MRI tuyến vú
Bài tổng quan này dựa trên bài trình bày của Leonard Glassman và được Marieke Hazewinkel biên soạn lại cho the Radiology Assistant.
MRI là một công cụ mạnh mẽ: có khả năng phát hiện ung thư không thể nhìn thấy trên các phương tiện chẩn đoán hình ảnh thông thường, có thể được sử dụng như một công cụ giải quyết vấn đề, và có thể được áp dụng để tầm soát cho các bệnh nhân có nguy cơ cao.
MRI tuyến vú cũng vượt trội hơn các phương thức chẩn đoán hình ảnh hiện nay trong việc theo dõi đáp ứng với hóa trị liệu.
Phương pháp này có thể thay đổi kế hoạch điều trị ở 15-30% bệnh nhân ung thư vú.
Chúng ta sẽ thảo luận về cách đọc MRI tuyến vú thông qua việc xem xét:
- Hình thái học của tổn thương
- Đặc điểm chuỗi xung T1W và T2W
- Kiểu ngấm thuốc và động học ngấm thuốc của khối và vùng ngấm thuốc không tạo khối
- Các tổn thương tuyến vú đặc hiệu
Giới thiệu
Các tổn thương ngấm thuốc được chia thành ba nhóm chính: điểm ngấm thuốc/các điểm ngấm thuốc, khối, và vùng ngấm thuốc không tạo khối (1).
Điểm ngấm thuốc (hoặc khi có nhiều điểm, gọi là các điểm ngấm thuốc) là vùng ngấm thuốc có đường kính dưới 5 mm, quá nhỏ để có thể mô tả đặc điểm.- Khối
- Ngấm thuốc không tạo khối
là tổn thương ba chiều chiếm một khoang trong tuyến vú.
Tương tự như trong nhũ ảnh và siêu âm, chúng ta xem xét hình dạng, bờ và đặc điểm bên trong của khối: bao gồm đặc điểm chuỗi xung T1W và T2W cũng như kiểu ngấm thuốc.
là các vùng ngấm thuốc không có khối ba chiều có thể xác định được.
Các đặc điểm của ngấm thuốc không tạo khối bao gồm sự phân bố, kiểu ngấm thuốc bên trong, và tính đối xứng hay bất đối xứng của vùng ngấm thuốc.
Điểm ngấm thuốc và các điểm ngấm thuốc
Một trong những hình ảnh thường gặp là các ‘điểm sáng nhỏ’.
Các điểm ngấm thuốc này là những vùng ngấm thuốc có đường kính dưới 5 mm và quá nhỏ để mô tả đặc điểm.
Chúng có đường cong động học kiểu 1 liên tục (persistent).
Các tổn thương này thường ổn định khi theo dõi và được xem là một phần của kiểu ngấm thuốc nền bình thường của tuyến vú.
Khối
Hình thái học
Hình dạng
Một khối có thể có hình tròn, bầu dục, thùy múi hoặc bất quy tắc.
Khối dạng thùy múi có đường viền gợn sóng.
Khối bất quy tắc có hình dạng không đều, không thể mô tả là tròn, bầu dục hay thùy múi.
Nếu một khối có hình dạng bất quy tắc, khả năng ác tính là 32%.
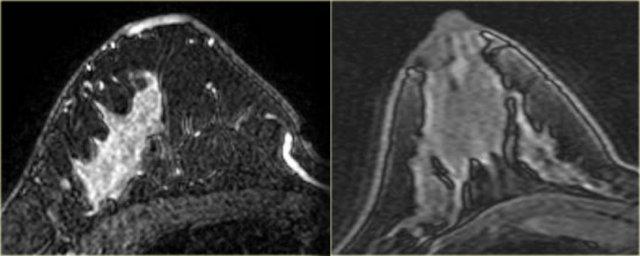
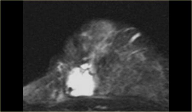
Hình ảnh bên trái cho thấy một khối lớn, bất quy tắc, được xác định là u mạch máu (angiosarcoma).
Hình ảnh ngoài cùng bên trái là u xơ tuyến vú dạng trẻ em (juvenile fibroadenoma) – có hình bầu dục với bờ nhẵn, tức là đặc điểm điển hình của tổn thương lành tính.
