Phân loại Bosniak 2019
Trong bài viết này, chúng tôi mô tả phân loại Bosniak 2019 đối với các tổn thương thận dạng nang.
Mục tiêu của phân loại Bosniak 2019 mới là nhằm giảm thiểu sự khác biệt giữa các quan sát viên, cải thiện độ chính xác trong việc dự đoán ác tính trong từng phân nhóm, đồng thời tăng độ đặc hiệu, qua đó giảm tỷ lệ điều trị không cần thiết đối với các tổn thương lành tính.
Tổng quan

Khối thận dạng nang được định nghĩa là tổn thương trong đó <25% khối lượng được cấu thành bởi mô ngấm thuốc
Các khối Bosniak I và Bosniak II được xác định là lành tính có thể được mô tả là “nang” và thuật ngữ “khối thận dạng nang” nên được áp dụng cho các tổn thương Bosniak IIF, III và IV.
Các thuật ngữ như ‘nang phức tạp’ hay ‘nang hỗn hợp’ có thể gây nhầm lẫn và nên tránh sử dụng.
Bosniak I
- Thành mỏng (≤ 2 mm) nhẵn, bờ rõ; dịch đơn thuần đồng nhất (- 9 đến 20 HU); không có vách ngăn hoặc vôi hóa; thành có thể ngấm thuốc
Bosniak II
Sáu dạng, tất cả đều có bờ rõ với thành mỏng (≤ 2 mm) nhẵn:
- Khối dạng nang có vách ngăn mỏng (≤ 2 mm) và ít (1–3 vách); vách ngăn và thành có thể ngấm thuốc; có thể có vôi hóa ở bất kỳ dạng nào
- Khối đồng nhất tăng tỷ trọng (≥ 70 HU) trên CT không tiêm thuốc cản quang
- Khối đồng nhất không ngấm thuốc > 20 HU trên CT theo giao thức khối thận. Có thể có vôi hóa ở bất kỳ dạng nào
- Khối đồng nhất từ -9 đến 20 HU trên CT không tiêm thuốc cản quang
- Khối đồng nhất từ 21 đến 30 HU trên CT thì tĩnh mạch cửa
- Khối đồng nhất giảm tỷ trọng có kích thước quá nhỏ để phân loại đặc điểm
Bosniak IIF
Hai dạng:
- Khối dạng nang có thành ngấm thuốc dày tối thiểu nhẵn (3 mm), hoặc dày tối thiểu nhẵn (3 mm) của một hoặc nhiều vách ngăn ngấm thuốc.
- Khối dạng nang có nhiều (≥ 4) vách ngăn mỏng (≤ 2 mm) nhẵn ngấm thuốc.
Bosniak III
Một hoặc nhiều thành hoặc vách ngăn ngấm thuốc dày (≥ 4 mm) hoặc ngấm thuốc không đều (có các chỗ lồi lõm dạng lồi tù ≤ 3 mm).
Bosniak IV
Một hoặc nhiều nốt ngấm thuốc (chỗ lồi lõm dạng lồi ≥ 4 mm với bờ tù, hoặc chỗ lồi lõm dạng lồi ở bất kỳ kích thước nào có bờ nhọn)
Bảng này tóm tắt phân loại Bosniak 2019.

CT thì tĩnh mạch cửa của một nang có giá trị HU trung bình là 25 ở cực trước thận phải. Theo tiêu chí Bosniak mới, tất cả các nang có HU <30 đều có khả năng lành tính và có thể được phân loại là Bosniak II mà không cần thêm hình ảnh bổ sung
Tỷ lệ ác tính
Các khối Bosniak I được coi là lành tính hoàn toàn, và mặc dù có một số báo cáo ca lẻ tẻ về ác tính được phát hiện trong các tổn thương này, điều này được cho là do kỹ thuật chụp không đúng hoặc đọc phim không chính xác dẫn đến việc phân loại sai thành Bosniak I.
