Mất vững khớp vai – MRI
Ngày xuất bản
Tổn thương Bankart là tổn thương sụn viền ổ chảo phía trước do trật khớp vai ra trước.
Các rách sụn viền này làm cho khớp vai mất vững và dễ bị trật khớp tái phát.
Trong bài viết này, chúng tôi sẽ tập trung vào:
- Trật khớp vai
- Rách Bankart và các biến thể
Giới thiệu
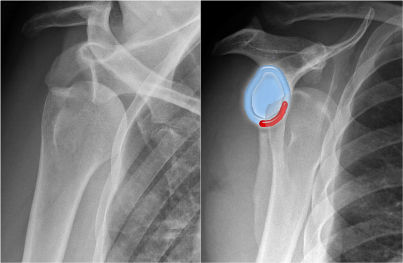
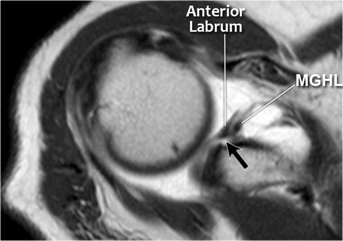
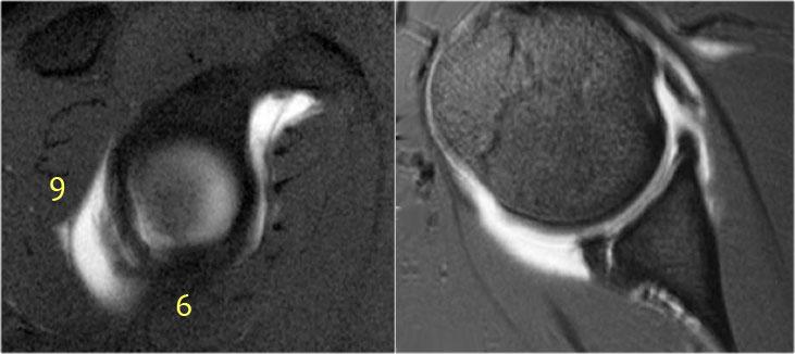
Tiếp cận tổn thương sụn viền theo chiều kim đồng hồ
Tiếp cận sụn viền theo chiều kim đồng hồ là phương pháp đơn giản nhất để chẩn đoán rách sụn viền và phân biệt với các biến thể giải phẫu bình thường của sụn viền.
Có hai loại rách sụn viền: rách SLAP và tổn thương Bankart.
SLAP là từ viết tắt của ‘Superior Labral tear from Anterior to Posterior’ (Rách sụn viền trên từ trước ra sau).
Rách SLAP bắt đầu tại vị trí 12 giờ, nơi neo gân cơ nhị đầu bám vào, gây bong tách sụn viền khỏi ổ chảo.
Rách SLAP thường kéo dài từ vị trí 10 giờ đến 2 giờ, nhưng có thể lan rộng hơn về phía sau hoặc phía trước, thậm chí lan vào gân cơ nhị đầu.
Tổn thương Bankart thường khu trú tại vị trí 3-6 giờ, do đây là vị trí đầu xương cánh tay trật ra.
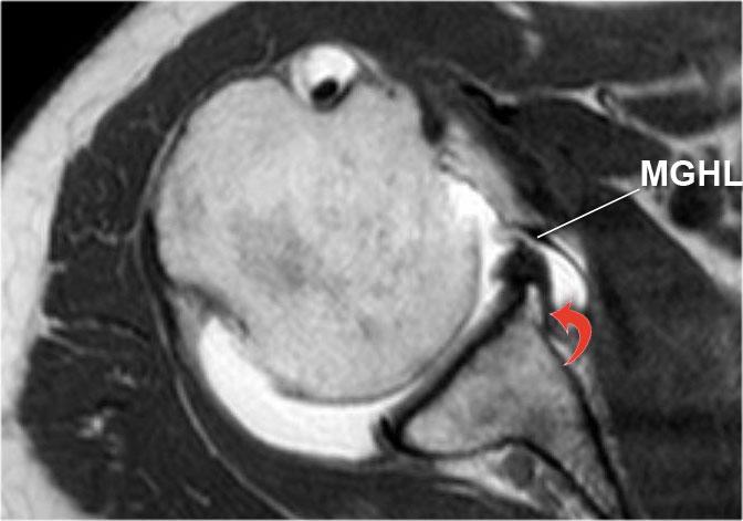
Có nhiều biến thể giải phẫu của sụn viền có thể bắt chước hình ảnh rách sụn viền.
