Thay đổi MRI sau chấn thương
Trong phần I, chúng ta sẽ thảo luận về các đặc điểm MRI của các chấn thương cơ khác nhau.
Trong phần II, chúng ta sẽ thảo luận về các thay đổi cơ không do chấn thương.
Introduction
Tiến sĩ Pathria là Giáo sư Chẩn đoán hình ảnh lâm sàng tại Đại học California, San Diego.
Các lĩnh vực quan tâm đặc biệt của Tiến sĩ Pathria bao gồm chấn thương cơ xương khớp, chẩn đoán hình ảnh cấp cứu và chụp cộng hưởng từ cơ xương khớp.
Bà là tác giả của cuốn sách Chụp cộng hưởng từ Hệ cơ xương khớp.

Normal muscle is symmetrical with smooth convex borders, linear branching and feathery fat planes and low signal on all sequences
Khi quan sát cơ trên MRI, cần ghi nhớ một số nguyên tắc sau:
- Cơ bình thường khá đối xứng. Ngoại lệ có thể gặp ở vận động viên tích cực có bên chiếm ưu thế
- Các đường viền bên ngoài thường nhẵn và lồi, không có hiện tượng phồng ra
- Muscle should have low signal on all sequences
- Trên hình ảnh T1-weighted, bạn sẽ thấy mỡ trong cơ theo các hình thái rất đặc trưng, với phân bố dạng tuyến tính, phân nhánh hoặc dạng lông vũ, tùy thuộc vào cấu trúc của cơ.
Khi quan sát bệnh lý cơ, hãy cố gắng xác định xem một trong bốn dạng bất thường cơ bản nào đang hiện diện:
- Abnormal anatomy with normal signal, i.e. accessory muscle
- Muscle atrophy, i.e. too much fat
- Phù nề cơ, tức là tình trạng tích tụ quá nhiều nước trong khi vẫn duy trì cấu trúc bình thường, do chấn thương cơ, viêm cơ và bệnh cơ viêm
- Khối trong cơ, tức là u mô mềm, tụ máu hoặc áp xe
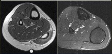
Bên trái là ví dụ về một u mỡ tạo ra hiệu ứng khối trong khoang trước của cẳng chân.
Muscle injury
Chấn thương cơ phổ biến nhất là căng cơ (1).
Đây là chấn thương tại vùng nối cơ-gân.
Đặc trưng của căng cơ là phù nề tập trung dọc theo vùng nối cơ-gân (1).
Các trường hợp căng cơ nặng hơn có thể chứa các ổ dịch như tụ máu và có thể có các bó cơ bị đứt rõ ràng, do đó trên hình ảnh MRI có thể thấy các đặc điểm dạng khối ngoài phù nề cơ.
Đụng dập cơ xảy ra do va đập trực tiếp.
Hình ảnh MRI cho thấy xuất huyết mô kẽ cũng như phù nề tại vị trí tổn thương.
Các trường hợp đụng dập nặng hơn có thể chứa tụ máu và do đó cho thấy tổn thương dạng khối ngoài phù nề.
Muscle Strain
Căng cơ là chấn thương tại điểm nối cơ-gân.
Điểm nối gân là nơi các sợi cơ gặp gân, và hình dạng của nó khác nhau ở các cơ khác nhau.
Ở nhiều cơ, gân kéo dài sâu vào trong cơ tạo thành điểm nối cơ-gân dài (hình).
Vùng này đặc biệt quan trọng trong bối cảnh chấn thương, vì nó thường hay bị tổn thương.
Màng ngoài cơ là mô xơ nằm ở rìa ngoài của cơ.
Nó trở thành bao cơ hòa nhập với gân.
Đây cũng là vùng quan trọng cần xem xét vì khi cơ bị rách, dịch có xu hướng rò rỉ ra ngoài và tích tụ trong màng ngoài cơ.
Hình thái phù nề trong chấn thương cơ sẽ phụ thuộc vào cấu trúc và hình dạng của chỗ nối cơ-gân liên quan.