Các vách ngăn không ngấm thuốc không được thấy trong trường hợp này.
Hình ảnh bên phải là một ví dụ khác về u xơ tuyến vú: khối dạng thùy múi với các vách ngăn không ngấm thuốc.
Bờ
Bờ có thể được mô tả là nhẵn, bất quy tắc hoặc tua gai.
Bờ tua gai thường là đặc điểm của các tổn thương vú ác tính và sẹo hình tia.
Nếu một khối có bờ tua gai, khả năng ác tính là 80%.
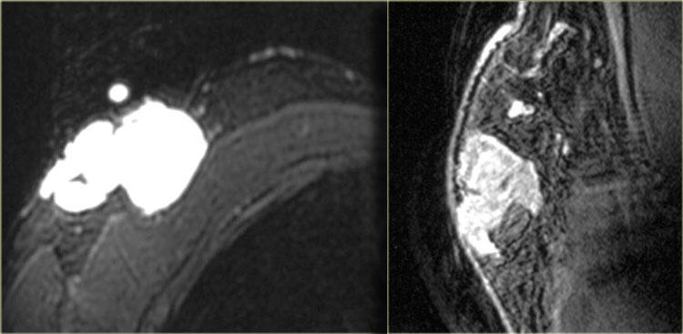
Bên trái là hình ảnh cho thấy một khối lớn, hình tròn với bờ nhẵn, được xác định là nang vùi biểu bì.
Hình ảnh ngoài cùng bên trái cho thấy một khối có bờ tua gai, tức là khả năng ác tính 80%.
Bên cạnh đó là mẫu bệnh phẩm đại thể tương ứng.
Có thể thấy các tua gai xâm lấn vào mô xung quanh trong cả hai hình.
Tương tự như trên nhũ ảnh, tổn thương này có khả năng ác tính cao và sẽ được phân loại BIRADS 5.
Hình ảnh ngoài cùng bên trái cho thấy một khối có hình dạng bất quy tắc với bờ bất quy tắc, được xác định là ung thư biểu mô ống xâm nhập.
Hình ảnh bên phải cho thấy một tổn thương tương tự có hình dạng và bờ bất quy tắc, lần này là ung thư biểu mô dạng tuyến nang (adenoid cystic carcinoma).

TRÁI: U xơ tuyến vú với các vách ngăn không ngấm thuốc. PHẢI: Ung thư biểu mô xâm nhập với các vách ngăn ngấm thuốc
Hình ảnh bên trái là u xơ tuyến vú lành tính điển hình.
Đây là khối dạng thùy múi với các vách ngăn không ngấm thuốc.
Trên hình ảnh này, bờ khối có phần bất quy tắc ở một số vị trí, đây có thể là lý do để sinh thiết tổn thương này.
Hình ảnh bên phải là ung thư biểu mô điển hình.
Đây là khối có hình dạng bất quy tắc với bờ bất quy tắc và các vách ngăn bên trong ngấm thuốc (sự ngấm thuốc không thể hiện rõ trên hình ảnh này).
Đặc điểm tín hiệu T1-T2
Tăng tín hiệu trên T1
Chuỗi xung T1 trước tiêm thuốc tương phản từ, không ức chế mỡ có thể phát hiện sự hiện diện của mỡ trong tổn thương.
Tín hiệu cao trung tâm trên chuỗi xung T1W có thể gặp trong hạch bạch huyết trong tuyến vú hoặc hoại tử mỡ.
Mỡ cũng được thấy trong u hamartoma.
Hình ảnh bên trái cho thấy một ví dụ về u hamartoma chứa mỡ trong vú.
Các tổn thương vú chứa mỡ là lành tính trừ khi chúng phát triển nhanh.
Các tổn thương phát triển nhanh cần được sinh thiết.
Tăng tín hiệu trên T2 ức chế mỡ
Trên chuỗi xung T2 ức chế mỡ, chúng ta tìm kiếm sự hiện diện của nước. Các tổn thương sáng trên T2 bao gồm nang, hạch bạch huyết và hoại tử mỡ.
Tất cả đây đều là các tổn thương lành tính.
Tuy nhiên, có một tổn thương ác tính có cường độ tín hiệu cao trên chuỗi xung T2 ức chế mỡ, đó là ung thư biểu mô dạng keo (colloid carcinoma).
