MRI xoang cạnh mũi
Bài viết này được dựa trên bài trình bày của Laurie Loevner và được Jennifer Bradshaw biên soạn lại cho the Radiology Assistant.
Bài tổng quan này tập trung vào vai trò bổ trợ lẫn nhau của CT và MRI trong đánh giá:
- Nhiễm trùng mũi xoang phức tạp
- Tổn thương mũi xoang và nền sọ
- Tổn thương xơ-xương
Vai trò của CT và MRI
CT có giá trị trong việc xác định các mốc giải phẫu và các biến thể giải phẫu.
Thông tin này có tầm quan trọng thiết yếu đối với phẫu thuật viên Tai Mũi Họng.
Ngoài ra, chúng ta cần CT để nhận diện các quá trình xâm lấn xương và các khiếm khuyết xương bẩm sinh mắc phải.
CT cũng rất xuất sắc trong việc xác định xem bệnh lý xoang mũi có lan rộng vào hốc mắt hay không, đặc biệt ở 2/3 phía trước của hốc mắt.
Khi bệnh lý tiếp cận đỉnh hốc mắt, cần thực hiện MRI để đánh giá sự lan rộng đến xoang hang và khoang nội sọ.
CT được thực hiện không tiêm thuốc cản quang.
Nếu cần hình ảnh bổ sung, MRI hốc mắt là bước tiếp theo.
Giá trị thực sự của CT không tiêm thuốc cản quang như sau: nếu thấy xoang bị mờ đục với nội dung tăng tỷ trọng, đây thường là dấu hiệu của bệnh lành tính.
Khối u không có tỷ trọng cao.
Tình trạng tăng tỷ trọng là do một hoặc kết hợp các nguyên nhân sau:
- Dịch tiết đặc quánh
- Nấm
- Máu
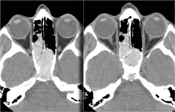
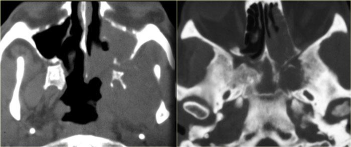
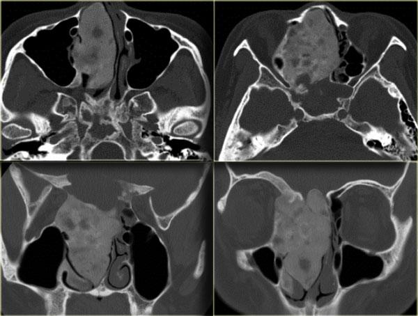
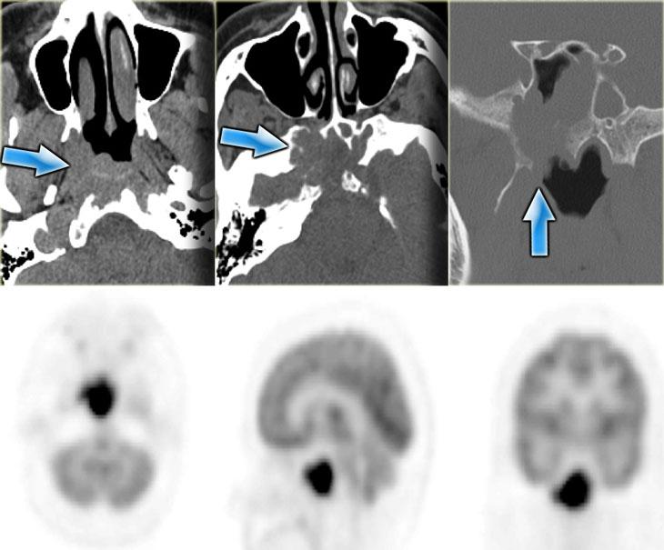
Bên trái là một trường hợp ban đầu được chẩn đoán nhầm là khối u.
Có vật chất tăng tỷ trọng ở xoang sàng sau bên phải, các ngách bướm-sàng hai bên, xoang bướm và có sự xâm lấn vào xương nền sọ (clivus).
Tình trạng tăng tỷ trọng là dấu hiệu tiên lượng tốt, gợi ý một quá trình lành tính.
Đây là ví dụ điển hình của viêm xoang nấm dị ứng.
Thông thường tổn thương này có vị trí ở phía trước hơn.
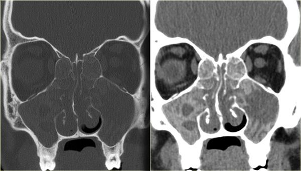
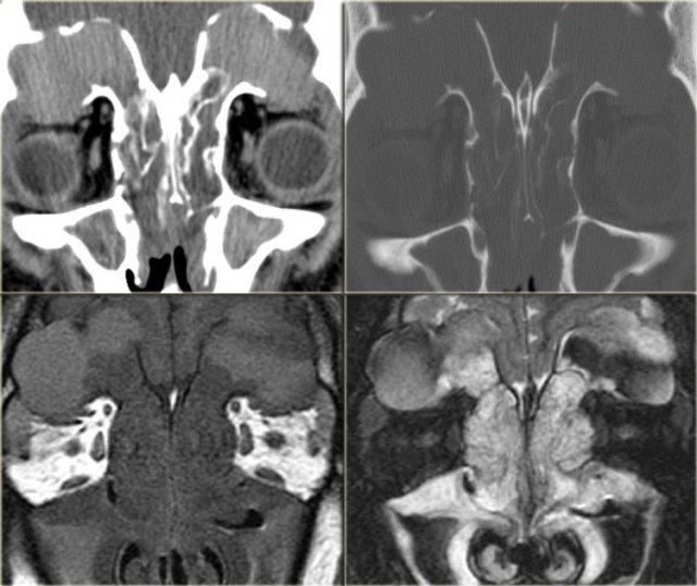
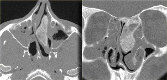
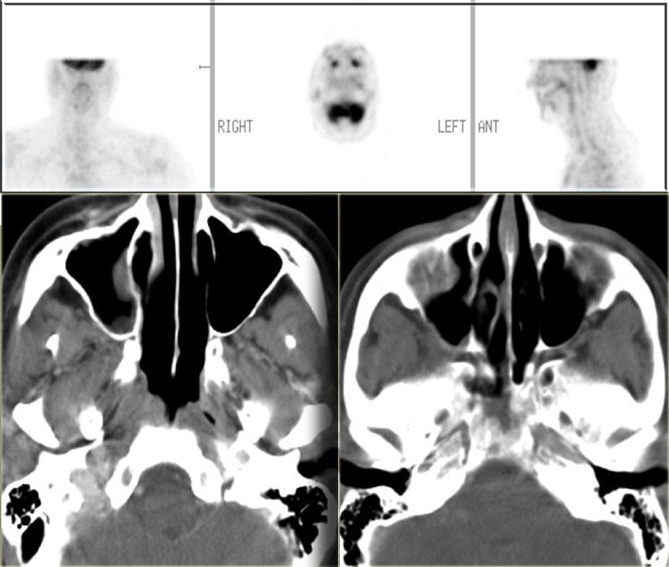
Bên trái là một ví dụ khác, điển hình hơn, của viêm xoang nấm dị ứng.
