Siêu Âm Đầu Dò Âm Đạo Cho Các Bệnh Lý Ngoài Phụ Khoa
Đây là tổng quan về việc sử dụng Siêu Âm Đầu Dò Âm Đạo (TVUS) trong chẩn đoán các bệnh lý ngoài phụ khoa khi chúng xuất hiện trong khoang chậu.
Bài khảo cứu hình ảnh này dành cho các bác sĩ phụ khoa muốn mở rộng tầm nhìn vượt ra ngoài các bệnh lý của tử cung và buồng trứng, hướng đến chẩn đoán các bệnh lý ngoài phụ khoa. Ngoài ra, bài viết cũng đề cập đến Lạc Nội Mạc Tử Cung Xâm Lấn Sâu (DIE). Mặc dù đây rõ ràng là một bệnh lý phụ khoa, việc chẩn đoán bệnh này đòi hỏi kiến thức chuyên sâu về hình ảnh TVUS của đại tràng, hồi tràng và bàng quang.
Bài khảo cứu hình ảnh này cũng dành cho các bác sĩ chẩn đoán hình ảnh muốn thành thạo kỹ thuật TVUS như một phương pháp bổ trợ cho siêu âm qua thành bụng, giúp chẩn đoán cả các bệnh lý phụ khoa lẫn ngoài phụ khoa.
Xem thêm ‘Siêu âm trong các bệnh lý phụ khoa cấp tính’
Góp ý và nhận xét: j.puylaert@gmail.com
Giới thiệu
Tuy nhiên, trong vùng chậu nữ còn có nhiều cơ quan khác nằm trong tầm với của đầu dò qua âm đạo, bao gồm bàng quang, niệu đạo, đoạn xa của niệu quản, đại tràng sigma, trực tràng-hậu môn và ruột thừa.
Ngoài ra, các khoang ảo của ổ phúc mạc như khoang Retzius và túi cùng Douglas cũng có thể được khảo sát.
Do tính linh động cao của vòm âm đạo, các bệnh lý của những cơ quan và vùng này có thể được nghiên cứu bằng TVUS với đầu dò tần số cao, cho phép thu được hình ảnh với độ chi tiết đặc biệt cao.
Tử cung và buồng trứng được quan sát rõ nhất khi bàng quang chứa đầy một nửa. Bàng quang quá căng sẽ gây khó chịu cho bệnh nhân, cản trở việc ép đầu dò đúng mức và đẩy các cơ quan ra xa thành bụng trước, nằm ngoài tầm với của siêu âm qua thành bụng.
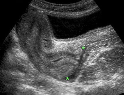
Trên mặt cắt dọc, có thể xác định được tử cung, cổ tử cung, âm đạo, trực tràng-hậu môn và niệu đạo (u.), cũng như túi cùng trước và túi cùng sau của âm đạo ở trạng thái xẹp.
Khảo sát tử cung ở tư thế ngả sau thường đòi hỏi bàng quang chứa nhiều nước hơn.
Mặt cắt dọc của tử cung bình thường với một ít dịch trong lòng âm đạo, giúp xác định rõ phần âm đạo của cổ tử cung (portio) cũng như túi cùng trước (*) và túi cùng sau (*).
Điều quan trọng là cần hiểu rõ giải phẫu ngoài tử cung.
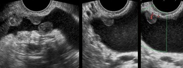
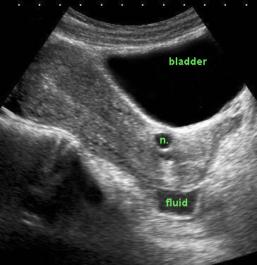
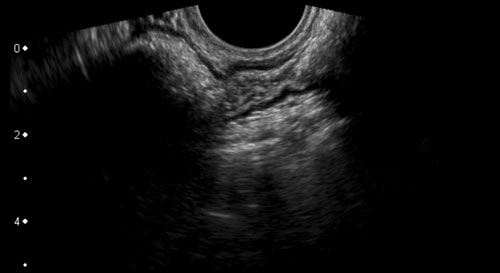
Một ít dịch trong túi cùng Douglas và một nang Naboth nhỏ (n.) có thể dễ dàng nhận biết, nhưng các cấu trúc được đánh dấu bằng dấu chấm hỏi là gì?