Đây là ngoại lệ của quy tắc rằng tất cả các tổn thương có tín hiệu sáng trên chuỗi xung T2 ức chế mỡ đều là lành tính.
Trên hình ảnh bên trái có nhiều vùng tròn ở cả hai vú.
Đây là các nang đa ổ.

U xơ tuyến vú (trái) và ung thư biểu mô dạng keo (phải). Cả hai đều tăng tín hiệu trên chuỗi xung T2W.
Hình ảnh ngoài cùng bên trái cho thấy một tổn thương hình tròn với tín hiệu sáng trên T2.
Đây là u xơ tuyến vú.
Bên phải là ví dụ về ung thư biểu mô dạng keo trong vú có mô tuyến dày đặc.
Đây là ngoại lệ của quy tắc rằng tất cả các tổn thương có tín hiệu sáng trên chuỗi xung T2 ức chế mỡ đều là lành tính.
Tín hiệu trung bình và thấp trên T2 ức chế mỡ
Chuỗi xung T2 ức chế mỡ được dùng để phát hiện các tổn thương có tín hiệu cao, không phải tín hiệu trung bình hay thấp.
Cường độ tín hiệu trung bình và thấp có thể do ung thư gây ra.
Kiểu ngấm thuốc của khối
Ngấm thuốc của khối xảy ra theo sáu kiểu chính:
- Ngấm thuốc đồng nhất là ngấm thuốc đều và lan tỏa toàn bộ khối.
- Ngấm thuốc không đồng nhất là ngấm thuốc không đều, thay đổi trong lòng khối.
- Ngấm thuốc viền ngoại vi là ngấm thuốc tập trung chủ yếu ở ngoại vi của khối.
Kiểu ngấm thuốc này thường là đặc điểm của ung thư ống xâm nhập độ cao, hoại tử mỡ và nang viêm. Tổn thương có ngấm thuốc viền ngoại vi mà không phải nang điển hình có 40% khả năng ác tính. - Vách ngăn tối bên trong đề cập đến các vách ngăn không ngấm thuốc trong một khối ngấm thuốc. Đây là đặc điểm điển hình của u xơ tuyến vú, đặc biệt khi tổn thương có bờ nhẵn hoặc dạng thùy múi.
- Vách ngăn bên trong ngấm thuốc thường là đặc điểm của ác tính.
- Ngấm thuốc trung tâm là ngấm thuốc rõ rệt của một ổ nhỏ trong lòng khối ngấm thuốc. Ngấm thuốc trung tâm có liên quan đến ung thư ống độ cao.
Ngấm thuốc đồng nhất
Hình ảnh bên trái cho thấy một tổn thương ngấm thuốc đồng nhất.
Tổn thương này được xác định là ung thư biểu mô ống xâm nhập.
Ngấm thuốc không đồng nhất
Bên trái, hình ảnh cho thấy một khối có hình dạng bất quy tắc với các tua gai và kiểu ngấm thuốc bên trong không đồng nhất, được xác định là ung thư biểu mô tiểu thùy xâm nhập.
Ngấm thuốc viền ngoại vi
Hình ảnh bên trái cho thấy ngấm thuốc viền ngoại vi của một tổn thương xâm lấn mô xung quanh trong trường hợp ung thư biểu mô ống xâm nhập.
Độ phân giải thời gian – Phân tích động học (Đường cong)
Đầu tiên, chúng ta quan sát pha tăng ban đầu của đường cong trong một đến hai phút đầu.
Pha này có thể là chậm, trung bình hoặc nhanh.
Tiếp theo là pha muộn – từ hai phút trở lên sau khi tiêm thuốc tương phản từ.
Phần này của đường cong cho thấy sự tăng tiếp tục, bình nguyên hoặc thải trừ.
Phân tích động học mất khoảng sáu phút quét lặp lại và có thể dẫn đến ba loại đường cong.
Loại 1
Hình ảnh bên trái là đường cong loại 1.
Có pha tăng chậm và tiếp tục tăng theo thời gian.
Tổn thương có đường cong loại 1 có 6% khả năng ác tính.
Loại 3
Đường cong loại 3 cho thấy pha tăng nhanh ban đầu, tiếp theo là sự giảm xuống theo thời gian (thải trừ) trong pha muộn.
