Phân biệt tắc nghẽn động mạch cảnh
Ở những bệnh nhân đột quỵ cấp tính có tắc mạch máu lớn nội sọ, chúng ta cần xác định xem có tồn tại bệnh lý động mạch cảnh hay không, và nếu có thì đó là loại bệnh lý gì.
Điều này có vai trò quan trọng trong việc lập kế hoạch thủ thuật và thực hiện kỹ thuật điều trị nội mạch. Hơn nữa, bệnh lý động mạch cảnh còn quyết định phương pháp dự phòng thứ phát, bao gồm phẫu thuật nội mạc động mạch cảnh, đặt stent hoặc liệu pháp kháng tiểu cầu.
Nguyên nhân phổ biến nhất gây tắc nghẽn động mạch cảnh là xơ vữa động mạch.
Trong bài viết này, chúng tôi sẽ thảo luận về cách phân biệt loại tắc nghẽn động mạch cảnh này với tắc nghẽn do bóc tách động mạch cảnh hoặc giả tắc nghẽn.
Các bệnh lý khác sẽ được đề cập bao gồm huyết khối di động, màng nhện động mạch cảnh (carotid web) và động mạch cảnh trong bị cô lập.
Động mạch cảnh trong bị cô lập là một cấu hình bất lợi của đa giác Willis, có thể dẫn đến thiếu máu cục bộ nghiêm trọng trong trường hợp tắc động mạch cảnh trong (ICA).
Màng nhện động mạch cảnh (carotid web) là một thực thể bệnh lý ngày càng được ghi nhận là nguyên nhân quan trọng gây đột quỵ thiếu máu cục bộ, đặc biệt ở phụ nữ trẻ.
Tổng quan
Xơ vữa động mạch
Các mảng xơ vữa động mạch thường khu trú tại vị trí xoang cảnh (bulbus). Xơ vữa động mạch thường xảy ra hai bên và hay kèm theo hình ảnh vôi hóa.
Hẹp gần tắc hoàn toàn
Trong hẹp xơ vữa mức độ cao, dòng chảy qua động mạch cảnh trong bị giảm nặng nề, dẫn đến xẹp lòng mạch và hậu quả là khẩu kính mạch máu phía xa vị trí tắc nghẽn bị thu nhỏ lại.
Tắc hoàn toàn
Trong trường hợp tắc hoàn toàn, hình ảnh thuốc tương phản từ có dạng dấu ngoặc nhọn { (curly bracket).
Giả tắc
Hình ảnh này mô phỏng tắc đoạn cổ thấp của động mạch cảnh trong, nhưng thực chất là hệ quả của sự dừng lại tại đỉnh chữ T động mạch cảnh. Thuốc tương phản từ khi cố gắng đi vào động mạch cảnh trong sẽ tạo ra hình ảnh loang màu nước do tắc nghẽn dòng chảy ra.
Màng nhện cảnh (Carotid web)
Đây là một dải mô xơ nội mạc mỏng dạng vách ngăn nhô vào lòng mạch, xuất phát từ mặt sau của đoạn gần xoang động mạch cảnh trong và nhô vào lòng mạch. Màng nhện cảnh ngày càng được ghi nhận có liên quan đến đột quỵ thiếu máu não ở người trẻ, đặc biệt là nữ giới.
Có một thách thức trong chẩn đoán phân biệt giữa bóc tách động mạch cảnh và giả tắc.
Trong một nghiên cứu so sánh các dấu hiệu trên CTA với DSA xóa nền (tiêu chuẩn vàng cho các tổn thương động mạch cảnh), kết quả cho thấy độ chính xác cao trong chẩn đoán tắc xơ vữa và hẹp mức độ cao của động mạch cảnh trong.
Chỉ có một trường hợp hẹp xơ vữa bị chẩn đoán nhầm thành giả tắc.
Ngược lại, các trường hợp giả tắc bị chẩn đoán nhầm thành bóc tách động mạch cảnh và các trường hợp bóc tách bị chẩn đoán nhầm thành giả tắc xảy ra với tần suất khá cao (vòng tròn đỏ).
Trong các chương dưới đây, chúng tôi sẽ thảo luận về cách phân biệt bóc tách với giả tắc.
Tắc mạch nối tiếp (Tandem occlusion) là tình trạng tắc mạch nội sọ kết hợp với hẹp nặng (>70%) hoặc tắc hoàn toàn ICA.
Tình trạng này được ghi nhận ở tới 30% tổng số bệnh nhân có tắc mạch máu lớn.
