Thay khớp háng
X-quang là phương pháp hình ảnh học chính để đánh giá Thay khớp háng toàn phần.
Tổng quan này tập trung vào các hình ảnh bình thường và biến chứng của thay khớp háng có xi măng so với không xi măng.
Các ca lâm sàng tương tác được trình bày trong thanh menu để kiểm tra kiến thức của bạn về khớp háng nhân tạo.
Total Hip Arthroplasty systems

LEFT: Assembled cementless Mallory Head prosthesis.RIGHT: Femoral stem with proximal porous coating for bone ingrowth, separate metal femoral head, polyethylene acetabular liner with a porous coated metal backing.
Hệ thống Thay khớp háng toàn phần (THA) hiện đại có cấu trúc mô-đun. Điều này có nghĩa là thân khớp đùi, chỏm khớp, vỏ ổ cối và lớp lót là các bộ phận riêng biệt.
Tính mô-đun này cho phép linh hoạt hơn trong việc tùy chỉnh kích thước và độ vừa khít của bộ phận giả.
Phần ổ cối thường là lớp lót polyethylene có hoặc không có đế kim loại.
Cố định bằng xi măng, đinh ghim, vít hoặc không xi măng với lớp phủ xốp để xương phát triển vào trong.
Phần đùi bao gồm thân khớp kim loại (hợp kim crom coban hoặc titan) và chỏm xương đùi bằng kim loại hoặc gốm sứ.
Cố định thân khớp cũng có thể bằng xi măng hoặc không xi măng với lớp phủ xốp để xương phát triển vào trong.
Hầu hết các THA không xi măng hiện đại có thân xương đùi chỉ được phủ lớp coating ở phần gần, vì điều này mang lại kết quả lâu dài tốt hơn so với phủ toàn bộ (ít bị lỏng hơn).
Một số THA không xi măng có thân xương đùi được phủ thêm lớp hydroxyapatite giúp cải thiện khả năng tích hợp xương. Lớp phủ này không hiển thị trên phim X-quang.

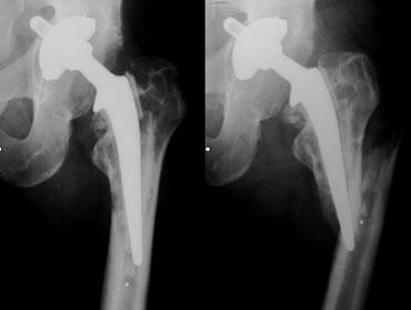
LEFT: Hybrid THA with cemented femoral stem and noncemented acetabular cup.RIGHT: Bone ingrowth arthroplasty. Density lateral to femoral stem in Gruens zone I is a bone graft.
Thay khớp háng toàn phần lai là sự kết hợp giữa cố định có xi măng và không xi măng.
Do các thành phần ổ cối có xi măng có xu hướng bị lỏng theo thời gian, đôi khi người ta sử dụng kết hợp thành phần ổ cối không xi măng với thành phần xương đùi có xi măng.
Nhìn chung, có xu hướng ưu tiên sử dụng thay khớp háng toàn phần không xi măng, vì cho kết quả lâu dài tốt hơn.
Bên trái chúng ta thấy một khớp háng nhân tạo toàn phần (THA) lai ghép với cốc ổ cối tích hợp xương và thân xương đùi gắn xi măng, và bên cạnh đó là một khớp háng nhân tạo toàn phần không xi măng tích hợp xương.
Initial Evaluation
Các phim chụp ban đầu đóng vai trò là nghiên cứu cơ sở và được sử dụng làm phim tham chiếu để so sánh với tất cả các nghiên cứu trong tương lai, vì chụp X-quang tuần tự là phương pháp có giá trị nhất để phát hiện các biến chứng.
Các phim chụp X-quang sau phẫu thuật ban đầu được thực hiện để tìm kiếm khả năng trật khớp hoặc gãy xương và để xem liệu bộ phận giả có được đặt đúng vị trí hay không.

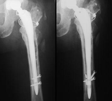
LEFT: Revision THA with a large femoral stem with periprosthetic fracture.RIGHT: Cement extrusion intrapelvic through acetabular defect.
