Lạc nội mạc tử cung – Phát hiện trên MRI
Nội soi ổ bụng là tiêu chuẩn vàng để chẩn đoán lạc nội mạc tử cung vùng chậu.
MRI có giá trị trong việc xác định mức độ lan rộng của lạc nội mạc tử cung thâm nhiễm sâu, đặc biệt khi quan sát qua nội soi bị hạn chế do dính.
Trong bài viết này, chúng tôi sẽ tập trung vào chẩn đoán và đánh giá trước phẫu thuật bệnh lạc nội mạc tử cung bằng chụp cộng hưởng từ (MRI).
Bạn có thể phóng to hình ảnh bằng cách nhấp vào chúng.
Nội dung này không khả dụng trên ứng dụng iPhone.
Giới thiệu
Lạc nội mạc tử cung được định nghĩa là sự hiện diện của mô nội mạc tử cung ngoài buồng tử cung.
Bệnh chủ yếu được tìm thấy trong ổ bụng, thường gặp nhất trên bề mặt buồng trứng.
Đây là bệnh lý phụ thuộc estrogen, ước tính xảy ra ở 10% dân số nữ giới, hầu như chỉ gặp ở phụ nữ trong độ tuổi sinh sản.
Các triệu chứng thường gặp nhất là đau bụng kinh, đau khi giao hợp, đau vùng chậu và vô sinh – mặc dù bệnh cũng có thể không có triệu chứng.
Các triệu chứng phụ thuộc vào vị trí của lạc nội mạc tử cung, độ sâu của sự xâm lấn và việc lạc nội mạc tử cung có biến chứng dính hay không.
Hình minh họa cho thấy các vị trí điển hình của lạc nội mạc tử cung:
- Lạc nội mạc tử cung dạng u nang buồng trứng (endometrioma)
- Lạc nội mạc tử cung sau cổ tử cung
- Lạc nội mạc tử cung xâm lấn sâu vào ruột
- Lạc nội mạc tử cung tại bàng quang
- Lạc nội mạc tử cung tại thành bụng
Giao thức chụp MRI
Nếu lý do duy nhất để thực hiện MRI là xác định sự hiện diện hoặc mức độ của lạc nội mạc tử cung, các chuỗi xung được liệt kê trong bảng bên trái là đủ.
Các tổn thương thường biểu hiện tín hiệu thấp đến trung gian trên chuỗi xung T2W và T1W.
Trong một số trường hợp, có thể thấy các ổ nhỏ tăng tín hiệu dạng chấm trên chuỗi xung T2W, cho thấy sự giãn nở của các tuyến nội mạc tử cung.
Các ổ tăng tín hiệu cũng có thể được nhìn thấy trên chuỗi xung T1W.
Nếu các ổ này cũng có tín hiệu cao trên chuỗi xung T1W với xóa mỡ, điều này cho thấy sự hiện diện của xuất huyết.
Chuỗi xung T1W với xóa mỡ là cần thiết để phân biệt máu trong u nang lạc nội mạc tử cung với mỡ trong u quái dạng nang trưởng thành, vì cả hai đều cho tín hiệu cao trên chuỗi xung T1W không xóa mỡ.
Nếu các câu hỏi cần giải đáp đa dạng hơn, ví dụ trong các trường hợp nghi ngờ ác tính, các chuỗi xung T1W và T1W xóa mỡ trước và sau khi tiêm thuốc tương phản từ gadolinium đường tĩnh mạch có thể được bổ sung vào giao thức này.
Chuỗi xung khuếch tán (Diffusion-weighted imaging) cũng có thể được thêm vào.
Lạc nội mạc tử cung nông
Trong lạc nội mạc tử cung nông – còn được gọi là hội chứng Sampson – các mảng nông rải rác trên phúc mạc, buồng trứng và dây chằng tử cung.
Những bệnh nhân này thường có triệu chứng nhẹ và thường ít có thay đổi cấu trúc trong vùng chậu hơn.