Tổn thương có loại đường cong này là ác tính trong 29-77% trường hợp.
Đây là màu đỏ trên hệ thống CAD (Phát hiện có hỗ trợ máy tính).
Ngấm thuốc không tạo khối
Phân bố
Ngấm thuốc không tạo khối là tình trạng ngấm thuốc không có đặc điểm ba chiều.
Đây là dấu hiệu quan trọng vì xuất hiện trong một tỷ lệ đáng kể các trường hợp ung thư.
Cần đánh giá phân bố, kiểu ngấm thuốc và tính đối xứng hoặc bất đối xứng của tổn thương.
Bảng bên trái tóm tắt các thuật ngữ dùng để mô tả phân bố của ngấm thuốc không tạo khối trong vú.
Khu trú (Focal) đề cập đến ngấm thuốc không tạo khối chiếm dưới 25% một góc phần tư của vú.
Ngấm thuốc theo phân bố ống tuyến (Ductal) là ngấm thuốc theo hướng ống dẫn sữa, và là ung thư trong 60% trường hợp.
Ngấm thuốc dạng tuyến tính (Linear) tương tự ngấm thuốc theo ống tuyến nhưng không có hướng theo ống dẫn sữa.
Dấu hiệu này tương ứng với ung thư trong 31% trường hợp.
Ngấm thuốc theo phân thùy (Segmental) liên quan đến nhiều ống tuyến và có 78% khả năng là ung thư.
Ngấm thuốc vùng (Regional) không theo phân bố ống tuyến hay phân thùy nhưng rộng hơn dạng khu trú, và là ung thư trong 21% trường hợp.
Ngấm thuốc không tạo khối lan tỏa (Diffuse) thường là lành tính.
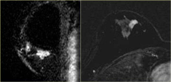
Hình ảnh bên trái cho thấy ngấm thuốc không tạo khối dạng khu trú.
Kết quả giải phẫu bệnh xác nhận đây là DCIS khu trú.
Hình ảnh bên trái cho thấy ngấm thuốc không tạo khối dạng tuyến tính.
Kết quả giải phẫu bệnh xác nhận đây là xơ hóa mô đệm (stromal fibrosis).
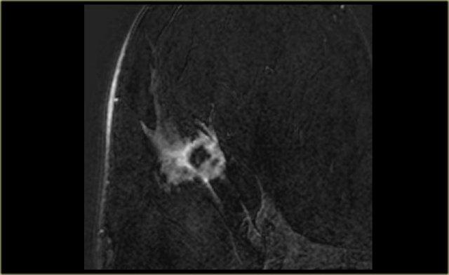
Hình ảnh bên trái cho thấy một khối kèm theo các vùng ngấm thuốc không tạo khối dạng tuyến tính.
Kết quả giải phẫu bệnh xác nhận đây là DCIS dạng tuyến tính kết hợp với ung thư biểu mô ống tuyến xâm nhập.
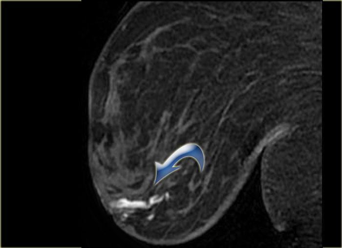
Bên trái là các ví dụ về ngấm thuốc không tạo khối theo phân thùy và theo vùng trong DCIS.
Hình ảnh ngoài cùng bên trái cho thấy một khối kèm theo ngấm thuốc theo ống tuyến xuất phát từ khối,
tương ứng với sự lan rộng ra trước và ra sau của khối u trong trường hợp DCIS này.
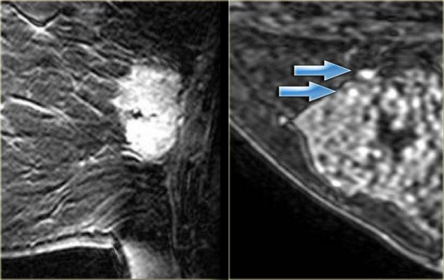
Hình ảnh kế bên cho thấy ví dụ về ngấm thuốc không tạo khối dạng tuyến tính theo hướng khác với hướng của các ống tuyến trong xơ hóa mô đệm.