Tỷ lệ ác tính trong các tổn thương Bosniak II là <1% và có thể thấp tới 0%. Một lưu ý là ở bệnh nhân mắc hội chứng Von Hippel Lindau, bệnh u cơ trơn di truyền và các hội chứng ung thư biểu mô tế bào thận (RCC) khác, các khối dạng nang có vẻ lành tính vẫn có thể chứa ác tính và không khuyến cáo áp dụng hệ thống Bosniak.
Tỷ lệ ác tính trong các tổn thương Bosniak IIF được báo cáo trong khoảng 0-38%, có thể do sự khác biệt trong việc phân loại chủ quan các đặc điểm hình ảnh cũng như sai lệch chọn lựa mạnh, trong đó chỉ những tổn thương đáng lo ngại hơn mới được phẫu thuật cắt bỏ. Tuy nhiên, các tổn thương có sự tiến triển đặc điểm từ IIF lên phân loại III hoặc IV có tỷ lệ ác tính cao là 85%, tương đương với các tổn thương ban đầu được phân loại là Bosniak IV.
Các tổn thương Bosniak III được coi là không xác định với khoảng một nửa là ác tính. Thực hành hiện tại về phẫu thuật cắt bỏ hoặc theo dõi khác nhau giữa các cơ sở và phụ thuộc nhiều vào kích thước tổn thương, bệnh đồng mắc của bệnh nhân và sở thích của phẫu thuật viên.
Các tổn thương Bosniak IV được phát hiện là ác tính trong khoảng 90% trường hợp và điều trị được khuyến cáo trong hầu hết các trường hợp nếu đặc điểm bệnh nhân cho phép
Hệ thống này được sử dụng để dự đoán khả năng ung thư, không phải hành vi sinh học.
Vẫn chưa rõ tiêu chí nào có khả năng dự đoán tính xâm lấn của ung thư cao hơn các tiêu chí khác.
Kích thước và tốc độ tăng trưởng không được đưa vào phân loại cập nhật. Tuy nhiên, có khả năng tổn thương càng nhỏ thì càng có khả năng lành tính. Tốc độ tăng trưởng và sự thay đổi hình thái học đóng vai trò quan trọng trong việc theo dõi các tổn thương.
Điều quan trọng là phải đưa tuổi bệnh nhân, bệnh đồng mắc, tuổi thọ dự kiến, sở thích cá nhân và mức độ chấp nhận rủi ro vào các cân nhắc để điều trị hoặc theo dõi.
Khi nào không áp dụng Bosniak
Phân loại Bosniak không nên áp dụng cho các tổn thương có căn nguyên nhiễm trùng, viêm hoặc mạch máu.
Các tổn thương có thành phần đặc > 25% có khả năng là khối đặc hoại tử. Các khối đặc hoại tử này, trái ngược với các khối dạng nang, có hành vi ít lành tính hơn.
Do đó, điều quan trọng là không nhầm lẫn ung thư dạng nang lành tính với các dạng xâm lấn hơn.
Các tổn thương có vôi hóa dạng nốt dày đặc trên CT có thể che khuất sự ngấm thuốc. Trong các tổn thương này, nên chỉ định MRI với kỹ thuật trừ ảnh để loại trừ thành phần mô mềm ngấm thuốc.
Các tổn thương tăng tỷ trọng không ngấm thuốc lớn hơn 3 cm và các tổn thương không đồng nhất không ngấm thuốc trên CT cũng có thể được hưởng lợi từ việc đánh giá thêm bằng MRI để loại trừ sự ngấm thuốc trước khi phân loại Bosniak.
Ca lâm sàng 1
CT của một tổn thương đặc với các thành phần dạng nang/hoại tử nhỏ hơn.
Vì hơn 25% khối lượng được cấu thành bởi mô đặc, đây có khả năng là khối hoại tử thay vì tổn thương dạng nang.
Không nên sử dụng tiêu chí Bosniak.
Ca lâm sàng 2
MRI của một tổn thương có thành phần đặc nhiều hơn dạng nang ở thận phải.