Bệnh lý ICA kèm theo không phải là chống chỉ định của điều trị can thiệp nội mạch cho tắc mạch nội sọ, bất kể nguyên nhân cơ bản của hẹp/tắc ICA là gì.
Tuy nhiên, việc xác định bệnh lý động mạch cảnh đóng vai trò quan trọng trong lập kế hoạch và thực hiện thủ thuật can thiệp nội mạch.
Xơ vữa động mạch
Các dấu hiệu điển hình trong hẹp hoặc tắc động mạch do xơ vữa bao gồm:
- Hẹp do xơ vữa của động mạch cảnh trong (ACI) thường xảy ra ở vị trí xoang cảnh (bulbus).
- Thường có các mảng vôi hóa.
- Xơ vữa động mạch thường là bệnh lý hai bên.
Những bệnh nhân này thường lớn tuổi và có các yếu tố nguy cơ tim mạch.
Đo mức độ hẹp động mạch cảnh trong (ICA)
Hình minh họa thể hiện công thức đo mức độ hẹp theo tiêu chuẩn NASCET (Thử nghiệm Cắt bỏ nội mạc động mạch cảnh có triệu chứng Bắc Mỹ).
Đường kính tại vị trí hẹp (a) cần được đo vuông góc với trục dọc của mạch máu (đường màu xanh lá) chứ không phải trên mặt phẳng cắt ngang thuần túy (đường màu đỏ), vì cách đo sau có thể dẫn đến đánh giá thấp mức độ hẹp.
Giá trị này được so sánh với đường kính của đoạn mạch bình thường tại vị trí cách chỗ hẹp khoảng 6 cm về phía xa (b).
Mức độ hẹp được tính toán theo công thức tương ứng.
Vôi hóa là dấu hiệu thường gặp trong hẹp động mạch do xơ vữa, và CTA có độ nhạy cao trong việc phát hiện các cấu trúc vôi hóa này.
Đôi khi, giá trị tỷ trọng cao của các mảng vôi hóa có thể gây sai lệch trong việc đánh giá chính xác mức độ hẹp, dẫn đến ước tính quá mức độ hẹp thực sự.
Hơn nữa, các mảng vôi hóa nặng có thể là thách thức đối với bác sĩ can thiệp thần kinh mạch máu, do cần phải vượt qua vị trí hẹp bằng ống dẫn đường (guiding catheter) có lòng lớn hoặc sheath dài (ít nhất 6 Fr).
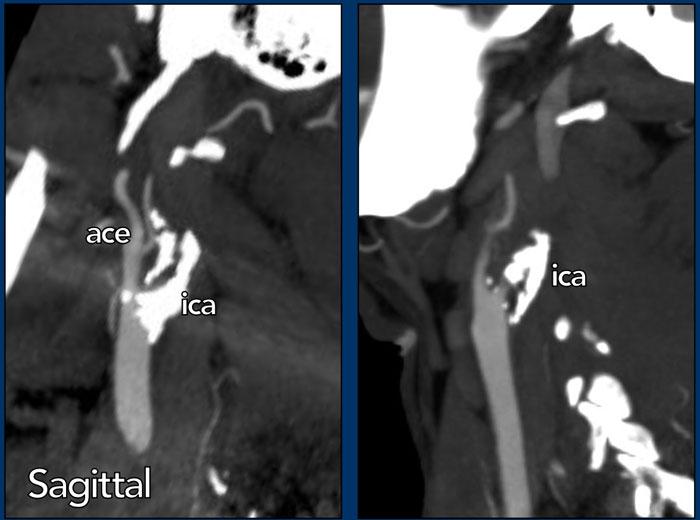
Gần tắc hoàn toàn
Trong trường hợp hẹp nặng hoặc gần tắc hoàn toàn, đường kính của ACI ở đoạn trên vị trí hẹp bị thu nhỏ và nhỏ hơn so với ICA bên đối diện cũng như ECA cùng bên.
Trong trường hợp tắc hoàn toàn, hình ảnh thuốc cản quang có dạng hình { hoặc dấu ngoặc nhọn, khác với hình ảnh tắc trong bóc tách động mạch hoặc giả tắc.
Gần tắc hoàn toàn (2)
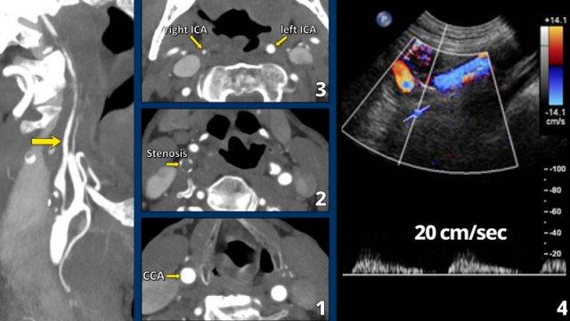
Trong trường hợp này, động mạch cảnh chung có đường kính bình thường (hình 1).
