Mất vững cổ tay
Bài viết này được dựa trên bài thuyết trình của Louis Gilula và được Ileana Chesaru biên soạn lại cho Trợ lý Chẩn đoán Hình ảnh.
Đầu tiên, một phương pháp phân tích hệ thống cổ tay được trình bày nhằm tìm kiếm tình trạng mất vững xương cổ tay và trật khớp kèm gãy xương.
Tiếp theo, các ca lâm sàng được trình bày như những ví dụ minh họa trong phần đánh giá hệ thống và chẩn đoán.
Phân tích cổ tay
Khi phân tích cổ tay để tìm kiếm tình trạng mất vững xương cổ tay và trật khớp kèm gãy xương, cần đặt ra các câu hỏi sau:
– Tư thế của bệnh nhân có đúng không? Đây là yếu tố thiết yếu để có thể nhận định về sự sắp xếp không đúng trục hoặc trục bất thường của các xương cổ tay.
– Sự thẳng hàng giữa các xương cổ tay có bình thường không? Các xương cổ tay phải song song khi nhìn theo mặt phẳng nghiêng. Bất kỳ sự chồng lấp nào đều cho thấy tình trạng nghiêng bất thường, trật khớp hoặc gãy xương.
– Có sự gián đoạn nào của ba cung xương cổ tay không? Sự gián đoạn cho thấy đứt dây chằng hoặc gãy xương.
– Hình dạng và trục của các xương cổ tay như thế nào? Cần đặc biệt chú ý đến xương nguyệt, xương thuyền và xương đầu. Hình dạng bất thường cho thấy tình trạng nghiêng bất thường có hoặc không kèm trật khớp.
Việc trả lời các câu hỏi này sẽ giúp phát hiện các dấu hiệu gợi ý tình trạng mất vững xương cổ tay, trật khớp và gãy xương.
X-quang
Tư thế chụp
Tư thế PA cần được thực hiện với cổ tay và khuỷu tay ngang tầm vai. Chỉ ở tư thế này, xương quay và xương trụ mới song song với nhau. Hạ tay xuống sẽ khiến xương quay bắt chéo xương trụ và trở nên tương đối ngắn hơn. Do đó, sẽ không thể đánh giá chính xác chiều dài của xương trụ (biến thể dương hay âm).
Tư thế nghiêng được thực hiện với khuỷu tay khép sát vào thân người. Vai, khuỷu và cổ tay cùng nằm trên một mặt phẳng. Tư thế này giúp hình ảnh nghiêng vuông góc hoàn toàn với hình ảnh PA.
Tư thế PA
Trên hình PA đúng tư thế, rãnh cơ duỗi cổ tay trụ sẽ hiện ra ở phía quay so với phần giữa mỏm trâm trụ.
Hình PA và hình nghiêng có giá trị ngang nhau và do đó cần được phân tích cẩn thận.
Hình PA thường cho thấy bất thường là gì, còn hình nghiêng cho thấy hướng di lệch của các xương.
Đôi khi hình chếch cũng được thực hiện, đặc biệt khi cần quan sát khớp thang-thê theo hướng thẳng.
Tư thế nghiêng
Chỉ trên hình nghiêng đúng tư thế mới có thể thấy riêng biệt và thẳng hàng các bờ gan tay của xương thuyền, xương đậu và xương đầu như minh họa bên trái.
Xương nguyệt là xương hình bán nguyệt khớp với đầu xa xương quay. Nhìn xuyên qua đó, có thể thấy mặt lồi của xương thuyền.
Phía xa xương thuyền là xương thang. Xương có hình góc cạnh nhìn thấy ở phía lưng là xương tháp.
Xương vuông bắc cầu giữa nửa gần và nửa xa của cổ tay là xương đậu.
Xương đầu là xương tròn khớp vào mặt xa của xương nguyệt.
Ở phía xa, giữa các xương đốt bàn tay, có thể nhận ra móc xương móc.

