Rò hậu môn
Rò quanh hậu môn là một bệnh lý thường gặp và hay tái phát do các ổ nhiễm trùng bị bỏ sót trong quá trình phẫu thuật.
Chụp MRI trước phẫu thuật có thể giúp ngăn ngừa tái phát.
Trong bài tổng quan này, chúng tôi sẽ trình bày về giải phẫu học, cơ chế bệnh sinh, phân loại và quy trình chụp MRI của rò quanh hậu môn.
Giải phẫu
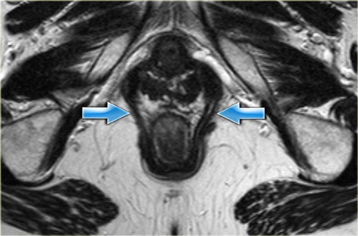
Về mặt giải phẫu, ống hậu môn trải dài từ da tầng sinh môn đến đường lược (linea dentata).
Về mặt phẫu thuật, ống hậu môn trải dài từ da tầng sinh môn đến vòng trực tràng-hậu môn.
Đây là bờ trên hình tròn của cơ mu-trực tràng, có thể sờ thấy khi thăm khám trực tràng bằng ngón tay.
Vòng trực tràng-hậu môn nằm cao hơn đường lược khoảng 1-1,5 cm.
Tổng chiều dài của ống hậu môn về mặt phẫu thuật vào khoảng 4-5 cm.
Cơ thắt hậu môn bao gồm ba lớp:
- Cơ thắt trong: là phần tiếp nối của lớp cơ trơn vòng của trực tràng, hoạt động không tự chủ, co lại khi nghỉ ngơi và giãn ra khi đại tiện.
- Khoang liên cơ thắt.
-
Cơ thắt ngoài: cơ vân hoạt động tự chủ, được chia thành ba lớp hoạt động như một đơn vị thống nhất.
Ba lớp này liên tục với cơ mu-trực tràng và cơ nâng hậu môn ở phía trên (hình minh họa).
Cơ mu-trực tràng có nguyên ủy từ hai bên khớp mu, tạo thành một ‘vòng đai’ bao quanh vùng trực tràng-hậu môn.
Cơ mu-trực tràng co lại khi nghỉ ngơi và tạo ra góc gập 80° tại vùng nối trực tràng-hậu môn.
Cơ này giãn ra trong quá trình đại tiện.
Trên các hình ảnh MRI mặt phẳng axial và coronal, các lớp khác nhau của cơ thắt hậu môn cùng các cấu trúc xung quanh có thể được hiển thị một cách rõ nét và chi tiết.
Rò quanh hậu môn
Rò quanh hậu môn là sự thông thương bất thường giữa bề mặt biểu mô hóa của ống hậu môn và da.
Các nguyên nhân gây rò quanh hậu môn:
-
Nguyên phát
- Tắc nghẽn tuyến hậu môn dẫn đến ứ đọng và nhiễm trùng, hình thành áp-xe và đường rò (nguyên nhân thường gặp nhất).
- Thứ phát
- Do thầy thuốc (phẫu thuật trĩ)
- Bệnh viêm ruột (bệnh Crohn thường gặp hơn viêm loét đại tràng)
- Nhiễm trùng (virus, nấm hoặc lao)
- Ác tính
Phân loại
Phân loại được sử dụng rộng rãi nhất là Phân loại Parks, phân biệt bốn loại rò: rò liên cơ thắt, rò xuyên cơ thắt, rò trên cơ thắt và rò ngoài cơ thắt.
Các loại rò thường gặp nhất là rò liên cơ thắt và rò xuyên cơ thắt.
Rò ngoài cơ thắt ít gặp và chỉ được thấy ở những bệnh nhân đã trải qua nhiều lần phẫu thuật.
Trong những trường hợp này, sự kết nối của đường rò ban đầu với ruột bị mất.
Rò nông là loại rò không liên quan đến cơ thắt hay các tuyến quanh hậu môn và không thuộc phân loại Parks.
Loại này thường gặp hơn trong bệnh Crohn hoặc sau các thủ thuật hậu môn trực tràng như cắt trĩ hoặc cắt cơ thắt.
