Siêu âm đường tiêu hóa – Kỹ thuật
Đường tiêu hóa là phần khó khăn nhất của ổ bụng khi thăm khám bằng siêu âm.
Mặc dù đòi hỏi kỹ thuật cao, kết quả của phương pháp này có ý nghĩa lâm sàng lớn trong việc phân loại sớm các bệnh lý đường ruột và trong bệnh cảnh bụng cấp.
Đây là bài đầu tiên trong loạt bài về siêu âm đường tiêu hóa.
Nhấn ctrl+ để phóng to hình ảnh và văn bản trên PC hoặc ⌘+ trên Mac.
Thao tác này hữu ích khi xem các ảnh cuộn.
Có thể phóng to từng ảnh đơn lẻ bằng cách nhấp vào ảnh đó.
Mọi ý kiến đóng góp và nhận xét bổ sung xin gửi về: j.puylaert@gmail.com
Kỹ thuật thăm khám
Các máy siêu âm hiện đại cung cấp hình ảnh độ phân giải cao của đường tiêu hóa, như ở bệnh nhân này với hình ảnh dày lớp niêm mạc và dưới niêm mạc rõ rệt trong viêm đại tràng do Clostridium.
Tuy nhiên, hiện nay các hệ thống siêu âm giá rẻ bao gồm một đầu dò trị giá 1.200 euro kết nối với máy tính bảng hoặc điện thoại cũng có thể tạo ra hình ảnh chất lượng tốt (xem hình tiếp theo).
Chúng tôi kỳ vọng rằng ngày càng nhiều bác sĩ và nhân viên y tế sẽ sử dụng siêu âm trong thực hành lâm sàng hàng ngày.
Kiến thức về kỹ thuật, giải phẫu bình thường và bệnh lý của đường tiêu hóa sẽ đóng vai trò quan trọng trong quản lý bệnh nhân.
Máy siêu âm và đầu dò
- Các máy siêu âm ngày càng tốt hơn, nhỏ gọn hơn và ít tốn kém hơn.
- Trong tương lai, một đầu dò duy nhất kết nối với máy tính bảng có thể bao phủ độ sâu từ 0–25 cm.
- Hiện tại, máy siêu âm cao cấp vẫn là bắt buộc để khảo sát đường tiêu hóa.
- Học siêu âm tốt nhất là thực hành trên bệnh nhân gầy với máy siêu âm cao cấp. Kinh nghiệm này sẽ giúp thực hiện thành công việc thăm khám trên bệnh nhân béo phì với đầu dò thông thường hơn.
Ở người gầy này, hồi tràng tận bình thường và ruột thừa bình thường đang bị ép xẹp (mũi tên) được hiển thị trên máy tính bảng kết nối với đầu dò trị giá 1.200 euro.
Đối với chương trình siêu âm bụng thông thường với bệnh nhân có thể trạng khác nhau, tối thiểu cần có ba đầu dò.
Các con số cm biểu thị khoảng độ sâu mà tại đó độ phân giải hình ảnh đạt mức tối ưu.
Do ruột nằm gần thành bụng, đầu dò cỡ trung và cỡ nhỏ là những đầu dò chủ lực trong siêu âm đường tiêu hóa.
Việc lựa chọn đầu dò dựa trên độ sâu mà ruột được hiển thị trong quá trình ép.
Ví dụ, dạ dày chứa đầy dịch ở bệnh nhân béo phì (bên trái) được khảo sát tốt nhất bằng đầu dò cỡ trung, trong khi hồi tràng và ruột thừa bình thường ở bệnh nhân gầy (bên phải) được khảo sát bằng đầu dò cỡ nhỏ.
Các cài đặt sẵn (pre-sets) cho từng cơ quan bụng cụ thể có thể hữu ích, nhưng chúng tôi chỉ sử dụng hai cài đặt bụng cho mỗi đầu dò: bình thường và XL dành cho bệnh nhân to lớn và béo phì.
Hình ảnh siêu âm “xử lý quá mức”
Hình ảnh siêu âm đã qua xử lý: khử nhiễu đốm (speckle-noise-reduction)
- Ưu điểm: đường viền phản xạ sắc nét hơn, nang và mạch máu không có âm vang (anechoic), hình ảnh “mịn hơn”
- Nhược điểm: tạo ra các ranh giới và phản xạ không thực, độ phân giải hình ảnh thấp hơn
- Sử dụng hết sức thận trọng, vì các xảo ảnh gây nhầm lẫn có thể lấn át những ưu điểm của nó
Hãy so sánh hình ảnh siêu âm gốc (bên trái) của vùng tụy với hình ảnh siêu âm đã qua xử lý mạnh (bên phải).
Trong các hình ảnh xử lý quá mức này, các mạch máu có đường viền sắc nét hơn với lòng mạch hoàn toàn không có âm vang.
Tuy nhiên, các phản xạ và đường viền không thực cũng bị “tạo ra”.
Lưu ý các phản xạ sáng bất thường ở vùng phía sau đuôi tụy (hình trên bên phải) và đường viền kỳ lạ của dạ dày cùng dây chằng liềm (hình dưới bên phải).
Siêu âm khảo sát ruột
Siêu âm đường tiêu hóa trước đây khá ít được ưa chuộng do sự cản trở của hơi và các thành phần khác trong lòng ruột (hình trên).
Tin tốt là ruột bệnh lý thường dễ nhận thấy do thành ruột dày khu trú và lòng ruột rỗng, ví dụ như ở bệnh nhân này với viêm đại tràng Crohn từng đoạn (hình dưới).