Có hình ảnh mờ đục hai bên hốc mũi, thường là dấu hiệu của quá trình viêm hoặc polyp.
Lưu ý hình ảnh phân lớp đồng tâm xen kẽ giữa tăng tỷ trọng và giảm tỷ trọng trong các xoang hàm.
Tình trạng tăng tỷ trọng là do dịch tiết đặc quánh và các thành phần nấm.
Tình trạng giảm tỷ trọng phản ánh các nang, bệnh lý niêm mạc và mô hạt.
Ở vùng xoang sàng, một phần tình trạng tăng tỷ trọng phản ánh viêm màng xương và tân tạo xương dọc theo các vách ngăn.
Đặc điểm tín hiệu của dịch tiết
MRI cực kỳ hữu ích trong các bệnh lý xoang mũi phức tạp.
MRI có thể phân biệt dịch tiết và niêm mạc với các khối.
Khi hiểu rõ các đặc điểm tín hiệu, bạn có thể dễ dàng phân biệt các khối mô mềm với dịch tiết đặc quánh.
Cường độ tín hiệu của dịch tiết có thể thay đổi và chủ yếu phụ thuộc vào tỷ lệ nước/protein và độ nhớt.
Hàm lượng protein khác nhau dẫn đến cường độ tín hiệu khác nhau trên ảnh T1W và T2W (hình).
Nấm thường có hàm lượng protein cao hơn 28% và có thể bắt chước hình ảnh xoang thông khí vì nó giảm tín hiệu trên cả T1WI và T2WI. Cần CT để phân biệt!
MRI cũng hữu ích trong việc xác định sự xâm lấn nền sọ.
Sự xâm lấn nền sọ được nhận thấy khi tín hiệu cao của tủy xương mỡ trên T1WI bị thay thế bởi tín hiệu giảm của khối u.
Cũng cần tìm kiếm sự lan rộng qua các lỗ, dù là theo đường lan truyền quanh thần kinh hay xâm lấn trực tiếp của khối u.
MRI cũng là phương tiện chẩn đoán được lựa chọn để phát hiện sự lan rộng nội sọ của bệnh lý xoang mũi.
Xoang thông khí giả
Vai trò của CT và MRI (2)
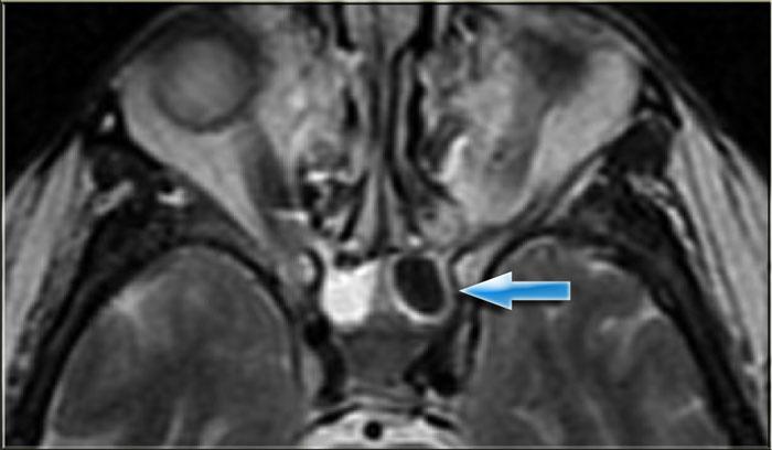
Bên trái là ảnh chuỗi xung T2W của một bệnh nhân suy giảm miễn dịch có sốt.
Ban đầu MRI được thực hiện để loại trừ viêm xoang.
Lưu ý tín hiệu thấp của xoang bướm trái, xoang này cũng có tín hiệu thấp trên ảnh T1W (không hiển thị).
Tiếp tục xem CT.
CT cho thấy rõ ràng xoang bị mờ đục, với tỷ trọng hơi tăng.
Các đặc điểm tín hiệu trên MRI và tỷ trọng trên CT là kết quả của hàm lượng protein cao trong nấm.
Đây là ví dụ điển hình về bẫy chẩn đoán ‘xoang thông khí giả’.
Đây là ví dụ của nhiễm trùng Actinomyces.
Vì vậy, khi nghi ngờ nhiễm nấm xâm lấn, hãy bắt đầu bằng CT, sau đó chuyển sang MRI để loại trừ sự lan rộng đến mắt, xoang hang và khoang nội sọ!
Ngấm thuốc tương phản từ
Nhìn chung, tín hiệu sáng trên T2 là dấu hiệu của bệnh lành tính, vì dịch và bệnh lý niêm mạc thường có hàm lượng nước cao.
Dịch tiết không có hình ảnh ngấm thuốc dạng đặc.
Nếu có một khối ngấm thuốc, cần loại trừ khối u.
