Siêu âm tuyến vú
Bài viết này cung cấp kiến thức cơ bản về siêu âm vú.
Tuy nhiên, bài viết này cũng là một tài liệu giới thiệu hữu ích cho những ai đang thực hành chụp nhũ ảnh và MRI tuyến vú.
Các video trong phần giới thiệu bao quát hầu hết nội dung của bài viết.
Giới thiệu
Video 1
Trong video này chúng ta sẽ thảo luận về:
- Giải phẫu bình thường
- Chẩn đoán phân biệt khối tổn thương tuyến vú
- Mô tuyến vú dày đặc
- Nang
- U xơ tuyến vú
- Ung thư vú
Video 2
Trong video này chúng ta sẽ thảo luận về:
- Nhiều ví dụ điển hình về ung thư vú
- Ung thư trong nang
- Chẩn đoán phân biệt khối u lành tính và ác tính
- Kỹ thuật tạo ảnh hài hòa mô
- Chẩn đoán và điều trị áp xe vú
Siêu âm chủ yếu được sử dụng bổ sung cho nhũ ảnh và MRI.
Tuy nhiên, đây là công cụ chẩn đoán ban đầu xuất sắc để khảo sát tuyến vú ở phụ nữ có triệu chứng như sờ thấy khối hoặc đau khu trú tại vú.
Trong hầu hết các trường hợp, có thể xác định được liệu tổn thương là lành tính hay ung thư vú.
Trong một số trường hợp, chọc hút có thể giúp phân biệt nang phức tạp với tổn thương đặc, đồng thời chọc hút cũng được sử dụng để điều trị áp xe.
Siêu âm vú thường không được chỉ định để tầm soát ung thư vú. Nguyên nhân là do kỹ thuật này tốn nhiều thời gian và có thể bỏ sót một số dấu hiệu ung thư sớm như ung thư vú nhỏ không sờ thấy hoặc ung thư biểu mô ống tuyến tại chỗ, vốn chỉ biểu hiện bằng các vôi hóa nhỏ trên nhũ ảnh.
Tuy vậy, siêu âm là một công cụ cực kỳ nhanh chóng và hiệu quả.
Phương pháp này an toàn, chi phí thấp và có tính cơ động cao; các máy siêu âm cầm tay hiện đại chỉ bao gồm một đầu dò kết nối với điện thoại di động hoặc máy tính bảng.
Các hệ thống này cung cấp hình ảnh độ phân giải cao với giá chỉ hơn một nghìn đô la.
Chúng tôi kỳ vọng rằng ngày càng nhiều bác sĩ và nhân viên y tế sẽ ứng dụng siêu âm trong chăm sóc tuyến vú tại những nơi không có điều kiện tiếp cận hoặc chi trả cho các phương tiện khác như nhũ ảnh hay MRI.
Khả năng kết nối với điện thoại di động giúp dễ dàng lưu trữ hình ảnh hoặc chia sẻ để xin ý kiến tư vấn thêm.
Vú Bình Thường
Tuyến vú được cấu tạo bởi sự pha trộn giữa mô xơ tuyến và mô mỡ.
Mô tuyến không phân bố đồng đều trong vú.
Thông thường, mô tuyến tập trung nhiều hơn ở góc phần tư trên ngoài và tỏa ra từ phía sau núm vú ra ngoại vi.
Lượng mô tuyến đáp ứng với sự dao động nội tiết tố và thay đổi theo chu kỳ kinh nguyệt.
Lượng mô tuyến giảm dần theo tuổi tác.
Các ổ mô tuyến khu trú có thể biểu hiện như một khối u, do mô tuyến có độ chắc hơn so với mô mỡ xung quanh.
Ở phụ nữ trẻ, đây là nguyên nhân rất phổ biến gây ra các khối u thường kèm theo đau ở vú.
Khi đặt đầu dò lên vú, lớp đầu tiên quan sát được là da, bên dưới là sự pha trộn giữa mô tuyến và mô mỡ.
Lớp sâu nhất là thành ngực với cơ ngực, các xương sườn và các cơ gian sườn.
Phía sau hoặc sâu hơn so với xương sườn, không thể tạo hình ảnh do sóng âm bị hấp thụ, tạo ra một xảo ảnh gọi là bóng cản âm phía sau.
Điều này có nghĩa là không thể quan sát được cấu trúc phía sau xương sườn, và vùng phía sau xương sườn trên hình ảnh sẽ có màu đen.