Ca lâm sàng 3
Có một vùng không ngấm thuốc tương phản từ ở thận trái trên chuỗi xung T1W.
Vùng này có giá trị thấp trên bản đồ ADC, phù hợp với hạn chế khuếch tán.
Đây được xác định là áp xe.
Định nghĩa
Vách ngăn
Vách ngăn được định nghĩa là cấu trúc dạng tuyến tính hoặc cong nối liền hai bề mặt.
Từ 1 đến 3 vách ngăn được coi là “ít” và phù hợp với tổn thương Bosniak II.
Từ 4 vách ngăn trở lên được gọi là “nhiều” và nếu có ngấm thuốc thì đây là đặc điểm của tổn thương loại 2F (khi không có các đặc điểm đáng lo ngại hơn).
Trong sơ đồ bên trái có 2 vách ngăn nối hai bề mặt (Bosniak II), và trong sơ đồ bên phải có 5 vách ngăn khác nhau, được phân loại là Bosniak IIF.
Ngấm thuốc
Các phiên bản trước của phân loại Bosniak phân chia sự ngấm thuốc thành “nhận thấy được” và đo lường được, và tất cả các khối có vùng ngấm thuốc đo lường được chỉ có thể được phân loại là Bosniak III hoặc IV.
Tuy nhiên, không có cơ sở bằng chứng nào cho thấy sự phân biệt giữa ngấm thuốc nhận thấy được và ngấm thuốc đo lường được làm tăng nguy cơ ác tính.
Trong phân loại năm 2019, tất cả các dạng ngấm thuốc được coi là tương đương nhau.
Sự ngấm thuốc có thể được nhận thấy rõ ràng khi so sánh hình ảnh trước và sau tiêm thuốc tương phản từ/cản quang được thực hiện bằng cùng một kỹ thuật chụp, hoặc có thể “đo lường được” bằng cách sử dụng vùng quan tâm (ROI) có kích thước thông thường (không dùng giá trị pixel).
Cụ thể là tăng ≥20 HU trên CT có thuốc cản quang, hoặc tăng ≥15% cường độ tín hiệu trên MRI có thuốc tương phản từ.
Nếu một đặc điểm không ngấm thuốc rõ ràng trên hình ảnh và quá nhỏ để đo lường chính xác thì được coi là không ngấm thuốc.
Hình ảnh
Hình ảnh MRI chuỗi xung T2W mặt phẳng coronal của một nang có nhiều vách ngăn ở thận trái. Trên chuỗi xung T1W fatsat sau tiêm thuốc tương phản từ, các vách ngăn này cho thấy sự ngấm thuốc rõ rệt so với chuỗi xung trước tiêm thuốc.
Một nang có nhiều vách ngăn mỏng được phân loại là Bosniak IIF.
Độ dày vách ngăn và thành nang
Mặc dù vẫn có thể có sự khác biệt giữa các quan sát viên trong việc đo độ dày vách ngăn và thành nang có ngấm thuốc, hướng dẫn mới năm 2019 cung cấp các giá trị độ dày cụ thể cho từng phân loại Bosniak, thay thế cho cách phân loại mô tả trước đây là “dày tối thiểu” hoặc “dày”.
Một nang có thành ngấm thuốc nhẵn, mỏng ≤ 2mm không có vách ngăn được xếp loại Bosniak I.
Thành ngấm thuốc nhẵn ≤ 2mm với 1-3 vách ngăn có độ dày ≤ 2mm được xếp loại Bosniak II.
Thành nang hoặc vách ngăn nhẵn và dày tối thiểu (3mm) được xếp loại Bosniak IIF.
Bất kỳ thành nang hoặc vách ngăn dày đều ≥ 4mm đều được phân loại là Bosniak III.
Bờ thành nang không đều và dạng nốt
Sự phân biệt giữa bờ không đều của thành nang hoặc vách ngăn có ngấm thuốc và một nốt dựa trên góc tạo thành với thành nang hoặc vách ngăn liên quan và độ dày của vùng đó.
