Siêu âm não trẻ sơ sinh
Ngày xuất bản
Siêu âm sọ não (US) là phương pháp chẩn đoán hình ảnh thần kinh được sử dụng rộng rãi nhất ở trẻ sinh non.
Siêu âm hỗ trợ đánh giá tình trạng thần kinh của trẻ, do khám lâm sàng và các triệu chứng thường không đặc hiệu.
Phương pháp này cung cấp thông tin về tiên lượng trước mắt cũng như tiên lượng lâu dài.
Giới thiệu

Sử dụng cả đầu dò sector và đầu dò tuyến tính, khảo sát qua thóp lớn và nếu cần thiết, qua cả thóp nhỏ và thóp bướm.
Siêu âm là phương pháp thăm khám nhanh chóng và có thể thực hiện ngay tại giường bệnh, điều này làm cho nó trở nên lý tưởng cho trẻ sinh non.
Cần khai thác tối đa thông tin có thể thu thập được.
Không nên giới hạn bản thân chỉ sử dụng một loại đầu dò hoặc chỉ một cửa sổ âm học duy nhất (hình).
Thông thường, thóp lớn được sử dụng làm cửa sổ âm học.
Tuy nhiên, thóp nhỏ là cửa sổ âm học tốt để khảo sát thùy chẩm.
Điều này có thể hữu ích ở những bệnh nhân có tăng âm vùng này ở mức ranh giới.
Nhược điểm của siêu âm bao gồm:
- Hạn chế trong việc quan sát hố sau và bề mặt lồi của não
- Không có dấu hiệu siêu âm trong thiếu máu cục bộ ở trẻ đủ tháng trong 24 giờ đầu
- Khó phát hiện các rối loạn di cư tế bào thần kinh và loạn sản vỏ não
Nhuyễn Chất Trắng Quanh Não Thất (PVL)
PVL còn được gọi là Bệnh não Thiếu oxy-Thiếu máu cục bộ (HIE) ở trẻ sinh non.
Đây là bệnh lý chất trắng ảnh hưởng đến vùng quanh não thất.
Ở trẻ sinh non, vùng chất trắng này là vùng phân thủy giữa các mạch máu sâu và nông.
Cho đến gần đây, thiếu máu cục bộ được cho là nguyên nhân duy nhất gây PVL, nhưng có thể các nguyên nhân khác (nhiễm trùng, viêm mạch) cũng đóng vai trò bổ sung.
PVL biểu hiện dưới dạng các vùng tăng âm quanh não thất.
Thông thường, độ âm vang của chất trắng quanh não thất phải thấp hơn độ âm vang của đám rối mạch mạc.
PVL xảy ra phổ biến nhất ở trẻ sinh non dưới 33 tuần tuổi thai (38% PVL) và cân nặng lúc sinh dưới 1500 g (45% PVL).
Phát hiện PVL là điều quan trọng vì một tỷ lệ đáng kể trẻ sinh non sống sót mắc PVL sẽ phát triển bại não, suy giảm trí tuệ hoặc rối loạn thị giác.
Hơn 50% trẻ mắc PVL hoặc xuất huyết độ III sẽ phát triển bại não.
Phân độ PVL
PVL được phân độ dựa theo các dấu hiệu được liệt kê trong Bảng bên trái.
Siêu âm định kỳ là bắt buộc vì các nang trong PVL có thể hình thành muộn đến 4 tuần sau sinh (đặc biệt ở trẻ sinh non).
Kết quả siêu âm sọ não có thể bình thường ở những bệnh nhân sau đó mới xuất hiện các biểu hiện lâm sàng và hình ảnh học muộn của PVL.
Phác đồ tốt là siêu âm ít nhất một lần mỗi tuần cho đến khi xuất viện và ở tuổi thai 40 tuần.
PVL độ 1
PVL được chẩn đoán là độ 1 khi có các vùng tăng âm quanh não thất mà không có hình thành nang, tồn tại hơn 7 ngày.
Tuy nhiên, tăng âm quanh não thất là một dấu hiệu không đặc hiệu, cần được phân biệt với vầng sáng quanh não thất bình thường hoặc vùng tăng âm bình thường phía sau-trên của ngã ba não thất.
Nghi ngờ PVL nếu độ âm vang không đối xứng, thô, dạng cầu hoặc tăng âm hơn đám rối mạch mạc.
Cấu trúc âm quanh não thất bất thường của PVL thường biến mất sau 2-3 tuần.
PVL có thể phân biệt với xuất huyết vì PVL không có hiệu ứng khối.