Hình ảnh bên trái minh họa rõ nét sự sắp xếp dạng lông vũ của chỗ nối cơ-gân trong một cơ bị teo.
Hình ảnh bên trái cho thấy phù nề xung quanh chỗ nối cơ-gân theo dạng hình lông vũ.
Đây là hình ảnh rách hoàn toàn cơ thẳng đùi (mũi tên).
Cấu trúc giải phẫu có thể rất phức tạp.
Ví dụ, ở phía bên trái là cơ thẳng đùi, có thể biểu hiện nhiều dạng phù nề khác nhau tùy thuộc vào vị trí (giải phẫu) của tổn thương.
Mũi tên màu xanh chỉ gân của đầu gián tiếp, xuất phát từ khớp háng, có hướng thẳng đứng trên hình ảnh cắt ngang này.
Dọc theo phần sau của cơ (mũi tên màu vàng), có một vùng gân dẹt xuất phát từ khớp gối.
Khi một cơ có các gân với hướng khác nhau, điều đó có nghĩa là có thể xuất hiện các dạng phù nề khác nhau tùy thuộc vào gân bị tổn thương.
Do đó, đây là dạng phù nề tương ứng với tổn thương xuất phát từ khớp gối.
Căng Cơ (2)
Căng cơ là một chấn thương cấp tính.
Bệnh sử thường rất ngắn gọn.
Các cơ dễ bị căng nhất là các cơ thoi dài bắc qua 2 khớp.
Các cơ có nguy cơ cao nhất là cơ gân kheo, cơ thẳng đùi và cơ bụng chân phần trong.
Căng cơ ở chi trên ít phổ biến hơn một chút và thường liên quan đến cơ nhị đầu cánh tay.
Đặc điểm điển hình của căng cơ là có nhiều phù nề xung quanh chỗ nối cơ-gân vì đây là nơi xảy ra rách.
Có phù nề xung quanh gân và đôi khi bản thân gân sẽ có thay đổi tín hiệu.
Có 2 dạng tổn thương được tìm thấy trong căng cơ.
Cho đến nay, dạng phổ biến nhất là dạng tổn thương tại chỗ nối cơ-gân, chiếm khoảng 97% trường hợp.
Tùy thuộc vào mức độ nghiêm trọng của căng cơ, có thể xuất hiện thêm các ổ tụ dịch.
3% còn lại sẽ biểu hiện dạng căng cơ ngoại mạc cơ, với các bất thường được tìm thấy ở ngoại vi của cơ.
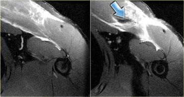
Rách Cơ (3)
Bên trái là hình ảnh ví dụ về một vận động viên cử tạ với hình thái rách cân cơ ngoài (epimysial).
Gân bị rách tại điểm nối cơ-gân, và dịch thoát ra xung quanh bờ cơ tạo nên hình ảnh rách cân cơ ngoài.
Không nhầm lẫn hình ảnh này với rách do thoái hóa hoặc rách do va chạm (impingement).
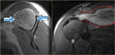
Bên trái là hình ảnh căng cơ với rách một phần cơ dưới vai.
Cơ dưới vai là cơ hội tụ (giống như cơ ngực chẳng hạn) với nhiều gân.
Phù nề sẽ có dạng phân bố đa lông chim, khi phù nề lan theo nhiều hướng dọc theo các gân khác nhau.
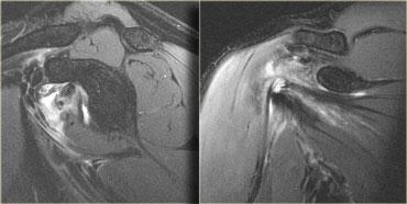
Ở ngoài cùng bên trái là hình ảnh rách hoàn toàn đầu gián tiếp của cơ thẳng đùi (mũi tên vàng).
Vết rách này xuất phát từ khớp háng.