Các vùng ngấm thuốc tạo thành góc nhọn với thành nang hoặc vách ngăn được coi là nốt và luôn được phân loại là đặc điểm Bosniak IV.
Các vùng ngấm thuốc tạo thành góc tù với bề mặt vách ngăn hoặc thành nang được coi là dày nếu ≤ 3mm.
Một vùng ngấm thuốc có bờ góc tù được coi là nốt nếu ≥ 4mm khi đo vuông góc với bề mặt bên dưới.
Nếu vùng dày góc tù hiện diện ở cả hai phía của một vách ngăn thì cần đo tổng độ dày của cả hai phía, không tính độ dày của bản thân vách ngăn.
Bảng này tóm tắt các giá trị đo lường khác nhau về độ dày thành nang và vách ngăn trong phân loại Bosniak.
Bosniak I
Trên CT có thuốc cản quang, nang Bosniak I có bờ viền rõ nét với thành mỏng (≤2mm), nhẵn, chứa dịch đơn thuần đồng nhất (-9 – 20 HU), không có vách ngăn hoặc vôi hóa.
Thành nang có thể ngấm thuốc.
Ca lâm sàng 1
CT thì tĩnh mạch cửa.
Nang Bosniak I điển hình tại thận trái.
Nang có thành mỏng, nhẵn, bờ viền rõ nét.
Không có vách ngăn hoặc vôi hóa.
Nội dung nang đồng nhất với giá trị HU thấp.
Đặc điểm trên MRI của nang Bosniak I tương tự như trên CT.
Dịch trong nang có cường độ tín hiệu tương tự dịch não tủy (CSF).
Ca lâm sàng 2
Thận phải với nang Bosniak I điển hình trên MRI
Bosniak II
Trong phiên bản 2019 của phân loại Bosniak, nhiều loại tổn thương hơn có thể được xếp vào nhóm Bosniak II (xem bảng) nhằm tăng độ đặc hiệu và giảm nhu cầu chụp chiếu hoặc điều trị các tổn thương có khả năng lành tính cao.
Các tổn thương Bosniak II hiện được phép có biểu hiện ngấm thuốc, đặc điểm này không còn là tiêu chí đặc trưng của Bosniak III nữa.
Hầu hết các tổn thương thận phát hiện tình cờ được phát hiện trên các nghiên cứu pha tĩnh mạch cửa đơn pha. Nếu các tổn thương này đồng nhất và có giá trị HU từ 21-30, khả năng ác tính là rất thấp và có thể áp dụng phân loại Bosniak II.
Các khối được đánh giá bằng giao thức thuốc cản quang chuyên biệt cho thận, có giá trị HU > 20 và không có biểu hiện ngấm thuốc, cũng được xếp vào nhóm Bosniak II.
Tất cả các khối dạng nang thành mỏng có vách ngăn ngấm thuốc và/hoặc bất kỳ loại vôi hóa nào đều có thể được phân loại vào nhóm Bosniak II, miễn là số lượng vách ngăn ít (1-3) và mỏng (≤ 2mm).
Các khối đồng nhất có giá trị Hounsfield từ -9 đến 20 hoặc ≥70 trên CT không tiêm thuốc cản quang, cũng như các tổn thương quá nhỏ để phân loại nhưng có cấu trúc đồng nhất và tỷ trọng thấp, có thể được xếp vào nhóm Bosniak II.
Nhiều khối được phát hiện tình cờ trên CT hoặc MRI thực hiện vì các chỉ định khác, không sử dụng giao thức chụp thận chuyên biệt. Mặc dù vậy, nhiều khối trong số này vẫn có thể được mô tả an toàn là lành tính.
Các khối đồng nhất, bờ rõ, được phát hiện trên CT không tiêm thuốc cản quang với giá trị đo từ -9 đến 20 HU hoặc >70 HU có khả năng rất cao là nang lành tính và có thể bỏ qua.