Các biến thể này cũng có vị trí điển hình riêng.
Chúng không nằm ở vị trí 3-6 giờ, điều này giúp dễ dàng phân biệt với rách Bankart.
Rách Bankart có thể lan đến vị trí 1-3 giờ, nhưng khi đó cũng phải có tổn thương rách tại vị trí 3-6 giờ.
Tuy nhiên, các biến thể sụn viền có thể bắt chước hình ảnh rách SLAP.
Trật khớp
Khớp vai có biên độ vận động rất lớn và do đó vốn không ổn định.
Đây là khớp bị trật nhiều nhất trong cơ thể.
Chỏm xương cánh tay hầu như luôn bị di lệch ra trước và vào trong, xuống dưới mỏm quạ.
Trật khớp ra trước
Một nguyên nhân ít gặp gây trật khớp ra trước là loạn sản ổ chảo ở bệnh nhân nội trú.
Sự di lệch của chỏm xương cánh tay ra trước-dưới gây tổn thương bờ trước-dưới của ổ chảo tại vị trí 3 – 6 giờ (đánh dấu màu đỏ).
Đặc biệt ở bệnh nhân trẻ tuổi, điều này dẫn đến gãy xương Bankart hoặc tổn thương Bankart, là rách sụn viền trước-dưới.
Hậu quả là gây mất vững khớp và trật khớp tái phát.
Do các lần trật khớp tái phát này, có thể xảy ra mất xương đáng kể và mòn bờ trước ổ chảo, duy trì tình trạng mất vững khớp.
Cuộn qua các hình ảnh.
Các hình ảnh cho thấy một gãy xương Bankart kín đáo (mũi tên).
Cuộn qua các hình ảnh.
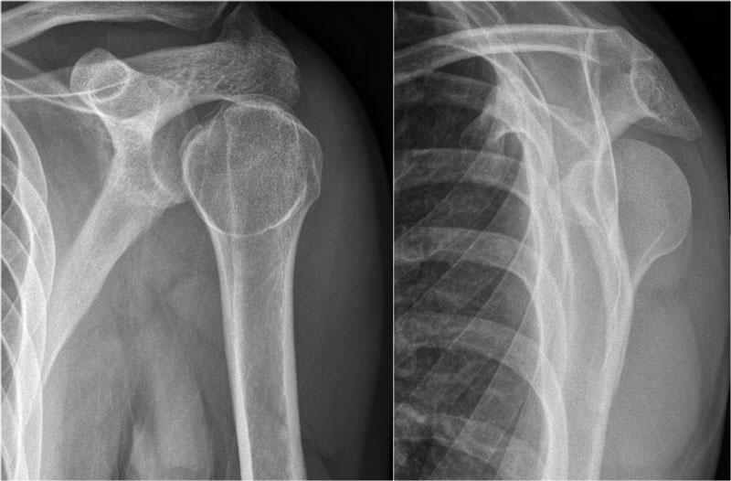
Gãy xương Bankart
Đây là hình ảnh sau nắn chỉnh.
Lưu ý đường gãy rất lớn của bờ ổ chảo kèm di lệch mảnh gãy.
Cuộn qua các hình ảnh.
Trên tái tạo mặt phẳng chếch vành tai và mặt phẳng đứng dọc, mảnh gãy di lệch của bờ ổ chảo được thấy ở vị trí 3-6 giờ.
