Sụn chêm – Các trường hợp đặc biệt
Trong bài viết này, chúng tôi sẽ trình bày một số ví dụ về bệnh lý sụn chêm đặc biệt một cách chi tiết hơn.
Để nắm vững kiến thức cơ bản về bệnh lý sụn chêm, chúng tôi khuyến nghị bạn đọc trước bài viết ‘Sụn chêm khớp gối – Phần 1’.
Trên hầu hết các hình ảnh, bạn có thể nhấp vào để xem phóng to, tuy nhiên tính năng này không hoạt động trên ứng dụng iPhone.
Sụn chêm lật (Flipped meniscus)
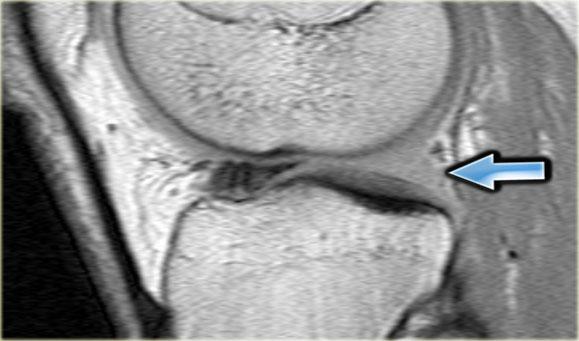
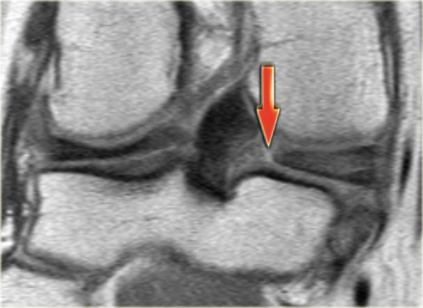
Hãy quan sát hình ảnh bên trái và cố gắng xác định vấn đề của sụn chêm này là gì.
Sau đó tiếp tục xem các hình ảnh liên tiếp tiếp theo của cùng bệnh nhân này.
Cuộn qua các hình ảnh.
Sau đó tiếp tục đọc…
Như bạn đã đoán được qua tiêu đề của đoạn này, đây là một trường hợp sụn chêm lật (flipped meniscus).
Sụn chêm lật là một dạng đặc biệt của rách dạng quai xô (bucket-handle tear).
Sụn chêm lật xảy ra khi mảnh vỡ của sừng sau bị lật ra phía trước, khiến sừng trước của sụn chêm có vẻ to hơn bình thường.
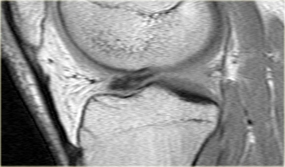
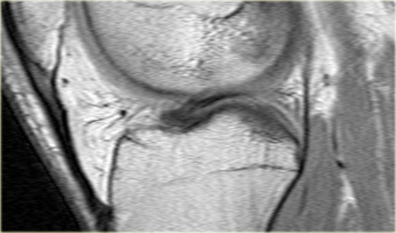
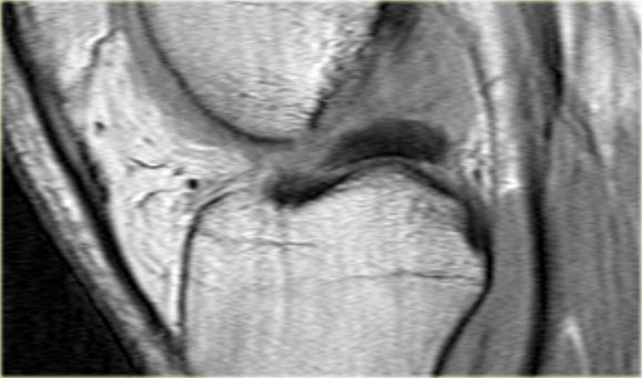
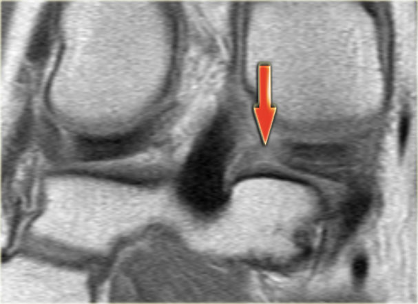
- Thân sụn chêm ngoài.
