Thiết bị tim mạch
Ngày xuất bản
Số lượng các thiết bị tim mạch được cấy ghép đã tăng lên đáng kể trong những năm gần đây.
Cùng với sự ra đời của máy khử rung tim cấy ghép và liệu pháp tái đồng bộ tim, các thiết bị ngày càng trở nên phức tạp hơn.
Bên cạnh đó, các thủ thuật xâm lấn tối thiểu để thay thế van tim cũng ngày càng gia tăng.
Bài viết trình bày tổng quan về các thiết bị và thủ thuật tim mạch thường gặp.
Chẩn đoán hình ảnh đóng vai trò quan trọng trong đánh giá ban đầu và theo dõi các thiết bị này.
Máy tạo nhịp tim
Có hai loại thiết bị dẫn truyền tim (CCD):
- Máy tạo nhịp tim: tạo nhịp cho tim trong các giai đoạn nhịp chậm.
- Máy khử rung tim cấy ghép (ICD): có khả năng khử rung tim nhằm ngăn ngừa ngừng tim đột ngột.
Máy tạo nhịp tim có thể có các điện cực tạo nhịp tại:
- Nhĩ phải – đầu điện cực nằm ở tiểu nhĩ phải.
- Thất phải – đầu điện cực nằm ở mỏm tim.
- Thất trái – điện cực đi qua xoang vành và tận cùng ở tĩnh mạch tim sau, được sử dụng trong liệu pháp tái đồng bộ tim ở bệnh nhân có blốc nhánh.
- Thượng tâm mạc – đặt trên thất, chủ yếu sử dụng trong phẫu thuật tim.
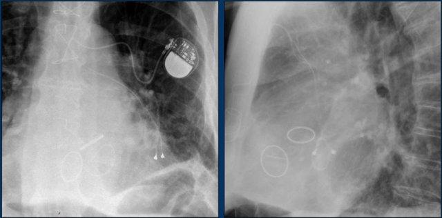
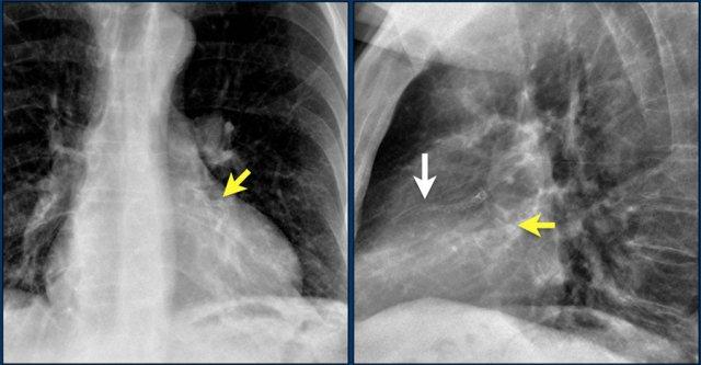
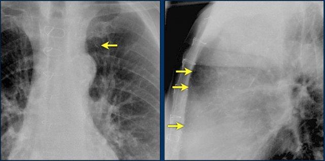
Các hình ảnh cho thấy máy tạo nhịp tim với điện cực nhĩ và điện cực thất.
Đầu điện cực nhĩ hướng lên trên và ra trước, vì vị trí lý tưởng là trong tiểu nhĩ phải, nơi điện cực được neo chặt vào các bè cơ thô.
Đầu điện cực thất được đặt tại mỏm thất phải, vị trí này nằm ở bên trái cột sống trên phim X-quang ngực thẳng và ở phía trước trên phim chụp nghiêng.
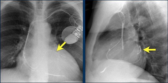
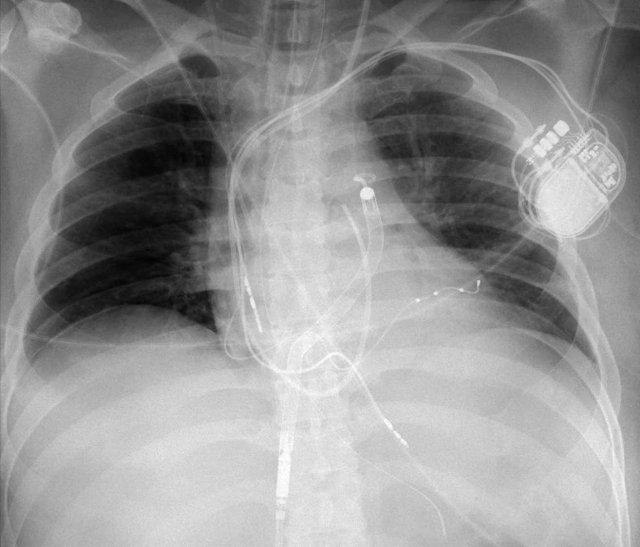
Đây là ví dụ về một ICD với các điện cực đặt tại tiểu nhĩ phải, mỏm thất phải và một điện cực đến thất trái qua tĩnh mạch vành sau.