Lưu ý bàng quang căng đầy đang đẩy tử cung ra phía sau.
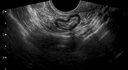
Cần lưu ý rằng hướng của đầu dò nội âm đạo khác với hướng của đầu dò qua thành bụng. Hình bên phải cho thấy tử cung ngả trước được quan sát bằng đầu dò nội âm đạo đặt tại túi cùng trước của âm đạo. Tư thế này của tử cung tương ứng với hình ảnh thu được khi siêu âm qua thành bụng.
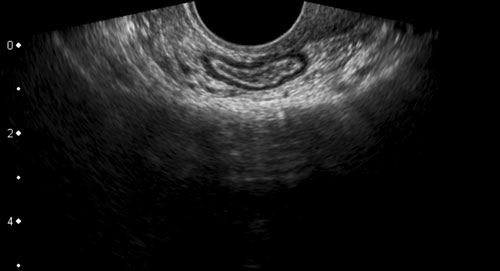
Tuy nhiên, hầu hết các kỹ thuật viên siêu âm thường xem hình ảnh TVUS được xoay 90 độ ngược chiều kim đồng hồ, như trong hình bên phải.
Điều này không nhất thiết là vấn đề, miễn là người đọc nhận thức được sự khác biệt trong cách trình bày giải phẫu, bao gồm cả ảnh hưởng của trọng lực.
Lưu ý đường chân trời trong tương quan với hình ảnh TVUS.
Chẳng hạn, ở bệnh nhân này có nang lạc nội mạc tử cung, mức dịch-cặn lắng nằm theo hướng thẳng đứng và do đó có thể bị diễn giải sai.
Vấn đề này có thể được khắc phục bằng cách xoay hình ảnh siêu âm 90 độ theo chiều kim đồng hồ (hình bên phải).
Tuy nhiên, việc tùy tiện thay đổi hướng hình ảnh siêu âm sẽ không có lợi cho việc nhận dạng hình ảnh theo mẫu. Vì lý do này, tốt nhất nên duy trì một hướng nhất quán.
Ví dụ, nhiều bác sĩ X-quang khi đọc CT nội soi đại tràng ảo được thực hiện với bệnh nhân ở tư thế nằm sấp thường chuyển sang hình ảnh CT quen thuộc ở tư thế “nằm ngửa”, đặc biệt khi tìm kiếm các bệnh lý ngoài đại tràng.
Tương tự, mặc dù thông tin hình ảnh của hai bức chân dung Mr. Bean là giống hệt nhau, nhân vật hài hước này dễ nhận ra hơn nhiều khi ảnh treo đúng chiều so với khi treo ngược.