- Sừng sau quá nhỏ và sừng trước có vẻ to hơn với đường viền không đều.
- Thoạt nhìn có vẻ như có một đường rách dọc ở sừng trước, nhưng thực chất phần sau của cấu trúc này chính là phần lật của sừng sau bị rách.
Cấu trúc phía trước là sừng trước.
Cũng cần lưu ý tình trạng phù tủy xương khu trú và dấu ấn lõm sụn khớp. - Cấu trúc phía trước là sừng trước.
- Một số bất thường ở phần sau.
- Phần sau di chuyển về phía đuôi (caudal).
- Trong hố gian lồi cầu là điểm nối giữa mảnh di lệch và phần còn lại của sừng sau.
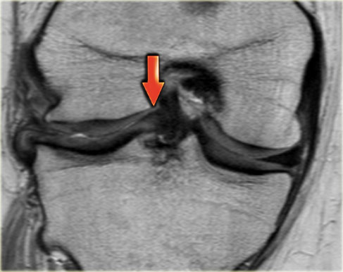
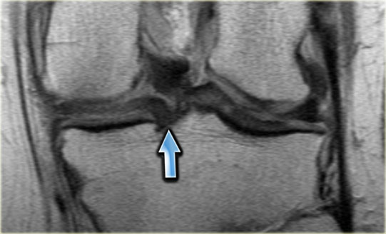
Bên trái là một trường hợp sụn chêm lật khác.
Lần này ở phía trong (medial).
Một phần sừng trước bị lật ra phía sau.
Chỉ một phần nhỏ của sừng trước được nhìn thấy ở phía trước.
Hầu hết các trường hợp sụn chêm lật xảy ra ở phía ngoài (lateral).
Dây chằng chéo trước (ACL) ngăn mảnh sụn chêm di chuyển hoàn toàn vào hố gian lồi cầu.
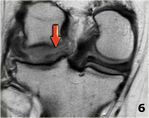
Hình minh họa cơ chế hình thành sụn chêm lật.
Trên hình ảnh mặt phẳng coronal, trước tiên sẽ thấy sừng trước to và phồng lên.
Ở phía sau sẽ thấy sừng sau rất nhỏ.
Xem ca tiếp theo.
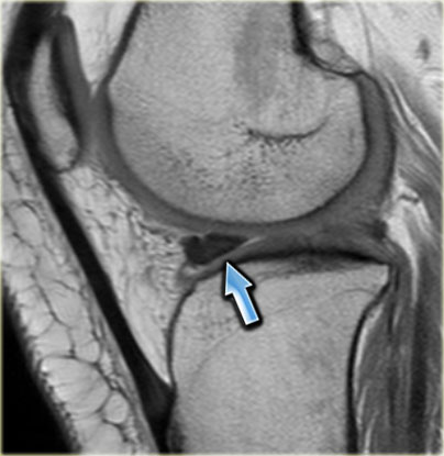
Bên trái là một trường hợp khác của sụn chêm ngoài bị lật.
Cuộn qua các hình ảnh.
- Lưu ý sừng trước rất lớn.
Phần trong là sừng sau đã bị di lệch. - Phần trong chạy vào hố gian lồi cầu.
- Phần bị di lệch được nhìn thấy rõ ràng như là ‘cấu trúc thứ ba’
trong hố gian lồi cầu. - Điểm nối với phần còn lại của sừng sau.
- Điểm nối với phần còn lại của sừng sau.
- Phần còn lại rất nhỏ của sừng sau.
Cùng ca bệnh trên với hình ảnh mặt phẳng sagittal.
