Nốt phổi – Lành tính và ác tính
Chẩn đoán phân biệt của nốt phổi đơn độc rất rộng và việc xử trí phụ thuộc vào tổn thương là lành tính hay ác tính.
Trong tổng quan này, chúng tôi sẽ thảo luận một số đặc điểm mới có thể giúp phân biệt giữa nốt lành tính và ác tính dựa trên các phát hiện trên CT và PET-CT.
CT: Lành tính và Ác tính
Vôi hóa
Vôi hóa lan tỏa, trung tâm, dạng lớp hoặc dạng bỏng ngô là các hình thái vôi hóa lành tính.
Các loại vôi hóa này được thấy trong bệnh u hạt và u hamartoma.
Tất cả các hình thái vôi hóa khác không nên được coi là dấu hiệu của lành tính.
Ngoại lệ của quy tắc trên là khi bệnh nhân được biết có khối u nguyên phát.
Ví dụ, hình thái vôi hóa lan tỏa có thể gặp ở bệnh nhân ung thư xương (osteosarcoma) hoặc ung thư sụn (chondrosarcoma).
Tương tự, hình thái vôi hóa trung tâm và dạng bỏng ngô có thể gặp ở bệnh nhân có khối u đường tiêu hóa và bệnh nhân đã từng hóa trị trước đó.

Mối tương quan giữa kích thước nốt phổi đơn độc và khả năng ác tính ở bệnh nhân có nguy cơ cao mắc ung thư phổi
Kích thước
Nốt phổi đơn độc (SPN) được định nghĩa là một tổn thương trong nhu mô phổi đơn độc có kích thước nhỏ hơn 3 cm và không kèm theo xẹp phổi hoặc hạch to.
Tổn thương có đường kính lớn hơn 3 cm được gọi là khối.
Sự phân biệt này được thực hiện vì các tổn thương lớn hơn 3 cm thường là ác tính, trong khi các tổn thương nhỏ hơn có thể là lành tính hoặc ác tính.
Swensen và cộng sự đã nghiên cứu mối tương quan giữa kích thước nốt phổi đơn độc và khả năng ác tính trong một nhóm bệnh nhân có nguy cơ cao mắc ung thư phổi (1).
Kết quả của họ được liệt kê trong bảng bên trái.
Họ kết luận rằng tỷ lệ phát hiện nốt lành tính cao, đặc biệt khi các tổn thương nhỏ.
Trong số hơn 2000 nốt có kích thước nhỏ hơn 4 mm, không có nốt nào là ác tính.
Tăng trưởng
So sánh với các hình ảnh trước đây thường là thủ thuật hữu ích nhất để xác định tầm quan trọng của việc phát hiện nốt phổi đơn độc, vì sự ổn định trong 2 năm có liên quan chặt chẽ với tính lành tính.

Hình ảnh cắt ngang (trái) và tái tạo mặt phẳng coronal (phải). Tỷ lệ ba chiều = kích thước ngang : kích thước dọc
Hình dạng
Các nghiên cứu tầm soát của Nhật Bản cho thấy hình dạng đa giác và tỷ lệ ba chiều > 1,78 là dấu hiệu của lành tính (2,3).
Hình dạng đa giác có nghĩa là tổn thương có nhiều mặt (đa cạnh).
Vị trí dưới màng phổi ngoại vi cũng là dấu hiệu lành tính trong nghiên cứu này.
Tỷ lệ ba chiều được đo bằng cách lấy kích thước ngang tối đa chia cho kích thước dọc tối đa.
Tỷ lệ ba chiều lớn cho thấy tổn thương tương đối dẹt, đây là dấu hiệu lành tính.
Bờ tổn thương
- Dấu hiệu corona radiata – liên quan chặt chẽ với ác tính (hình minh họa)
- Bờ múi hoặc bờ lượn sóng – khả năng trung gian
- Bờ nhẵn – nhiều khả năng lành tính trừ khi có nguồn gốc di căn
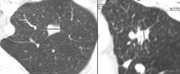
Dấu hiệu phế quản hơi
Các nghiên cứu gần đây cho thấy dấu hiệu phế quản hơi thường gặp hơn trong các nốt phổi ác tính.
Dấu hiệu này thường gặp nhất trong ung thư biểu mô phế nang (BAC – bronchoalveolar cell carcinoma) và ung thư biểu mô tuyến.
Trường hợp bên trái cho thấy dấu hiệu phế quản hơi biểu hiện dưới dạng vùng sáng dạng tuyến tính (mũi tên rộng) và dạng nang hơi (mũi tên nhỏ) do phế quản được nhìn theo trục dọc.
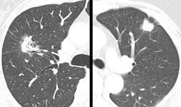
Bên trái là hai nốt phổi đơn độc.