Trên CT có tiêm thuốc cản quang, nhu mô thận xung quanh đang ngấm thuốc có thể làm tăng tỷ trọng đo được (hiện tượng tăng tỷ trọng giả) bên trong các nang lành tính. Do đó, các khối dạng nang có giá trị <30 HU trong pha tĩnh mạch cửa cũng được coi là lành tính.
Trên MRI không tiêm thuốc tương phản từ, các khối đồng nhất, bờ rõ tăng tín hiệu trên chuỗi xung T1W (khoảng 2,5 lần cường độ tín hiệu nhu mô bình thường) hoặc các khối bờ rõ có cường độ tín hiệu T2W tương tự dịch não tủy được coi là lành tính.
Các khối nhỏ có thể không thể phân loại được do hiệu ứng thể tích riêng phần nếu độ dày lát cắt lớn hơn một nửa đường kính của khối. Trên thực tế, hiện tượng tăng tỷ trọng giả có thể xảy ra ở các khối có đường kính lên đến 1,5 cm, và nếu các khối này có cấu trúc đồng nhất, chúng nên được coi là tổn thương Bosniak II lành tính.
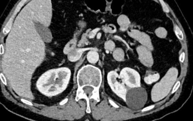
Ca lâm sàng 1
Nang Bosniak II chỉ có một vài vách ngăn mỏng, vôi hóa.
Ca lâm sàng 2
Trên hình ảnh chuỗi xung T2W, quan sát thấy một nang có 3 vách ngăn mỏng, nhẵn ở mặt trong của thận phải (mũi tên).
Dịch trong nang có cường độ tín hiệu T2W cao.
Trên hình ảnh chuỗi xung T1W sau tiêm Gadolinium, các vách ngăn có biểu hiện ngấm thuốc.
Tổn thương được phân loại là nang Bosniak II.
Không có chỉ định theo dõi.
Lưu ý rằng có một khối đặc thứ hai ở thận phía sau.
Ca lâm sàng 3
Các hình ảnh bao gồm: T2W mặt cắt ngang (axial), T1W mặt cắt coronal có kỹ thuật xóa mỡ (fatsat) và tiêm Gadolinium, và cuối cùng là T2W mặt cắt coronal.
Có một tổn thương dạng nang trong thận phải với nhiều vách ngăn mỏng (> 4 vách).
Các vách ngăn được thấy rõ hơn trên các hình ảnh mặt cắt ngang.
Các vách ngăn không có biểu hiện ngấm thuốc.
Theo phân loại cũ, tổn thương này sẽ được xếp vào nhóm IIF.
Trong phân loại cập nhật năm 2019, các vách ngăn không ngấm thuốc không được tính là vách ngăn thực sự, do đó tổn thương được hạ bậc xuống nang Bosniak II.
Nang này trước đây đã từng xuất huyết và không cho thấy bất kỳ thay đổi nào trong quá trình theo dõi suốt 5 năm.
Ca lâm sàng 4
Các khối nhỏ có thể không thể phân loại được do hiệu ứng thể tích riêng phần nếu độ dày lát cắt lớn hơn một nửa đường kính của khối.
Hiện tượng tăng tỷ trọng giả có thể xảy ra ở các khối có đường kính lên đến 1,5 cm.
Nếu các tổn thương này có cấu trúc đồng nhất, chúng nên được coi là tổn thương Bosniak II lành tính.
Hình ảnh
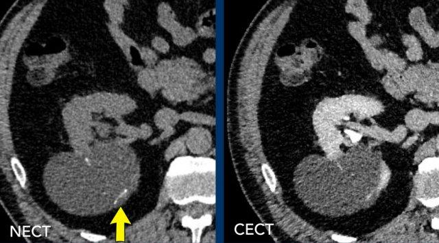
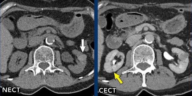
Tổn thương 1 (mũi tên vàng)
Quan sát thấy một tổn thương đồng nhất, giảm tỷ trọng ở mặt sau thận phải. Tổn thương này quá nhỏ để phân loại và được xếp vào nhóm Bosniak II.