Siêu âm đầu dò âm đạo trong Bệnh lý Tiết niệu
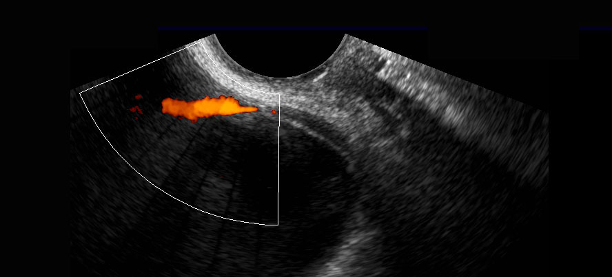
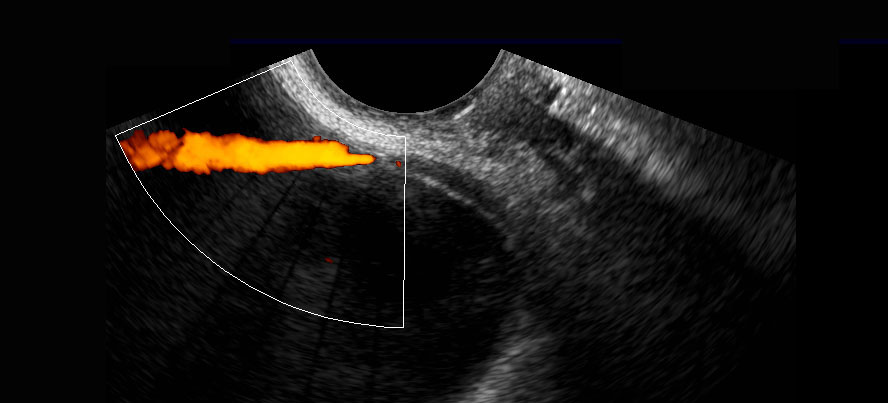
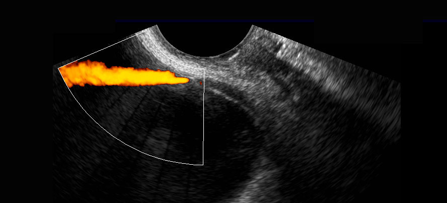
Sỏi niệu quản
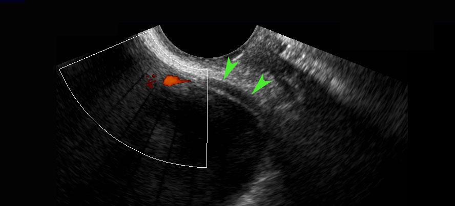
Ở bệnh nhân mang thai có nghi ngờ sỏi niệu quản, CT là chống chỉ định. Nếu không thể quan sát thấy sỏi niệu quản đoạn xa bằng siêu âm qua thành bụng, siêu âm đầu dò âm đạo có thể hữu ích.
Ở người phụ nữ này, đoạn niệu quản xa bình thường (đầu mũi tên) đã được hiển thị, bao gồm cả “hiện tượng tia phụt” của niệu quản khi sử dụng Doppler. Lưu ý khoảng cách nhỏ giữa đầu dò âm đạo và niệu quản đoạn xa.

Siêu âm đầu dò âm đạo cho thấy sỏi niệu quản đoạn xa ở bệnh nhân mang thai với đau hố chậu trái cấp tính.
Siêu âm xác nhận thai kỳ còn nguyên vẹn và phát hiện ứ nước thận bên trái.
Bàng quang rỗng và không quan sát thấy sỏi gây tắc nghẽn.
Siêu âm đầu dò âm đạo bổ sung cho thấy sỏi đoạn xa (mũi tên) trong niệu quản trái.
Một phụ nữ 58 tuổi có cơn đau quặn thận bên trái, tiếp theo là cảm giác bỏng rát khi tiểu tiện cùng với đái máu đại thể. Bệnh nhân có tiểu ra cục máu đông nhưng không nhận thấy sỏi. CT không phát hiện sỏi. Cặn nước tiểu cho thấy các tế bào biểu mô đường niệu không điển hình.
Siêu âm đầu dò âm đạo cho thấy dày thành không đều của niệu quản phải đoạn xa (đầu mũi tên). Sự kết hợp các phát hiện này làm dấy lên khả năng ác tính biểu mô đường niệu.
Bảy ngày sau, bệnh nhân hết triệu chứng mà không cần điều trị, cặn nước tiểu trở về bình thường và siêu âm đầu dò âm đạo theo dõi cho thấy niệu quản đoạn xa trở về hoàn toàn bình thường (đầu mũi tên).
Chẩn đoán cuối cùng là sỏi đi qua không được nhận biết với các biểu hiện thứ phát gây nhầm lẫn gồm dày thành niệu quản thoáng qua và các tế bào biểu mô đường niệu bất thường trong cặn nước tiểu.
Bệnh lý của niệu đạo, âm đạo đoạn xa và cơ thắt hậu môn có thể được khảo sát bằng đầu dò âm đạo đặt ở vị trí âm hộ (mặt phẳng đứng dọc).