Có hẹp nặng với mảng xơ vữa vôi hóa một phần tại vị trí xoang cảnh (2).
ICA ở đoạn trên vị trí hẹp có khẩu kính nhỏ (3). Xem thêm mũi tên trên ảnh tái tạo mặt phẳng đứng dọc.
Các tiêu chí chẩn đoán gần tắc hoàn toàn bao gồm:
- Khẩu kính ICA đoạn xa nhỏ hơn so với ICA bên đối diện (hình 3).
- Khẩu kính ICA đoạn xa nhỏ hơn so với động mạch cảnh ngoài (ECA) cùng bên (hình 3).
Vận tốc đỉnh tâm thu trên siêu âm Doppler thường tăng tương ứng với mức độ hẹp, tuy nhiên trong trường hợp gần tắc hoàn toàn, vận tốc đỉnh tâm thu sẽ giảm xuống mức rất thấp như trong trường hợp này (20 cm/giây).
Tiếp tục xem các ảnh mặt phẳng đứng dọc…
Bạn có thể cuộn qua các ảnh mặt phẳng đứng dọc.
Lưu ý mảng vôi hóa tại vị trí xoang cảnh và khẩu kính nhỏ của ICA đoạn xa, nhỏ hơn so với khẩu kính của ECA.
Điều trị
Chiến lược điều trị gần tắc hoàn toàn (NO) vẫn còn nhiều tranh luận. Trong các phân tích từ các thử nghiệm lâm sàng ngẫu nhiên có đối chứng như Thử nghiệm Cắt bỏ nội mạc động mạch cảnh có triệu chứng Bắc Mỹ (NASCET) và Thử nghiệm Phẫu thuật động mạch cảnh châu Âu (ECST), người ta ghi nhận rằng nguy cơ đột quỵ thấp khi điều trị nội khoa và phẫu thuật không mang lại lợi ích cho trường hợp gần tắc hoàn toàn động mạch cảnh trong. Tuy nhiên, nguy cơ đột quỵ cùng bên từ 11%–33% trong năm đầu tiên cũng đã được ghi nhận ở những bệnh nhân được điều trị nội khoa.
Hơn nữa, một số tác giả khác đã báo cáo nguy cơ đột quỵ trong tương lai thấp hơn đáng kể sau phẫu thuật cắt bỏ nội mạc động mạch cảnh hoặc đặt stent động mạch cảnh ở những bệnh nhân này.
Do đó, việc tìm kiếm các phương pháp can thiệp an toàn có thể là hướng đi đáng xem xét, đặc biệt với những cải tiến hiện nay trong kỹ thuật đặt stent động mạch cảnh.
Tắc hoàn toàn
Trong trường hợp tắc hoàn toàn do xơ vữa động mạch, hình ảnh thuốc cản quang có dạng hình { hoặc dấu ngoặc nhọn.
Vị trí tắc thường nằm ở mức xoang cảnh (bulbus).
Bóc Tách Động Mạch Cảnh
Bóc tách động mạch cảnh là hậu quả của một vết rách ở lớp nội mạc thành mạch.
Khi máu thâm nhập vào giữa các lớp của thành mạch, một khối máu tụ trong thành mạch (intramural hematoma) sẽ được hình thành.
Khối máu tụ trong thành mạch này dẫn đến các hậu quả sau:
- Giãn rộng toàn bộ đường kính động mạch cảnh trong (ICA)
- Chèn ép lòng mạch thật sự
- Khối máu tụ có thể là nguồn gốc của các cục thuyên tắc và dẫn đến tai biến mạch máu não
Bóc tách mạch máu chiếm khoảng 2% tổng số các trường hợp đột quỵ thiếu máu cục bộ, nhưng chiếm tới 10%−25% các trường hợp đột quỵ thiếu máu cục bộ ở người trẻ tuổi.
Bệnh nhân đôi khi biểu hiện đau vùng cổ và có thể có tiền sử chấn thương trước đó.
Trên CTA, hình ảnh bóc tách mạch máu biểu hiện với các dấu hiệu sau:
- Trên các lớp cắt ngang (axial), lòng mạch ICA bị hẹp và lệch tâm.
- ICA bị giãn rộng (↑ tổng đường kính).