Tổn thương 2 (mũi tên trắng)
Trên CT không tiêm thuốc cản quang (NECT), có một tổn thương tăng tỷ trọng ở thận trái với HU > 70, thông thường tương ứng với tổn thương Bosniak II (mũi tên trắng). CT có tiêm thuốc cản quang (CECT) trong pha tĩnh mạch cửa không cho thấy sự ngấm thuốc đáng kể nhưng có hình ảnh không đồng nhất.
Trường hợp này cần chụp thêm MRI để đánh giá bổ sung (xem hình ảnh tiếp theo).
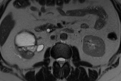
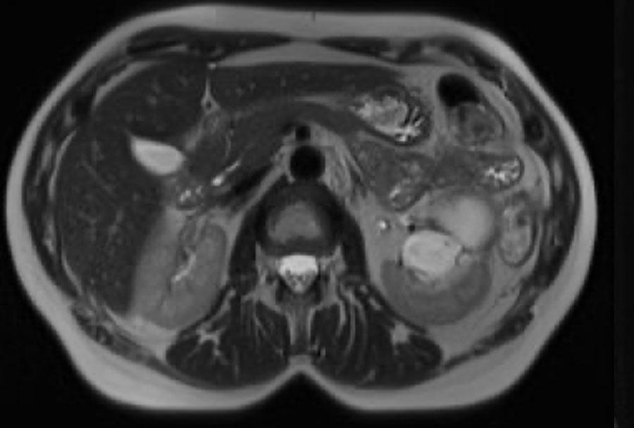
MRI của cùng bệnh nhân.
Tổn thương giảm tín hiệu trên chuỗi xung T2W và tăng tín hiệu trên chuỗi xung T1W.
Không có ngấm thuốc tương phản từ trên chuỗi xung trừ (subtraction).
Trên MRI, tổn thương được xác nhận là Bosniak II.
Bosniak IIF
Không có nhiều thay đổi trong phân loại IIF, ngoại trừ các tiêu chí hiện được định nghĩa rõ ràng hơn. Các khối dạng nang phân loại IIF có hoặc nhiều hơn một vài (≥4) vách ngăn mỏng (≤2mm) hoặc một vài (1-3) vách ngăn dày tối thiểu (3 mm), được ghi nhận trên cả CT và MRI.
Các khối không đồng nhất trên CT mà không có hiện tượng ngấm thuốc đáng kể nên được xem là chưa được đặc trưng hóa đầy đủ. MRI được khuyến nghị để đánh giá thêm các tổn thương này trước khi áp dụng tiêu chí Bosniak.
Điểm mới trong phân loại IIF là các khối dạng nang tăng tín hiệu không đồng nhất trên chuỗi xung T1W có bão hòa mỡ không tiêm thuốc tương phản từ.
Đây là loại khối duy nhất được phân loại cao hơn Bosniak II mà không có đặc điểm ngấm thuốc. Lý do là ung thư biểu mô nhú có thể biểu hiện với đặc điểm hình ảnh này.
Sự tiến triển theo thời gian là một dấu hiệu mạnh của ác tính, nhưng không được đưa vào hệ thống phân loại Bosniak.
Ca lâm sàng 1
Cuộn qua các hình ảnh.
Ảnh T2W mặt phẳng axial và ảnh T1W mặt phẳng coronal có bão hòa mỡ và tiêm Gadolinium.
Có một khối dạng nang ở thận trái với nhiều vách ngăn mỏng ngấm thuốc.
Tổn thương được phân loại là Bosniak IIF.