Trên hình ảnh nội soi ổ bụng, các ổ cấy ghép này có thể được nhìn thấy dưới dạng các tổn thương nông kiểu “vết bỏng thuốc súng” hoặc “vết đạn bắn”.
Trên MRI, các tổn thương này thường không quan sát được do kích thước quá nhỏ và dẹt, vì vậy không thể phát hiện được.
Chỉ khi kích thước vượt quá 5mm hoặc khi chúng biểu hiện dưới dạng nang xuất huyết – tăng tín hiệu trên chuỗi xung T1W và giảm tín hiệu trên chuỗi xung T2W – thì mới có thể phát hiện được (hình).
Cả siêu âm đầu dò âm đạo lẫn MRI đều không đủ độ nhạy để sàng lọc các mảng lạc nội mạc tử cung nông này.
Lạc nội mạc tử cung vùng chậu sâu

Hình ảnh chuỗi xung T2W mặt phẳng đứng dọc minh họa lạc nội mạc tử cung xâm lấn trực tràng và lạc nội mạc tử cung xâm lấn bàng quang
Trong lạc nội mạc tử cung vùng chậu sâu – còn gọi là hội chứng Cullen – có sự xâm lấn dưới phúc mạc của các ổ nội mạc tử cung lạc chỗ.
Các triệu chứng thường nặng nề hơn và liên quan đến vị trí cũng như độ sâu của xâm lấn.
MRI có giá trị trong chẩn đoán các tổn thương lạc nội mạc tử cung xâm lấn sâu và đánh giá mức độ lan rộng của bệnh.
Lập bản đồ mức độ lan rộng bệnh trước phẫu thuật đóng vai trò quan trọng trong việc quyết định có chỉ định can thiệp phẫu thuật hay không, và nếu có, để lên kế hoạch cắt bỏ hoàn toàn tổn thương.
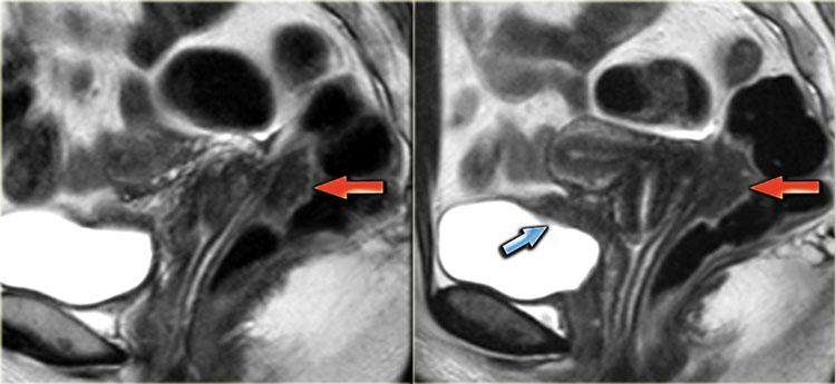
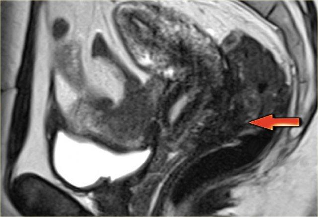
Vị trí túi cùng
Túi cùng là vị trí tổn thương vùng chậu thường gặp nhất.
Sự hiện diện của lạc nội mạc tử cung xâm lấn sâu tại túi cùng có thể dễ bị bỏ sót khi nội soi ổ bụng do lạc nội mạc tử cung tạo ra một sàn phúc mạc giả trong túi cùng Douglas, một phần do dính thành trước trực tràng.
Hiện tượng này tạo ra ấn tượng sai lầm về nguồn gốc ngoài phúc mạc.
Do đó, vị trí của lạc nội mạc tử cung xâm lấn sâu tại vách trực tràng-âm đạo cũng có thể là một thuật ngữ không chính xác, vì vách trực tràng-âm đạo nằm ở phía đuôi so với vòm âm đạo sau và, dựa trên giải phẫu bình thường, do đó có thể không phải là vị trí nguyên phát để lạc nội mạc tử cung phát triển.