Dựa trên hình thái học, tổn thương nào có đặc điểm ác tính nhất?
Tổn thương ở ngoài cùng bên trái có bờ tua gai và có các vùng sáng bên trong.
Tổn thương kế bên có bờ múi và một số tua gai tỏa ra màng phổi.
Tuy nhiên, tổn thương này đồng nhất về tỷ trọng.
Dựa trên các phát hiện này, chúng ta cần lo ngại nhất rằng tổn thương ở ngoài cùng bên trái là ác tính.
Tổn thương đó được xác nhận là ung thư biểu mô tuyến, trong khi tổn thương kia là nhiễm nấm.
Các vùng sáng và dấu hiệu phế quản hơi rõ ràng không nên khiến bạn nhầm lẫn rằng đó có thể là nhiễm trùng.
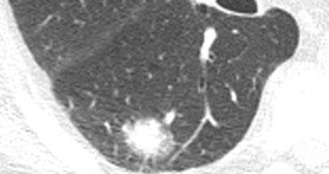
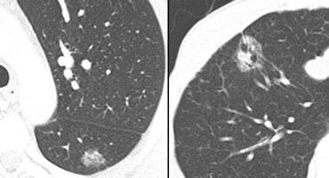
Thành phần đặc và kính mờ
Một kết quả khác từ các nghiên cứu tầm soát là các nốt chứa thành phần kính mờ có nhiều khả năng là ác tính hơn (5).
- Các tổn thương bán đặc có thành phần kính mờ có tỷ lệ ác tính là 63%.
- Các tổn thương không đặc – chỉ có kính mờ có tỷ lệ ác tính là 18%.
- Các tổn thương chỉ đặc có tỷ lệ ác tính chỉ là 7%.
Ở ngoài cùng bên trái là tổn thương chỉ có hình ảnh kính mờ và kế bên là tổn thương có cả thành phần kính mờ và đặc.
Khả năng ác tính là 1:5 đối với tổn thương ở ngoài cùng bên trái và 2:3 đối với tổn thương có cả thành phần kính mờ và đặc.
Ngấm thuốc cản quang
Mức độ ngấm thuốc cản quang dưới 15 HU có giá trị tiên đoán lành tính rất cao (99%).
Sau khi chụp hình ảnh nền, 4 lần chụp liên tiếp được thực hiện với khoảng cách 1 phút.
Điều này chỉ áp dụng cho các nốt đáp ứng các tiêu chí lựa chọn sau:
- Nốt > 5mm
- Hình cầu tương đối
- Đồng nhất, không hoại tử, không có mỡ hoặc vôi hóa
- Không có xảo ảnh do chuyển động hoặc xảo ảnh cứng tia
PET-CT: Lành tính và Ác tính
PET-CT đóng vai trò ngày càng quan trọng trong đánh giá các nốt đơn độc.
Khi thực hiện PET-CT, cần lưu ý những điều sau:
-
PET có độ nhạy rất cao 95%, nhưng độ đặc hiệu thấp hơn, chỉ đạt 81%
- PET dương tính giả trong bệnh u hạt
- PET thường âm tính giả theo kích thước
Với các con số độ đặc hiệu này, sẽ có khoảng 20% dương tính giả, tùy thuộc vào tỷ lệ nền của bệnh u hạt trong khu vực.
Bên trái là bệnh nhân ung thư biểu mô tuyến, không tăng chuyển hóa trên PET, do đó đây là trường hợp PET âm tính giả.
Kết luận
Trong việc phân biệt nốt phổi đơn độc lành tính và ác tính, ngày nay cần bổ sung thêm các đặc điểm hình ảnh mới.
Chúng ta đặc biệt cần tìm kiếm sự hiện diện của các vùng kính mờ, dấu hiệu phế quản hơi hoặc hang và tỷ lệ ba chiều của tổn thương.
Với vai trò ngày càng quan trọng của PET-CT, chúng ta cần nhận thức được độ chính xác của PET-CT và nên có hiểu biết về tỷ lệ lưu hành của bệnh u hạt nhiễm trùng và không nhiễm trùng trong khu vực hành nghề của mình.
Từ thiện
Toàn bộ lợi nhuận từ Radiology Assistant được chuyển đến tổ chức Medical Action Myanmar do Bác sĩ Nini Tun và Giáo sư Frank Smithuis điều hành, ông là giáo sư tại Đại học Oxford và là anh trai của Robin Smithuis.
Nhấn vào đây để xem video về Medical Action Myanmar và nếu bạn thấy Radiology Assistant hữu ích, hãy ủng hộ Medical Action Myanmar bằng một món quà nhỏ.







