Khối u tuyến ức và giả lập
Các khối u tuyến ức trong nhiều trường hợp là phát hiện tình cờ trong quá trình chụp CT vì một lý do khác.
Hầu hết bệnh nhân có khối u tuyến ức không có triệu chứng tại thời điểm chẩn đoán và nhiều khối u tuyến ức không dễ dàng được chẩn đoán bằng mô bệnh học.
Do đó, hình ảnh học đóng vai trò quan trọng trong việc đánh giá các tổn thương tuyến ức.
Giới thiệu
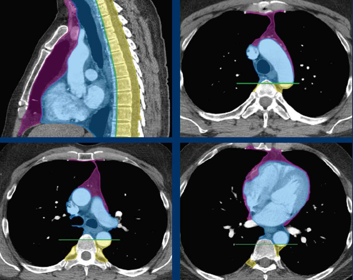
Phân loại các khoang trung thất theo ITMIG
Hầu hết các phân loại hình ảnh học trong quá khứ đều dựa trên các mốc giải phẫu tùy ý được xác định trên phim X-quang ngực thẳng bên, chia trung thất thành khoang trước, khoang giữa và khoang sau.
Một hệ thống phân loại mới dựa trên hình ảnh cắt lớp, chủ yếu là chụp cắt lớp vi tính đa dãy đầu thu (CT), đã được Nhóm Nghiên cứu Quốc tế về Bệnh lý Ác tính Tuyến Ức (ITMIG) xây dựng và hiện được chấp nhận là tiêu chuẩn mới.
Khoang trước mạch chứa tuyến ức, mô mỡ, hạch bạch huyết và tĩnh mạch tay đầu trái.
Lưu ý rằng ranh giới phía sau là mặt trước của màng ngoài tim khi nó bao quanh tim theo hình cong.
Chẩn đoán phân biệt
Khi đối mặt với một khối tuyến ức nghi ngờ, cần phân biệt tuyến ức bình thường và tăng sản tuyến ức với u tân sinh tuyến ức và u lympho.
Tuyến ức bình thường nhưng kích thước lớn cũng như tuyến ức tăng sản có hình tam giác, cường độ tín hiệu bình thường trên chuỗi xung T1W và T2W, và chứa mỡ ngoại bào hoặc nội bào.
Các u tân sinh phổ biến nhất của trung thất trước mạch bao gồm u tuyến ức (thymoma), ung thư tuyến ức, u thần kinh nội tiết tuyến ức, u quái (teratoma) và u lympho.
Các tổn thương không phải u tân sinh bao gồm bướu giáp lan xuống sau xương ức, tăng sản tuyến ức, các tổn thương dạng nang như nang tuyến ức và nang màng ngoài tim, cũng như các bất thường mạch máu – bạch huyết.
Quy trình chụp MRI
Mặc dù hầu hết các khối tuyến ức được phát hiện tình cờ trên CT ngực, MRI là công cụ hình ảnh tốt nhất để phân biệt thêm một khối nghi ngờ.
Chuỗi xung T2W giúp phát hiện các thành phần dạng nang.
Chuỗi xung T1W đồng pha và đối pha giúp phát hiện mỡ nội bào và phân biệt tuyến ức bình thường, tăng sản tuyến ức với u tân sinh tuyến ức và u lympho.
Gadolinium được sử dụng để phát hiện các thành phần đặc.
Kỹ thuật xóa mỡ có thể được áp dụng trên chuỗi xung T1W hoặc T2W.
Tuyến ức bình thường
Tuyến ức bình thường tương đối lớn ở giai đoạn sơ sinh và phát triển đáng kể ngay sau khi sinh.
Kích thước tối đa đạt được ở tuổi dậy thì, sau đó tuyến ức trải qua quá trình thoái hóa dần dần với sự thay thế bằng mô mỡ.
Tuyến ức bình thường ở người trưởng thành có hình mũi tên, bờ đều đặn.
Tuyến ức chứa mỡ, nhưng không có vôi hóa và hình thành nang, tỷ trọng tương đương với cơ xung quanh.
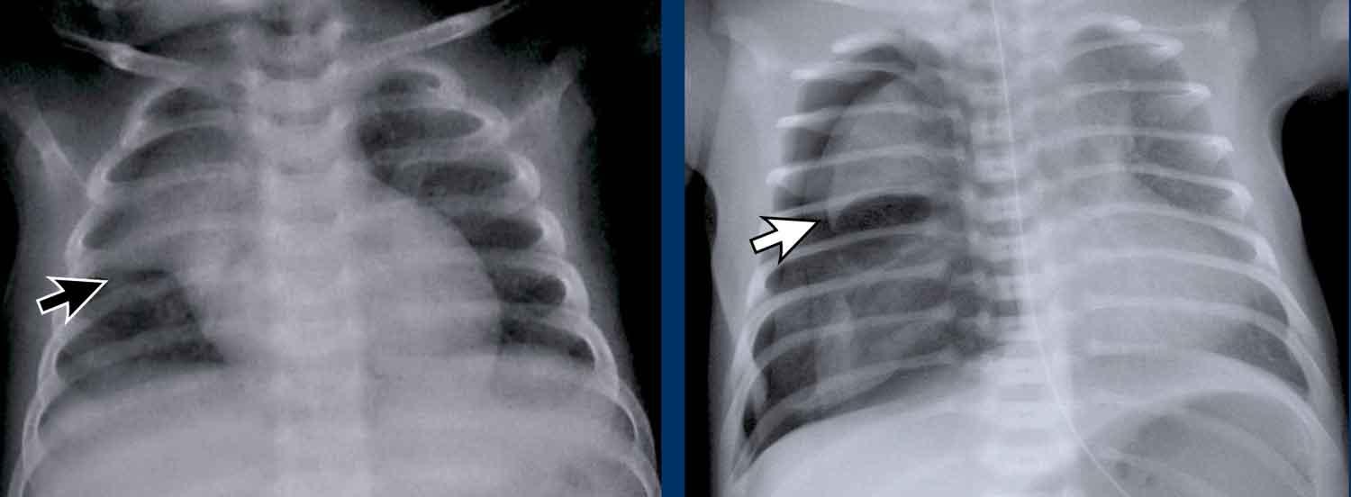
Ở trẻ sơ sinh, tuyến ức có thể khá lớn, đặc biệt khi có suy hô hấp, và có thể biểu hiện trên X-quang ngực với dấu hiệu cánh buồm (mũi tên đen).
Dấu hiệu cánh buồm tuyến ức là một phát hiện bình thường ở trẻ nhũ nhi và không nên nhầm lẫn với dấu hiệu cánh buồm thuyền, trong đó thùy tuyến ức bị đẩy ra ngoài và lên trên do tràn khí trung thất (mũi tên trắng).
