Thoát vị đĩa đệm thắt lưng
Bài viết này trình bày một phương pháp tiếp cận có hệ thống đối với bệnh nhân bị chèn ép rễ thần kinh vùng thắt lưng.
Chúng tôi sẽ thảo luận về thoát vị đĩa đệm, thoái hóa khớp mặt, nang hoạt dịch, trượt đốt sống và lipomatosis ngoài màng cứng.
Có thể phóng to hình ảnh bằng cách nhấp vào chúng.
Tiếp cận hệ thống
Bốn mức độ chèn ép thần kinh
Ở bệnh nhân có triệu chứng chèn ép rễ thần kinh, có bốn mức độ cần được khảo sát:
- Mức độ đĩa đệm.
Đây là vị trí phổ biến nhất gây chèn ép thần kinh.
Chủ yếu do thoát vị đĩa đệm và ít thường gặp hơn do hẹp ống sống. - Mức độ ngách bên.
Đây là vùng nằm phía dưới đĩa đệm, nơi rễ thần kinh đi theo hướng bên hơn về phía lỗ liên hợp.
Hẹp ngách bên được gây ra bởi thoái hóa khớp mỏm khớp, thường kết hợp với phì đại dây chằng vàng và phồng đĩa đệm. - Lỗ liên hợp.
Đây là vùng nằm giữa hai cuống sống, nơi rễ thần kinh thoát ra khỏi ống sống.
Hẹp lỗ liên hợp được gặp trong thoái hóa khớp mỏm khớp, trượt đốt sống và thoát vị đĩa đệm trong lỗ liên hợp – thường là đĩa đệm di trú từ tầng thấp hơn. - Ngoài lỗ liên hợp.
Đây là vùng nằm bên ngoài lỗ liên hợp.
Chèn ép thần kinh tại vùng này không phổ biến, nhưng đôi khi do thoát vị đĩa đệm sang bên gây ra.
Tại bốn mức độ này, có thể có sự chồng lấp đáng kể của các bệnh lý.
Ví dụ, thoát vị đĩa đệm có thể gây chèn ép thần kinh tại mức độ đĩa đệm, nhưng cũng có thể gây chèn ép tại mức độ lỗ liên hợp hoặc ngoài lỗ liên hợp khi đĩa đệm bị di trú.
Khi tìm kiếm tình trạng chèn ép thần kinh, cần phải khảo sát tất cả các mức độ này.
Cuộn qua các hình ảnh để quan sát đường đi của các rễ thần kinh tại mức độ đĩa đệm, ngách bên, lỗ liên hợp và ngoài lỗ liên hợp.
Tại mỗi mức độ có thể thấy các bệnh lý đặc trưng, nhưng có sự chồng lấp đáng kể.
Ví dụ, đĩa đệm có thể thoát vị và gây chèn ép thần kinh tại mức độ đĩa đệm, nhưng cũng có thể di trú xuống tầng thấp hơn và chèn ép rễ thần kinh trong ngách bên, hoặc di chuyển lên trên và gây chèn ép tại mức độ lỗ liên hợp hay ngoài lỗ liên hợp.
Ở bệnh nhân thoái hóa khớp mỏm khớp, các gai xương có thể phát triển vào trong và làm hẹp ngách bên, hoặc phát triển lên trên và làm hẹp lỗ liên hợp.
Khi thoái hóa khớp mỏm khớp nặng xảy ra hai bên, có thể gây hẹp ống sống và chèn ép tất cả các rễ thần kinh tại tầng đó.
Giải phẫu
Hình minh họa thể hiện các cấu trúc bao quanh các rễ thần kinh bên trong ống sống.
Dây chằng vàng
Dây chằng vàng là một dây chằng chắc khỏe nằm ở mặt sau trong của ống sống, kết nối các mảnh cung sau của các đốt sống liền kề.
Do quá trình lão hóa và mất vững cột sống liên quan đến thoái hóa khớp mỏm khớp, dây chằng vàng sẽ chịu nhiều áp lực hơn, dẫn đến phì đại và xơ hóa.
Phì đại dây chằng vàng thường được gặp kết hợp với thoái hóa khớp mỏm khớp, và cả hai đều dẫn đến hẹp ngách bên hoặc, khi xảy ra hai bên, gây hẹp ống sống.