Trật khớp
Trật khớp có thể xảy ra như một biến chứng muộn ở những khớp háng nhân tạo không được đặt đúng vị trí, nhưng phổ biến nhất là trong giai đoạn hậu phẫu ngay sau mổ (tỷ lệ mắc 3%).
Gãy xương quanh khớp nhân tạo
Gãy xương có thể xảy ra sau phẫu thuật ở những bệnh nhân có chất lượng xương kém và sử dụng khớp nhân tạo thay thế có cán dài, hoặc khi giải phẫu bất thường như trong trường hợp loạn sản khớp háng hoặc đã từng phẫu thuật trước đó.
Gãy xương cũng phổ biến hơn với các cán xương đùi không xi măng, vì các loại này phải vừa khít chính xác và có thể gây gãy xương trong quá trình đặt khớp.
Tỷ lệ gãy xương dao động từ 0,1 đến 1,0 phần trăm đối với các thành phần có xi măng và từ 3 đến 18 phần trăm đối với các thành phần không xi măng. Hầu hết các trường hợp gãy xương trong phẫu thuật xảy ra ở phía xương đùi.
Tràn xi măng ra ngoài
Khi ổ cối được chuẩn bị để đặt cốc, có thể xảy ra thủng. Khiếm khuyết này được lấp đầy bằng mảnh xương, xi măng hoặc ghép xương.
Tràn xi măng ra ngoài thường không có triệu chứng.
Các biến chứng hiếm gặp bao gồm rò ruột, bao bọc các cấu trúc mạch máu thần kinh và bỏng thành bàng quang.

Measurement of lateral acetabular inclination. Right trochanter minor is lower in position than the left indicating leg length dicrepancy.Normal horizontal center of rotation (red line).
Alignment and Positioning
Vị trí đặt cốc acetabulum và thân xương đùi cần mô phỏng giải phẫu bình thường.
Khoảng cách từ tâm chỏm xương đùi đến điểm lệ (hoặc mốc giải phẫu có thể xác định khác) phải bằng nhau ở cả hai bên.
Đây được gọi là tâm xoay ngang.
Vị trí đặt cốc acetabulum quá lệch ngoài làm tăng nguy cơ trật khớp và có thể gây đi khập khiễng.
Đường liên ụ ngồi được sử dụng làm mốc tham chiếu để đo độ nghiêng bên của cốc acetabular (30-50°).
Đường này cũng được sử dụng để đo sự chênh lệch chiều dài chân.
Chênh lệch chiều dài chân đến 1 cm được dung nạp tốt.
Cốc được đặt cao hơn được dung nạp tốt hơn so với cốc được đặt lệch ngoài.

Different anteversion of the acetabular cup in the same patient due to different rotation on a cross table view (left) compared to a lateral view (right).
Độ nghiêng trước của ổ cối nhân tạo nên nằm trong khoảng 5-25°.
Không thể đo chính xác góc này trên phim chụp X-quang tư thế ngang bàn hoặc tư thế nghiêng thực sự, vì mức độ góc nghiêng biểu kiến trên phim X-quang bị ảnh hưởng bởi sự xoay của khung chậu hoặc đùi (hình).
Đo bằng CT chính xác hơn, nhưng vẫn phải bù trừ cho góc nghiêng của khung chậu.

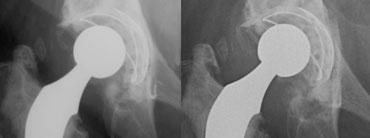
LEFT: Femoral head with large collar. Dislocation due to increased lateral inclination of acetabular cupRIGHT: Different patient at risk for dislocation. High and lateral position of a steep acetabular cup. Notice polyethylene wear due to increased forces on the superolateral side of the cup.
The following conditions predispose to dislocation:
– Tăng góc nghiêng ngoài của cốc acetabular.
– Giảm hoặc tăng góc anteversion của cốc.
– Vị trí quá ngoài của cốc acetabular.
– Tăng hoặc giảm góc anteversion của thân xương đùi.
Do lực tác động tăng lên ở bờ trên ngoài của ổ cối, việc tăng độ nghiêng ngoài của cấu phần ổ cối cũng có thể làm tăng nguy cơ mòn polyethylene của lớp lót ổ cối (xem hình).