Sự phân biệt giữa giải phẫu bình thường và sự hiện diện của lạc nội mạc tử cung tại túi cùng có thể được thực hiện dễ dàng bằng MRI.
Hình ảnh T2W mặt phẳng đứng dọc này cho thấy lạc nội mạc tử cung xâm lấn sâu tại túi cùng sau với xâm lấn thành trực tràng.
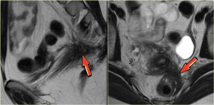
Tử cung
Torus uterinus – nơi các dây chằng tử cung-cùng bám vào – và vòm âm đạo sau là các vị trí lạc nội mạc tử cung thường gặp.
Về mặt lâm sàng, những bệnh nhân này thường biểu hiện đau khi giao hợp.
Hình ảnh T2W của lạc nội mạc tử cung xâm lấn torus uterinus.
Hình ảnh T2W cho thấy lạc nội mạc tử cung xâm lấn sâu tại vòm âm đạo sau và torus uterinus.
Không có xâm lấn thành ruột.
Hình ảnh chuỗi xung T2W minh họa sự xâm lấn dây chằng tử cung-cùng bên trái.
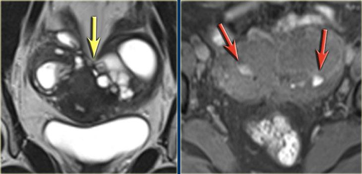
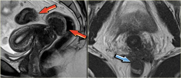
Xâm lấn ruột
Lạc nội mạc tử cung đường ruột ảnh hưởng đến 4% đến 37% phụ nữ mắc lạc nội mạc tử cung.
Siêu âm qua đường âm đạo là phương pháp thăm khám đầu tiên ở bệnh nhân nghi ngờ lạc nội mạc tử cung đường ruột.
Ngoài ra, MRI có thể xác định độ sâu xâm lấn thành ruột, chiều dài vùng tổn thương và khoảng cách từ tổn thương đến hậu môn.
Hình ảnh T2W cho thấy hai tổn thương giảm tín hiệu hình nan quạt (mũi tên đỏ).
Những đặc điểm này điển hình cho các tổn thương lạc nội mạc tử cung xâm lấn lớp cơ thành ruột.
Ngoài ra còn có phù nề dưới niêm mạc, biểu hiện là tăng tín hiệu ở phía lòng ruột của thành ruột.
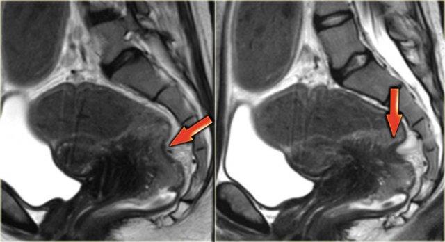
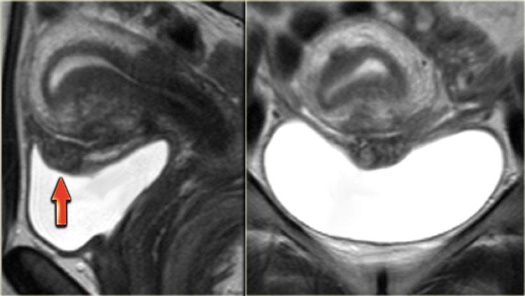
Trong trường hợp xâm lấn toàn chu vi, lạc nội mạc tử cung xâm lấn sâu lan rộng của thành ruột có thể dẫn đến hẹp lòng ruột.
Bệnh nhân có thể biểu hiện lâm sàng với phân dạng bút chì hoặc táo bón.
Hình ảnh T2W cho thấy hẹp khu trú trực tràng do lạc nội mạc tử cung xâm lấn toàn chu vi.
Xâm lấn bàng quang
Đường tiết niệu chỉ bị xâm lấn ở 4% phụ nữ mắc lạc nội mạc tử cung, trong đó khoảng 90% liên quan đến bàng quang.
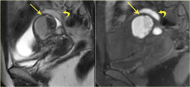
Hình ảnh T2W cho thấy lạc nội mạc tử cung xâm lấn thành bàng quang.