Hình ảnh
Giải phẫu siêu âm bình thường với đầu dò ở vị trí âm hộ
Túi thừa niệu đạo
Nhiễm trùng đường tiết niệu dưới tái phát có thể do tắc nghẽn/nhiễm trùng từng đợt của túi thừa niệu đạo. Ở người phụ nữ trẻ này, siêu âm đầu dò âm đạo (với đầu dò ở vị trí âm hộ) phát hiện một túi thừa niệu đạo lớn đang viêm (*) nằm bên phải và phía trước niệu đạo (U.) (V. và S. = âm đạo và khớp mu).
Xác nhận bằng MRI mặt phẳng đứng dọc và mặt phẳng đứng ngang.
Ung thư bàng quang
Trong quá trình siêu âm đầu dò âm đạo thường quy, bác sĩ phụ khoa phát hiện một khối đặc, tăng sinh mạch máu rõ, bờ tương đối rõ với đường kính 2,5 cm, xuất phát từ thành bàng quang.
Bệnh nhân không có tiền sử đái máu hay rối loạn tiểu tiện.
Phẫu thuật nội soi bàng quang xác nhận ung thư biểu mô tế bào chuyển tiếp độ 1.
Siêu âm đầu dò âm đạo (TVUS) trong Bệnh lý Đường ruột
Đại tràng bình thường: Giải phẫu trên TVUS
Hình ảnh giải phẫu TVUS của đại tràng sigma bình thường, có khả năng đè xẹp tốt, được khảo sát trên mặt cắt dọc và mặt cắt ngang.
Ở cuối chuỗi hình, trên mặt cắt ngang, đại tràng sigma dễ dàng bị đè xẹp bởi đầu dò (đầu mũi tên) áp vào xương cùng.
Viêm túi thừa
Bệnh nhân nữ, 34 tuổi, nhập viện vì đau cấp tính hố chậu trái.
TVUS ghi nhận thành đại tràng sigma dày khu trú và một túi thừa chứa sỏi phân (mũi tên), được bao quanh bởi lớp mỡ viêm (*), đại diện cho mạc treo và mạc nối, có tác dụng bao bọc ngăn chặn tình trạng thủng sắp xảy ra.
Ngày hôm sau, bệnh nhân cảm thấy tốt hơn nhiều và TVUS theo dõi cho thấy túi thừa rỗng, giảm âm, thành dày do phù nề (đầu mũi tên).
Sỏi phân dường như đã được tống xuất vào lòng đại tràng sigma.
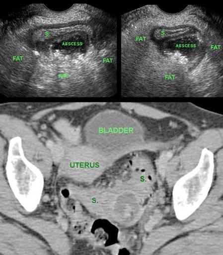
Bệnh nhân nữ, 37 tuổi, được nghi ngờ lâm sàng là áp-xe vòi trứng – buồng trứng, được chỉ định thực hiện TVUS.
Bác sĩ phụ khoa đã hội chẩn với bác sĩ chẩn đoán hình ảnh, người đã xác định đây là áp-xe nhỏ cạnh đại tràng, có thể có nguồn gốc từ túi thừa.
Chẩn đoán sau đó được xác nhận bằng chụp CT (S. = đại tràng sigma).
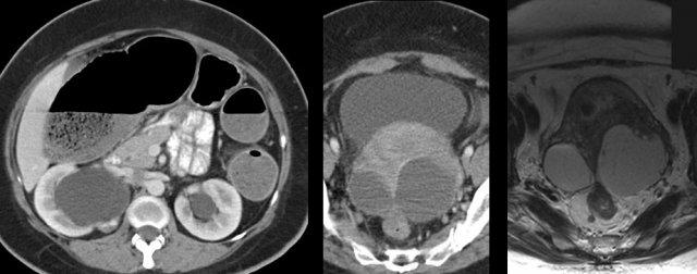
Ung thư đại tràng sigma
Bệnh nhân nữ, 66 tuổi, nhập viện vì chướng bụng tiến triển và táo bón. CT cho thấy đại tràng giãn to diện rộng, tuy nhiên CT vùng chậu (không trình bày ở đây) có chất lượng kém do hai khớp háng nhân tạo.