Phổi bình thường chứa đầy không khí, cũng phản xạ sóng siêu âm.
Bờ trước của phổi tạo ra một đường tăng âm (hyperechoic) hay đường trắng di động theo nhịp thở bình thường (xem video bên dưới).
Sự phản xạ âm của các bóng khí trong phổi tạo ra cái mà chúng ta gọi là bóng cản bẩn (dirty shadow) (xem hình tiếp theo).
Hiện tượng này không rõ rệt như ở xương sườn.
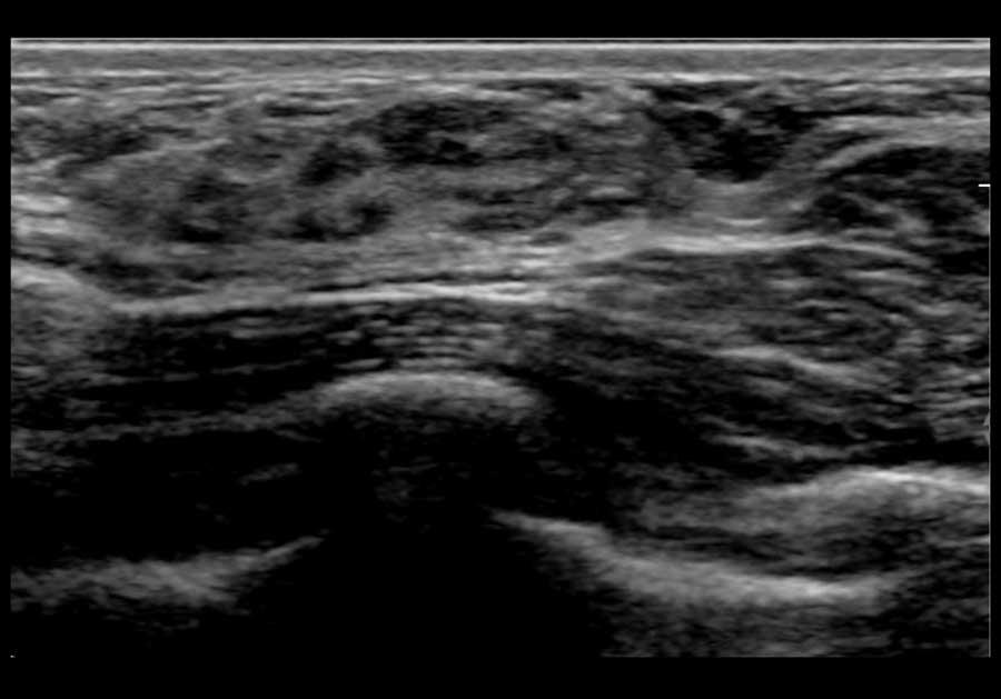
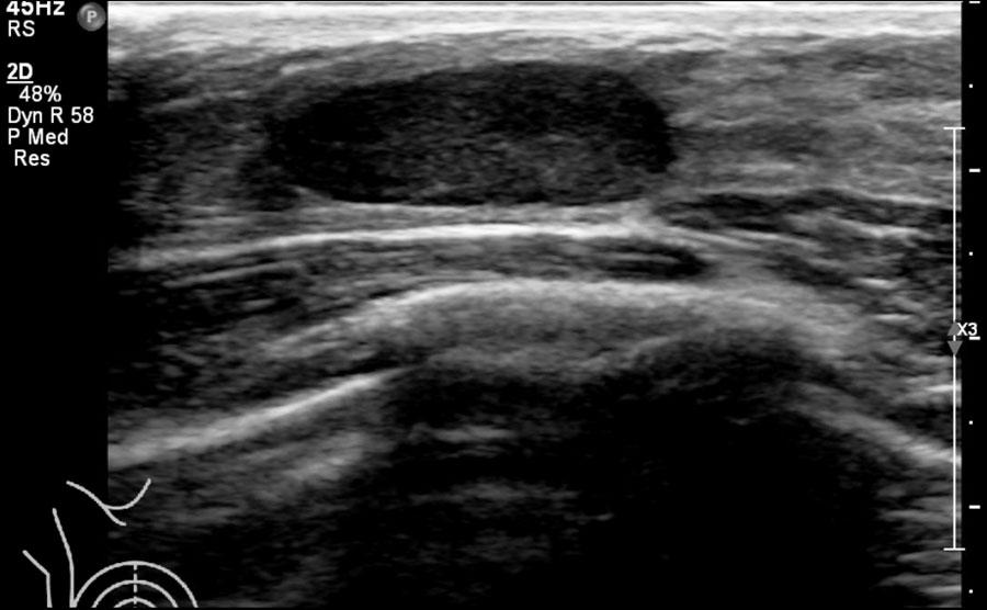
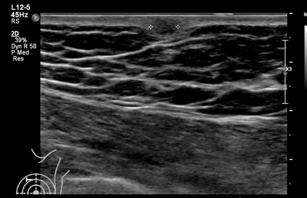
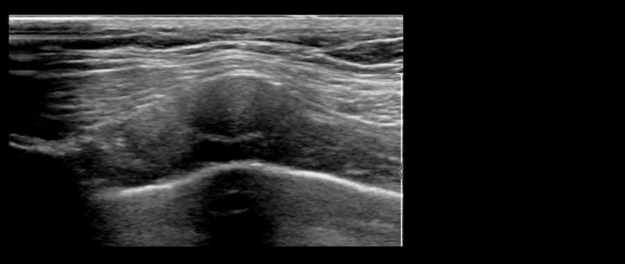
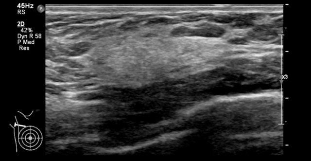
Đây là hình ảnh siêu âm bình thường của tuyến vú.
Lớp xám phía trên là da.
Tiếp theo là sự pha trộn giữa mô mỡ (tối hoặc giảm âm) và mô tuyến (xám sáng hoặc tăng âm).
Lớp có vân sọc phía sau mô vú là cơ ngực.
Phía sau hoặc sâu hơn so với xương sườn có một vùng đen hay bóng cản âm phía sau.
Phổi là lớp có thể quan sát sâu nhất.
Không khí trong phổi phản xạ hầu hết sóng âm, tạo ra một đường sáng hoặc tăng âm với bóng cản bẩn phía sau.
Video này trình bày giải phẫu vú bình thường.
Lưu ý sự di động của phổi trong quá trình thở.
Trong video này, có thể thấy một khối ung thư vú nằm trong mô tuyến.
Thành phần mô vú
Siêu âm cho phép xác định thành phần mô vú: mô xơ tuyến đồng nhất – mô không đồng nhất – hoặc mô mỡ đồng nhất (hình).
Lưu ý rằng hình ảnh nhũ ảnh và siêu âm rất tương đồng nhau.
Ở phụ nữ trẻ, vú chủ yếu chứa mô tuyến.
Mô tuyến này có thể rất phát triển trong thời kỳ mang thai và cho con bú, đồng thời có thể biến đổi theo chu kỳ ở phụ nữ tiền mãn kinh, khiến vú có cảm giác u cục hoặc đau.
Ở phụ nữ lớn tuổi, mô tuyến dần được thay thế bởi mô mỡ, mặc dù một số phụ nữ lớn tuổi vẫn có thể còn một lượng mô tuyến đáng kể.
Ở phụ nữ béo phì, lượng mỡ trong vú nhiều hơn ngay cả ở độ tuổi trẻ hơn.
Gần đường giữa, các xương sườn chỉ được cấu tạo bởi sụn và chưa bị vôi hóa.
Sụn không tạo ra phản âm trắng ở mặt trước hay bóng cản âm phía sau.
Thay vào đó, một cấu trúc giảm âm được quan sát thấy phía trước phổi.
Không nên nhầm lẫn cấu trúc này với khối u vú.
Thoạt nhìn, cấu trúc này có thể trông giống u xơ tuyến vú khi hình ảnh xương sườn được cắt trên mặt phẳng ngang.
Khi xoay đầu dò, sẽ nhận thấy đây là một cấu trúc dài liên tục với phần xương sườn đã vôi hóa.
Tổn thương nhỏ dưới da là một nang bì (dermoid cyst), sẽ được thảo luận ở phần sau.
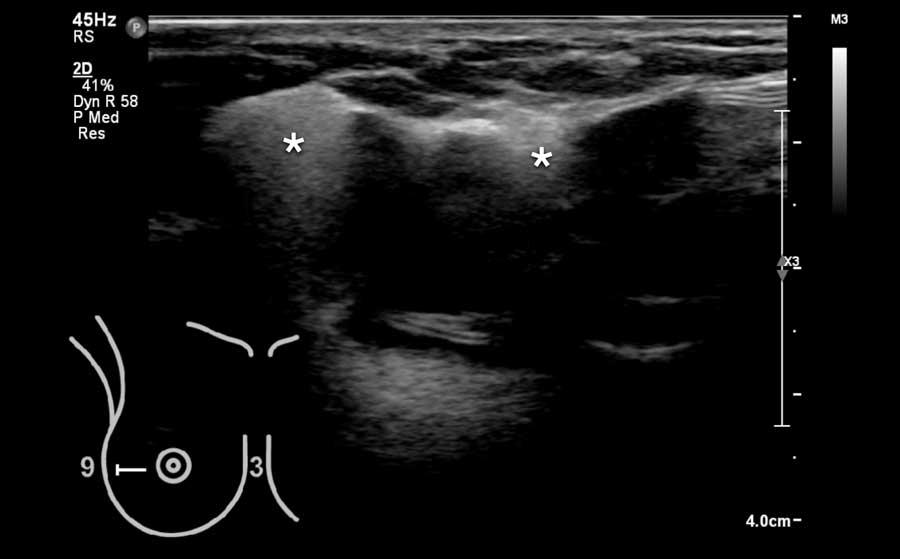
Trong cùng một tuyến vú có thể tồn tại các vùng có nhiều mô mỡ xen kẽ với các vùng chủ yếu là mô xơ tuyến, như có thể thấy trên video.
Khi quan sát đường bờ của mô tuyến (mũi tên), có thể hình dung rằng khi sờ nắn sẽ cảm thấy gồ ghề và đôi khi tạo cảm giác như có một khối u khi mô tuyến rất phát triển.
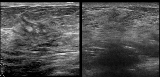
Hình ảnh vú trên siêu âm có thể khác nhau tùy theo máy của các nhà sản xuất khác nhau.
Điều này có nghĩa là cần làm quen với hình ảnh trên máy siêu âm của chính mình.
Các hình ảnh được chụp từ máy siêu âm Philips (trái) và Siemens (phải).
Hãy chú ý sự khác biệt trong cách hiển thị lớp da chẳng hạn.