Hình ảnh xương trụ và mỏm trâm trụ giống nhau trên cả tư thế PA và nghiêng do tư thế chụp không đúng ở bệnh nhân trật khớp gãy xương quanh nguyệt.
Tư thế chụp không đúng có thể dẫn đến hình ảnh xương trụ giống nhau trên cả tư thế PA và nghiêng như minh họa trong trường hợp bên trái. Không ở vị trí nào trên cơ thể mà người ta chấp nhận hai tư thế chụp cho cùng một hình ảnh của một xương.
Tư thế chếch
Tư thế chếch không được thực hiện thường quy. Tuy nhiên, đây là tư thế duy nhất cho phép quan sát khớp thang-thê.
Khoang khớp: tính song song và đối xứng
Khoang khớp cổ tay có chiều rộng từ 2 mm trở xuống. Chỉ riêng khớp quay-cổ tay là rộng hơn một chút. Các khớp cổ tay-bàn tay hẹp hơn một chút so với các khớp giữa cổ tay.
Khớp đầu-nguyệt được xem là khoang khớp cơ sở để so sánh với các khoang khớp khác. Cần đánh giá tất cả các khoang khớp: khớp quay-cổ tay, khớp gian cổ tay hàng gần, khớp giữa cổ tay, khớp gian cổ tay hàng xa và các khớp cổ tay-bàn tay.

Quan sát các xương cổ tay như những mảnh ghép của trò chơi xếp hình — TRÁI: Hình minh họa sơ đồ cổ tay với các đường viền theo dõi bờ ngoài của các xương — PHẢI: Hình minh họa sơ đồ cổ tay với các đường theo dõi các xương cổ tay như những mảnh ghép xếp hình
Các khớp cổ tay cần có tính đối xứng. Hơn nữa, khi quan sát theo chiều tiếp tuyến (nhìn nghiêng), các bờ vỏ xương của các xương tạo nên khớp đó phải song song với nhau. Các bờ xương không được quan sát theo chiều tiếp tuyến sẽ không thể hiện tính song song này, ví dụ như phần xa của xương thuyền khớp với xương đầu.
Việc đánh giá tính song song này sẽ dễ dàng hơn khi xem các xương cổ tay như những mảnh ghép của trò chơi xếp hình khớp với nhau, thay vì theo dõi các xương cổ tay theo bờ vỏ xương ngoài tạo thành các đường viền (hình minh họa).
Khi một xương không song song với các xương còn lại, xương đó đã bị lệch khỏi vị trí. Nếu các xương còn lại vẫn song song với nhau, chúng vẫn giữ nguyên vị trí cùng nhau.
Hình ảnh bên trái cho thấy sự chồng lấp bất thường của xương nguyệt lên xương đầu, xương móc và xương tháp. Chúng ta cũng thấy bề mặt tiếp tuyến phía trong của xương thuyền, nhưng không có xương nào song song với nó. Ngoài ra còn có sự giãn rộng bất thường của khoang khớp quay-nguyệt. Các khớp còn lại vẫn song song và đối xứng tốt. Điều này dẫn đến kết luận rằng xương nguyệt đã bị di lệch trong khi các xương còn lại vẫn giữ nguyên vị trí cùng nhau.
Các cung cổ tay
Bước tiếp theo là quan sát ba cung cổ tay: các đường cong trơn nối liền các bề mặt của các xương cổ tay như được minh họa ở hình bên trái.
Cung thứ nhất là một đường cong trơn phác thảo các mặt lồi phía gần của xương thuyền, xương nguyệt và xương tháp.
Cung thứ hai đi theo các bề mặt lõm phía xa của các xương tương tự, và cung thứ ba đi theo các đường cong phía gần chính của xương đầu và xương móc.