Bên trái là ví dụ về bệnh lý xoang mũi do nhiễm trùng.
Trên ảnh trước tiêm thuốc tương phản từ, thấy nội dung tín hiệu tương đối cao trong các xoang hàm do vật chất giàu protein.
Sau khi tiêm thuốc tương phản từ đường tĩnh mạch, chỉ có hình ảnh ngấm thuốc của niêm mạc xung quanh và không có ngấm thuốc dạng đặc.
Vai trò của CT và MRI (3)
Trong các trường hợp phức tạp, cả CT và MRI đều cần thiết để đánh giá mức độ lan rộng của bệnh.
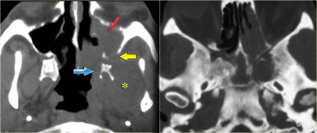
Bên trái là hình ảnh CT của một bệnh nhân sau ghép phổi có sốt và liệt nhiều dây thần kinh sọ tiến triển nhanh.
Chúng tôi sẽ trình bày hình ảnh CT và MRI của bệnh nhân này. Chẩn đoán u lympho được xác định qua sinh thiết.
Trước tiên hãy nghiên cứu các hình ảnh để đánh giá mức độ lan rộng của bệnh.
Sau đó tiếp tục đọc.
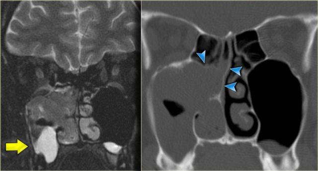
Trên hình ảnh CT, các phát hiện bao gồm:
- Khối mô mềm trong xoang hàm (mũi tên đỏ).
- Phá hủy thành xoang (mũi tên vàng).
- Tái cấu trúc và phá hủy xương chân bướm (mũi tên xanh dương).
- Khối mô mềm lớn trong khoang cơ nhai (dấu hoa thị).
Hình ảnh bên phải ở mức cao hơn.
Có hình ảnh mờ đục xoang bướm kèm phá hủy và loãng xương bướm.
CT thể hiện rõ sự phá hủy xương và một phần xâm lấn mô mềm.
Tiếp tục xem hình ảnh MRI.
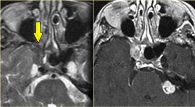
Bên trái là hình ảnh MRI tương ứng.
Trước tiên hãy nghiên cứu các hình ảnh, sau đó tiếp tục đọc.
Các phát hiện bao gồm:
- Dịch trong xoang bướm phải (mũi tên đỏ).
- Mô giảm tín hiệu trong xoang bướm trái (mũi tên vàng).
- Lan rộng dọc theo bờ màng cứng của hố sọ giữa (mũi tên xanh dương).
- Lan rộng vào khoang gò má-cơ nhai trái (mũi tên vàng lớn).
- Sau tiêm thuốc tương phản từ, không có ngấm thuốc dạng đặc của mô trong khoang bướm.
Tiếp tục xem hình ảnh mặt phẳng coronal.
Hình ảnh mặt phẳng coronal của cùng bệnh nhân: T1 trước và sau tiêm thuốc tương phản từ.
Hình ảnh bình thường của hang Meckel bên phải; mô trong hang Meckel bên trái lan rộng vào xoang hang (mũi tên xanh dương).
Mũi tên đỏ chỉ vào bờ màng cứng của xoang hang: có ngấm thuốc ở cả hai mặt của màng cứng.
Bệnh lý bao quanh thùy thái dương (mũi tên xanh lá) và lan xuống dưới qua lỗ bầu dục (mũi tên vàng) vào khoang cơ nhai.
Dấu hoa thị chỉ mô bình thường không ngấm thuốc trong khoang cơ nhai.
Bệnh nhân này bị u lympho.
Chín trong mười trường hợp, bệnh nhân suy giảm miễn dịch sẽ bị nhiễm nấm, một trong mười trường hợp sẽ là u lympho.
CT và MRI có vai trò bổ sung cho nhau trong trường hợp này, nhưng cuối cùng cần sinh thiết để phân biệt hai chẩn đoán này, vì phương pháp điều trị khác nhau.
Vai trò của CT và MRI (4)
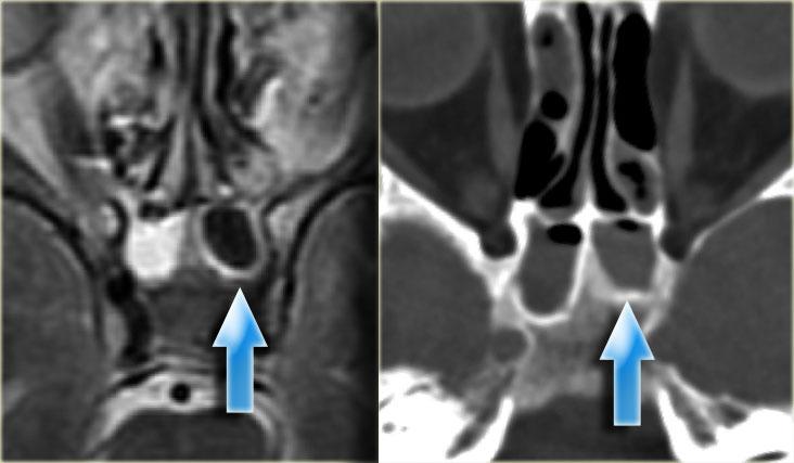
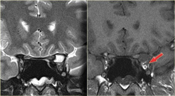
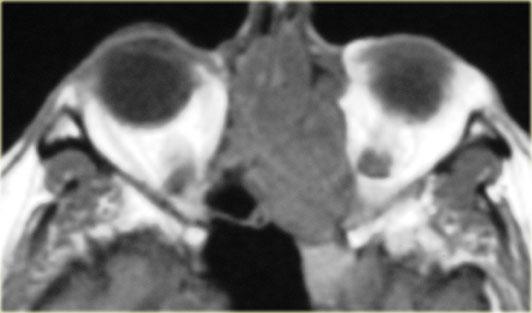
Bên trái là hình ảnh của bệnh nhân 64 tuổi, có miễn dịch bình thường, đến chụp kiểm tra u thần kinh tiền đình bên trái.