Hình ảnh T2W mặt phẳng đứng dọc cho thấy lạc nội mạc tử cung bàng quang xuyên toàn bộ chiều dày thành với tín hiệu đồng tín hiệu so với cơ và các ổ tăng tín hiệu, gợi ý các tuyến nội mạc tử cung giãn rộng.
Hình ảnh T1W kỹ thuật ức chế mỡ cho thấy các nang nhỏ tăng tín hiệu trong tổn thương do xuất huyết.

TRÁI: T2W mặt phẳng trán: buồng trứng áp sát nhau do dính. PHẢI: T1W+FS mặt phẳng trán minh họa các ổ xuất huyết nhỏ (mũi tên đỏ)
Dính
Lạc nội mạc tử cung thường biến chứng bằng sự hình thành dính.
Trên MRI, các dải dính có thể được nhìn thấy dưới dạng các dải bờ tua gai, tín hiệu thấp đến trung gian trên T1 và T2.
Dính có thể cố định các tạng vùng chậu, dẫn đến tử cung và buồng trứng bị đẩy ra sau, nâng cao vòm âm đạo sau và gập góc các quai ruột.
Dính cũng có thể gây ứ nước thận, mặc dù trong hầu hết các trường hợp, ứ nước thận là do xơ hóa thứ phát sau lạc nội mạc tử cung.
Hình ảnh T2W và T1W kỹ thuật ức chế mỡ bên trái cho thấy bệnh nhân lạc nội mạc tử cung có hai buồng trứng áp sát nhau (‘buồng trứng hôn nhau’), là kết quả của sự hình thành dính lan rộng.
Ở bệnh nhân này, một nang xuất huyết nhỏ của buồng trứng trái và một mảng nông xuất huyết cũng được ghi nhận (tăng tín hiệu trên T1, mũi tên đỏ).
Các hình ảnh T2W này cho thấy giãn niệu quản đoạn xa bên trái do lạc nội mạc tử cung xâm lấn sâu lan rộng xâm lấn dây chằng tử cung-cùng bên trái, lan đến đại tràng sigma.
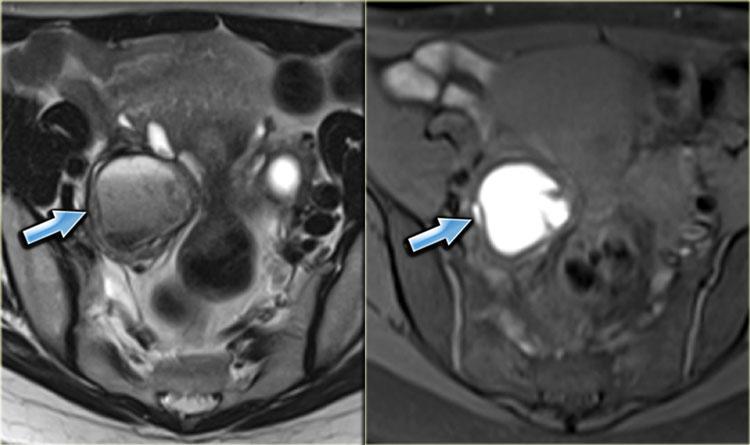
Lạc nội mạc tử cung dạng nang (Endometriomas)
Nang lạc nội mạc tử cung – còn được gọi là nang chocolate – hình thành khi các tổn thương lạc nội mạc tử cung nông trên bề mặt buồng trứng bị lộn vào trong.
Máu được tạo ra bởi các ổ cấy ghép này trong mỗi chu kỳ kinh nguyệt không thể thoát ra ngoài và sẽ tích tụ bên trong buồng trứng, tạo thành một nang được gọi là nang lạc nội mạc tử cung.
Nang lạc nội mạc tử cung biểu hiện là các khối nang phức tạp, thường có thành dày với nội dung đồng nhất.
Trên siêu âm đầu dò âm đạo, nang lạc nội mạc tử cung có thể được nhận thấy là các nang thành dày với các hồi âm mức độ thấp.
Bên trái là hình ảnh siêu âm đầu dò âm đạo và hình ảnh nội soi ổ bụng tương ứng trong quá trình cắt nang.

