, cần khảo sát kỹ phim X-quang cổ chân để tìm kiếm giai đoạn 1 và 4, vốn là các dấu hiệu gợi ý để chụp X-quang toàn bộ cẳng chân nhằm tìm kiếm đường gãy xương mác cao.
Các giai đoạn trong Weber B và C luôn tuân theo một trình tự nghiêm ngặt.
Điều này có nghĩa là khi phát hiện tổn thương giai đoạn 3, thì giai đoạn 1 và 2 chắc chắn đã xảy ra, dù có thể không quan sát thấy trên hình ảnh.
Chúng ta sẽ thảo luận chi tiết về các giai đoạn này trong chương tiếp theo.
Các giai đoạn gãy xương
Đây là tổng quan về các giai đoạn của gãy xương cổ chân. Phân loại này được mô tả lần đầu bởi Christian Lauge-Hansen, một nhà bệnh lý học người Đan Mạch vào năm 1950, và sau đó được Bernhard Georg Weber, thành viên nhóm AO, kế thừa và phát triển vào năm 1972.
Các giai đoạn của Weber A
- Bong điểm bám (avulsion) phía ngoài
- Gãy xương mắt cá trong theo chiều dọc (push-off fracture)
Các giai đoạn của Weber B
- Đứt khớp chày mác trước (anterior syndesmosis) hoặc ít gặp hơn là gãy kiểu Tillaux (bong điểm bám phía xương chày).
- Gãy xương mác chéo ở vị trí ngang khớp chày mác.
- Gãy bong điểm bám mắt cá sau (tertius avulsion fracture) hoặc đứt khớp chày mác sau (posterior syndesmosis).
- Gãy bong điểm bám mắt cá trong hoặc đứt các bó dây chằng bên trong (medial collateral bands)
Các giai đoạn của Weber C
- Gãy bong điểm bám mắt cá trong hoặc đứt các bó dây chằng bên trong (medial collateral bands)
- Đứt khớp chày mác trước (anterior syndesmosis) hoặc ít gặp hơn là gãy kiểu Tillaux (bong điểm bám phía xương chày).
- Gãy xương mác kiểu xoắn vặn (twist-like fracture) ở vị trí trên khớp chày mác.
- Gãy bong điểm bám mắt cá sau (tertius avulsion fracture) hoặc đứt khớp chày mác sau (posterior syndesmosis)
Gãy xương Weber B và Weber C có sự khác biệt rõ rệt về đặc điểm đường gãy xương mác.
Trong Weber B, đường gãy có hướng chéo theo cơ chế đẩy (push-off fracture) ở vị trí ngang khớp chày mác, trong khi Weber C có đường gãy kiểu xoắn vặn ở vị trí trên khớp chày mác.
Tuy nhiên, cần lưu ý rằng có nhiều điểm tương đồng giữa Weber B và C, với sự khác biệt chủ yếu nằm ở trình tự xuất hiện các tổn thương. Ví dụ, gãy xương mắt cá sau (tertius fracture) là giai đoạn 3 trong Weber B hoặc giai đoạn 4 trong Weber C.
Một điểm quan trọng khác cần ghi nhớ là lực kéo căng tác động lên dây chằng sẽ dẫn đến một trong hai hậu quả: đứt dây chằng đó hoặc gãy bong điểm bám tại vị trí bám của dây chằng.
Bước 1 – Đây có phải là gãy xương Weber A / SA không
Weber A là kết quả của lực kéo giật hoặc lực bứt rời ở phía bên ngoài do bàn chân bị ngửa quá mức kết hợp với khép. Đây là giai đoạn 1 và có tính ổn định.
Lauge-Hansen gọi cơ chế này là ngửa-khép (SA – supination-adduction).
Mặc dù không phổ biến, tổn thương có thể tiến triển và gây ra gãy xương do lực đẩy ở phía trong, dẫn đến gãy xương theo đường thẳng đứng của mắt cá trong. Đây luôn là giai đoạn 2 và không ổn định, bất kể có nhìn thấy gãy xương mắt cá ngoài hay không. Trong những trường hợp hiếm gặp, có thể phát hiện gãy xương thẳng đứng của mắt cá trong kết hợp với đứt dây chằng bên ngoài.