Mỡ ngoài màng cứng
Đây là lớp mỡ bao quanh túi màng cứng chứa các rễ thần kinh.
Tình trạng tích tụ mỡ nhiều có thể gặp trong liệu pháp corticosteroid, béo phì nặng và hiếm gặp hơn là vô căn.
Tích tụ mỡ ngoài màng cứng nhiều có thể góp phần gây hẹp ống sống.
Quy trình chụp MRI
Quy trình chụp MRI khảo sát cột sống thắt lưng ở bệnh nhân có triệu chứng chèn ép thần kinh khá đơn giản.
Về cơ bản, chúng ta dựa vào các hình ảnh mặt phẳng đứng dọc chuỗi xung T1W và T2W, sau đó đối chiếu các phát hiện với hình ảnh mặt phẳng ngang chuỗi xung T2W tại các tầng nghi ngờ có bệnh lý.
Không sử dụng dải bão hòa ở phía trước hoặc trường nhìn hình chữ nhật (RFOV), vì cần khảo sát cả phần mô mềm trước cột sống.
Đặc biệt cần chú ý tìm kiếm phình động mạch chủ bụng, vì đây cũng có thể là nguyên nhân gây đau thắt lưng.
Đôi khi trên lâm sàng rất khó phân biệt đau cách hồi nguồn gốc thần kinh – do hẹp ống sống – với đau cách hồi nguồn gốc mạch máu – do hẹp động mạch.
Hướng mã hóa tần số nên đặt theo chiều trước-sau (AP) và do đó hướng mã hóa pha sẽ theo chiều chân-đầu.
Cách thiết lập này có một số ưu điểm:
- Độ phân giải cao nhất theo hướng mã hóa tần số.
Chúng ta cần độ phân giải cao nhất theo chiều trước-sau để phát hiện các thoát vị nhỏ và xác định rõ ranh giới các rễ thần kinh. - Khi đặt mã hóa pha theo chiều trước-sau, sẽ xuất hiện xảo ảnh do chuyển động hô hấp. Đó là lý do một số người sử dụng dải bão hòa hoặc RFOV.
Khi đặt mã hóa tần số theo chiều trước-sau, các vấn đề này sẽ không xảy ra và không cần sử dụng dải bão hòa. - Mã hóa tần số theo chiều chân-đầu có thể dẫn đến hiển thị kém các mâm đốt sống do xảo ảnh dịch chuyển hóa học tại vị trí tiếp giáp giữa mỡ trong thân đốt sống và nước trong đĩa đệm.
Đây là lý do thêm để sử dụng mã hóa pha theo chiều chân-đầu và mã hóa tần số theo chiều trước-sau.
Tốt hơn nên sử dụng các lát cắt liên tục với cùng một góc nghiêng, song song với tầng nghi ngờ có chèn ép thần kinh.
Cách này có ưu điểm là cho phép theo dõi toàn bộ đường đi của rễ thần kinh liên quan qua bốn tầng có thể xảy ra chèn ép.
Khi khảo sát nhiều tầng với các góc nghiêng khác nhau như trong ví dụ bên phải, sẽ không thể theo dõi toàn bộ đường đi của rễ thần kinh và không có được cái nhìn tổng thể.