Việc tìm kiếm và sàng lọc bệnh lý ruột được thực hiện tốt nhất bằng kỹ thuật gọi là “cắt cỏ theo hàng” (mowing-the-lawn).
Kỹ thuật này đòi hỏi ép có kiểm soát theo từng mức độ, đầu dò tần số cao và gel siêu âm không quá đặc.
Giống như khi cắt cỏ, cần quét các đường chồng lên nhau để không bỏ sót bất kỳ tổn thương nào.
Hầu hết các gel siêu âm thương mại hiện có đều khá đặc.
Có thể làm loãng gel bằng cách thêm khoảng một phần ba nước máy nóng, mang lại một số ưu điểm nhất định.
Tiếp xúc da tốt hơn giúp ngăn ngừa các xảo ảnh do khí gây nhiễu (đầu mũi tên).
Việc bôi gel siêu âm lên bệnh nhân thay vì lên đầu dò sẽ tiết kiệm thời gian hơn.
Với bệnh nhân có thể trạng bình thường, một lượng lớn (~25 cc) gel siêu âm đã pha loãng là đủ cho toàn bộ quá trình thăm khám.
Có thể tạo một vũng gel nhỏ ở vùng thượng vị để “nhúng” đầu dò khi cần.
Nhìn chung, việc sử dụng gel siêu âm một cách rộng rãi mang lại nhiều lợi ích.
Tuy nhiên, có hai nhược điểm: mọi thứ có thể trở nên khá bừa bộn và vệ sinh có thể bị ảnh hưởng.
Điều này đòi hỏi “kỷ luật sử dụng gel siêu âm” và cần nhiều khăn hoặc giấy lau.
Để tránh dây cáp bị dính gel, bạn có thể vắt nó qua cổ hoặc đặt lên ngực bệnh nhân khi khảo sát vùng hông trái.
Cần lau sạch gel siêu âm khỏi đầu dò trước khi đặt lại vào giá đỡ.
Việc vệ sinh đầu dò đúng cách sau mỗi bệnh nhân là điều hiển nhiên cần thực hiện.
Hãy hỏi nhà sản xuất về dung dịch vệ sinh phù hợp.
Điều rất quan trọng là giữ các ngón tay của bàn tay cầm đầu dò không bị dính gel: sự kết hợp giữa ép tương đối mạnh và các chuyển động xoay tinh tế đòi hỏi bàn tay phải khô ráo.
Ép có kiểm soát theo từng mức độ
Ưu điểm của kỹ thuật ép
- tiếp cận gần ruột hơn, cho phép sử dụng đầu dò tần số cao
- ép và/hoặc đẩy dịch chuyển ruột chứa hơi
Việc ép cần được thực hiện từ từ và nhẹ nhàng
- để không gây đau
- để tránh đẩy ruột ra hoàn toàn khỏi mặt phẳng siêu âm
Kỹ thuật ép có kiểm soát theo từng mức độ được dung nạp đáng kể tốt, ngay cả trong trường hợp viêm phúc mạc.
Hình ảnh CT cho thấy các mối tương quan giải phẫu trong ổ bụng thay đổi như thế nào khi ép có kiểm soát.
Trong quá trình ép, thành trước của ruột bị ép sát vào thành sau, loại bỏ tác động gây nhiễu của hơi và các thành phần khác trong lòng ruột.
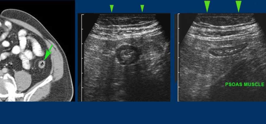
Hình ảnh CT cắt dọc này cho thấy ruột thừa viêm nằm sau manh tràng (đầu mũi tên) với sỏi phân gây tắc nghẽn (mũi tên).
Bằng cách ép có kiểm soát bằng đầu dò siêu âm, manh tràng chứa hơi bị đẩy sang một bên và ruột thừa được hiển thị gần thành bụng (lưu ý thang đo cm).
CT cho thấy đại tràng co thắt (mũi tên) ở bệnh nhân béo phì.
Khi ép nhẹ (ở giữa), đại tràng co thắt có thể được hiển thị bằng đầu dò 12 MHz.
Khi ép vừa phải (bên phải), đại tràng đã giãn ra thậm chí có thể được nhìn thấy bị dẹt áp vào cơ thắt lưng nằm ở phía sau.
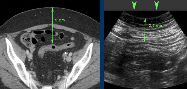
CT của bệnh nhân béo phì bị viêm loét đại tràng không hoạt động. Đại tràng sigma nằm cách da 9 cm.
Trong quá trình ép (đầu mũi tên), khoảng cách này giảm xuống còn 2,5 cm, cho phép sử dụng đầu dò tần số cao.
Để hiển thị một cấu trúc hình ống (ví dụ: ruột thừa viêm) trên hai mặt phẳng vuông góc, điều cần thiết là đưa cấu trúc đó vào mặt cắt ngang ở trung tâm hình ảnh siêu âm.
Điều này cho phép giữ cấu trúc trong tầm nhìn trong khi xoay đầu dò 90 độ (nhấp vào hình).
Nhẹ nhàng “lắc” đầu dò trong khi xoay giúp giữ cấu trúc hình ống nhỏ trong tầm quan sát.
Hình dạng khá bầu dục hơn là tròn của hầu hết các tay cầm đầu dò không thực sự thuận tiện cho việc thực hiện các chuyển động xoay tinh tế kết hợp với ép.
Hãy cố gắng phát triển cách cầm đầu dò cho phép bạn xoay từ cổ tay, không phải từ cánh tay hay vai, luôn cố gắng giữ trục đường đỏ.
