Phim X-quang cổ tay tư thế thẳng (PA) và hình minh họa sơ đồ cho thấy sự gián đoạn của cung cổ tay thứ nhất
Gián đoạn các cung cổ tay
Một cung được coi là gián đoạn khi không thể vẽ theo một đường cong trơn liên tục. Sự gián đoạn của một trong các cung cho thấy có gãy xương hoặc đứt dây chằng dẫn đến bán trật khớp hoặc trật khớp.
Ở hình bên trái, có thể nhận thấy sự gián đoạn của cung I tại khớp nguyệt-tháp.
Hình bên trái cho thấy sự gián đoạn của cung cổ tay thứ hai tại khớp thuyền-nguyệt và khớp nguyệt-tháp. Mặc dù có một khoảng hở ở cung thứ nhất, nhưng vẫn có thể vẽ theo một đường cong trơn liên tục, do đó cung I được coi là còn nguyên vẹn.
Sự gián đoạn của cung cổ tay thứ ba được minh họa trong trường hợp tiếp theo ở hình bên trái. Có hiện tượng bậc thang bất thường tại khớp đầu-móc.
Hình dạng các xương cổ tay
Hình dạng xương nguyệt
Xương nguyệt có hình thang, với các cạnh bên hội tụ từ mặt gần đến mặt xa, hai mặt này về cơ bản song song với nhau. Khi xương nguyệt bị nghiêng, hình dạng của nó trở nên tam giác. Nhận thức được điều này giúp tránh nhầm lẫn khi cho rằng xương nguyệt có thể bị trật khớp chỉ dựa trên hình dạng bên ngoài, vốn thay đổi theo tư thế của xương.
Do đó, xương nguyệt có thể bị trật khớp kèm theo nghiêng hoặc chỉ đơn thuần bị nghiêng mà thôi.

TRÁI: Trật khớp xương nguyệt: xương đầu nằm trung tâm trên xương quay và xương nguyệt bị nghiêng ra ngoài. PHẢI: Trật khớp quanh xương nguyệt: xương nguyệt nằm trung tâm trên xương quay và xương đầu bị nghiêng ra phía sau.
Trật khớp xương nguyệt và trật khớp quanh xương nguyệt
Các trật khớp cổ tay thường gặp bao gồm trật khớp xương nguyệt và trật khớp quanh xương nguyệt. Điểm mấu chốt để phân biệt hai loại này là xác định xương nào nằm trung tâm trên xương quay. Nếu xương đầu nằm trung tâm trên xương quay và xương nguyệt bị nghiêng ra ngoài, đó là trật khớp xương nguyệt. Ngược lại, nếu xương nguyệt nằm trung tâm trên đầu xa xương quay và xương đầu nằm ở phía lưng, chúng ta đang đối mặt với trật khớp quanh xương nguyệt (hình minh họa).

TRÁI: X-quang cổ tay tư thế nghiêng ở tư thế duỗi cho thấy xương thuyền bị kéo dài. PHẢI: X-quang cổ tay tư thế thẳng sau-trước ở tư thế lệch trụ cho thấy xương thuyền bị kéo dài
Hình dạng xương thuyền
Hình dạng xương thuyền thay đổi theo chuyển động của cổ tay. Khi lệch trụ hoặc duỗi cổ tay, xương thuyền kéo dài ra để lấp đầy khoảng trống giữa mỏm trâm quay và nền ngón cái (xương thang).

TRÁI: X-quang cổ tay tư thế thẳng sau-trước ở tư thế lệch quay cho thấy xương thuyền bị ngắn lại: dấu hiệu nhẫn đeo tay. PHẢI: Hình minh họa sơ đồ cổ tay ở tư thế gấp cho thấy xương thuyền nghiêng về phía lòng bàn tay
Cả khi lệch quay lẫn khi gấp cổ tay, khoảng trống giữa mỏm trâm quay và xương thang đều bị thu hẹp. Do xương thuyền lấp đầy khoảng trống này, nó sẽ bị ngắn lại và nghiêng về phía lòng bàn tay. Điều này tạo ra hình ảnh xương thuyền có dạng nhẫn đeo tay (hình minh họa).