Hình ảnh bên cạnh, cũng đã được trình bày ở trên, cho thấy một phát hiện hoàn toàn khác.
Có phù nề bao quanh gân xa kết nối với xương bánh chè.
Gân còn lại hoàn toàn bình thường (mũi tên xanh).
Grading muscle strain
Về mặt lâm sàng, mức độ nghiêm trọng của chấn thương cơ được phân loại từ 1-3.
Việc phân loại chấn thương cơ dựa trên cường độ tín hiệu là khá phức tạp.
Các chấn thương mãn tính có thể cho thấy những thay đổi tín hiệu nhẹ nhưng vẫn được xếp vào loại chấn thương độ cao theo phân loại lâm sàng.
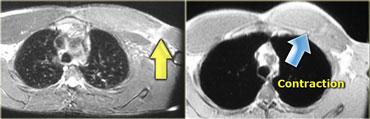
Bên trái là ví dụ về một vết rách ở cơ ngực lớn bên trái.
Trên ảnh T1 có trọng số, có một khoảng hở trong cơ với một lượng nhỏ mỡ lấp đầy vào đó.
Chuỗi xung gradient echo cho thấy sự tích tụ dịch khu trú và một số tăng tín hiệu trong cơ.
Tổn thương trông có vẻ không nghiêm trọng.
Tuy nhiên, khi được yêu cầu co cơ ngực hoàn toàn, có thể thấy rõ sự bất đối xứng do đứt hoàn toàn cơ (mũi tên xanh).
Về mặt lâm sàng, đây là tổn thương độ 3, với mất chức năng hoàn toàn của cơ.
Low grade muscle strain
Bên trái là tổn thương độ thấp của cơ gấp dài ngón cái.
Cấu trúc cơ bình thường trên ảnh T1, và tăng tín hiệu trên ảnh T2 và STIR.
Tổn thương sẽ lành hoàn toàn trong vài tuần.
Ví dụ này cho thấy phù nề theo dạng thượng mạc cơ, thường gặp xung quanh cơ gấp dài ngón cái.
Khi phân độ chấn thương cấp tính, cần xem xét không chỉ cấu trúc mô học mà còn cả chiều dài của cơ.
Các nghiên cứu đã chỉ ra rằng chiều dài của vùng căng cơ là yếu tố tiên lượng tốt nhất cho thời gian mất khả năng vận động, với các tổn thương dài hơn đòi hỏi thời gian hồi phục lâu hơn.
(Tài liệu tham khảo của Tiến sĩ Connell DA và cộng sự, AJR 2004, 83: 975-984).
Do đó, tổn thương càng dài thì thời gian lành thương càng kéo dài.
Bên trái là hình ảnh bệnh nhân bị tổn thương cơ bụng chân độ 2.
Có tổn thương độ thấp ở đầu ngoài.
Moderate grade muscle strain
Bên trái là cùng một bệnh nhân.
Cũng có tổn thương mức độ trung bình ở đầu trong.
Lưu ý các ổ tích tụ dịch xung quanh đầu cơ.
Dịch càng nhiều, mức độ tổn thương càng cao.
Bên trái là cơ thẳng đùi bị tổn thương.
Các hình ảnh cho thấy tổn thương mức độ vừa, với sự biến dạng cấu trúc và một ổ tụ dịch (mũi tên).
Lưu ý phù nề tại chỗ nối cơ-gân dạng hai lông chim.
High grade muscle strain
Bên trái là ví dụ về một tổn thương độ cao.
Có sự đứt hoàn toàn của gân hoặc chỗ nối cơ-gân của cơ ngực.
Bệnh nhân này sẽ mất hoàn toàn chức năng của cơ này.
Bên trái cho thấy hình ảnh rách hoàn toàn cơ gân kheo trái tại chỗ nối cơ-gân.
Các gân bị bong tróc và có sự tích tụ dịch.