TRÁI: Ngấm thuốc không đồng nhất trong ung thư biểu mô ống tuyến xâm nhập PHẢI: Ngấm thuốc dạng chấm trong u hamartoma kèm thay đổi xơ nang (mũi tên)
Kiểu Ngấm Thuốc Bên Trong – Không Tạo Khối
Ngấm thuốc không tạo khối có thể được mô tả là đồng nhất hoặc không đồng nhất, tương tự như ngấm thuốc của khối.
Như đã đề cập, ngấm thuốc dạng chấm thường là lành tính, nhưng có thể xuất hiện khu trú. Trong trường hợp đó, có 25% khả năng là ung thư.
Ngấm thuốc dạng cụm (Clumped) là kiểu ngấm thuốc không tạo khối quan trọng nhất cần nhận biết. Kiểu này có 60% khả năng là ung thư (thường là DCIS).
Đối với ngấm thuốc không tạo khối, động học ngấm thuốc (kinetics) không có nhiều giá trị.
Nếu phát hiện ngấm thuốc dạng cụm trong vú, cần tiến hành sinh thiết, ngay cả khi không có vùng nào có đường cong loại 3.
Ngoài cùng bên trái là ngấm thuốc không đồng nhất trong ung thư biểu mô ống tuyến xâm nhập.
Hình ảnh kế bên cho thấy ngấm thuốc dạng chấm trong u hamartoma kèm thay đổi xơ nang (mũi tên).
Ngấm thuốc dạng cụm
Ngấm thuốc dạng cụm là kiểu ngấm thuốc không tạo khối quan trọng nhất cần nhận biết.
Kiểu này có 60% khả năng là ung thư (thường là DCIS).
Bên trái là hai ví dụ về ngấm thuốc dạng cụm trong DCIS.
Các dấu hiệu đi kèm
Các dấu hiệu đi kèm có thể bao gồm:
- Xâm lấn da hoặc núm vú
- Xâm lấn thành ngực
- Hạch bạch huyết to
Hình ảnh bên trái cho thấy một ung thư biểu mô tương đối nhỏ ở vú phải, kèm theo dày da lan rộng.
Hình ảnh bên trái cho thấy một ung thư biểu mô dạng viêm kích thước lớn với dày da lan tỏa.
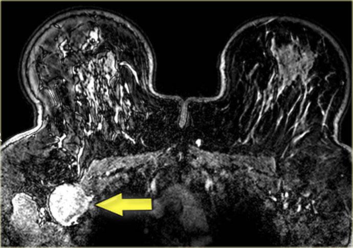
Hình ảnh bên trái cho thấy một hạch bạch huyết kích thước lớn có ngấm thuốc ở bên phải.
Các khối u vú đặc hiệu
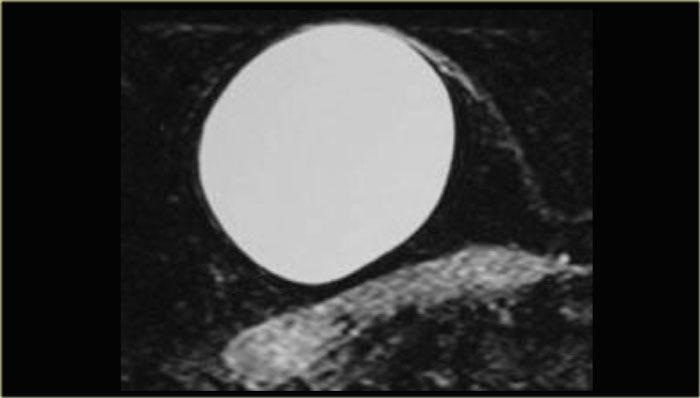
Nang
Nang có tín hiệu cao trên chuỗi xung T2W có ức chế mỡ.
Sau khi tiêm gadolinium, nang sẽ xuất hiện dưới dạng khuyết ngấm thuốc, đôi khi có ngấm thuốc viền ngoại vi.
U xơ tuyến
U xơ tuyến là tổn thương lành tính vú phổ biến nhất sau nang.
Để xác định chắc chắn một tổn thương là u xơ tuyến, cần đáp ứng các tiêu chí sau:
- Đặc điểm hình thái lành tính
- Các vách ngăn không ngấm thuốc
- Đường cong động học loại 1
U xơ tuyến phải có đặc điểm không gian lành tính.