Diễn giải hình ảnh
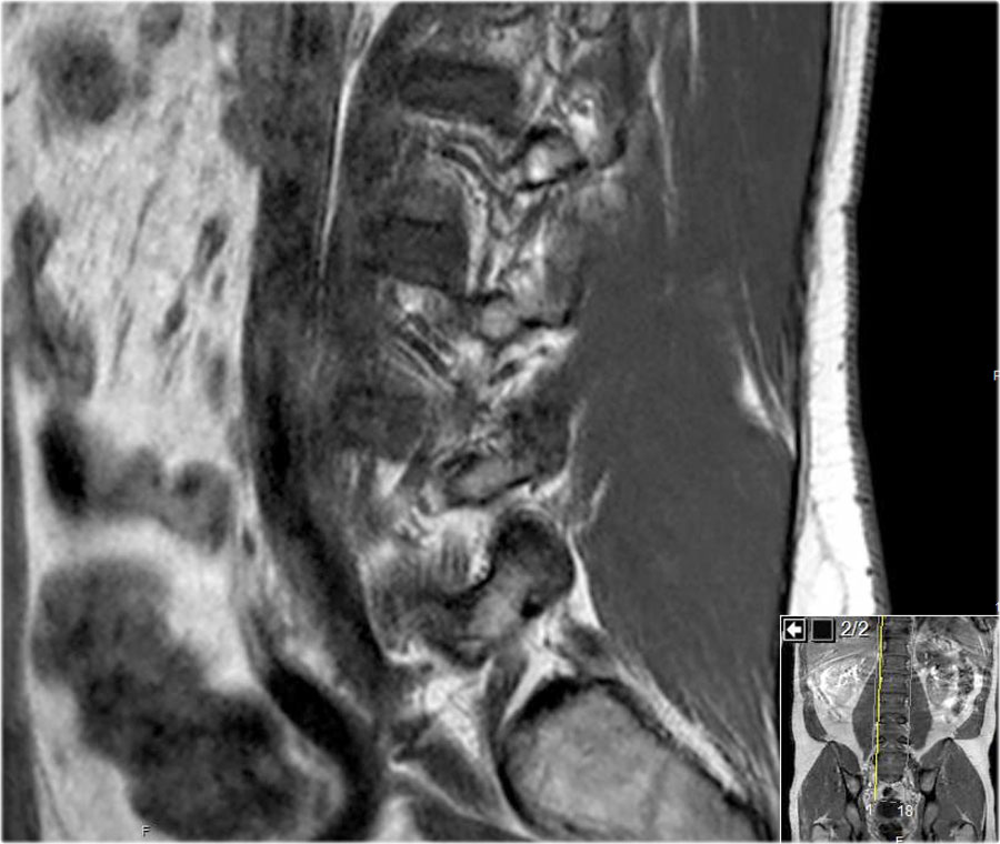
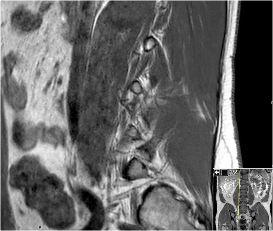
Các hình ảnh cắt dọc chuỗi xung T1W cung cấp nhiều thông tin chẩn đoán nhất.
Trước khi bắt đầu tìm kiếm bất kỳ thoát vị nào, hãy quan sát kỹ các mô trước cột sống và tủy xương.
Khi đã phát hiện bất thường, hãy đối chiếu các phát hiện này với hình ảnh chuỗi xung T2W (hình).
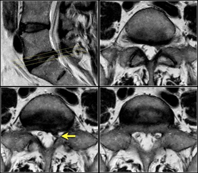
Sử dụng điểm đánh dấu
Khi phát hiện một bất thường, việc sử dụng điểm đánh dấu tương ứng với cùng một vị trí trên các chuỗi xung khác có thể rất hữu ích.
Nếu phóng to hình ảnh, bạn sẽ thấy dấu thập màu vàng nhỏ, cho biết bạn đang quan sát đúng vị trí đó trên chuỗi xung khác.