Trục của các xương cổ tay
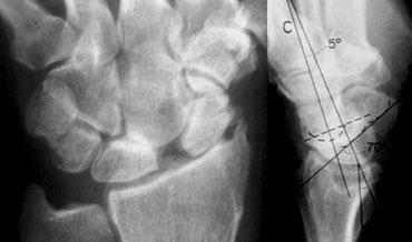
Vẽ các trục dọc của một số xương cổ tay trên phim chụp X-quang tư thế nghiêng và đo các góc giữa chúng là một phương pháp tốt để xác định mối quan hệ không gian giữa các xương cổ tay. Ba trục quan trọng nhất là các trục đi qua xương thuyền, xương nguyệt và xương đầu, được vẽ trên phim X-quang tư thế nghiêng.
Trục xương thuyền
Trục thực sự của xương thuyền là đường thẳng đi qua điểm giữa của cực gần và cực xa. Do điểm giữa của cực gần thường khó xác định, có thể sử dụng một đường gần song song được vẽ dọc theo các điểm mặt gan tay nhất của cực gần và cực xa của xương (hình minh họa).

TRÁI: Trục xương nguyệt được vẽ vuông góc với đường nối bờ gan tay xa và bờ mu tayPHẢI: Phim X-quang với trục xương nguyệt và xương thuyền được vẽ.
Trục xương nguyệt
Trục của xương nguyệt đi qua điểm giữa của diện khớp lồi ở phía gần và diện khớp lõm ở phía xa, và được xác định tốt nhất bằng cách tìm đường vuông góc với đường nối bờ gan tay xa và bờ mu tay của xương như minh họa ở hình bên trái.
Góc thuyền-nguyệt
Bình thường: 30 – 60°
Nghi ngờ bất thường: 60 – 80°
Bất thường: > 80° Điều này cho thấy mất vững cổ tay.
Trục xương đầu
Trục xương đầu nối điểm giữa của phần lồi gần của xương đốt bàn tay thứ ba với điểm giữa của mặt gần xương đầu.
Góc đầu-nguyệt
Bình thường: < 30°
Bất thường: > 30°. Điều này cho thấy mất vững cổ tay.
DISI hay mất vững gấp mu tay
DISI là viết tắt của Dorsal Intercalated Segmental Instability (mất vững đoạn xen kẽ phía mu tay).
Đoạn xen kẽ là hàng xương cổ tay gần được đại diện bởi xương nguyệt. Thuật ngữ ‘đoạn xen kẽ’ đề cập đến vị trí của nó nằm giữa đoạn gần của cổ tay bao gồm xương quay và xương trụ, và đoạn xa được đại diện bởi hàng xương cổ tay xa và các xương đốt bàn tay.
Như vậy, tất cả những điều này có nghĩa là trong DISI hay mất vững gấp mu tay, xương nguyệt bị nghiêng về phía mu tay.
Nếu bạn nhận thấy xương nguyệt bị nghiêng, hãy đo góc thuyền-nguyệt (30-60° là bình thường, 60-80° là nghi ngờ bất thường, >80° là bất thường) và góc đầu-nguyệt (bất thường khi >30°).
Trong hình bên trái, góc thuyền-nguyệt được đo là 105 độ. Như đã đề cập, góc này được coi là bất thường khi lớn hơn 80 độ.
VISI hay mất vững gấp gan tay
Mất vững đoạn xen kẽ phía gan tay (Volar Intercalated Segmental Instability – VISI) hay mất vững gấp lòng bàn tay là tình trạng xương nguyệt bị nghiêng quá mức về phía gan tay.
Trong khi hầu hết các trường hợp DISI đều là bệnh lý, thì trong nhiều trường hợp VISI là một biến thể bình thường, đặc biệt khi cổ tay có độ lỏng lẻo cao.
