Phân loại TNM phiên bản thứ 9
Giới thiệu
Mục đích của Phân loại TNM
Phân loại TNM cung cấp một danh pháp chuẩn hóa để mô tả mức độ lan rộng về mặt giải phẫu của bệnh, tạo điều kiện thuận lợi cho việc trao đổi thông tin nhất quán về kết quả điều trị của bệnh nhân cũng như khả năng áp dụng dữ liệu lâm sàng vào từng trường hợp cụ thể.
Phạm vi Áp dụng
Hệ thống phân loại TNM cho ung thư phổi được áp dụng cho cả ung thư phổi không tế bào nhỏ (NSCLC) và tất cả các u tân sinh thần kinh nội tiết, bao gồm ung thư phổi tế bào nhỏ (SCLC) và u carcinoid điển hình. Hệ thống này không áp dụng cho sarcoma phổi, u lympho hoặc các khối u hiếm gặp khác.
Bảng phân loại TNM phiên bản thứ 9
TNM phiên bản thứ 9
Những cập nhật chính trong phiên bản thứ 9
Phiên bản thứ 9 của hệ thống phân loại TNM ung thư phổi được trình bày trong bảng kèm theo. Các thay đổi đáng chú ý so với phiên bản thứ 8 được đánh dấu bằng màu đỏ:
- Thành phần T: Không có thay đổi.
- Thành phần N: Tổn thương N2 được phân chia thành N2a (một trạm hạch N2 đơn độc) và N2b (nhiều trạm hạch).
- Thành phần M: Phân loại M1c được chia nhỏ thành M1c1 (nhiều di căn trong một hệ cơ quan) và M1c2 (di căn ở nhiều hệ cơ quan).
Những sửa đổi này dẫn đến sự sắp xếp lại một số nhóm giai đoạn, được trình bày chi tiết trong bảng tiếp theo.
Tiền tố và Danh mục Đánh giá
Một số tiền tố xác định bối cảnh của phân loại TNM:
- Giai đoạn lâm sàng (c): Được xác định dựa trên tất cả thông tin có sẵn trước điều trị.
- Giai đoạn bệnh lý (p): Được xác định dựa trên kết quả sau phẫu thuật cắt bỏ; chỉ áp dụng trong bối cảnh này.
- Phân giai đoạn lại (y): Áp dụng sau khi điều trị một phần hoặc toàn bộ, trong trường hợp không có phẫu thuật cắt bỏ (ycTNM) hoặc sau phẫu thuật cắt bỏ (ypTNM).
Danh mục đánh giá (‘E’) được khuyến nghị sử dụng để chỉ loại xét nghiệm chẩn đoán:
- E1: Khám lâm sàng
- E2: Chẩn đoán hình ảnh
- E3: Lấy mẫu mô (E3a: tế bào học; E3b: mô bệnh học)
- E4: Phẫu thuật cắt bỏ
Ví dụ:
- cT2aN2aM0 E3a: Xác nhận tình trạng N bằng tế bào học được sử dụng để phân giai đoạn trước điều trị.
- pT1cN0M0 E4: Phân giai đoạn dựa trên phẫu thuật cắt bỏ triệt để.
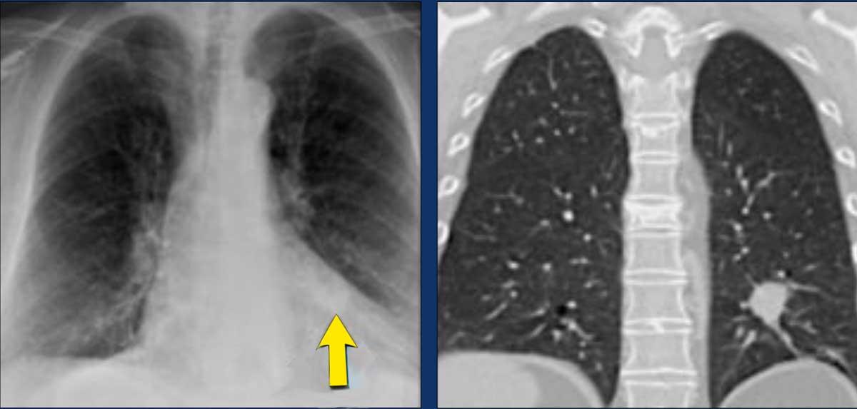
Tổn thương bán đặc
Các tổn thương bán đặc trong ung thư phổi có hình thái kính mờ, phản ánh kiểu tăng trưởng lepidic — được định nghĩa là tế bào khối u tăng sinh dọc theo bề mặt phế nang mà không có xâm lấn. Những tổn thương này có thể có hoặc không có thành phần đặc bên trong, thành phần này được cho là đại diện cho phần xâm lấn của khối u.