Bên trái là một bệnh nhân khác cũng bị đứt hoàn toàn gân cơ hamstring.
Có hình thái phù nề ngoại mạc cơ và kích thích thần kinh tọa.
Có thể xảy ra hội chứng hamstring.
Đây là tình trạng đau do sự hình thành sẹo sau chấn thương xung quanh thần kinh tọa (mũi tên).
Chronic changes of muscle strain
Ở hình bên trái của một bệnh nhân có tiền sử căng cơ.
Có những thay đổi mạn tính điển hình như dày gân khu trú (mũi tên xanh dương) và teo cơ quanh gân (mũi tên vàng).
Ở hình bên trái của một bệnh nhân bị chấn thương đầu dài của cơ nhị đầu đùi.
Có những thay đổi mãn tính điển hình như dày gân khu trú (mũi tên xanh) và teo cơ nặng.
Contusion
Đụng dập cơ được gây ra bởi một cú đánh trực tiếp.
Các dấu hiệu trên MRI trong đụng dập cơ tương tự như rách cơ nhưng không có vị trí khu trú điển hình tại chỗ nối gân-cơ như trong rách cơ.
Thông thường, cũng có phù nề da và đôi khi có đụng dập xương.
Hình ảnh MRI cho thấy phù nề tại vị trí tổn thương, thường do xuất huyết mô kẽ cũng như phù nề.
Các đụng dập nặng hơn có thể chứa khối máu tụ và do đó biểu hiện tổn thương dạng khối ngoài phù nề.
Tổn thương này chủ yếu gặp ở các cơ nông.
Hình ảnh bên trái của một bệnh nhân có khối sưng dạng u ở phần trước bàn chân.
Các phát hiện không đặc hiệu, nhưng tiền sử ‘Cửa xe đập vào bàn chân’ thì rất đặc hiệu.
Hemorrhage
Xuất huyết có thể biểu hiện dưới dạng khối máu tụ khu trú hoặc xuất huyết nhu mô.
Trong trường hợp bên trái có hình ảnh hỗn hợp.
Cường độ tín hiệu của khối máu tụ trên ảnh T1W và T2W phụ thuộc vào giai đoạn của khối máu tụ (Bảng).
Hình ảnh bên trái của một bệnh nhân bị ngã trên sàn trơn trượt.
Có hình ảnh tụ máu siêu cấp tính.
Tín hiệu thấp trên T1W và tín hiệu cao trên T2W.
Bên trái là hình ảnh tụ máu cấp tính.
Trên T1, tín hiệu đồng nhất hoặc thấp hơn so với cơ.
Tín hiệu thấp trên T2WI trong giai đoạn cấp tính là do nồng độ cao của deoxyhemoglobin nội bào.
Ở bên trái là hình ảnh của hai bệnh nhân khác nhau với khối máu tụ bán cấp giai đoạn sớm.
Ở ngoài cùng bên trái là hình ảnh T1.
Tín hiệu tăng sáng ở ngoại vi của khối máu tụ là do methemoglobin, xuất hiện sau 2-7 ngày và có thể tồn tại trong nhiều tháng.
Hình ảnh bên phải cho thấy tín hiệu tăng sáng tương tự trên hình ảnh T2.
On the left a late subacute hematoma with layering.
Ở bên trái là hình ảnh của hai bệnh nhân khác nhau có khối máu tụ mạn tính ở cẳng chân.
Bên trái là hình ảnh trọng số T1.
Chú ý viền tối của hemosiderin bao quanh khối máu tụ.
Bên phải là hình ảnh trọng số T2 của một trường hợp tương tự.
Chú ý rằng hemosiderin cũng tối trên hình ảnh trọng số T2.
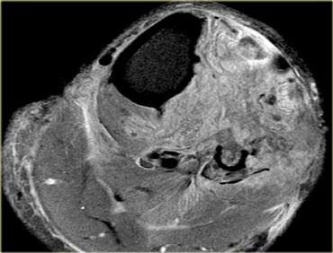
Morel-Lavallee
Bên trái là một khối máu tụ mãn tính được gọi là tổn thương Morel-Lavallee.