Vị trí ưu tiên của thành phần xương đùi là với thân khớp nằm ở trung tâm ống tủy xương đùi.
Tâm xoay của chỏm xương đùi phải nằm ở mức đỉnh của mấu chuyển lớn.
Vị trí varus của thân khớp xương đùi là yếu tố thuận lợi dẫn đến lỏng khớp và gãy xương.
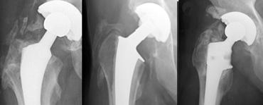
Normal Findings at Follow up

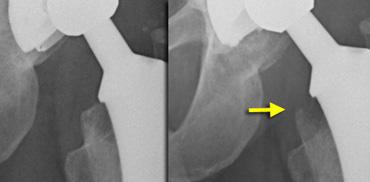
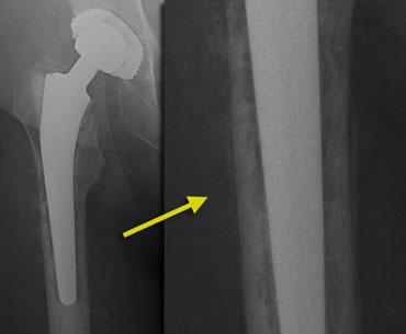
LEFT: Normal cement-metal interface (yellow arrow). However loosening at cement-bone interface (orange curved arrow).RIGHT: At follow up also loosening at cement-metal interface.
Cemented THA
Các phát hiện bình thường trong THA có xi măng khác với các khớp giả không xi măng vì xương tự nhiên cho thấy nhiều thay đổi phản ứng hơn với các khớp giả không xi măng.
Trong THA có xi măng, lý tưởng là không nên có bất kỳ vùng thấu quang nào tại giao diện xương-xi măng hoặc xi măng-khớp giả, nhưng ngay cả trong các khớp giả có xi măng ổn định, chúng vẫn có thể xuất hiện.
Vùng thấu quang tại giao diện kim loại-xi măng dọc theo mặt bên gần của thân khớp giả xương đùi có thể được nhìn thấy trên phim X-quang hậu phẫu ban đầu, phản ánh sự tiếp xúc không tối ưu giữa kim loại và xi măng tại thời điểm phẫu thuật.
Vùng thấu quang ổn định là tốt, nhưng nếu vùng thấu quang mở rộng hoặc phát triển tại giao diện kim loại-xi măng trong quá trình theo dõi, thì đó là dấu hiệu của sự lỏng khớp (hình).
Lý tưởng nhất là chỉ có một lớp xi măng dày 3-4mm xung quanh khớp giả. Việc bơm xi măng quá nhiều dẫn đến lỏng khớp.
Tại ranh giới xương-xi măng, một lớp xơ mỏng có thể hình thành do phản ứng với hoại tử cục bộ của mô xương gây ra bởi nhiệt sinh ra trong quá trình polymer hóa xi măng.
Lớp này trở nên ổn định sau 2 năm.
Trên phim X-quang, lớp này được nhìn thấy như một vùng thấu quang.
Đặc biệt tại vùng I của ổ cối, vùng thấu quang 1-2 mm thường xuyên được quan sát thấy tại ranh giới xương-xi măng, đây là hình ảnh bình thường miễn là nó ổn định.
Tuy nhiên, nếu các vùng khác cũng bị ảnh hưởng và vùng thấu quang mở rộng, đây là dấu hiệu của sự lỏng khớp.
Trong báo cáo của bạn, hãy luôn ghi rõ các vùng nào bị ảnh hưởng (hình).
Tại ổ cối, có ba vùng được đánh dấu từ I đến III.
Việc nhìn thấy đường thấu quang tại vùng I là khá phổ biến, nhưng không nên thấy ở vùng II và III.
Tương tự, tại xương đùi có các vùng từ 1 đến 7. Vùng thấu quang rất thường gặp ở vùng 1, đôi khi ở vùng 7, nhưng không nên xuất hiện ở vùng dưới mấu chuyển lớn từ vùng 2 đến 6.