Có thể nhận biết hai cuộn sốc điện của ICD dưới dạng các dải trắng dày hơn dọc theo đường đi của điện cực.
Liệu pháp Tái đồng bộ Tim
Liệu pháp tái đồng bộ tim bằng máy tạo nhịp hai thất được thực hiện nhằm đồng bộ hóa sự co bóp của thất phải và thất trái ở bệnh nhân suy tim tâm thu nặng kèm blốc nhánh trái hoặc phải, hoặc các rối loạn dẫn truyền trong thất khác.
Đây là hình ảnh máy tạo nhịp hai thất với ba điện cực.
Điện cực tạo nhịp nhĩ phải nằm ở tiểu nhĩ phải.
Điện cực này đi xuống dưới vào nhĩ phải trước, sau đó vòng lên trên và ra trước, nơi nó được neo chặt vào các bè cơ của tiểu nhĩ.
Điện cực thất trái đi qua nhĩ phải và xoang vành, cuối cùng được đặt ở phía sau vào một tĩnh mạch tim bên trái.
Điện cực tạo nhịp thượng tâm mạc
Điện cực thượng tâm mạc thường được đặt trong quá trình phẫu thuật tim nhằm cho phép tạo nhịp tim sau phẫu thuật.
Một số trung tâm đặt điện cực này cho tất cả bệnh nhân phẫu thuật tim, trong khi các trung tâm khác chỉ đặt cho những bệnh nhân có rối loạn nhịp tim trong lúc phẫu thuật.
Sau vài ngày, điện cực có thể được rút ra bằng cách kéo đơn giản.
Đôi khi điện cực được để lại tại chỗ.
Các điện cực thượng tâm mạc lưu lại dường như không gây nguy hiểm cho bệnh nhân trong môi trường MRI.
Tuy nhiên, kết luận này chủ yếu áp dụng cho các khảo sát MRI ngoài tim.
Hãy quan sát kỹ các hình ảnh trước.
Sau đó tiếp tục đọc.
Các phát hiện bao gồm:
- Hai điện cực thượng tâm mạc kết nối với máy tạo nhịp
- ICD
- Hai điện cực đến mỏm thất phải
- Một điện cực chứa hai cuộn sốc điện
- Van ba lá (mũi tên)
- Van hai lá
Máy tạo nhịp tim có thể gặp các biến chứng sau:
- Tràn khí màng phổi
- Gãy điện cực
- Lệch vị trí điện cực
- Nhiễm trùng
- Thủng tim
- Hội chứng Twiddler
Hình ảnh được chụp ngay sau khi đặt ICD.
Có hình ảnh tràn khí màng phổi nhỏ (mũi tên).
Đây là biến chứng thường gặp nhất.
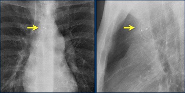
Vị trí điện cực bất thường
Bệnh nhân này có tĩnh mạch chủ trên bên trái tồn tại dai dẳng (LVCS).
Đây là một dị tật bẩm sinh hiếm gặp, có thể được phát hiện tại thời điểm đặt điện cực thiết bị tim.
Tĩnh mạch chủ trên bên trái tồn tại thông với nhĩ phải qua xoang vành.
Việc đặt điện cực thiết bị tim qua đường tĩnh mạch qua tĩnh mạch chủ trên bên trái tồn tại có thể gặp nhiều khó khăn về mặt kỹ thuật và trong một số trường hợp không thể thực hiện được.
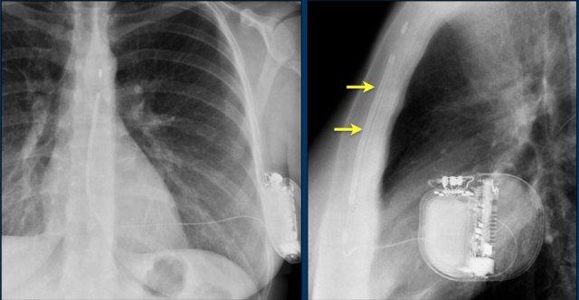
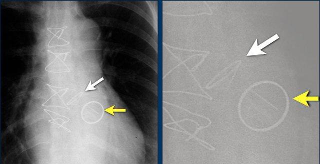
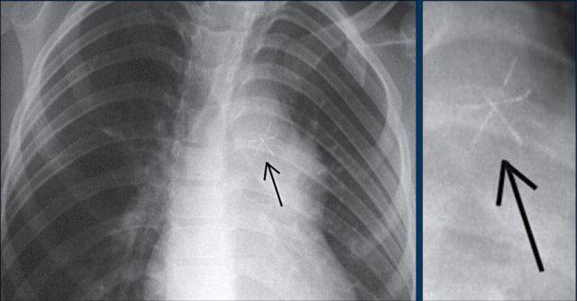
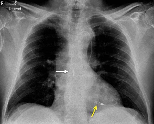
Gãy điện cực
Hình ảnh gãy rõ ràng của một trong các điện cực.