Lưu ý phần bị rách của sụn chêm chạy ra phía trước qua hố gian lồi cầu (các mũi tên)
- Thông thường chỉ có hai cấu trúc chạy trong hố gian lồi cầu. Ở đây chúng ta thấy dây chằng chéo sau bình thường.
- Dây chằng chéo trước bình thường.
- Phần bị rách của sừng sau như là ‘cấu trúc thứ ba’
trong hố gian lồi cầu. - Phần bị rách chạy ra phía trước.
- Phần bị rách nhập vào sừng trước và giả tạo hình ảnh rách dọc ở sừng trước.
Lưu ý phần còn lại nhỏ của sừng sau.
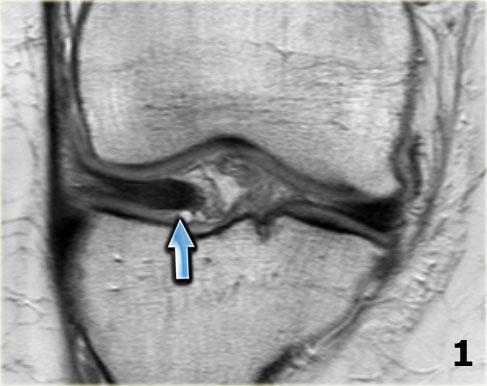
Bên trái là các hình ảnh PD sagittal của một trường hợp sụn chêm lật.
Toàn bộ sừng sau bị lật ra phía trước, tạo ra dấu hiệu sụn chêm rỗng (empty meniscus sign) (mũi tên).
Rách kiểu quai xách (Bucket handle tear)
Trước tiên hãy quan sát các hình ảnh bên trái.
Sau đó tiếp tục đọc.
-
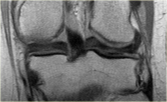
Chúng ta bắt đầu với lát cắt ở giữa của khảo sát.
Lưu ý thân sụn chêm bên có kích thước nhỏ với hình dạng bất thường (mũi tên xanh).
Phần bờ trong bị khuyết được nhìn thấy ngay phía ngoài dây chằng chéo trước (mũi tên đỏ). - Phần sụn chêm bị rách di lệch vào trong, tức là phần quai xách, có thể được theo dõi theo hướng ra sau trong hố gian lồi cầu.
- Tiếp tục.
- Đây là điểm nối giữa phần quai xách và sừng sau.
- Đây là lát cắt phía trước cho thấy một nang sụn chêm.
- Lưu ý tín hiệu cao theo chiều ngang.
- Tại đây chúng ta có thể nhận thấy sự phức tạp của tổn thương rách sụn chêm với thành phần theo chiều dọc và chiều ngang (các mũi tên).
Rách kiểu quai xách là loại rách dọc theo chiều đứng có kèm di lệch.
Mảnh bờ trong bị di lệch có hình dạng giống như quai của một chiếc xô.
Phần ngoại vi còn lại của sụn chêm, phần lớn hơn, có hình dạng giống như thân chiếc xô.
Loại rách này chiếm khoảng 10% trong tổng số các trường hợp rách sụn chêm.
Dấu hiệu PCL đôi
Dấu hiệu dây chằng chéo sau (PCL) đôi là một dải giảm tín hiệu nằm song song và ở phía trước-dưới so với PCL trên ảnh MRI mặt phẳng đứng dọc.
Đây là dấu hiệu có độ đặc hiệu cao trong chẩn đoán rách sụn chêm kiểu quai xô (3).
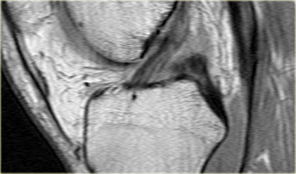
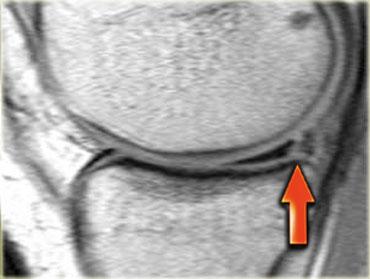
Rách chân sụn chêm
Trước tiên hãy quan sát hình ảnh bên trái và cố gắng nhận diện vị trí rách sụn chêm.