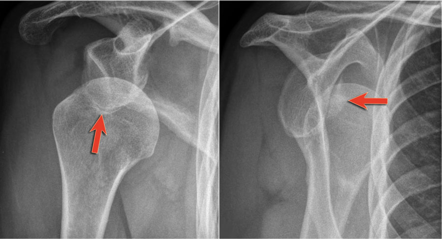
Trên hình ảnh mặt phẳng vành tai, quan sát thấy một khuyết xương Hill-Sachs lớn.
Đây là khuyết xương do hậu quả của sự va đập bờ ổ chảo vào chỏm xương cánh tay.
Tái tạo 3D của tổn thương Bankart xương lớn tại vị trí 2 – 6 giờ.
Hill-Sachs
Trên MRI, khuyết xương Hill-Sachs được thấy ở ngang mức hoặc trên mức mỏm quạ.
Hill-Sachs là một chỗ lõm ở mặt sau-ngoài của chỏm xương cánh tay.
Vị trí này nằm ở ngang mức hoặc trên mức mỏm quạ, trong phạm vi 18 mm đầu tiên của chỏm xương cánh tay tính từ trên xuống.
Tổn thương này được ghi nhận trong 75-100% bệnh nhân có mất vững khớp vai ra trước.
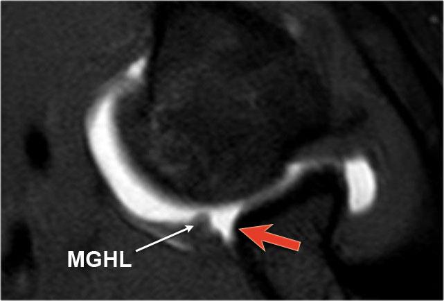
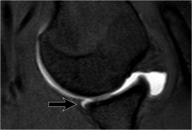
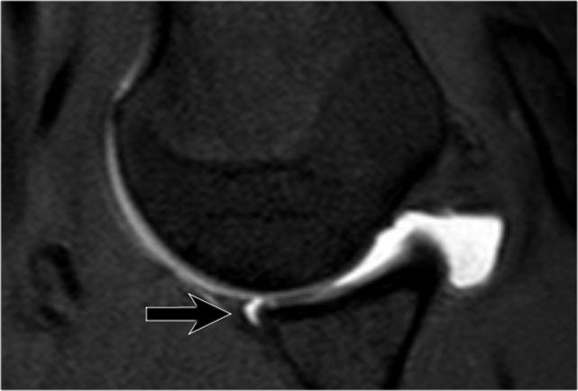
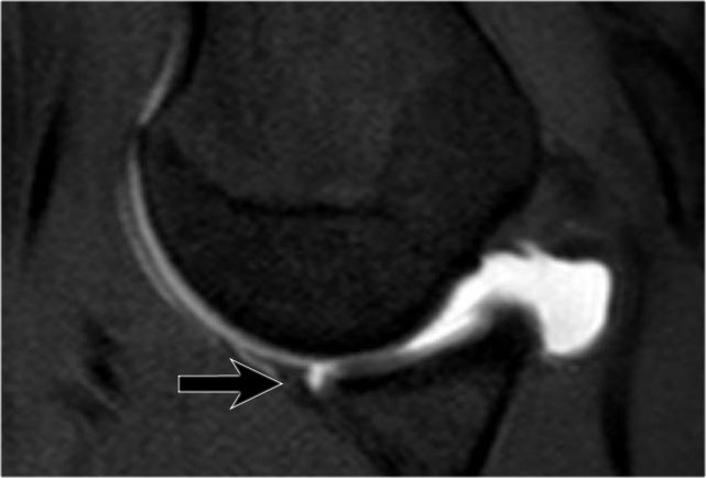
Rãnh sinh lý của xương cánh tay hoặc các nang và vùng bào mòn tại điểm bám của gân cơ dưới gai có thể mô phỏng hình ảnh Hill-Sachs, nhưng thông thường đây không phải là vấn đề chẩn đoán khó khăn (hình minh họa).
