…
Answers to ankle and foot cases
Foot
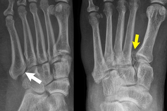
case 1 – distortion
The findings are:
- Khoảng cách lớn giữa nền xương bàn chân 1 và xương bàn chân 2 (mũi tên vàng).
- Bán trật khớp giữa xương hộp và nền xương đốt bàn chân thứ 5 (mũi tên trắng).
This means that there is a Lis Franck dislocation fracture.
CT xác nhận nhiều gãy xương ở mức độ các khớp cổ bàn chân (khớp Lisfranc).
Phức hợp dây chằng Lisfranc chạy giữa xương chêm trong (C1) và nền xương bàn chân thứ 2 và thứ 3.
It consists of 3 components:
- a dorsal ligament
- interosseous ligament
- dây chằng gan chân, có các điểm bám vào nền xương bàn chân 2 và xương bàn chân 3.
Nền của các xương đốt bàn chân tạo thành hình vòm giúp ổn định phần giữa bàn chân.
Giống như các vòm cửa sổ cổ, cần có một viên đá khóa vòm ở đỉnh để khép kín vòm lại.
Nếu viên đá này bị lấy đi, toàn bộ vòm sẽ sụp đổ.
Ở bàn chân, nền xương đốt bàn chân thứ 2 là viên đá khóa của vòm bàn chân.
Nếu nó mất kết nối với các xương đốt bàn chân khác, vòm bàn chân sẽ sụp đổ.
Điều này cũng sẽ dẫn đến nhiều vết bong gân của các dây chằng nối các nền xương đốt bàn chân với nhau.
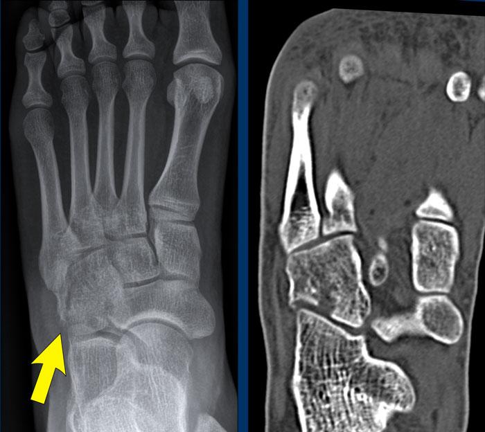
case 2 – chronic pain post ankle sprains
The findings are:
- mỏm trước xương gót kéo dài khớp với xương thuyền.
- the diagnosis is calcaneonavicular coalition.
Xương gót và xương thuyền thường không khớp với nhau.
Trong trường hợp liên kết xương, có thể thấy một cầu xương nối liền hai xương này.
Compare to the normal situation.
Với liên kết xơ hoặc sụn, các xương nằm gần nhau, cả hai đều có bề mặt không đều, và phần trước trong của xương gót bất thường bị giãn rộng hoặc phẳng dẹt.
Trên phim X-quang tư thế bên, sự kéo dài của phần lưng trước xương gót có thể mô phỏng hình ảnh mũi con thú ăn kiến.
Thiểu sản xương sên đôi khi được quan sát thấy trong liên kết gót-thuyền.
Trên CT, chúng ta thấy sự hợp nhất giữa xương gót và xương thuyền.
CT cho thấy xơ cứng xương và các nang dưới sụn như là dấu hiệu của ‘ma sát’ do khớp tân tạo.
MRI cho thấy phù tủy xương như là dấu hiệu của sự hợp nhất có triệu chứng.
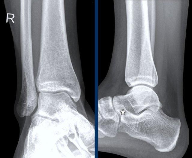
case 3 – distortion
The findings are:
- Avulsion of the medial pole of navicular bone
- Fracture on the lateral side of the calcaneus
Điều này có nghĩa là có một tổn thương ở khớp Chopart, khớp này có hình chữ S và được tạo thành bởi khớp nối giữa xương gót với xương hộp và khớp nối giữa xương sên với xương thuyền.