Những tổn thương rách này thường dễ bị bỏ sót.
Sau đó tiếp tục xem các hình ảnh tiếp theo.
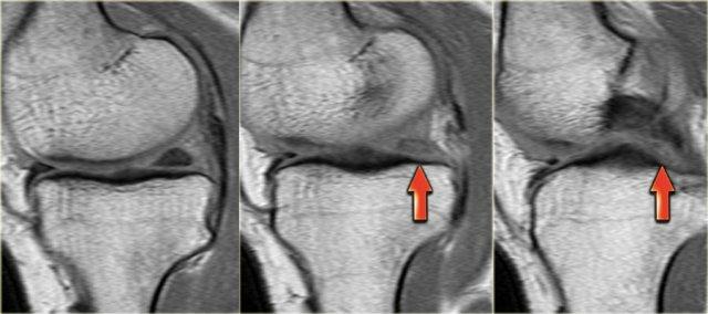
Ghi nhận một đường rách hướng tâm tại vị trí chân sụn chêm phía sau của sụn chêm trong, đường rách xuyên suốt toàn bộ chiều dày sụn chêm với hình ảnh khe dịch lan dọc theo khuyết tổn thương (mũi tên đỏ).
Rách chân sụn chêm thường đi kèm với hiện tượng thoát vị sụn chêm ra ngoài bờ mâm chày.
Thoát vị sụn chêm trên 3 mm thường liên quan đến các tổn thương rách tại vùng chân sụn chêm (6).
Trong trường hợp bên trái, ghi nhận một đường rách hướng tâm hoàn toàn tách rời sừng sau khỏi chân bám của nó (mũi tên đỏ).
Ngoài ra còn có hình ảnh thoát vị sụn chêm mức độ tối thiểu (hình 1/6).
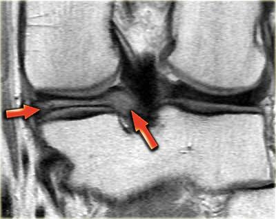
Đây là một trường hợp rách chân sụn chêm trong khác.
Lưu ý rằng sừng sau không còn bám vào xương chày.
Thay vào đó, có thể thấy một khoảng hở (mũi tên cong).
Những tổn thương rách này rất dễ bị bỏ sót khi người đọc nhầm tưởng sừng sau vẫn bình thường.
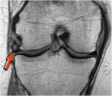
Đây là một trường hợp điển hình khác của rách chân sụn chêm trong.
Lưu ý rằng trường hợp này còn kèm theo hình ảnh sụn chêm ngoài dạng đĩa.
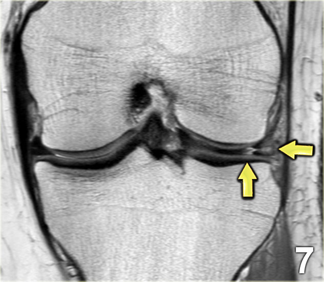
Dấu hiệu sụn chêm rỗng
Khi có rách xuyên tâm hoàn toàn, hai mảnh sụn chêm có thể bị tách rời hoàn toàn.
Điều này có thể dẫn đến hình ảnh khoang sụn chêm rỗng hay còn gọi là dấu hiệu sụn chêm rỗng (mũi tên).

TRÁI: Hình ảnh sụn chêm vắng mặt hoặc rỗng trên mặt phẳng đứng dọc. PHẢI: Hình ảnh mặt cắt ngang cho thấy rách xuyên tâm hoàn toàn dẫn đến khuyết hổng sụn chêm.
Nếu khảo sát một đường rách xuyên tâm hoàn toàn trực tiếp dọc theo chiều dài của đường rách, bạn sẽ thấy hình ảnh sụn chêm vắng mặt hoặc rỗng.