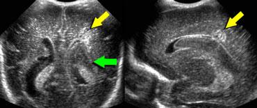
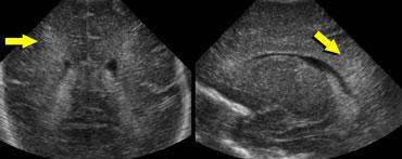
PVL độ 2
Các hình ảnh bên trái minh họa PVL độ 2 với các nang quanh não thất nhỏ.
Tình trạng tăng âm đã hồi phục vào thời điểm hình thành nang.
2% trẻ sinh non trước 32 tuần phát triển PVL dạng nang.
Mức độ nặng của PVL liên quan đến kích thước và phân bố của các nang này.
PVL dạng nang đã được phát hiện trên siêu âm sọ não ngay ngày đầu sau sinh, cho thấy sự kiện bất lợi xảy ra ít nhất 2 tuần trước sinh, chứ không phải trong hoặc sau sinh.
Siêu âm có độ tin cậy cao trong phát hiện tổn thương chất trắng dạng nang (PVL độ II trở lên), nhưng có những hạn chế đáng kể trong việc phát hiện tổn thương chất trắng không dạng nang (PVL độ I).
Hạn chế này của siêu âm sọ não sơ sinh có ý nghĩa quan trọng, vì tổn thương chất trắng không dạng nang phổ biến hơn đáng kể so với tổn thương chất trắng dạng nang.
PVL độ 3
PVL được chẩn đoán là độ 3 khi có các vùng tăng âm quanh não thất tiến triển thành các nang quanh não thất lan rộng ở vùng chẩm và vùng trán-đỉnh.
PVL độ 4
PVL được chẩn đoán là độ 4 khi có các vùng tăng âm quanh não thất ở chất trắng sâu tiến triển thành các nang dưới vỏ lan rộng.
PVL độ 4 gặp chủ yếu ở trẻ sơ sinh đủ tháng, trái ngược với PVL độ 1-3 vốn là bệnh lý của trẻ sinh non.
Tình trạng tăng âm kéo dài quá tuần đầu sau sinh được định nghĩa là PVL độ 1.
Flaring
Thuật ngữ flaring được dùng để mô tả các vùng quanh não thất có hồi âm tăng nhẹ, thường gặp ở nhiều trẻ sinh non trong tuần đầu tiên của cuộc đời.
Trong tuần đầu này, chưa thể xác định chắc chắn đây là biến thể bình thường hay là dấu hiệu của PVL độ 1.
Flaring tồn tại kéo dài sau tuần đầu tiên của cuộc đời được định nghĩa là PVL độ 1.

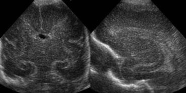
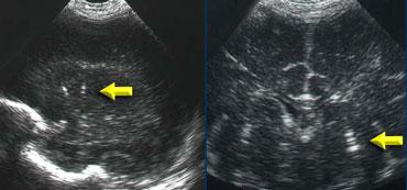
TRÁI: Hình ảnh khảo sát ban đầu cho thấy flaring. PHẢI: Hình ảnh tái khám sau một tuần cho thấy chất trắng quanh não thất bình thường.
Cần theo dõi tái khám để phân biệt flaring với PVL độ I.
Trường hợp bên trái minh họa một trẻ sinh non có hình ảnh flaring.
Tại lần tái khám, không ghi nhận sự hình thành nang và sau tuần đầu tiên, chất trắng quanh não thất trở về hình ảnh bình thường.
Xuất Huyết Chất Nền Mầm
Xuất huyết chất nền mầm (GMH) còn được gọi là xuất huyết quanh não thất hoặc xuất huyết vùng đuôi-đồi thị ở trẻ sinh non.
Các xuất huyết chất nền mầm này xảy ra tại vùng chất nền mầm có mạch máu phong phú nhưng cũng rất nhạy cảm với stress, nằm ở rãnh đuôi-đồi thị. Đây là vùng dưới màng nội tủy nằm giữa nhân đuôi và đồi thị.
- Chất nền mầm chỉ hiện diện tạm thời như một vùng gồm các mạch máu thành mỏng, các thành phần tế bào thần kinh đang di cư và các tế bào tiền thân mạch máu
- Vùng này trưởng thành vào tuần thai thứ 34, do đó xuất huyết trở nên rất khó xảy ra sau độ tuổi này.
- Hầu hết các GMH xảy ra trong tuần đầu tiên của cuộc sống
- Phổ biến nhất ở trẻ sơ sinh
- Các xuất huyết này bắt đầu ở rãnh đuôi-đồi thị và có thể lan vào não thất bên và nhu mô não quanh não thất.