Đánh giá hệ thống và chẩn đoán
Trong các ca lâm sàng tiếp theo, chúng tôi khuyến nghị bạn hãy quan sát các hình ảnh ở bên trái trước và mô tả đầy đủ các phim chụp X-quang.
Hãy tìm kiếm sự đối xứng, tính song song, cũng như hình dạng và trục của các xương cổ tay. Xác định xem có gãy xương hay không, sau đó cố gắng đưa ra chẩn đoán.
Sau đó đọc phần văn bản ở bên phải để kiểm tra xem bạn có đúng không.
Ca lâm sàng 1
Phân tích hệ thống ca lâm sàng bên trái cho thấy những điểm sau:
1. Trên tư thế PA, tất cả các xương cổ tay đều song song với nhau, ngoại trừ xương nguyệt.
2. Cung cổ tay I và II bị gián đoạn tại khớp LT (nguyệt-tháp) và khớp SL (thuyền-nguyệt).
3. Xương nguyệt có hình tam giác.
Vì vậy, chỉ dựa vào tư thế PA, chúng ta đã có thể chẩn đoán trật khớp xương nguyệt.
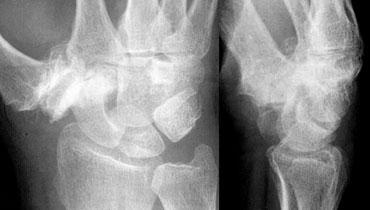
Ca lâm sàng 2
Phân tích:
1. Mất tính song song tại khớp TL (tháp-nguyệt) do xương tháp và xương nguyệt chồng lên nhau.
2. Xương móc và xương nguyệt cũng chồng lên nhau.
3. Có sự song song giữa xương quay, xương nguyệt, cực gần xương thuyền và cực gần xương đầu. Như vậy, các xương này tạo thành một khối thống nhất.
4. Cũng có sự song song giữa xương tháp, xương móc, cực xa xương đầu, xương thang và cực xa xương thuyền.
5. Gãy xương đầu và xương thuyền.
Các dấu hiệu này cho thấy đây là trật khớp quanh nguyệt kèm gãy xương thuyền và xương đầu (transscaphoid, transcapitate perilunate fracture-dislocation).
Bên trái là cùng một ca lâm sàng với đường kẻ chỉ ra đường gãy-trật khớp.
Cùng ca lâm sàng với tư thế chếch và tư thế nghiêng bổ sung, cho thấy tình trạng trật khớp ra phía sau (dorsal dislocation).
Ca lâm sàng 3
Phân tích:
1. Gãy xương thuyền và mỏm trâm trụ.
2. Cung I và II bị gián đoạn tại khớp LT (nguyệt-tháp).
3. Có sự song song giữa xương nguyệt và cực gần xương thuyền với xương quay.
4. Xương thuyền bị ngắn lại (foreshortened), cho thấy nó đang nghiêng và di chuyển về phía lòng bàn tay.
5. Tất cả các xương cổ tay còn lại đều có tính song song, ngoại trừ xương nguyệt, cực gần xương thuyền và xương quay.
Mặc dù đây có thể là trật khớp quanh nguyệt, nhưng chỉ dựa vào tư thế PA rất khó để phân biệt đây là trật khớp xương nguyệt hay trật khớp quanh nguyệt. Hình dạng tam giác của xương nguyệt có thể là kết quả của việc chỉ nghiêng đơn thuần hoặc trật khớp kèm nghiêng.

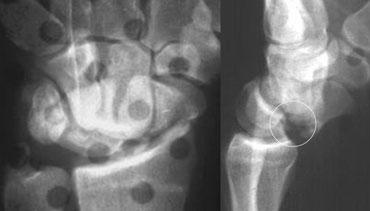
Trật khớp quanh nguyệt kèm gãy xương thuyền và mỏm trâm trụ. Đầu mặt lòng của xương nguyệt cũng bị gãy (xem vòng tròn).