Các đường rách xuyên tâm hoàn toàn này mở ra và tạo ấn tượng rằng có một phần sụn chêm bị thiếu.
Tuy nhiên, bạn sẽ không tìm thấy mảnh sụn chêm bị di lệch.
Đây đơn thuần chỉ là sự tách rời của các phần sụn chêm.
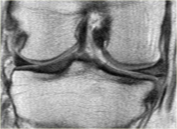
Hình bên trái minh họa một đường rách xuyên tâm hoàn toàn, có thể dẫn đến dấu hiệu sụn chêm rỗng.
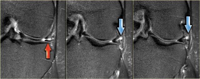
Hình bên trái là các ảnh PD mặt phẳng đứng ngang của một bệnh nhân có rách xuyên tâm hoàn toàn dẫn đến dấu hiệu sụn chêm rỗng.
- 1/7: Dấu hiệu sụn chêm rỗng (mũi tên đỏ nằm ngang).
- 2/7: Quan sát thấy một mảnh nhỏ còn lại của thân sụn chêm.
- 3/7: Điểm bám gốc sụn chêm bình thường (mũi tên xanh).
- 4/7: Sừng sau bình thường.
- 5/7: Phía trước có hiện tượng thoát vị sụn chêm.
- 6/7: Thoát vị sụn chêm.
- 7/7: Thoát vị sụn chêm đáng kể hơn 3 mm (mũi tên đỏ thẳng đứng).
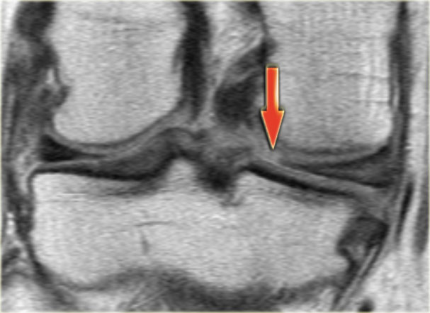
Hình bên trái là các ảnh PD mặt phẳng đứng ngang liên tiếp của sừng sau sụn chêm, thoạt nhìn có thể tạo ấn tượng là bình thường.
Tiếp tục xem các ảnh mặt phẳng đứng dọc.
Khi quan sát kỹ các ảnh mặt phẳng đứng dọc, bạn sẽ nhận thấy dấu hiệu sụn chêm rỗng tại vị trí mà bình thường gốc sụn chêm bám vào (mũi tên đỏ).
Điều này có nghĩa là chúng ta đang đối mặt với một trường hợp rách gốc sụn chêm.
Phần sụn chêm phía sau cần đi vòng lên trên gai chày để bám vào gần dây chằng chéo sau.
Hiện tượng chân không
Trước tiên, hãy cuộn qua các hình ảnh ở bên trái.
Hãy thử xác định xem có bất thường gì với sụn chêm này.
Sau đó tiếp tục đọc.
Ở ấn tượng ban đầu, hình ảnh này trông giống như một vết rách trong sụn chêm hình đĩa.
Quan sát kỹ hơn, bạn sẽ nhận thấy rằng cấu trúc nằm ngang có tín hiệu thấp hơn so với sụn chêm và trông khá bất thường.
Đây là một biến thể bình thường do hiện tượng chân không gây ra.
Hiện tượng chân không xảy ra do áp suất âm trong khớp liên quan đến tư thế của bệnh nhân, dẫn đến sự tích tụ khí nitơ.
Tiếp tục xem phim X-quang của cùng bệnh nhân này.
Hiện tượng chân không ở phía bên ngoài (lateral).
Sụn Chêm Hình Đĩa
Trước tiên, hãy cuộn qua các hình ảnh ở bên trái.
Hãy thử xác định xem có bất thường gì với sụn chêm này.
Sau đó tiếp tục đọc.
Cấu trúc giảm tín hiệu ở phía bên ngoài (lateral) là sụn chêm hình đĩa (mũi tên xanh).