Hầu hết trẻ sơ sinh không có triệu chứng hoặc biểu hiện các dấu hiệu kín đáo dễ bị bỏ sót.
Các xuất huyết này thường được phát hiện qua siêu âm theo dõi định kỳ.

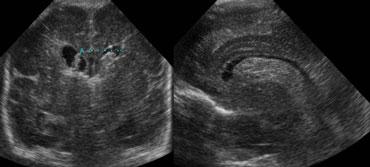
Xuất huyết nội sọ độ 1. Siêu âm mặt cắt đứng dọc và mặt cắt đứng ngang của xuất huyết dưới màng nội tủy nằm ở rãnh giữa đồi thị và nhân đuôi.
Xuất huyết nội sọ độ 1
Hình bên trái cho thấy xuất huyết nội sọ khu trú trong rãnh đuôi-đồi thị.
Được phân loại là xuất huyết độ 1.
Trong giai đoạn cấp tính, các ổ chảy máu này tăng âm, sau đó chuyển dần sang đồng âm và giảm âm theo thời gian.
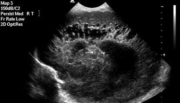
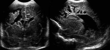
Xuất huyết nội sọ độ 2
Hình bên trái là xuất huyết nội sọ độ 2.
Trên mặt cắt đứng ngang, chỉ nhìn thấy khoang vách trong suốt.
Cả hai não thất bên đều chứa đầy máu, nhưng không có giãn não thất.
Hình bên trái là cùng bệnh nhân sau 3 ngày.
Các não thất giãn rộng và có hình ảnh hình thành cục máu đông.
Não úng thủy thứ phát xảy ra vài ngày sau xuất huyết độ 2 không nên bị nhầm lẫn với xuất huyết độ 3.

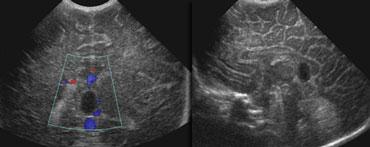
TRÁI: Mặt cắt đứng ngang, mũi tên xanh lá chỉ xuất huyết độ 3. PHẢI: Mặt cắt đứng dọc, mũi tên vàng chỉ nhồi máu tĩnh mạch.
Xuất huyết nội sọ độ 3
Hình bên trái là xuất huyết nội sọ độ 3 lấp đầy não thất bên trái.
Cũng lưu ý vùng tăng âm hình nêm ở phía trên-bên của não thất.
Đây là hình ảnh của một ổ nhồi máu tĩnh mạch nhỏ.
Cùng bệnh nhân như trên.
Hai tuần sau, ổ nhồi máu tĩnh mạch đã tiến triển thành vùng giảm âm với sự hình thành nang.
Xuất huyết nội sọ độ 4
Ban đầu, các xuất huyết độ 4 này được cho là do chảy máu dưới màng nội tủy lan vào nhu mô não lân cận.
Tuy nhiên, ngày nay hầu hết các chuyên gia cho rằng các xuất huyết độ 4 này là nhồi máu xuất huyết tĩnh mạch, là hậu quả của sự chèn ép dòng chảy tĩnh mạch bởi xuất huyết dưới màng nội tủy.
Hình bên trái là xuất huyết độ 4.
Có một ổ chảy máu dưới màng nội tủy lớn kèm theo một vùng tăng âm rộng trong nhu mô não ở phía bên của não thất.
Đây có thể là hậu quả của nhồi máu tĩnh mạch.
Các ổ nhồi máu tĩnh mạch này thoái triển với sự hình thành nang.
Các nang này có thể hợp nhất với não thất bên, cuối cùng dẫn đến hình thành nang não lỗ.
Hình bên trái là một bệnh nhân khác với xuất huyết độ 4 ở giai đoạn muộn hơn với sự hình thành nang lan rộng.
Xuất huyết độ 1 và 2 thường có tiên lượng tốt.
Xuất huyết độ 3 và 4 có thể để lại các di chứng lâu dài khác nhau, nhưng kết quả trong xuất huyết độ 3 thường tốt khi không có tổn thương nhu mô não.
Não úng thủy là biến chứng thường gặp và nhiều trẻ cần được đặt shunt não thất-phúc mạc.
Các cơ chế dẫn đến não úng thủy bao gồm:
- Não úng thủy thông thương: giảm hấp thu dịch não tủy (DNT) thứ phát do tắc nghẽn nhung mao màng nhện bởi máu và các mảnh vụn, hoặc do sự phát triển của viêm màng nhện
- Não úng thủy tắc nghẽn: tắc nghẽn lưu thông dịch não tủy.
