Siêu âm cột sống trẻ sơ sinh
Siêu âm là phương thức chẩn đoán hình ảnh được ưu tiên lựa chọn ở trẻ sơ sinh nghi ngờ loạn sản tủy sống ẩn (OSD).
OSD bao hàm sự hiện diện của một hoặc nhiều dị tật tủy sống, có thể gây ra tình trạng buộc chặt tủy sống và các thiếu hụt thần kinh, chức năng bàng quang hoặc ruột tiềm ẩn.
Siêu âm dễ thực hiện do cung sau đốt sống chưa được cốt hóa, tạo ra một cửa sổ âm học lý tưởng.
Đặc biệt, vùng thắt lưng cùng của ống sống với nón tủy và đuôi ngựa có thể được khảo sát rõ nét bằng đầu dò mảng tuyến tính độ phân giải cao.
Phân loại Loạn sản Tủy sống
Nứt đốt sống hở (Spina bifida aperta)
Loạn sản tủy sống hay nứt đốt sống là dị tật bẩm sinh do đóng không hoàn toàn cung thần kinh.
Bệnh được phân loại thành loạn sản hở (nứt đốt sống hở) và loạn sản kín (nứt đốt sống ẩn).
Loạn sản hở biểu hiện bằng một khối phồng ở lưng được phát hiện ngay khi sinh, có thể chứa màng não và dịch não tủy, gọi là thoát vị màng não, hoặc chứa các phần của tủy sống hay dây thần kinh, gọi là thoát vị màng não-tủy.
Không nên sử dụng siêu âm để khảo sát trực tiếp tổn thương trong loạn sản tủy sống hở.
Phương pháp này không cung cấp thêm nhiều thông tin và có thể gây nhiễm trùng.
Siêu âm có thể được sử dụng để khảo sát các phần cột sống phía trên, tìm kiếm các dị tật kèm theo, và hữu ích trong việc đo kích thước não thất sau khi phẫu thuật đóng thoát vị màng não-tủy.
Nứt đốt sống ẩn (Spina bifida occulta)
Trong loạn sản tủy sống kín hay ẩn, còn gọi là nứt đốt sống ẩn, da vùng tổn thương vẫn còn nguyên vẹn.
Dị tật được nghi ngờ khi có các thay đổi trên da như búi lông, u máu, đốm sắc tố, lỗ rò da hoặc khối dưới da.
Một lý do khác để thực hiện siêu âm là khi có dị tật bẩm sinh liên quan đến OSD như teo hậu môn.
Thuật ngữ OSD bao hàm sự hiện diện của một hoặc nhiều dị tật tủy sống, có thể gây ra tình trạng buộc chặt tủy sống và các thiếu hụt thần kinh, chức năng bàng quang/ruột tiềm ẩn.
Các thuật ngữ như dày hoặc nhiễm mỡ filum terminale, u mỡ tủy sống, dị tật tủy đôi, nang bì và rỗng tủy-não thủy đều là các thể khác nhau của OSD.
Giải phẫu bình thường
Tủy sống được hiển thị là một cấu trúc giảm âm rõ rệt với vùng tăng âm ở trung tâm.
Vùng tăng âm trung tâm này được cho là đại diện cho ranh giới giữa mép trước và rãnh giữa trước, chứ không phải ống trung tâm.
Hình ảnh cắt ngang tủy sống với vùng tăng âm trung tâm.
Hình ảnh cắt ngang vùng đuôi ngựa.
Đầu dưới của tủy phình to, đó là phình tủy thắt lưng.
Tủy thon dần thành một hình nón nhọn (mũi tên xanh).
Đuôi ngựa được quan sát như một bó các sợi di động.
Nếu trẻ nằm ở tư thế nghiêng, các sợi sẽ lắng xuống phía sau theo trọng lực.
Nếu trẻ được khảo sát ở tư thế nằm sấp với gối kê dưới bụng, các sợi sẽ di chuyển về phía bụng.
Filum terminale có thể được nhìn thấy như một sợi tăng âm mảnh.
Túi màng cứng kết thúc ở khoảng mức S2.
Phía xa hơn là mô mỡ.
Video giải phẫu bình thường trên mặt phẳng đứng dọc.
Luôn luôn thu nhận hình ảnh trên mặt phẳng cắt ngang.
