Loạn sản khớp háng bẩm sinh
Loạn sản phát triển khớp háng là một rối loạn cơ xương khớp phổ biến ở trẻ sơ sinh.
Trong bài viết này, chúng tôi sẽ thảo luận về kỹ thuật kiểm tra siêu âm theo phương pháp Graf.
Introduction
Loạn sản phát triển khớp háng (DDH) là một trong những vấn đề cơ xương khớp phổ biến nhất ở trẻ sơ sinh.
Bệnh còn được gọi là loạn sản khớp háng bẩm sinh, nhưng thực ra đây là một tên gọi không chính xác.
Đây là một bệnh lý phát triển.
Có những trẻ được sinh ra với khớp háng bình thường nhưng sau đó phát triển thành loạn sản (hình).
Trong trường hợp này, trẻ mắc một rối loạn thần kinh cơ khiến hông bị loạn sản và trật khớp.
Mặt khác, có những trẻ em sinh ra với chứng loạn sản khớp háng tự khỏi hoặc sau khi điều trị tương đối đơn giản, ví dụ như đai Pavlik (hình).
Vì vậy, chúng ta phải nhận thức rằng DDH là một bệnh lý động và không phải lúc nào cũng hiện diện ngay từ khi sinh ra như tên gọi loạn sản háng bẩm sinh đã gợi ý.
Điều trị sẽ dễ dàng hơn và các biến chứng ít có khả năng xảy ra hơn khi DDH được chẩn đoán sớm.
Trong trường hợp này, ở tháng thứ 13, dấu hiệu duy nhất còn lại của loạn sản trước đây là sự chậm cốt hóa của chỏm xương đùi.
Loạn sản phát triển khớp háng phổ biến hơn ở trẻ gái, đặc biệt khi có tiền sử ngôi mông hoặc khi có tiền sử gia đình dương tính.
Các yếu tố nguy cơ này đóng vai trò ít quan trọng hơn ở trẻ trai.
Bàn chân khoèo từng được cho là một yếu tố nguy cơ, nhưng điều này hiện không còn đúng nữa.
Ultrasound examination
Ultrasound orientation
Với siêu âm, chúng ta quan sát các cấu trúc giải phẫu tương tự như trên phim X-quang.
Các hình ảnh siêu âm được thực hiện trên mặt phẳng coronal (hình).
Do đó, phân loại loạn sản khớp háng theo Graf chủ yếu dựa trên hình thái xương chậu, trong đó chúng ta xem xét hình dạng của ổ cối, bờ ổ cối xương và sụn, sụn viền và vị trí của chỏm xương đùi.
Vì siêu âm có ưu điểm là cũng hiển thị được các cấu trúc sụn, chúng ta có thể quan sát mức độ che phủ của chỏm xương đùi bởi sụn ổ cối và sụn viền.
Vì trẻ sơ sinh đang nằm nghiêng nên cấu trúc giải phẫu được hiển thị theo chiều ngang thay vì chiều dọc (hình)
Và đây là cách hình ảnh siêu âm được hiển thị trên màn hình của máy siêu âm
In this video the ultrasound anatomy is shown.
Here the anatomy in the coronal plane.
Examination technique
Sử dụng đầu dò tần số cao tuyến tính.
Tiêu điểm được đặt tại bờ ổ cối.
Điều quan trọng là phải hiển thị hình ảnh trên mặt phẳng vành (coronal) ở mức sụn tam diện (triradiate cartilage), đây là khớp sụn (synchondrosis) giữa xương chậu, xương ngồi và xương mu tạo nên ổ cối.
This is shown in the video.
Instability
Đôi khi trong các trường hợp loạn sản khớp háng nặng, việc sử dụng đầu dò lồi có thể hữu ích.
Measurements
Ba điểm quan tâm đầu tiên cần được xác định trong hình ảnh:
- Centre of labrum
- Phần dưới của xương chậu (=Mặt dưới của bờ trong ổ cối nơi xương chậu gặp sụn chữ Y)
- Bờ xương của ổ cối. Khi bờ xương có góc cạnh, điểm này dễ dàng nhận biết. Khi bờ xương tròn, điểm này được xác định là nơi phần lõm của mái ổ cối xương chuyển thành phần lồi của xương chậu
Trong video này, bạn sẽ thấy cách đo lường chính xác sau khi đặt ba điểm quan tâm.
Khi thực hiện kiểm tra siêu âm, hãy đảm bảo rằng ba điểm này có thể được xác định trên hình ảnh.
Graf’s classification
This is the Graf classification – short version.
Góc alpha, là phép đo mái xương của ổ cối, chủ yếu xác định loại khớp háng.
Thực ra, đối với mục đích phân loại, góc beta chỉ được sử dụng để phân biệt giữa loại Ia và Ib (cả hai đều là hông bình thường) và giữa loại IIc và loại D)
This is the Graf classification – long version.
Một yếu tố quan trọng khác là độ tuổi của trẻ.
Đến 3 tháng tuổi (13 tuần), góc alpha dưới 60 độ vẫn có thể chấp nhận được.