Tổn thương Morel-Lavallee là kết quả của sự tách rời giữa da và tổ chức dưới da khỏi cân cơ, tạo ra một khoang chứa đầy dịch và mảnh vụn.
Các tổn thương này thường gặp ở vùng đùi và có hình bầu dục hoặc hình thoi với ranh giới rõ ràng.
Chúng thường được bao bọc một phần hoặc toàn bộ bởi một vỏ bao
Khối máu tụ có thể trông giống như khối u và ngược lại.
Bên trái là hình ảnh di căn của ung thư biểu mô tế bào thận.
Khi nghi ngờ, hãy sử dụng gadolinium để xem liệu tổn thương có ngấm thuốc hay không.
Tiếp tục với hình ảnh sau tiêm Gad.
Phần lớn tổn thương ngấm thuốc, khiến khả năng tụ máu khó xảy ra.
Ở trung tâm không có sự ngấm thuốc do hoại tử.
Tụ máu có thể có một số ngấm thuốc, nhưng chỉ ở rìa.
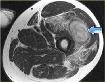
Myositis ossificans
Chấn thương đụng dập nặng gây ra khối máu tụ trong cơ có thể dẫn đến hiện tượng vôi hóa muộn trong mô mềm, được gọi là viêm cơ hóa xương.
Viêm cơ hóa xương có hình ảnh đa dạng tùy thuộc vào mức độ trưởng thành:
- Nonspecific mass
- Peripheral ossification
- Marrow cavity formation
Trên MRI, viêm cơ hóa xương có thể khó phân biệt với u xương ác tính (osteosarcoma).
Trên X-quang và CT, có thể thấy hình ảnh vôi hóa mô mềm không gắn liền với xương.
Bên trái là một trường hợp khác của viêm cơ hóa xương với sự hình thành xương.
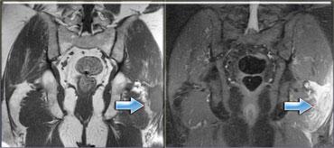
Compartment syndrome
Hội chứng chèn ép khoang là tình trạng đe dọa chi và đe dọa tính mạng, xảy ra khi áp lực tưới máu giảm xuống dưới áp lực mô trong một khoang giải phẫu kín.
Thủ thuật cắt cân mạc với đường rạch qua da và cân cơ là cần thiết để giải phóng áp lực và phục hồi chức năng bình thường của các mao mạch.
Hội chứng chèn ép khoang sẽ tiến triển thành tiêu cơ vân nếu không được điều trị.
Hoại tử mô có thể bắt đầu khi áp lực kẽ thấp tới 30 mm
Ở cẳng chân có bốn khoang: khoang trước, khoang sau sâu, khoang sau nông và một khoang ngoài nhỏ.
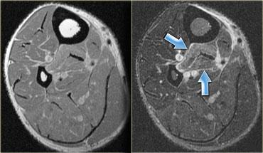
Hình ảnh T1W bên trái của bệnh nhân một tháng sau chấn thương.
Trên hình ảnh sau tiêm Gadolinium, có thể thấy hoại tử ở khoang trước và khoang ngoài.
Khoang sau bình thường.
Bên trái là hình ảnh T2W của một bệnh nhân bị hội chứng khoang bên mạn tính.
Bên trái là hội chứng chèn ép khoang ở đùi đã tiến triển thành tiêu cơ vân.
Tiêu cơ vân là sự phân hủy cơ xương khiến các chất độc nội bào từ tế bào cơ thoát ra ngoài vào hệ tuần hoàn và có thể dẫn đến suy thận.