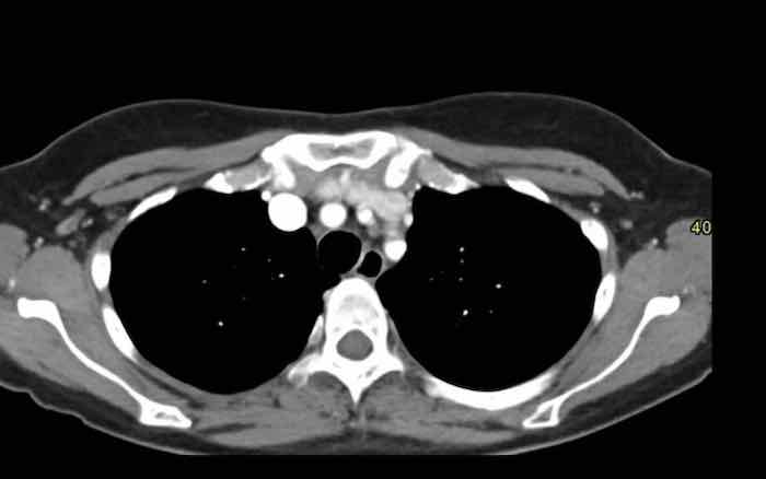
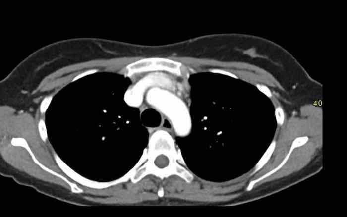
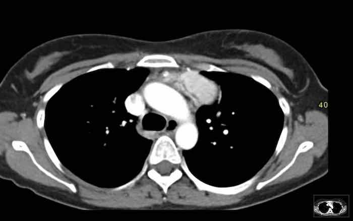
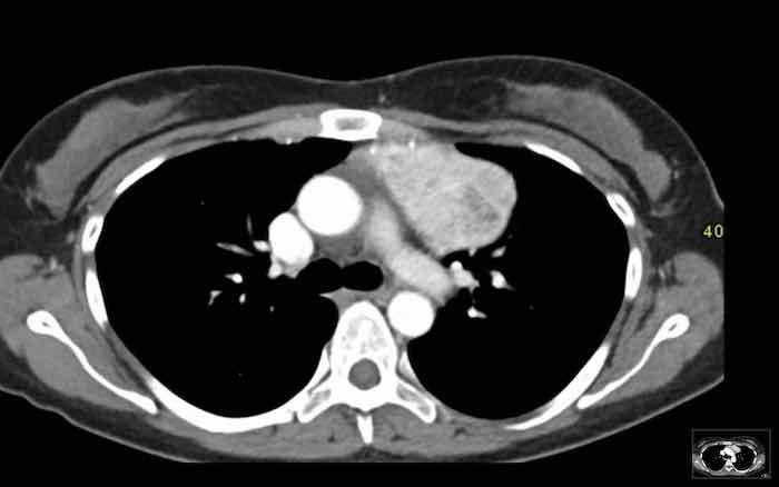
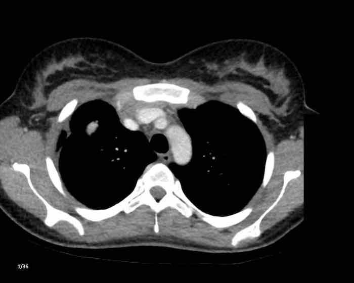
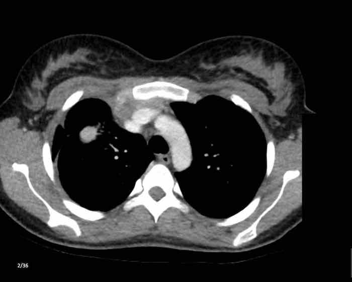
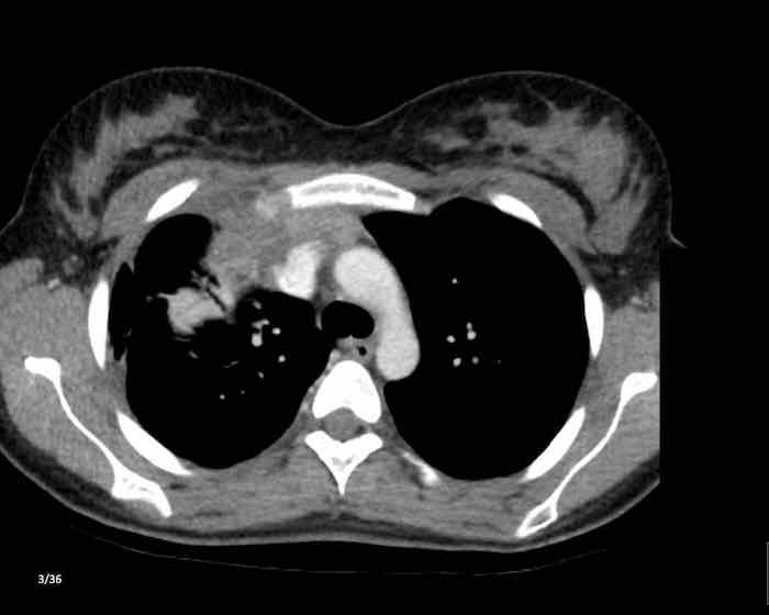
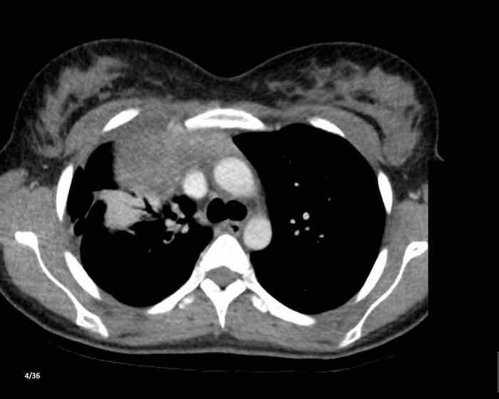
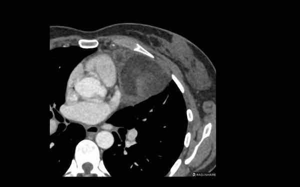
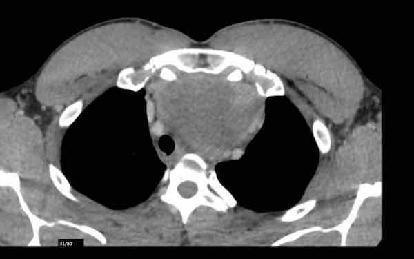
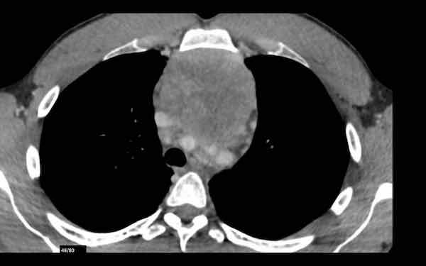
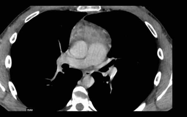
Đây là hình ảnh của một nam giới 24 tuổi.
Hãy quan sát kỹ các hình ảnh trước.
Câu hỏi: đây có phải là tuyến ức bình thường không?
Hình ảnh
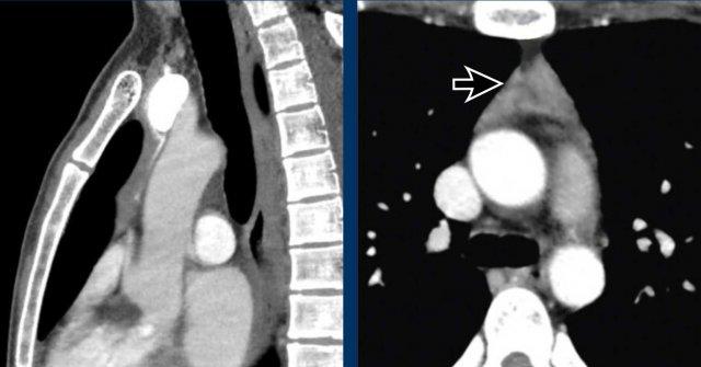
Mặc dù tuyến ức này khá lớn, nhưng có hình tam giác bình thường và chứa mỡ (mũi tên).
Đây là tuyến ức bình thường.