Cấu trúc ở phía trong (medial) là hiện tượng chân không (vacuum phenomenon).
Trên lát cắt liền kề, hiện tượng chân không này không còn được quan sát thấy nữa.
Rách sụn chêm vùng đỏ
Trước tiên, hãy cuộn qua các hình ảnh ở bên trái.
Hãy thử xác định tổn thương đang xảy ra với sụn chêm này.
Sau đó tiếp tục đọc.
Có một đường rách dọc ở ngoại vi của sụn chêm (mũi tên đỏ).
Một phần ba phía ngoài của sụn chêm được gọi là vùng ‘đỏ’, do có nguồn cung cấp máu phong phú.
Vị trí của đường rách sụn chêm có ý nghĩa quan trọng, vì các đường rách ở phần có mạch máu này có khả năng tự lành cao hơn so với các đường rách ở phần vô mạch hay vùng trắng của sụn chêm.
Dấu hiệu sụn chêm trong sụn chêm
Đôi khi có thể gặp vùng tăng tín hiệu hình tam giác hoặc hình nêm lan rộng nhưng không chạm đến bề mặt sụn chêm.
Hình ảnh này đôi khi được gọi là dấu hiệu sụn chêm trong sụn chêm.
Do bất thường sụn chêm này không chạm đến bề mặt sụn chêm, nên không đáp ứng tiêu chuẩn chẩn đoán rách sụn chêm.
Nghiên cứu cho thấy một nửa số bệnh nhân có triệu chứng cần nội soi khớp theo dõi đã được xác nhận có rách sụn chêm (4).
Hình bên trái là một sụn chêm khác với tăng tín hiệu lan tỏa tại thân sụn chêm.
Trên các lát cắt khác (không hiển thị) không có bằng chứng của rách sụn chêm.
Lưu ý tình trạng thoát vị sụn chêm nặng vượt ra ngoài bờ mâm chày.
- Dấu hiệu sụn chêm trong sụn chêm và thoát vị phần giữa sụn chêm (mũi tên đỏ).
- Rách xuyên tâm hoàn toàn tại sừng sau.
Lưu ý thêm hình ảnh hoại tử vô mạch. - Lưu ý thêm hình ảnh hoại tử vô mạch.
- Thoát vị sụn chêm kèm hoại tử vô mạch.
Thoát vị sụn chêm
Các rách liên quan đến chân sụn chêm (điểm bám trung tâm) cũng có mối tương quan đáng kể với mức độ thoát vị sụn chêm, gặp trong 3% trường hợp thoát vị nhẹ và 42% trường hợp thoát vị nặng.
Khi sụn chêm bị thoát vị, sụn chêm mất khả năng chịu đựng lực căng vòng và không còn có thể bảo vệ sụn khớp lân cận khỏi tải trọng trục quá mức.
Theo thời gian, tình trạng này có thể dẫn đến viêm khớp gối có triệu chứng.
Rách chân sụn chêm sau có thể dễ bị bỏ sót do các triệu chứng lâm sàng không điển hình và có thể bị bỏ qua nếu không thực hiện nội soi khớp kỹ lưỡng.
Việc phát hiện thoát vị sụn chêm có tầm quan trọng không chỉ vì nó liên quan đến tổn thương rách tiềm ẩn, mà còn vì bản thân thoát vị sụn chêm được cho là có liên quan đến sự phát triển của viêm khớp thoái hóa.
Gãy xương Segond và rách sụn chêm
Gãy xương Segond là tổn thương bong gân (avulsion) của dây chằng bao khớp bên ngoài.
Cơ chế chấn thương là xoay trong kết hợp với lực varus.