Sự di động của các rễ thần kinh được quan sát rõ hơn trên mặt phẳng ngang so với mặt phẳng đứng dọc, đồng thời dễ dàng hơn trong việc đánh giá bệnh lý trong ống sống như filum terminale dày.
Ghi hình ở tư thế nằm nghiêng phải.
Các rễ thần kinh tập trung ở phía phụ thuộc trọng lực nhưng di động tự do.
Khi các rễ thần kinh không di động tự do, đây có thể là dấu hiệu của OSD.
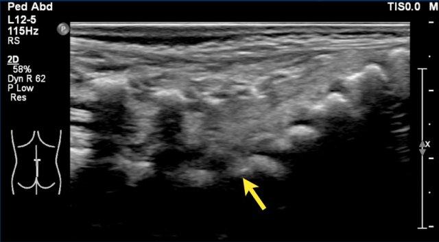
Vị trí của nón tủy
Vị trí bình thường của nón tủy là ở L1.
Nón tủy không được nằm dưới mức L2.
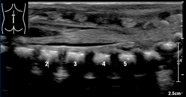
Cách tốt nhất để xác định vị trí của nón tủy là nhận diện khớp thắt lưng-cùng tại góc ưỡn giữa các đốt sống thắt lưng và cùng (mũi tên).
Có thể hữu ích khi gấp và duỗi khung chậu để quan sát điểm chuyển động của xương cùng.
Ở trẻ sơ sinh này, khớp thắt lưng-cùng khó nhận diện hơn do không có góc nhọn rõ ràng.
Các số thứ tự chúng tôi đã đánh dấu có thể không chính xác.
Nếu còn nghi ngờ, hãy chụp ảnh toàn cảnh hoặc ảnh kép của cột sống thắt lưng-cùng và so sánh số đốt sống đếm từ dưới lên với phim X-quang thẳng nghiêng.
Xương cụt, nếu chưa được cốt hóa, được cấu tạo bởi sụn giảm âm.
Thông thường có hình dạng gù.
Trên hình ảnh cắt ngang, không nên nhầm lẫn với ổ dịch hay áp xe.
Biến thể bình thường

Bé gái 2 tuần tuổi có lỗ rò vùng cùng. Có hình ảnh rỗng tủy nhẹ (mũi tên trắng) và nang trong filum terminale (mũi tên vàng), cả hai đều là biến thể bình thường.
Ống trung tâm
Trong hình ảnh này, ống trung tâm hiện diện như một đường vô âm mảnh trong tủy sống (mũi tên trắng).
Mặc dù đôi khi liên quan đến bệnh lý, đây thường là phát hiện bình thường.
Ventriculus terminalis
Một nang nhỏ được quan sát thấy ở phần gần của filum terminale.
Đây được gọi là ventriculus terminalis (hay não thất thứ năm).
Đôi khi được thấy ở nón tủy.
Nó được hình thành trong quá trình phôi thai và thường thoái triển hoàn toàn trong thời thơ ấu.
Nếu tồn tại dai dẳng, nó thường có kích thước nhỏ hơn 2 cm theo chiều đầu-đuôi và 2 mm theo chiều ngang, và được phát hiện như một phát hiện tình cờ không triệu chứng ở người lớn.
Đây là hình ảnh đứng dọc của bé gái 3 tháng tuổi được khảo sát do có đổi màu da vùng lưng dưới.
Giải phẫu tủy sống bình thường và không có dấu hiệu OSD.
Có hình ảnh xương cụt thẳng, đây là một biến thể bình thường.
Thông thường xương cụt có đầu cong về phía trước, nhưng đôi khi thẳng hoặc thậm chí cong về phía sau, đây cũng là biến thể bình thường.
Bệnh lý
Hội chứng tủy bị buộc chặt
Trong nhiều trường hợp, loạn sản tủy sống ẩn có thể không gây ra triệu chứng nào.
Tuy nhiên, trong một số trường hợp có thể xuất hiện các vấn đề thần kinh do tủy sống bị buộc chặt.
Hội chứng tủy bị buộc chặt là tình trạng cố định bệnh lý của tủy sống ở vị trí bất thường về phía đuôi, khiến tủy chịu lực kéo căng cơ học, biến dạng và thiếu máu cục bộ trong quá trình tăng trưởng và phát triển.
Trong những trường hợp này, siêu âm rất phù hợp để khảo sát nội dung ống sống và tìm kiếm các dấu hiệu liên quan đến hội chứng tủy bị buộc chặt (Bảng).