Hình ảnh chuỗi xung T2 và T1 xóa mỡ của nang lạc nội mạc tử cung với giảm tín hiệu trên T2 (hiệu ứng shading), mức dịch-dịch trên T2 (trái) và máu tăng tín hiệu trên chuỗi xung T1W có xóa mỡ (phải).
Trên MRI, nang lạc nội mạc tử cung biểu hiện là các khối đơn độc hoặc đa ổ với tín hiệu tăng đồng nhất trên chuỗi xung T1 và T1 xóa mỡ.
Chuỗi xung T1 xóa mỡ giúp phân biệt nang lạc nội mạc tử cung với u quái dạng nang trưởng thành, thường chứa mỡ.
Trên chuỗi xung T2W, nang lạc nội mạc tử cung có thể có tín hiệu từ giảm tín hiệu (còn gọi là hiệu ứng shading) đến tín hiệu trung gian hoặc tăng tín hiệu.
Tín hiệu thấp phản ánh tình trạng cô đặc máu trong nang.
Nang lạc nội mạc tử cung thường có vỏ xơ dày với giảm tín hiệu trên T2, do các đại thực bào chứa hemosiderin gây ra (hình minh họa).

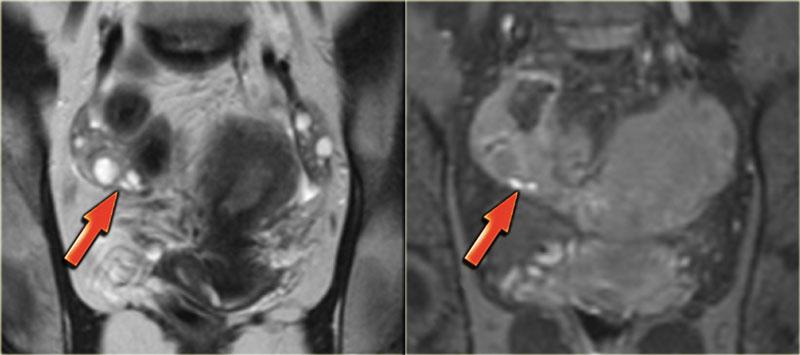
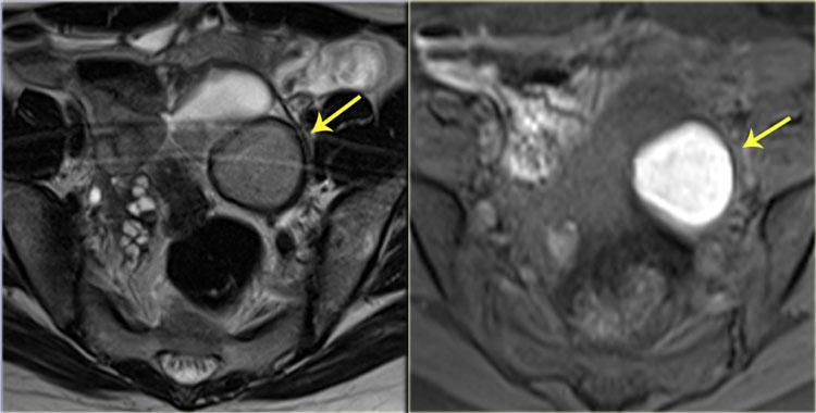
Nang lạc nội mạc tử cung (mũi tên vàng), ứ dịch vòi trứng (mũi tên đỏ) và u xơ cơ tử cung (mũi tên xanh lam).
Các hình ảnh này thuộc về một bệnh nhân có nang lạc nội mạc tử cung ở buồng trứng phải (mũi tên vàng).
Tổn thương biểu hiện tín hiệu trung gian trên T2 và tăng tín hiệu trên chuỗi xung T1 xóa mỡ.
Ngoài ra còn có:
- Ứ dịch vòi trứng với tăng tín hiệu trên chuỗi xung T2W và giảm tín hiệu trên chuỗi xung T1 xóa mỡ (mũi tên đỏ).