Tăng sản tuyến ức
Bệnh Graves
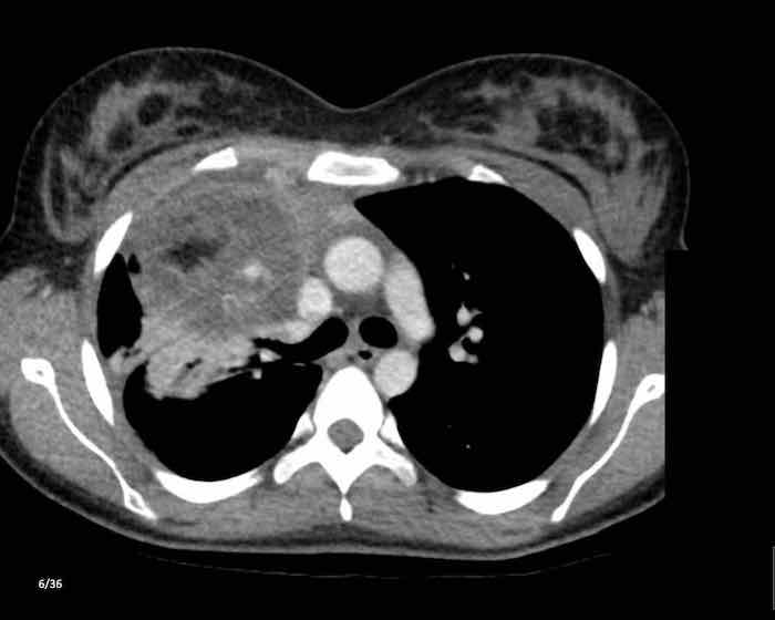
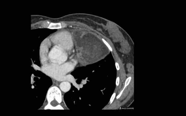
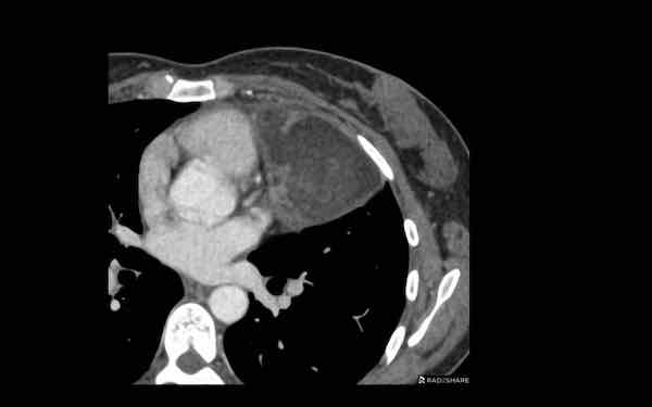
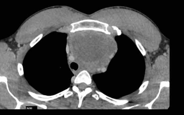
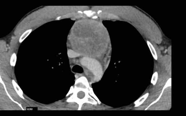
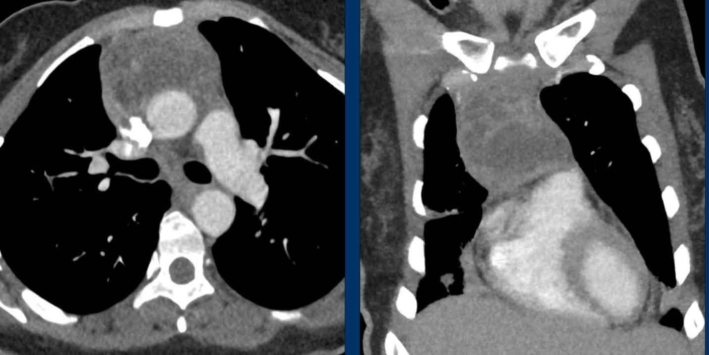
Ca lâm sàng 1
Các hình ảnh này của một phụ nữ 65 tuổi có tiền sử mắc bệnh Graves, một rối loạn tự miễn liên quan đến tình trạng cường chức năng tuyến giáp.
CT được thực hiện vì lý do ho ra máu.
Trước tiên hãy phân tích các hình ảnh.
Nhận định của bạn là gì?
Hình ảnh
Có một tuyến ức to lớn, cồng kềnh chứa mô mỡ đại thể.
Đây là hình ảnh điển hình của tăng sản tuyến ức.
Tăng sản tuyến ức trong bệnh Graves có liên quan đến tình trạng dư thừa hormone tuyến giáp và kháng thể kháng thụ thể thyrotropin.
Tình trạng này thường cải thiện sau khi điều trị thành công bệnh Graves.
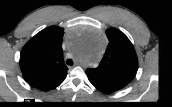
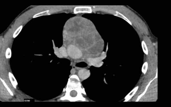
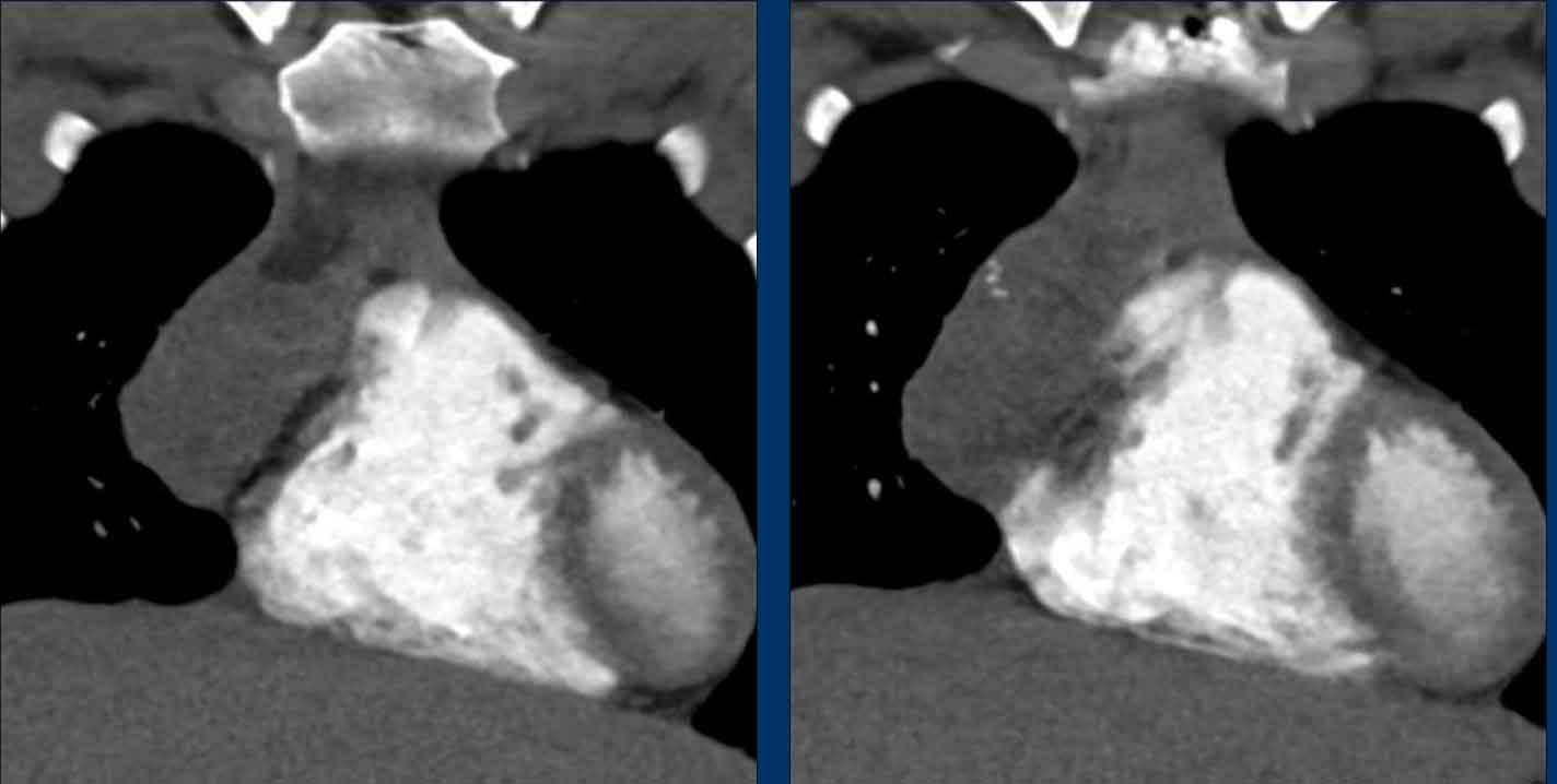
Mặc dù không thực sự cần thiết, MRI vẫn được thực hiện.
Hình ảnh
Hình ảnh chuỗi xung gradient-echo nhanh pha đối (out-of-phase) cho thấy sự mất tín hiệu như dự kiến.
CT cho thấy tuyến ức trở về bình thường sau khi điều trị bệnh Graves.
Khi đo cường độ tín hiệu, bạn sẽ nhận thấy sự sụt giảm cường độ tín hiệu.
Tỷ lệ phần trăm sụt giảm tín hiệu này được gọi là chỉ số cường độ tín hiệu (SII).
Chỉ số cường độ tín hiệu
Chỉ số cường độ tín hiệu (SII) là lượng tín hiệu bị mất đi chia cho lượng tín hiệu ban đầu.
SII lớn hơn 9% có độ nhạy và độ đặc hiệu 100% trong chẩn đoán tăng sản tuyến ức.
SII đáng tin cậy hơn so với tỷ số dịch chuyển hóa học.
Trong trường hợp này, SII là 77%.
Ca lâm sàng 2
Đây là một ca lâm sàng khác.
Tín hiệu giảm từ 130 xuống còn 77.
Điều này có nghĩa là chúng ta đang đối diện với mô tuyến ức.
Tăng sản tuyến ức dội ngược
Tăng sản tuyến ức có thể là một hiệu ứng dội ngược.