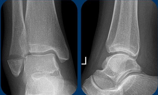
Giai đoạn 1
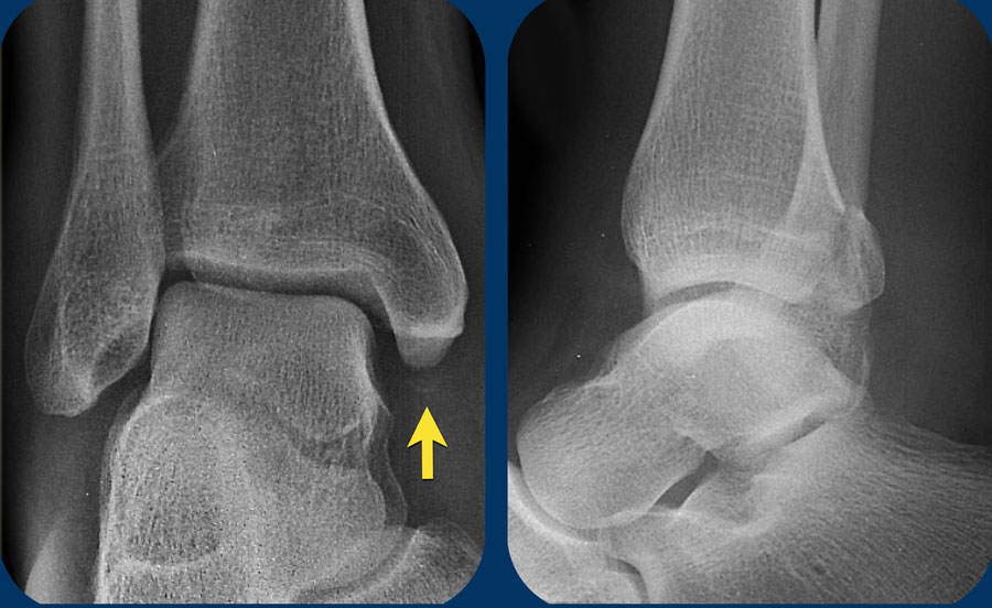
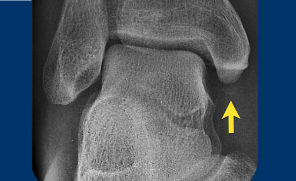
Đây là hình ảnh điển hình của gãy xương bứt rời hoặc gãy do lực kéo giật ở mắt cá ngoài.
Mảnh xương bứt rời khá lớn. Thông thường hơn, mảnh bứt rời có kích thước nhỏ.
Đây là gãy xương Weber A giai đoạn 1, có tính ổn định.
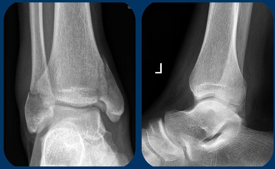
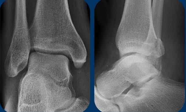
Giai đoạn 2
Trường hợp này phức tạp hơn.
Đường gãy xương mác nằm ở mức khớp chày mác xa (syndesmosis) và một số người có thể xếp loại đây là gãy Weber B, tuy nhiên hình ảnh không điển hình cho Weber B. Gãy Weber B có đường gãy chéo và nghiêng hơn do đây là gãy do lực đẩy, sẽ được thảo luận ở phần sau.
Chỉ cần quan sát hình ảnh, bạn có thể hiểu được cơ chế chấn thương (cuộn ảnh để xem).
Đây là gãy xương Weber A hai mắt cá giai đoạn 2, không ổn định.
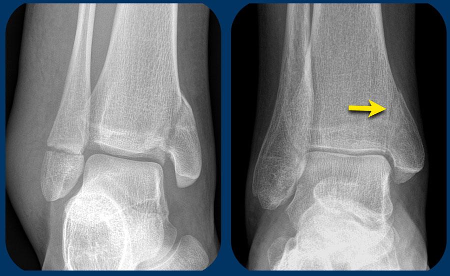
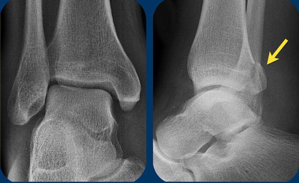
Hình bên trái là một ví dụ khác về gãy xương hai mắt cá không ổn định giai đoạn 2 Weber A.
Hình bên phải cho thấy đường gãy thẳng đứng của mắt cá trong (mũi tên). Đây luôn là giai đoạn 2 và không ổn định. Điều này có nghĩa là giai đoạn 1 đã xảy ra trước đó, vì cơ chế chấn thương luôn tuân theo trình tự nghiêm ngặt: giai đoạn 1 trước, sau đó mới đến giai đoạn 2.
Vòng ổn định bị phá vỡ ở hai vị trí (cuộn ảnh để xem).