Non Cemented THA
Việc cấy ghép khớp háng không xi măng dạng xốp (bone ingrowth prosthesis) dẫn đến sự thay đổi phân bố ứng suất lên xương tự nhiên, đặc biệt ở các mẫu cũ hơn với cán khớp háng không thuôn và được phủ hoàn toàn.
Hiện tượng che chắn ứng suất (stress shielding) ở vùng gần có thể dẫn đến loãng xương vùng gần và tiêu xương calcar.
Tải trọng ứng suất ở vùng xa có thể dẫn đến dày vỏ xương và xơ cứng bắc cầu tại đầu mút của khớp giả (gọi là bệ đỡ – pedestal).
Để tránh những thay đổi này, hầu hết các khớp giả không xi măng hiện đại chỉ có cố định ở vùng gần, do đó thường không thấy hiện tượng che chắn ứng suất vùng gần.
Phần xa của khớp giả xương đùi không bị ‘chịu tải’, do đó sẽ không có hiện tượng tải trọng ứng suất vùng xa.
Trong các trường hợp thay khớp háng không xi măng ổn định, các vùng thấu quang tại giao diện kim loại-xương có thể xuất hiện, do thông thường sự kết hợp giữa sự phát triển xương vào và sự phát triển mô xơ vào cung cấp sự cố định trong hầu hết các trường hợp.
Mô xơ này biểu hiện dưới dạng vùng thấu quang tại giao diện.
Một lần nữa, vùng này phải ổn định và nằm trong khoảng 1 – 2 mm.
Hình bên trái tóm tắt tất cả các phát hiện ở một số khớp giả không xi măng, có thể là bình thường.
Bạn cần phải quen thuộc với các thay đổi bình thường và bất thường trong các loại khớp giả được sử dụng bởi các bác sĩ phẫu thuật chỉnh hình của bạn.
Vùng thấu quang mỏng dọc theo ranh giới xương-kim loại do mô xơ là hiện tượng thường gặp (80%).
Chúng phải nhỏ hơn 2mm và đi kèm với một đường xơ cứng song song với nó.
Nếu chúng ổn định trong 2 năm thì sự cố định bởi mô xơ chắc đã xảy ra.
Che chắn ứng suất hay tiêu xương được thấy ở những vùng tương đối không chịu lực.
Các lực được truyền qua thân xương đùi tương đối cứng và biểu hiện là loãng xương ở vùng xương đùi gần với mỏng vỏ xương và tiêu xương cổ xương đùi.
Điều này được thấy ở phía trong là tiêu xương calcar, do calcar đã mất chức năng của nó (hình).
Nó còn được gọi là làm tròn calcar.
Complications at Follow Up
Có nhiều biến chứng trong phẫu thuật thay khớp háng toàn phần (THA).
Theo dõi X-quang và so sánh với các phim cũ nhất hiện có là phương pháp có giá trị nhất để phát hiện các biến chứng này.
Các biến chứng quan trọng nhất là lỏng cơ học, bệnh lý do hạt vi thể và nhiễm trùng.
Tuy nhiên, các biến chứng này có thể có hình ảnh chẩn đoán tương tự nhau và có sự chồng lấp giữa các biểu hiện.

Illustration of the typical radiographic changes in Loosening (left) – Particle disease (middle) – Infection (right)
Lỏng cơ học biểu hiện dưới dạng vùng thấu quang lan tỏa.
Bệnh lý do hạt tiểu phân biểu hiện dưới dạng vùng thấu quang khu trú.
Bằng chứng của mòn polyethylene, biểu hiện dưới dạng vị trí bất đối xứng của chỏm xương đùi trong ổ cối nhân tạo, thường cùng tồn tại với bệnh lý do hạt tiểu phân.
.
Nhiễm trùng biểu hiện dưới dạng vùng thấu quang không đều kèm phản ứng màng xương, nhưng có thể khó phân biệt với lỏng khớp và bệnh lý do hạt tiểu phân. Trong các trường hợp điển hình, các dấu hiệu hình ảnh của lỏng khớp, bệnh lý do hạt tiểu phân và nhiễm trùng khá rõ ràng (hình).
Nhiễm trùng thường ở mức độ thấp và khó phát hiện bằng bất kỳ phương pháp chẩn đoán hình ảnh nào.