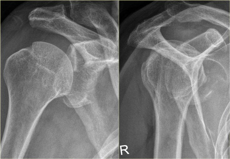
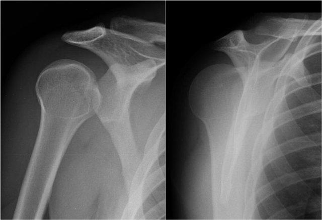
Trật khớp ra sau
Trật khớp ra sau ít gặp và dễ bị bỏ sót, do mức độ di lệch ít hơn so với trật khớp ra trước.
Trên phim thẳng (AP), chỏm xương trông bất thường do xoay trong.
Trên phim chếch qua xương bả vai (transscapular-Y), chỏm xương cánh tay bị di lệch ra sau.
Đôi khi mức độ di lệch khó đánh giá, đặc biệt khi phim chếch qua xương bả vai bị xoay nhẹ.
Đôi khi phim chụp tư thế nách có thể hữu ích, nhưng khi còn nghi ngờ nên chỉ định chụp CT.
Cuộn qua các hình ảnh.
Hình ảnh của một bệnh nhân khác bị trật khớp ra sau.
Trên phim chếch qua xương bả vai (transscapular-Y), chỏm xương cánh tay bị di lệch ra sau.
Lưu ý khoảng cách giữa chỏm xương cánh tay và ổ chảo trên phim thẳng (AP) rộng bất thường.
Trật khớp vai ra sau ít gặp và không rõ ràng trên phim X-quang như trật khớp ra trước.
Khoảng một nửa số trường hợp trật khớp vai ra sau không được chẩn đoán ngay lần khám đầu tiên, do mức độ nghi ngờ lâm sàng thấp và hình ảnh học chưa đầy đủ.
Trật khớp ra sau chiếm 2-4% tổng số các trường hợp trật khớp vai.
Trật khớp ra sau có liên quan đến cơn động kinh, chấn thương năng lượng cao, điện giật và liệu pháp sốc điện.
Trên các hình ảnh, quan sát thấy trật khớp ra sau kèm gãy xương.
Bankart và các biến thể
Tổn thương Bankart và các biến thể như Perthes và ALPSA là các chấn thương ở sụn viền trước-dưới.
Các tổn thương này luôn nằm ở vị trí 3-6 giờ vì chúng được gây ra bởi trật khớp ra trước-dưới.
Ngoại lệ duy nhất cho quy tắc này là Bankart ngược, là kết quả của trật khớp ra sau và tổn thương sụn viền sau-dưới.
Rách Bankart có thể lan lên trên, nhưng điều này không phổ biến.
- Bankart
Bong tách sụn viền trước-dưới (vị trí 3-6 giờ) với rách hoàn toàn màng xương bả vai phía trước, có hoặc không kèm mảnh xương ổ chảo. - Bankart ngược (Reverse Bankart)
Bong tách sụn viền sau-dưới (vị trí 6-9 giờ) với rách màng xương bả vai phía sau, có hoặc không kèm mảnh xương ổ chảo. - Perthes
Bong tách sụn viền trước-dưới (vị trí 3-6 giờ) với màng xương bị bóc tách về phía trong nhưng vẫn còn nguyên vẹn. - ALPSA = Avulsion bao màng xương sụn viền trước (Anterior Labral Periosteal Sleeve Avulsion).
Phức hợp sụn viền-dây chằng bị di lệch về phía trong với hình ảnh vắng mặt sụn viền tại bờ ổ chảo. - GLAD = Tổn thương sụn viền-khớp ổ chảo (GlenoLabral Articular Disruption).
Biểu hiện rách một phần sụn viền trước-dưới kèm tổn thương sụn khớp lân cận.