Các cử động ở khớp này rộng hơn so với các khớp cổ chân khác và bao gồm một loại chuyển động xoay với bàn chân được đưa về phía trong (lật trong) hoặc về phía ngoài (lật ngoài).
Nghịch chuyển dẫn đến phân tâm khớp gót-hộp theo kiểu nén ép và khớp sên-thuyền thường kèm theo gấp lòng, điều này cũng có thể dẫn đến bong gân giật ở mặt lưng của khớp sên-thuyền.
Lộn ngoài dẫn đến sự giãn cách ở phía khớp sên-thuyền với hoặc là đứt rời gân cơ chày sau hoặc là gãy xương do bong gân và sự nén ép ở phía khớp gót-hộp (gãy kiểu kẹp hạt).
Điều này có nghĩa là khi bạn thấy một gãy xương, có thể còn có nhiều gãy xương khác kết hợp với đứt dây chằng và các mảnh avulsion nhỏ.
Trong trường hợp này, có sự lật ngoài kèm giãn cách ở phía khớp sên-thuyền với avulsion cực trong của xương thuyền (mũi tên vàng) và lực nén ở phía khớp gót-hộp dẫn đến gãy xương kiểu kẹp hạt (mũi tên trắng).
case 4 – distortion
Đây là một trường hợp khác của gãy xương kiểu hạt dẻ do lực nén ở phía bên ngoài của cổ chân do sự lật ngoài ở khớp Chopart.
Sự lật ngoài cũng có thể dẫn đến tổn thương giãn cách ở phía xương sên-thuyền với hoặc là đứt rời gân cơ chày sau hoặc là bong điểm bám của cực trong xương thuyền, nơi gân bám vào, như đã thấy trong trường hợp 2.
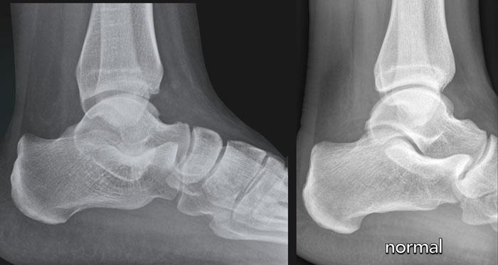
case 5 – chronic pain
The findings are:
- narrowing of the posterior subtalar joint with sclerosis
- C sign
Khớp dưới sên bao gồm các diện khớp trước, giữa và sau. Hợp khối xương sên-gót thường gặp nhất ở diện khớp giữa tại mức độ của mỏm chống sên.
Hợp khối xương sên-gót có thể khó quan sát trên các tư thế chụp X-quang tiêu chuẩn của bàn chân do hướng phức tạp của khớp dưới sên.
Một số dấu hiệu X-quang thứ phát của liên hợp xương sên-gót đã được mô tả, bao gồm:
- Talar beak
- Narrowing of the posterior subtalar joint
- Rounding of the lateral talar process
- Thiếu hình ảnh mô tả các diện khớp giữa trên phim X-quang thẳng.
- C-sign
Mỏ xương sên xảy ra do sự suy giảm chuyển động của khớp dưới sên, dẫn đến xương thuyền trượt lên trên xương sên. Sự nâng màng xương xảy ra tại điểm bám của dây chằng sên-thuyền, và cuối cùng, một chu kỳ sửa chữa xương dẫn đến sự hình thành mỏ xương sên.
Dấu hiệu “C” là một đường hình chữ C trên phim chụp nghiêng, phác thảo vòm xương sên phía trong và xương chêm sau dưới. Dấu hiệu C xuất hiện do sự cầu nối xương giữa vòm xương sên và xương chêm, cũng như đường viền dưới nổi bật của xương chêm.
Khi chùm tia X chiếu tiếp tuyến với đường viền sau dưới của xương chêm bất thường trên một khoảng cách dài, một hình chữ “C” liên tục được tạo thành. Dấu hiệu C có thể được quan sát thấy trong cả các liên kết xương và không xương.