Đánh giá trên Chẩn đoán Hình ảnh Báo cáo chẩn đoán hình ảnh đối với ung thư phổi bán đặc phải ghi nhận cả kích thước tổng thể của tổn thương và, nếu có, kích thước của bất kỳ thành phần đặc nào. Các số đo cần được thực hiện trên các lát cắt CT mỏng liên tiếp (<1,5 mm) tái tạo theo cửa sổ phổi.
Phân loại Ung thư Phổi Bán Đặc
Ung thư phổi bán đặc được phân loại như minh họa trong các hình kèm theo.
- Tổn thương kính mờ thuần túy
- Các tổn thương có kích thước tổng thể ≤30 mm được phân loại theo kích thước tổng thể lớn nhất và được xếp loại tối đa là ung thư biểu mô tại chỗ (cTis).
- Các tổn thương >30 mm được phân loại ít nhất là cT1a, bất kể hình thái kính mờ thuần túy hay bán đặc.
- Tổn thương bán đặc (Kính mờ có thành phần đặc)
- Khi có thành phần đặc, phân loại dựa trên kích thước lớn nhất của thành phần đặc, được cho là đại diện cho thành phần xâm lấn trên mô bệnh học.
- Ví dụ:
- Tổn thương có kích thước tổng thể ≤30 mm với thành phần đặc ≤5 mm được phân loại là cT1mi (xâm lấn tối thiểu).
- Tổn thương có kích thước tổng thể >30 mm với thành phần đặc ≤5 mm được phân loại là cT1a, do kích thước tổng thể vượt ngưỡng 30 mm để phân loại cT1a.
- Tùy thuộc vào kích thước của thành phần xâm lấn, các tổn thương bán đặc cũng có thể được phân loại là cT1b (thành phần đặc 11–20 mm) hoặc cT1c (thành phần đặc 21–30 mm).
Phân giai đoạn TNM và Nhóm Tiên lượng
Các phân nhóm của danh mục T, N và M được tổng hợp thành các nhóm giai đoạn riêng biệt, do các bệnh nhân trong mỗi nhóm có kết quả tiên lượng tương đồng.
Ví dụ, bệnh cT1N0M0 (giai đoạn IA) có tỷ lệ sống sót 5 năm khoảng 82%.
Ngược lại, bệnh M1c (giai đoạn IVB) có tỷ lệ sống sót 5 năm khoảng 7%.
Phiên bản thứ 9 của phân loại TNM giới thiệu sự sắp xếp lại các danh mục T và N trong các nhóm giai đoạn IIA, IIB, IIIA và IIIB (xem Bảng).
Tất cả các danh mục giai đoạn khác không thay đổi so với phiên bản trước.
Phân loại T
T1 – T4
Khối u T1
Kích thước khối u được xác định bởi kích thước lớn nhất của thành phần xâm lấn, dựa trên kết quả giải phẫu bệnh hoặc dữ liệu lâm sàng (tức là thành phần đặc trên các lát cắt CT mỏng liên tiếp được tái tạo ở cửa sổ phổi).
Kích thước lớn nhất của khối u có thể được xác định trên các mặt phẳng tái tạo đa chiều thay vì chỉ trên mặt phẳng axial.
Khối u T1 (≤ 3 cm, được bao quanh bởi nhu mô phổi/màng phổi tạng, hoặc nằm ở phế quản thùy hay xa hơn về phía ngoại vi).
- T1mi: Ung thư biểu mô tuyến xâm lấn tối thiểu.
- T1a: Khối u có kích thước lớn nhất ≤1 cm.
- T1b: Khối u có kích thước lớn nhất >1 cm nhưng ≤2 cm.
- T1c: Khối u có kích thước lớn nhất >2 cm nhưng ≤3 cm.
Ví dụ:
Một khối u T1 điển hình ở thùy dưới phổi trái (23 mm, cT1c), được bao quanh hoàn toàn bởi nhu mô phổi.
Khối u T2
Khối u T2 được đặc trưng bởi bất kỳ đặc điểm nào sau đây:
- T2a:
- Khối u có kích thước lớn nhất >3 cm nhưng ≤4 cm.
