Siêu âm ngực trong bụng cấp
Nguyên nhân của các triệu chứng bụng đôi khi có thể liên quan đến bệnh lý lồng ngực.
Việc chỉ tập trung vào các phát hiện ở bụng có thể dẫn đến chẩn đoán nhầm và xử trí không đúng hướng.
Trong các trường hợp đau bụng cấp không rõ nguyên nhân, các bác sĩ chẩn đoán hình ảnh cần mở rộng hướng tiếp cận chẩn đoán để bao gồm các bệnh lý lồng ngực tiềm ẩn.
Giới thiệu
Đau bụng thường xuất phát từ các cấu trúc nằm trong ổ bụng. Tuy nhiên, đôi khi các triệu chứng ở bụng có thể là biểu hiện nổi bật nhất hoặc là triệu chứng duy nhất của bệnh lý lồng ngực, chủ yếu xảy ra ở nhóm bệnh nhân nhi và người cao tuổi.
Các chẩn đoán thường gặp nhất có thể biểu hiện bằng triệu chứng ở bụng bao gồm:
- Viêm phổi, đặc biệt ở nhóm bệnh nhân nhi.
- Thuyên tắc phổi.
- Viêm màng ngoài tim và chèn ép tim cấp.
- Gãy xương sườn.
Viêm phổi
Hình ảnh:
Bé trai 8 tuổi bị viêm phổi với biểu hiện lâm sàng giống viêm ruột thừa.
Siêu âm qua gan phát hiện vùng đông đặc ở thùy dưới phổi phải (mũi tên) kèm theo hình ảnh phế quản đồ khí (đầu mũi tên).
Ruột thừa bình thường (không hiển thị).
Tiếp tục với hình ảnh X-quang ngực…
Hình ảnh
X-quang ngực tư thế thẳng (PA) và nghiêng cho thấy vùng đông đặc ở phía sau-đáy thùy dưới phổi phải, phù hợp với viêm phổi, quan sát rõ trên tư thế nghiêng (mũi tên đen), nhưng khó phát hiện trên tư thế PA (mũi tên trắng).
Các hình ảnh này thuộc về bệnh nhân nữ 47 tuổi bị viêm phổi, với biểu hiện lâm sàng giống viêm túi mật.
Hình ảnh
Siêu âm qua gan phát hiện tràn dịch màng phổi bên phải (mũi tên).
Túi mật có hình ảnh bình thường (không hiển thị).
Siêu âm qua khoang liên sườn cho thấy vùng đông đặc phổi kèm hình ảnh phế quản đồ khí (đầu mũi tên).
Tiếp tục với hình ảnh X-quang ngực…
X-quang ngực xác nhận viêm phổi thùy dưới phổi phải với hình ảnh phế quản đồ khí (đầu mũi tên).
Lưu ý rằng bờ phải của tim vẫn còn quan sát được do thùy giữa bình thường.
Hình ảnh phế quản đồ khí cũng là đặc điểm điển hình của viêm phổi trên CT.
Các hình ảnh này thuộc về bệnh nhân nam 72 tuổi bị viêm phổi, biểu hiện bằng đau bụng cấp không đặc hiệu.
Hình ảnh
CT bụng không tiêm thuốc cản quang, bao gồm cả vùng đáy phổi, cho thấy vùng đông đặc thùy giữa với hình ảnh phế quản đồ khí đặc trưng (đầu mũi tên). Không phát hiện bất thường trong ổ bụng.
Thuyên tắc phổi
Siêu âm hoặc CT bụng đều có thể phát hiện các dấu hiệu gián tiếp của thuyên tắc phổi, chẳng hạn như tràn dịch màng phổi một bên, xuất hiện ở khoảng một nửa số bệnh nhân. Trong quá trình siêu âm, có thể khai thác tiền sử bệnh của bệnh nhân, và nếu gợi ý thuyên tắc phổi, thăm khám có thể được bổ sung nhanh chóng bằng siêu âm ép tĩnh mạch sâu chi dưới, vì thuyên tắc phổi và huyết khối tĩnh mạch sâu đại diện cho phổ bệnh lý của cùng một bệnh.
Các hình ảnh này thuộc về một phụ nữ 53 tuổi bị thuyên tắc phổi cấp tính, biểu hiện với các dấu hiệu lâm sàng của viêm túi mật.