Điều này có nghĩa là tổn thương không được có bờ tua gai hoặc bờ múi nhỏ.
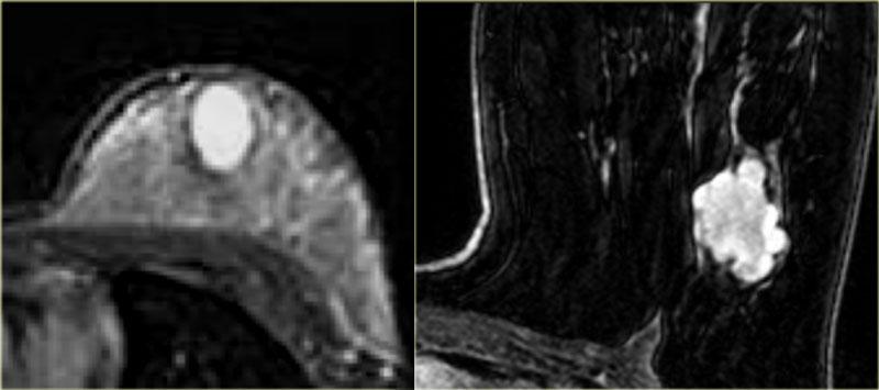
Bên trái là ví dụ điển hình của u xơ tuyến: một tổn thương hình tròn, bờ nhẵn
với một số vùng đen hoặc xám ở bên trong, đó là các vách ngăn không ngấm thuốc.
Tổn thương này có đường cong động học loại 1.
Ngoài cùng bên trái là một ví dụ khác về u xơ tuyến với các vách ngăn không ngấm thuốc rõ ràng.
Các vách ngăn này cũng có thể quan sát thấy trên tiêu bản đại thể bệnh lý.
Tổn thương chứa mỡ
Chuỗi xung T1W trước tiêm thuốc, không ức chế mỡ có thể phát hiện sự hiện diện của mỡ trong tổn thương.
Tín hiệu cao trên chuỗi xung T1W có thể gặp trong hạch bạch huyết trong tuyến vú, hoại tử mỡ và u hamartoma.
Các vùng này sẽ tối trên chuỗi xung có ức chế mỡ.
Bên trái là hai ví dụ điển hình về u hamartoma.
Các tổn thương này có các vùng chứa mỡ bị ức chế trên các hình ảnh sau khi tiêm gadolinium tĩnh mạch.
DCIS
Động học ngấm thuốc thường không có giá trị trong DCIS, đặc biệt trong các trường hợp độ thấp.
Nhiều trường hợp DCIS không có hiện tượng thải thuốc và thường có ngấm thuốc chậm ở pha sớm.
Tuy nhiên, phân bố của vùng ngấm thuốc lại có ý nghĩa quan trọng.
DCIS điển hình biểu hiện ngấm thuốc không tạo khối dạng cụm, theo ống tuyến, tuyến tính hoặc theo phân thùy.
Bên trái là bệnh nhân có các vùng ngấm thuốc không tạo khối ở cả hai vú (DCIS).
Có một khối ngấm thuốc nhỏ ở phía trong vú trái, được xác định là ung thư xâm lấn nhỏ.
Hình ảnh bên trái cho thấy một khối ngấm thuốc ở vú trái.
Đây được xác định là ung thư xâm lấn.
Phía ngoài khối là một vùng ngấm thuốc không tạo khối theo ống tuyến, được xác định là DCIS.
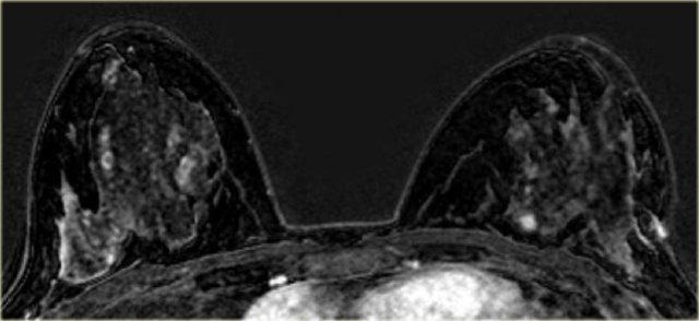
Bên trái là một trường hợp khác với DCIS lan tỏa hai bên.