- Xâm lấn màng phổi tạng hoặc thùy phổi kề cận.
- Xâm lấn phế quản gốc (không bao gồm carina).
- Kết hợp với xẹp phổi hoặc viêm phổi tắc nghẽn lan đến vùng rốn phổi, liên quan đến một phần hoặc toàn bộ phổi.
- T2b:
- Khối u có kích thước lớn nhất >4 cm nhưng ≤5 cm, có hoặc không kèm theo các đặc điểm T2a khác.
Ví dụ:
Một khối u T2 điển hình với xẹp phổi/viêm phổi thùy dưới trái lan đến rốn phổi, thứ phát do xâm lấn phế quản thùy dưới trái (31 mm, pT2a).
Khối u T3
Khối u T3 được xác định bởi bất kỳ đặc điểm nào sau đây:
- Khối u có kích thước lớn nhất >5 cm nhưng ≤7 cm.
- Xâm lấn màng phổi thành hoặc thành ngực.
- Xâm lấn màng ngoài tim, thần kinh hoành, hoặc tĩnh mạch azygos.
- Xâm lấn các rễ thần kinh ngực (ví dụ: T1, T2) hoặc hạch sao.
- Có nốt khối u riêng biệt trong cùng thùy với khối u nguyên phát.
Lưu ý:
- Xâm lấn trực tiếp các cấu trúc lân cận (ví dụ: thần kinh hoành, động mạch chủ, thành ngực) bởi khối u nguyên phát được tính vào việc xác định phân loại T.
- Xâm lấn trực tiếp vào hạch bạch huyết được phân loại là tổn thương hạch bạch huyết (phân loại N).
- Xâm lấn trực tiếp vào cơ quan ngoài lồng ngực (ví dụ: gan) không được phân loại là tổn thương M1.
Ví dụ:
Một khối u T3 điển hình ở thùy trên phổi phải với xâm lấn thành ngực (59 mm, cT3).
Khối u T4
Khối u T4 được xác định bởi bất kỳ đặc điểm nào sau đây:
- Khối u có kích thước lớn nhất >7 cm.
- Xâm lấn trung thất, tuyến ức, khí quản, carina, thần kinh thanh quản quặt ngược, thần kinh phế vị, thực quản, hoặc cơ hoành.
- Xâm lấn tim, các mạch máu lớn, động mạch/tĩnh mạch phổi trong màng ngoài tim, các động mạch trên quai động mạch chủ, tĩnh mạch tay đầu, mạch máu dưới đòn, thân đốt sống, mảnh cung sau đốt sống, ống sống, các rễ thần kinh cổ, hoặc đám rối thần kinh cánh tay.
- Có nốt khối u riêng biệt ở thùy phổi khác cùng bên.
Ví dụ:
- Một khối u T4 điển hình ở thùy trên phổi phải với xâm lấn trung thất.
- Xâm lấn động mạch phổi phải.
- Xâm lấn carina.
- Xâm lấn nhĩ trái.
Phân giai đoạn khi có nhiều vị trí ác tính
Trong một số trường hợp, nhiều vị trí ung thư phổi được nghi ngờ trên cùng một bệnh nhân.
Việc xác định bản chất của tính đa ổ là điều cần thiết, vì các dạng khác nhau có hành vi sinh học riêng biệt và phải tuân theo các quy tắc phân loại TNM đặc thù.
Các dạng được ghi nhận bao gồm:
- Ung thư nguyên phát đồng thời (Synchronous Primary Malignancies)
- Các nốt khối u riêng biệt cùng loại ác tính
- Tổn thương kính mờ hoặc dạng lepidic đa ổ
- Ung thư dạng viêm phổi lan tỏa
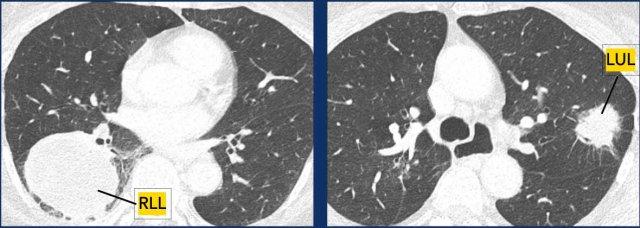
1. Ung thư nguyên phát đồng thời
- Mỗi khối u được phân giai đoạn riêng biệt với phân loại TNM của chính nó. Ví dụ:
Ví dụ
- T4N0M0 ở thùy dưới phổi phải (RLL).