Ban đầu, tuyến ức sẽ giảm kích thước do tác động của stress từ hóa trị liệu, corticosteroid, xạ trị, bỏng hoặc các tác nhân gây stress hệ thống nặng nề khác.
Khi các tác nhân stress không còn nữa, tuyến ức sẽ tăng kích thước và có thể trở nên lớn hơn nhiều so với kích thước ban đầu.
Sau hiệu ứng dội ngược này, có thể mất vài tháng để tuyến ức trở về kích thước bình thường.
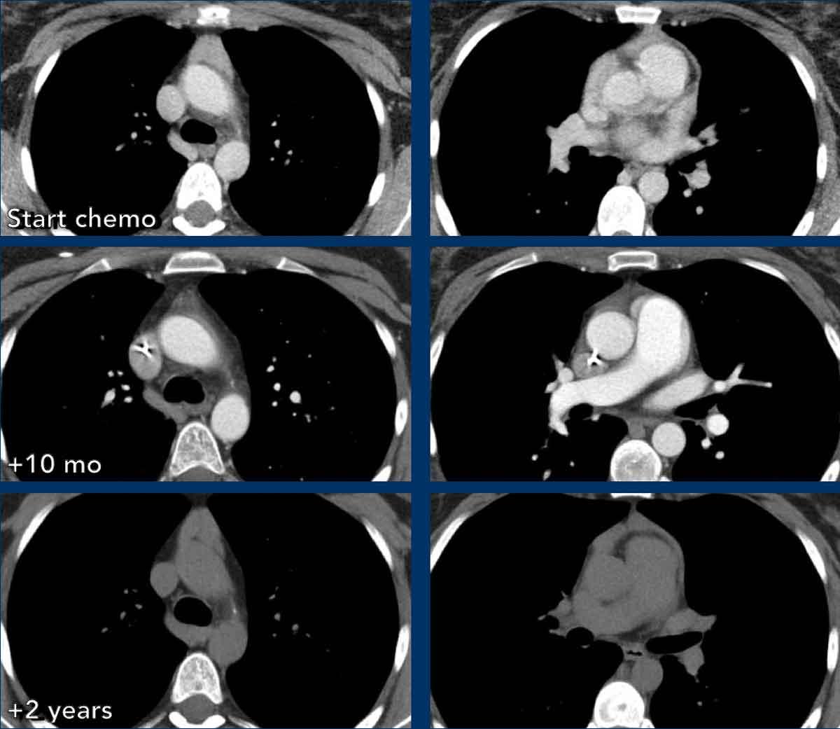
Ca lâm sàng 3
Các hình ảnh này của một phụ nữ 24 tuổi, mắc u xương (osteosarcoma) và được điều trị bằng hóa trị liệu.
Hình ảnh
Tại thời điểm bắt đầu điều trị, tuyến ức có biểu hiện tăng sản.
Tại thời điểm theo dõi 10 tháng, tuyến ức bị teo nhỏ.
Hai năm sau, xuất hiện tăng sản tuyến ức dội ngược.
Ca lâm sàng 4
Các hình ảnh này của một nam giới 19 tuổi, được chụp CT để loại trừ thuyên tắc phổi.
Phát hiện tình cờ một khối ở khoang trước mạch máu.
Chẩn đoán có khả năng nhất là tăng sản tuyến ức và MRI được thực hiện để phân biệt thêm khối này.
Tiếp tục xem hình ảnh MRI…
Trên hình ảnh chuỗi xung T2W, tổn thương có tín hiệu tăng nhẹ.
Trên hình ảnh pha đối (out-of-phase), không có sự sụt giảm tín hiệu đáng kể.
SII nhỏ hơn 9%.
Do bệnh nhân không có bất kỳ triệu chứng nào, đặc biệt không có các triệu chứng có thể liên quan đến u lympho, và vì u tuyến ức (thymoma) là một khối u hiếm gặp, quyết định được đưa ra là theo dõi sau sáu tháng.
Tại thời điểm theo dõi sáu tháng, tuyến ức có hình ảnh bình thường.
Kết luận được đưa ra là đây là tăng sản tuyến ức hoặc mô tuyến ức tồn dư kích thước lớn, đã thoái triển trong vòng sáu tháng.
Nhược cơ (Myasthenia gravis)
Tuyến ức được cho là đóng vai trò quan trọng trong cơ chế bệnh sinh của nhược cơ, một bệnh tự miễn được trung gian bởi các kháng thể chống lại thụ thể acetylcholine của cơ vân.
75% bệnh nhân nhược cơ có tuyến ức bất thường.
Sau khi cắt bỏ tuyến ức, 70-80% bệnh nhân sẽ có cải thiện lâm sàng.
Khối nang
Nang thực sự (true cyst) không phổ biến và có hình ảnh tương tự như các nang ở bất kỳ vị trí nào khác trong cơ thể.
Thoái hóa nang trong u tuyến ức (thymoma) là một biến đổi tương đối thường gặp nhưng mang tính khu trú. Trong một số ít trường hợp, quá trình này tiến triển đến mức phần lớn tổn thương trở thành dạng nang.
U quái trung thất (mediastinal teratoma) thường biểu hiện là một khối không đồng nhất chứa mỡ và vôi hóa. Khoảng 15% trường hợp biểu hiện là tổn thương nang thuần túy.
Nang màng ngoài tim (pericardial cyst) là tổn thương nang thuần túy, thường gặp nhất ở góc tim hoành trước bên phải, nhưng đôi khi có vị trí không điển hình.
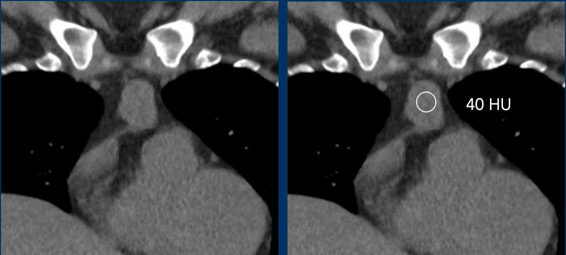
Nang tuyến ức
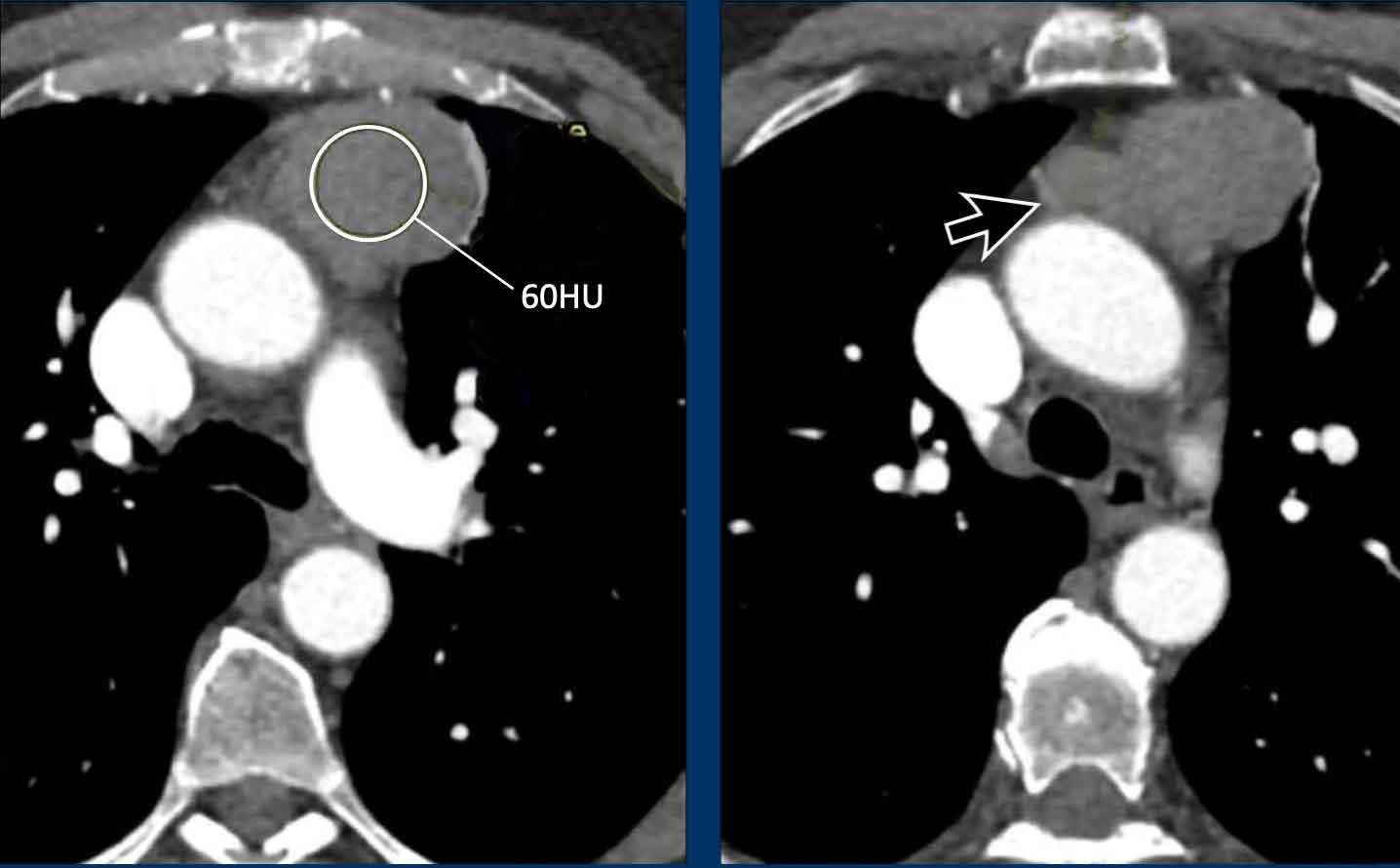
Các hình ảnh này của một phụ nữ 48 tuổi.