Hình ảnh siêu âm – tổng quan
Các bất thường phổ biến nhất ở tuyến vú, thường biểu hiện dưới dạng một khối ở vú, bao gồm: nang, u xơ tuyến vú, ung thư vú và mô tuyến có thể sờ thấy.
Bảng dưới đây liệt kê các hình ảnh siêu âm điển hình (nhấp để phóng to).
Chúng tôi sẽ thảo luận chi tiết từng đặc điểm này trong phần tiếp theo.
Nang có thể gặp ở mọi lứa tuổi.
U xơ tuyến vú là các khối u lành tính, thường gặp ở phụ nữ trẻ (đặc biệt trong độ tuổi 15-25) và hiếm khi xuất hiện như một phát hiện mới ở phụ nữ trên 50 tuổi.
Ung thư vú chủ yếu gặp ở phụ nữ trên 50 tuổi và ít phổ biến hơn ở phụ nữ trẻ.
Mô tuyến có thể sờ thấy thường gặp ở phụ nữ trẻ, trong thai kỳ và thời kỳ cho con bú.
Tình trạng này thường thay đổi theo chu kỳ kinh nguyệt.
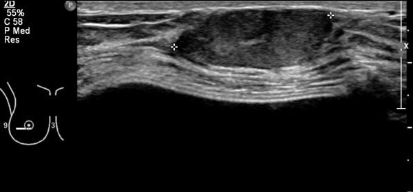
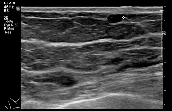
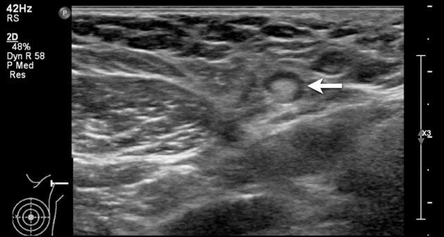
Nang
Nang là loại khối u lành tính phổ biến nhất ở vú.
Đây là các túi chứa dịch nằm bên trong tuyến vú và luôn luôn có bản chất lành tính.
Việc xác định bản chất dạng nang của một khối u có thể sờ thấy là vô cùng quan trọng, vì khi đó bác sĩ có thể hoàn toàn yên tâm trấn an bệnh nhân rằng mọi thứ đều ổn.
Trên siêu âm, các đặc điểm điển hình của nang bao gồm:
- Hình ảnh trống âm (hay còn gọi là vùng đen)
- Hình dạng tròn hoặc bầu dục
- Bờ rõ nét, giới hạn rõ ràng
- Tăng âm phía sau
Phía sau nang thường có hiện tượng tăng âm, còn gọi là tăng âm phía sau, đề cập đến sự gia tăng các tín hiệu âm ở phía sâu sau nang, do dịch lỏng truyền âm rất tốt.
Khi dịch trong nang chịu áp lực căng, nang trở nên tròn hơn và có thể sờ thấy được.
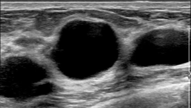
Đây là một ví dụ điển hình về nhiều nang ở một phụ nữ có khối u sờ thấy được ở vú.
Mặc dù có nhiều nang, nhưng chỉ có nang ở trung tâm mới sờ thấy được, vì nang này có hình tròn với dịch chịu áp lực căng bên trong.
Các nang còn lại không sờ thấy được, vì chúng có cảm giác tương tự như mô vú bình thường xung quanh.
Việc phát hiện thêm nhiều nang ở một phụ nữ đến khám vì có nang sờ thấy được là điều rất thường gặp.
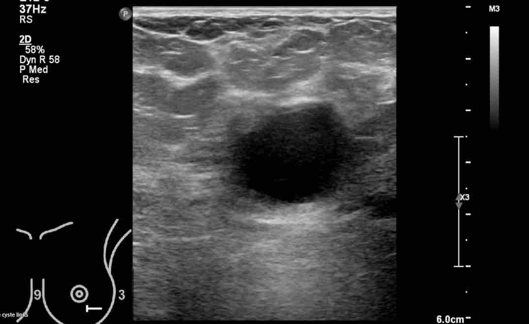
Người phụ nữ này có nhiều nang nhỏ ở cả hai vú.
Các nang này không sờ thấy được.
Đây là video về một nang có thể sờ thấy được.
Trong trường hợp này, nang gây đau và được quyết định thực hiện chọc hút dịch.
Lưu ý rằng thành nang hơi dày.
Đây thường là dấu hiệu của nhiễm trùng độ thấp và giải thích tại sao nang gây đau.
Các nang không biến chứng thường không gây đau.
Đây là một nang nhiễm trùng khác, đã được chọc hút.
Chọc hút là một thủ thuật nhanh chóng và đơn giản.
Trong hầu hết các trường hợp, dịch hút ra có màu vàng trong suốt, nhưng cũng có thể có màu xanh lá hoặc nâu.
Không cần thiết phải xét nghiệm dịch hút ra.
Nang phức tạp
Hầu hết các nang có hình ảnh điển hình như đã trình bày ở trên.
Nang phức tạp có hình ảnh không điển hình:
- Nội dung giảm âm – nội dung của nang có thể trở nên giàu protein và đặc quánh hơn do nhiễm trùng hoặc chảy máu bên trong. Kết quả là hình ảnh âm có thể trở nên giảm âm thay vì hình ảnh trống âm bình thường.
Thông thường, các nang phức tạp này vẫn còn tăng âm phía sau, điều này chứng minh bản chất dạng nang của tổn thương. - Thành dày – thường do nhiễm trùng. Đôi khi thành nang có thể trở nên không đều và khi đó có thể khó phân biệt các nang này với ung thư, đặc biệt khi nội dung đã trở nên giảm âm.
Nang phức tạp với nội dung giảm âm thường chứa các tín hiệu âm mức độ thấp, di chuyển khi bệnh nhân thay đổi tư thế.
Khi vẫn còn nghi ngờ liệu tổn thương là nang hay khối u đặc, thì chọc hút dịch có thể giải quyết vấn đề này.
Hình ảnh cho thấy một tổn thương trống âm, có thể hơi giảm âm với thành hơi không đều và dày.
Tuy nhiên, vẫn có tăng âm phía sau, khiến chúng tôi nghĩ rằng đây có thể là một nang.
Chọc hút đã được thực hiện và nang được hút hoàn toàn, đây là bằng chứng cuối cùng xác nhận chẩn đoán.
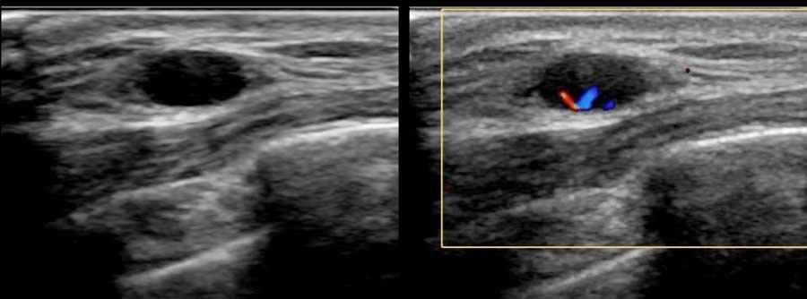
Khối u trong nang
Đôi khi một phần của nang không có hình ảnh trống âm mà lại giảm âm hoặc tăng âm.
Điều này có thể là kết quả của mủ hoặc các mảnh vụn, nhưng cũng có thể là một khối u trong nang như trong các hình ảnh này.
Khối u trong nang là hiếm gặp.
Khi thấy có mạch máu trên siêu âm Doppler màu thì đó là khối u trong nang, có thể lành tính hoặc ác tính.
Đây là một khối u có thành phần dạng nang chứ không phải là một nang đơn thuần.