Trong các trường hợp tiến triển nặng hơn, sẽ có tiêu xương không đều, không có viền xơ cứng, tiêu hủy vỏ xương và phản ứng màng xương.

Progressive lucent zone around acetabular component in zone I and II. Steeper position of the cup indicates migration. Subtle excentric positioning of the femoral head is indicative of polyethylene wear.
Loosening
Lỏng cơ học vẫn là chỉ định phổ biến nhất cho phẫu thuật sửa chữa. Bệnh nhân thường có triệu chứng, mặc dù có thể thấy các thay đổi trên X-quang không có triệu chứng.
Các biểu hiện X-quang phổ biến nhất của tình trạng lỏng là:
– Vùng thấu quang > 2 mm tại mặt tiếp xúc (gợi ý)
– Di lệch thành phần khớp (chẩn đoán xác định).
Một vùng thấu quang rộng hơn 2 mm tại mặt tiếp xúc xương-khớp giả hoặc tại mặt tiếp xúc xương-xi măng là dấu hiệu rất gợi ý của tình trạng lỏng khớp. Đặc biệt khi có nhiều vùng bị ảnh hưởng và khi có sự tiến triển.
Một vùng thấu quang
Di lệch cấu phần có giá trị chẩn đoán tình trạng lỏng khớp.
Biểu hiện là sự nghiêng hoặc di lệch lên trên của ổ cối nhân tạo, hoặc sự lún xuống (>10mm) và nghiêng varus của cán khớp háng.
Trường hợp bên trái cho thấy tình trạng lún xuống tiến triển, có giá trị chẩn đoán tình trạng lỏng khớp, kèm theo gãy vít tiếp theo sau đó.
Lỏng khớp (2)
Vì sự di chuyển có thể rất tinh tế, cần so sánh cẩn thận với phim chụp sau phẫu thuật ban đầu.
Không chỉ so sánh với lần khám trước đó.
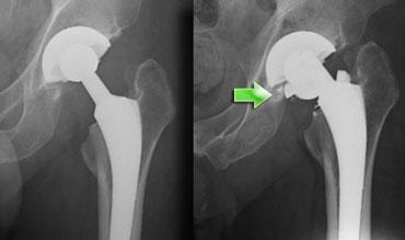
Trường hợp bên trái cho thấy sự di chuyển của chỏm acetabulum, điều này sẽ được nhận thấy rõ hơn nếu sử dụng một điểm tham chiếu (xem hình tiếp theo)

Same case as above with white marks on the tear drop figure. Migration is shown more easily. Blue arrow indicates acetabular fracture.
Nếu chúng ta quan sát các phim X-quang tương tự và sử dụng hình giọt nước mắt làm mốc giải phẫu, sự di trú sẽ trở nên rõ ràng hơn.
Sự di trú của chỏm lên phía đầu đã dẫn đến gãy thành ổ cối (mũi tên xanh).
Sự di chuyển của các thành phần ổ cối là không bao giờ được chấp nhận.
Nó được nhận thấy như sự di chuyển lên trên hoặc nghiêng của chỏm (hình)
The case on the left is for several reasons not ideal :
– Vị trí cup quá cao và quá nghiêng về phía ngoài.
– Độ nghiêng sang bên quá nhiều.
– Lượng xi măng chèn lấp quá nhiều.
– Các vít được đặt quá nằm ngang (ứng suất quá lớn).
– Vùng thấu quang ở vùng II và III > 2 mm.
Đặc biệt, vùng thấu quang ở các khu vực này rất gợi ý đến tình trạng lỏng khớp.
Trong quá trình theo dõi, sự di chuyển lên trên kèm theo độ nghiêng tăng dần được ghi nhận, gây ra gãy vít cố định.

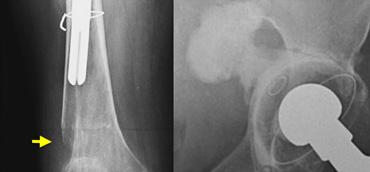
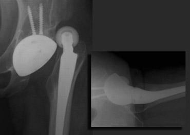
Eccentric position of femoral head within cup consistent with polyethylene wear.Focal osteolysis with endosteal scalloping in proximal femur due to particle disease.