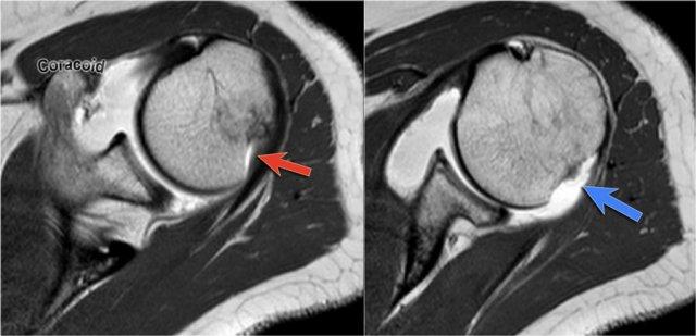
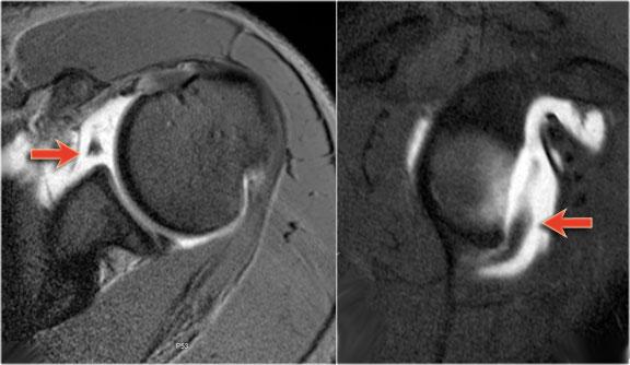
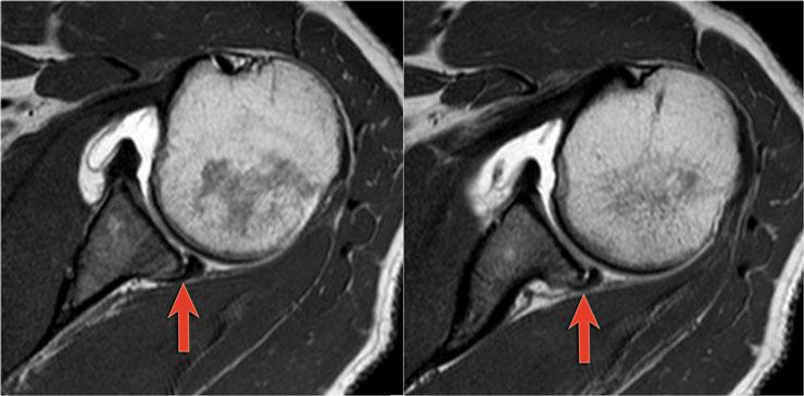
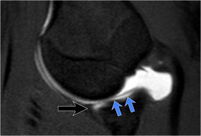
Tổn thương Bankart
Tổn thương Bankart là rách sụn viền không kèm mảnh xương.
Chụp MRI khớp cản từ hoặc nội soi khớp là phương pháp tối ưu để chẩn đoán tổn thương Bankart hoặc các tổn thương tương tự Bankart.
Có hình ảnh bong tách sụn viền trước-dưới (vị trí 3-6 giờ) với rách hoàn toàn màng xương bả vai phía trước.
Mũi tên chỉ vào màng xương bị gián đoạn.
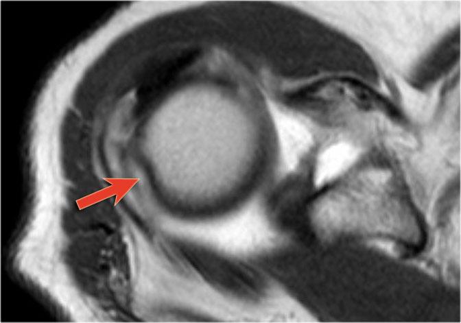
Trên MRI khớp cản từ, sụn viền vắng mặt ở phía trước ổ chảo và mảnh sụn viền bị di lệch ra trước (mũi tên).