Trên MRI toàn thân (TWK-MRI), tình cờ phát hiện một khối ở tuyến ức.
Tiếp tục xem các hình ảnh CT…
Trên CT không tiêm thuốc cản quang (NECT), tổn thương có tỷ trọng mô mềm khoảng 40 HU.
Chẩn đoán có khả năng nhất ban đầu là u tuyến ức (thymoma).
Tổn thương đã được phẫu thuật cắt bỏ và kết quả bất ngờ cho thấy đây là một nang.
Lý giải cho hình ảnh học gây nhầm lẫn này là nang chứa dịch giàu protein, điều này giải thích cho tỷ trọng cao trên NECT.
Hình ảnh trông như ngấm thuốc tương phản trên chuỗi xung T1W có fat saturation có thể là do hiện tượng bão hòa mỡ không đồng nhất.
Tiếp tục xem hình ảnh tiếp theo…
Lưu ý hiện tượng bão hòa mỡ không đồng nhất (mũi tên).
Điều này dẫn đến hiện tượng ngấm thuốc giả (pseudo-enhancement) và chẩn đoán sai.
Chẩn đoán cuối cùng
Nang tuyến ức.
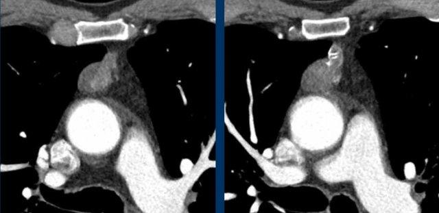
U tuyến ức dạng nang
Các hình ảnh này của một nam giới 71 tuổi.
Trên CT ngực, tình cờ phát hiện một khối ở tuyến ức.
Hãy phân tích các hình ảnh. Nhận định của bạn là gì?
Hình ảnh
Một phần tổn thương có ngấm thuốc cản quang và có một số vôi hóa, có thể nằm ở thành nang.
Khi một tổn thương tuyến ức có thành phần đặc, nguyên tắc là… “khi còn nghi ngờ, hãy phẫu thuật cắt bỏ”.
Tổn thương đã được phẫu thuật cắt bỏ dựa trên kết quả CT và kết quả giải phẫu bệnh cho thấy đây là u tuyến ức dạng nang.
Nang so với u tuyến ức dạng nang
Nang có thể có ngấm thuốc nhưng chỉ giới hạn ở thành nang mỏng.
Không được có các nốt hoặc thành phần đặc.
Đôi khi việc phân biệt này rất khó khăn và trong những trường hợp như vậy, nên theo dõi định kỳ, đầu tiên sau 6 tháng và sau đó hàng năm cho đến 5 năm.
Việc theo dõi có thể thực hiện bằng MRI hoặc trong một số trường hợp bằng CT.
Nang màng ngoài tim
Hình ảnh
Trên CT, tổn thương ở khoang trước mạch máu có tỷ trọng nước.
Trên MRI, không có ngấm thuốc tương phản từ.
Đây là nang màng ngoài tim.
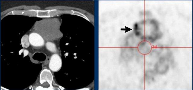
U lympho
Các hình ảnh này của một phụ nữ 34 tuổi có triệu chứng khó thở.
Hãy phân tích các hình ảnh.
Nhận định của bạn là gì?
Hình ảnh
Có một khối nang ở khoang trung thất trước mạch máu.
Thành nang dày và có ngấm thuốc cản quang.
Do vẫn chưa rõ bản chất tổn thương, PET scan đã được thực hiện.
Tiếp tục xem các hình ảnh PET…
Dựa trên kết quả PET, chẩn đoán nào là có khả năng nhất?
Đây là u tuyến ức dạng nang, nang biến chứng, u thần kinh nội tiết hay u lympho?
Hình ảnh
PET cho thấy nhiều tổn thương, đây phải là các hạch bạch huyết bệnh lý.
Thảo luận
U tuyến ức hầu như không bao giờ đi kèm với hạch to.
Nang bị nhiễm trùng cũng có thể gây hạch to, nhưng không lan rộng như trong trường hợp này.
Chẩn đoán cuối cùng
U lympho dạng nang.
Khối đặc
U tuyến ức/Ung thư tuyến ức
Các u biểu mô tuyến ức là một nhóm u ác tính bao gồm u tuyến ức (thymoma), ung thư tuyến ức và u thần kinh nội tiết tuyến ức.
U tuyến ức được phân loại thành thymoma, ung thư tuyến ức và u thần kinh nội tiết tuyến ức (NETT).
Thymoma là u phổ biến nhất trong khoang trung thất trước mạch máu, nhưng vẫn là một u hiếm gặp.
Bệnh có liên quan đến nhược cơ và các bệnh cận u tự miễn khác.
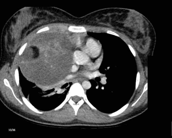
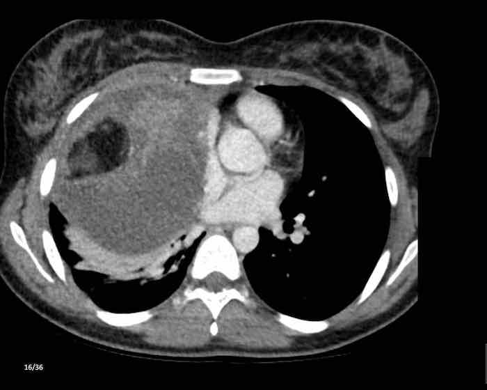
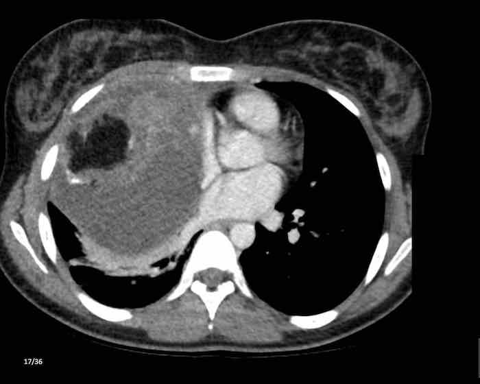
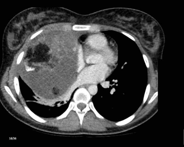
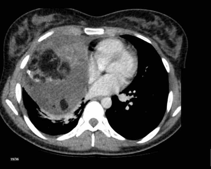
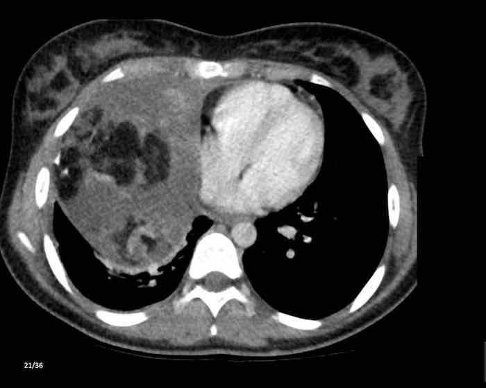
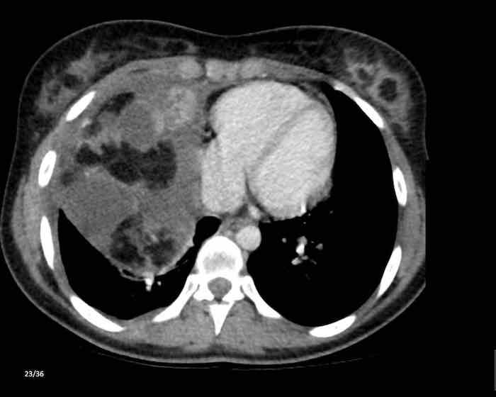
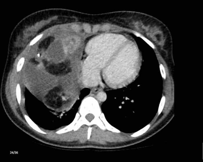
Ca lâm sàng 1
Các hình ảnh này của một bệnh nhân nam 60 tuổi có đau ngực, được chụp CT ngực để đánh giá điểm vôi hóa mạch vành.