Trên hình ảnh bên trái, thấy mô giảm tín hiệu ở hố chân bướm-khẩu cái và ống thần kinh Vidian (mũi tên vàng).
Trên hình ảnh bên phải, ở mức cao hơn, có mô giảm tín hiệu ở khe chân bướm-hàm trên và hố chân bướm-khẩu cái.
Tiếp tục xem ảnh T1W sau tiêm thuốc tương phản từ.
Có hình ảnh ngấm thu
Biến Chứng của Viêm Xoang
Khi đánh giá các biến chứng của viêm xoang, CT rất hiệu quả trong việc chẩn đoán hình ảnh áp xe dưới màng xương hoặc lan rộng vào hốc mắt ở 2/3 phía trước.
MRI là cần thiết để đánh giá các biến chứng nội sọ, chẳng hạn như áp xe não hoặc áp xe ngoài màng cứng, mủ màng não dưới màng cứng hoặc huyết khối xoang tĩnh mạch.
Áp xe não
Hình ảnh bên trái của một bệnh nhân ban đầu được chẩn đoán là u nguyên bào thần kinh đệm đa dạng (glioblastoma multiforme).
Có các bất thường ở cả hai thùy trán.
Tuy nhiên, hãy chú ý đến mô bất thường trong xoang trán (mũi tên vàng), áp xe dưới màng xương (mũi tên đỏ) và mức dịch-dịch (mũi tên xanh lá) trong tổn thương nội sọ lớn có hình ảnh ngấm thuốc dạng vòng nhẫn.
Tất cả các bất thường liên tục với nhau, cho thấy có sự phá hủy xương trán.
Hình ảnh khuếch tán hạn chế cũng hỗ trợ chẩn đoán áp xe não.
Đây là áp xe dưới màng xương và viêm tủy xương của xương trán, thường kèm theo sưng nề mềm và đau vùng trán.
Tình trạng này còn được gọi là khối u phồng Pott (Pott’s puffy tumor) theo tên Sir Pott, một phẫu thuật viên người Anh, người đầu tiên mô tả thực thể bệnh lý này.
Áp xe não (2)
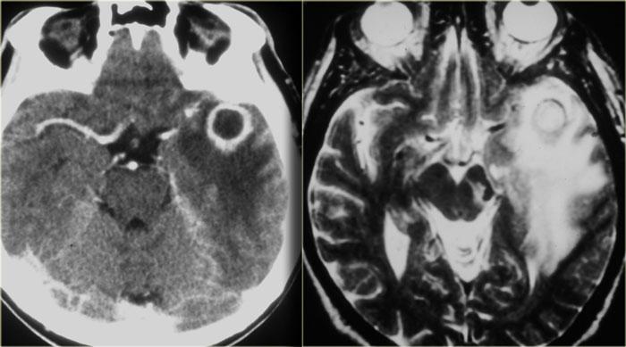
Hình ảnh bên trái của một bệnh nhân khác, người gần đây đã được điều trị viêm xoang và hiện nhập viện vì cơn động kinh.
CT cho thấy bất thường ở thùy thái dương trái với hình ảnh ngấm thuốc dạng vòng nhẫn dày, bờ không đều, kèm theo phù não do mạch máu lan rộng.
Đây cũng là một áp xe não, nhiều khả năng do vi khuẩn trào ngược vào các tĩnh mạch sọ và đám rối tĩnh mạch quanh xoang hang.
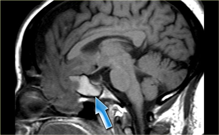
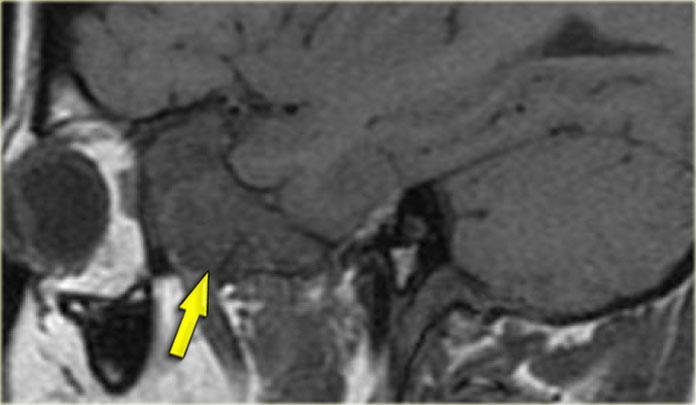
Nang nhầy (Mucocele)
Hình ảnh bên trái của một bệnh nhân bị viêm xoang cấp tính và bệnh lý tế bào khí sàng.
Bệnh nhân nhập viện với triệu chứng nhìn mờ.
Hãy quan sát kỹ các hình ảnh trước, sau đó tiếp tục đọc.
Chú ý dịch trong mỏm yên trước trái.
Dây thần kinh thị giác chạy ở phía trong của nó.
Tiếp tục xem các hình ảnh mặt phẳng coronal.
Chuỗi xung T2W mặt phẳng coronal cho thấy sự giãn rộng của mỏm yên.
Chuỗi xung T1W cho thấy mất tín hiệu mỡ bình thường so với bên phải, và lan rộng vào đỉnh hốc mắt (mũi tên đỏ).
Đây là nang nhầy của mỏm yên trước với tổn thương thứ phát dây thần kinh thị giác.
Viêm Mô Tế Bào Hốc Mắt và Áp Xe
Bên trái là chuỗi xung T1W mặt phẳng axial, bên phải là chuỗi xung T2W mặt phẳng coronal.
Có bất thường ở bên trái, nhưng ở mức độ ít hơn cũng có ở bên phải.
Hãy cố gắng xác định các cấu trúc nào bị tổn thương.
Các mũi tên vàng chỉ vào ống lệ mũi.
Túi lệ kết nối với ống lệ, sau đó dẫn lưu vào ngách mũi dưới.