- Phần phình cảnh (bulbus) không bị tổn thương, khác với bệnh lý xơ vữa động mạch.
- Bóc tách thường dừng lại trước khi đi vào hộp sọ.
- Các cục thuyên tắc xuất phát từ khối máu tụ trong thành mạch là các huyết khối giàu hồng cầu, tạo ra các huyết khối có tỷ trọng rất cao trong các mạch máu não nội sọ trên CT không tiêm thuốc cản quang (dấu hiệu mạch máu tăng tỷ trọng – dense vessel sign).
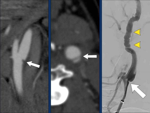
ICA hình ngọn lửa (Flame-shaped ICA)
Các hình ảnh này cho thấy hình ảnh điển hình dạng ngọn lửa của bóc tách động mạch cảnh trên tái tạo CTA mặt phẳng đứng dọc (sagittal) và DSA.
Lưu ý rằng trên tái tạo CTA, bạn có thể theo dõi đường viền của ICA bị giãn phía trên mức mà thuốc cản quang dừng lại.
Cũng cần lưu ý sự tương đồng đáng kể giữa hình ảnh CTA và DSA khi so sánh hai phương thức này.
Dấu hiệu sợi chỉ (String sign)
Trong hầu hết các trường hợp, bóc tách mạch máu sẽ biểu hiện với hình ảnh dạng ngọn lửa như trong hình A, nhưng khi lòng mạch bị chèn ép ít hơn và vẫn còn thông một phần, bạn có thể thấy “dấu hiệu sợi chỉ” như trong hình B.
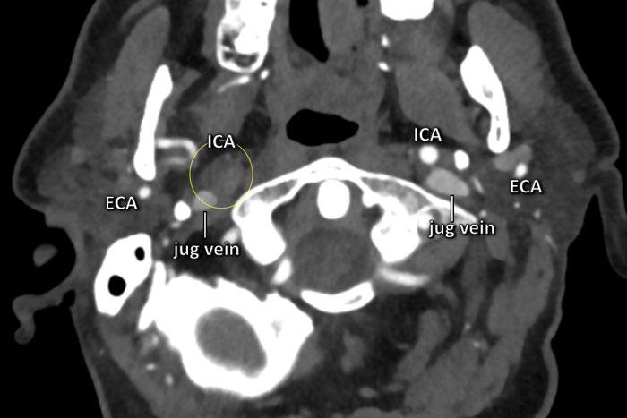
Quan sát phía dưới nền sọ
Khi nghi ngờ khả năng bóc tách mạch máu, điều quan trọng là phải khảo sát các lớp cắt ngang ngay phía dưới nền sọ như trong trường hợp này.
Ở bên trái, ICA và ECA có hình ảnh bình thường (cấu trúc tăng tỷ trọng nằm giữa hai mạch là mỏm trâm).
Ở bên phải, chúng ta thấy ECA bình thường và phía trong tĩnh mạch cảnh là ICA bị giãn (vòng tròn).
Lòng mạch không ngấm thuốc cản quang.
Sự kết hợp giữa hình ảnh tắc nghẽn trong một ICA bị giãn và phình to cho thấy chúng ta đang đối mặt với một trường hợp bóc tách mạch máu.
Bóc tách dừng lại tại nền sọ
Bệnh nhân này có bóc tách động mạch cảnh.
Trong hình A, chúng ta thấy lòng mạch bị chèn ép ở vị trí lệch tâm (mũi tên xanh lá).
Đường kính ICA bị giãn rộng bởi khối máu tụ trong thành mạch (đầu mũi tên đỏ).
Khi theo dõi ICA lên phía trên, tổn thương bóc tách tiếp tục đến hình E (đầu mũi tên).
Tại mức nền sọ, nơi ICA đi vào ống cảnh (đoạn đá thẳng đứng), tổn thương bóc tách dừng lại và ICA có hình ảnh bình thường (mũi tên vàng).
Huyết khối tăng tỷ trọng
Huyết khối tăng tỷ trọng là dấu hiệu điển hình trong bóc tách mạch máu, như được thấy ở hai bệnh nhân này.
Bất cứ khi nào bạn thấy những huyết khối tăng tỷ trọng đặc biệt cao như thế này, hãy nghĩ đến bóc tách mạch máu và cuộn xuống quan sát ngay phía dưới nền sọ.
Các huyết khối này gần như được cấu thành hoàn toàn bởi hồng cầu.
Bóc tách trên DSA
Tất cả các dấu hiệu đã thảo luận trên CTA đều tương tự và thậm chí rõ ràng hơn trên DSA.