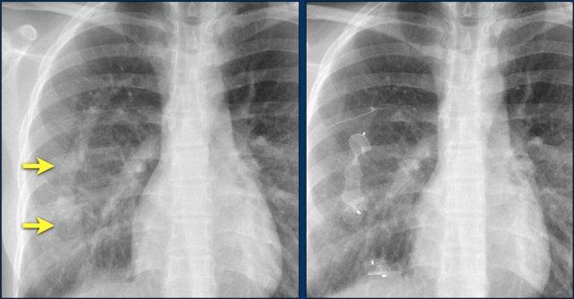
Gãy điện cực kín đáo ở máy tạo nhịp tim hoạt động không bình thường.
Đường gãy cực kỳ kín đáo (mũi tên).
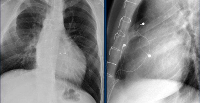
Điện cực lưu lại
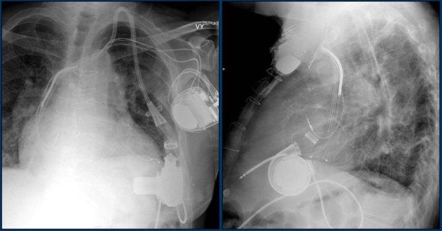
Đây là bệnh nhân có ICD với một điện cực và hai cuộn sốc điện.
Có thể thấy điện cực lưu lại của máy tạo nhịp cũ đã được tháo bỏ.
Nhiều bệnh nhân có điện cực máy tạo nhịp nội tâm mạc được để lại sau khi tháo bộ phát xung.
Tính an toàn của MRI ở bệnh nhân có điện cực máy tạo nhịp nội tâm mạc lưu lại cho đến nay vẫn chưa được nghiên cứu một cách hệ thống.
Tuy nhiên, do nguy cơ tiềm ẩn khi các điện cực này có thể hoạt động như “ăng-ten” gây nóng đáng kể – không khuyến cáo chụp MRI cho những bệnh nhân này (tài liệu tham khảo).
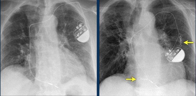
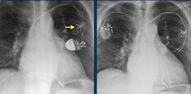
Hội chứng Twiddler
Hội chứng Twiddler là tình trạng máy tạo nhịp tim hoạt động không bình thường do bệnh nhân tự tác động vào thiết bị, dẫn đến lệch vị trí các điện cực.
Hậu quả là máy tạo nhịp hoạt động sai chức năng hoặc đôi khi kích thích các cấu trúc khác như thần kinh hoành hoặc đám rối thần kinh cánh tay.
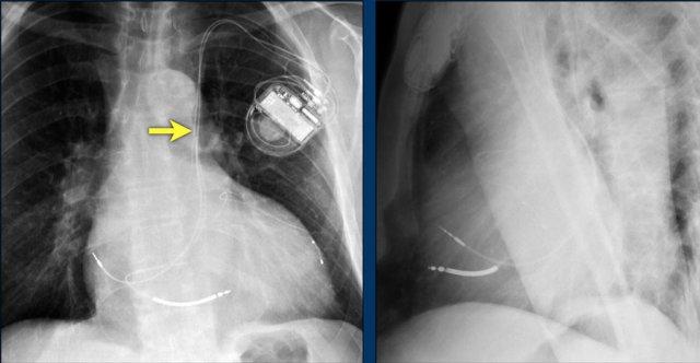
Hình ảnh bên trái cho thấy bệnh nhân có ICD được đặt đúng vị trí.
Vài tháng sau, thiết bị hoạt động không bình thường do hộp ICD và điện cực bị xoay (mũi tên vàng) và co rút lại (mũi tên trắng).
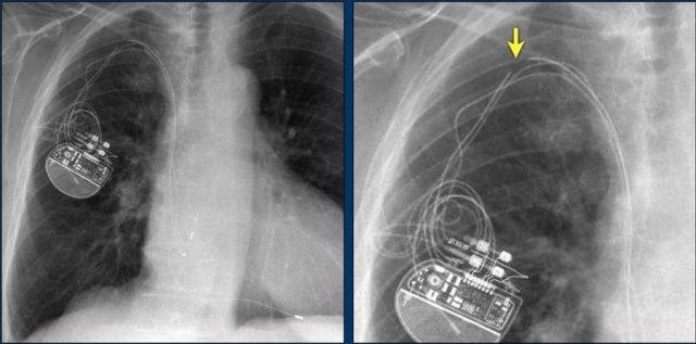
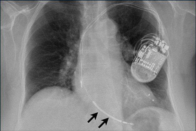
Đây là một bệnh nhân khác mắc hội chứng Twiddler.