Bên trái có phù nề mô mềm quanh hốc mắt trước vách ngăn.
Trên hình ảnh coronal, có tín hiệu cao hai bên tại vị trí nối giữa ống lệ mũi và túi lệ, gợi ý ổ dịch.
Bên trái cũng có phù nề mô xung quanh.
Chuỗi xung T1W sau tiêm thuốc tương phản từ, mặt phẳng axial và coronal.
Ở phía ngoài ống lệ mũi hai bên, có các ổ dịch hiện nay cho thấy hình ảnh ngấm thuốc ngoại vi.
Các hình ảnh bổ sung (chuỗi xung T2W) cho thấy bệnh lý niêm mạc xoang hàm phải và mức dịch trong xoang hàm trái, ngoài ra còn có bệnh lý xoang sàng và xoang bướm lan rộng.
Bệnh nhân này bị viêm xoang cấp tính có biến chứng viêm mô tế bào hốc mắt và viêm túi lệ kèm áp xe.
Hẹp ống lệ mũi do bẩm sinh hoặc do viêm là yếu tố nguy cơ dẫn đến viêm túi lệ.
Biến Chứng của FESS
Một biến chứng hiếm gặp của phẫu thuật nội soi xoang chức năng (FESS) được thấy trong các hình ảnh bên trái.
Đơn vị Hounsfield của các bất thường nhỏ mà dấu hoa thị chỉ vào vào khoảng -120.
Trước tiên hãy quan sát các hình ảnh mặt phẳng axial.
Sau đó tiếp tục với các hình ảnh mặt phẳng coronal.
Có khuyết xương tại trần sàng (fovea ethmoidalis) (mũi tên đỏ).
Ngoài ra còn có các thay đổi sau phẫu thuật cho thấy bệnh nhân đã trải qua phẫu thuật FESS.
Khí nội sọ là biến chứng của phẫu thuật FESS.
Với biến chứng này, thông thường bệnh nhân ra về trong tình trạng ổn định, sau đó tái nhập viện khoảng hai tuần sau với tình trạng rò dịch não tủy và viêm màng não, do khuyết xương và màng cứng.
Tràn khí nội sọ áp lực xảy ra khi khí trong hộp sọ hoạt động như một khối choán chỗ: có khuyết xương cho phép khí đi vào nhưng không thoát ra được (chức năng như van một chiều).
Mỗi lần bệnh nhân hắt hơi, khí bị đẩy qua chỗ khuyết vào khoang nội sọ và bị giữ lại ở đó.
Đến một thời điểm nhất định, lượng khí đủ lớn để gây hiệu ứng khối lên các cấu trúc nội sọ xung quanh.
Khối u và các tổn thương giả u
Vai trò của CT và MRI
Trong chẩn đoán hình ảnh các khối u xoang cạnh mũi, CT và MRI đóng vai trò bổ sung cho nhau.
Vấn đề không phải là xác định mô học mà là trả lời câu hỏi “đây có phải khối u hay không?” và sau đó xác định mức độ lan rộng của bệnh, ví dụ như xâm lấn nội sọ hoặc hốc mắt.
Sử dụng MRI để phân biệt dịch tiết cô đặc với khối u tân sinh.
Quét xuống đến xương móng cho phép khảo sát các hạch bạch huyết nhóm I và II: khoảng 10% các khối u xoang cạnh mũi đã có di căn hạch tại thời điểm chẩn đoán.
Não thoát vị (Encephalocele)
Hình ảnh T2W mặt phẳng coronal của bệnh nhân bên trái cho thấy một cấu trúc bất thường trong hốc mũi phải.
Sau khi xác định được bản chất tổn thương, hãy dừng lại để suy nghĩ xem bất thường này là do phát triển hay mắc phải.
Bệnh nhân này có não thoát vị.
Có hai dấu hiệu trên hình ảnh cho phép xác định đây là bất thường phát triển.
Thứ nhất, chú ý não thoát vị nhỏ hơn ở bên trái (mũi tên xanh lá).
Não thoát vị mắc phải thường gặp ở một bên nhiều hơn.
Dấu hiệu thứ hai là loạn sản vỏ não (mũi tên vàng) như một phần của bất thường di cư tế bào thần kinh.
Não thoát vị mắc phải (ví dụ sau phẫu thuật) thường dẫn đến mô não chết với tình trạng xơ gliosis, biểu hiện tăng tín hiệu trên chuỗi xung T2W.
Cấu trúc trông bất thường trong hình bên trái (mũi tên đỏ) là vật liệu chèn phẫu thuật, được đặt vào sau khi vô tình tiếp xúc với mô não.
Mũi tên xanh dương chỉ vào xoang bướm với tín hiệu tăng cao, do tình trạng ứ đọng dịch nhầy gây ra bởi sự tắc nghẽn từ khối não thoát vị.
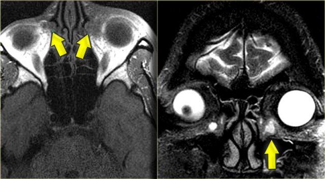
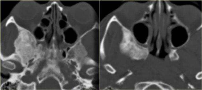
Nang nhầy (Mucocele)
Nang nhầy là các khối lành tính, có tính chất giãn nở tại chỗ trong xoang cạnh mũi, thường gặp nhất ở xoang trán.
Thứ phát do tắc nghẽn lỗ thông xoang, dịch tích tụ trong khoang được lót bởi màng niêm mạc-màng xương, dẫn đến ăn mòn và tái cấu trúc xương xung quanh.
Các nguyên nhân phổ biến nhất gây nang nhầy bao gồm nhiễm trùng mạn tính, bệnh lý dị ứng mũi xoang, chấn thương và phẫu thuật trước đó.
Vị trí thường gặp nhất của nang nhầy là xoang trán-sàng, tiếp theo là xoang bướm.
Vị trí ít gặp nhất là xoang hàm.
Bên trái là hình ảnh một bệnh nhân với nguyên nhân không thường gặp gây nang nhầy.