- Catheter được đặt tại mức phình cảnh (bulbus), có hình ảnh bình thường.
Vài centimet phía trên phình cảnh, lòng mạch ICA bị lệch tâm và bị chèn ép bởi khối máu tụ thành mạch (thấy rõ hơn trên hình chi tiết số 2).
Tại mức nền sọ (đường chấm vàng), mạch máu trở về bình thường. - Hình chi tiết cho thấy thuốc cản quang đã thâm nhập vào trong khối máu tụ.
Lưu ý tổng đường kính ICA bị giãn rộng. Mũi tên chỉ lòng mạch thật sự. - Sau điều trị nội mạch, sự thông thoáng của ICA đã được phục hồi.
Khối máu tụ thành mạch phần lớn đã được tiêu huyết khối thông qua điều trị tĩnh mạch bằng chất hoạt hóa plasminogen mô tái tổ hợp (rt-PA, alteplase) trước khi can thiệp nội mạch. Vạt nội mạc (intima flap) vẫn còn nhìn thấy. Một lần nữa, bạn có thể thấy vạt nội mạc dừng lại tại mức nền sọ.
Tắc Nghẽn Giả
Tắc nghẽn giả động mạch cảnh trong đoạn cổ là tình trạng tắc nghẽn đơn độc của động mạch cảnh trong (ICA) đoạn nội sọ xa, bắt chước hình ảnh tắc nghẽn ICA ngoài sọ trên CTA hoặc DSA.
Trong tắc nghẽn giả, hình ảnh trông như thể có tắc hoàn toàn tại ICA ngay trên mức xoang cảnh.
Thuốc cản quang đi vào ICA gặp khó khăn khi di chuyển lên phía trên do máu ứ đọng trong lòng ICA, vì ICA không có các nhánh bên lớn.
Thuốc cản quang chỉ thấm chậm vào cột máu ứ đọng này, tạo ra hình ảnh loang màu nước.
Trên CTA, có thể thấy tỷ trọng thuốc cản quang giảm dần trong ICA với hình ảnh loang màu nước.
Vấn đề cốt lõi là tắc nghẽn dòng chảy ra tại mức đỉnh chữ T động mạch cảnh.
Tắc nghẽn giả không bao giờ xuất hiện kết hợp với tắc nghẽn ở vị trí xa hơn.
Ví dụ, trong trường hợp tắc M2, sẽ có đủ dòng chảy ra từ ICA đoạn xa thông qua nhánh M2 còn thông và động mạch não trước (ACA).
Hai trường hợp tắc nghẽn giả động mạch cảnh.
Trong trường hợp đầu tiên (bên trái), thuốc cản quang dừng khá đột ngột, mặc dù có thể thấy một vùng nhỏ với tỷ trọng thuốc giảm dần.
Trong trường hợp này, việc phân biệt giữa tắc nghẽn giả với lóc tách thành mạch hoặc tắc nghẽn do xơ vữa có thể khó khăn.
Tuy nhiên, chúng ta không thấy hình dạng ngọn lửa điển hình của xoang cảnh như trong lóc tách thành mạch, và không có dấu hiệu xơ vữa động mạch (không có mảng xơ vữa hay vôi hóa).
Trong trường hợp thứ hai, tỷ trọng thuốc cản quang giảm dần rõ ràng trên một đoạn dài hơn (đầu mũi tên).
Đây rõ ràng là tắc nghẽn giả động mạch cảnh.
Tiếp tục xem hình ảnh DSA…
Tắc nghẽn giả trên DSA
DSA cho thấy các hình ảnh tương tự.
Ở bệnh nhân này trong quá trình chụp mạch qua ống thông, ban đầu xuất hiện hình ảnh loang màu nước điển hình của thuốc cản quang trong ICA, mô phỏng hình ảnh tắc nghẽn gần của ICA.
Tuy nhiên, ống thông có thể dễ dàng được đưa vào đoạn ICA xa.
Sau khi bơm thuốc cản quang mạnh hơn, trên tư thế nghiêng thấy hình ảnh tắc nghẽn điển hình tại đỉnh động mạch cảnh (ngay trên mức xuất phát của động mạch mắt).
Không có thuốc cản quang lấp đầy các mạch máu nội sọ.
Huyết Khối Di Động
Trên mặt phẳng cắt dọc, có thể thấy một khiếm khuyết ngấm thuốc dạng dải dọc tại đoạn gần của động mạch cảnh trong (đầu mũi tên).