Lưu ý hình ảnh điện cực bị cuộn xoắn gần máy tạo nhịp và tại đầu điện cực trong thất phải (mũi tên).
Máy ghi vòng lặp (Loop recorders)
Máy ghi vòng lặp là các thiết bị theo dõi tim có thể cấy ghép, dùng để ghi lại liên tục nhịp tim ở những bệnh nhân có triệu chứng hồi hộp đánh trống ngực hoặc ngất không rõ nguyên nhân.
Các thiết bị này được đặt dưới da.
Những thiết bị này ngày càng được thu nhỏ hơn và không nên nhầm lẫn với ổ đĩa USB.
Máy ghi vòng lặp có nhiều ứng dụng khác nhau, bao gồm theo dõi bệnh nhân có các cơn ngất không rõ nguyên nhân và đánh giá bệnh nhân mắc rung nhĩ, rối loạn nhịp thất hoặc rối loạn dẫn truyền.
Các máy ghi này có thể cung cấp khả năng theo dõi hơn một năm, có thể được kích hoạt bởi bệnh nhân hoặc tự động kích hoạt.
Một ví dụ khác về máy ghi vòng lặp.
Thay thế và sửa chữa van tim
Đây là hình minh họa các van tim trên mặt phẳng coronal.
Các van tim được xác định rõ nhất trên phim X-quang tư thế nghiêng.
Van động mạch chủ và van động mạch phổi nằm phía trên đường kẻ từ mỏm tim đến nền tim, trong khi van hai lá và van ba lá nằm phía dưới đường này.
Hình ảnh thể hiện vị trí van tim bình thường trên phim X-quang ngực thẳng (PA) và nghiêng.
Trên phim X-quang ngực tư thế nghiêng, van động mạch chủ và van động mạch phổi nằm phía trên đường kẻ từ nền tim đến mỏm tim, còn van ba lá và van hai lá nằm phía dưới đường này.
Các loại van tim:
- Van cơ học (van nhân tạo)
Được chế tạo từ vật liệu tổng hợp.
Bệnh nhân cần dùng thuốc chống đông máu. - Van sinh học (van sinh học nhân tạo)
Được chế tạo từ van tim động vật. Không cần điều trị chống đông máu.
Van cơ học
Các hình ảnh minh họa một số ví dụ về van tim cơ học.
Đây là các van cơ học được sản xuất nhân tạo.
Tuổi thọ khoảng 20 năm.
Bệnh nhân cần dùng thuốc chống đông máu, do đó việc sử dụng loại van này đang có xu hướng giảm dần.
Van cơ học hai lá (bi-leaflet) St. Jude là loại được sử dụng phổ biến nhất và có vòng ngoại vi cản quang.
Van sinh học nhân tạo
Một số ví dụ về van tim sinh học nhân tạo.
Hạn chế chính của van sinh học nhân tạo là độ bền hạn chế, khiến bệnh nhân đối mặt với nguy cơ phải can thiệp lại van tim.
Tuổi thọ khoảng 10-15 năm nhưng không cần dùng thuốc chống đông máu.
Thường được lựa chọn cho bệnh nhân cao tuổi, những người có chống chỉ định với thuốc chống đông máu hoặc cho các van tim có vận tốc dòng chảy vào thấp hơn (van hai lá và van ba lá).
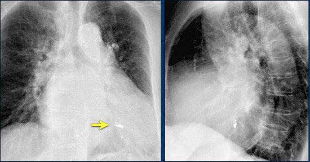
Van nhân tạo động mạch chủ
ở vị trí đúng
Van ba lá
Hẹp van ba lá là hậu quả của bệnh tim do thấp và được điều trị bằng thay van.
Hở van ba lá là hậu quả của giãn thất phải và được điều trị bằng tạo hình vòng van (annuloplasty).
Bệnh nhân này đã được sửa chữa ba van:
- Van hai lá
- Van ba lá
- Van động mạch chủ
Có máy tạo nhịp tim với điện cực thượng tâm mạc.
Phương án này được lựa chọn vì người ta cho rằng điện cực đặt theo đường thông thường vào thất phải sẽ ảnh hưởng quá nhiều đến chức năng của van ba lá nhân tạo.
Mũi tên trắng chỉ vào van động mạch chủ.
Mũi tên vàng chỉ vào van hai lá.
TAVR
TAVR là thay van động mạch chủ qua đường ống thông (transcatheter aortic valve repair).
Van động mạch chủ bị hẹp được sửa chữa bằng cách đặt van nhân tạo vào bên trong van bệnh lý.