Giao thức MR và Báo cáo
Giao thức
Cần có ảnh định vị theo ba hướng để căn chỉnh các chuỗi xung T2 theo mặt phẳng axial và coronal song song với ống hậu môn.
Có thể sử dụng bất kỳ ảnh định vị nào hiển thị rõ ống hậu môn.
Chúng tôi sử dụng chuỗi xung TRUE FISP, đây là tên gọi của Siemens cho chuỗi xung gradient-echo trạng thái ổn định (GE: FIESTA, Philips: balanced FFE).
Hình ảnh chuỗi xung T2W không có fatsat hiển thị giải phẫu tốt hơn, trong khi hình ảnh có fatsat mô tả các đường rò rõ ràng hơn.
Báo cáo
Khi mô tả một đường rò, cần đề cập các đặc điểm sau:
- Vị trí lỗ mở niêm mạc trên hình ảnh axial (sử dụng mặt đồng hồ hậu môn).
- Khoảng cách từ lỗ khuyết niêm mạc đến da quanh hậu môn trên hình ảnh coronal.
- Các đường rò phụ hoặc áp-xe.
Hình vẽ bên trái minh họa mặt đồng hồ hậu môn, tương ứng với góc nhìn của phẫu thuật viên vào vùng quanh hậu môn khi bệnh nhân ở tư thế nằm ngửa có đặt chân lên giá đỡ (2).
Sơ đồ này tương ứng với hướng của các hình ảnh MR axial vùng quanh hậu môn.
Các Ví dụ về Rò Quanh Trực Tràng
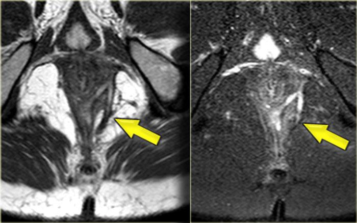
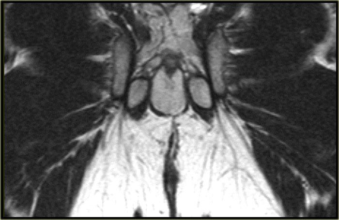
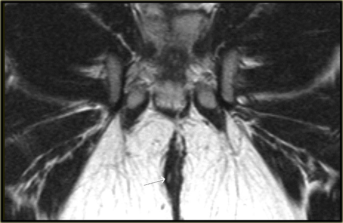
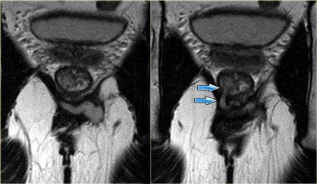
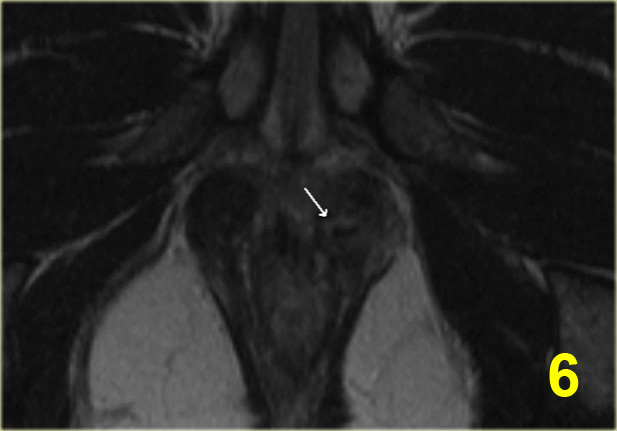
Rò liên cơ thắt
Bên trái là hình ảnh cắt ngang chuỗi xung T2W có và không có xóa mỡ.
Một đường rò liên cơ thắt nằm ở vị trí 6 giờ.
Tiếp tục xem hình ảnh mặt phẳng coronal.
Trên hình ảnh coronal, đường rò chạy xuống phía dưới về phía da.
Không có sự kết nối với cơ thắt ngoài.