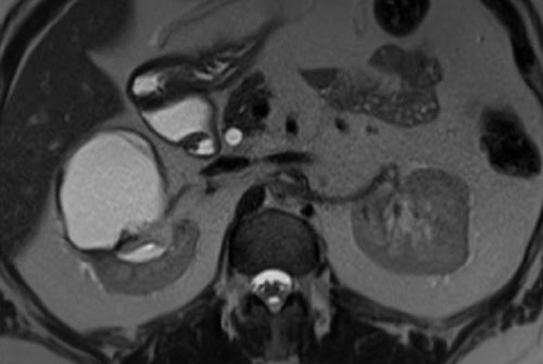
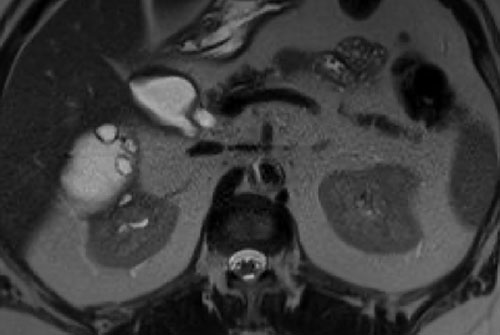
Ca lâm sàng 2
Có một khối dạng nang ở thận phải với nhiều (> 4) vách ngăn mỏng, nhẵn, có ngấm thuốc.
Tổn thương được phân loại là Bosniak IIF.
Bosniak III
Theo tiêu chí trước đây, các khối Bosniak III được xếp loại là ‘không xác định’, với khoảng một nửa số khối được phẫu thuật cắt bỏ là lành tính, dẫn đến nguy cơ gây hại từ điều trị mà không mang lại lợi ích lâm sàng.
Năm 2019, các tiêu chí đã được định nghĩa rõ ràng hơn. Bất kỳ khối nang nào có một hoặc nhiều vách ngăn không đều hoặc thành ngấm thuốc không đều dày 3 mm, hoặc thành hay vách ngăn dày đều ≥4 mm đều được xếp vào Bosniak III.
Thuật ngữ ‘không đều’ được định nghĩa là các chỗ lồi lõm lan tỏa dạng lồi có góc tù với thành hoặc vách ngăn (xem phần về sự không đều của thành ở trên).
Ca lâm sàng 1
MRI cho thấy một nang vỏ thận hướng ngoại ở thận trái với một vài vách ngăn dày không đều (3 mm) có góc tù ngấm thuốc tương phản từ sau tiêm, phù hợp với hình ảnh nang Bosniak III.
Tổn thương được quyết định phẫu thuật cắt bỏ và kết quả giải phẫu bệnh xác nhận là ung thư biểu mô tế bào sáng.
Bosniak IV
Các khối dạng nang với đặc điểm Bosniak IV có khả năng ác tính rất cao (90%) và biểu hiện với thành phần mô mềm lớn hơn cùng thành dày không đều có ngấm thuốc.
Do đó, chúng dễ được nhận diện hơn như các tổn thương đáng ngờ.
Nốt được định nghĩa là các chỗ lồi lên dạng lồi có ngấm thuốc khu trú ở bất kỳ kích thước nào, tạo góc nhọn với vách hoặc thành, hoặc chỗ lồi trên 4 mm với bờ tù so với thành hoặc vách.
Các khối dạng nang có thành phần mô mềm > 25% không còn được xem là khối dạng nang mà là khối đặc hoại tử, và tiêu chuẩn Bosniak không còn áp dụng cho các khối này.
Ca lâm sàng 1
Các hình ảnh cho thấy một nang thận phải phức tạp kích thước lớn với dịch bên trong tăng tín hiệu trên cả chuỗi xung T1W và T2W, cùng với cặn lắng tăng tín hiệu T1W, có ngấm thuốc nhẹ trên ảnh trừ (subtraction image).
Nang này còn có một nốt thành ngấm thuốc (xem mũi tên trên ảnh mặt phẳng coronal), phân loại đây là tổn thương Bosniak IV.
Thận đã được phẫu thuật cắt bỏ và nang được xác định là ung thư biểu mô tế bào thận dạng nhú.
Ca lâm sàng 2
Các hình ảnh cho thấy một khối dạng nang với thành dày (< 4mm) và một vài vách dày không đều.
Trên các ảnh sau tiêm thuốc tương phản từ, không ghi nhận ngấm thuốc của vách hoặc thành, nhưng có thể xác định rõ ràng một nốt thành ngấm thuốc (mũi tên).