Hình ảnh
Siêu âm qua gan cho thấy dịch màng phổi một bên (đầu mũi tên). Túi mật bình thường (không hiển thị). Trong quá trình siêu âm, bệnh nhân tiết lộ rằng các triệu chứng khởi phát ngay sau một chuyến bay liên lục địa.
Siêu âm ép phát hiện huyết khối trong tĩnh mạch đùi trái (mũi tên).
CT được thực hiện và phát hiện huyết khối trong động mạch thùy dưới phổi phải và tràn dịch màng phổi lượng ít.
Siêu âm và CT bụng đều có thể xác định các dấu hiệu gián tiếp của thuyên tắc phổi, chẳng hạn như tràn dịch màng phổi một bên, xảy ra trong khoảng 50% các trường hợp. Trong quá trình siêu âm, có thể khai thác tiền sử bệnh có định hướng, và nếu nghi ngờ thuyên tắc phổi, đánh giá có thể được mở rộng kịp thời để bao gồm siêu âm ép tĩnh mạch sâu chi dưới. Điều này có ý nghĩa lâm sàng quan trọng, vì thuyên tắc phổi và huyết khối tĩnh mạch sâu đại diện cho các biểu hiện khác nhau của cùng một phổ bệnh lý huyết khối tắc mạch.
Trình bày ca bệnh
Các hình ảnh sau đây liên quan đến một nam giới 81 tuổi bị thuyên tắc phổi cấp tính, ban đầu biểu hiện với các đặc điểm lâm sàng bắt chước viêm túi thừa đại tràng sigma.
Kết quả hình ảnh
- Siêu âm, sử dụng lách làm cửa sổ âm học, cho thấy đông đặc phổi kín đáo hoặc dịch màng phổi (đầu mũi tên), không phát hiện bất thường ổ bụng.
- Siêu âm phát hiện huyết khối (mũi tên) trong tĩnh mạch khoeo trái.
- Hình ảnh CT tái tạo MIP (hình chiếu cường độ tối đa) mặt phẳng coronal cho thấy huyết khối trong động mạch phổi thùy dưới trái (mũi tên vàng) và nhồi máu phổi (đầu mũi tên), tương ứng với hình ảnh đông đặc quan sát được trên siêu âm.
CT bụng có thể phát hiện, nếu thời gian trễ chụp cho phép ngấm thuốc tương phản tĩnh mạch đầy đủ, huyết khối trong tĩnh mạch chậu hoặc tĩnh mạch chủ dưới (hình).
Viêm Màng Ngoài Tim và Chèn Ép Tim
Ở bệnh nhân viêm màng ngoài tim hoặc tràn máu màng ngoài tim, sự tích tụ dịch trong khoang màng ngoài tim có thể gây chèn ép tim, dẫn đến rối loạn huyết động. Tình trạng này có thể tiến triển thành chèn ép tim cấp, đặc trưng bởi ứ trệ tĩnh mạch hệ thống và giảm cung lượng tim đe dọa tính mạng.
Chèn ép tim có thể là một chẩn đoán lâm sàng khó khăn, do các biểu hiện điển hình — như tụt huyết áp, nhịp tim nhanh và khó thở — không đặc hiệu, và bệnh cảnh lâm sàng có thể không điển hình. Một số bệnh nhân có thể biểu hiện chủ yếu bằng đau bụng cấp và nôn, có thể do ứ trệ tĩnh mạch từ suy tim phải hoặc thiếu máu mạc treo do giảm tưới máu.
Bệnh nhân nam 52 tuổi nhập viện với chẩn đoán viêm màng ngoài tim cấp do nhiễm trùng và đau thượng vị cấp.
Hình ảnh học
- Siêu âm cạnh ức trái cho thấy tràn dịch màng ngoài tim kèm dày màng ngoài tim (đầu mũi tên). Không phát hiện bất thường ở ổ bụng.
- CT có thuốc cản quang xác nhận sự hiện diện của tràn dịch màng ngoài tim được bao quanh bởi màng ngoài tim dày và ngấm thuốc (mũi tên).
Dẫn lưu màng ngoài tim thu được dịch tiết viêm, nhiều khả năng có nguồn gốc virus. Sau khi điều trị viêm màng ngoài tim, các triệu chứng ở bụng của bệnh nhân dần dần thuyên giảm.