- T2bN1M0 ở thùy trên phổi trái (LUL).
2. Các nốt khối u riêng biệt cùng loại ác tính
- T3: Nếu các nốt nằm trong cùng một thùy.
- T4: Nếu các nốt nằm cùng bên nhưng ở các thùy khác nhau.
- M1a: Nếu các nốt nằm ở thùy phổi đối bên.
- Một phân loại N và M duy nhất được áp dụng cho tất cả các nốt.
Ví dụ:
- T3N2aM0 ở thùy trên phổi phải (RUL), với phân loại T3 dựa trên nốt riêng biệt trong cùng thùy.
3. Tổn thương kính mờ hoặc dạng lepidic đa ổ
- Giai đoạn T được xác định bởi tổn thương chiếm ưu thế nhất.
- Một phân loại N và M duy nhất được áp dụng cho tất cả các tổn thương.
- Tính đa ổ được ký hiệu là (#/m), ví dụ ba tổn thương được ký hiệu là 3/m.
Ví dụ:
- T1aN0M0 (2/m), với phân loại T1a dựa trên tổn thương chiếm ưu thế ở thùy dưới phổi phải (RLL).
4. Ung thư dạng viêm phổi lan tỏa
- T3: Nếu khu trú trong cùng một thùy.
- T4: Nếu hiện diện cùng bên nhưng ở các thùy khác nhau.
- M1a: Nếu hiện diện ở thùy phổi đối bên.
- Một phân loại N và M duy nhất được áp dụng cho tất cả các tổn thương.
Ví dụ:
- T4N1M0, với phân loại T4 dựa trên tổn thương ở thùy dưới phổi phải (RLL).
Phân giai đoạn N
Hệ thống Phân loại Hạch bạch huyết Vùng
Sự xâm lấn hạch bạch huyết vùng trong ung thư phổi bao gồm các hạch trong lồng ngực, hạch cơ bậc thang (scalene) và hạch thượng đòn. Sự xâm lấn các vị trí ít gặp hơn, như hạch cạnh xương ức hoặc hạch nách, được xem là bệnh di căn.
Bản đồ hạch bạch huyết của Hiệp hội Quốc tế Nghiên cứu Ung thư Phổi (IASLC) được sử dụng để phân loại:
- Hạch cổ thấp, thượng đòn và khuyết ức
- Hạch cạnh khí quản trên
- Hạch trước mạch máu (3A): Hạch nằm trước các mạch máu, không tiếp giáp với khí quản
- Hạch trước cột sống (3P): Hạch nằm sau thực quản, trong khoang trước cột sống
- Hạch cạnh khí quản dưới
- Hạch dưới động mạch chủ (cửa sổ phế động mạch)
- Hạch cạnh động mạch chủ (động mạch chủ lên hoặc thần kinh hoành)
- Hạch dưới carina
- Hạch cạnh thực quản
- Hạch dây chằng phổi: Nằm trong các dây chằng phổi
- Hạch rốn phổi: Nằm ngoài trung thất
Chẩn đoán Hình ảnh
CT không đáng tin cậy để phân giai đoạn hạch bạch huyết ở bệnh nhân ung thư phổi không tế bào nhỏ (NSCLC), bất kể ngưỡng kích thước được chọn là bao nhiêu.
PET-CT đáng tin cậy hơn đáng kể trong việc xác định tình trạng N, mặc dù có thể xảy ra dương tính giả trong các bệnh như sarcoidosis, lao và các bệnh nhiễm trùng khác.
PET-CT có giá trị tiên đoán âm tính cao.
Định nghĩa các Tầng Hạch bạch huyết theo IASLC
- Tầng 1 (N3): Bao gồm hạch cổ thấp, thượng đòn và khuyết ức. Ranh giới dưới là xương đòn hai bên và, ở đường giữa, là bờ trên của cán ức. Cần phân biệt quan trọng giữa tầng 1 (N3) và hạch tầng 2 và 3 (N2).
- Tầng 2R: Ranh giới trên là đỉnh phổi và, ở đường giữa, là bờ trên của cán ức. Ranh giới dưới là giao điểm của bờ dưới tĩnh mạch vô danh với khí quản. Ranh giới trong là bờ bên trái của khí quản.