Khiếm khuyết ngấm thuốc này là huyết khối di động bám vào mảng xơ vữa động mạch nằm tại xoang cảnh (mũi tên trắng).
Trên mặt phẳng cắt ngang, huyết khối di động này tạo ra một khiếm khuyết ngấm thuốc trung tâm tại động mạch cảnh trong, còn được gọi là “dấu hiệu bánh vòng” (đầu mũi tên).
Trong trường hợp có kèm theo tắc mạch nội sọ của mạch máu lớn, liệu pháp can thiệp nội mạch được chỉ định để tái thông tắc nghẽn nội sọ này.
Huyết khối di động đơn thuần (không có tắc mạch máu lớn) được điều trị bằng heparin hoặc liệu pháp kháng tiểu cầu.
Màng Nhện Động Mạch Cảnh (Carotid Web)
Màng nhện động mạch cảnh (carotid web) là một tổn thương dạng vách ngăn nằm dọc theo thành sau của bầu động mạch cảnh trong, và là một nguyên nhân gây đột quỵ ở người trẻ tuổi thường bị bỏ sót.
Nhiều nghiên cứu cho thấy bệnh nhân có màng nhện động mạch cảnh có nguy cơ cao bị đột quỵ tái phát.
Trong nghiên cứu MR CLEAN, 30 bệnh nhân được xác định có màng nhện động mạch cảnh cùng bên với tổn thương đột quỵ.
Trong nghiên cứu này, cứ 6 bệnh nhân có màng nhện động mạch cảnh có triệu chứng thì có 1 bệnh nhân bị đột quỵ tái phát trong vòng 2 năm, cho thấy rằng điều trị nội khoa đơn thuần có thể không đủ để bảo vệ bệnh nhân có màng nhện động mạch cảnh.
Trên mặt phẳng cắt đứng dọc của CTA, có thể thấy hình ảnh nhô ra dạng vách ngăn ở thành lưng của bầu động mạch cảnh trong (ICA).
Đây là vị trí và cấu hình điển hình của màng nhện động mạch cảnh.
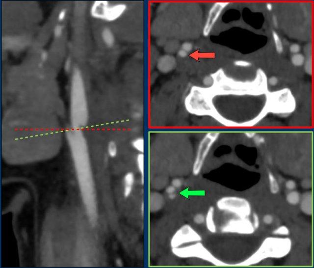
Tuy nhiên, để chẩn đoán xác định màng nhện động mạch cảnh, cần phải quan sát thấy một gờ nối thành bên và thành trong của động mạch cảnh trong trên mặt phẳng cắt ngang (mũi tên ảnh bên phải).
Màng nhện động mạch cảnh có thể có kích thước khác nhau.
Trong trường hợp này, màng nhện động mạch cảnh nhỏ hơn nhiều so với ví dụ trước.
Tuy nhiên, các tiêu chuẩn chẩn đoán hình ảnh cho màng nhện động mạch cảnh vẫn được áp dụng.
Trên ảnh cắt đứng dọc, có thể thấy hình ảnh nhô ra dạng vách ngăn ở mặt lưng của động mạch cảnh trong (mũi tên ảnh bên trái).
Trên ảnh cắt ngang, có thể thấy gờ của màng nhện động mạch cảnh nối thành bên và thành trong của động mạch cảnh trong (mũi tên).
Nếu chỉ quan sát trên ảnh cắt ngang, bạn có thể bỏ sót màng nhện.
Mũi tên đỏ chỉ vào động mạch cảnh trong (ICA) và động mạch cảnh ngoài (ECA), nhưng không thấy màng nhện.
Chỉ khi nghiêng mặt phẳng cắt ngang vuông góc với trục dọc của ICA (đường xanh lá và mũi tên xanh lá), bạn mới nhận thấy màng nhện (gờ nối thành bên và thành trong của ICA).
Tất nhiên, các tái tạo ảnh đứng dọc vẫn là phương pháp tốt hơn để phát hiện màng nhện.
Tương quan giữa màng nhện động mạch cảnh và thiếu máu não
Các hình ảnh DSA này minh họa rõ ràng cơ chế mà màng nhện động mạch cảnh gây ra nhồi máu não.
Trên các hình ảnh chụp mạch đầu tiên, bạn có thể nhầm với hình ảnh hẹp lòng mạch (mũi tên trắng ảnh bên trái).
Trên hình ảnh tiếp theo, màng nhện được khắc họa rõ ràng hơn (mũi tên vàng).
Ở thì động mạch muộn, có thể thấy hiện tượng ứ đọng thuốc cản quang ngay phía trên màng nhện.