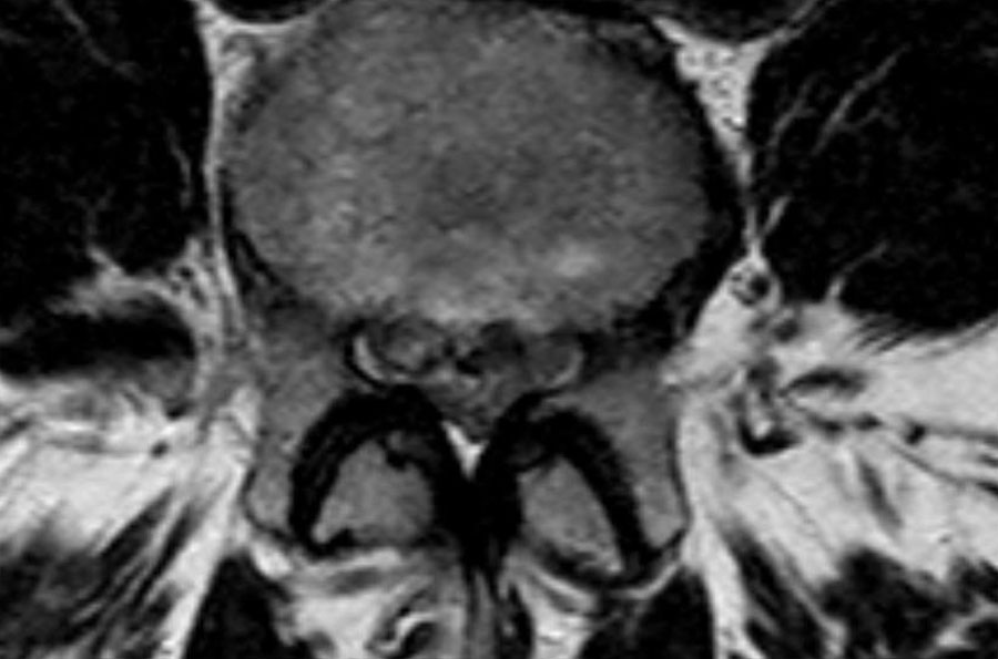
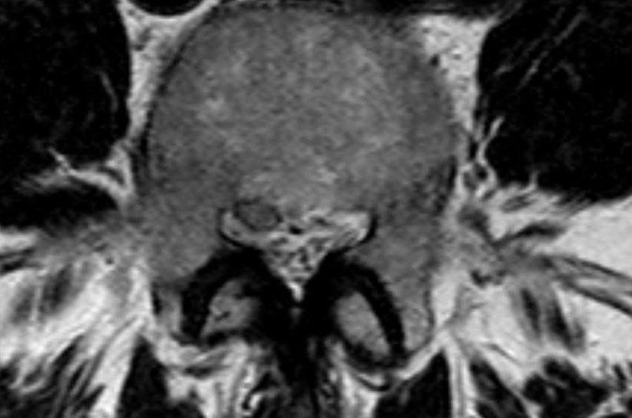
Trong trường hợp này, rễ thần kinh L5 bên phải bị chèn ép bởi một nang hoạt dịch (synovial cyst), là hệ quả của thoái hóa khớp mỏm khớp kèm tràn dịch trong các khớp gian đốt sống.
Các mô trước cột sống
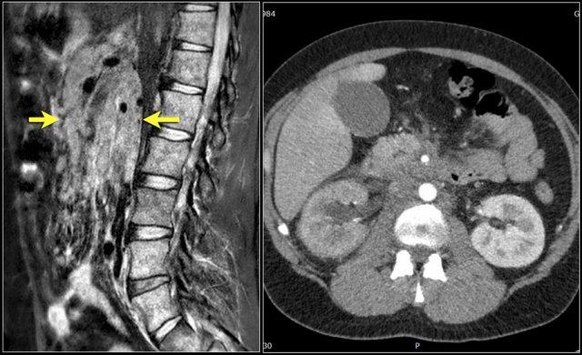
Đây là bệnh nhân 25 tuổi nhập viện vì đau thắt lưng.
Lưu ý nhiều khối nhỏ trong ổ bụng bao quanh các mạch máu mạc treo và tín hiệu tủy xương giảm bất thường.
Tín hiệu của đĩa đệm cao hơn một chút so với tủy xương (dấu hiệu đĩa đệm sáng – bright discus sign).
Đây là dấu hiệu đầu tiên cho thấy bất thường ở bệnh nhân này.
Kết quả cho thấy đây là di căn xương và hạch bạch huyết từ ung thư đại tràng.
Đây là một bệnh nhân khác với hình ảnh nổi hạch bạch huyết lan rộng tại mạc treo ruột và sau phúc mạc.
Đây là bệnh nhân nhập viện vì đau thắt lưng dữ dội.
Lưu ý hình ảnh bóc tách động mạch chủ.
Đôi khi các bất thường động mạch chủ này là những phát hiện tình cờ.
Thoát vị đĩa đệm
Thoát vị đĩa đệm là sự dịch chuyển của các thành phần đĩa đệm như nhân nhầy, các phần của vòng sợi và sụn, vượt ra ngoài giới hạn của khoang gian đốt sống.