Trong trường hợp không có dòng chảy trên siêu âm Doppler màu và không có tín hiệu âm mức độ thấp di chuyển khi thay đổi tư thế bệnh nhân, cần thực hiện chọc hút để phân biệt giữa nang phức tạp và khối đặc.
Mủ và các mảnh vụn có thể được hút ra, khác với khối u.
Trong trường hợp này, sinh thiết xác nhận là ung thư biểu mô trong nang.
Đây là một trường hợp ung thư vú khác có thành phần dạng nang.
Lưu ý thành phần đặc lớn với dòng chảy trên hình ảnh Doppler.
U xơ tuyến vú (Fibroadenoma)
U xơ tuyến vú là các khối u lành tính, thường gặp ở phụ nữ trẻ, đặc biệt trong độ tuổi 15-25 và hiếm gặp ở phụ nữ trên 50 tuổi.
Các đặc điểm siêu âm điển hình bao gồm:
- Giảm âm
- Hình bầu dục – đôi khi tròn hoặc có 2-3 múi.
- Bờ rõ nét (còn gọi là bờ viền rõ)
- Định hướng song song với da (chiều rộng lớn hơn chiều cao)
- Đôi khi có thể phát hiện dòng chảy máu trong các mạch nhỏ bằng Doppler màu
- Tăng âm phía sau ở mức độ thay đổi
Đây là một trường hợp u xơ tuyến vú điển hình khác.
Lưu ý rằng bờ tổn thương có dạng múi nhẹ.
Người phụ nữ này có túi độn ngực, được thấy dưới dạng các cấu trúc chứa dịch.
Các túi độn được đặt phía sau cơ ngực lớn.
Cuộn hình ảnh để xem chú thích.
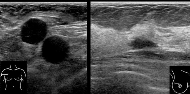
Dưới đây là một số ví dụ về u xơ tuyến vú.
Các tổn thương số 1-4 thuộc cùng một bệnh nhân.
Đây là một phát hiện thường gặp.
Khi phát hiện một u xơ tuyến vú, thường có thể tìm thấy thêm nhiều tổn thương khác.
Tổn thương số 6 được sinh thiết do tuổi của bệnh nhân và kết quả cho thấy là u xơ tuyến vú.
Tổn thương số 7 được sinh thiết vì có hình dạng không đều và hình ảnh gợi ý ung thư biểu mô.
Kết quả cũng cho thấy đây là u xơ tuyến vú.
U xơ tuyến vú đôi khi có vôi hóa, nhưng các vôi hóa này có kích thước lớn hơn so với các vôi hóa nhỏ thường gặp trong ung thư biểu mô.
Vi vôi hóa như thấy trong ung thư biểu mô ống tại chỗ (DCIS) – vốn có thể là tổn thương tiền ung thư – thường không quan sát được trên siêu âm.
Trong việc phát hiện DCIS, chụp nhũ ảnh (mammography) có nhiều ưu thế hơn.
Ung thư vú
Ung thư vú là khối u ác tính phổ biến nhất ở phụ nữ.
Nguy cơ mắc ung thư vú ở phụ nữ tăng dần theo độ tuổi.
Hầu hết phụ nữ được chẩn đoán ung thư vú đều trên 50 tuổi, tuy nhiên phụ nữ trẻ tuổi hơn cũng có thể mắc bệnh này.
Các triệu chứng lâm sàng đầu tiên có thể nhận thấy bao gồm:
- Khối u hoặc vùng mô vú dày lên
- Co rút núm vú
- Lõm da vùng vú do khối u bên dưới co kéo
Dưới đây là một số ví dụ về ung thư vú.
Các đặc điểm chính bao gồm:
- Khối giảm âm
- Hình dạng thường không đều – đôi khi tròn hoặc bầu dục với hướng không song song với da
- Bờ không rõ, đôi khi có quầng sáng (halo)
- Có thể có bóng cản phía sau và các vôi hóa nhỏ
Chúng ta sẽ thảo luận chi tiết hơn về các dấu hiệu siêu âm trong ung thư vú.
Đây là hình ảnh của một phụ nữ 50 tuổi tự sờ thấy khối u ở vú.
Hãy mô tả các dấu hiệu siêu âm, sau đó tiếp tục đọc.
Các dấu hiệu siêu âm bao gồm:
- Khối giảm âm với hình dạng không đều
- Bờ không rõ ràng, vừa có góc cạnh vừa mờ nhạt
- Các chấm tăng âm nhỏ, tương ứng với các vôi hóa
- Không có bóng cản phía sau hoặc tăng âm phía sau
Các vôi hóa này cũng được quan sát thấy trên hình ảnh nhũ ảnh.
Vùng trắng trên nhũ ảnh chính là khối u.
Tiếp tục xem video.
Nhấp vào hình ảnh để bắt đầu video.
Nhấp lại vào hình ảnh để dừng video.
Quầng tăng âm (Hyperechoic halo)
Một dấu hiệu thường gặp trong ung thư vú là quầng tăng âm bao quanh khối giảm âm.
Quầng này là một phần của khối u và cần được tính vào kích thước đo của khối u.
Chế độ hài âm (Harmonics)
Tạo ảnh hài âm là một kỹ thuật siêu âm khai thác đặc tính cộng hưởng của mô.
Kỹ thuật này còn được gọi là tạo ảnh hài âm mô (tissue harmonic imaging – THI).
Nếu máy siêu âm của bạn có tính năng này, bạn sẽ nhận thấy rằng hình ảnh thu được với chế độ hài âm có độ phân giải cao hơn và ít xảo ảnh hơn so với siêu âm thông thường.
Bóng cản phía sau có thể được tăng cường rõ hơn.
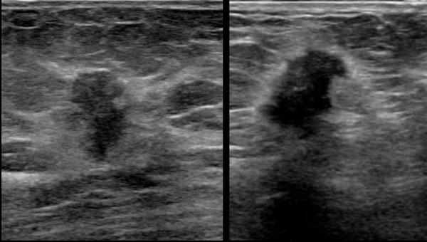
Lưu ý rằng khối ung thư vú nhỏ này được quan sát rõ hơn khi sử dụng chế độ hài âm.
Có một khối giảm âm với quầng tăng âm xung quanh và bóng cản nhẹ phía sau. Hướng của khối u là thẳng đứng.
Bờ khối không rõ và hình dạng khối u không đều.
Đây là một trường hợp khó và không điển hình.
Khi nhìn vào hình ảnh bên trái, gần như không thể nhận ra khối u.
Hình ảnh trông gần giống như mô tuyến bình thường.
Tuy nhiên, trên lâm sàng sờ thấy một khối u, và khi quan sát hình ảnh với chế độ hài âm được bật, chúng ta có thể thấy bóng cản phía sau.
Trường hợp này được xác định là ung thư vú.
Nếu máy siêu âm của bạn có chế độ hài âm, tốt nhất nên quan sát cả hai chế độ có và không có hài âm trong những trường hợp không rõ ràng ngay từ đầu.
Các ví dụ về ung thư vú
Cuộn qua mười một ví dụ về ung thư vú đã được xác nhận bằng sinh thiết.
Video minh họa các trường hợp ung thư vú
Nhấp vào hình ảnh để bắt đầu video.
Nhấp lại vào hình ảnh để dừng video.
Video bao gồm 3 ví dụ về ung thư vú.
Lưu ý rằng video cuối cùng là của một phụ nữ 21 tuổi mắc ung thư vú.
Đây là trường hợp không phổ biến, nhưng đáng tiếc là ung thư vú đôi khi vẫn gặp ở phụ nữ trẻ tuổi.