Chú ý khối đặc gây tắc nghẽn tại vị trí tiếp nối trán-sàng (mũi tên vàng).
MRI trước và sau tiêm thuốc tương phản từ của cùng một bệnh nhân.
Nang nhầy biểu hiện tăng tín hiệu trên chuỗi xung T1W (dấu hiệu lành tính).
Khối ở vùng sàng giảm tín hiệu và ngấm thuốc đồng nhất.
Nang nhầy (2)
Ca bệnh bên trái minh họa hai biến chứng điển hình của chấn thương vùng mặt trán.
Gãy xương mũi hai bên là dấu hiệu gợi ý nguyên nhân chấn thương.
Quan sát hình CT ở ngoài cùng bên trái, bạn sẽ nhận thấy một khối mô mềm lồi trong xoang trán.
Hình MRI tương ứng cho thấy một cấu trúc tròn tăng tín hiệu ở cùng vị trí.
Hãy nghiên cứu kỹ các hình ảnh bên trái trước khi tiếp tục đọc.
Bây giờ hãy quan sát lại cẩn thận hình CT ở ngoài cùng bên trái.
Bạn có nhận thấy khuyết xương ở bên trái, tại bờ ngoài của khoang khí sàng (mũi tên vàng) không?
Hình MRI cho thấy có mô não tại vị trí khuyết xương này.
Bệnh nhân này có cả nang nhầy lẫn não thoát vị mắc phải.
Hai nguyên nhân phổ biến nhất gây nang nhầy là chấn thương và viêm mạn tính do tắc nghẽn lỗ thông xoang.
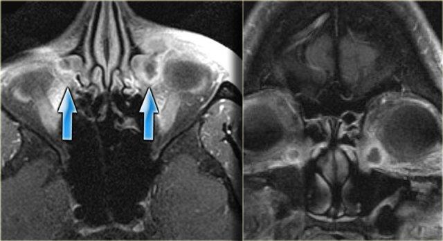
Nang nhầy (3)
Ca bệnh minh họa này thể hiện rõ nét hình ảnh nang nhầy hai bên.
Bệnh nhân này có viêm xoang mạn tính với mờ đục toàn bộ xoang mũi, ứ đọng dịch nhầy trong các xoang hàm và nang nhầy hai bên kích thước lớn.
CT cho thấy tăng tỷ trọng và MRI cho thấy tăng tín hiệu trên chuỗi xung T2W – cả hai đều là dấu hiệu lành tính trong bệnh lý mũi xoang, gợi ý chất dịch giàu protein.
Có hình ảnh tái cấu trúc xương trơn láng và đẩy lồi thành xoang trán; mặc dù trông như có phá hủy xương tại ranh giới hốc mắt của xoang trán, nhưng thông thường phẫu thuật viên vẫn có thể quan sát thấy một lớp xương mỏng còn nguyên vẹn tại chỗ.
U nhú đảo ngược (Inverted papilloma)
U nhú đảo ngược được đặc trưng bởi sự lộn ngược của biểu mô tân sinh vào trong mô đệm bên dưới.
Tổn thương biểu hiện như một polyp mũi một bên xuất phát từ thành bên hốc mũi, thường ở vùng khe mũi giữa và cuốn mũi giữa.
Xâm lấn vào xoang hàm và xoang sàng là thường gặp.
Tổn thương gây ra các triệu chứng không đặc hiệu như nghẹt mũi hoặc chảy máu mũi.
Sinh thiết là cần thiết để xác định chẩn đoán và vì hơn 10% u nhú đảo ngược có kèm theo ung thư biểu mô tế bào vảy.
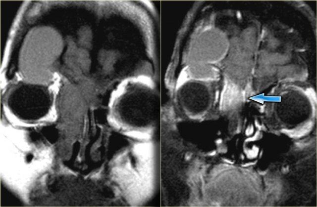
Khi muốn phân biệt dịch tiết cô đặc với khối u tân sinh, điều quan trọng là phải có hình ảnh trước và sau tiêm thuốc tương phản từ.
Nếu chỉ nhìn vào hình sau tiêm thuốc ở bên phải, bạn có thể bị nhầm lẫn khi cho rằng có sự ngấm thuốc đồng nhất của khối trong hốc mũi (dấu hoa thị) cũng như trong xoang sàng và xoang hàm bên phải.
Tuy nhiên, khi nhìn vào hình trước tiêm thuốc, bạn sẽ nhận thấy rằng nội dung trong xoang sàng và xoang hàm tăng tín hiệu so với khối trong hốc mũi (vùng khe mũi giữa), vì các xoang này chứa đầy dịch tiết cô đặc.
Khối ngấm thuốc đồng nhất này phải được coi là khối u cho đến khi được chứng minh ngược lại.
Các dấu hiệu hình ảnh không đặc hiệu và chẩn đoán phân biệt bao gồm polyp hoặc ung thư biểu mô.
Sinh thiết xác nhận là u nhú đảo ngược.
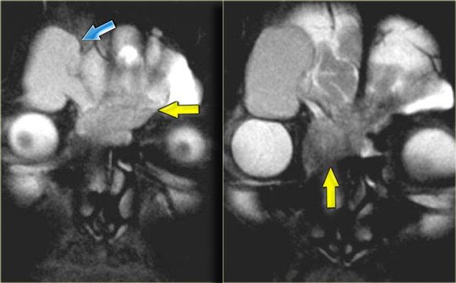
U nhú đảo ngược (2)
Bên trái là một bệnh nhân khác nhập viện vì nghẹt mũi.
Hãy nghiên cứu các hình ảnh bên trái.
Tự mình xác định xem bạn đang quan sát một khối đặc, dịch tiết cô đặc, sự kết hợp của cả hai, hay một thứ gì đó hoàn toàn khác.
Hình T1W trước tiêm thuốc cho thấy một vùng tăng tín hiệu trong xoang hàm, tương ứng với chất dịch giàu protein.
