Siêu âm vai
Bài viết này hiện đang được chuẩn bị. Sau khi hoàn thiện, chúng tôi sẽ thông báo trên trang chủ.
Bài viết này đóng vai trò là phần giới thiệu về siêu âm vai. Siêu âm là một kỹ thuật hình ảnh không xâm lấn, dễ tiếp cận, cho phép đánh giá toàn diện vùng vai, bao gồm cả đánh giá động ở bệnh nhân bị hội chứng chèn ép.
Chúng tôi sẽ xem xét giải phẫu siêu âm của khớp vai, trình bày quy trình thăm khám—bao gồm tư thế bệnh nhân phù hợp—và thảo luận về các bệnh lý thường gặp trong siêu âm khớp vai.
Anatomy
Glenohumeral Joint Stabilization
The normal anatomy is also discussed here.
Rotator cuff interval
Khoảng gian gân chóp xoay là một khoảng trống riêng biệt trong chóp xoay, nằm giữa bờ trên của gân dưới vai và bờ trước của gân trên gai.
Trong khoảng này, chỏm xương cánh tay không được che phủ bởi chóp xoay mà thay vào đó được che phủ bởi phần trong khớp của gân đầu dài cơ nhị đầu, được giữ vững bởi dây chằng quạ-cánh tay.
Khi đánh giá rách gân cơ trên gai, điều quan trọng là phải kiểm tra vị trí bám của gân vào mấu động lớn, đặc biệt dọc theo bờ sau của khoang gân cơ chóp xoay.
Vùng trước này của gân cơ trên gai là vị trí thường gặp của rách gân bán phần, được gọi là “rách bờ viền.”
Gân cơ nhị đầu được giữ ổn định bởi phức hợp bao khớp-dây chằng, được gọi là ròng rọc cơ nhị đầu, bao gồm dây chằng ổ chảo-cánh tay trên, dây chằng quạ-cánh tay và điểm bám tận phía xa của gân cơ dưới vai.
Hình ảnh mặt sau của vai làm nổi bật các cơ trên gai, cơ dưới gai và cơ tròn bé cùng các gân liên quan của chúng.
Spinoglenoid notch
Khuyết gai-ổ chảo là vùng giải phẫu nằm giữa nền bên của gai xương bả vai và mỏm ổ chảo.
Nó đóng vai trò là cầu nối giữa hố trên gai và hố dưới gai, đồng thời cho phép thần kinh và động mạch trên vai đi qua.
Các nang hạch có thể hình thành ở vùng này, có khả năng chèn ép thần kinh trên vai và dẫn đến đau vai cùng teo cơ dưới gai.
Các nang này thường là thứ phát do rách sụn viền ổ chảo vùng sau trên.
Standard Ultrasound Examination
Siêu âm khớp vai
Đầu dò tuyến tính độ phân giải cao (≥10 MHz) thường được sử dụng để siêu âm khớp vai. Đôi khi, đầu dò cong (3,5 MHz) được sử dụng để cung cấp góc nhìn rộng hơn về khớp ổ chảo – cánh tay.
Việc kiểm tra thường bắt đầu với gân đầu dài của cơ nhị đầu (LHB), đánh giá tình trạng tràn dịch, rách hoặc trật khớp.
Teo mỡ cũng có thể được quan sát thấy, xuất hiện trong bụng cơ hoặc tại chỗ nối cơ-gân.
Tiếp theo, các gân của cơ dưới vai, cơ trên gai và cơ dưới gai được đánh giá, đặc biệt chú ý đến việc xác định các vết rách.
Việc kiểm tra có thể được mở rộng để bao gồm khớp cùng vai-đòn (AC), khuyết gai-ổ chảo, sụn viền sau và khớp ổ chảo-cánh tay.
Nên sử dụng danh sách kiểm tra (xem Bảng) để đảm bảo tất cả các cấu trúc đã được kiểm tra kỹ lưỡng.
Long head of the biceps tendon
Gân LHB được quan sát rõ nhất bằng cách đặt đầu dò lên bụng cơ nhị đầu cánh tay ở vùng cánh tay trên và di chuyển về phía gần đến chỗ nối cơ-gân và gân.
Cẳng tay bệnh nhân nên được ngửa và xoay trong nhẹ về phía gối đối bên.
Ở tư thế này, gân cơ nhị đầu dài (LHB) xuất hiện như một cấu trúc tròn với cấu trúc âm dạng sợi (mũi tên đen) nằm trong rãnh gian củ (đầu mũi tên trắng).
Video kiểm tra đầu dài của cơ nhị đầu trên mặt phẳng ngang.