Ung thư vú so với U xơ tuyến vú
Đôi khi ung thư vú có thể có hình ảnh tương tự u xơ tuyến vú và ngược lại, u xơ tuyến vú cũng có thể có hình ảnh siêu âm giống ung thư.
Bảng dưới đây liệt kê các điểm khác biệt về hình ảnh siêu âm giữa hai loại tổn thương này.
Tuổi của bệnh nhân cũng là một yếu tố quan trọng cần xem xét, vì u xơ tuyến vú thường gặp ở phụ nữ trẻ, đặc biệt trong độ tuổi 15-25 và hiếm gặp ở phụ nữ trên 50 tuổi, trong khi ung thư vú được chẩn đoán phổ biến nhất ở phụ nữ trên 50 tuổi và ít gặp hơn ở phụ nữ trẻ.
Trong một số trường hợp, không thể phân biệt được hai loại tổn thương này chỉ dựa vào hình ảnh siêu âm đơn thuần và cần phải sinh thiết để có chẩn đoán xác định.
Hãy cuộn qua các hình ảnh này.
Các điểm khác biệt giữa u xơ tuyến vú và ung thư biểu mô được tóm tắt trong đây.
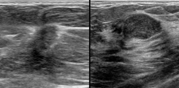
Đây là hai tổn thương hình bầu dục giảm âm.
Thoạt nhìn, chúng trông không khác nhau nhiều.
Hãy quan sát kỹ các hình ảnh và xác định những điểm khác biệt.
Tổn thương bên trái là ung thư biểu mô.
- Hình dạng bất thường
- Bờ góc cạnh và không rõ nét
- Quầng tăng âm xung quanh
- Hướng của tổn thương nghiêng về chiều dọc, không song song với da, tức là chiều cao lớn hơn chiều rộng
- Bóng cản âm phía sau
Tổn thương bên phải là u xơ tuyến vú.
- Hình bầu dục với múi nhẹ
- Bờ rõ nét
- Hướng nằm ngang, song song với da
- Tăng âm phía sau
Tuổi tác
Tuổi của bệnh nhân nữ giúp ích như thế nào trong việc phân biệt u xơ tuyến vú và ung thư vú?
Trong hầu hết các trường hợp, yếu tố tuổi tác giúp củng cố chẩn đoán hình ảnh của chúng ta.
Mặt khác, khi phát hiện một khối ở vú của phụ nữ trẻ không đáp ứng đầy đủ tất cả các tiêu chí của u xơ tuyến vú điển hình, chúng ta nên tiến hành sinh thiết để loại trừ ung thư biểu mô.
Ví dụ, khi tổn thương có bờ không rõ nét hoặc chiều cao lớn hơn chiều rộng.
Điều tương tự cũng áp dụng cho một khối mới xuất hiện có hình ảnh giống u xơ tuyến vú ở phụ nữ lớn tuổi.
Hình ảnh cho thấy một tổn thương mà thoạt nhìn có vẻ giống u xơ tuyến vú.
Tuy nhiên, có hai điểm không phù hợp.
Thứ nhất, tuổi của bệnh nhân là 49 tuổi và thứ hai, bờ phía sau của tổn thương có một số chỗ không đều.
Sinh thiết đã được thực hiện và khối này được xác định là ung thư.
Mô tuyến sờ thấy được
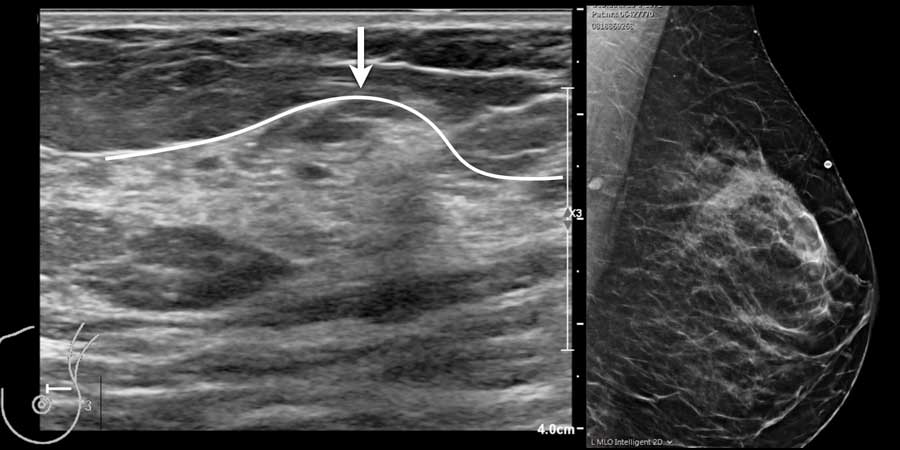
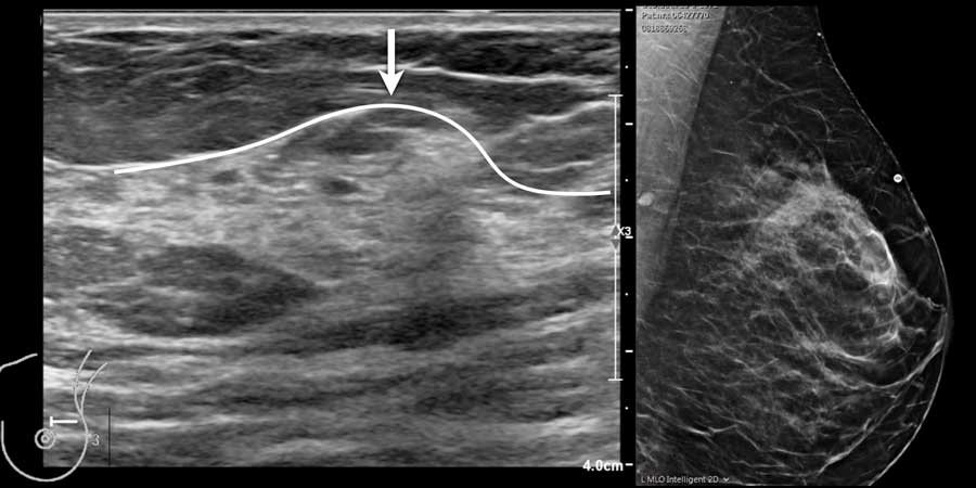
Mô xơ tuyến không phân bố đều trong vú và thường tập trung nhiều hơn ở góc phần tư trên ngoài.
Đôi khi sự phì đại khu trú của mô tuyến có thể rất rõ rệt, tạo thành một khối u mà khi sờ nắn không thể phân biệt được với khối u thực sự.
Hình ảnh siêu âm cho thấy một vùng tập trung mô tuyến nằm trong nền mô mỡ của vú.
Do mô tuyến có độ chắc hơn mô mỡ, vùng này sẽ có cảm giác như một khối khi sờ nắn.
Chụp nhũ ảnh được thực hiện với đánh dấu vị trí khối sờ thấy và cũng cho thấy hình ảnh tập trung khu trú của mô tuyến bình thường.
Video ghi lại trường hợp một phụ nữ tự phát hiện khối u ở vú.
Trên siêu âm, phát hiện mô tuyến phát triển rõ rệt.
Do mô tuyến có độ chắc hơn mô mỡ xung quanh, có thể hình dung rằng khi trượt ngón tay trên bề mặt da, vùng này sẽ có cảm giác như một chỗ gồ lên.
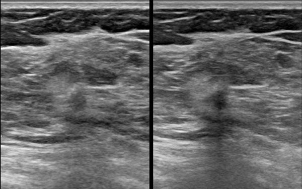
Mô xơ tuyến đôi khi phát triển rất dày đặc đến mức chùm tia siêu âm khó có thể xuyên qua được.