Trẻ sơ sinh thậm chí có thể bắt đầu với góc alpha 50 độ, miễn là góc này dần dần đạt đến 60 độ vào lúc 12 tuần tuổi.
Ở độ tuổi 3 tháng, cần phải đưa ra quyết định xem hông có bình thường hay không.
Rõ ràng nếu một trẻ sơ sinh bắt đầu với góc alpha 60 độ thì mọi thứ đều ổn và không cần theo dõi thêm.
Type I
Hãy loại I có góc alpha lớn hơn 60 độ và được coi là bình thường.
Mặc dù có sự phân biệt giữa loại Ia và Ib nhưng điều này không có ý nghĩa lâm sàng.
Type Ia
Kết quả kiểm tra cho thấy hình thái tốt của mái ổ cối xương với bờ xương góc sắc nét.
Không có vấn đề gì trong việc xác định bờ ngoài của mái ổ cối xương.
Chỏm xương đùi được bao phủ tốt bởi mái sụn và viền sụn.
Góc alpha trên 60 độ và góc beta thấp hơn nhiều so với 55 độ.
Type Ib
Đây cũng là một khớp háng bình thường.
Có sự che phủ tốt của chỏm xương đùi.
Sự khác biệt duy nhất so với khớp háng loại Ia là bờ xương bị tù.
Do đó, góc alpha sẽ dốc hơn một chút so với loại Ia, nhưng vẫn nằm trong giới hạn bình thường.
Góc beta là 61º, tức là lớn hơn 55º.
These hips are normal and follow up is not needed.
Type II
Loại IIa
Nếu trẻ dưới 3 tháng tuổi, góc alpha từ 50-59 độ được xem là khớp háng chưa trưởng thành.
Ở độ tuổi từ 6-13 tuần, cần phân biệt liệu khớp háng chưa trưởng thành có phát triển phù hợp theo tuổi (IIa+) hay không phù hợp (IIa-)
Loại IIa+
Quá trình trưởng thành của khớp háng loại IIa+ vẫn nằm trong giới hạn chấp nhận được theo độ tuổi dựa trên bảng phân loại.
Loại IIa-
Khớp háng loại IIa- có nguy cơ phát triển thành loạn sản.
Vì vậy, góc alpha 56 độ ở tuổi 7 tuần được gọi là loại IIa+, trong khi ở tuổi 10 tuần được gọi là loại IIa-.
Loại IIb
Nếu trẻ lớn hơn 3 tháng hoặc 13 tuần tuổi, thì góc alpha từ 50-59 độ được coi là dấu hiệu của loạn sản, tức là loại IIb.
Type IIa
Ở đây chúng ta thấy một khớp háng với góc alpha 55º.
Mái ổ cối xương kém hình thành hơn và có vành xương ổ cối tròn.
The age of the child is 4 weeks, so we call this a type IIa.
Khoảng 90% trẻ sơ sinh có hông loại IIa theo phân loại Graf không tiến triển thành loạn sản khớp háng phát triển (DDH).
Type IIa(+)
Ở tuổi 6 tuần, các kết quả tương tự dẫn đến phân loại type IIa(+).
Type IIb
Ở độ tuổi 3 tháng hoặc 13 tuần, các phát hiện tương tự dẫn đến kết quả là hông loại IIb.
Type IIc
Đây là khớp háng loại IIc.
Mái ổ cối xương bị thiếu hụt nghiêm trọng với bờ xương tròn đến gần như phẳng.
Góc alpha là 46 độ.
Chỏm xương đùi vẫn được bao phủ bởi mái sụn và viền sụn.
Type D
Khớp háng loại D rất giống với khớp háng loại IIC, nhưng sự khác biệt chính là khớp háng bị lệch tâm với mái sụn bị di lệch.
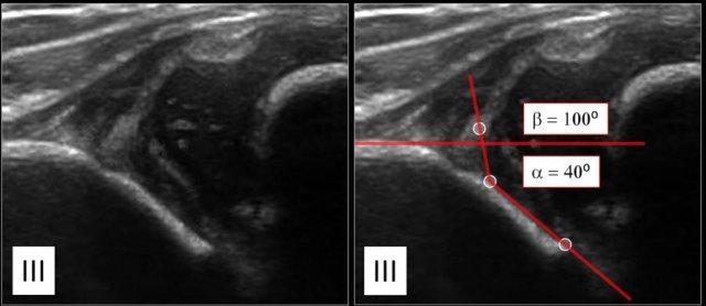
Type III
Ở hông loại III, chỏm xương đùi bị trật khớp.
Sụn viền được di chuyển lên trên.
Type IV
Trong loại Graf IV, có sự trật khớp nặng của chỏm xương đùi làm che khuất hầu hết mái xương.
Mái sụn bị chèn ép giữa chỏm xương đùi và viền ổ cối xương.
Viền sụn bị trật xuống dưới và kẹt giữa chỏm xương đùi và bờ ngoài ổ cối.
Reporting
Trong bảng là danh sách những điều cần đề cập trong báo cáo của bạn.




