Hình ảnh
Trên hình ảnh T1W, có sự hợp nhất xương và cứng khớp của xương sên với xương gót.
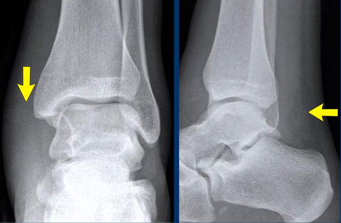
Ankle
case 1 – distortion
The findings are:
- gãy xương thẳng đứng của mắt cá trong (mũi tên vàng).
Đây không phải là gãy xương do giật hay kéo, mà là gãy xương do đẩy. - Có thể có một avulsion của mắt cá ngoài (mũi tên trắng), nhưng điều đó chưa chắc chắn.
Tuy nhiên điều này không quan trọng vì chúng tôi sẽ trình bày ngay sau đây.
Gãy dọc mắt cá trong là gãy do lực đẩy.
Theo Lauge-Hansen, gãy xương xảy ra do lực khép trên bàn chân sấp.
Phía bên ngoài chịu lực căng cực độ với sự kéo giãn trên dây chằng bên ngoài.
Trong giai đoạn 1, có thể xảy ra đứt dây chằng bên ngoài hoặc gãy xương bong điểm bám (còn được gọi là Weber A).
Trong giai đoạn 2 luôn có gãy xương thẳng đứng của mắt cá trong và phải có hoặc là bong điểm bám của mắt cá ngoài hoặc đứt dây chằng bên vì các trình tự này luôn theo thứ tự này với giai đoạn 1 trước rồi đến giai đoạn 2.
Điều này có nghĩa là, dù chúng ta có thấy gãy xương ở phía bên ngoài hay không thì cũng không quan trọng.
Chắc chắn phải có tổn thương ở cả phía trong lẫn phía ngoài và chúng ta hiện biết rằng cổ chân không ổn định, vì vòng ổn định đã bị phá vỡ ở hai vị trí.
Here another unstable ankle fracture.
Theo Lauge-Hansen đây là giai đoạn SA 2.
Theo Weber đây là Weber A với gãy xương thêm ở mắt cá trong.
case 2 – distortion
Trong trường hợp này, phát hiện rõ ràng nhất là gãy mắt cá sau.
Điều này cần thúc đẩy bạn tìm kiếm các phát hiện khác, vì gãy mắt cá sau đơn độc là cực kỳ hiếm gặp và có thể không tồn tại.
You need to look at the algoritm for ankle fractures..
Algoritm for ankle fractures
Trong thuật toán, gãy mắt cá sau là một trong hai trường hợp:
- Giai đoạn 3 của gãy xương Weber B
(còn gọi là Ngửa-Xoay ngoài theo phân loại Lauge-Hansen) hoặc - Giai đoạn 4 của gãy xương Weber C
(còn gọi là Sấp – Xoay ngoài theo phân loại Lauge-Hansen)
Điều này có nghĩa là chúng ta phải tìm kiếm các dấu hiệu khác.
Vì không có dấu hiệu của gãy xương Weber B, đây phải là gãy xương Weber C.
Có những dấu hiệu nào khác ủng hộ chẩn đoán gãy xương Weber C không?
Có.
Bây giờ chúng ta nhận thấy sưng nề mô mềm ở phía trong và một mảnh avulsion nhỏ, đây là giai đoạn 1 của tổn thương này.
Chúng tôi hiện có thể dự đoán gãy xương mác cao, điều này đã được xác nhận bằng chụp X-quang toàn bộ cẳng chân.
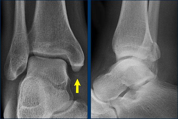
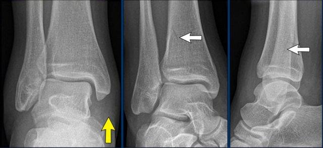
case 3 – distortion
Đây là một trường hợp khác của gãy xương mắt cá sau.