Phía trong của vùng đó là một vùng giảm tín hiệu tương tự tín hiệu của nhãn cầu (có thể là dạng nang).
Phần lớn mô mềm trong xoang hàm phải tương đối giảm tín hiệu trên hình T1W trước tiêm thuốc,
nhưng ngấm thuốc đồng nhất, gợi ý khối u.
Hình T2W bên trái xác nhận thành phần dạng nang (mũi tên vàng).
Hình CT mặt phẳng coronal minh họa rõ nét hình ảnh tái cấu trúc xương và giãn nở (đầu mũi tên).
Kết quả giải phẫu bệnh xác nhận là u nhú đảo ngược.
Vị trí tổn thương khá điển hình.
Tổn Thương Xơ-Xương
Tổn thương xơ-xương là những phát hiện tình cờ rất phổ biến và thường bị nhầm lẫn với u.
CT thường có giá trị chẩn đoán, vì vậy khi phát hiện một tổn thương bất thường ở nền sọ, hãy nghĩ đến tổn thương xơ-xương và chỉ định CT không tiêm thuốc cản quang.
Tổn thương nền sọ thường gặp nhất là loạn sản xơ (fibrous dysplasia), tiếp theo là u xương (osteoma).
U xương thường khu trú trong các hốc xoang-mũi.
U xơ (fibroma) ít gặp hơn và có thể ở dạng hóa xương hoặc không hóa xương.
Các tổn thương ác tính hiếm gặp.
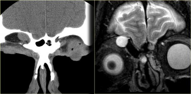
Loạn sản xơ
Hình ảnh bên trái của một bệnh nhân được nghi ngờ mắc u sụn ác tính (chondrosarcoma).
Trên chuỗi xung T2W, có một tổn thương giảm tín hiệu (mũi tên vàng) kèm thành phần dạng nang (mũi tên đỏ).
Trên chuỗi xung T1W trước và sau tiêm thuốc tương phản từ, khối u ngấm thuốc đồng nhất với vùng ngoại vi của thành phần nang ngấm thuốc theo chu vi.
Câu hỏi: bước tiếp theo cần thực hiện là gì?
Bước tiếp theo: chụp CT!
Trên CT, đây là hình ảnh loạn sản xơ (FD) điển hình với vỏ xương còn nguyên vẹn và hình ảnh kính mờ (ground-glass).
Nhiều tổn thương loạn sản xơ ở vùng clivus, nền sọ hoặc hốc xoang-mũi, đặc biệt ở trẻ em, có thể có thành phần nang lớn, vì vậy đừng để điều đó làm bạn phân vân trong chẩn đoán!
Loạn sản xơ (2)
Hình ảnh bên trái là một ví dụ khác về loạn sản xơ.
Tổn thương này xuất phát từ cuốn mũi giữa.
Loạn sản xơ (3)
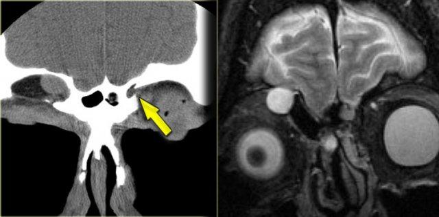
Hình ảnh bên trái của một bệnh nhân khác được đọc là có u mô mềm (mũi tên vàng) ở phía trước xương thái dương.
Đây là các hình ảnh CT cắt ngang tương ứng cho thấy hình ảnh loạn sản xơ điển hình của cánh xương bướm.
Chẩn đoán phân biệt cần đặt ra là u màng não (meningioma).
Loạn sản xơ (4)
Hình ảnh bên trái của một bệnh nhân khác với mô mềm trong xoang bướm bên trái và bất thường của cánh xương bướm trái, có kích thước gấp khoảng 3 lần bình thường nhưng vẫn duy trì hình dạng bình thường.
Trên hình ảnh sau tiêm thuốc tương phản từ, tổn thương ngấm thuốc đồng nhất.
Một lần nữa, chẩn đoán là loạn sản xơ.
Loạn sản xơ là tổn thương có tính mạch máu cao và có thể ngấm thuốc mạnh.
Viêm xương
Ngược lại, đây là hình ảnh của một bệnh nhân bị viêm xương cuốn mũi giữa và các vách ngăn xương sàng.
Lưu ý hình ảnh tăng tỷ trọng dạng lớp, do viêm mạn tính và phản ứng màng xương tái phát nhiều lần kèm tân sinh xương (neo-osteogenesis) xung quanh các vách ngăn.
U xương
Đây là bệnh nhân bị đau đầu vùng trán và đã được chụp MRI não trong 1,5 năm qua.
Trên MRI (không hiển thị), hình ảnh gợi ý bệnh nhân có tổn thương niêm mạc nhỏ ở xoang trán.
CT xoang cho thấy rõ ràng một u xương kèm khuyết xương (mũi tên) gợi ý tổn thương đang tiến triển.
Tổn thương này cần được phẫu thuật cắt bỏ.
Lưu ý: nhiều u xương cạnh mũi được tìm thấy trong hội chứng Gardner, hội chứng này còn bao gồm các u da và mô mềm cùng với polyp đại tràng có xu hướng thoái hóa ác tính.
Tổn thương xơ-xương là những phát hiện tình cờ rất phổ biến và thường bị nhầm lẫn với u.
CT thường có giá trị chẩn đoán, vì vậy khi phát hiện một tổn thương bất thường ở nền sọ, hãy nghĩ đến tổn thương xơ-xương và chỉ định CT không tiêm thuốc cản quang.
Tổn thương nền sọ thường gặp nhất là loạn sản xơ (fibrous dysplasia), tiếp theo là u xương (osteoma).
U xương thường khu trú trong các hốc xoang-mũi.
U xơ (fibroma) ít gặp hơn và có thể ở dạng hóa xương hoặc không hóa xương.
Các tổn thương ác tính hiếm gặp.
Loạn sản xơ
Hình ảnh bên trái của một bệnh nhân được nghi ngờ mắc u sụn ác tính (chondrosarcoma).