Biến thể Bình thường
Các biến thể thường gặp được liệt kê trong Bảng ở bên trái.

TRÁI: Hình ảnh mặt phẳng coronal. Cavum septi pellucidi được quan sát thấy nằm giữa hai não thất bên. PHẢI: Hình ảnh mặt phẳng giữa-đứng dọc (midsagittal) minh họa cavum vergae.
Cavum septi pellucidi, cavum vergae và cavum của velum interpositum
Các biến thể được biết đến rộng rãi bao gồm cavum của vách trong suốt (septum pellucidum) và cavum vergae.
Trẻ sinh càng non tháng, các khoang này xuất hiện càng thường xuyên.
Chúng có thể tồn tại đến tuổi trưởng thành.
Một biến thể ít gặp hơn là cavum của velum interpositum.
Tổn thương này biểu hiện như một cấu trúc dạng nang ở vùng tectum.
Hình dạng của nó được so sánh với một chiếc mũ bảo hiểm.
Có thể dễ nhầm lẫn với nang dưới nhện hoặc nang tuyến tùng.
Nang đám rối mạch mạc
Trên siêu âm sau sinh, các nang của đám rối mạch mạc thường là phát hiện tình cờ và không có hậu quả lâm sàng.
Tuy nhiên, nang đám rối mạch mạc (Choroid Plexus Cyst – CPC) lại có ý nghĩa quan trọng đối với các bác sĩ sản khoa.
Trên siêu âm trước sinh, các nang này có thể là dấu hiệu gợi ý trisomy 18.
Khoảng một nửa số trẻ mắc Trisomy 18 có CPC trên siêu âm, nhưng hầu hết các trẻ này cũng sẽ có các bất thường khác trên siêu âm, đặc biệt ở tim, bàn tay và bàn chân.
Cần lưu ý đặc biệt đối với các nang xuất hiện gần lỗ Monro.
Mặc dù các nang này thường tự biến mất, vẫn cần theo dõi bằng siêu âm để xác nhận sự thoái triển.
Một số trường hợp có thể gây ra các triệu chứng tăng áp lực nội sọ do cản trở lưu thông dịch não tủy (DNT).
Đầu to lành tính
Đầu to lành tính còn được gọi là não úng thủy tắc nghẽn ngoài não thất.
Tình trạng này gặp ở trẻ từ 6 tháng đến 2 tuổi.
Chu vi vòng đầu vượt quá bách phân vị thứ 97.
Sau 2 tuổi, kích thước đầu trở về bình thường.
Thường gặp trường hợp cha hoặc mẹ của trẻ cũng có đầu to ở độ tuổi tương ứng.
Nguyên nhân chưa được xác định rõ. Đa số cho rằng đây là tình trạng bình thường, mặc dù một số ý kiến cho rằng những trẻ này có thể có chậm phát triển nhẹ.
Khi trẻ có đầu to được chỉ định siêu âm, cần đánh giá khoang dưới nhện nông và hệ thống não thất.
Khoang dưới nhện bình thường có kích thước dưới 3 mm. Các não thất thường hơi giãn nhẹ.
Sự giãn rộng của khoang dưới nhện và hệ thống não thất ở những trẻ này không nên được diễn giải là teo não, vì trong teo não thực sự, chu vi vòng đầu sẽ nhỏ hơn bình thường.
Bệnh mạch máu vôi hóa
Bệnh mạch máu vôi hóa có thể gặp ở các động mạch đồi thị-thể vân (thalamostriatal) và động mạch thấu kính-thể vân (lenticulostriatal), do hiện tượng vôi hóa thành động mạch.
Nhiều tình trạng lâm sàng chu sinh, mắc phải và không đặc hiệu có thể dẫn đến hình ảnh siêu âm này.
Tại Bệnh viện Nhi Wilhelmina, trước đây các trẻ này thường được xét nghiệm nhiễm trùng TORCH, nhưng hiện tại xét nghiệm duy nhất được thực hiện là xét nghiệm nước tiểu tìm CMV.
Nang tiêu mầm (Germinolytic cysts)
Nằm tại rãnh đuôi-đồi thị (caudothalamic groove).
Có hình dạng giọt nước mắt.
Không có dấu hiệu xuất huyết nội sọ và những trẻ này không có di chứng thần kinh.
Căn nguyên chưa được xác định.
Giả nang (Pseudocyst)
Còn được gọi là hẹp não thất bên.
Thường xuất hiện hai bên và không để lại di chứng thần kinh.