- U xơ cơ tử cung với giảm tín hiệu trên chuỗi xung T2W và tín hiệu trung gian trên chuỗi xung T1 xóa mỡ (mũi tên xanh lam).
Bên trái là một ví dụ khác về nang lạc nội mạc tử cung.
Hình ảnh chuỗi xung T2 và T1 xóa mỡ cho thấy một nang có cục máu đông (giảm tín hiệu trên T2, tín hiệu trung gian trên T1).
Đôi khi các cục máu đông này đi kèm với mô xơ trên mô bệnh học.
Chúng có thể được nhận biết là các tổn thương giảm tín hiệu (trên T2) có hình dạng bất thường, nằm ở phần thấp nhất của nang lạc nội mạc tử cung.
Trong trường hợp này còn có hình ảnh ứ máu vòi trứng (mũi tên cong).
Hình ảnh chuỗi xung T2 và T1 xóa mỡ bên trái cho thấy nang lạc nội mạc tử cung ở buồng trứng trái.
Thành nang giảm tín hiệu trên chuỗi xung T2W và T1W do hemosiderin gây ra.
Chẩn đoán phân biệt
Chẩn đoán phân biệt của nang lạc nội mạc tử cung bao gồm: nang chức năng xuất huyết, u xơ vỏ buồng trứng, u quái dạng nang trưởng thành, u tân sinh buồng trứng dạng nang và áp xe buồng trứng.
Nhấp vào các liên kết bên dưới để biết thêm thông tin về chẩn đoán phân biệt.
Khối nang buồng trứng – Phần I: Lộ trình chẩn đoán
Khối nang buồng trứng – Phần II: Các tổn thương dạng nang thường gặp
Lạc nội mạc tử cung thành bụng
Các ổ cấy ghép nội mạc tử cung đã được ghi nhận tại nhiều vị trí bất thường ngoài vùng chậu, bao gồm cả lồng ngực.
Lạc nội mạc tử cung thành bụng là vị trí ngoài vùng chậu phổ biến nhất và thường xảy ra sau mổ lấy thai.
Siêu âm cho thấy các tổn thương đặc giảm âm ở thành bụng, thường có tín hiệu mạch máu bên trong khi khảo sát bằng Doppler năng lượng.
Các đặc điểm siêu âm này không đặc hiệu, và cần xem xét một phổ rộng các bệnh lý trong chẩn đoán phân biệt, bao gồm các khối u như sarcoma, u desmoid hoặc di căn, cũng như các nguyên nhân không phải u như u hạt do chỉ khâu, thoát vị, tụ máu hoặc áp xe.
Tuy nhiên, lạc nội mạc tử cung thành bụng luôn phải là chẩn đoán hàng đầu cần nghĩ đến ở những bệnh nhân có khối ở thành bụng gần sẹo mổ lấy thai.
Đặc điểm trên CT và MRI của lạc nội mạc tử cung thành bụng không đặc hiệu, cả hai đều cho thấy một khối đặc ngấm thuốc ở thành bụng.
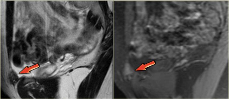
Bên trái là hình ảnh MRI của bệnh nhân bị lạc nội mạc tử cung thành bụng.
Trên chuỗi xung T2W, các tổn thương có tín hiệu đồng tín hiệu so với cơ, kèm theo các ổ nhỏ tăng tín hiệu, phản ánh các tuyến nội mạc tử cung bị giãn.
Trên ảnh T1W có xóa mỡ, các tổn thương có tín hiệu cao hơn một chút so với cơ (mũi tên).
Triệu chứng lâm sàng đặc trưng của lạc nội mạc tử cung thành bụng là đau theo chu kỳ kinh nguyệt, tuy nhiên bệnh nhân cũng có thể biểu hiện đau liên tục hoặc hoàn toàn không đau.
Hình ảnh chuỗi xung T2W mặt cắt ngang bên trái minh họa một trường hợp lạc nội mạc tử cung thành bụng khác.






