Một trường hợp DCIS khác, khu trú ở phía ngoài cả hai vú.
Các trường hợp bên trái khó chẩn đoán hơn.
Cả hai bệnh nhân này đều có các vùng ngấm thuốc đồng nhất rộng ở vú phải.
Ở cả hai bệnh nhân, kết quả được xác định là DCIS.
Ung thư ống tuyến xâm lấn
Hầu hết ung thư xâm lấn là loại ống tuyến, một số là loại tiểu thùy, và có một nhóm các loại hiếm gặp hơn.
Bất kể loại ung thư nào, chúng thường biểu hiện trên MRI vú dưới dạng khối hình dạng bất thường,
bờ tua gai với ngấm thuốc dạng viền hoặc không đồng nhất sau khi tiêm gadolinium tĩnh mạch.
Bên trái là hai trường hợp.
Hình ảnh ngoài cùng bên trái là ung thư ống tuyến xâm lấn biểu hiện dưới dạng khối lớn ngấm thuốc không đồng nhất.
Kế bên là ví dụ về ung thư ống tuyến xâm lấn biểu hiện dưới dạng khối nhỏ hơn với ngấm thuốc dạng viền.
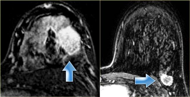
Hình ảnh ngoài cùng bên trái cho thấy một khối bất thường có lan rộng theo ống tuyến, và
bên phải là một khối bất thường lan đến thành ngực nhưng không xâm lấn vào thành ngực.
Không có ngấm thuốc ở thành ngực.
Ung thư tiểu thùy xâm lấn
Ung thư tiểu thùy xâm lấn là một trong những loại ung thư không phải lúc nào cũng
biểu hiện ngấm thuốc nhiều trên MRI vú, điều này có thể gây khó khăn cho chẩn đoán.
Tuy nhiên, trong hai trường hợp này, đây không phải là vấn đề.
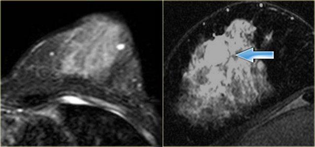
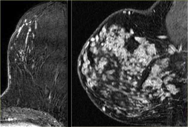
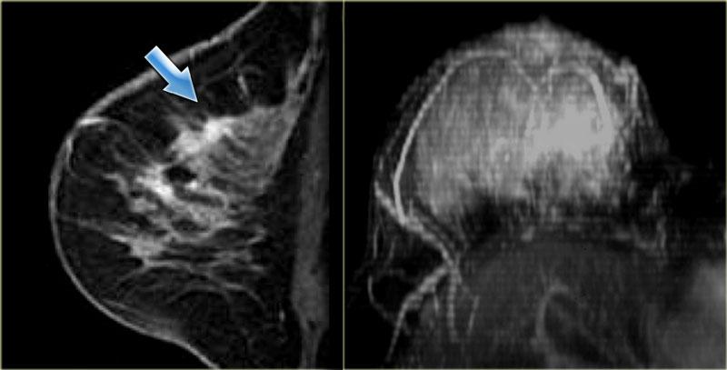
Hình ảnh ngoài cùng bên trái là ung thư tiểu thùy xâm lấn lan tỏa.
Bên phải là ảnh MIP cho thấy một vùng ngấm thuốc bất thường rộng lớn, được xác định là ung thư tiểu thùy xâm lấn lan tỏa.
Ung thư dạng keo
Hình ảnh bên trái là chuỗi xung T2W có ức chế mỡ.
Đây là ung thư dạng keo trong một tuyến vú có mô tuyến dày đặc.
Đây là ngoại lệ của quy tắc rằng tất cả các tổn thương có tín hiệu cao trên chuỗi xung T2W có ức chế mỡ đều là lành tính.
Các loại khác
Ung thư ống tuyến tận cùng
Bên trái là một khối lớn, bờ bất thường, ngấm thuốc ở bệnh nhân nam.
Đây là ung thư ống tuyến tận cùng.
Ung thư ống tuyến tận cùng
Sarcoma có biệt hóa xương
Trường hợp bên trái là bệnh nhân có sarcoma với biệt hóa xương, biểu hiện ngấm thuốc ít hơn.








