Bước 2 – Đây có phải là gãy xương Weber B / SER không?
Nếu không phải là gãy xương Weber A, câu hỏi tiếp theo cần đặt ra là: đây có phải là gãy xương Weber B không?
Khi phát hiện gãy xương Weber B — vốn luôn hiện rõ trên tư thế chụp thẳng (AP) hoặc tư thế chụp nghiêng — điều duy nhất cần kiểm tra là liệu có tổn thương giai đoạn 3 không ổn định với tổn thương phía sau, hay thậm chí giai đoạn 4 với tổn thương phía trong hay không.
Gãy xương Weber B là loại gãy xương cổ chân phổ biến nhất, chiếm 60-70% tổng số các trường hợp gãy xương cổ chân.
Cũng giống như gãy xương Weber C, đây là hậu quả của lực xoay ngoài tác động lên bàn chân.
Điểm khác biệt duy nhất là trong gãy Weber B, bàn chân ở tư thế sấp (supination) và tổn thương bắt đầu từ phía ngoài — nơi chịu lực căng — trong khi ở gãy Weber C, tổn thương bắt đầu từ phía trong do bàn chân ở tư thế ngửa (pronation).
Lauge-Hansen gọi cơ chế gãy xương này là sấp-xoay ngoài (supination exorotation – SER).
Cơ chế gãy xương dẫn đến gãy Weber C được gọi là ngửa-xoay ngoài (pronation exorotation – PER) và sẽ được thảo luận trong phần tiếp theo.
Cuộn qua các hình ảnh để thấy cách tổn thương diễn tiến theo một trình tự cố định theo chiều kim đồng hồ.
Mọi thứ trở nên rất đơn giản khi bạn ghi nhớ trình tự cố định của các tổn thương:
- Phía trước
Lực căng tại khớp chày mác trước (syndesmosis trước) gây đứt dây chằng hoặc bong điểm bám tại xương chày — gãy xương Tillaux. - Phía ngoài
Lực xoay ngoài tác động lên xương mác gây ra đường gãy chéo — gãy kiểu đẩy ra sau (push-off fracture). - Phía sau
Khi xương sên đẩy mảnh xương mác về phía sau, lực căng tại khớp chày mác sau (syndesmosis sau) sẽ gây đứt dây chằng hoặc bong mắt cá thứ ba (malleolus tertius). - Phía trong
Khi xương sên tiếp tục di chuyển ra sau ngoài, lực căng rất lớn tác động lên dây chằng bên trong (dây chằng delta) sẽ gây đứt dây chằng hoặc bong mắt cá trong.
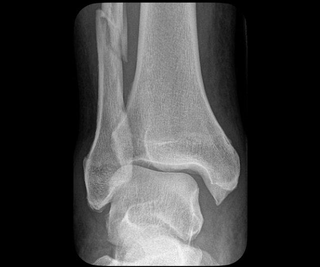
Gãy xương Tillaux
Cơ chế chấn thương gây ra gãy xương Weber B có thể dừng lại ở bất kỳ giai đoạn nào. Thường gặp nhất là giai đoạn 2 với đường gãy chéo của xương mác, nhưng đôi khi tổn thương chỉ dừng lại ở giai đoạn 1.
Thông thường đây là tình trạng đứt dây chằng chày mác trước và không thấy bất thường trên phim X-quang, tuy nhiên bệnh nhân sẽ đau nhiều tại vị trí đặc hiệu ở phía trước ngoài. Lực căng tại dây chằng chày mác trước đôi khi có thể gây bong điểm bám của dây chằng này tại xương chày, được gọi là gãy xương Tillaux. Bong điểm bám tại xương mác còn hiếm gặp hơn.
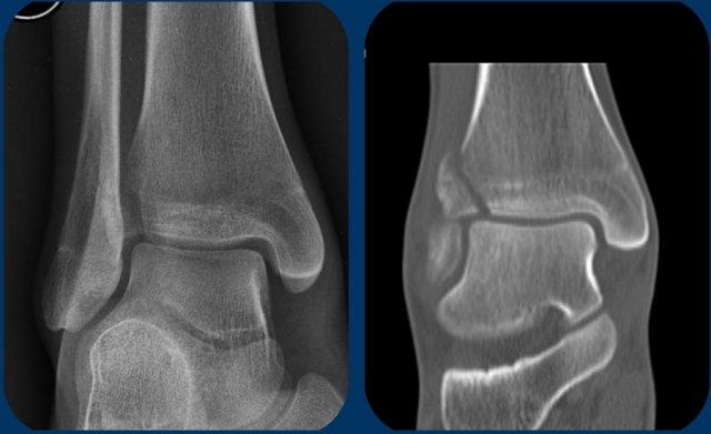
Hình ảnh
Trên tư thế chụp thẳng (AP) và tái tạo CT mặt phẳng coronal, chúng ta thấy gãy xương Tillaux ở giai đoạn 1. Không ghi nhận tổn thương gãy xương nào khác.