Click in the left upper corner for a full screen view.
Tính dị hướng
Tính dị hướng là một artefact xảy ra khi chùm tia siêu âm không vuông góc với gân cơ nhị đầu dài (LHB). Sự lệch trục này dẫn đến giảm phản xạ sóng âm, gây mất độ phân giải và làm cho cấu trúc có hình ảnh tối, giảm âm (mũi tên đen). Trong một số trường hợp, điều này có thể tạo ra ấn tượng rằng gân LHB bị trật ra khỏi rãnh liên củ.
Để khắc phục hiện tượng dị hướng, hãy điều chỉnh lại vị trí đầu dò sao cho chùm siêu âm vuông góc với gân. Khi đó, gân cơ nhị đầu dài (LHB) sẽ lấy lại hình ảnh đặc trưng tăng âm, dạng sợi (mũi tên trắng).
Cần lưu ý rằng hiện tượng dị hướng cũng có thể ảnh hưởng đến các cấu trúc khác, chẳng hạn như gân cơ dưới vai trong hình ảnh này, tương tự cũng xuất hiện giảm âm do hiện tượng nhiễu ảnh này.
Rotator cuff interval
Khi bệnh nhân di chuyển khuỷu tay ra sau một chút trong khi duy trì tư thế ngửa cẳng tay, phần trong khớp của gân cơ nhị đầu nằm trong khoảng gian cơ chóp xoay sẽ được hiển thị rõ ràng hơn. Tư thế này được gọi là tư thế Jugger (xem hình).
Hình ảnh
Mặt cắt ngang vùng khoang gân cơ chóp xoay.
Gân cơ nhị đầu dài (mũi tên) nằm giữa gân cơ dưới vai ở phía trước và gân cơ trên gai ở phía sau.
Gân cơ nhị đầu dài được che phủ bởi dây chằng quạ-cánh tay (đầu mũi tên).
Subscapular tendon
Cánh tay được đặt dọc theo thân mình, với khuỷu tay gấp góc 90º giữa cánh tay và cẳng tay.
Cẳng tay được đặt ở tư thế ngửa và xoay ngoài.
Đầu dò siêu âm được đặt ở phía trong để quan sát gân cơ dưới vai (SSC) khi nó đi qua bên dưới mỏm quạ.
Video về chuyển động bình thường của cơ dưới vai
Trong quá trình xoay trong và xoay ngoài của cẳng tay, toàn bộ gân phải được quan sát thấy trượt dưới mỏm quạ (xem video).
Hiện tượng chèn ép được ghi nhận khi gân di chuyển không hoàn toàn hoặc bị chậm trễ (xem chương về chèn ép).
Double click on the video for a full screen view.
Supraspinatus tendon
Vị trí tối ưu để khảo sát gân cơ trên gai là tư thế Crass cải tiến. Ở tư thế này, bệnh nhân được hướng dẫn đặt tay lên hông cùng bên hoặc hướng về túi quần phía sau (xem hình).
Một lựa chọn thay thế là tư thế Crass, trong đó bệnh nhân đặt cánh tay ở tư thế xoay trong ra sau lưng.
Infraspinatus tendon
Việc kiểm tra gân cơ dưới gai có thể gặp nhiều khó khăn do khó phân biệt với gân cơ trên gai. Tư thế tối ưu để quan sát gân cơ dưới gai là yêu cầu bệnh nhân đặt tay lên vai đối bên.
Đặt đầu dò ở cùng hướng như khi khám gân cơ trên gai. Khi đã quan sát được cơ trên gai, di chuyển đầu dò dần xuống dưới. Một khoảng hở nhỏ sẽ hiện ra, tiếp theo là hình ảnh nhỏ hơn, rõ nét của gân cơ dưới gai.
Video of the infraspinatus tendon.
Double click on the video for a full screen view.
Acromioclavicular joint
Khớp cùng vai đòn có thể dễ dàng xác định bằng cách sờ nắn phần lồi xương và sau đó đặt đầu dò lên trên đó.
Khớp cùng vai đòn bình thường có đường viền nhẵn của các bề mặt khớp xương.