Particle Disease
Ban đầu bệnh lý này được gọi là bệnh xi măng hoặc u hạt xâm lấn.
Đây là phản ứng mô bào xảy ra do phản ứng của đại thực bào với bất kỳ thành phần nào bong tróc khỏi bề mặt các cấu kiện của khớp nhân tạo.
Ngày nay, bệnh lý này chủ yếu gặp ở khớp háng không xi măng như một phản ứng với các hạt mài mòn polyethylene nhỏ.
Trên hình ảnh X-quang, các tổn thương u hạt xâm lấn này biểu hiện dưới dạng các vùng thấu quang khu trú xung quanh khớp nhân tạo.
Tình trạng này có xu hướng xảy ra trong khoảng từ 1 đến 5 năm sau phẫu thuật và liên quan đến hình ảnh lõm vỏ nội tủy nhẵn.
Đặc điểm then chốt là bệnh lý này không tạo ra phản ứng xương thứ phát.
Những đặc điểm này giúp phân biệt bệnh hạt nhỏ với nhiễm trùng, vốn thường có các biểu hiện xâm lấn hơn, mặc dù việc phân biệt không phải lúc nào cũng khả thi.
Mặc dù bệnh hạt là kết quả của sự mài mòn polyethylene, nhưng không phải lúc nào bạn cũng thấy các dấu hiệu rõ ràng của sự mài mòn polyethylene ở ổ cối nhân tạo.
Tuy nhiên, bất cứ khi nào thấy vị trí lệch tâm của chỏm xương đùi trong ổ cối, hãy tìm kiếm các vùng thấu quang khu trú.
Các khuyết hổng khu trú lớn có thể được phát hiện trong khi khớp nhân tạo vẫn còn vững.
Bệnh hạt tiến triển không ngừng với tình trạng lỏng khớp, gãy xương và phá hủy xương.
Đôi khi cần phải phẫu thuật thay lại một khớp háng toàn phần còn vững vì nếu mất xương nhiều hơn sẽ khiến phẫu thuật thay lại trở nên không thể thực hiện được.

Subtle eccentric position of femoral head. Even more subtle focal osteolysis around screw in acetabulum.
Bệnh do hạt mài mòn (2)
Các hạt mài mòn nhỏ từ lớp lót polyethylene được bong ra vào dịch khớp và có thể di chuyển xung quanh khớp giả thông qua các kênh nhỏ ngay cả ở những khớp háng còn vững.
Chúng có xu hướng di chuyển qua các lỗ vít (hình minh họa).
Đây là lý do tại sao các phẫu thuật viên ngày càng hạn chế sử dụng vít để cố định cốc acetabulum.
Một trường hợp khác ở bên trái.
Một lần nữa có hiện tượng tiêu xương khu trú xung quanh các vít sau khi các hạt mài mòn di chuyển qua các lỗ vít.
Vị trí lệch tâm của chỏm xương đùi trong ổ cối nhân tạo do mòn polyethylene.
Polyethylene wear
Sự chịu tải bình thường của chén polyethylene đi lên dọc thân xương đùi, dọc theo cổ xương đùi về phía cột sống thắt lưng.
Do đó, việc quan sát thấy sự mỏng nhẹ ở vùng chịu lực là bình thường khi nhựa tự định hình lại. Sự định hình lại của chén này được gọi là hiện tượng từ biến (creep).
Sự chịu tải bất thường dẫn đến áp lực nghiêng về phía ngoài hơn, gây ra mòn polyethylene ở phía trên-ngoài.
Infection
Các phát hiện X-quang ở bệnh nhân nhiễm trùng mức độ thấp có thể không đáng kể hoặc có thể bắt chước tình trạng lỏng khớp hoặc bệnh lý hạt nhỏ.
Với các vi sinh vật có độc lực cao hơn, tiến triển có thể nhanh chóng, với sự phá hủy xương và hình thành đường rò, dẫn đến các phát hiện X-quang như được liệt kê trong bảng bên trái.
Các tiêu chí thống nhất để chẩn đoán nhiễm trùng liên quan đến các bộ phận giả chưa được thiết lập.