Hãy phân tích các hình ảnh này. Bạn có thể cần nhấp vào để xem ở kích thước lớn hơn.
Câu hỏi đầu tiên: Đây là gãy xương Weber A, B hay có thể là Weber C? Sau đó hãy cố gắng xác định giai đoạn và đánh giá xem cổ chân ổn định hay không ổn định.
Bạn có thể xem các hình ảnh tiếp theo để đọc phần thảo luận về các hình ảnh này.
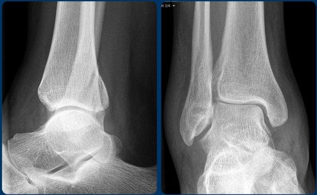
Cuộn qua các hình ảnh.
Đây là gãy xương Weber B giai đoạn 4, thuộc loại không ổn định.
Bước 3 – Liệu đây có phải là Weber C / PER không?
Khi X-quang cổ chân không cho thấy gãy xương rõ ràng như Weber A hoặc B, câu hỏi đặt ra là: liệu đây có phải là gãy xương Weber C không?
Vì đường gãy xương mác trong Weber C thường không hiển thị trên X-quang cổ chân, đây có thể là một câu hỏi khó trả lời.
Chúng ta sẽ phải tìm kiếm các dấu hiệu bổ sung để dẫn đến câu trả lời đúng và giúp chúng ta quyết định có cần chụp thêm hình ảnh hay không.
Vì đường gãy xương mác đã ở giai đoạn 3, chúng ta muốn tìm kiếm:
- Giai đoạn 1 là tổn thương phía trong (medial), nơi mọi thứ bắt đầu. Bất kỳ cơn đau hoặc phù nề phần mềm ở phía trong đều có thể là dấu hiệu đầu tiên cho thấy chúng ta đang đối mặt với gãy xương Weber C.
- Giai đoạn 2 là tổn thương khớp chày mác xa (syndesmosis) phía trước, thường không nhìn thấy được, trừ khi có gãy xương Tillaux.
- Giai đoạn 4 là tổn thương khớp chày mác xa phía sau, đôi khi không thể nhìn thấy, nhưng sẽ bị nghi ngờ nếu có sự giãn rộng của khớp cổ chân hoặc khi có mảnh avulsion của mắt cá sau (malleolus tertius) như được thấy trong hình minh họa.
Cơ chế chấn thương Weber C
Cơ chế của Weber C là kết quả của tư thế bàn chân sấp (pronation) kết hợp với lực xoay ngoài (exorotation) tác động lên bàn chân, đó là lý do tại sao Lauge-Hansen gọi nó là sấp – xoay ngoài (pronation exorotation – PER).
Các giai đoạn bao gồm:
- Do tư thế sấp, có một lực căng rất lớn tác động lên các dây chằng bên trong (medial collateral), và đó là nơi tổn thương bắt đầu với hoặc là đứt dây chằng hoặc là gãy avulsion mắt cá trong (giai đoạn 1).
- Khi lực xoay ngoài tiếp tục, khớp chày mác xa phía trước sẽ bị đứt (giai đoạn 2).
- Do tư thế sấp của bàn chân, các dây chằng ở phía ngoài đều không có lực căng. Khi bàn chân tiếp tục xoay ngoài, đầu dưới xương mác đi theo chuyển động xoay ngoài này, trong khi đầu trên xương mác được giữ cố định tại khớp chày mác gần, tạo ra một đường gãy xoắn ở vị trí nào đó phía trên mức khớp chày mác xa (giai đoạn 3).
- Và cuối cùng ở giai đoạn 4, sẽ xảy ra đứt khớp chày mác xa phía sau hoặc gãy avulsion mắt cá sau (giai đoạn 4).
Trên mặt phẳng trục (axial), có thể thấy tổn thương bắt đầu ở phía trong do tư thế sấp của bàn chân và tiến triển theo chiều kim đồng hồ qua phía trước, phía ngoài đến phía sau.