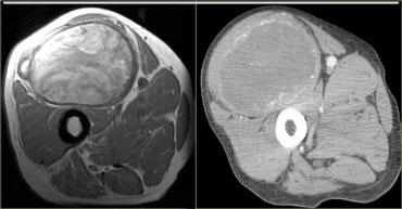
Calcific myonecrosis
Hoại tử cơ vôi hóa là một tình trạng hiếm gặp sau chấn thương, đặc trưng bởi sự hình thành muộn của một khối vôi hóa loạn dưỡng, xảy ra hầu như độc quyền ở chi dưới.
Trong hoại tử cơ vôi hóa, toàn bộ một cơ đơn lẻ bị thay thế bởi một khối hình thoi với phần trung tâm hóa lỏng và vôi hóa ngoại vi.
Chúng có thể biểu hiện như các khối mô mềm ngày càng to lên với các đặc điểm lâm sàng gợi ý một khối u mô mềm đang phát triển hoặc nhiễm trùng.
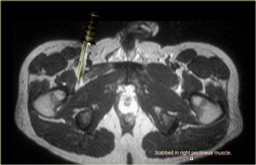
Laceration
Bên trái là hình ảnh của một bệnh nhân bị thương do dao.
Người đàn ông này bị vợ bắt gặp khi đang ngoại tình với người phụ nữ khác và bị đâm vào vùng bẹn.
Hậu quả là cơ lược bên phải của ông bị rách.
Chụp cộng hưởng từ thường không được chỉ định trong trường hợp vết rách, vì những bệnh nhân này thường được đưa thẳng đến phòng cấp cứu hoặc phòng mổ để phẫu thuật thăm dò, nhưng trường hợp này minh họa rõ nét hình ảnh cơ bị teo và mô sẹo.
Delayed onset muscle soreness
Đau cơ khởi phát muộn (DOMS) xuất hiện 1-2 ngày sau khi tập luyện và tự khỏi trong 1-2 tuần (ví dụ như sau những ngày đầu tiên trượt tuyết).
DOMS là một dạng chấn thương do sử dụng quá mức, không có triệu chứng cho đến hàng giờ hoặc hàng ngày sau giai đoạn sử dụng quá mức, trái ngược với căng cơ hoặc đụng dập cơ, thường gây đau ngay lập tức.
Các hình ảnh MRI cho thấy phù nề cơ lan tỏa, không khu trú tại vùng nối cơ-gân và có thể tồn tại trong nhiều tuần.
Bên trái là hình ảnh của một bệnh nhân đi chạy bộ lần đầu tiên sau một thời gian dài không tập luyện.
Cơ bị kích thích được minh họa bằng hình ảnh phù nề ở cơ bụng chân (mũi tên).
Do có sự chậm trễ trong biểu hiện triệu chứng, bệnh nhân không phải lúc nào cũng nhận biết được thời điểm hoặc nguyên nhân thực sự gây ra chấn thương.
Bên trái là một tân binh hải quân bị đau cơ khởi phát muộn sau khi tập tạ.
Lưu ý cơ cánh tay trước bị sưng phù nề.
Những bất thường này có thể kéo dài trong nhiều tuần.
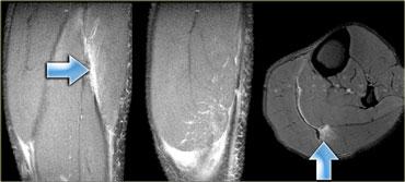
Fascial hernia
Rách cân cơ biểu hiện như một khối u, tín hiệu thường bình thường (tương tự như một cơ phụ).
Cơ thoát vị qua chỗ khuyết cân cơ, lồi ra khi cơ co lại.
Đây là khối u xuất hiện không liên tục và có thể bị bỏ sót trên MRI nếu chỉ nhìn thấy trong lúc co cơ.
Rách cân cơ là chấn thương thể thao điển hình và thường gặp nhất ở vùng bắp chân (hình).
Loại chấn thương cơ này được đánh giá tốt bằng siêu âm, vì đây là phương pháp thăm khám động.














