Do đó, đây là tổn thương Bosniak IV. Tổn thương đã được phẫu thuật cắt bỏ và được xác nhận là ung thư biểu mô tế bào sáng (clear-cell carcinoma).
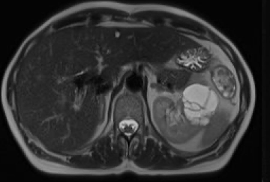
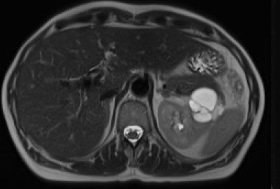
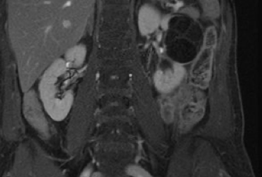
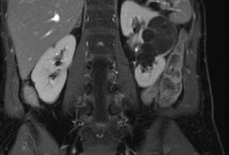
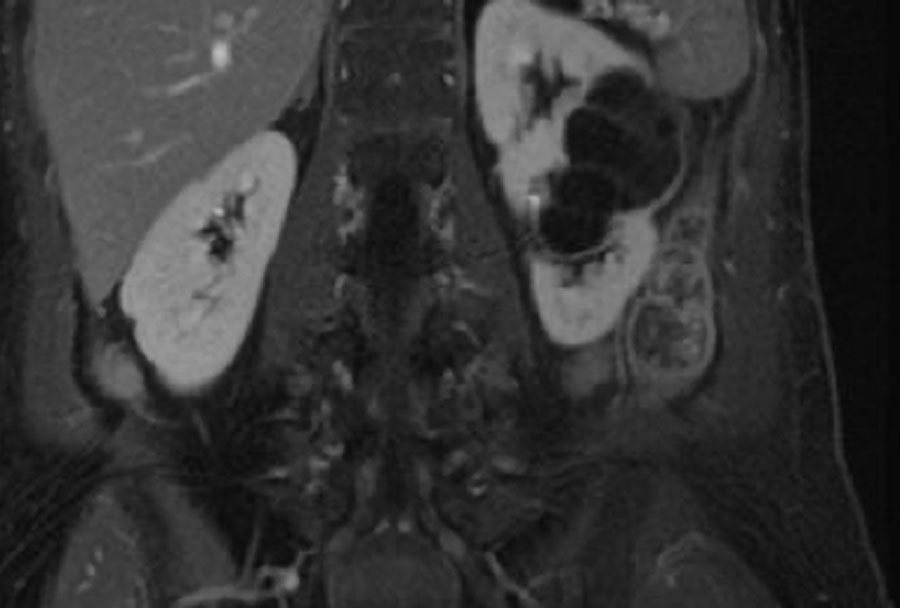
Ca lâm sàng 3
Các ảnh T2W mặt phẳng axial và coronal cho thấy một tổn thương dạng nang ở cực dưới thận trái với thành dày không đều.
Do thành phần mô đặc chiếm dưới 25% tổn thương, tổn thương cần được phân loại là khối dạng nang thay vì u thận đặc dạng nang.
Trên các ảnh T1W coronal có ức chế mỡ trước và sau tiêm thuốc tương phản từ, độ dày thành đo được trên 4 mm (mũi tên).
Tổn thương được phân loại là khối dạng nang Bosniak IV.
Khối đã được phẫu thuật cắt bỏ và được xác nhận là ung thư biểu mô tế bào sáng.
Ca lâm sàng 4
Hình chụp CT thì tĩnh mạch cửa cho thấy một tổn thương dạng nang không đồng nhất ở thận trái.
Vùng tăng tỷ trọng có ngấm thuốc trên ảnh chuỗi xung T1W có ức chế mỡ, phù hợp với một nốt đặc trong nang Bosniak 4.













