Điều này có thể tạo ra hình ảnh giả của một khối giảm âm bờ không đều kèm bóng cản phía sau, dễ nhầm lẫn với ung thư biểu mô (xem video).
Tuy nhiên, khi thực hiện động tác ép nhẹ lên vùng mô này, có thể thấy đây chỉ là mô xơ tuyến tăng âm phát triển rõ rệt.
Thông thường, đây là những bệnh nhân trẻ tuổi đến khám vì khối lớn, đau ở vú.
Áp-xe
Áp-xe vú là tình trạng tích tụ mủ gây đau trong tuyến vú do nhiễm khuẩn.
Bệnh chủ yếu ảnh hưởng đến phụ nữ đang cho con bú như một biến chứng của viêm vú và ít gặp hơn ở phụ nữ không cho con bú.
Bệnh nhân thường đến khám với triệu chứng khối đau, da vùng tổn thương có thể đỏ và dày lên.
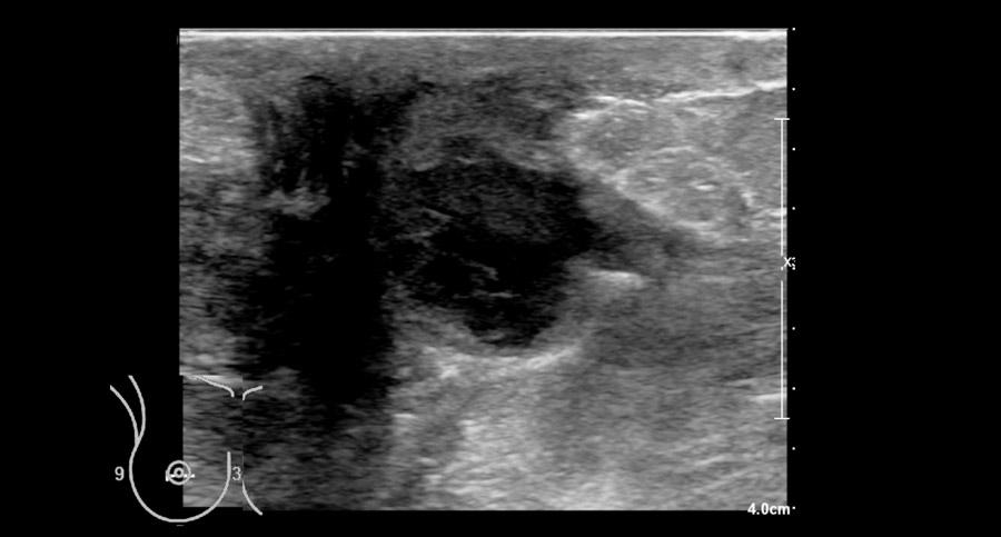
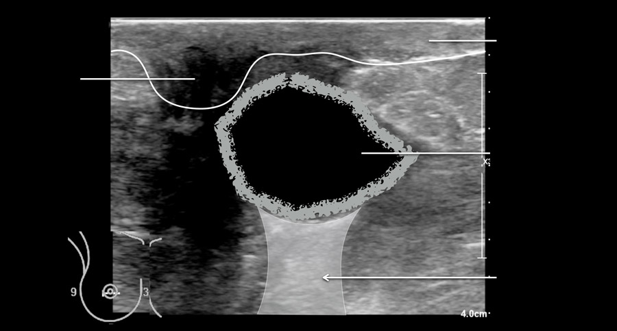
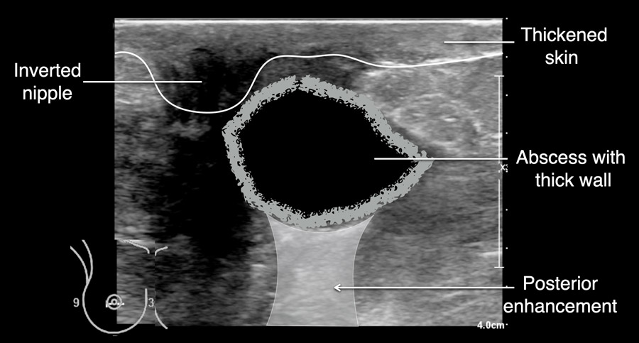
Hình ảnh siêu âm của một phụ nữ đến khám với triệu chứng sốt và khối đau ở vú phía sau núm vú bị thụt vào.
Trong quá trình ép và thả nhẹ bằng đầu dò, có thể quan sát thấy dịch trong ổ áp-xe di chuyển.
Cũng cần lưu ý hiện tượng tăng âm phía sau (posterior enhancement) — đây là dấu hiệu cho thấy cấu trúc này chứa dịch.
Tiếp tục xem hình ảnh tiếp theo…
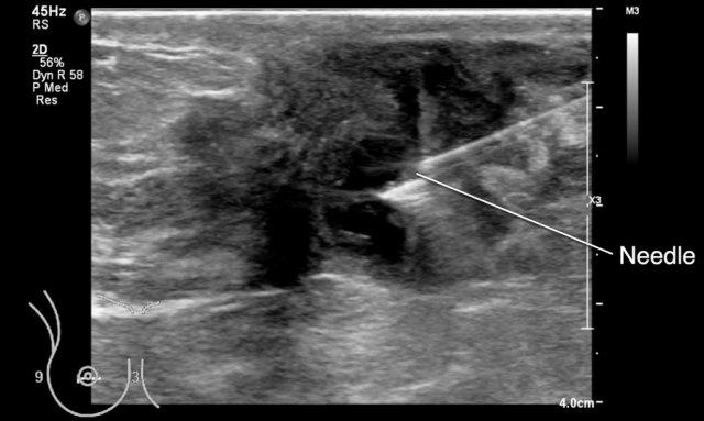
Sau đó, ổ áp-xe được tiến hành chọc hút.
Chọc hút là phương pháp điều trị ưu tiên hàng đầu đối với áp-xe.
Trong trường hợp này không cần phẫu thuật hay kháng sinh, mặc dù đôi khi kháng sinh cũng được chỉ định kết hợp.
Đây là một ổ áp-xe khác nằm phía sau núm vú, đã được chọc hút.
Đây có thể là một thủ thuật gây đau cho bệnh nhân.
Tốt nhất nên tiêm thuốc gây tê tại chỗ vào da và tổ chức dưới da, sau đó cố gắng dẫn lưu mủ qua chính kim đó.
Nếu mủ quá đặc, cần sử dụng kim có kích thước lớn hơn.
Cần dành đủ thời gian để thuốc tê phát huy tác dụng.
Da và mô dưới da
Các bất thường xuất phát từ da hoặc mô dưới da có thể biểu hiện như một khối u ở vú, nhưng chúng không phải là bất thường của tuyến vú.
Khi xác định được tổn thương có nguồn gốc từ da hoặc mô dưới da, có thể khẳng định đây không phải là khối u vú.
Các hình ảnh siêu âm cho thấy tổn thương nằm trong lớp da chứ không nằm trong nhu mô vú.
Hầu hết các tổn thương này là nang bì (dermoid cyst).
Cần cố gắng tìm đường thông với da, mặc dù điều này không phải lúc nào cũng quan sát được.
Bệnh nhân nữ này đến khám với triệu chứng đau và có khối u ở vú, kèm theo da vùng tương ứng bị đỏ.
Đây là một tổn thương trong da khác.
Lưu ý da bị dày lên.
Nhiều khả năng đây là nang bì có viêm.
Tổn thương đã tự lành mà không cần điều trị.
Đây là một trường hợp nang bì khác.
Tổn thương nằm trong mô dưới da và có đường thông với da.
Đây không phải là khối u vú.
Cuộn qua để xem thêm các tổn thương lành tính có nguồn gốc từ da hoặc mô dưới da.