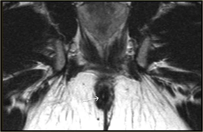
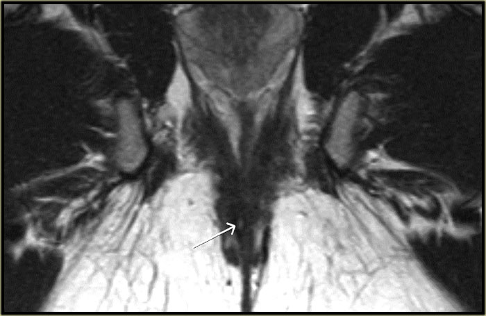
Bên trái là hình ảnh coronal của một bệnh nhân khác có rò liên cơ thắt.
Sử dụng các mũi tên để cuộn qua các hình ảnh.
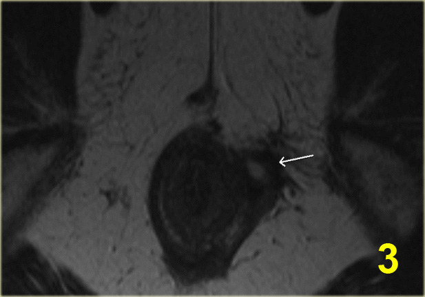
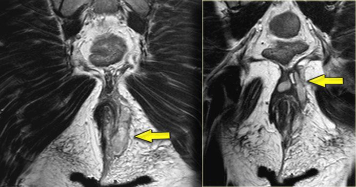
Rò xuyên cơ thắt
Bên trái là hình ảnh cắt ngang chuỗi xung T2W và T2W kết hợp xóa mỡ của một đường rò xuyên cơ thắt.
Khuyết hổng qua cơ thắt trong và cơ thắt ngoài ở vị trí 6 giờ hiện rõ và nổi bật hơn trên hình ảnh xóa mỡ.
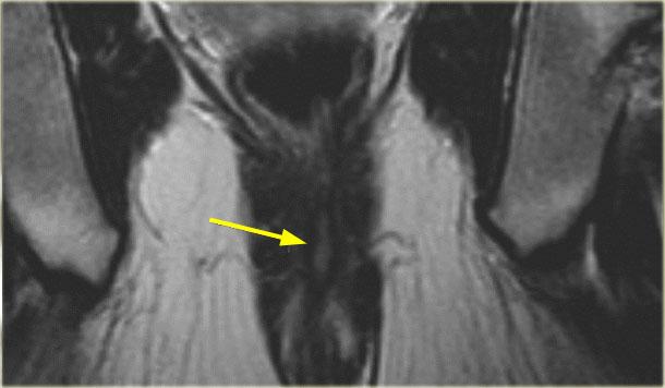
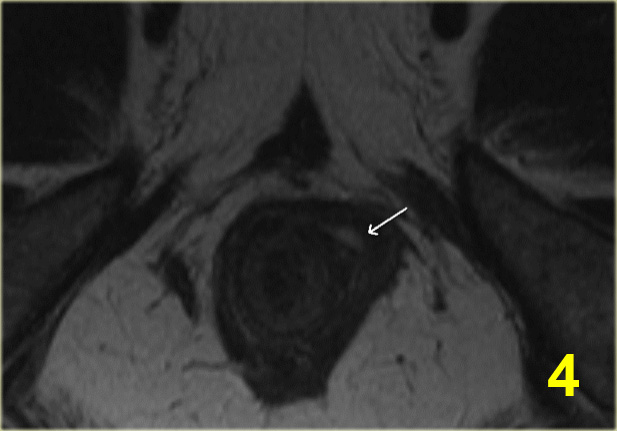
Bên trái là hình ảnh cắt ngang chuỗi xung T2W xóa mỡ của một đường rò xuyên cơ thắt với lỗ mở niêm mạc ở vị trí 11 giờ.
Bên trái là một ví dụ về rò trên cơ thắt.
Có hai đường rò trong vùng hố ngồi-hậu môn.
Đường rò bên phải chạy qua cơ mu-trực tràng (dấu hoa thị) và lỗ mở niêm mạc nằm ở
mức đường lược (mũi tên đen).
Rò ngoài cơ thắt
Bên trái là hình ảnh coronal chuỗi xung T2W của một ổ áp xe nhỏ trong hố ngồi-hậu môn trái, đường rò chạy xuyên qua cơ nâng hậu môn.