1+2 = nang tiêu mầm và giả nang, 3 = nhuyễn chất trắng quanh não thất dạng nang, 4 = nang do nhồi máu tĩnh mạch
Các loại nang
Khi phát hiện nang quanh não thất bên, điều quan trọng là phải xác định vị trí của chúng so với phần trên của não thất bên (xem hình).
- 1+2 = Nang tiêu mầm và Giả nang nằm dưới hoặc ngang mức phần trên của não thất bên.
- 3 = Nhuyễn chất trắng quanh não thất dạng nang (Cystic periventricular leukomalacia) chủ yếu nằm trên mức này.
- 4 = Nang do nhồi máu tĩnh mạch có kích thước lớn và có thể nằm trên, ngang hoặc dưới mức này.
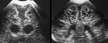
Đo kích thước não thất
Việc đo kích thước hệ thống não thất cần được thực hiện trên một mặt phẳng siêu âm chuẩn, dễ tái lập.
Sử dụng mặt cắt vành (coronal) qua các não thất bên, ở vị trí ngay phía sau lỗ Monro.
Trên mặt cắt này, sẽ thấy 3 chấm tăng âm đại diện cho đám rối mạch mạc trong các não thất bên và ở trần não thất ba.
Ngoài ra, cần thấy được hình ảnh đối xứng của rãnh Sylvius ở cả hai bên và hồi hải mã (mũi tên màu xanh lá và màu cam).
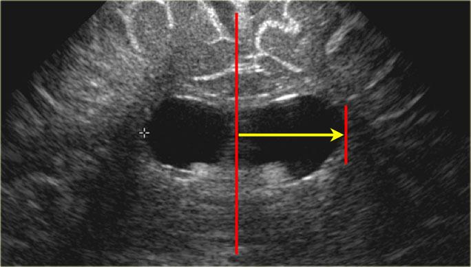
Chỉ số Levene
Đối với tuổi thai đến 40 tuần, nên sử dụng chỉ số Levene; sau 40 tuần, sử dụng chỉ số não thất.
Chỉ số Levene là khoảng cách tuyệt đối từ liềm đại não đến thành ngoài của sừng trán trên mặt phẳng vành, tại mức ngang não thất ba.
Phép đo này được thực hiện cho cả bên trái và bên phải.
Các số đo này có thể được đối chiếu với đường cong tham chiếu và rất hữu ích cho việc theo dõi tiếp theo.

TRÁI: Đo chỉ số não thất theo phương pháp chuẩn. PHẢI: Não thất giãn phồng và phép đo chỉ số đánh giá thấp mức độ nghiêm trọng của tình trạng giãn não thất.
Chỉ số não thất
Sau 40 tuần, nên sử dụng chỉ số não thất hoặc tỷ lệ sừng trán, tức là tỷ số giữa khoảng cách từ thành ngoài của hai não thất bên và đường kính lưỡng đỉnh.
Khi sử dụng tỷ số này, cần lưu ý rằng khi hệ thống não thất giãn rộng, các sừng trán có xu hướng mở rộng theo chiều đầu-đuôi nhiều hơn so với chiều ngang trái-phải.
Siêu âm thời gian thực đã được sử dụng để đo chính xác khoảng cách từ thành ngoài thân não thất bên đến liềm đại não (chỉ số não thất) trên 273 trẻ sơ sinh ở các tuổi thai khác nhau (5).
Phép đo thực hiện trên mặt phẳng trục qua xương thái dương-đỉnh có tương quan chặt chẽ với phép đo thực tế trên mặt phẳng vành ở 50 trẻ sơ sinh.
Một biểu đồ bách phân vị cắt ngang về khoảng giá trị bình thường của phép đo này đã được xây dựng, từ 27 đến 42 tuần tuổi sau kinh cuối.
Một biểu đồ bổ sung thể hiện tốc độ thay đổi của chỉ số não thất cho phép đánh giá sự phát triển của não thất theo chiều dọc.
Việc sử dụng các biểu đồ này cho phép phát hiện sớm tình trạng não úng thủy hoặc giãn não thất thứ phát do teo não.
Một chỉ số đáng tin cậy hơn để đánh giá tình trạng giãn hệ thống não thất là đo diện tích hoặc thể tích.
Tuy nhiên, phương pháp này tốn nhiều thời gian hơn.
Do đó, mặc dù chỉ số não thất còn có những hạn chế nhất định, đây vẫn là phương pháp được sử dụng phổ biến nhất.
Trong thực hành lâm sàng, việc đánh giá hình ảnh bằng mắt thường là đáng tin cậy, với điều kiện phải sử dụng các mặt phẳng chuẩn.






