U mỡ (Lipoma)
U mỡ không phổ biến ở vú, nhưng khi xuất hiện, chúng có hình ảnh tương tự như u mỡ ở bất kỳ vị trí nào khác trên cơ thể.
Chúng có âm vang đồng hoặc tăng âm so với mô mỡ xung quanh.
U mỡ luôn luôn là lành tính.
Đôi khi u mỡ không thể phân biệt được với hoại tử mỡ, vấn đề này sẽ được thảo luận tiếp theo.
Hoại tử mỡ (Fat necrosis)
Hoại tử mỡ là một thực thể lành tính, thường biểu hiện là một khối nhỏ có thể sờ thấy, nằm nông trong tuyến vú.
Người ta cho rằng hoại tử mỡ là hậu quả của chấn thương, mặc dù bệnh nhân thường không nhớ rõ một sự kiện chấn thương cụ thể nào.
Do chấn thương, mô mỡ trải qua các biến đổi khiến nó trở nên cứng hơn và đôi khi đau khi sờ nắn.
Trên siêu âm, tổn thương thường biểu hiện là một vùng mô mỡ hơi phù nề và tăng âm so với mô mỡ xung quanh.
Do đó có sự tương đồng với u mỡ.
Thành phần bên trong có thể hóa lỏng và tạo thành nang dầu (oil cyst), trên siêu âm có hình ảnh tương tự như các nang thông thường khác.
U mỡ thường mềm hơn và không đau khi sờ nắn.
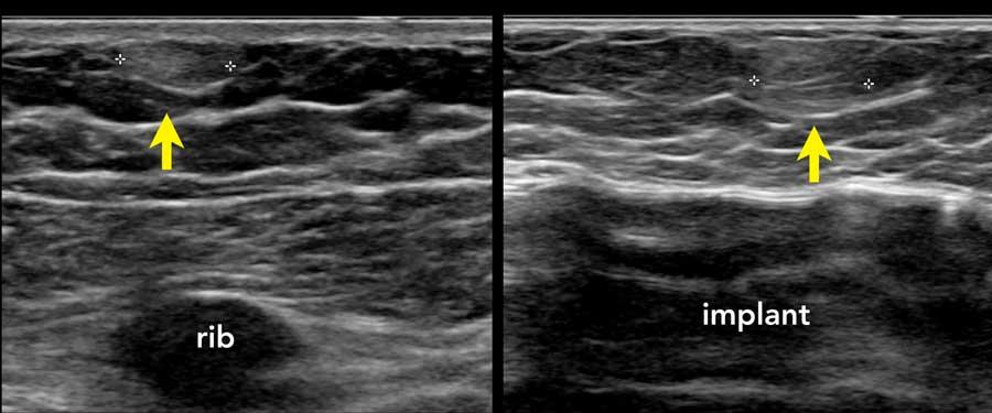
Xương sườn
Một xương sườn nhô ra có thể tạo thành một khối cứng lồi lên, dễ nhầm lẫn với khối u vú.
Bệnh nhân này than phiền về một khối cứng đau trong vú.
Trên siêu âm, ghi nhận hình ảnh khớp sụn-xương sườn nhô ra.
Đây là vị trí tiếp nối giữa phần xương đã vôi hóa của xương sườn và phần sụn.
Các vôi hóa thường có thể được quan sát thấy trong phần sụn, như trong trường hợp này.
Video này minh họa hình ảnh sụn xương sườn bình thường.
Bằng cách xoay đầu dò, có thể thấy xương sườn là một cấu trúc chạy dọc, nằm phía trước phổi và phía sau cơ ngực.
Hố Nách
Các hạch bạch huyết vùng nách bình thường thường có kích thước nhỏ, hình bầu dục, giảm âm với trung tâm tăng âm.
Trung tâm tăng âm chủ yếu được cấu thành bởi mô mỡ và chứa các mạch máu.
Vỏ giảm âm bao quanh chính là mô bạch huyết thực sự.
Đôi khi một hạch bạch huyết chỉ biểu hiện là một tổn thương giảm âm hình bầu dục mà không có trung tâm tăng âm rõ ràng.
Khi quan sát thấy các mạch máu ở rốn hạch như trong trường hợp này, thì chắc chắn đây là một hạch bạch huyết.
Thực tế, hạch bạch huyết này nằm trong nhu mô vú, tức là hạch bạch huyết trong tuyến vú (intramammary lymph node), đây là một phát hiện lành tính.
Hạch bạch huyết to
Hạch bạch huyết to vùng nách có thể là hậu quả của di căn theo đường bạch huyết từ ung thư vú.
Các hình ảnh này thuộc về một phụ nữ 50 tuổi đến khám vì sờ thấy các khối ở vùng nách, tương ứng với các hạch bạch huyết to, hình tròn, giảm âm.
Tiếp theo đó, siêu âm tuyến vú được thực hiện và phát hiện một tổn thương ung thư nhỏ, giảm âm, bờ không đều, không sờ thấy được trên lâm sàng.
Mô tuyến lạc chỗ vùng nách
Một số phụ nữ có mô tuyến vú xơ-tuyến (fibroglandular) ở vùng nách.
Mô này hoạt động giống hệt như mô tuyến trong vú và có thể trở nên căng tức hoặc đau vào một thời điểm nhất định trong chu kỳ kinh nguyệt.
Hình ảnh siêu âm này thuộc về một phụ nữ trẻ đến khám vì cảm thấy sưng đau ở vùng nách.
Hình ảnh cho thấy mô tuyến bình thường ở một vị trí bất thường.
Túi độn ngực
Hầu hết các túi độn ngực là túi giả được bơm đầy silicon.
Trên siêu âm, chúng có hình ảnh tương tự một nang lớn.
Túi độn thường được đặt ở phía sau mô tuyến vú hoặc phía sau cơ ngực lớn.
Túi độn chứa silicon hoặc nước muối sinh lý đều có hình ảnh vô âm (xuyên âm).
Ở hầu hết bệnh nhân, túi độn ngực có hình dạng đều đặn với bờ viền có múi.
Đôi khi sự phân múi này có thể tạo cảm giác như có một khối u trong vú (hình minh họa).
Rò rỉ silicon
Khi silicon rò rỉ ra ngoài túi độn, nó sẽ tạo ra bóng lưng tăng âm hay còn gọi là bóng lưng bẩn, tương tự như hình ảnh chúng ta thấy ở phổi do không khí trong phổi gây ra.
Hình ảnh cho thấy sự rò rỉ silicon ở phía trước túi độn.
Tiêm silicon tự do vào vú là một phương pháp nâng ngực thay thế cho túi độn ngực.
Phương pháp này có nhiều tác dụng phụ nghiêm trọng và đã bị cấm ở nhiều quốc gia.
Toàn bộ hình ảnh trông bị mờ nhòe.
Đây được gọi là hình ảnh “bão tuyết” (snow storm appearance).
Hình ảnh tương tự cũng sẽ xuất hiện trong trường hợp rò rỉ silicon ồ ạt.
Hình ảnh một u xơ tuyến vú (fibroadenoma) nằm ở phía trước túi độn silicon.
Siêu âm ở Nam giới
Vú to ở nam giới (Gynecomastia)
Vú to ở nam giới là rối loạn tuyến vú phổ biến nhất ở nam giới, thường biểu hiện bằng một khối có thể sờ thấy hoặc cảm giác đau tức vùng vú.
Về lâm sàng, vú to ở nam giới biểu hiện là một khối mềm, di động, đau, nằm dưới quầng vú.
Bất kỳ khối nào không nằm dưới quầng vú đều không phải là vú to ở nam giới.