TAVR dành cho những bệnh nhân có nguy cơ cao khi thực hiện phẫu thuật mở.
Tỷ lệ thành công của thủ thuật là 90%.
TAVR có liên quan đến tỷ lệ cao hơn về tổn thương mạch máu, hở cạnh van và nhu cầu đặt máy tạo nhịp tim vĩnh viễn.
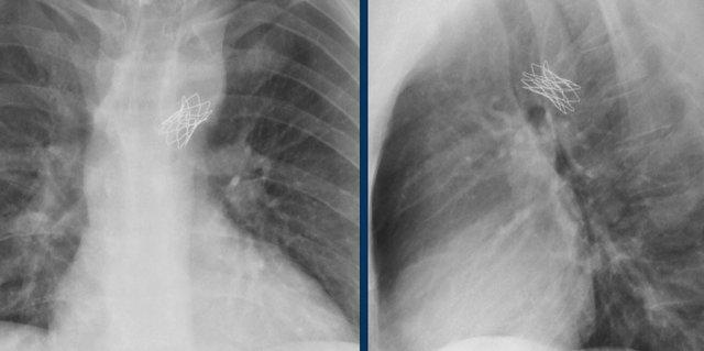
Van động mạch phổi
Van Melody là van động mạch phổi qua đường ống thông (transcatheter pulmonary valve – TPV).
Đây là tĩnh mạch cảnh bò được khâu vào trong một stent bạch kim-iridi.
Van Melody được đưa vào qua đường ống thông qua da.
Stent Melody này có nhiều vị trí gãy (mũi tên vàng)
MitraClip
Ở những bệnh nhân hở van hai lá nặng và không phải là ứng viên cho phẫu thuật tim hở, sửa chữa van hai lá qua đường ống thông, được gọi là MitraClip, là một phương pháp điều trị phù hợp.
Trung tâm của các lá van hai lá được khép lại bằng MitraClip nhằm giảm thiểu tình trạng hở van, đồng thời vẫn để lại đủ khoảng trống cho dòng máu đi từ tâm nhĩ trái sang tâm thất trái (hình minh họa).
Đây là bệnh nhân có ba van khác nhau: van động mạch chủ, van hai lá và van ba lá.
Thay van động mạch chủ.
Bệnh nhân này được thay van hai lá Medtronic Hancock và tạo hình vòng van ba lá (annuloplasty).
Thiết bị bít lỗ thông
Thông liên nhĩ
Thiết bị bít lỗ thông được sử dụng ở những bệnh nhân có thông liên nhĩ (ASD) kèm theo các dấu hiệu quá tải thất phải, có thể dẫn đến suy tim và rung nhĩ.
Các thiết bị bít lỗ thông thường có khả năng tự điều chỉnh và nằm áp sát vào vách liên nhĩ hoặc liên thất.
Thiết kế phẳng này giúp tạo ra một cấu hình tự nhiên.
Hình ảnh chiếu bên của một trẻ em bị thông liên nhĩ với thiết bị bít lỗ thông Amplatz.
Hình ảnh chiếu bên của một trẻ em bị thông liên nhĩ với thiết bị bít lỗ thông dạng ô Rashkind.
Hình ảnh của một bệnh nhân bị thông liên nhĩ với thiết bị bít lỗ thông Amplatz.
Đây là bệnh nhân có lỗ thông lớn hơn, được bít bằng hai thiết bị.
Tiếp tục xem các hình ảnh CT.
Hình ảnh CT cắt ngang và tái tạo mặt phẳng coronal của cùng một bệnh nhân.
Bệnh nhân này có ba thiết bị bít lỗ thông.
Di lệch thiết bị bít lỗ thông.
CT cho thấy thiết bị Amplatz bị di lệch vào quai động mạch chủ.
Hãy quan sát hình ảnh trước.
Sau đó tiếp tục đọc.
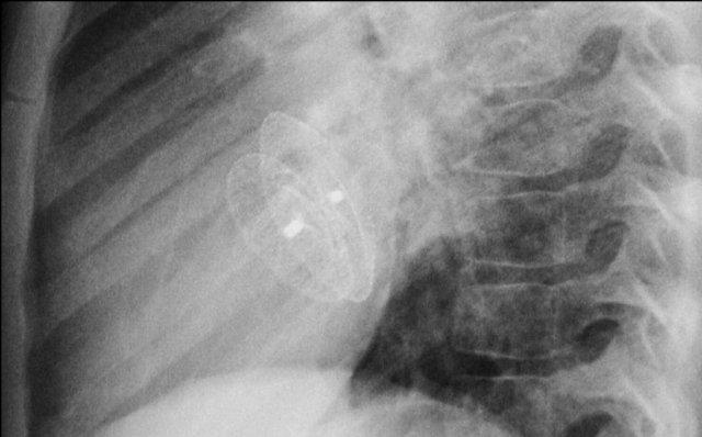
Đây là nút bít tim Amplatz (Amplatz cardiac plug) dùng để bít tiểu nhĩ trái.