Rõ ràng, tại vùng này, do hiện tượng rối loạn dòng chảy và ứ đọng, các huyết khối có thể hình thành và gây ra thuyên tắc mạch não.
Động mạch cảnh bị cô lập
Động mạch cảnh bị cô lập có nghĩa là động mạch cảnh trong (ICA) cung cấp máu cho động mạch não trước và động mạch não giữa cùng bên, nhưng không có kết nối với bên đối diện hoặc tuần hoàn sau, do động mạch thông trước (Acom) và động mạch thông sau (Pcom) vắng mặt như một biến thể giải phẫu.
Đây là một trong nhiều biến thể của đa giác Willis.
Đa giác Willis thông
Trước tiên, hãy mô tả tình huống phổ biến nhất.
Ở 90% bệnh nhân, đa giác Willis thông.
Khi những bệnh nhân này biểu hiện đột quỵ cấp do bóc tách, họ thường có huyết khối tắc mạch ở động mạch não giữa.
Trong những trường hợp đó, chỉ cần điều trị tắc nghẽn nội sọ là đủ, và động mạch cảnh bị bóc tách có thể không cần can thiệp.
Tuần hoàn bàng hệ qua đa giác Willis thông sẽ đảm nhận lưu lượng máu đến động mạch não giữa.
Đa giác Willis không thông
Trong 10% trường hợp, đa giác Willis không đủ chức năng.
Trong trường hợp này, cả động mạch thông trước và động mạch thông sau đều vắng mặt.
Nếu có tắc nghẽn động mạch cảnh trong (ACI), bệnh nhân có nguy cơ đột quỵ diện rộng ở cả vùng tưới máu của động mạch não trước và động mạch não giữa, do không có tuần hoàn bàng hệ từ ICA bên đối diện.
Chúng tôi sẽ minh họa tình huống này qua ca lâm sàng sau…
Ca lâm sàng
Một phụ nữ 35 tuổi nhập cấp cứu với triệu chứng rối loạn ngôn ngữ và liệt nửa tay phải.
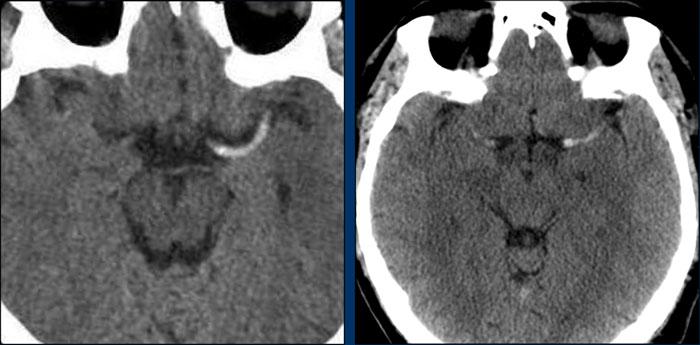
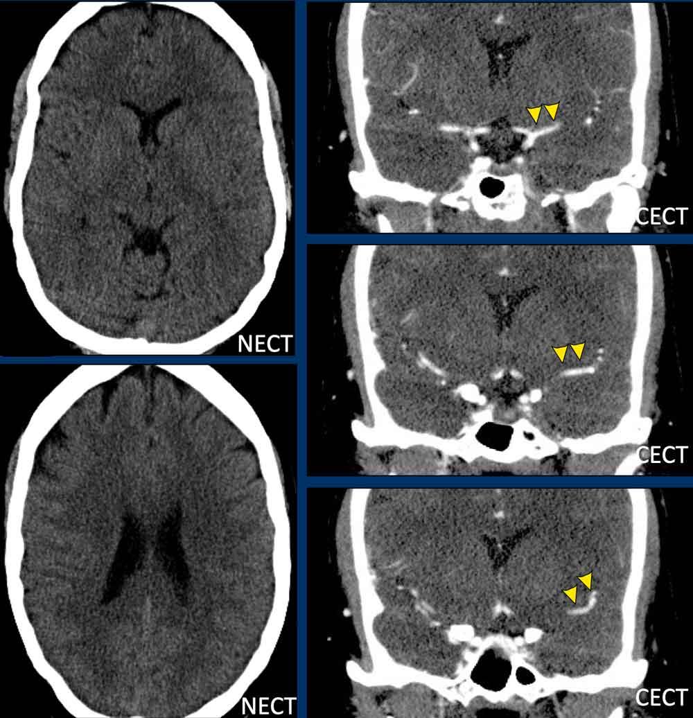
Chụp CT sọ não không tiêm thuốc (NECT) không cho thấy dấu hiệu chảy máu hay nhồi máu.