Again we have to look at the algoritm for ankle fractures…
Gãy mắt cá sau được thấy trong gãy xương Weber B hoặc Weber C.
Trong trường hợp này, chúng ta đã thấy một gãy xương chéo của mắt cá ngoài, điều này có nghĩa là chúng ta đang đối mặt với gãy xương Weber B.
Bây giờ chúng ta chỉ cần xác định đây là giai đoạn nào.
Giai đoạn 2 phổ biến nhất là ổn định, nhưng giai đoạn 3 và 4 thì không ổn định.
Trong trường hợp này, chúng ta đã ở giai đoạn 3 và muốn tìm kiếm các dấu hiệu của giai đoạn 4.
Một khối sưng mô mềm đau khi thăm khám đã có thể chỉ ra giai đoạn 4, nhưng trong trường hợp này còn có thêm.
Có thể bạn muốn quay lại xem phim X-quang trước khi tiếp tục đọc…
In this case we are looking for a stage 4.
Bây giờ bạn chú ý đến sưng phần mềm ở phía trong (mũi tên).
Tuy nhiên, phát hiện quan trọng nhất là sự không đều và tính thấu quang của phần trên mắt cá trong.
Nếu dùng trí tưởng tượng, bạn có thể xác định một đường gãy ở đây, điều mà bạn sẽ không nhận ra nếu không sử dụng thuật toán.
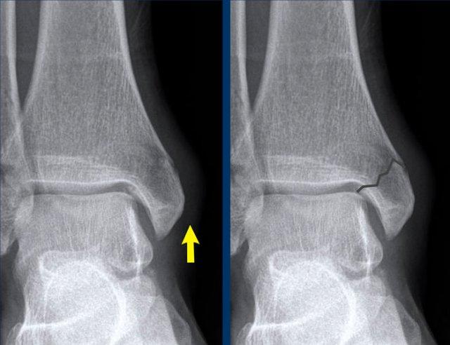
case 4 – distortion
Điều duy nhất chúng tôi nhận thấy là sưng nề mô mềm, đặc biệt ở phía trong.
Continue with the ankle injury algoritm…
Tổn thương các bó dây chằng bên trong có thể gặp trong gãy xương Weber B giai đoạn 4.
Tuy nhiên không có dấu hiệu của gãy xương Weber B.
Khả năng khác là có gãy xương Weber C kèm gãy xương mác cao, không hiển thị trên phim X-quang cổ chân.
Đứt dây chằng delta là giai đoạn 1 và tổn thương có thể dừng lại ở đó hoặc tiến triển đến giai đoạn 2, 3 hoặc thậm chí giai đoạn 4.
Chúng ta cần chụp thêm X-quang toàn bộ cẳng chân để xác định chúng ta đang đối mặt với giai đoạn nào.
Continue with the x-rays of the lower leg…
Có thể thấy gãy xương mác cao (Maisonneuve).
Thông thường bệnh nhân chỉ cảm thấy đau ở vùng cổ chân do đứt dây chằng rất đau và không chú ý đến gãy xương mác.
case 5 – distortion
Có thể thấy một đường gãy nhỏ trên hình chiếu Morrison và hình chiếu bên.
Đây là gãy xương tertius lớn.
Không có dấu hiệu gãy xương mác kiểu Weber B.
Sự kết hợp của gãy xương này và tình trạng sưng nề phần mềm ở phía trong cho thấy chúng ta đang đối mặt với tổn thương loại Weber C (hoặc tổn thương xoay ngoài do sấp theo phân loại Lauge-Hansen).
Tổn thương dải bên trong ở giai đoạn 1 và gãy xương tertius ở giai đoạn 4.
Điều này có nghĩa là đây là một gãy xương không ổn định.
Phải có gãy xương mác cao.



