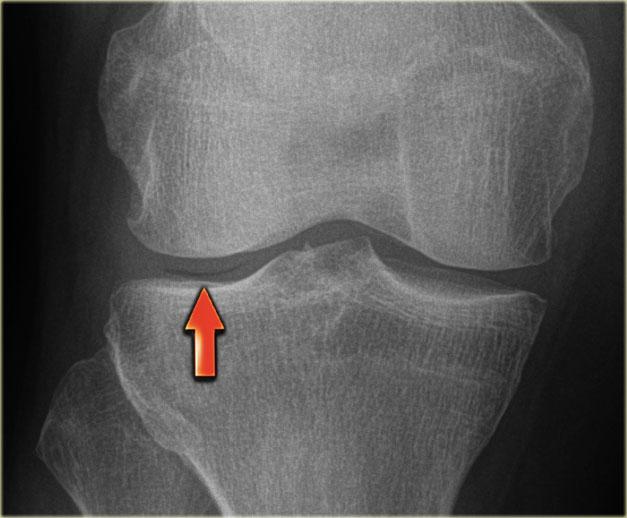
Trên phim X-quang, tổn thương biểu hiện dưới dạng một mảnh xương hình bầu dục tách rời khỏi mặt ngoài đầu gần xương chày (hình).
Gãy xương Segond có mối liên quan chặt chẽ với rách dây chằng chéo trước (75-100%) và tổn thương sụn chêm trong và ngoài (66-70%).
Trên phim X-quang, gãy xương Segond có thể dễ bị bỏ sót (mũi tên đỏ).
Lưu ý rằng còn có thêm tổn thương bong gân của dây chằng bên trong.
Tiếp tục xem các hình ảnh MRI.
Bên trái là ba lát cắt coronal PD liên tiếp:
-
Rách bó dây chằng bên trong sâu (mũi tên vàng).
Bong mảnh xương ở mặt ngoài đầu gần xương chày, tức là gãy xương Segond (mũi tên đỏ). -
Lưu ý mảnh sụn chêm phía trong bị di lệch.
Điều này cho thấy còn có thêm rách dạng quai xô (bucket handle tear). -
Ngoài rách dạng quai xô (mũi tên xanh phía trong), còn có một đường rách ngang khó nhận thấy ở phần ngoại vi của sụn chêm (mũi tên xanh phía ngoài).
Đường rách ngang này được thể hiện rõ hơn trên các hình ảnh khác (không trình bày ở đây).
Tiếp tục xem các hình ảnh sagittal.
Gãy xương Segond gần như là dấu hiệu đặc trưng (pathognomonic) của rách dây chằng chéo trước, điều này cũng được ghi nhận ở bệnh nhân này.
Bên trái là hình chụp tư thế AP của một bệnh nhân khác.
Kết hợp với gãy xương Segond (mũi tên đỏ), còn có thêm gãy bong điểm bám của dây chằng chéo trước (mũi tên xanh).
Nang sụn chêm
Nang sụn chêm hình thành do dịch hoạt dịch thoát ra qua một vết rách sụn chêm theo hướng ngang lan ra ngoại vi.
Nang sụn chêm trong thường khu trú liền kề sừng sau, trong khi nang sụn chêm ngoài thường khu trú liền kề sừng trước hoặc thân sụn chêm.
Hình bên trái là ảnh chuỗi xung PD và chuỗi xung T2W cho thấy nang sụn chêm ngoài nằm liền kề sừng trước, là hệ quả của một vết rách phức tạp.
Hình bên trái gồm ba lát cắt liên tiếp cho thấy một nang sụn chêm nhỏ (mũi tên xanh) là hệ quả của một vết rách theo hướng ngang (mũi tên đỏ).
Hình bên trái là ảnh chuỗi xung PD mặt phẳng coronal không có và có kỹ thuật ức chế mỡ (fatsat).
Quan sát thấy một nang sụn chêm kích thước lớn liên quan đến vết rách theo hướng ngang (mũi tên đỏ).











































































