Trên siêu âm, bất thường cần được xác định ngay phía sau núm vú.
Ung thư vú ở nam giới có hình ảnh tương tự như ung thư vú ở nữ giới.
Các hình ảnh này là của bệnh nhân nam 70 tuổi đến khám vì sưng đau phía sau núm vú phải.
Lưu ý rằng có một ít mô tuyến xơ ở bên phải, trong khi bên trái chỉ có mô mỡ dưới da.
Trẻ sơ sinh, trẻ em trai trong giai đoạn dậy thì và nam giới lớn tuổi có thể phát triển vú to do những thay đổi bình thường trong nồng độ hormone.
Một nguyên nhân phổ biến gây vú to ở nam giới là việc sử dụng steroid đồng hóa — loại thuốc được các vận động viên dùng để tăng cơ bắp và nâng cao thành tích.
Bệnh nhân này có sử dụng steroid và biểu hiện vú to cả hai bên.
Đôi khi vú to ở nam giới có thể tạo ra hình ảnh giả ung thư biểu mô, như trong các hình ảnh ở đây, nhưng may mắn thay, tổn thương xuất hiện ở cả hai bên và có tiền sử sử dụng steroid.
Chẩn đoán vú to ở nam giới thường dễ dàng hơn khi thực hiện trên nhũ ảnh (mammogram).
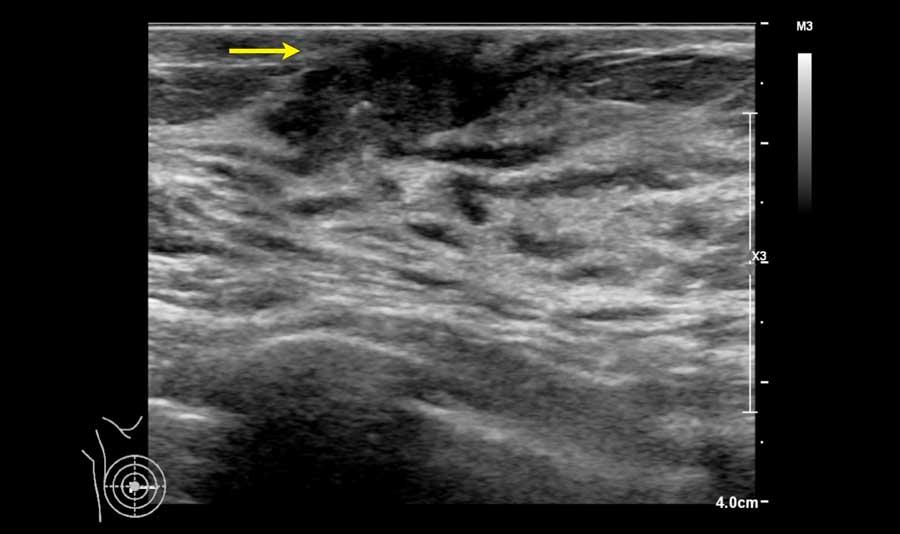
Vùng núm vú
Vùng núm vú có thể khó khảo sát.
Trong hầu hết các trường hợp, chỉ thấy hình ảnh dày da nhẹ và phía sau núm vú có một số ống tuyến giãn.
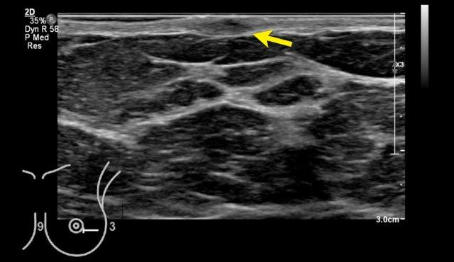
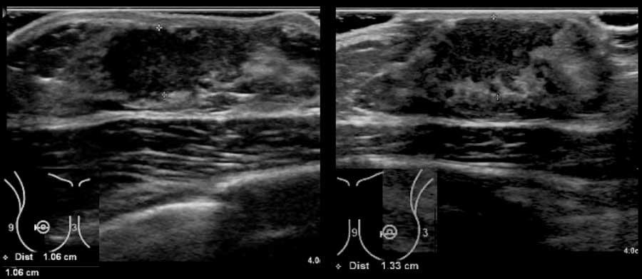
Hình ảnh này của một bệnh nhân đến khám với triệu chứng núm vú bị tụt vào trong.
Có một khối u bờ không đều phía sau núm vú với hình ảnh xâm lấn vào núm vú (mũi tên).
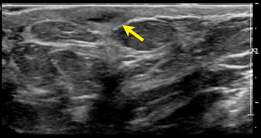
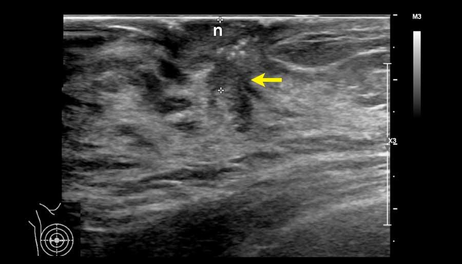
Đây là một khối u khác phía sau núm vú (n).
Các khối u này có thể rất khó phát hiện.
Ở mọi phụ nữ có triệu chứng núm vú tụt vào trong, vùng này cần được khảo sát cẩn thận.
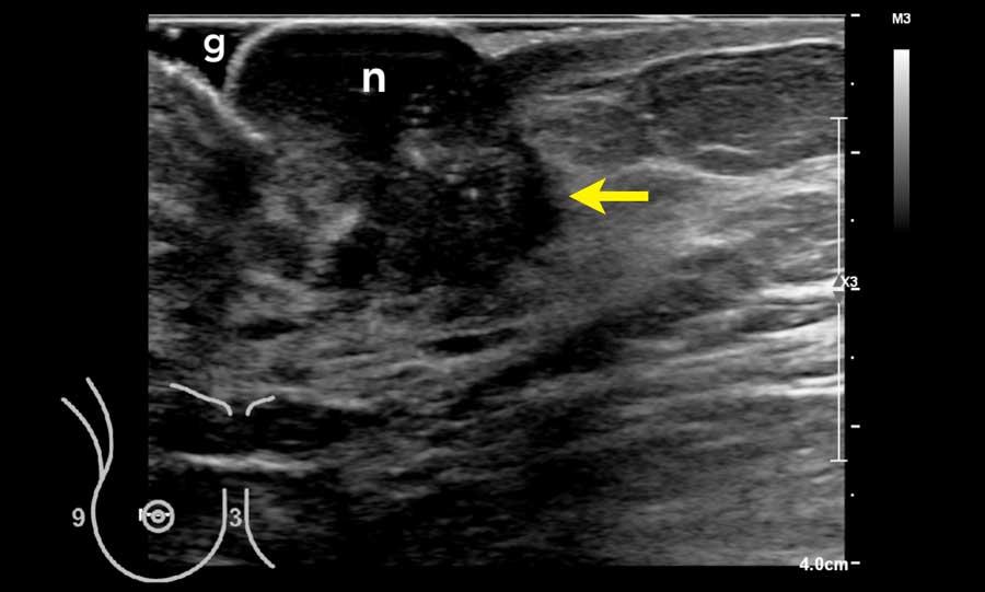
Bệnh nhân này có núm vú lớn, khiến việc khảo sát vùng phía sau núm vú trở nên khó khăn.
Một lượng lớn gel (g) đã được sử dụng để đảm bảo tiếp xúc tốt với da.
Quan sát thấy một khối u lớn phía sau núm vú.



























































