Cùng ca lâm sàng với tư thế nghiêng được hiển thị thêm.
Bây giờ chúng ta thấy rõ ràng đây là trật khớp quanh nguyệt.
Vì vậy, hình dạng tam giác của xương nguyệt là kết quả của việc nghiêng đơn thuần.
Trên tư thế nghiêng, quan sát thấy gãy đầu mặt lòng của xương nguyệt. Do đó, bệnh nhân này có nguy cơ trật khớp tái phát.
Ca lâm sàng 4
Phân tích:
Ca lâm sàng bên trái cho thấy thoái hóa khớp nặng tại khớp STT (thuyền-thang-thê) và khớp CMC1 (cổ tay-bàn tay ngón 1) kèm bán trật khớp. Các cung cổ tay bình thường và có tính song song bình thường. Xương thuyền bị kéo dài, cho thấy nó đang nghiêng ra phía sau (dorsally tilted).
Trên tư thế nghiêng, chúng ta có thể thấy xương nguyệt cũng nghiêng ra phía sau. Hàng cổ tay gần di chuyển như một khối thống nhất, do đó không có sự phân ly.
Chẩn đoán cuối cùng: DISI không phân ly (non-dissociated DISI) kèm thoái hóa khớp và bán trật khớp STT.
Ca lâm sàng 5
Phân tích:
1. Mất tính song song tại khớp LT (nguyệt-tháp) dẫn đến gián đoạn cung I và II.
2. Xương nguyệt và xương thuyền song song với nhau nhưng không song song với các xương cổ tay còn lại.
3. Xương thuyền bị ngắn lại do nghiêng về phía lòng bàn tay (palmar tilting).
4. Xương nguyệt song song với xương thuyền. Vì vậy, hình dạng tam giác phải là kết quả của việc nghiêng về phía lòng bàn tay.
5. Hàng cổ tay gần không phải là một khối thống nhất vì cung I bị gián đoạn.

Tư thế nghiêng cho thấy sự nghiêng về phía lòng bàn tay của xương nguyệt, điều đã được nghi ngờ trên tư thế PA.
Chẩn đoán cuối cùng:
VISI kèm phân ly tại khớp LT (nguyệt-tháp).
Ca lâm sàng 6
Phân tích:
1. Các khớp giãn rộng và hẹp lại, nhưng tính song song bình thường, do đó không có trật khớp.
2. Phân ly thuyền-nguyệt với giãn rộng khớp SL và xương thuyền bị ngắn lại do nghiêng về phía lòng bàn tay.
3. Thoái hóa khớp quay-thuyền và khớp đầu-nguyệt do các chuyển động bất thường của xương thuyền và xương nguyệt.
4. Xương nguyệt nghiêng ra phía sau, biểu hiện DISI.
Tình trạng này được gọi là SLAC. Trong trường hợp này, nguyên nhân là do chấn thương gây đứt dây chằng SL (thuyền-nguyệt).
SLAC (sụp đổ tiến triển thuyền-nguyệt – scapholunate advanced collapse) đề cập đến một dạng thoái hóa khớp và bán trật khớp đặc trưng, là hậu quả của phân ly thuyền-nguyệt mạn tính không được điều trị hoặc của tình trạng không liền xương thuyền mạn tính.
Các thay đổi thoái hóa xảy ra ở các vùng chịu tải bất thường, đó là khớp quay-thuyền, tiếp theo là thoái hóa tại khớp nguyệt-đầu không vững, khi xương đầu bán trật ra phía sau trên xương nguyệt.
Bên trái là một ca SLAC khác. Ca này do bệnh lý lắng đọng calci pyrophosphate (CPPD).
Các đặc điểm của CPPD kèm SLAC bao gồm:
– Giảm kích thước cực gần xương thuyền do bào mòn và tiêu xương.
– Bào mòn hố khớp thuyền (scaphoid fossa)