Đây là một phương pháp thay thế cho liệu pháp kháng đông đường uống nhằm phòng ngừa đột quỵ do huyết khối tắc mạch ở bệnh nhân rung nhĩ không do bệnh van tim.
Watchman
Một thiết bị bít tiểu nhĩ trái thường được sử dụng là thiết bị cấy ghép Watchman.
Đây là biện pháp dự phòng đột quỵ do huyết khối hình thành trong tim ở bệnh nhân rung nhĩ có chống chỉ định với thuốc kháng đông.
Còn ống động mạch
Còn ống động mạch (PDA) là sự thông thương dai dẳng giữa động mạch chủ ngực xuống và động mạch phổi, xảy ra do ống động mạch thai nhi không đóng lại theo cơ chế sinh lý bình thường.
Trong 60 giờ đầu sau sinh, ống động mạch tự đóng ở 55% trẻ sơ sinh đủ tháng.
Đến 2-6 tháng tuổi, ống động mạch đóng ở hơn 95% trẻ khỏe mạnh.
PDA lớn ở trẻ lớn và người lớn có thể dẫn đến tăng áp động mạch phổi và suy tim mạn tính do luồng thông trái-phải.
Đây là hình ảnh của một bệnh nhân còn ống động mạch.
Ống động mạch được bít bằng thiết bị nút Amplatz.
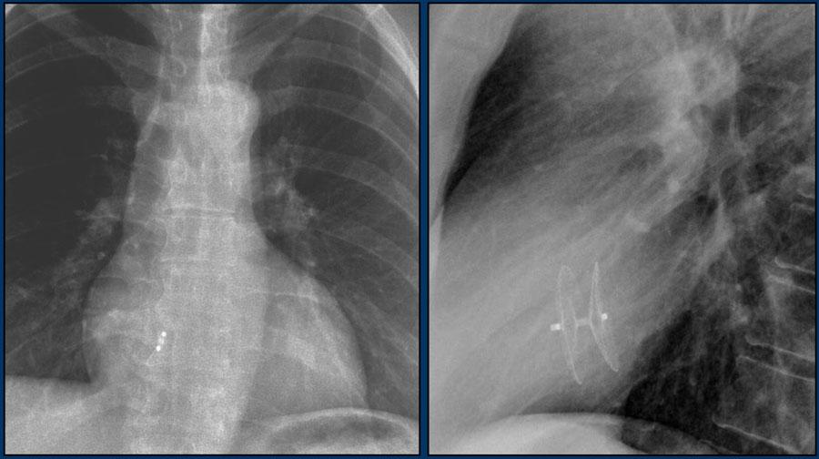
Bít tĩnh mạch Scimitar
Hội chứng Scimitar được đặc trưng bởi tình trạng hồi lưu tĩnh mạch phổi bất thường một phần, trong đó tĩnh mạch phổi phải bất thường đổ vào tĩnh mạch chủ dưới.
Chỉ định can thiệp được đặt ra ở người lớn có dấu hiệu quá tải thể tích phổi hoặc giãn tim phải.
Hình ảnh:
Tĩnh mạch Scimitar trước và sau khi bít.
Stent Mạch Máu
Hẹp Eo Động Mạch Chủ
Liệu pháp đặt stent nội mạch được xem là lựa chọn điều trị hàng đầu cho hầu hết người lớn và thanh thiếu niên mắc hẹp eo động mạch chủ (tài liệu tham khảo).
Hình ảnh: stent nội mạch ở vị trí tốt.
Tiếp tục…
Hình ảnh MRA của cùng bệnh nhân trước khi đặt stent.
Hình ảnh CTA sau khi đặt stent.
Hình ảnh: stent bị di lệch.
..
TEVAR
Sửa chữa động mạch chủ ngực qua nội mạch (TEVAR) là thủ thuật đặt stent có màng bọc vào động mạch chủ ở những bệnh nhân có phình động mạch chủ ngực có triệu chứng.
Stent ghép được đưa vào ở trạng thái thu gọn thông qua một ống thông, thường được đưa vào qua động mạch đùi và định vị dưới hướng dẫn của X-quang.
Stent ghép sau đó được nở ra để bắc qua và che phủ vị trí tổn thương động mạch chủ (tài liệu tham khảo).
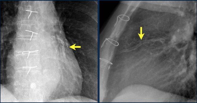
Stent Động Mạch Vành
Hình X-quang cho thấy một stent chiếu lên thành thất trước, nơi có vị trí của động mạch liên thất trước (LAD).