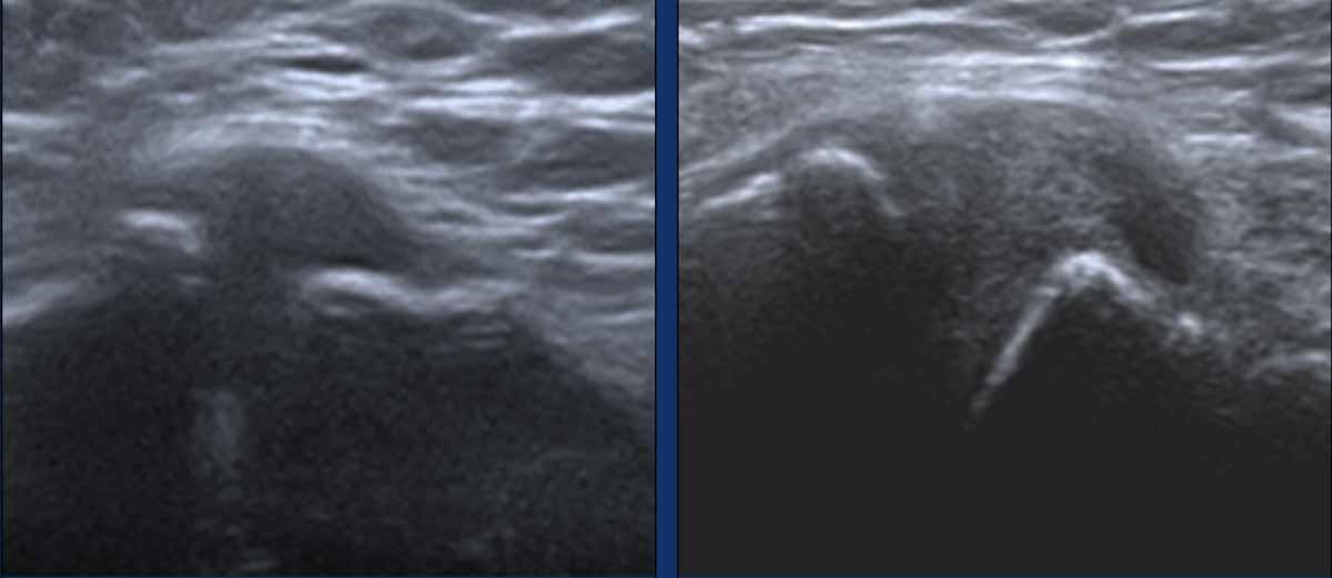
Spinoglenoid notch
Xác định gai xương bả vai như một mốc xương tăng âm.
Di chuyển đầu dò sang bên cho đến khi xác định được khuyết gai-ổ chảo, nằm giữa gai xương bả vai phía ngoài và mỏm ổ chảo.
Thần kinh trên vai xuất hiện dưới dạng cấu trúc hình ống giảm âm với hình thái bó sợi (mũi tên).
Doppler năng lượng có thể hữu ích để theo dõi các mạch máu trên vai nhằm xác định vị trí thần kinh.
Kiểm tra các nang hạch, có thể xuất hiện dưới dạng các cấu trúc giảm âm, chứa dịch, chèn ép thần kinh trên vai.
Các nang này thường liên quan đến rách sụn viền ổ chảo mặt sau trên.
Posterior labrum and glenohumeral joint
Sụn viền sau có thể được khảo sát bằng cách đặt đầu dò
tại mặt sau của khớp ổ chảo – cánh tay.
Sụn viền được thấy như một cấu trúc tăng âm hình tam giác, có độ tăng âm cao hơn
sụn khớp lân cận (mũi tên).
Pathology
Biceps tendinopathy
Hình ảnh
Hai ví dụ về gân đầu dài cơ nhị đầu bị dày lên.
Lưu ý hình ảnh echo không đều đặn, đặc biệt ở hình bên phải.
Có tăng sinh mạch máu và một ít dịch xung quanh (mũi tên).
Rách đầu dài cơ nhị đầu (LHB)
Vị trí tổn thương thường gặp nhất của LHB là tại chỗ nối cơ-gân và phần gân liền kề.
Rách LHB có thể được xác định dễ dàng trên siêu âm dưới dạng dịch không hồi âm làm gián đoạn sự liên tục của các thớ cơ.
Độ hồi âm của dịch thay đổi tùy thuộc vào tính chất mạn tính của tổn thương:
- Acute tears typically appear as anechoic fluid.
- Rách mạn tính có thể biểu hiện mảnh vụn tăng âm hoặc các tiếng vang phản xạ trong dịch.
Hình ảnh
Các ví dụ kèm theo minh họa các vết rách tại điểm nối cơ-gân của đầu dài cơ nhị đầu (LHB). Các vết rách có hình ảnh hoàn toàn vô âm, phù hợp với tổn thương cấp tính.