Siêu âm xác nhận nhiều quai đại tràng giãn to rõ rệt, chứa đầy hơi, nhưng không cung cấp thêm thông tin chẩn đoán.
TVUS phát hiện một ung thư đại tràng sigma nhỏ gây hẹp lòng ruột, kèm theo phản ứng xơ hóa dạng u sợi (desmoid) (*) trong lớp mỡ xung quanh.
Polyp tuyến
Một polyp đại tràng (mũi tên) được phát hiện trên cả CT và nội soi đại tràng, tuy nhiên do tình trạng gập góc liên quan đến dính ruột, polyp nằm ngoài tầm với của dụng cụ sinh thiết.
Các bác sĩ phẫu thuật cần thêm bằng chứng trước khi tiến hành cắt đoạn ruột qua nội soi ổ bụng.
TVUS cho thấy một khối trong lòng ruột, hình bầu dục, đặc, bờ rõ, không đồng nhất, tăng sinh mạch máu (mũi tên) với đường kính 1,5 cm.
Bệnh nhân được phẫu thuật cắt đoạn ruột, kết quả giải phẫu bệnh cho thấy polyp tuyến ác tính.
Ung thư trực tràng
Bệnh nhân nữ, 39 tuổi, có tiền sử viêm loét đại tràng 20 năm, nhập viện vì đi cầu ra máu.
TVUS xác nhận hình ảnh lớp dưới niêm mạc tăng âm dày lên (đầu mũi tên), phù hợp với viêm loét đại tràng mạn tính không hoạt động.
Ngoài ra còn phát hiện một ung thư biểu mô (CA) giảm âm ở thành trực tràng phía trước. Lưu ý tình trạng xóa mờ khu trú cấu trúc các lớp thành ruột và phản ứng xơ hóa mô đệm ở phía thanh mạc (*).
Viêm ruột thừa
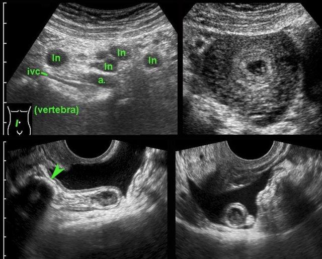
Bệnh nhân nữ trẻ, mang thai giai đoạn sớm, nhập viện vì đau vùng chậu sâu cấp tính.
Siêu âm phát hiện các hạch bạch huyết mạc treo phì đại (ln) và thai trong buồng tử cung còn nguyên vẹn.
Ruột thừa không được hiển thị. (ivc = tĩnh mạch chủ dưới, a = động mạch chậu).
TVUS dễ dàng phát hiện ruột thừa viêm đường kính 12 mm chứa sỏi phân lớn (đầu mũi tên).
Ruột thừa nằm ở vị trí trong vùng chậu và được bao quanh bởi dịch tự do.
Không có thủng tại thời điểm phẫu thuật.
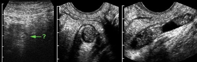
Ở bệnh nhân nữ béo phì, mang thai 3 tuần này, siêu âm qua thành bụng chỉ hiển thị được ruột thừa với hình ảnh nghi ngờ bất thường (← ?).
TVUS cho thấy ruột thừa giãn to, chứa đầy mủ, đang trong tình trạng viêm, nằm ở vị trí sâu trong vùng chậu.
Bệnh Crohn
Bệnh nhân nữ trẻ, mang thai 4 tuần, nhập viện vì đau hố chậu phải kéo dài 6 ngày và CRP 120.
Siêu âm phát hiện thành hồi tràng đoạn cuối dày lên với những thay đổi giảm âm ở lớp dưới niêm mạc, nghi ngờ bệnh Crohn.
TVUS bổ sung phát hiện một ổ áp-xe (a.) được bao bọc bởi lớp mỡ mạc treo và mạc nối (*).