Trong một số nghiên cứu, nhiễm trùng được chẩn đoán khi có ít nhất một trong các tiêu chí sau:
– Cùng một vi sinh vật trong hai lần cấy dịch khớp.
– Dịch khớp có mủ tại vị trí cấy ghép
– Viêm trên kết quả kiểm tra bệnh lý của mô quanh bộ phận giả.
– Sự hiện diện của một đường rò thông với bộ phận giả.
Bên trái là hình ảnh X-quang điển hình của nhiễm trùng với hình ảnh phá hủy xương không đều và phản ứng màng xương.
Tuy nhiên, trong nhiều trường hợp, nhiễm trùng thực sự ở mức độ thấp và khó xác định.
Xạ hình xương bằng đồng vị phóng xạ rất nhạy trong việc phát hiện nhiễm trùng, nhưng không đặc hiệu vì có thể cho thấy các hình ảnh tương tự như những hình ảnh xảy ra trong tình trạng lỏng khớp.
Kết quả âm tính trên xạ hình xương gợi ý rằng không có nhiễm trùng.
Vai trò của các kỹ thuật đồng vị phóng xạ chuyên biệt để phát hiện nhiễm trùng như xạ hình Gallium hoặc bạch cầu đánh dấu Indium hoặc Immunoglobulin G vẫn chưa rõ ràng,
nhưng chúng có xu hướng đặc hiệu hơn một chút so với xạ hình xương Technetium thông thường.
Hầu hết các nhà nghiên cứu ủng hộ việc chọc hút dịch khớp dưới hướng dẫn của màn tăng sáng hoặc siêu âm để đánh giá nhiễm trùng.
Nên lấy nhiều mẫu để giảm thiểu sự nhầm lẫn do tạp nhiễm từ da.
Nhiễm trùng xảy ra trong vòng một năm sau khi đặt khớp giả là do nhiễm khuẩn trong quá trình phẫu thuật. Nguy cơ nhiễm trùng trong mổ dưới 1% nhờ sử dụng kháng sinh dự phòng và môi trường phẫu thuật với luồng khí lưu thông theo lớp.
Nhiễm trùng muộn xảy ra do vi khuẩn theo đường máu từ các ổ nhiễm trùng đường hô hấp, răng miệng và đường tiết niệu.
Fractures
Tỷ lệ mắc sau phẫu thuật:
– THA có xi măng: 0,4%
– Khớp giả ép khít: 2,5%
– Phẫu thuật thay khớp háng lại: 7,2%
Thông thường không ảnh hưởng đến kết quả, nhưng có thể cần dùng cáp vòng cerclage.
Đôi khi phẫu thuật viên tạo một lỗ kiểm soát có chủ ý trong quá trình phẫu thuật lại để hỗ trợ tháo bỏ thành phần xương đùi đã được đặt trước đó.
Gãy xương trong quá trình theo dõi là hậu quả của tình trạng lỏng khớp, bệnh lý do hạt vi thể, nhiễm trùng hoặc các trường hợp nặng của hiện tượng che chắn ứng suất.
Dislocation
Như đã thảo luận ở trên, trật khớp hoặc bán trật khớp của các thành phần có thể xảy ra do các yếu tố từ phía bệnh nhân bao gồm trương lực cơ kém hoặc chấn thương, hoặc do các yếu tố phẫu thuật như đường tiếp cận phẫu thuật phía sau (thay vì phía bên).
Một yếu tố khác là khó khăn trong việc đạt được góc nghiêng lý tưởng của cấu phần ổ cối. Đây thường là kết quả của những thay đổi thoái hóa nặng hoặc loạn sản.
Trật khớp có thể xảy ra theo hướng ra sau, ra trước hoặc ra bên.
Ở bên trái là một trường hợp khác với tình trạng trật khớp do hậu quả của việc nghiêng chỏm do lỏng khớp.
Component fracture
Gãy vỡ thành phần giả khớp là không phổ biến.
Trường hợp bên trái có thể là thứ phát do mòn polyethylene nặng dẫn đến gãy vỡ cốc và xi măng.
Sự phân ly thành phần giả khớp, trái ngược với gãy vỡ thành phần giả khớp, thường xảy ra nhất khi lớp lót nhựa của ổ cối trượt ra khỏi phần đế của nó.