- Tầng 2L: Kéo dài từ đỉnh phổi và bờ trên của cán ức đến bờ trên của quai động mạch chủ.
- Tầng 4R: Bao gồm hạch cạnh khí quản phải và trước khí quản, kéo dài đến bờ bên trái của khí quản, từ giao điểm của bờ dưới tĩnh mạch vô danh với khí quản đến bờ dưới của tĩnh mạch đơn.
- Tầng 4L: Hạch nằm bên trái của bờ bên trái khí quản, nhưng ở phía trong của dây chằng động mạch, từ bờ trên của quai động mạch chủ đến bờ trên của động mạch phổi trái chính.
- Tầng 5: Hạch dưới động mạch chủ nằm bên ngoài dây chằng động mạch, không nằm giữa động mạch chủ và thân động mạch phổi.
- Tầng 10R: Hạch rốn phổi phải đến bờ dưới của tĩnh mạch đơn, bao gồm cả hạch ở vị trí trước carina.
- Tầng 10L: Hạch rốn phổi trái kéo dài đến bờ trên của động mạch phổi trái.
Hạch N1 – N3
Định nghĩa Phân giai đoạn Hạch
- N1: Di căn đến hạch bạch huyết trong phổi cùng bên, quanh phế quản hoặc rốn phổi, bao gồm cả xâm lấn trực tiếp.
- N2a: Di căn đến một trạm hạch bạch huyết trung thất hoặc dưới carina cùng bên.
- N2b: Di căn đến nhiều trạm hạch bạch huyết trung thất và/hoặc dưới carina cùng bên.
- N3: Di căn đến hạch bạch huyết rốn phổi hoặc trung thất đối bên, hoặc đến hạch cơ bậc thang hoặc hạch thượng đòn.
Hạch N1
Hạch N1 là các hạch trong phổi và hạch rốn phổi cùng bên.
N1 làm thay đổi tiên lượng nhưng không thay đổi phương pháp điều trị.
Ví dụ:
Khối u T2a (33 mm) ở thùy dưới phổi phải với di căn hạch rốn phổi cùng bên (N1).
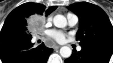
Hạch N2
Hạch N2 đại diện cho bệnh lý hạch trung thất hoặc dưới carina cùng bên.
- N2a: Xâm lấn một trạm N2 đơn độc
- N2b: Xâm lấn nhiều trạm N2
Ví dụ: Khối u bên phải với di căn hạch tại nhiều trạm trung thất cùng bên (4R và 2R) được phân loại là N2b.
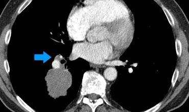
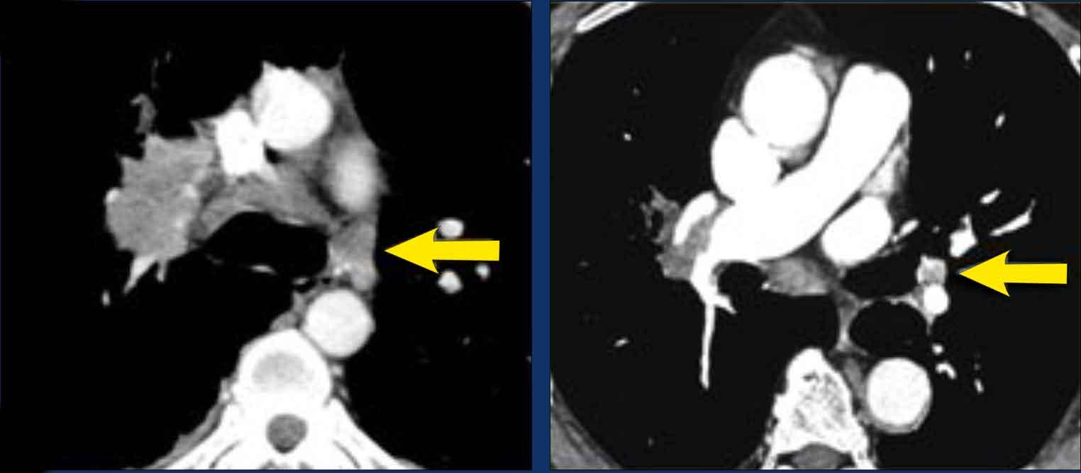
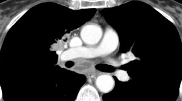
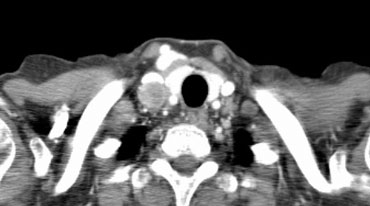
Hạch N3
Hạch N3 đại diện cho bệnh lý hạch trung thất hoặc rốn phổi đối bên, hoặc hạch cơ bậc thang hoặc hạch thượng đòn, và được xem là không thể phẫu thuật cắt bỏ.