Trên chuỗi xung T2W, có một tổn thương giảm tín hiệu (mũi tên vàng) kèm thành phần dạng nang (mũi tên đỏ).
Trên chuỗi xung T1W trước và sau tiêm thuốc tương phản từ, khối u ngấm thuốc đồng nhất với vùng ngoại vi của thành phần nang ngấm thuốc theo chu vi.
Câu hỏi: bước tiếp theo cần thực hiện là gì?
Bước tiếp theo: chụp CT!
Trên CT, đây là hình ảnh loạn sản xơ (FD) điển hình với vỏ xương còn nguyên vẹn và hình ảnh kính mờ (ground-glass).
Nhiều tổn thương loạn sản xơ ở vùng clivus, nền sọ hoặc hốc xoang-mũi, đặc biệt ở trẻ em, có thể có thành phần nang lớn, vì vậy đừng để điều đó làm bạn phân vân trong chẩn đoán!
Loạn sản xơ (2)
Hình ảnh bên trái là một ví dụ khác về loạn sản xơ.
Tổn thương này xuất phát từ cuốn mũi giữa.
Loạn sản xơ (3)
Hình ảnh bên trái của một bệnh nhân khác được đọc là có u mô mềm (mũi tên vàng) ở phía trước xương thái dương.
Đây là các hình ảnh CT cắt ngang tương ứng cho thấy hình ảnh loạn sản xơ điển hình của cánh xương bướm.
Chẩn đoán phân biệt cần đặt ra là u màng não (meningioma).
Loạn sản xơ (4)
Hình ảnh bên trái của một bệnh nhân khác với mô mềm trong xoang bướm bên trái và bất thường của cánh xương bướm trái, có kích thước gấp khoảng 3 lần bình thường nhưng vẫn duy trì hình dạng bình thường.
Trên hình ảnh sau tiêm thuốc tương phản từ, tổn thương ngấm thuốc đồng nhất.
Một lần nữa, chẩn đoán là loạn sản xơ.
Loạn sản xơ là tổn thương có tính mạch máu cao và có thể ngấm thuốc mạnh.
Viêm xương
Ngược lại, đây là hình ảnh của một bệnh nhân bị viêm xương cuốn mũi giữa và các vách ngăn xương sàng.
Lưu ý hình ảnh tăng tỷ trọng dạng lớp, do viêm mạn tính và phản ứng màng xương tái phát nhiều lần kèm tân sinh xương (neo-osteogenesis) xung quanh các vách ngăn.
U xương
Đây là bệnh nhân bị đau đầu vùng trán và đã được chụp MRI não trong 1,5 năm qua.
Trên MRI (không hiển thị), hình ảnh gợi ý bệnh nhân có tổn thương niêm mạc nhỏ ở xoang trán.
CT xoang cho thấy rõ ràng một u xương kèm khuyết xương (mũi tên) gợi ý tổn thương đang tiến triển.
Tổn thương này cần được phẫu thuật cắt bỏ.
Lưu ý: nhiều u xương cạnh mũi được tìm thấy trong hội chứng Gardner, hội chứng này còn bao gồm các u da và mô mềm cùng với polyp đại tràng có xu hướng thoái hóa ác tính.
Theo dõi đáp ứng điều trị
Hình ảnh học cũng có thể được sử dụng để theo dõi đáp ứng điều trị.
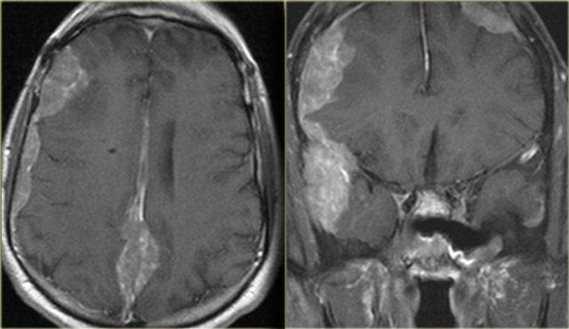
Bệnh nhân này được chẩn đoán u lympho tế bào B tại nền sọ.
Trước điều trị, chúng ta thấy được mức độ lan rộng của tổn thương, với hình ảnh tăng hấp thu FDG.
Sau ba tháng điều trị, khối u tại nền sọ đã thoái lui hoàn toàn.
Không còn ghi nhận hình ảnh tăng hấp thu FDG bệnh lý, đồng thời có hiện tượng tái khoáng hóa xương.
Bệnh nhân bên trái đã được phẫu thuật cắt bỏ ung thư biểu mô.
Hiện tại ghi nhận tình trạng tái phát (mũi tên xanh lam trên ảnh MRI và ảnh hợp nhất).
Tuy nhiên, mũi tên xanh lá chỉ vào các thay đổi mô sau xạ trị.
Bên trái là hình ảnh của bệnh nhân đã được phẫu thuật cắt bỏ sọ-mặt trước đó (mũi tên vàng) vì ung thư biểu mô kém biệt hóa.
Bệnh nhân này được điều trị bằng hóa-xạ trị.
Chuỗi xung T2W bên trái cho thấy hình ảnh u tái phát trong sọ.
Tiếp tục xem các ảnh có tiêm thuốc tương phản từ.
Trong những trường hợp như thế này, tổn thương tái phát thường biểu hiện với các hình thái bất thường, điển hình như các ổ di căn màng cứng lan rộng như được thấy ở đây.
Từ thiện
Toàn bộ lợi nhuận từ Radiology Assistant được dành cho tổ chức Medical Action Myanmar, do Bác sĩ Nini Tun và Giáo sư Frank Smithuis Sr. điều hành — ông là giáo sư tại Đại học Oxford và cũng là anh trai của Robin Smithuis.
Nhấn vào đây để xem video về Medical Action Myanmar. Nếu bạn thấy Radiology Assistant hữu ích, hãy ủng hộ Medical Action Myanmar bằng một món quà nhỏ.


















