Trường hợp bên trái cho thấy sự mài mòn nghiêm trọng và gãy vỡ của lớp lót polyethylene.
Phần đế kim loại vẫn còn nguyên vẹn.
Trường hợp bên trái cho thấy gãy đầu kim loại của cấu phần xương đùi.
Heterotopic Ossification
Phân loại cốt hóa lạc chỗ bao gồm bốn độ dựa trên phim X-quang chậu hông tư thế thẳng trước-sau.
Độ I = các đảo xương trong mô mềm.
Độ II = gai xương để lại khoảng cách > 1 cm giữa các bề mặt xương đối diện.
Độ III = gai xương để lại khoảng cách < 1 cm giữa các bề mặt xương đối diện.
Độ IV = dính khớp háng trên X-quang.
Cốt hóa lạc chỗ xảy ra khi các tế bào trung mô nguyên thủy trong các mô mềm xung quanh được chuyển đổi thành các tế bào tạo xương, hình thành xương lá trưởng thành.
Tình trạng này thường xảy ra xung quanh cổ xương đùi và liền kề với mấu chuyển lớn, xuất hiện ở 15-50% bệnh nhân.
Nhiều bệnh nhân bị cốt hóa lạc chỗ mức độ thấp trên X-quang thường không có triệu chứng.
Nếu có triệu chứng, cứng khớp háng là phàn nàn phổ biến nhất và đau hiếm khi là vấn đề.
Arthrography
Chụp khớp và nhiễm trùng
Chụp khớp đóng vai trò trong việc đánh giá khả năng nhiễm trùng.
Giá trị của nó trong việc đánh giá khả năng lỏng khớp và đau khớp háng còn hạn chế.
Chụp khớp được sử dụng để xác nhận vị trí trong khớp của kim và dịch được hút ra để cấy vi khuẩn hiếu khí và kỵ khí.
Độ nhạy để phát hiện nhiễm trùng là 66-90%.

Subtraction arthrography reveals contrast leakage in Gruen zone 1 (yellow arrow).Movement of the patient simulates leakage in zone 2 and 3 (red arrow indicates white stripe on medial side which is as broad as black stripe on lateral side ( yellow arrow).
Chụp khớp cản quang và tình trạng lỏng khớp
Việc không có sự lan rộng bất thường của chất cản quang không loại trừ tình trạng lỏng khớp, vì xơ hóa và các tế bào có thể lấp đầy các khoang giao tiếp, ngăn cản sự di chuyển của chất cản quang.
Trong thay khớp háng toàn phần không xi măng, chụp khớp cản quang không chính xác trong việc phát hiện tình trạng lỏng khớp, vì các kênh nhỏ giữa các vùng xương mọc vào có thể tồn tại, cho phép chất cản quang đi qua ngay cả ở những khớp háng nhân tạo còn vững.
Trong thay khớp háng toàn phần có xi măng, sự lan rộng của chất cản quang tại giao diện xương-xi măng có thể là dấu hiệu cho thấy khớp nhân tạo bị lỏng.
Sự thông thương với túi thanh dịch mấu chuyển, vốn thường gặp, càng làm giảm độ nhạy do không thể tạo được áp lực nội khớp tốt (hình).
Chụp khớp và đau hông
Đôi khi chụp khớp được sử dụng để xác định xem các triệu chứng của bệnh nhân có thuyên giảm hay không bằng cách tiêm thuốc gây tê cục bộ tác dụng kéo dài.
Mục đích là để xem liệu cơn đau hông có phải do khớp nhân tạo gây ra hay không, chứ không phải do nguyên nhân nào khác.
Charity
Toàn bộ lợi nhuận của Radiology Assistant được chuyển đến Medical Action Myanmar, tổ chức được điều hành bởi Bác sĩ Nini Tun và Bác sĩ Frank Smithuis sr, người là giáo sư tại Đại học Oxford và cũng là anh trai của Robin Smithuis.
Nhấp vào đây để xem video của Medical Action Myanmar và nếu bạn thấy Radiology Assistant hữu ích, hãy ủng hộ Medical Action Myanmar bằng một món quà nhỏ.
