Hãy phân tích hình ảnh trước.
Nhận định của bạn là gì?
Hình ảnh
Có một khối đặc ở trung thất và các tổn thương màng phổi.
Thảo luận
Các tổn thương màng phổi chỉ xuất hiện ở bên phải, đây là đặc điểm điển hình của di căn màng phổi kiểu “nhỏ giọt” (pleural drop metastases) của thymoma.
Chúng là kết quả của sự xâm lấn trực tiếp vào màng phổi, không phải di căn theo đường máu, và chỉ xuất hiện ở một bên.
Tiếp tục xem PET…
Hình PET cho thấy khối ở trung thất và nhiều tổn thương di căn màng phổi chỉ ở bên phải.
Ca lâm sàng 2
Các hình ảnh này của một bệnh nhân đã được phẫu thuật cắt bỏ thymoma.
Trên phim chụp theo dõi bên trái, phát hiện một tổn thương di căn màng phổi.
Lưu ý rằng nhìn lại, đã có một tổn thương màng phổi rất nhỏ trên phim chụp trước phẫu thuật.
Bài học rút ra là khi nghĩ đến thymoma, cần phải khảo sát màng phổi một cách hết sức tỉ mỉ.
“Bạn chỉ tìm thấy những gì bạn đang tìm kiếm”.
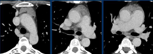
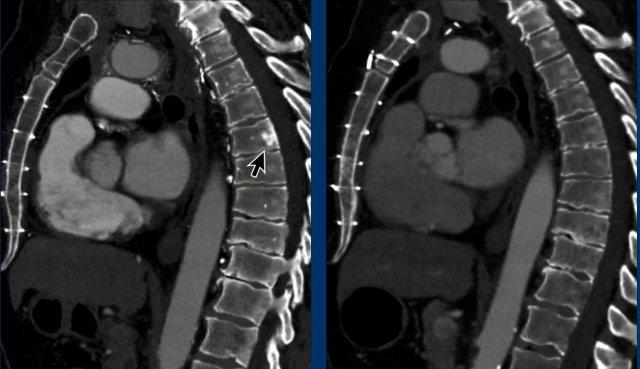
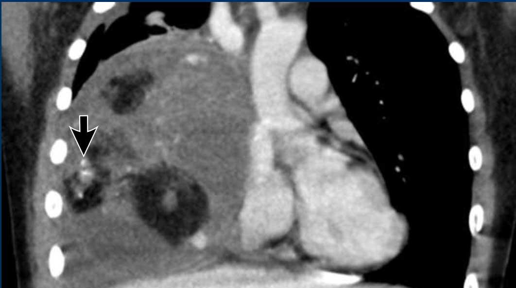
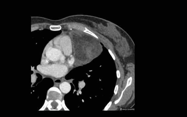
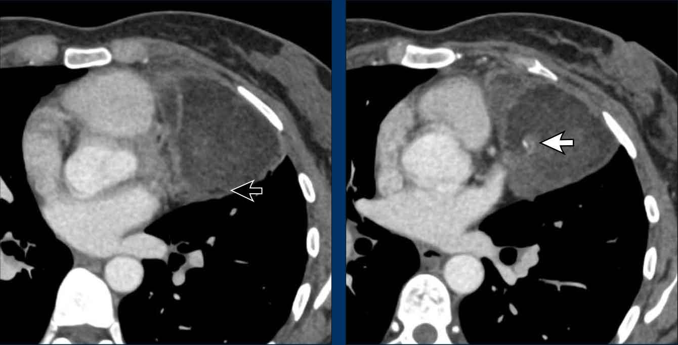
Ung thư tuyến ức
Ca lâm sàng 1
Các hình ảnh này của một bệnh nhân bị ung thư tuyến ức.
Lưu ý hoạt độ phóng xạ không đều ở ngoại vi tổn thương trên PET.
Khối u đã được phẫu thuật cắt bỏ.
Trong quá trình theo dõi, một CT được thực hiện.
Tiếp tục xem CT theo dõi…
Trên CT, phát hiện các cấu trúc tăng tỷ trọng mới trong các đốt sống (mũi tên).
Chúng không có trên CT trước đó.
Nhận định của bạn là gì?
Hãy phân tích hình ảnh trước rồi tiếp tục đọc.
Hình ảnh
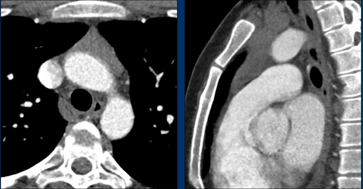
Lưu ý sự hiện diện của các tĩnh mạch bàng hệ giãn. Điều này được giải thích bởi thực tế là trong phẫu thuật, tĩnh mạch tay đầu (brachiocephalic vein) bị thắt lại, có thể dẫn đến sự hình thành các tĩnh mạch bàng hệ đáng kể. Các cấu trúc tăng tỷ trọng quan sát thấy trong thân đốt sống không phải là di căn xơ cứng, mà là hậu quả của ứ trệ tĩnh mạch. Những hình ảnh này biểu hiện sự ngấm thuốc do ứ trệ tĩnh mạch, không phải bệnh di căn. Trên CT không tiêm thuốc cản quang, tình trạng tăng tỷ trọng này sẽ không quan sát được.
Tiếp tục xem phim theo dõi muộn hơn…
Trên phim theo dõi muộn hơn, tình trạng ứ trệ tĩnh mạch không còn quan sát thấy nữa.
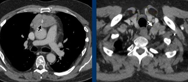
Ca lâm sàng 2
Các hình ảnh này của một bệnh nhân nam 43 tuổi có đau ngực.
Hình ảnh
Có một khối ở trung thất trước mạch máu.
Bờ không đều và tổn thương dương tính trên PET-CT.
Thảo luận
Chẩn đoán có khả năng nhất là thymoma, có thể là thể xâm lấn hoặc thậm chí là ung thư tuyến ức.
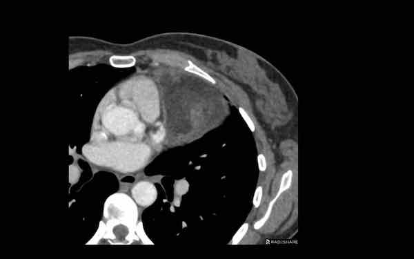
Tiếp tục xem phim chụp tiền phẫu hai tháng sau…
Hai tháng sau, một phim chụp tiền phẫu được thực hiện.
Rõ ràng là tổn thương đã nhỏ hơn.
Tuy nhiên, phẫu thuật viên vẫn quyết định cắt bỏ tổn thương và kết quả giải phẫu bệnh là ung thư tuyến ức.
Chúng tôi không có giải thích rõ ràng cho những gì đã xảy ra ở đây.
Có một số phản ứng trong mô mềm xung quanh khối u trên phim chụp đầu tiên (mũi tên).
Có thể đã có tình trạng viêm trong khối u và các mô xung quanh, khiến khối u trông lớn hơn.