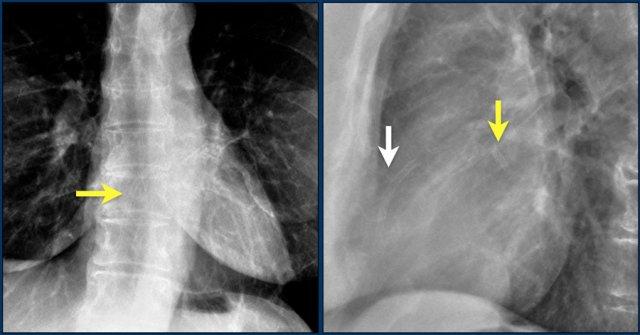
Hãy quan sát hình ảnh trước.
Sau đó tiếp tục đọc.
Các stent được đặt ở vị trí nào?
Các stent động mạch vành được đặt tại động mạch vành phải (mũi tên vàng) và động mạch liên thất trước (mũi tên trắng).
Hãy quan sát hình ảnh trước.
Sau đó tiếp tục đọc.
Các stent được đặt ở vị trí nào?
Các stent động mạch vành được đặt tại động mạch mũ trái (mũi tên vàng) và động mạch liên thất trước (mũi tên trắng).
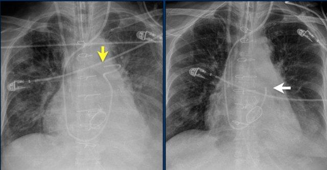
Thiết bị hỗ trợ thất trái
Thiết bị hỗ trợ thất trái (LVAD) là một thiết bị được cấy ghép bằng phẫu thuật, có chức năng thay thế hoạt động bơm của tâm thất ở những bệnh nhân có phân suất tống máu suy giảm nghiêm trọng.
Ban đầu, thiết bị này được cấy ghép như một biện pháp bắc cầu chờ ghép tim hoặc trong giai đoạn hồi phục cơ tim, nhưng hiện nay cũng được sử dụng cho những bệnh nhân không đủ điều kiện ghép tim.
Hình ảnh dưới đây cho thấy một bệnh nhân được đặt LVAD.
Ống cannula dòng vào được đưa vào mỏm tim và ống cannula dòng ra (không cản quang) được nối với động mạch chủ lên.
Cũng cần lưu ý sự hiện diện của máy ICD ba điện cực với hai cuộn sốc điện và các clip ghép động mạch vú trong trái (LIMA) từ lần phẫu thuật trước.
Impella
Impella là một máy bơm tim tạm thời cỡ nhỏ, được gắn vào ống thông qua đường xuyên đùi (hoặc đường nách).
Thiết bị này được chỉ định sử dụng ngắn hạn (từ 6 giờ đến dưới 14 ngày, tùy theo loại) trong quá trình can thiệp mạch vành qua da (PCI) nguy cơ cao hoặc ở bệnh nhân đang hồi phục sau sốc tim do nhồi máu cơ tim cấp (AMI).
Đầu vào (inlet) của Impella được đặt trong tâm thất trái, nơi máu được hút vào và đưa đến đầu ra (outlet) nằm ở động mạch chủ lên.
Hình ảnh X-quang ngực cho thấy vị trí đặt Impella đúng kỹ thuật với đầu vào (mũi tên vàng) và đầu ra (mũi tên trắng) lần lượt nằm ở tâm thất trái và động mạch chủ lên.
Trong video này, bạn có thể xem cách thức hoạt động của Impella.
Impella cũng có thể được sử dụng để giảm tải cho tâm thất phải.
Các thiết bị hiện đang được lắp đặt bao gồm:
- Ống thông tĩnh mạch trung tâm đặt tại tĩnh mạch cảnh trong bên phải.
- Ống thông dạ dày (ống nuôi ăn) được đặt vào dạ dày.
- Ống nội khí quản được đặt phía trên carina.
- Máy tạo nhịp tim 3 điện cực với các điện cực đặt tại tâm thất phải (RV), nhĩ phải (RA) và tâm thất trái (LV).
- Ống thông Swan-Ganz đặt trong động mạch phổi.
- Thiết bị Impella bên phải đặt trong động mạch phổi, được sử dụng để giảm tải cho tâm thất phải trong bối cảnh suy tim phải.
- Các điện cực điện tâm đồ (EKG) đã được gắn vào vị trí.
Bóng đối xung trong động mạch chủ
Bóng đối xung trong động mạch chủ (IABP) là một thiết bị cơ học giúp tăng cường tưới máu oxy cho cơ tim và gián tiếp làm tăng cung lượng tim thông qua cơ chế giảm hậu tải.
Thiết bị bao gồm một bóng polyurethane hình trụ được đặt trong động mạch chủ, cách động mạch dưới đòn trái khoảng 2 cm.
Bóng được bơm phồng và xẹp theo cơ chế đối xung, nghĩa là bóng chủ động xẹp trong thì tâm thu và phồng trong thì tâm trương.