Áp-xe vùng chậu sâu
Bệnh nhân nữ trẻ, đau bụng và sốt 10 ngày sau phẫu thuật vì viêm ruột thừa thủng.
CT cho thấy ổ tụ mủ hai thùy, nằm sát thành trực tràng dày, lòng rỗng (R.).
TVUS xác nhận ổ áp-xe và phát hiện một đường hầm giảm âm (*) từ ổ áp-xe thông vào lòng trực tràng (R.), kèm theo xóa mờ khu trú cấu trúc các lớp thành trực tràng đang phù nề.
Những dấu hiệu TVUS này, kết hợp với tình trạng lâm sàng của bệnh nhân đang cải thiện, là dấu hiệu của quá trình tự thoát lưu sắp xảy ra.
Ba ngày sau, ổ áp-xe thành dày gần như đã rỗng hoàn toàn.
Bệnh nhân hồi phục mà không cần dẫn lưu bằng phẫu thuật hay can thiệp dưới hướng dẫn hình ảnh.

Siêu âm đầu dò âm đạo (TVUS) trong Lạc nội mạc tử cung xâm lấn sâu
DIE là một bệnh lý phụ khoa có thể gây ra những hậu quả nghiêm trọng.
Thông qua các đợt chảy máu và tái hấp thu lặp đi lặp lại, cùng với sự hình thành mô sẹo, các ổ lạc nội mạc tử cung có thể gây đau, giao hợp đau và vô sinh.
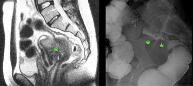
DIE, nếu khu trú tại túi cùng Douglas và túi cùng bàng quang-tử cung, có thể xâm lấn tích cực vào trực tràng, bàng quang và niệu quản, kéo theo nhiều biến chứng như tắc nghẽn đại tràng, rối loạn tiểu tiện và ứ nước thận.
Trong các trường hợp DIE nặng và kéo dài, khối mô sẹo lớn của DIE (*) có thể gây hẹp và cuối cùng là tắc nghẽn hoàn toàn lòng đại tràng.
Ở bệnh nhân nữ trẻ này với các triệu chứng đau bụng mạn tính không rõ nguyên nhân kéo dài nhiều năm, CT và MRI tiếp theo đã phát hiện lạc nội mạc tử cung lan rộng.
Ngoài ra, còn ghi nhận các nang lạc nội mạc tử cung lớn có dính (“buồng trứng hôn nhau”), ứ nước thận hai bên và tắc nghẽn hoàn toàn đại tràng do lạc nội mạc tử cung xâm lấn vào niệu quản và trực tràng.
Bối cảnh
Có nhiều nguyên nhân dẫn đến việc chẩn đoán DIE bị trì hoãn.
Các triệu chứng của DIE thường mạn tính, không điển hình và thường không theo chu kỳ.
TVUS phụ khoa thường cho thấy tử cung và buồng trứng bình thường.
Các xét nghiệm thường trong giới hạn bình thường và nội soi đại tràng trong DIE thường không có kết quả rõ ràng.
Ngay cả nội soi ổ bụng cũng có thể không chẩn đoán được vì DIE có thể ẩn dưới các dải dính.
MRI trong DIE (*) cho hình ảnh gần như đặc trưng bệnh lý, nhưng chỉ được thực hiện khi có nghi ngờ lâm sàng về lạc nội mạc tử cung.
TVUS cung cấp một cơ hội độc đáo để chẩn đoán DIE ở những bệnh nhân được khám thường quy vì các triệu chứng không đặc hiệu.
DIE tại trực tràng
Các hình ảnh thuộc về một bệnh nhân DIE với hình thái tử cung và buồng trứng bình thường.
DIE có các đặc điểm TVUS điển hình, gần như đặc trưng bệnh lý.
Mặc dù rõ ràng là một bệnh lý phụ khoa, nhưng không hiếm trường hợp bị các bác sĩ phụ khoa bỏ sót trong quá trình thực hiện TVUS.