U thần kinh nội tiết tuyến ức
Ca lâm sàng
Các hình ảnh này của một bệnh nhân nam 36 tuổi bị hội chứng Cushing, đã được phẫu thuật cắt bỏ u tuyến yên.
Tuy nhiên, hội chứng Cushing vẫn tồn tại và phát hiện một khối ở trung thất.
Hình ảnh
Khối đặc với vôi hóa trung tâm (mũi tên đen).
Lưu ý bờ khối không đều ở phía bên trái.
Hạch bạch huyết thượng đòn trái to (hạch Virchow: mũi tên trắng).
Đây không phải là PET-CT thông thường mà là PET Dotatoc, được sử dụng để phát hiện u thần kinh nội tiết và các tổn thương di căn của chúng.
Có nhiều tổn thương di căn xương (mũi tên).
Chẩn đoán cuối cùng
U thần kinh nội tiết tuyến ức (NETT)
U thần kinh nội tiết tuyến ức là các u hiếm gặp.
Chúng có tính chất rất xâm lấn và thường biểu hiện với sự xâm lấn các cấu trúc trung thất xung quanh, đồng thời liên quan đến các bệnh lý nội tiết như hội chứng Cushing, to đầu chi (acromegaly) và hội chứng MEN-1.
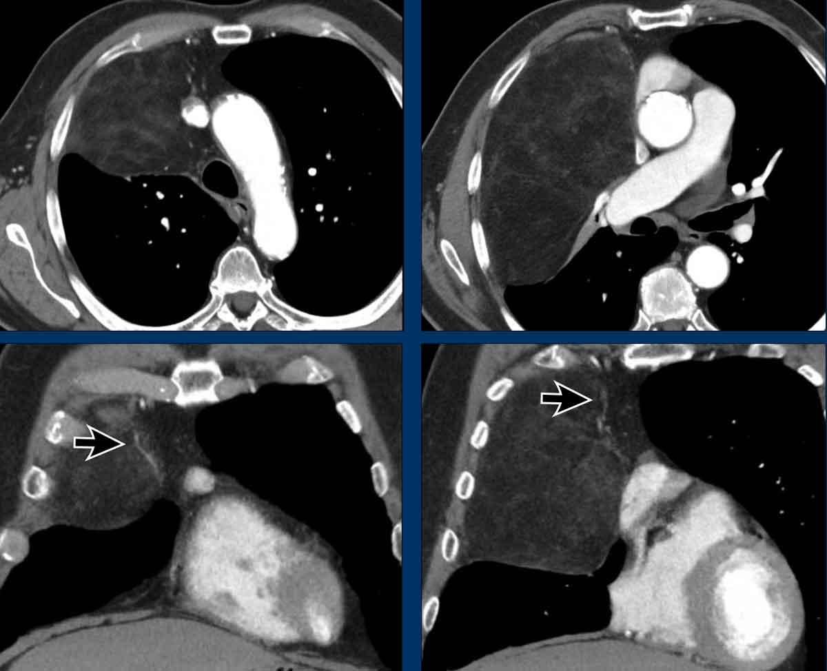
U mỡ tuyến ức (Thymolipoma)
Hình ảnh
Có một khối lớn trong khoang trước mạch máu của trung thất, chủ yếu chứa mỡ và một số mạch máu (mũi tên).
Thảo luận
Trong trường hợp như vậy, không thể phân biệt giữa u mỡ tuyến ức (thymolipoma) và u mỡ ác tính (liposarcoma).
Khối u đã được phẫu thuật cắt bỏ và kết quả là u mỡ tuyến ức.
U lympho
Các hình ảnh này của một bệnh nhân nữ 60 tuổi.
Bệnh nhân có rối loạn nhịp tim và phát hiện tình cờ một khối trên CT ngực.
Hãy phân tích hình ảnh trước.
Câu hỏi: chẩn đoán có khả năng nhất là gì?
Hình ảnh
Khối có tỷ trọng cao trên phim chụp sau tiêm thuốc cản quang.
Không có mỡ đại thể.
Bờ hơi không đều.
Và có một khối thứ hai (mũi tên). Trên các lớp cắt khác còn thấy thêm nhiều khối nữa.
Thảo luận
Khi có nhiều khối, chẩn đoán có khả năng nhất là u lympho.
Bất cứ khi nào u lympho nằm trong chẩn đoán phân biệt, cần phải lấy mẫu mô và bắt đầu hóa trị ngay khi xác định được loại u lympho.
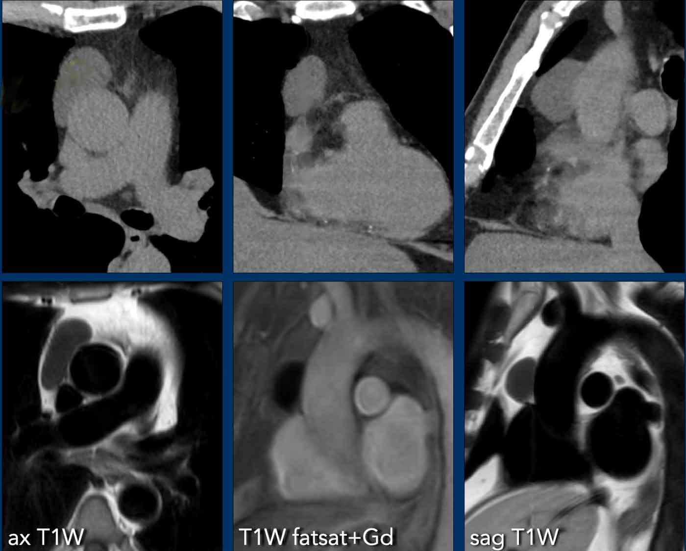
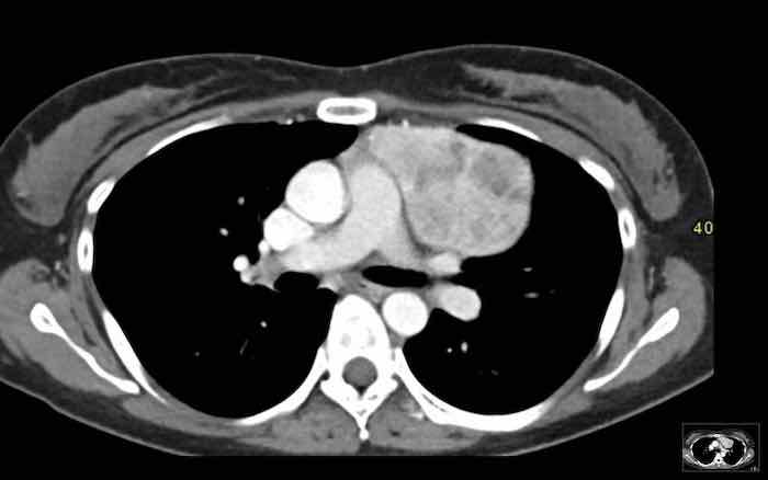
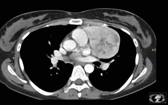
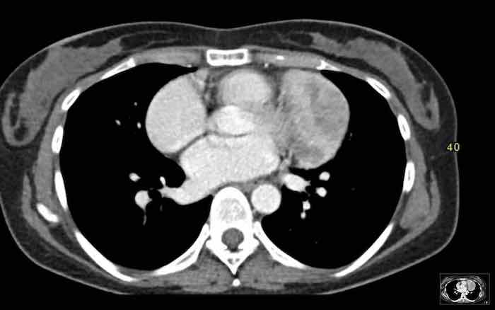
Tuyến giáp lạc chỗ
Các hình ảnh này của một bệnh nhân nữ 37 tuổi.
Bệnh nhân bị viêm phổi và hồi phục không tốt, được chỉ định chụp CT.
Hãy phân tích hình ảnh trước.
Câu hỏi: chẩn đoán có khả năng nhất là gì?
Hình ảnh
Có một khối ngấm thuốc mạnh trong khoang trước mạch máu.
Lưu ý hình ảnh tương tự như khối ngấm thuốc ở vùng tuyến giáp.
Tuyến giáp lạc chỗ có hình ảnh giống như bướu giáp.
Đôi khi có sự liên tục với tuyến giáp bình thường và đôi khi tuyến giáp bình thường không có mặt.
Có thể xác nhận chẩn đoán bằng xạ hình tuyến giáp.