Thoát vị có thể khu trú (< 90º), diện rộng (90º-180º) hoặc do phình đĩa đệm (> 180º).
Lồi đĩa đệm (Protrusion) được xác định khi khoảng cách giữa các bờ của khối thoát vị nhỏ hơn khoảng cách giữa các bờ của nền.
Thoát vị thực sự (Extrusion) được xác định khi khoảng cách giữa các bờ của khối thoát vị lớn hơn khoảng cách tại nền.
Đọc Cột sống – Danh pháp Đĩa đệm để biết thêm thông tin về danh pháp thoát vị đĩa đệm.
Hình ảnh lồi đĩa đệm khu trú tại mức L5S1.
Rễ thần kinh S1 bị chèn ép (mũi tên).
Hãy cuộn qua các hình ảnh và mô tả các dấu hiệu tìm thấy.
Sau đó tiếp tục đọc.
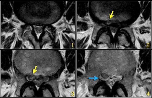
Các dấu hiệu tại các mức 1-4 như sau:
- Tại mức đĩa đệm, có hẹp ống sống tối thiểu do phình đĩa đệm và thoái hóa khớp mỏm khớp.
- Tại mức này, có hẹp ống sống nặng do phình đĩa đệm và thoái hóa khớp mỏm khớp.
Ngoài ra còn có rách vòng sợi (tăng tín hiệu) là nơi đĩa đệm thoát vị qua (mũi tên vàng). - Tại mức ngách bên, có thoát vị khu trú của chất đĩa đệm gây chèn ép rễ thần kinh L5 (mũi tên vàng).
Đây được gọi là thoát vị thực sự (extrusion), vì khoảng cách giữa các bờ của khối thoát vị lớn hơn khoảng cách tại nền. - Rễ thần kinh L5 bị chèn ép (mũi tên xanh dương) trong ngách bên.
Đĩa đệm thoát vị đã di trú xuống phía dưới và được thấy như một cấu trúc hình bầu dục nằm phía trước rễ thần kinh.
Đĩa đệm thoát vị không được bao bọc, tức là không được che phủ bởi các sợi của vòng sợi.
Trước tiên hãy quan sát các hình ảnh.
Nhấp để phóng to.
Sau đó tiếp tục đọc.
Các dấu hiệu bao gồm:
- Thoát vị đĩa đệm L3L4.
- Di trú lên phía trên.
- Chèn ép rễ thần kinh L3 trong lỗ liên hợp.
Cường độ tín hiệu của thoát vị đĩa đệm trên chuỗi xung T1W thường ở mức trung gian, trong khi trên chuỗi xung T2W có thể tăng tín hiệu trong trường hợp nhân nhầy thoát vị mới hoặc giảm tín hiệu trong trường hợp thoát vị cũ hơn.
Hình ảnh thoát vị tăng tín hiệu (mũi tên vàng trên ảnh cắt ngang) trượt qua vết rách vòng sợi và chèn ép rễ thần kinh L5 bên trái (mũi tên xanh dương).
Hình ảnh chuỗi xung T1W mặt phẳng đứng dọc cho thấy một cấu trúc giảm tín hiệu rất thấp tại mức L4L5 (mũi tên) và tại mức L5S1.
Tiếp tục xem các hình ảnh chuỗi xung T2W.
Trên chuỗi xung T2W, cường độ tín hiệu cũng rất thấp.
Chụp CT được thực hiện để xác định liệu đây có phải là đĩa đệm thoát vị bị vôi hóa hay một xảo ảnh nào đó.
Tiếp tục xem các hình ảnh CT.
Tín hiệu thấp cuối cùng được giải thích là do hiện tượng chân không (vacuum phenomenon) gây ra bởi khí nitơ trong đĩa đệm thoát vị tại cả mức L4L5 (mũi tên đỏ) và mức L5S1 (mũi tên xanh dương).
Trước tiên hãy cuộn qua các hình ảnh chuỗi xung T1W mặt phẳng đứng dọc này.
Các dấu hiệu là gì?
Sau đó tiếp tục xem chuỗi ảnh tiếp theo.
















