Ví dụ:
Khối u bên phải với di căn hạch N3, bao gồm các trạm trung thất đối bên 4L và 5.
Các hình ảnh này thuộc về hai bệnh nhân khác nhau bị ung thư phổi ở phổi phải.
Hình ảnh
Có các hạch bạch huyết ở phía đối bên.
Nếu các hạch bạch huyết này chứa tế bào ung thư, điều đó có nghĩa là bệnh giai đoạn N3.
Hình ảnh của một bệnh nhân có khối u bên phải.
Có các hạch N3 ở phía đối bên và ở vùng thượng đòn phải.
Cuộn qua các hình ảnh để xem.
Phân giai đoạn Hạch theo Vị trí Khối u
Khối u Phổi Phải:
- N1: Hạch quanh phế quản và/hoặc rốn phổi cùng bên (10R–14R)
- N2: Hạch trung thất và/hoặc đường giữa cùng bên (2R, 3A/P, 4R, 7, 8R, 9R)
- N3: Hạch trung thất và/hoặc rốn phổi đối bên, và bất kỳ hạch thượng đòn nào (1, 2L, 3AL, 4L, 5, 6, 8L, 9L, 10L–14L)
Khối u Phổi Trái:
- N1: Hạch quanh phế quản và/hoặc rốn phổi cùng bên (10L–14L)
- N2: Hạch trung thất và/hoặc đường giữa cùng bên (2L, 3A/P, 4L, 7, 8L, 9L)
- N3: Hạch trung thất và/hoặc rốn phổi đối bên, và bất kỳ hạch thượng đòn nào (1, 2R, 3AR, 3PR, 4R, 8R, 9R, 10R–14R)
Phân giai đoạn M
Phân giai đoạn M dựa trên sự hiện diện của các di căn, vị trí và tính đa ổ của chúng.
M0 là không có di căn và M1 có nghĩa là di căn xa.
Cần phân biệt giữa bệnh di căn tại vùng hoặc trong lồng ngực (M1a) và bệnh di căn xa, có thể là đơn độc (M1b) hoặc đa ổ (M1c), trong một hệ cơ quan đơn lẻ (M1c1) hoặc trong nhiều cơ quan (M1c2).
Hình minh họa
M1a: Bệnh di căn tại vùng (hoặc trong lồng ngực) được định nghĩa là tràn dịch màng phổi hoặc màng ngoài tim ác tính hoặc các nốt, cũng như các nốt phổi riêng biệt ở phía đối bên.
M1b là một tổn thương di căn ngoài lồng ngực đơn độc trong một hệ cơ quan đơn lẻ. Cần nhấn mạnh rằng, một hệ cơ quan bao gồm tất cả các vị trí của hệ cơ quan đó phân bố khắp cơ thể, hoặc cả hai bên trong trường hợp cơ quan đôi.
Điều này có nghĩa là nhiều tổn thương ở các vị trí khác nhau của hệ xương hoặc da là bệnh M1c1.
Tuy nhiên,
nhiều tổn thương ở cả hệ xương và tuyến thượng thận là bệnh M1c2.
Hình minh họa
M1b: Di căn ngoài lồng ngực đơn độc trong một hệ cơ quan đơn lẻ.
Có thể là ở một hạch bạch huyết ngoài vùng (không kèm di căn gan) hoặc một tổn thương di căn đơn độc ở gan (không kèm hạch bạch huyết ngoài vùng).
Hình minh họa
M1c1: Nhiều tổn thương di căn ngoài lồng ngực trong một cơ quan đơn lẻ.
Hầu hết các cơ quan đều có thể bị ảnh hưởng trong bệnh di căn.
Di căn thường gặp ở tuyến thượng thận, hạch bạch huyết, não, xương và gan.
Hình minh họa
M1c2: Nhiều tổn thương di căn ngoài lồng ngực trong nhiều hệ cơ quan.

