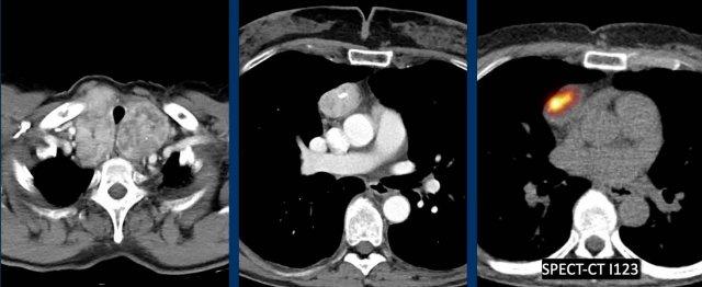
Đây là một ca lâm sàng tương tự.
Có bướu giáp và một khối ngấm thuốc trong khoang trước mạch máu của trung thất.
I-123 là đồng vị phóng xạ của iốt được sử dụng để xạ hình tuyến giáp.
Trong trường hợp này, sự hấp thu được quan sát trên SPECT-CT.
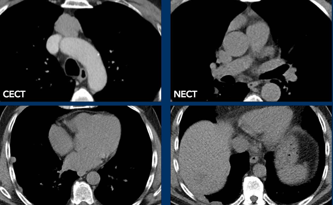
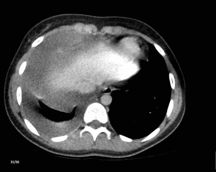
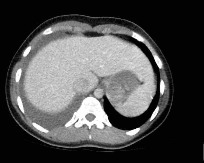
Tụ máu
Các hình ảnh này của một bệnh nhân nam 68 tuổi, vừa trải qua phẫu thuật bắc cầu động mạch vành.
Bệnh nhân than phiền khó thở.
Nồng độ D-dimer cao và CT được thực hiện để tìm kiếm thuyên tắc phổi.
Hình ảnh
Có một khối trong trung thất trước mạch máu.
Tỷ trọng là 44
Khối hỗn hợp
U quái (Teratoma)
Các hình ảnh này của bệnh nhân nữ 19 tuổi với triệu chứng đau ngực.
Cuộn qua các hình ảnh.
Nhận định của bạn là gì?
Sau đó tiếp tục với hình ảnh tiếp theo.
Hình ảnh
Có một khối trung thất lớn chứa các thành phần dạng nang và đặc, đồng thời có mô mỡ và vôi hóa (mũi tên).
Đây là hình ảnh điển hình của u quái (teratoma).
Các hình ảnh này của bệnh nhân nữ 35 tuổi với triệu chứng ho và đau ngực khoảng một tuần.
Cuộn qua các hình ảnh.
Nhận định của bạn là gì?
Đây là u tuyến ức dạng nang, u quái, u lympho hay u tuyến ức mỡ (thymolipoma)?
Tiếp tục với các hình ảnh tiếp theo…..
Ca bệnh này minh họa rằng đôi khi cần phải xem xét toàn bộ các hình ảnh để tìm thấy thành phần mỡ (mũi tên đen) và vôi hóa (mũi tên trắng) trong u quái.
Các hình ảnh này của bệnh nhân nam 36 tuổi nhập viện với khối trung thất lớn.
Cuộn qua các hình ảnh.
Nhận định của bạn là gì?
Hình ảnh
Khối lớn chèn ép khí quản gây hẹp lòng khí quản.
Khối có ngấm thuốc ở thành và các vùng bên trong khối.
Thảo luận
Dựa trên các đặc điểm hình ảnh, chẩn đoán phân biệt bao gồm:
- Ung thư tuyến giáp thể không biệt hóa (Anaplastic)
- Ung thư tuyến ức
- U quái (Teratoma)
Mặc dù sinh thiết được đề xuất, bước tiếp theo cần thực hiện là định lượng các dấu ấn khối u AFP và bHCG.
Kết quả AFP rất cao (12.000) và chẩn đoán cuối cùng là u quái; bệnh nhân có thể bắt đầu hóa trị ngay trong ngày hôm đó với kết quả điều trị tốt.
Áp-xe Trung thất
Các hình ảnh này của bệnh nhân nữ 34 tuổi bị tái phát bệnh bạch cầu cấp dòng tủy.
Hiện tại bệnh nhân ho kèm sốt và CRP là 365.
Trước tiên hãy xem các hình ảnh.
Nhận định của bạn là gì?
Đây là u tuyến ức dạng nang, u quái, u lympho hay áp-xe?
Hình ảnh
Trên CT, tổn thương cho thấy ngấm thuốc ở thành bao quanh và các vách ngăn bên trong tổn thương.
Dựa trên các kết quả xét nghiệm, chẩn đoán có khả năng nhất là áp-xe.
Bệnh nhân được điều trị thành công bằng kháng sinh.
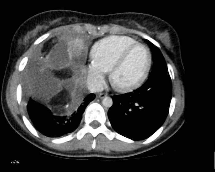
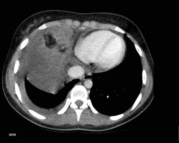
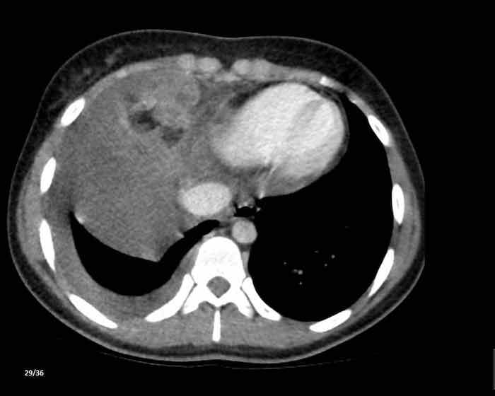
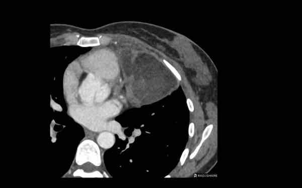
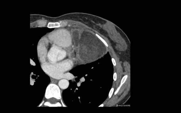
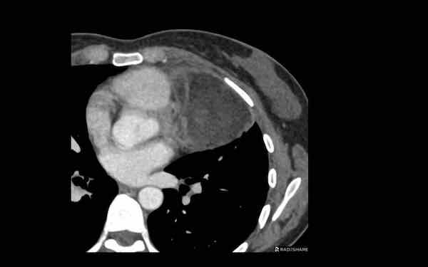
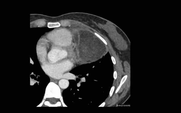
Các hình ảnh này của bệnh nhân nữ 28 tuổi.
Khối trung thất được phát hiện trên CT chụp để tìm thuyên tắc phổi.
Hình ảnh
Có một khối ở khoang trước mạch máu.
Có một số vôi hóa.
Tiếp tục với các hình ảnh MRI…
Hình ảnh
MRI thể hiện rõ hơn đây là tổn thương hỗn hợp với các thành phần dạng nang (chuỗi xung T2W) và các thành phần đặc có ngấm thuốc.
Không có hiện tượng giảm tín hiệu trên chuỗi xung T1W pha đối lập (out-of-phase).
Chẩn đoán cuối cùng
Kết quả cho thấy đây là u tuyến ức dạng nang.
Mặc dù hầu hết u tuyến ức biểu hiện là khối đặc hình bầu dục có ngấm thuốc, một số trường hợp có thể chứa các thành phần dạng nang và vôi hóa.
Điều này có thể gây khó khăn đáng kể trong việc phân biệt với u quái (teratoma).
U tuyến ức so với U quái
Từ thiện
Toàn bộ lợi nhuận từ Radiology Assistant được chuyển đến tổ chức Medical Action Myanmar, do Bác sĩ Nini Tun và Giáo sư Frank Smithuis điều hành — ông là giáo sư tại Đại học Oxford và cũng là anh trai của Robin Smithuis.
Nhấn vào đây để xem video về Medical Action Myanmar và nếu bạn thấy Radiology Assistant hữu ích, xin hãy ủng hộ Medical Action Myanmar bằng một món quà nhỏ.

























































































