Trên CT có tiêm thuốc cản quang (CECT), các mạch máu nội sọ ngấm thuốc bình thường, nghĩa là không có tắc nghẽn nội sọ.
Trong vòng 20 phút, bệnh nhân được điều trị tiêu sợi huyết đường tĩnh mạch (IV), dẫn đến phục hồi một phần.
Tuy nhiên, một giờ sau, tình trạng xấu đi với liệt nửa người bên phải và mất ngôn ngữ.
Thang điểm NIHSS là 27.
Sau đó, bệnh nhân được chuyển đến trung tâm can thiệp.
Tiếp tục xem CTA vùng cổ…
CTA vùng cổ cho thấy hình ảnh đặc trưng dạng ngọn lửa ở đoạn gần ICA, gợi ý bóc tách động mạch.
Tiếp tục xem các lát cắt ngang…
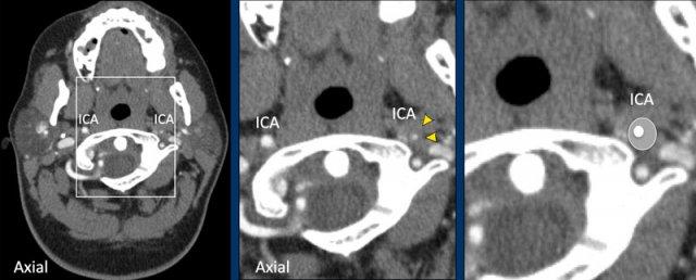
Hình ảnh lát cắt ngang cho thấy ICA trái giãn rộng với lòng mạch bị chèn ép lệch tâm.
Tóm lại, đây là trường hợp phụ nữ 35 tuổi với đột quỵ diện rộng (NIHSS = 27), tắc nghẽn động mạch cảnh do bóc tách, nhưng không có tắc nghẽn nội sọ.
Tại thời điểm đó, các câu hỏi đặt ra là:
- Liệu có thể có biến thể của đa giác Willis không?
- Và nếu vậy, tại sao động mạch não giữa trái vẫn ngấm thuốc tương phản bình thường trên CTA?
Chụp mạch số hóa xóa nền (DSA) ICA trái xác nhận bóc tách (đầu mũi tên) qua hình ảnh cấu hình dạng ngọn lửa ở đoạn gần ICA.
Tiếp theo, DSA của ICA phải và động mạch đốt sống trái được thực hiện.
Chụp mạch ICA phải cho thấy vắng mặt động mạch thông trước (Acom) do thuốc cản quang không đi từ phải sang trái. Ngoài ra, bơm thuốc cản quang vào động mạch đốt sống trái cho thấy vắng mặt động mạch thông sau (Pcom).
Đây là bằng chứng xác nhận chẩn đoán “Động mạch cảnh bị cô lập”.

Giảm tưới máu vùng động mạch não trước và động mạch não giữa (toàn bộ là vùng tranh tối tranh sáng, không có lõi nhồi máu trên hình ảnh CBV – không hiển thị)
Vậy giải thích thế nào về việc động mạch não giữa trái vẫn ngấm thuốc cản quang trong khi ICA trái bị tắc và không có tuần hoàn bàng hệ qua đa giác Willis?
Giải thích là do có các nhánh bàng hệ nhỏ giữa động mạch cảnh ngoài (ECA) và ICA.
Lượng máu này đủ để làm đầy động mạch não giữa bằng thuốc cản quang, nhưng không đủ để tưới máu thích hợp cho bán cầu não trái.
Điều này được thể hiện rõ ràng trên hình ảnh tưới máu.
Trong quá trình can thiệp, lưu lượng máu được phục hồi do vạt nội mạc được tái định vị bởi thao tác của ống thông.
Đặt stent động mạch cảnh được cân nhắc nhưng không thực hiện.
Bệnh nhân được điều trị bằng Fraxiparine.
Sau 24 giờ, thang điểm NIHSS là 2 với chỉ còn mất ngôn ngữ nhẹ; sau 3 tháng, NIHSS giảm xuống 0.
MRI theo dõi sau một tháng cho thấy nhồi máu nhỏ thùy trán trái (mũi tên trắng).
ICA trái thông và còn lại hình ảnh tụ máu trong thành mạch với tăng tín hiệu trên chuỗi xung T1W (đầu mũi tên).








