Và cũng giống như trong Weber B, có thể xảy ra tổn thương khớp chày mác xa phía trước, xương mác và cuối cùng là khớp chày mác xa phía sau.
Hai điểm khác biệt giữa Weber B và C là:
- Weber B bắt đầu ở phía trước ngoài do tư thế ngửa (supination) của bàn chân, trong khi Weber C bắt đầu ở phía trong do tư thế sấp (pronation) của bàn chân.
- Lực xoay ngoài trong Weber B tạo ra đường gãy chéo kiểu đẩy ra vì xương mác bị giữ chặt vào xương sên do tư thế ngửa, trong khi ở Weber C xương mác khá lỏng lẻo dẫn đến đường gãy xoắn ở vị trí cao trên xương mác.
Đôi khi chúng ta may mắn vì đường gãy xương mác có thể nhìn thấy trên X-quang cổ chân.
Khi đó chúng ta biết mình đang đối mặt với gãy xương Weber C giai đoạn 3 không ổn định.
Trong trường hợp này, có sự giãn rộng khoang sáng phía trong (medial clear space) giữa mắt cá trong và xương sên, cho thấy đứt dây chằng bên trong (giai đoạn 1).
Chúng ta phải giả định rằng cũng có đứt khớp chày mác xa phía trước (giai đoạn 2).
Ngoài ra cũng có thể có tổn thương giai đoạn 4 ở khớp chày mác xa phía sau.
Tuy nhiên, trong nhiều trường hợp, đường gãy xương mác nằm ở vị trí cao hơn và chúng ta cần chụp thêm X-quang để tìm đường gãy.
Nhiệm vụ của chúng ta với tư cách là bác sĩ chẩn đoán hình ảnh là tìm kiếm các dấu hiệu gợi ý trên X-quang cổ chân để dẫn đến các đường gãy xương mác cao này, và thuật toán sẽ hỗ trợ chúng ta trong việc đó.
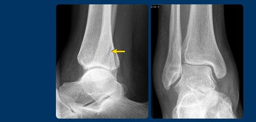
Hãy nghiên cứu các hình ảnh.
Sử dụng thuật toán và tự hỏi liệu đây là Weber A, B hay có thể là Weber C.
Sau đó xác định giai đoạn tổn thương.
Tiếp tục để xem phần thảo luận về ca lâm sàng này.
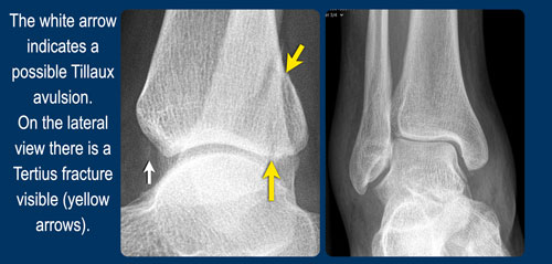
- Thoạt nhìn, có vẻ như chỉ có đơn thuần gãy mắt cá sau (tertius).
- Khi nhìn vào thuật toán, có thể thấy rằng gãy mắt cá sau có thể gặp trong gãy Weber B ở giai đoạn 3 và trong gãy Weber C ở giai đoạn 4.
Vì bệnh nhân này không có Weber B, đây phải là gãy xương Weber C. Gãy mắt cá sau đơn độc rất hiếm gặp và có lẽ không tồn tại. - Bây giờ chúng ta nhận ra phù nề phần mềm ở phía trong, đây là giai đoạn 1.
- Trên hình phóng to, chúng ta cũng nhận ra một mảnh gãy avulsion nhỏ.
Sau khi phát hiện giai đoạn 1 và 4 của cơ chế chấn thương kiểu Weber C, chúng ta có thể chắc chắn rằng cũng phải tồn tại giai đoạn 3, tức là gãy xương mác ở vị trí cao.
Từ thiện
Toàn bộ lợi nhuận từ Radiology Assistant được chuyển đến tổ chức Medical Action Myanmar, do Bác sĩ Nini Tun và Giáo sư Frank Smithuis điều hành – ông là giáo sư tại Đại học Oxford và là anh trai của Robin Smithuis.
Nhấp vào đây để xem video về Medical Action Myanmar và nếu bạn thấy Radiology Assistant hữu ích, hãy ủng hộ Medical Action Myanmar bằng một món quà nhỏ.


































-1629790316.jpeg)
-1629790318.jpeg)
-1629790320.jpeg)
-1629790322.jpeg)