Lý do là phần lớn bệnh nhân DIE (*) không có các nang lạc nội mạc tử cung điển hình và, như ở bệnh nhân này, có tử cung và buồng trứng bình thường (buồng trứng trái và buồng trứng phải). Hơn nữa, chẩn đoán TVUS của DIE đòi hỏi kiến thức chuyên sâu về hình ảnh siêu âm của ruột và bàng quang bình thường cũng như bệnh lý, kiến thức này có thể còn thiếu ở các bác sĩ phụ khoa.
(Xem thêm: “Siêu âm đường tiêu hóa: giải phẫu bình thường”)
Các ổ lạc nội mạc tử cung trên bề mặt ngoài của đại tràng ở bốn bệnh nhân khác nhau.
Các ổ lạc nội mạc tử cung (*) trong túi cùng Douglas là các khối đặc, giảm âm, kém mạch máu, khu trú không đối xứng, liên tục với lớp cơ giảm âm phía ngoài của đại tràng.
Lớp dưới niêm mạc tăng âm phía trên và niêm mạc đại tràng thường còn nguyên vẹn. Điều này cũng giải thích tại sao máu trong phân khá hiếm gặp trong DIE.
Bờ ngoài của các khối giảm âm này thường dính chặt vào tử cung và/hoặc cổ tử cung. Thường có thể thấy hình ảnh tua gai hoặc “kéo căng” ở các bờ ngoài.
Sự dính vào tử cung và cổ tử cung có thể được chứng minh bằng cách nhẹ nhàng đẩy đầu dò qua lại.
Trong khi đại tràng sigma và trực tràng bình thường có thể dễ dàng được đẩy ra khỏi tử cung bằng đầu dò (“dấu hiệu trượt”), các dải dính (mũi tên) thuộc về DIE (*) cản trở việc đưa đầu dò vào túi cùng sau.
Trong đoạn video này, đầu dò âm đạo được di chuyển nhẹ nhàng qua lại.
Ổ lạc nội mạc tử cung (*) đã hình thành các dải dính chắc giữa tử cung và đại tràng, ngăn cản việc đưa đầu dò sâu hơn về phía xương cùng.
Trong điều kiện bình thường, tử cung và đại tràng có thể dễ dàng được đẩy sang một bên.
Hình ảnh TVUS của DIE kèm theo bệnh phẩm phẫu thuật.
Ở bệnh nhân này, lớp dưới niêm mạc tăng âm của thành đại tràng sigma mặt trước rõ ràng phủ lên trên ổ lạc nội mạc tử cung lớn (*). Lưu ý thành đại tràng sigma mặt sau hoàn toàn bình thường.
Bệnh phẩm cắt bỏ cho thấy lớp (dưới) niêm mạc (các mũi tên) còn nguyên vẹn và phủ lên trên DIE (*). Đúng như dự đoán, bệnh nhân này cũng không có tiền sử chảy máu trực tràng.
Để hiểu đúng hình ảnh TVUS của DIE, đặc biệt là mối tương quan với hình ảnh MRI, điều quan trọng là phải nhận thức được sự khác biệt về định hướng được sử dụng trong hai phương thức hình ảnh này.
Trong ba hàng trên, “định hướng MRI” chiếm ưu thế, và do đó hình ảnh TVUS ở góc trên bên phải đã được: 1. lật ngang (ảnh gương) và 2. xoay ngược chiều kim đồng hồ khoảng 120 độ.
Mặc dù có thể lập luận rằng hình ảnh đã lật và xoay này tương ứng tốt hơn với MRI mặt phẳng đứng dọc, nhưng việc nhận dạng hình thái học được hỗ trợ tốt hơn khi sử dụng góc nhìn TVUS “kinh điển”, như được hiển thị trong hình ảnh phía dưới.
Phân biệt DIE với ung thư biểu mô
Phân biệt ung thư trực tràng với DIE tại trực tràng.