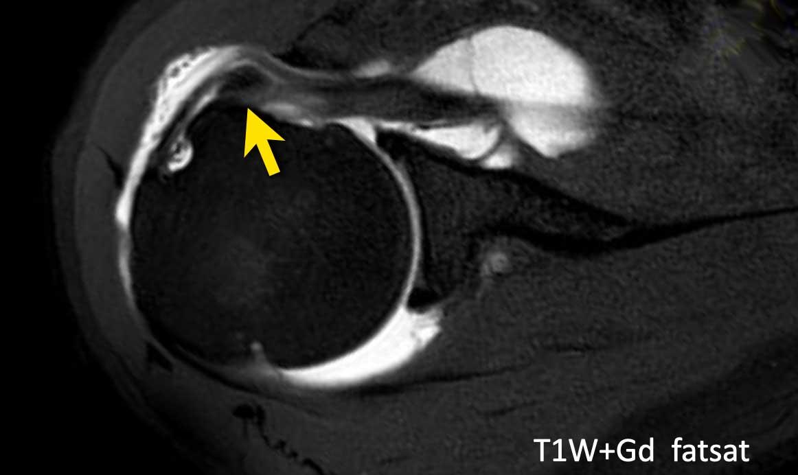
Biceps tendon dislocation
Gân đầu dài cơ nhị đầu (LHB) thường nằm ở trung tâm trong rãnh gian củ. Vị trí bất thường, lệch tâm hoặc di lệch của gân có thể cho thấy sự lỏng lẻo hoặc đứt của ròng rọc cơ nhị đầu.
Kết quả hình ảnh
Chụp cộng hưởng từ khớp với hình ảnh trục T1 có ức chế mỡ: Gân cơ nhị đầu bị di lệch về phía trong gân cơ dưới vai, như được chỉ ra bởi mũi tên.
Continue with ultrasound images…
Images
- Vị trí lệch tâm của đầu dài gân cơ nhị đầu do lỏng lẻo của ròng rọc cơ nhị đầu.
- Trật khớp gân cơ nhị đầu. Lưu ý rãnh nhị đầu trống (dấu hoa thị)
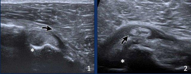
Rotator cuff tears
Rách một phần chiều dày
Rách một phần chiều dày chỉ liên quan đến một phần của gân và không liên quan đến toàn bộ chiều dày.
Tổn thương có thể nằm ở phía khớp hoặc phía túi hoạt dịch (hình).
Rách trong chất gân cũng là một dạng rách một phần chiều dày.
Rách toàn bộ chiều dày
Rách toàn bộ chiều dày có thể là rách hoàn toàn hoặc chỉ liên quan đến một phần của gân.
Đây được gọi là rách không hoàn toàn toàn bộ chiều dày và giống như một lỗ hổng trên gân (hình).
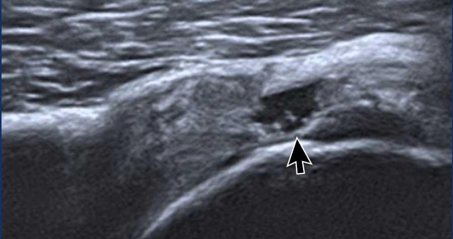
Full thickness tears
Hình ảnh này cho thấy rách hoàn toàn toàn bộ chiều dày gân cơ trên gai.
Có một ổ dịch giảm âm nhỏ.
Cả hai đầu gân đều tù và co rút (đầu mũi tên).
Đây là một ví dụ khác về rách toàn bộ chiều dày gân cơ trên gai.
Khoảng trống được lấp đầy bởi một ít dịch từ khớp ổ chảo-cánh tay (mũi tên)
Partial thickness tears
Here two examples of a partial tear on the articular side.