Do đó, đường rò nằm phía trên phức hợp cơ thắt và thuộc loại ngoài cơ thắt.
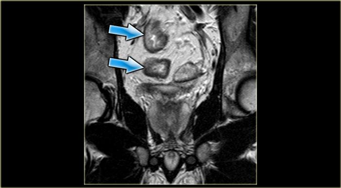
Rò phức tạp
Bên trái là một ví dụ về rò phức tạp.
Hai đường rò ở mông trái hợp thành một đường rò duy nhất (số 1-2).
Đường rò này xuyên qua cơ thắt ngoài (số 4).
Trong khoang liên cơ thắt, đường rò lại phân chia thành hai nhánh (số 5).
Một nhánh kết thúc mù trong khoang liên cơ thắt (số 6).
Nhánh còn lại xuyên qua cơ thắt trong với khuyết niêm mạc ở vị trí 1 giờ.
Bệnh Crohn
Bên trái là hình ảnh một bệnh nhân có rò quanh hậu môn trong bối cảnh bệnh Crohn.
Tiếp tục xem hình ảnh coronal.
Trên hình ảnh coronal, hình ảnh dày thành ruột được ghi nhận rõ ràng.
Hình ảnh cắt ngang xóa mỡ cho thấy tình trạng viêm xuyên thành với sự thâm nhiễm vào lớp mỡ mạc treo.
Điều trị
Mục tiêu điều trị tập trung vào việc loại bỏ đường rò nguyên phát và thứ phát, phòng ngừa tái phát và bảo tồn chức năng tự chủ đại tiện.
Phương pháp điều trị được lựa chọn tùy thuộc vào giải phẫu của đường rò. Đối với rò đơn giản có tổn thương niêm mạc thấp, có thể thăm dò bằng que thăm dò trong phòng mổ để xác định vị trí tổn thương niêm mạc tại đường lược, sau đó mở thông đường rò.
Phương pháp này chỉ khả thi khi cơ thắt ngoài không bị tổn thương.
Kỹ thuật rạch rò bằng chỉ Seton là phương pháp luồn một dây chằng cao su hoặc vòng mạch máu qua đường rò, sau đó siết chặt dần mỗi khoảng 2 tuần nhằm tạo ra hoại tử do áp lực, giúp chỉ Seton được kéo dần qua khối cơ.
Ưu điểm của kỹ thuật này là cơ được cắt từ từ đồng thời xơ hóa dần, nhằm hạn chế tối đa tổn thương đến phức hợp cơ thắt.
Trong trường hợp rò ngoài cơ thắt, phần dưới của đường rò sẽ được mở thông.
Tổn thương niêm mạc, theo định nghĩa nằm ở trực tràng, sau đó sẽ được đóng lại bằng phẫu thuật.
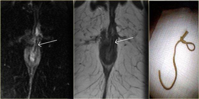
Bệnh nhân này đã được chẩn đoán trước đó là rò liên cơ thắt, với tổn thương niêm mạc ở vị trí 1 giờ.
Trong lòng đường rò có một cấu trúc dạng tuyến tính với tín hiệu thấp.
Đây là chỉ Seton đã được đặt vào để điều trị đường rò.
Chẩn đoán phân biệt
Xoang lông (Sinus pilonidalis)
Hình bên trái minh họa một trường hợp xoang lông điển hình.
Có một ổ áp-xe nhỏ ngay phía trên vùng mông.
Tổn thương không có liên quan đến phức hợp cơ thắt hậu môn.
Viêm trực tràng (Proctitis)
Hình bên trái là hình ảnh của một bệnh nhân đến khám vì các triệu chứng vùng hậu môn.
Không ghi nhận hình ảnh rò.
Tuy nhiên, có hình ảnh dày lan tỏa niêm mạc trực tràng do viêm trực tràng.
Áp-xe trong khoang ngồi-hậu môn (Ischioanal)
Ổ áp-xe nằm trong khoang ngồi-hậu môn, không có sự liên thông với phức hợp cơ thắt hậu môn.

