Bệnh cảnh lâm sàng
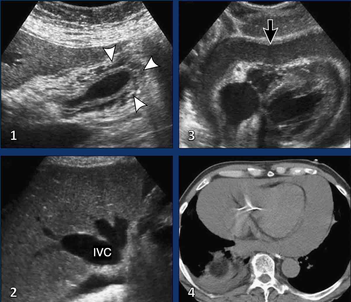
Bệnh nhân nam 49 tuổi bị chèn ép tim, biểu hiện chủ yếu bằng đau bụng trên.
Hình ảnh học
- Siêu âm túi mật theo mặt cắt dọc cho thấy thành túi mật dày lan tỏa (đầu mũi tên). Mặc dù hình ảnh này có thể gợi ý viêm túi mật, nhưng sự vắng mặt của sỏi túi mật và tình trạng căng giãn túi mật gợi ý nguyên nhân ngoại sinh.
- Siêu âm gan theo mặt cắt ngang cho thấy tĩnh mạch chủ dưới (IVC) giãn và các tĩnh mạch gan giãn to (đầu mũi tên), phù hợp với suy tim phải.
- Siêu âm cạnh ức trái xác định tràn dịch màng ngoài tim lượng nhiều (mũi tên), phù hợp với viêm màng ngoài tim cấp vô căn là nguyên nhân nền.
- Hình ảnh CT của một bệnh nhân khác bị chèn ép tim, biểu hiện bằng đau bụng cấp và nôn.
CT không tiêm thuốc cản quang cho thấy tràn dịch màng ngoài tim lượng nhiều với giá trị tỷ trọng cao hơn nước (+35 HU), gợi ý tràn máu màng ngoài tim. Chẩn đoán này được xác nhận bằng chọc hút màng ngoài tim.
Nguyên nhân nền là do mới đặt máy tạo nhịp tim gần đây.
Sau khi dẫn lưu màng ngoài tim, các triệu chứng ở bụng của bệnh nhân đã thuyên giảm.
Gãy Xương Sườn
Biểu hiện lâm sàng của gãy xương sườn thường khá điển hình, đặc trưng bởi đau khu trú và đau ngực kiểu đâm chói sau chấn thương ngực trực tiếp hoặc té ngã.
Tuy nhiên, chúng tôi đã gặp một số bệnh nhân gãy xương sườn thấp không được nghi ngờ trước, nhập viện vì đau bụng cấp tính mà không có triệu chứng lồng ngực kèm theo.
Phần lớn các bệnh nhân này không có tiền sử chấn thương, gợi ý rằng các gãy xương sườn này là gãy xương do suy yếu (insufficiency fractures), thường xảy ra thứ phát sau ho mạnh kéo dài. Ở bệnh nhân ung thư, các gãy xương như vậy có thể mang bản chất bệnh lý.
Siêu âm đã được chứng minh là rất hiệu quả trong việc phát hiện gãy xương sườn, với độ nhạy vượt trội hơn so với X-quang thường quy.
Bằng cách quét vùng đau với đầu dò đặt song song với trục dài của xương sườn, gãy xương có thể được xác định qua hình ảnh gián đoạn của vỏ xương phía trước tăng âm, thường kèm theo tụ máu.
Mặc dù siêu âm là công cụ chẩn đoán có giá trị, CT vẫn cho độ chính xác cao nhất trong phát hiện gãy xương sườn, đặc biệt khi quan sát bằng cửa sổ xương phù hợp.
Trường hợp lâm sàng
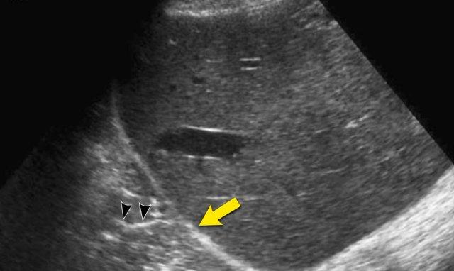
Bệnh nhân nữ 84 tuổi, gãy xương sườn, nhập viện vì đau cấp tính vùng bụng trên bên phải. Bệnh nhân phủ nhận tiền sử chấn thương.
Hình ảnh học
- Siêu âm cắt ngang đúng tại vị trí đau nhiều nhất cho thấy hình ảnh gãy xương sườn di lệch vừa (mũi tên) kèm theo tụ máu nhỏ (đầu mũi tên). Không phát hiện bất thường nào khác.
- X-quang xác nhận gãy xương cấp tính đầu xa xương sườn 11 phía trước (mũi tên)