Cả hai bệnh lý đều biểu hiện là các khối đặc, bờ tương đối rõ, giảm âm vừa phải, khu trú không đối xứng xuất phát từ trực tràng với xu hướng làm hẹp lòng ruột. TVUS có thể là chìa khóa để phân biệt hai bệnh lý này.
Trong DIE, khối giảm âm kém mạch máu, khu trú ở bờ ngoài của trực tràng và liên tục với lớp cơ giảm âm. Lớp dưới niêm mạc và niêm mạc đại tràng còn nguyên vẹn.
Trong ung thư trực tràng, khối giảm âm giàu mạch máu và khối xuất phát từ niêm mạc, với mất cấu trúc lớp khu trú là hậu quả của sự phát triển khối u xuyên thành.
Phân biệt DIE với actinomycosis
Bệnh nhân nữ 43 tuổi với tiền sử đau vùng chậu dưới kéo dài. Trong quá trình siêu âm thường quy (không hiển thị ở đây), phát hiện dày thành trực tràng không đối xứng không rõ nguyên nhân kèm viêm mô mỡ xung quanh. Chỉ định chụp CT.
Hình ảnh
CT và MRI tiếp theo xác nhận các phát hiện trên siêu âm và còn cho thấy sự lan rộng của các bất thường đến mạc cạnh trực tràng và cổ tử cung.
Trong khối (*) có thể thấy các vùng hoại tử hoặc dịch nhỏ.
CRP là 2.
TVUS cho thấy dày thành trực tràng do phù nề với hình thái trực tràng còn lại bình thường, và một khối giảm âm không điển hình (*) ở phía sau bên phải, được bao quanh bởi mô mỡ tăng âm không thể nén ép.
Khối cảm giác rất cứng khi thăm khám. Chẩn đoán gợi ý là một thể DIE không điển hình.
Cuối cùng, sinh thiết qua nội soi đại tràng dưới hướng dẫn siêu âm nội soi (EUS) sâu cho thấy nhiễm trùng xơ hóa mức độ thấp, không có đặc điểm của lạc nội mạc tử cung hay ác tính. Chẩn đoán actinomycosis được đặt ra. Sau sáu tháng điều trị penicillin tĩnh mạch (qua port-a-cath), chỉ còn lại các bất thường tồn dư tối thiểu. Bệnh nhân hết đau. Mười lăm năm trước, bệnh nhân đã được tháo dụng cụ tử cung (IUD). CRP thấp phù hợp với nhiễm trùng mạn tính mức độ thấp kéo dài. Không có bằng chứng vi khuẩn học.
Lạc nội mạc tử cung tại bàng quang
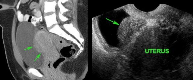
Phát hiện tình cờ “polyp bàng quang” (mũi tên) trên CT ở bệnh nhân nữ trẻ.
Xác nhận cấu trúc dạng polyp dẹt (mũi tên) bằng siêu âm bụng.
Nội soi bàng quang hoàn toàn bình thường, cho thấy khối được phủ bởi niêm mạc bàng quang bình thường.
TVUS chứng minh khối thực chất là một ổ lạc nội mạc tử cung và cho thấy bờ tăng âm (*) của tử cung bị mờ, gợi ý xâm lấn khu trú.
TVUS cũng phát hiện DIE trong túi cùng Douglas (không hiển thị ở đây).
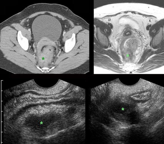
Bệnh nhân nữ 45 tuổi với tiền sử đau khi tiểu tiện kéo dài. Nội soi bàng quang âm tính.
CT cho thấy một khối dạng mảng bám, bờ không đều (mũi tên).
TVUS xác nhận một ổ lạc nội mạc tử cung lớn (mũi tên) trong khoang trước bàng quang (khoang Retzius). Lưu ý bờ không rõ với tử cung.














.jpg)















