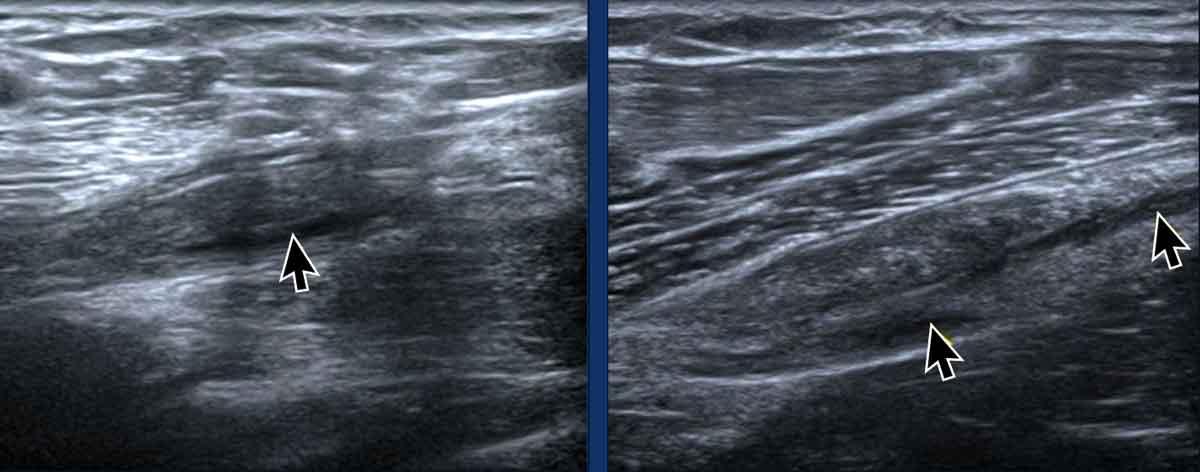
Intrasubstance tears
Rách nội chất là các vết rách một phần chiều dày không lan đến bề mặt khớp hoặc bề mặt túi hoạt dịch của gân.
Hình ảnh
Các hình ảnh minh họa hai ví dụ về rách nội chất nhỏ.
Impingement
Trong quá trình xoay trong, gân dưới vai bình thường sẽ gần như đi hoàn toàn bên dưới mỏm quạ.
Hội chứng chèn ép được nghi ngờ khi một phần gân vẫn còn nhìn thấy được trong quá trình xoay trong tối đa.
Hình ảnh
Trong quá trình xoay trong, có sự đi qua không hoàn toàn dưới mỏm quạ và sự gấp khúc của gân dưới vai.
Video of subscapular impingement.
Nhấp đúp vào video để xem toàn màn hình.
Lưu ý phạm vi chuyển động hạn chế.
Video này ghi lại hình ảnh của một bệnh nhân nữ 58 tuổi đang bị đau dữ dội và hạn chế vận động ở vai.
Ở tư thế xoay ngoài tối đa, một túi hoạt dịch dưới mỏm quạ lớn phồng lên trên gân dưới vai.
Nhấp đúp vào video để xem toàn màn hình.
Lưu ý phạm vi chuyển động hạn chế.
Tendinopathy
Thuật ngữ bệnh lý gân (tendinopathy) được sử dụng thay vì viêm gân (tendinitis) vì không có tình trạng viêm hoạt động, mà thay vào đó là một quá trình thoái hóa với sự thoái hóa nhầy (mucoid degeneration).
Gân thường dày lên và có thể xuất hiện các vùng giảm âm dạng sọc (hypoechoic striated areas).
Hình ảnh
Gân trên gai dày lên với cấu trúc echo không đồng nhất.
Viêm gân vôi hóa
Viêm gân vôi hóa xảy ra khi các cặn canxi tích tụ bên trong gân. Mặc dù tình trạng này có thể ảnh hưởng đến các gân trên khắp cơ thể, nhưng thường gặp nhất là ở các gân chóp xoay của vai. Các cặn canxi này có thể bị viêm, dẫn đến đau.
Imaging Findings:
- Dày đáng kể gân trên gai với các vôi hóa lớn tạo ra bóng âm phía sau rộng.
- Quan sát thấy một vôi hóa nhỏ trong gân cơ trên gai.
Bursitis
Khoang thanh mạc bình thường bị xẹp và
hầu như không thể phân biệt được bằng siêu âm (mũi tên).
Viêm túi thanh dịch cấp tính biểu hiện trên siêu âm là
sự giãn nở của túi thanh dịch (mũi tên vàng).
Viêm túi thanh dịch mạn tính có thể
thấy thành dày (mũi tên trắng).
AC pathology
Thoái hóa khớp
Chẩn đoán thoái hóa khớp cùng vai đòn có triệu chứng có thể gặp nhiều khó khăn, do các hình ảnh thoái hóa khớp trên X-quang và siêu âm thường gặp ở người trưởng thành và có mối tương quan kém với các triệu chứng lâm sàng.
Hình ảnh
Thoái hóa khớp cùng đòn với bất thường vỏ xương và phồng bao khớp.
Viêm khớp cùng đòn
Hình ảnh này của một nam vận động viên 19 tuổi bị chấn thương trong một trận đấu vật.
Không có dấu hiệu viêm khớp nhiễm khuẩn và anh được chẩn đoán viêm khớp sau chấn thương.
Tình trạng của anh cải thiện với thuốc kháng viêm và nghỉ ngơi.





