Bankart xương
Tổn thương Bankart kèm mảnh xương là phát hiện thường gặp ở bệnh nhân trật khớp ra trước và thường được nhìn thấy trên X-quang hoặc CT.
Trên MRI khớp cản từ, việc xác định mảnh xương có thể gặp khó khăn.
Trên CT, mảnh xương ở phía trước ổ chảo dễ dàng được nhận diện (mũi tên).
Cuộn qua các hình ảnh.
Có tổn thương Bankart xương (mũi tên đỏ cong).
Đường rách lan lên trên (mũi tên đen).
Ngoài ra còn có khuyết Hill-Sachs (mũi tên đỏ).
Hình MRI khớp cản từ mặt phẳng đứng dọc cho thấy sự lan rộng lên trên của đường rách Bankart.
Đây là một bệnh nhân khác có Bankart xương được thấy trên bốn hình ảnh liên tiếp của MRI khớp cản từ ở tư thế ABER.
Lưu ý đường viền bất thường của ổ chảo phía trước và bờ trước bị avulsion (mũi tên)
Bankart ngược (Reverse Bankart)
Hình ảnh CT của một bệnh nhân khác cho thấy Bankart xương ngược ở bệnh nhân trật khớp ra sau.
MRI khớp cản từ mặt cắt ngang của tổn thương Bankart ngược.
Một ví dụ khác về tổn thương Bankart ngược.
Lưu ý sụn viền bị bong tách ở vị trí 6-9 giờ trên MRI khớp cản từ mặt phẳng đứng dọc.
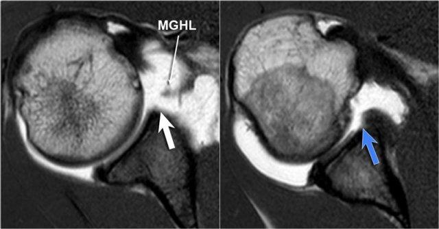
Tổn thương Perthes
Tổn thương Perthes là avulsion sụn viền-dây chằng tương tự Bankart, nhưng với màng xương bị bóc tách về phía trong mà vẫn còn nguyên vẹn.
Trên hình ảnh khớp vai ở tư thế trung gian, sụn viền bị rách có thể được giữ ở vị trí giải phẫu bình thường bởi màng xương bả vai còn nguyên vẹn, từ đó ngăn thuốc tương phản từ thấm vào đường rách.
Điều này có nghĩa là MRI khớp cản từ ở tư thế trung gian có thể không phát hiện được đường rách sụn viền.
Tuy nhiên, ở tư thế ABER, dây chằng ổ chảo-cánh tay dưới bó trước bị căng tạo lực kéo lên sụn viền trước-dưới, giúp tăng khả năng phát hiện đường rách.
Mũi tên chỉ vào màng xương còn nguyên vẹn.
Các hình ảnh ở tư thế ABER cho thấy sụn viền trước bị bong tách.
Hình bên phải được xoay 90° ngược chiều kim đồng hồ.
Đôi khi điều này giúp hiểu rõ hơn về giải phẫu.
Hình ảnh MRI khớp cản từ.
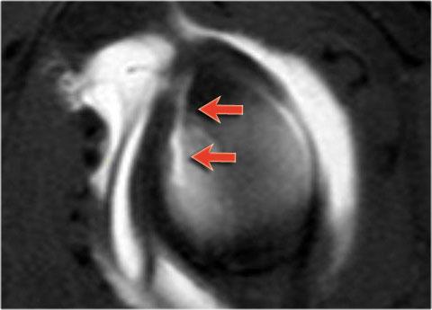
Hình bên trái cho thấy vắng mặt sụn viền trước-trên, được gọi là phức hợp Buford.
Hình bên phải cho thấy khuyết sụn khớp ở vị trí 4 giờ.
Chưa rõ sụn viền có bình thường hay không.
Tiếp tục xem các hình ảnh ở tư thế ABER.











