Sự xẹp bóng trong thì tâm thu làm giảm hậu tải thông qua hiệu ứng chân không, từ đó gián tiếp làm tăng lưu lượng máu xuôi chiều từ tim.
Sự phồng bóng trong thì tâm trương làm tăng lưu lượng máu đến các động mạch vành thông qua dòng chảy ngược chiều.
Sự kết hợp của các cơ chế này giúp giảm nhu cầu oxy của cơ tim đồng thời tăng cung cấp oxy cho cơ tim (tài liệu tham khảo).
Kẹp phẫu thuật mạch máu – CABG
Phẫu thuật bắc cầu tiêu chuẩn bao gồm cầu nối LIMA đến LAD kết hợp với cầu nối tĩnh mạch.
LIMA là viết tắt của cầu nối động mạch vú trong trái (Left Internal Mammary Artery bypass graft).
Đầu xa của LIMA được nối miệng với LAD ở đoạn sau hẹp và các kẹp phẫu thuật trải dài từ đỉnh quai động mạch chủ (hình ảnh).
Cầu nối RIMA được sử dụng ít thường xuyên hơn do tỷ lệ thông thoáng thấp hơn và vì RIMA ngắn hơn, thường không đủ dài để tiếp cận các động mạch đích.
Động mạch vú trong trái được tách khỏi thành ngực và nối với mạch vành đích ở đoạn xa so với vị trí hẹp.
Hình ảnh X-quang cho thấy các kẹp mạch máu của cầu nối CABG sử dụng động mạch vú trong trái và phải.
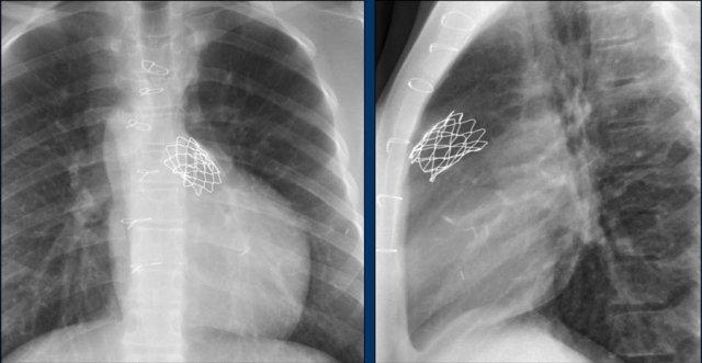
Thủ thuật Mini Maze
Thủ thuật Mini Maze là một kỹ thuật triệt đốt xâm lấn tối thiểu được thực hiện ở bệnh nhân rung nhĩ dai dẳng.
Qua các đường rạch nhỏ ở thành ngực, ống soi lồng ngực được đưa vào để quan sát trực tiếp tim.
Tiếp theo, thiết bị triệt đốt tạo ra các blốc dẫn truyền tại các vùng như xung quanh các tĩnh mạch phổi nhằm ngăn chặn các tín hiệu điện bất thường.
Một thiết bị kẹp gọi là Atriclip được đặt vào để bít tiểu nhĩ trái, nhằm ngăn ngừa huyết khối hình thành tại vùng này (hình).
Thiết bị theo dõi ICU
…..
Ống thông Swan Ganz
Ống thông Swan Ganz là loại ống thông đầu bóng được dẫn hướng theo dòng chảy. Bóng được bơm phồng trong động mạch phổi chính trái hoặc phải nhằm đo áp lực mao mạch bít và áp lực động mạch phổi. Các biến chứng có thể gặp bao gồm: thắt nút trong buồng tim, nhồi máu phổi, thủng động mạch phổi, rối loạn nhịp tim, thủng tim và đặt nhầm vào tĩnh mạch chủ dưới.
Các hình ảnh cho thấy vị trí đặt ống thông Swan Ganz không đúng ở bên trái, với đầu ống nằm trong nhánh động mạch phổi thùy trên trái.
Phim X-quang thứ hai cho thấy vị trí đầu ống thông đã đúng trong động mạch phổi trái sau khi điều chỉnh lại.
Từ thiện
Toàn bộ lợi nhuận từ Radiology Assistant được dành cho tổ chức Medical Action Myanmar, do Bác sĩ Nini Tun và Giáo sư Frank Smithuis sr. điều hành — ông là giáo sư tại Đại học Oxford và cũng là anh trai của Robin Smithuis.
Nhấn vào đây để xem video về Medical Action Myanmar. Nếu bạn thấy Radiology Assistant hữu ích, xin hãy ủng hộ Medical Action Myanmar bằng một món quà nhỏ.



































































